Abstract
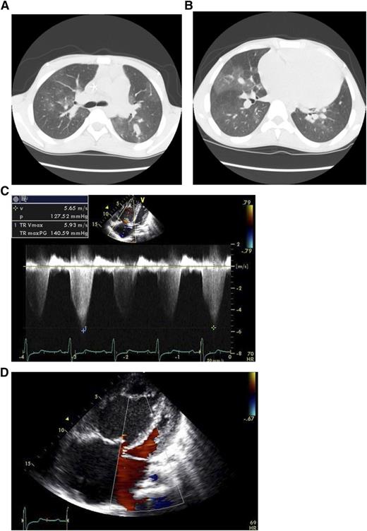
Patient case: An 18-year-old male patient with homozygous hemoglobin SS disease was evaluated for progressive dyspnea and elevated tricuspid regurgitant jet velocity (TRV) on echocardiography. The patient’s case is described in detail in Lancet.1 He had been treated with regular transfusions since childhood for stroke, had rare episodes of vaso-occlusive pain episodes, and did not take narcotic pain medications. He presented with progressive severe dyspnea on exertion and lower extremity edema. His laboratory tests were notable for a total hemoglobin level of 11.8 g/dL and hemoglobin S levels <30% but with 18% reticulocytes and elevated markers of hemolysis, such as high plasma levels of lactate dehydrogenase, aspartate amino transferase, and indirect bilirubin. The computed tomography scan of his chest in Figure 1A-B shows a large pulmonary artery, which has a greater diameter than his aorta, and a mosaic perfusion pattern, typical for severe pulmonary arterial hypertension. His Doppler echocardiographic study (Figure 1C) showed an unusually high TRV of 5.93 m/s, consistent with a calculated pulmonary artery systolic pressure of >140 mm Hg (4 times the TRV squared = 4V2). Additional images in Figure 1D show a dilated right ventricle and right atrium with a compressed left ventricle. The patient’s right heart catheterization revealed a pulmonary artery systolic pressure of 147 mm Hg and diastolic pressure of 49 mm Hg; note that the normal values are ∼25/10 mm Hg.
Learning Objectives
Understand current screening recommendations using Doppler echocardiography and plasma levels of NTproBNP for pulmonary hypertension in adult and pediatric patients with sickle cell disease as well as areas of uncertainty and need for additional study
Understand the risk of death and having pulmonary hypertension in patients with various levels of elevated tricuspid regurgitant jet velocity in both adult and pediatric patients with sickle cell disease
Analyze the limitations in evidence-based options for treatment of pulmonary arterial hypertension and elevated TRV in patients with SCD after detected by routine screening
Pulmonary hypertension in adults with sickle cell disease
Sickle cell disease (SCD) is the most common inherited hemoglobinopathy in the United States, affecting an estimated 90 000 to 100 000 individuals. Over the last 40 years, the natural history of SCD has transitioned in high-income countries, like the United States, from a disease commonly fatal in childhood to a chronic illness affecting adults into the fifth decade of life.2 Cardiovascular complications, such as pulmonary hypertension (PH), account for significant mortality in adults patients with SCD; however, the natural history of this complication beginning in childhood is ill defined. In this review, we examine our current understanding regarding the role and timing of screening for PH in adults and children with SCD.
We searched PubMed for papers published in English between 1970 and 2017 and reviewed all of the applicable abstracts. The search terms included (“anemia, sickle cell”[MeSH Terms]) OR (“anemia”[All Fields] AND “sickle”[All Fields] AND “cell”[All Fields]) OR “sickle cell; “anemia, sickle cell”[MeSH Terms] OR (“anemia”[All Fields] AND “sickle”[All Fields] AND “cell”[All Fields]) OR “sickle cell anemia”[All Fields] OR (“sickle”[All Fields] AND “cell”[All Fields] AND “disease”[All Fields]) OR (“sickle cell disease”[All Fields]) AND (“pulmonary hypertension”[MeSH Terms] OR “pulmonary hypertension”[All Fields]) OR (“tricuspid regurgitant velocity”[MeSH Terms] OR “tricuspid regurgitant velocity”[All Fields]). Selected articles were included with a focus on PH or elevated TRV in children or adults with sickle cell anemia. We also reviewed the references of the selected papers. When possible, data were chosen from large multicenter studies. Results were summarized when a series of studies identified a similar pattern of results.
