Abstract
Telomere biology disorders (TBDs) are a spectrum of inherited bone marrow failure syndromes caused by impaired telomere function due to pathogenic germline variants in genes involved in telomere maintenance. TBDs can affect many organ systems and are often thought of as diseases of childhood. However, TBDs may present in mid- or even late adulthood with features similar to but not always the same as the childhood-onset TBDs. Adult-onset TBDs are often cryptic with isolated pulmonary, liver, or hematologic disease, or cancer, and may lack the classic disease-defining triad of abnormal skin pigmentation, nail dysplasia, and oral leukoplakia. Diagnostics include detection of very short leukocyte telomeres and germline genetic testing. Notably, adult-onset TBDs may show telomeres in the 1st to 10th percentile for age, and some cases may not have an identifiable genetic cause. TBD genetic etiology includes all modes of inheritance, with autosomal dominant the most frequent in adult-onset disease. Variable symptom onset due to incomplete penetrance, variable expressivity, and genetic anticipation add to the diagnostic challenges. Adult-onset TBDs are likely underrecognized, but their correct identification is of utmost importance, since affected patients are faced with numerous clinical complications, including but not limited to an increased risk of malignancies requiring close surveillance for early detection. Currently lung, liver, or hematopoietic cell transplants are the only curative therapeutic approaches but can be complicated by comorbidities, despite improved medical care. This review highlights the challenges of identifying adult-onset TBDs and addresses currently recommended clinical screening measures and therapy options.
Learning Objectives
Identify clinical clues consistent with an adult-onset TBD and determine the correct tools for diagnostic work-up
Understand the correlations between mode of inheritance, gene, and phenotype of TBDs in adults
Determine appropriate clinical surveillance modalities and discuss therapeutic approaches for adults with TBDs
What is a telomere biology disorder?
Telomeres consist of (TTAGGG)n nucleotide repeats and a protein complex at chromosome ends that protect against loss of protein-encoding DNA during cell replication and are thus essential for genome stability.1 Telomeres shorten with each cell division, and over time critically short telomeres trigger cellular senescence or apoptosis.1,2 Telomere biology disorders (TBDs) represent a heterogeneous group of multi-organ diseases caused by pathogenic germline variants in genes encoding key telomere biology proteins. The best known subtype is classic dyskeratosis congenita (DC), which typically manifests during childhood with the mucocutaneous triad of nail dysplasia, abnormal skin pigmentation, and oral leukoplakia, but can also present in adults.3 The TBD designation encompasses phenotypes also called cryptic DC, which may manifest in adulthood with one or two isolated features such as bone marrow failure (BMF), interstitial lung disease (ILD), head and neck squamous cell carcinoma (HNSCC), or liver fibrosis. Underdiagnosis of TBDs impacts clinical outcome, since affected patients need specific surveillance measures and treatment considerations.
The biology connecting the spectrum of TBDs is impaired telomere maintenance resulting in short telomeres for age.2,4 Currently, pathogenic variants in at least 17 genes involved in telomere biology are associated with TBDs (Table 1).2,5 All modes of inheritance have been reported in TBDs, including X-linked recessive (XLR), autosomal recessive (AR), and autosomal dominant (AD). Patients with de novo germline variants have also been reported. TBD-causing variants show both variable expressivity and incomplete penetrance as the result of several factors, including but not limited to somatic genetic rescue mechanisms such as acquisition of variants in the TERT promoter region.2,6 Genetic anticipation with shorter telomeres and earlier onset clinical manifestations has been reported in successive generations.2 All these phenomena add to TBD pleiotropy, making them frequently challenging to recognize in adults.
