Abstract
Up to 90% of patients with multiple myeloma develop bone lesions. The lesions are purely osteolytic because of increased osteoclast activity and markedly suppressed or absent osteoblast activity. The “gold standard” for imaging myeloma bone lesions is the metastatic bone survey. However, plain radiographs are relatively insensitive and can only demonstrate lytic disease when 30% of trabecular bone loss has occurred. Technicium-99m bone scanning is not appropriate for evaluating myeloma patients since bone scans underestimate the extent of bone involvement in patients with myeloma. The limited reproducibility of bone surveys have led to the use of computerized tomography (CT) scanning, magnetic resonance imaging (MRI) and positron emission tomography (PET) scans to evaluate the extent of bone disease. CT scans are more sensitive than plain radiographs for detecting small lytic lesions, and MRI scans detect marrow involvement by the tumor. PET scans have been used to detect bone lesions in patients with myeloma, are more sensitive than plain radiographs, and have the same sensitivity as MRIs for detecting bone disease in the spine and pelvis. Treatment of myeloma bone disease involves treatment of the underlying malignancy and its manifestations. Current treatments that will be discussed include bisphosphonate therapy, kyphoplasty, vertebroplasty, radiation therapy, and novel agents to suppress osteoclastic bone resorption. In addition, complications with bisphosphonate therapy will be reviewed, in particular, osteonecrosis of the jaw associated with bisphosphonate therapy. As survival of myeloma patients increases, therapies to prevent the complications of aggressive myeloma bone disease become more important.
Introduction
Multiple myeloma (MM) is the most common cancer to involve bone, with up to 90% of patients developing bone lesions.1 The bone lesions are purely osteolytic in nature and do not heal in the vast majority of patients. Up to 60% of patients develop pathologic fractures over the course of their disease.2 Myeloma bone disease differs from bone metastasis caused by other tumors in that, in contrast to other tumors metastatic to bone, once myeloma tumor burden exceeds 50% in a local area, osteoblast activity is either severely depressed or absent.3
Bone destruction in MM can involve any bone. Bones most likely to be involved include the spine (49%), skull (35%), pelvis (34%), ribs (33%), humeri (22%), femora (13%) and mandible (10%).4 The most common radiographic findings of bone involvement include osteolysis, osteopenia, pathologic fractures, or a combination of the above. Eighty percent of patients experience bone pain. Bone pain typically presents in the back or chest and is exacerbated by movement and is less intense at nighttime.
Hypercalcemia occurs in approximately 15% of myeloma patients.1 Hypercalcemia in myeloma usually results from increased bone resorption, decreased bone formation, and impaired renal function, and in a minority of patients, increased production of the hormone, parathyroid hormone-related protein (PTHrP), by the myeloma cells, which may induce hypercalcemia.
Spinal cord compression, which is an oncologic emergency, is seen in 2% to 3% of patients.1 Peripheral neuropathy occurs and is typically associated with amyloidosis or more commonly as a side effect of therapy and not bone disease. Thus, bone disease is a major cause of morbidity in myeloma.
Imaging Bone Involvement in Myeloma
Metastatic bone surveys have been the gold standard to determine bone involvement in myeloma and monitor progression of bone disease in patients with myeloma. An adequate bone survey includes imaging x-rays of the skull, vertebral column, pelvis, and extremities. Almost 80% of patients with myeloma will have radiologic evidence of skeletal involvement on metastatic bone surveys, with the vertebrae, ribs, skull, shoulders, pelvis and long bones being the most frequently involved.5 However, plain radiographs are relatively insensitive and can only demonstrate lytic bone disease when 30% or more of trabecular bone has been lost.6 Further, the skeletal survey is not sensitive enough to assess responses to therapy. If conventional radiography is inconclusive or negative in the setting of high clinical suspicion for bone disease, computed tomography (CT) without contrast, PET/CT or MRI may be used, which are more sensitive than conventional radiography for detecting occult bone disease.
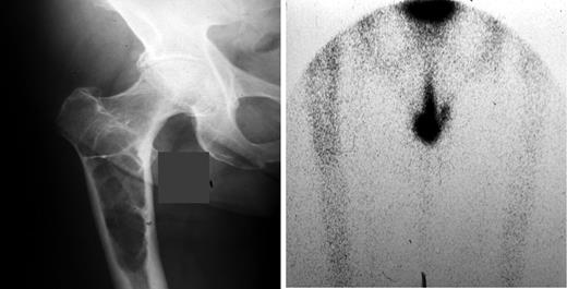
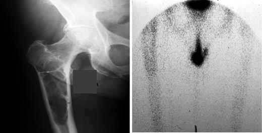
Technetium-99m bone scanning is not appropriate for evaluating myeloma bone disease since bone scans reflect osteoblastic activity and, thus, underestimate the extent of osteolytic lesions characteristic of myeloma bone disease (Figure 1 ). Technetium-99-sestamibi scanning has been investigated in myeloma patients because it is concentrated in myeloma tissues. In a multicenter study of 397 whole-body scans compared to standard radiography, sestamibi scanning was found to be more sensitive than radiographs (77% vs 45%) and was highly specific for staging myeloma patients.7 These results suggest that sestamibi scanning could be useful for staging myeloma.