Adults with SCD most commonly develop pulmonary arterial hypertension (World Health Organization group 1 classification) or pulmonary venous hypertension (World Health Organization group 2 classification typically caused by heart failure with preserved ejection fraction–diastolic dysfunction), which have both been found to be associated with increased morbidity and independent predictors of death in this population.1 The National Institutes of Health PH cohort study reported an incidence of 10.4% right heart catheter confirmed PH in 531 screened adults with SCD.3 This study performed 84 right heart catheterizations on participants with suspected PH and diagnosed 55 participants based on a mean pulmonary artery pressure >25 mm Hg. Participants in the confirmed PH group were noted to have reduced cardiac output, shorter 6-minute walk distance, more severe hemolytic anemia (lower hemoglobin values and higher plasma lactate dehydrogenase levels), and higher prevalence of renal dysfunction and iron overload. The median survival time for the individuals with PH was only 6.8 years.3 Castro et al4 reviewed the results of right heart catheterization in 34 adults with SCD, including 20 patients with and 14 patients without PH. This study showed that each increase of 10 mm Hg in mean pulmonary artery pressure was associated with a 1.7-fold increase in the rate (hazard ratio) of death (95% confidence interval, 1.1-2.7; P = .028). The median survival for patients with PH was 25.6 months compared with a survival over 70% at the end of the 119-month observation period for patients without PH.4 Other studies are summarized in the American Society of Hematology educational book and have been recently reviewed.1
Elevated TRV in adults with SCD
Many studies have examined the TRV as an estimate of pulmonary artery systolic pressure in adult participants with SCD. Although the TRV can be used to estimate pulmonary artery systolic pressure, it does not replace right heart catheterization as the diagnostic test for PH. However, in 45 screening studies included in a meta-analysis with >6000 patients, participants with an elevated TRV were noted to have a mortality hazard ratio of 4.9 (95% confidence interval, 2.4-9.7).5 TRV can be used to estimate pulmonary artery systolic pressure and can aid in identifying adult patients at increased risk of having PH measured by right heart catheterization and at higher risk of death; however, the cutoff to define elevated TRV is not clear. Using a value between 2.5 and 3 m/s will identify only 25% to 39% of patients with a mean pulmonary pressure ≥25 mm Hg, whereas a value ≥3 m/s has been found to identify 66% to 77% of patients with PH.3,6 Although the risk of PH rises as TRV rises, a cutoff value of ≥2.5 m/s best defines mortality risk, and values less than this are at very low risk of having PH or early death.5,7
Elevated TRV and PH in children with SCD
The clinical significance of an elevated TRV in pediatric patients with SCD is less well defined. Hebson et al8 retrospectively examined 630 children with SCD and found that 120 (19%) participants had an elevated TRV ≥2.5 m/s. Compared with controls with SCD but without an elevated TRV, there was no significant difference between groups in the likelihood of acute chest syndrome (ACS) episodes, hospitalizations, or stroke. On repeat echocardiogram, only 51% of the participants (N = 43) had persistently elevated TRV ≥2.5 m/s. Only 4 individuals underwent right heart catheterization during the study period, with 3 children noted to have confirmed PH. The study concluded that an elevated TRV in children does not independently predict morbidity or PH.8 In a prospective study, Liem et al9 examined 78 subjects between 10 and 24 years of age and noted an elevated TRV ≥2.5 m/s in 33.3% (N = 26). These individuals were not noted to have other abnormalities on echocardiogram associated with PH (right ventricular enlargement, right ventricular hypertrophy, or septal wall flattening). Additionally, there was no significant difference in lung function parameters between participants with and without TRV elevation.9 Similar to the previous study, an elevated TRV was not predictive of PH or other abnormalities in children with SCD. Conversely, in a prospective longitudinal study of 160 participants ages 3 to 20 years old with SCD, Gordeuk et al10 showed that TRV values are higher in children, and a value of 2 standard deviations above the population mean is 2.7 m/s, suggesting that this threshold should be used in children. Importantly, children with a baseline elevation in TRV and more severe hemolytic anemia have an estimated 4.4-fold increase in the odds of a 10% or more decline in age-standardized 6-minute walk distance (P = .015), suggesting that combination risk factor analysis may be needed in children to identify higher risk of future functional decline. This decline in exercise capacity was noted over a mean 22 months of follow-up.10 These studies suggest that an elevated TRV in children may predict risk, but higher cutoff values with associated clinical symptoms or additional laboratory abnormalities may be required to justify more intensive evaluations (Figure 1).