Genotypes associated with adult-onset telomere biology disorders
| Protein complex . | Function in telomere biology . | Gene/ Protein* . | Functional effect of pathogenic variants . | Main adult-onset phenotypes† . | Inheritance* . |
|---|---|---|---|---|---|
| Telomerase core components | Telomere elongation | TERT/ TERT | Reduced telomerase activity, processivity, and/or recruitment | BMF/MDS, PF, LD | AD |
| BMF, HNSCC | AR¶ | ||||
| RNA template | TERC/ hTR | Reduced telomerase activity | BMF/MDS, PF, LD | AD | |
| PF | AR¶ | ||||
| Telomerase enzyme complex | Telomerase assembly, hTR stability | DKC1/ dyskerin‡ | Reduced hTR stability and telomerase activity | BMF, PF | XLR|| |
| NHP2/ NHP2 | Reduced hTR stability and telomerase activity | BMF, PF | AD | ||
| BMF, LD | AR¶ | ||||
| NOP10/ NOP10 | Reduced hTR stability and telomerase activity | PF, LD | AD | ||
| BMF | AR¶ | ||||
| Telomerase maturation/ activation/ trafficking | WRAP53/ TCAB1 | Impaired telomerase trafficking and recruitment to telomeres | BMF, LD | AR¶ | |
| Shelterin complex | Telomerase recruitment/ activity/processivity | ACD/ TPP1 | Impaired telomerase recruitment | PF | AD |
| BMF | AR¶ | ||||
| Telomerase regulation/ recruitment, telomere protection | TINF2/ TIN2‡ | Multifactorial interruption of telomere maintenance | BMF, PF# | AD | |
| Telomerase regulation, telomere stability, 3’ G-overhang regulation | POT1*/ POT1 | Impaired telomerase regulation and telomere replication | PF, familial melanoma§ | AD | |
| hTR biogenesis/ stability factors | hTR stability | NAF1/ NAF1 | Reduced hTR stability and telomerase activity | MDS, PF, LD | AD |
| hTR maturation/ stabilization | PARN/ PARN | Reduced telomerase activity and hTR stability | PF, kidney disease | AD | |
| BMF, PF | AR¶ | ||||
| hTR maturation and stability | ZCCHC8/ZCCHC8 | Impaired telomerase function | BMF, PF | AD | |
| Telomeric accessory factors | DNA replication/repair, prevention of telomere loss during cell division | RTEL1/ RTEL1 | Impaired telomere replication and stability | BMF/MDS, PF, LD | AD |
| BMF | AR¶ | ||||
| DNA replication/repair | RPA1/ RPA1 | Impaired telomere maintenance | PF, [BMF]** | AD | |
| Other (proposed TBD associated)†† | Ribosomal RNA maturation | NPM1/ NPM1 | Impaired ribosomal RNA maturation (altering hTR stability) | BMF | AD |
| Inhibition of p53 activity | MDM4 /MDM4 | Hyperactivation of p53 | BMF/MDS, HNSCC | AD | |
| De novo nucleotide synthesis (thymidine nucleotide metabolism) | TYMS-ENOSF1/ TYMS | Impaired telomerase regulation | Classic DC | AR (digenic) |
| Protein complex . | Function in telomere biology . | Gene/ Protein* . | Functional effect of pathogenic variants . | Main adult-onset phenotypes† . | Inheritance* . |
|---|---|---|---|---|---|
| Telomerase core components | Telomere elongation | TERT/ TERT | Reduced telomerase activity, processivity, and/or recruitment | BMF/MDS, PF, LD | AD |
| BMF, HNSCC | AR¶ | ||||
| RNA template | TERC/ hTR | Reduced telomerase activity | BMF/MDS, PF, LD | AD | |
| PF | AR¶ | ||||
| Telomerase enzyme complex | Telomerase assembly, hTR stability | DKC1/ dyskerin‡ | Reduced hTR stability and telomerase activity | BMF, PF | XLR|| |
| NHP2/ NHP2 | Reduced hTR stability and telomerase activity | BMF, PF | AD | ||
| BMF, LD | AR¶ | ||||
| NOP10/ NOP10 | Reduced hTR stability and telomerase activity | PF, LD | AD | ||
| BMF | AR¶ | ||||
| Telomerase maturation/ activation/ trafficking | WRAP53/ TCAB1 | Impaired telomerase trafficking and recruitment to telomeres | BMF, LD | AR¶ | |
| Shelterin complex | Telomerase recruitment/ activity/processivity | ACD/ TPP1 | Impaired telomerase recruitment | PF | AD |
| BMF | AR¶ | ||||
| Telomerase regulation/ recruitment, telomere protection | TINF2/ TIN2‡ | Multifactorial interruption of telomere maintenance | BMF, PF# | AD | |
| Telomerase regulation, telomere stability, 3’ G-overhang regulation | POT1*/ POT1 | Impaired telomerase regulation and telomere replication | PF, familial melanoma§ | AD | |
| hTR biogenesis/ stability factors | hTR stability | NAF1/ NAF1 | Reduced hTR stability and telomerase activity | MDS, PF, LD | AD |
| hTR maturation/ stabilization | PARN/ PARN | Reduced telomerase activity and hTR stability | PF, kidney disease | AD | |