The limited reproducibility of bone surveys has led to use of newer modalities such as CT scans without contrast, MRI and PET scans to evaluate the extent of myeloma bone disease. MRI allows assessment of bone marrow involvement and has been used to determine myeloma involvement in the marrow.8 Myeloma lesions on MRI have a low signal intensity on T1-weighted images and a high signal intensity on T2-weighted images.8 In contrast to inflammatory lesions, myelomatous lesions do not affect the intravertebral disc space or articular surfaces. The major issue with MRI is a lack of specificity of the findings.9 Walker and coworkers compared MRI to skeletal surveys in 611 patients treated at the University of Arkansas. They found that patients with more than 7 focal lesions detected by MRI had a worse prognosis.10 In contrast, the number of lesions on plain radiography did not contribute to prognosis. In comparison trials, MRI has been shown to have greater sensitivity than plain radiographs in detecting asymptomatic bone disease11 and provide both anatomic and physiologic information about marrow involvement. MRI imaging of the head, spine and pelvis is recommended in all patients with a suspected diagnosis of solitary plasmacytoma to rule out other bone lesions. MRI is also the diagnostic procedure of choice for assessing spinal cord compression.9
CT is not used routinely for screening patients with myeloma because of the high levels of radiation exposure. CT is more sensitive than plain radiographs for detecting small lytic lesions and can detect extraosseous extension of myeloma.9 CT can be used to determine the presence or absence of bone destruction in cases where the MRI is negative.
Positron emission tomography (PET) has also been used to detect metastatic bone lesions in patients with myeloma. Whole-body PET scans using 18F deoxyglucose (FDG-PET) have shown that FDG-PET can identify marrow disease earlier than x-rays or other imaging systems because of its increased sensitivity.
Nanni and coworkers12 compared FDG-PET and FDG-PET combined with CT to whole body x-rays and MRI in 28 newly diagnosed patients with myeloma. In 57% (16 of 28 patients) PET-CT detected more bone lesions than whole-body x-rays, while in 12 patients the two methods yielded equivalent results. All the lesions that were detected by PET-CT, but were not detected by whole-body x-rays, were small and below the contrast resolution of standard radiographs. Thus, PET-CT appears to be more sensitive than whole-body x-rays for detection of small lytic bone lesions, but has the same sensitivity as MRI for detecting bone disease in the spine and pelvis. The major limitation of PET-CT scanning is that small lesions may not be detected and false-positives can arise from inflammatory lesions from infection or recent chemotherapy or fracture.13
The British Committee for Standards in Hematology has proposed guidelines for the use of imaging in the management of myeloma. Skeletal surveys, routine MRI, CT or PET scanning was not recommended for routine follow-up of treated patients with myeloma, although these imaging techniques could be useful in selected patients who have persistent unexplained symptoms or in whom there is a concern for increase fracture risk or lack of response to therapy.
Taken together these data suggest skeletal surveys are useful in the initial diagnostic work-up of patients with myeloma but are not useful for routine follow-up due to their limited reproducibility. Similarly, bone markers are not useful for following individual patients for activity of their bone disease due to their lack of sensitivity and variability.
Treatment of Myeloma Bone Disease
Treatment of myeloma bone disease involves treatment of the underlying malignancy and its manifestations. Current treatments include use of chemotherapy with or without autologous stem cell transplantation for myeloma; localized radiation therapy to control pain, treat impending fracture or treat solitary plasmacytoma; kyphoplasty or vertebraplasty for vertebral fractures; surgery to bone; and inhibiting bone resorption and osteoclast formation with bisphosphonate therapy.