Imaging from an 18-year-old male patient with homozygous hemoglobin SS disease. (A,B) CT scan demonstrating large pulmonary artery and mosaic perfusion pattern due to areas of higher radiodensity where the blood flow is high (more white), next to darker areas where the pulmonary arterioles are narrowed and blood flow is reduced. (C) Doppler echocardiographic study records a very high tricuspid regurgitant jet velocity (TRV) of 5.93 m/s, which estimates a pulmonary artery systolic pressure of greater than 140 mm Hg. (D) Four-chamber view of his heart shows shows a dilated right ventricle (RV) and right atrium (RA) with a compressed left ventricle (LV).
Imaging from an 18-year-old male patient with homozygous hemoglobin SS disease. (A,B) CT scan demonstrating large pulmonary artery and mosaic perfusion pattern due to areas of higher radiodensity where the blood flow is high (more white), next to darker areas where the pulmonary arterioles are narrowed and blood flow is reduced. (C) Doppler echocardiographic study records a very high tricuspid regurgitant jet velocity (TRV) of 5.93 m/s, which estimates a pulmonary artery systolic pressure of greater than 140 mm Hg. (D) Four-chamber view of his heart shows shows a dilated right ventricle (RV) and right atrium (RA) with a compressed left ventricle (LV).
Screening for PH in adults and children
Consensus guidelines for PH in SCD have been published by the American Thoracic Society, the American College of Chest Physicians, and the Pulmonary Hypertension Association. These guidelines recommend screening adult patients with SCD with echocardiogram or plasma N-terminal probrain natriuretic peptide (NTproBNP) to identify patients most at risk for high morbidity and mortality. However, the age of screening is not specified because of the lack of clear data in children. Of adult patients screened with borderline TRV values of 2.5 of 3.0 m/s, the guidelines recommend additional risk stratification with NTproBNP and 6-minute walk testing. Additional testing can help increase the positive predictive value of the TRV. A prospective, multicenter study of adult SCD patients in France found the positive predictive value of the TRV in asymptomatic individuals to be only 25% when using a cutoff of 2.5 m/s. However, the combination of a TRV of at least 2.5 m/s and either an NTproBNP level >164 pg/mL or a 6-minute walk distance <333 m improved the positive predictive value to 62%.6 For this group or if the TRV is >3.0 m/s, a right heart catheterization is recommended.11 The basis for these recommendations is in identifying patients at high risk of having PH and high risk of death, allowing for more aggressive management of their disease with hydroxyurea or transfusion therapy, and the appreciation that many of these patients will have treatable conditions, such as hypoxemia, iron overload, chronic thromboembolic disease, and group 1 pulmonary arterial hypertension.1
The frequency of screening with routine echocardiogram has not been established in the current literature. In a single-institution, longitudinal study of 43 adults with SCD, 30 individuals had no evidence of PH at baseline. Over a mean follow-up period of 3 years (standard deviation 0.4 years), 13% developed PH as measured by TRV.12 Data from this small study provide the rationale to support screening every 1 to 3 years in adult patients with SCD.