| BMF, PF | AR¶ | ||||
| hTR maturation and stability | ZCCHC8/ZCCHC8 | Impaired telomerase function | BMF, PF | AD | |
| Telomeric accessory factors | DNA replication/repair, prevention of telomere loss during cell division | RTEL1/ RTEL1 | Impaired telomere replication and stability | BMF/MDS, PF, LD | AD |
| BMF | AR¶ | ||||
| DNA replication/repair | RPA1/ RPA1 | Impaired telomere maintenance | PF, [BMF]** | AD | |
| Other (proposed TBD associated)†† | Ribosomal RNA maturation | NPM1/ NPM1 | Impaired ribosomal RNA maturation (altering hTR stability) | BMF | AD |
| Inhibition of p53 activity | MDM4 /MDM4 | Hyperactivation of p53 | BMF/MDS, HNSCC | AD | |
| De novo nucleotide synthesis (thymidine nucleotide metabolism) | TYMS-ENOSF1/ TYMS | Impaired telomerase regulation | Classic DC | AR (digenic) |
TBD-related genes/proteins pathogenic changes (associated inheritance patterns) not listed since to date solely reported in childhood-onset disease: Shelterin complex: POT1/POT1 (AR), telomeric accessory factors: CTC1/CTC1 (AR), STN1/STN1 (AR), and DCLRE1B/Apollo (AR).
Phenotypes listed are not comprehensive but meant to highlight the primary clinical manifestations in adult-onset TBDs.
Pathogenic germline variants in all listed genes can occur de novo but are more common in TINF2 and DKC1.
Monoallelic, pathogenic germline POT1 variants resulting in longer telomeres have been associated with cancer predisposition to a range of malignant and benign tumors, particularly familial melanoma.
Skewed X chromosome inactivation may in some cases result in phenotypically affected females heterozygous for pathogenic variants in DKC1.
The first manifestations of AR TBDs are typically seen in childhood but may also occur in young adults.
TINF2 AD occurs frequently de novo and is primarily associated with severe disease in childhood. However, families with TBDs due to inheritance of heterozygous TINF2 pathogenic variants have been reported. BMF in young adults (<40 years) has been reported as well as rare adult TINF2 cases with PF as the primary clinical complication.
RPA1 was recently identified to belong to realm of TBD genes and was reported in 3 pediatric cases with BMF/MDS, immunodeficiency, and post-hematopoietic cell transplant PF, as well as 1 adult case with PF.33
NPMI, MDM4, and TYMS have all recently been proposed to be TBD associated, but data are limited. NPMI: Germline monoallelic variants were reported in 2 individuals with symptoms indicative of a TBD.53 MDM4: A germline missense variant was reported in a family with TBD features and showed in vitro decreased telomere length.54 TYMS: heterozygous germline variants in TYMS and ENOSF1 leading to TYMS deficiency were reported in children and young adults (<40 years) with classic mucocutaneous features of DC.50
hTR, human telomerase RNA.
CLINICAL CASES
The presented individuals participated in the National Cancer Institute IRB-approved Inherited Bone Marrow Failure Syndromes study (NCT00027274) or the Aachen TBD registry (EK206/09, Aachen, Germany). The patients or their legal guardians signed informed consent.
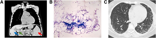
Case 1: A 16-year-old male presented with portal hypertension without alcohol use history or infectious causes. Banding of esophageal varices and a transjugular intrahepatic portosystemic shunt was performed for progressive portal hypertension (Figure 1A). At age 26 years, mild pancytopenia was noted without evidence of myelodysplastic syndrome (MDS) on bone marrow exam, and was interpreted in the context of liver disease. Hepatic diffuse large B-cell lymphoma was diagnosed at 35 years of age. Prolonged pancytopenia with several severe infections occurred during chemotherapy, leading to dose reductions and discontinuation after 4 cycles. The patient later became transfusion dependent for platelets at 36 years of age. He had no mucocutaneous manifestations consistent with DC. He also had a history of a malabsorption syndrome with growth retardation and severe periodontitis with loss of several teeth. There was no family history of TBD-related features. Bone marrow biopsy after chemotherapy showed persistent hypocellularity (Figure 1B), and liver biopsy revealed signs of cirrhosis.