Bisphosphonate therapy is currently the mainstay for treatment of myeloma bone disease. Bisphosphonate therapy can decrease bone pain, show progression of lytic lesions, and prevent development of new pathologic fractures. The improvement of bone pain is thought to result from the inhibition of osteoclast activity. Intravenous pamidronate, 90 mg once monthly, or zoledronic acid, 4 mg once monthly, is the standard bisphosphonate therapy in myeloma. In the original randomized trial evaluating intravenous pamidronate therapy in myeloma, a significant reduction in the number of skeletal events per patient year was found when compared to placebo (1.3 versus 2.2) when patients were treated for 21 months.14 When compared with pamidronate in Phase III trials, zoledronic acid was found to be as effective as pamidronate in decreasing the number of skeletal complications and need for radiation therapy.15 The major benefit of zoledronic acid over pamidronate is that it can be given over a shorter period of time (15 minutes versus 2 hours).
Current recommendations suggest starting bisphosphonate therapy in myeloma when there is evidence of bone involvement.16 The optimal duration and frequency of bisphosphonate therapy for myeloma are not well understood and are currently being studied. Recent consensus statements recommend treating patients monthly for 2 years and then considering discontinuation of therapy at that time if the patient is in remission or a plateau phase of his/ her disease.16 ASCO guidelines recommend using either pamidronate or zoledronic acid in patients with lytic destruction of bone or spinal cord compression on imaging.16 Patients with renal impairment (creatinine > 3 mg/dL) currently should receive pamidronate rather than zoledronic acid over a longer infusion time, although there are ongoing studies to determine the safety of using zoledronic acid in patients with severe renal impairment. Although zoledronic acid and other bisphosphonates have antitumor activity against myeloma cell lines as well as in animal models of myeloma,17 it is unclear if they have antitumor activity in patients. Early treatment with bisphosphonates does not appear to provide any antitumor effect but may reduce the development of skeletal related events at progression. Current ASCO guidelines do not recommend treating myeloma patients with bisphosphonate therapy unless they have identifiable bone lesions, osteopenia or osteoporosis.16
An emerging complication associated with bisphosphonate therapy is osteonecrosis of the jaw (ONJ). Recent studies have reported an association between ONJ and the use of bisphosphonates in patients with metastastic bone disease or benign osteoporosis, although a cause-and-effect relationship has not been clearly demonstrated. Patients with myeloma have been reported to have the highest incidence of ONJ (1.6% to 11%; reviewed in Van den Wyngaert et al18) while patients with postmenopausal osteoporosis who are treated with oral bisphosphonates have an incidence of ONJ of 1/10,000 to 1/100,000 patient treatment years.19 Bisphosphonate-associated ONJ is defined as the presence of the exposed bone in the mandible or maxilla in patients receiving bisphosphonate therapy that does not heal within 8 weeks of appropriate dental management in the absence of local metastatic disease or previous radiation therapy.18 Clinical examination usually shows an exposed alveolar ridge with sequestra of necrotic bone often with a purulent discharge. The surrounding gums and mucosal tissue are usually inflamed and can be painful to the touch.18 Patients can have single or multiple lesions with the mandible more frequently involved than the maxilla. Most patients have only exposed bone, although fistula to the maxillary sinus or the skin rarely occurs and pathologic fractures of the mandible have been reported.18 The overwhelming majority of cases reported have been either case reports or retrospective studies of patients receiving bisphosphonate therapy. Recently, one long-term follow-up study of myeloma patients with ONJ was reported.20 Risk factors for ONJ that were identified included dental extraction, older age and longer survival. In this study, 97 patients were followed for at least 3.2 years.20 ONJ resolved in 60 of the 97 patients studied, resolved and recurred in 12 of the patients and did not heal over a 9-month period in 26% of the patients. Dental extraction preceded development of ONJ in 47% of the patients and was more common in patients with a single episode of ONJ than in patients with recurrent or nonhealing ONJ. The recurrence of ONJ in these 12 patients was associated with reinitiation of bisphosphonate therapy or dental procedures. In this series, patients developing ONJ following dental procedures were less likely to have a recurrence or nonhealing and, although infrequently, recurrence was linked to re-treatment with bisphosphonates in patients with relapsed myeloma. Thus, the risk factors associated with development of ONJ for patients on bisphosphonate therapy appear to be the duration of bisphosphonate therapy, presence of active myeloma and a previous dental extraction or dental surgery.