In children, we now appreciate that, in many cases, a high TRV may represent hemodynamic changes from high cardiac output and that the cutoff value should be ≥2.7 m/s rather than 2.5 m/s, which is used in adults. Also, the risk of death is low in children overall, and no studies have followed patients long enough to show mortality risk. For these reasons, the recommendations for screening are not yet established. The American Thoracic Society guidelines advocate that screening be reserved for children presenting with additional risk factors that suggest the development of early vasculopathy, such as dyspnea, hypoxemia, symptoms of right heart failure, or laboratory measures of high levels of hemolysis or urine proteinuria, which are associated with hemolysis and increased risk for vasculopathy.
Treatment of PH
The optimal therapy for PH associated with SCD is not known because of the lack of randomized, controlled trials investigating specific interventions. Expert panel guidelines suggest an intensification of SCD-specific care for individuals with elevated TRV or NTproBNP, such as hydroxyurea, supplemental oxygen, or iron chelation. Hydroxyurea has been shown to decrease the incidence of ACS episodes, the incidence of acute vaso-occlusive pain, and all-cause mortality.13 Patients who are not responsive to or who are not candidates for hydroxyurea therapy may be considered for chronic transfusion therapy. Chronic transfusions have been shown to reduce the incidence of ACS in patients who continue to have episodes of ACS despite hydroxyurea therapy; therefore, reducing the frequency of ACS may reduce the incidence of death and possibly, the progression of PH.11 A case report has also shown reversal of PH in a patient with SCD after stem cell transplant.14 Case series have suggested that chronic transfusion similarly lowers pulmonary pressures.15
In addition to SCD-specific therapies, certain patients may benefit from pulmonary vasodilator therapy, including endothelin receptor antagonists, prostanoids, or soluble guanylate cyclase simulators. These therapies are generally indicated in symptomatic patients with right heart catheterization–confirmed elevated pulmonary artery mean pressure ≥25 mm Hg and a pulmonary capillary wedge pressure ≤15 mm Hg, with pulmonary vascular resistance >160 dyn·s·cm−5.11 Data for these interventions are generally extrapolated from trials in pulmonary arterial hypertension (PAH) in individuals without SCD. However, a recent case series of 11 adult patients with SCD has suggested that prostacyclin-analog therapy is associated with a significant decrease in right ventricular systolic pressure.16 Conversely, sildenafil (a phosphodiesterase 5 inhibitor) is generally avoided in SCD-associated PH because of results of the Walk-Pulmonary Hypertension and Sickle Cell Disease with Sildenafil Therapy Trial, which was terminated early because of an increase in hospitalization for severe pain events in the treatment group compared with the placebo group.17
Conclusion
The lack of high-quality evidence guiding the screening for PH in children and the management of PAH in adults highlights the need for additional studies to explore these relationships in our adult and pediatric patients with SCD.
All adult patients should undergo routine screening at baseline health for PH with yearly echocardiogram if TRV remains <2.5 m/s. Grade 2C.
For those with borderline elevated TRV values of 2.5 to 3.0 m/s, additional screening should be performed with NTproBNP and 6-minute walk testing, whereas those with TRV > 3 m/s should be recommended for cardiac catheterization per the published guidelines. Grade 1C.
Pediatric patients should only be screened for PH with routine echocardiogram if they have laboratory measures of high levels of hemolysis or proteinuria. Echocardiogram should be performed to test for PH with dyspnea, hypoxemia, or symptoms of right heart failure. When screened, the cutoff value for additional testing should be ≥2.7 m/s. Grade 2C.
Correspondence
Mark T. Gladwin, Department of Medicine, Pittsburgh Heart, Lung, Blood and Vascular Medicine Institute, University of Pittsburgh School of Medicine, 3459 Fifth Ave, Pittsburgh, PA 15213; e-mail: gladwinmt@upmc.edu.
References
Competing Interests
Conflict-of-interest disclosure: S.M.W. has no competing financial interests. M.T.G. is on the Board of Directors or an advisory committee for Bayer; has received research funding from Bayer; holds patents with or receives royalties from the University of Pittsburgh, the National Institutes of Health, and Globin Solutions, Inc.; and has equity ownership in Globin Solutions, Inc.
Author notes
Off-label drug use: None disclosed.