Clinical manifestations of telomere biology disorders in two adults. (A) Computed tomography scan (coronal plane) of a 35-year-old male with cryptogenic hepatic disease (case 1). Transjugular intrahepatic portosystemic shunt was set in place at the age of 21 years. Blue arrow indicates heterogenous liver parenchyma, green arrow transjugular intrahepatic portosystemic shunt, and red arrow splenomegaly. (B) Image of the hypocellular bone marrow biopsy of a 35-year-old TBD patient with severe cytopenia (case 1). (C) Pulmonary high-resolution computed tomography scan (axial plane) of a 54-year-old female with a TBD due to a heterozygous TERC mutation (case 2). Pulmonary bases bilaterally show peripheral interstitial and ground-glass opacities with early honeycombing. Findings are consistent with usual interstitial pneumonia pattern of pulmonary fibrosis. For all images written permission from patients was obtained. Figure 1C was previously published in Giri et al. 2019.12
Clinical manifestations of telomere biology disorders in two adults. (A) Computed tomography scan (coronal plane) of a 35-year-old male with cryptogenic hepatic disease (case 1). Transjugular intrahepatic portosystemic shunt was set in place at the age of 21 years. Blue arrow indicates heterogenous liver parenchyma, green arrow transjugular intrahepatic portosystemic shunt, and red arrow splenomegaly. (B) Image of the hypocellular bone marrow biopsy of a 35-year-old TBD patient with severe cytopenia (case 1). (C) Pulmonary high-resolution computed tomography scan (axial plane) of a 54-year-old female with a TBD due to a heterozygous TERC mutation (case 2). Pulmonary bases bilaterally show peripheral interstitial and ground-glass opacities with early honeycombing. Findings are consistent with usual interstitial pneumonia pattern of pulmonary fibrosis. For all images written permission from patients was obtained. Figure 1C was previously published in Giri et al. 2019.12
Case 2: A 42-year-old woman presented with persistent cytopenias. Mild thrombocytopenia was first noted at age 18 years, followed by leukocytopenia and macrocytic anemia. Light ridging of fingernails and lacy skin pigmentation were found on physical exam. Additional features included early graying at age 14 and two skin squamous cell carcinomas in her thirties. Family history was notable for transfusion-dependent cytopenias and pulmonary fibrosis (PF) in the patient's mother and mild thrombocytopenia and dysplastic fingernails in the patient's child. The patient's bone marrow biopsy revealed hypocellularity without significant dysplasia.
When to suspect an adult-onset telomere biology disorder?
The phenotypic spectrum associated with aberrant telomere function is broad, and consensus diagnostic criteria for TBDs have not been established. However, there are clinical findings in adults that are suspicious for an underlying TBD (Figure 2).
When to consider telomere length measurements in adults. *Includes unexplained, persistent cytopenia, aplastic anemia. †Consider chromosome breakage testing to exclude Fanconi anemia. ‡Includes liver cirrhosis, fibrosis, hepatopulmonary syndrome, idiopathic portal hypertension. §Mucocutaneous triad consisting of leukoplakia, reticular skin pigmentation, and nail dysplasia. FH, family history; HPV, human papilloma virus.
When to consider telomere length measurements in adults. *Includes unexplained, persistent cytopenia, aplastic anemia. †Consider chromosome breakage testing to exclude Fanconi anemia. ‡Includes liver cirrhosis, fibrosis, hepatopulmonary syndrome, idiopathic portal hypertension. §Mucocutaneous triad consisting of leukoplakia, reticular skin pigmentation, and nail dysplasia. FH, family history; HPV, human papilloma virus.