The pathophysiology underlying ONJ is still unclear. The jaws are the only bones that have frequent contact with the outside environment and are subject to repeated microtrauma because of chewing. Decreased bone remodeling induced by bisphosphonates has been implicated as a potential mechanism for ONJ but has not been confirmed.21 Possibly, inhibition of osteoclast function by bisphosphonate therapy is responsible for ONJ. This could interfere with healing of microfractures and trauma that occur especially after tooth extraction and may in part explain why tooth extraction and surgery to bone increase the risk of ONJ. No particular myeloma treatments have been clearly implicated in the pathogenesis of ONJ, although dexamethasone and thalidomide have been suggested as additional risk factors.22 In addition, although bisphosphonates can have effects on new blood vessel formation, biopsies of patients with ONJ show no reduction in capillaries.18 Interestingly, patients with ONJ more frequently are diabetic or have impaired glucose tolerance than would be expected in an age-matched population.23 Diabetes is associated with impaired wound healing and this could play a role in the development of ONJ in patients with myeloma. Infections may also play a role in ONJ since the oral cavity has an abundance of microorganisms and actinomycetes have been cultured from ONJ lesions.18
Stopping or continuing bisphosphonate therapy in myeloma patients who develop ONJ remains a major question. Bisphosphonates have an extremely long half-life in bone, which has been estimated to be greater than 10 years, so stopping bisphosphonates may or may not have any effect on ONJ. In patients who have progressive bone disease, reinstitution or continuation of bisphosphonate therapy should be considered after the risks and benefits have been discussed with the patient.
Novel Therapies for Myeloma Bone Disease
Recent studies have identified several important factors produced or induced by myeloma cells that play an important role in the osteolytic bone destruction characteristic of myeloma. These include factors that stimulate osteoclast formation or that suppress osteoblast activity.
The receptor activator of NFκB ligand (RANKL) signaling pathway plays a critical role in normal bone remodeling. In myeloma, RANKL expression, which increased osteoclast activity, is markedly increased while osteoprotegerin (OPG), its decoy receptor for RANKL, is decreased.24 Circulating levels of RANKL and OPG have been reported to correlate with both clinical activity of myeloma and the severity of bone disease and portends a poor prognosis.25 Studies in animal models have shown that blocking RANKL activity decreases both bone destruction and myeloma tumor burden.26
Recently, a fully humanized monoclonal antibody to RANKL (Denosumab, Amgen) has been developed. This antibody induces rapid reduction of bone resorption markers in myeloma patients, which persisted for up to 90 days after a single dose.27 Denosumab is currently in clinical trial for myeloma as well as in other diseases associated with osteoclastic bone destruction.
Signaling pathways involved in osteoblast dysfunction in myeloma have been recently identified and provided potential new targets for treating myeloma bone disease.28 One of the first to be identified is the Wnt signaling pathway, which plays an important role in normal osteoblast differentiation. Tian and coworkers reported that the Wnt signaling inhibitor, DKK1, was increased in patients with myeloma bone disease and that gene expression profiling showed that it correlated with the extent of bone disease with myeloma.29 These investigators further showed that DKK1 inhibited osteoblast differentiation of a murine preosteoblast cell line. In addition, other inhibitors of the Wnt signaling pathway such as soluble frizzle-related protein-2 have been identified in marrow samples from patients with myeloma.30
Enhancing Wnt signaling either by blocking the activity of Wnt antagonists or increasing Wnt signaling has been studied in animal models of myeloma bone disease and results suggest they may provide new treatments for patients with myeloma bone disease. For example, Edwards and coworkers31 reported that increasing Wnt signaling within the bone marrow microenvironment in myeloma blocks the development of osteolytic lesions. Antibodies to DKK1, a Wnt antagonist, have also been explored in animal models of myeloma. Yaccoby and coworkers have shown that treating mice bearing primary human myeloma cells in a xenograft of rabbit bone with an anti-DKK1 antibody increased both bone formation and blocked tumor growth in the xenograft.32
The role of Wnt canonical signaling in human osteoblastogenesis is, however, unclear. DeBoer and coworkers33 reported that Wnt 3a suppressed osteogenic differentiation of human mesenchymal stem cells. Baksh et al34 have also reported that cross-talk between Wnt signaling pathways can antagonize their effects on osteoblast differentiation of human mesenchymal stem cells. More importantly, the potential use of anti-DKK1 or Wnt activators in treating myeloma bone disease must be considered in light of reports that canonical Wnt signaling promotes the growth of myeloma cells.35,36
Novel agents recently approved for treating myeloma, such as IMiDs and bortezomib, also can have effects on myeloma bone disease. Anderson and coworkers reported that immunomodulatory agents such as CC-4047 and thalidomide can inhibit osteoclast formation and activity in vitro,37 and Terpos and coworkers have reported that thalidomide in combination with dexamethasone reduced bone resorption in 35 patients with relapsed refractory myeloma.38 The combination of thalidomide (200 mg) per day with dexamethasone (40 mg for 4 days given every 15 days) significantly reduced bone resorption markers, CTX and TRACP-5b, 3 months after initiation of therapy. The reduction in resorption markers persisted for the 6 months of the study.