Skin findings: The classic TBD feature is the mucocutaneous triad of nail dysplasia, reticulated skin pigmentation, and mucosal leukoplakia.5,7 However, triad features may not be present or may be subtle; the mucocutaneous triad often progresses with age.8 For adult patients another nonspecific, yet suspicious, clue is premature graying (<30 years).8
Pulmonary disease: Individuals with familial PF (FPF), or PF with findings suggestive of TBDs in their personal or family history, should be evaluated for TBDs.9 TBDs can manifest with different forms of ILD, with idiopathic PF being the most frequent. There also appears to be a predisposition to severe smoking-related emphysema.10 PF is the leading manifestation of adult-onset TBDs, and pathogenic variants in TBD-related genes are found in 30% to 35% of FPF and 10% of sporadic PF cases.10 PF in the context of TBDs is rapidly progressive and associated with high morbidity and mortality.7,11,12 PF patients present with mainly a restrictive pattern on spirometry, decreased diffusion capacity for carbon monoxide (DLCO), and commonly a pattern consistent with usual interstitial pneumonia on high-resolution computed tomography (HRCT).12 Important additional pulmonary manifestations include hepatopulmonary syndrome (HPS) and/or pulmonary arteriovenous malformations (PAVMs), both of which may co-occur with PF, and are associated with early-onset telomere disease, including young adults.13,14 PAVMs have been reported in the absence of overt HPS. However, it is not clear if PAVMs develop independently or if their diagnosis is connected with existing or developing HPS/liver disease and therefore are the component of one symptom complex.14
Hematopoietic manifestations: Screening for TBDs is recommended for individuals of all ages with BMF and for those younger than 50 years of age with MDS.3,15 A recent study of a reportedly acquired aplastic anemia cohort found that approximately 2% of individuals had an unrecognized TBD by germline genetic testing.16 Additionally, MDS is a frequent manifestation of TBDs with an increased risk of 145-fold to 500-fold compared with the general population.15,17
Liver disease: Cryptogenic liver fibrosis and/or cirrhosis, unexplained through lifestyle or infectious causes, or idiopathic portal hypertension can be a clue for a TBD. TBD-related hepatic involvement is variable and may first present as an asymptomatic liver enzyme elevation, nonspecific ultrasound abnormalities, and/or nodular regenerative hyperplasia on biopsy.18,19 TBD liver disease is progressive and should be considered part of the differential diagnosis for patients with nonalcoholic/noninfectious liver fibrosis/cirrhosis, idiopathic portal hypertension, and HPS.13,18-20
Cancer susceptibility: Cancer presenting at a younger than expected age, especially HNSCC, may indicate an underlying TBD. Patients with TBDs have a 4-fold increased risk for development of malignancies compared with the general population.15 Telomeres may play a role in cancer development due to chromosomal instability (short telomeres) or accumulation of somatic DNA changes (long telomeres).21,22 T-cell exhaustion was recently proposed as an additional contributor to solid tumor development in TBDs.23 Acute myeloid leukemia (AML) and HNSCC are the predominant cancer entities associated with TBDs, with each having an estimated 70-fold (observed/expected) increased risk in TBDs compared with the general population.15 Other frequent malignancies include anal and cutaneous squamous cell carcinomas.15,17 The median age at MDS/acute myeloid leukemia diagnosis is usually younger than the general population.17 HNSCCs also show an unusually early age at onset in TBDs (<40 years of age) and predominantly affect the tongue.15,17
Family history: Pedigree construction often yields important clues for an adult-onset TBD since each of above-mentioned organ manifestations may present in isolation or precede development of other features.7,20,24 Consideration should be given to the fact that the complex pathophysiological background of TBDs leads to both a variety of affected organs and variable time of disease onset, even within members of the same family. However, de novo occurrence of variants is possible, reported most frequently in TINF2 and DKC1.
Additional phenotypes: With more study, the clinical spectrum associated with telomere dysfunction is growing. Vascular disease, including PAVMs and gastrointestinal telangiectasias, were recently recognized as an important cause of morbidity in TBDs, with gastrointestinal hemorrhage being noted as an initial manifestation of TBDs in children or young adults even in the absence of overt portal hypertension.25 While abnormal immune status is predominantly associated with childhood-onset TBDs, T-cell immunodeficiency has been reported in adult TBDs even in the absence of BMF.26 Signs of impaired immune response may therefore be an additional clue for an underlying TBD.
CLINICAL CASES (continued)
The presentation with one feature of a TBD (liver disease), as highlighted in case 1, illustrates the complex diagnostic journey of such patients. It wasn't until his disease progressed and other evaluations were not diagnostic that a TBD was suspected (Table 2). Adult patients may initially not present to the hematologist but to other subspecialties, illustrating the importance of interdisciplinary clinical care. The patient in case 2 presented with BMF as a classic TBD feature, but her cutaneous phenotype was subtle. The early graying was an additional hint, yet the most important clue in her case was the family history (Table 2).
Summary of clinical features and diagnostic results leading to the diagnosis of TBD in 2 adult cases
| . | Clinical case 1 . | Clinical case 2 . |
|---|---|---|
| Clinical features | Cryptogenic liver disease Bone marrow failure | Pulmonary fibrosis Bone marrow failure |
| Mucocutaneous features | None | Nail dysplasia Lacy skin rash |
| Patient history | Severe periodontitis as a teenager with loss of several teeth Suspected malabsorption syndrome with growth retardation Prolonged pancytopenia with several severe infections during chemotherapy | Gray hair, 14 years SCC, 30 years SCC, 36 years |
| Family history | No disease reported | Mother: PF, cytopenia Child: nail dysplasia, thrombocytopenia, LTL <1st percentile for age |
| Telomere length by flow FISH (lymphocytes) | <1st percentile | <1st percentile |
| Genetics | Heterozygous, pathogenic variant in TERC | Heterozygous, pathogenic variant in TERC |
| . | Clinical case 1 . | Clinical case 2 . |
|---|---|---|
| Clinical features | Cryptogenic liver disease Bone marrow failure | Pulmonary fibrosis Bone marrow failure |
| Mucocutaneous features | None | Nail dysplasia Lacy skin rash |
| Patient history | Severe periodontitis as a teenager with loss of several teeth Suspected malabsorption syndrome with growth retardation Prolonged pancytopenia with several severe infections during chemotherapy | Gray hair, 14 years SCC, 30 years SCC, 36 years |
| Family history | No disease reported | Mother: PF, cytopenia Child: nail dysplasia, thrombocytopenia, LTL <1st percentile for age |
| Telomere length by flow FISH (lymphocytes) | <1st percentile | <1st percentile |
| Genetics | Heterozygous, pathogenic variant in TERC | Heterozygous, pathogenic variant in TERC |
SCC, skin squamous cell carcinoma.
What are the diagnostic tools to identify telomere disease?
Traditionally, classic DC was diagnosed by the presence of mucocutaneous triad or a combination of 1 triad feature plus BMF. The addition of telomere length testing as a diagnostic tool and germline genetic testing have greatly improved diagnostics and expanded the phenotypic spectrum of TBDs.3,5
Telomere testing: Lymphocyte telomere length (LTL) testing by fluorescent in situ hybridization and flow cytometry (flow FISH) measures mean telomere length and is a powerful tool in diagnosing individuals with TBDs.27-29 In the clinical setting it is currently considered the primary diagnostic test for TBDs yet is labor intensive and only established in specialized laboratories.3,28,29
The recently established high-throughput single telomere length analysis (HT-STELA), which determines the distribution of telomere length, has been implemented as a diagnostic tool for TBD in the United Kingdom and may identify asymptomatic individuals with TBD not readily detected with other methods.4,29 Other measurement approaches, including quantitative PCR or telomere shortest length assay (TeSLA), are useful in research but not validated in the clinical setting.29,30
Interpreting TL results in adults can be challenging and complicated by a few factors: First, due to normal age-associated telomere attrition, LTL must be interpreted as age adjusted.3,27,28 Telomeres shorten more slowly in middle age than in childhood, making the diagnostic window between normal for age and critically short telomeres sometimes challenging to interpret in adults.28 Second, some genotypes are associated with short but not very short telomeres. Childhood-onset TBDs typically exhibit TL below the 1st percentile for age whereas adult-onset disease may exhibit telomeres between the 1st and 10th percentile.24,28 Therefore in a clinically suspected adult TBD case, the detection of LTL <10th percentile for age should trigger genetic workup.3 Of note, variants in DCLRE1B/Apollo, which are to date solely reported in childhood-onset TBD, are not associated with a global TL reduction.31 Third, granulocyte TL is often routinely measured with LTL. While LTL less than the first percentile is sensitive and highly specific for TBDs, very short granulocyte TL lack specificity for TBDs and may also be observed in acquired aplastic anemia or clonal myeloid disorders.27,32
Genetic testing: Genetic testing of the patient and their family members is helpful for both clinical guidance and family counseling. In cases of LTL <10th percentile, detecting a pathogenic germline variant can confirm a TBD diagnosis.3 The TBD-associated genetic spectrum continues to expand, with pathogenic variants in at least 17 different genes associated with disease reported to date (Table 1). However, in approximately 20% of TBD cases, an underlying genetic cause cannot be identified, and newly discovered or rare TBD genes may not yet be included in clinical gene panels.2,5,7,29,33 While potentially uncovering unrecognized TBDs, the implementation of panel or exome sequencing in routine diagnostics has also led to increased detection of variants of unknown significance, which are difficult to interpret in the absence of an obvious TBD phenotype. Additionally, in rare cases relatives from yet unidentified TBD patients may inherit short telomeres and exhibit TBD symptoms despite their wild-type genotype, a phenomenon called phenocopy.2 These patients would be missed by exclusive genetic testing. LTL can sometimes be helpful in assessing the functional impact of the identified variant, but additional basic science studies are often required.