Bortezomib can also have bone effects in addition to its anti-myeloma effects. Zangari and coworkers32 have reported that a 25% increase from baseline at 6 weeks in the bone formation marker, alkaline phosphatase, was the most powerful predictor of response to bortezomib in patients with myeloma. Giuliani and coworkers39 found that bortezomib significantly increased the activity of the critical osteoblast transcription factor, RUNX2, in human osteoblast precursors and stimulated bone nodule formation in vitro. Importantly, they found a significant increase in the number of osteoblasts per mm2 of bone tissue and the number of RUNX2 positive osteoblastic cells in marrow biopsies from myeloma patients that responded to bortezomib. Again, the effect on osteoblasts was only seen in patients whose myeloma responded to bortezomib, making it difficult to distinguish if the increase in osteoblast activity was due to the anti-myeloma effects of bortezomib or direct effects on osteoblasts or both. Zangari, et al. reported a prospective evaluation of the bone anabolic effects of bortezomib in patients with relapsed myeloma.40 Patients received bortezomib as a single agent on days 1, 4, 8 and 11 of a 21-day cycle and were studied prospectively for 3 cycles. The patients were not receiving bisphosphonates or glucocorticoids during the study. As expected, bone formation markers were initially below normal in 10 of 11 patients studied but increased in 9 of the 11 patients at the end of the third cycle. Terpos and colleagues41 have reported that bortezomib also decreased DKK1 and RANKL concentrations and normalized bone remodeling indices in the serum of patients with relapsed myeloma. However, the majority of patients that showed an increase in bone formation markers also showed an antitumor response to bortezomib, making it unclear if the stimulatory effects on bone formation were secondary to the effects of bortezomib on myeloma or due to direct effects on osteoblast differentiation.
Vertebroplasty and Kyphoplasty for Myeloma Bone Disease
Percutaneous vertebroplasty is a technique that involves fluoroscopic percutaneous injection of polymethylmethacrylate, a component of bone cement, into vertebral bodies for stabilization or relief of pain. The diseased vertebral body is injected bilaterally or unilaterally and the technique provides immediate relief in a significant number of patients. Kyphoplasty is a vertebroplasty technique that involves placement of inflatable bone tamps into the vertebral body. This technique tries to expand the vertebral body back to its original height and provides a compartment into which bone cement can be injected. Both result in decreased myeloma-induced bone pain and improvement in functional activity in patients with vertebral compression fractures secondary to bone involvement42 and are very useful in the management of patients with vertebrate fractures. These techniques are only applicable at present to vertebral compression fractures and not for other sites of fracture.
Radiation Therapy
Radiation therapy is useful in treating painful bone lesions in patients with myeloma. Approximately 70% of patients with myeloma bone disease receive radiation therapy during the course of their illness.43 Bone pain is treated typically with 30 Gy of radiation to relieve pain. Higher doses of radiotherapy are avoided because of their ability to reduce or compromise further chemotherapy or prevent subsequent autologous stem cell transplantation. Radiotherapy should be used judiciously because of its potential permanent effects on bone marrow function as well as the function of other organs.
Summary
Bone disease is responsible for some of the most severe complications and morbidity associated with myeloma. New insights into the pathophysiology underlying myeloma bone disease have provided novel therapeutic targets for treating this devastating complication of myeloma. As treatments for myeloma improve and patients survive longer, therapies to prevent the complications and progression of myeloma bone disease become more important and are vitally needed to improve the quality of life for these patients.
Bone scans can underestimate the degree of bone involvement in myeloma because bone disease in myeloma is characterized by bone destruction with absent new bone formation. This patient has a large lytic lesion on plain radiographs and a negative bone scan. Courtesy of Dr. Mankin, Massachusetts General Hospital.
Bone scans can underestimate the degree of bone involvement in myeloma because bone disease in myeloma is characterized by bone destruction with absent new bone formation. This patient has a large lytic lesion on plain radiographs and a negative bone scan. Courtesy of Dr. Mankin, Massachusetts General Hospital.
Disclosures Conflict-of-interest disclosure: The author is a consultant for Amgen, Novartis, and Millenium; receives research funding from VA Merit Review, NIH/NIAMS, the Multiple Myeloma Foundation, and Novartis; is employed by the University of Pittsburgh and the VA Pittsburgh Healthcare System; serves on the Board of Directors/advisory committees of the Multiple Myeloma Foundation and the International Multiple Myeloma Foundation; and in on the speakers’ bureau for Novartis. Off-label drug use: None disclosed.
References
Author notes
Veterans Affairs Pittsburgh Healthcare System, Research and Development, Pittsburgh, PA, US
University of Pittsburgh, Department of Medicine/Hematology-Oncology, Pittsburgh, PA, US