Genotype-phenotype correlations: Typically, AR TBDs become evident in childhood or young adulthood, whereas AD pathogenic variants, except for those in TINF2, are primarily associated with symptom onset in adults (Figure 3).7 In general, genes found in adulthood include predominantly heterozygous pathogenic variants in TERT, TERC, RTEL1, or PARN.3,24 In FPF cases AD TERT pathogenic changes are most frequent, followed by AD RTEL1 and AD PARN variants, while AD TERC changes are identified less often but present at a younger age.11,34 In adult BMF, autosomal dominant (AD) TERC and TERT changes are predominant.3,35 Of note, TINF2 and DKC1 TBDs commonly manifest in childhood, but DKC1-associated TBDs have been reported to present in late adulthood, and monoallelic TINF2 pathogenic germline variants have been observed in rare cases of adults with PF.7,36
Genetic etiology of telomere biology disorders: genes and associated inheritance patterns primarily to consider in adults. Depicted are typical age groups for clinical manifestations of each gene and associated inheritance pattern. Yellow shade indicates AD, green AR, and blue X-linked disease. Genes in bold are more frequently reported. For all genes, de novo occurrence is possible but most frequently reported for TINF2 and DKC1. *De novo TINF2 is associated with a severe phenotype and onset in childhood. †The combination of germline variants in TYMS and ENOSF1 appear to follow an AR inheritance but are the result of digenic inheritance.50 There are some pathogenic gene variations in combination with specific inheritance patterns that are to date solely reported in children and therefore not depicted. These include the following genes with the associated inheritance pattern in brackets: POT1 (AR), STN1 (AR), CTC1 (AR), DCLRE1B (AR).
Genetic etiology of telomere biology disorders: genes and associated inheritance patterns primarily to consider in adults. Depicted are typical age groups for clinical manifestations of each gene and associated inheritance pattern. Yellow shade indicates AD, green AR, and blue X-linked disease. Genes in bold are more frequently reported. For all genes, de novo occurrence is possible but most frequently reported for TINF2 and DKC1. *De novo TINF2 is associated with a severe phenotype and onset in childhood. †The combination of germline variants in TYMS and ENOSF1 appear to follow an AR inheritance but are the result of digenic inheritance.50 There are some pathogenic gene variations in combination with specific inheritance patterns that are to date solely reported in children and therefore not depicted. These include the following genes with the associated inheritance pattern in brackets: POT1 (AR), STN1 (AR), CTC1 (AR), DCLRE1B (AR).
CLINICAL CASES (continued)
In both clinical cases, very short LTL were detected (Figure 4) and monoallelic pathogenic TERC variants identified, fitting the common genotype spectrum in adult-onset TBDs.
Telomere lengths in cases 1 and 2. Depicted are lymphocyte telomere length by fluorescent in situ hybridization and flow cytometry (flow FISH) of 3 patients with TERC-associated TBD. The green circle shows lymphocyte telomere length of a 36-year-old male with liver disease and bone marrow failure (case 1). Yellow diamonds indicate 2 lymphocyte TL taken over time in a female patient with pulmonary fibrosis and bone marrow failure (case 2). Orange circles show lymphocyte TL of the child of patient 2 who presented with thrombocytopenia and dysplastic fingernails and was found to carry the same TERC variant as their mother.
Telomere lengths in cases 1 and 2. Depicted are lymphocyte telomere length by fluorescent in situ hybridization and flow cytometry (flow FISH) of 3 patients with TERC-associated TBD. The green circle shows lymphocyte telomere length of a 36-year-old male with liver disease and bone marrow failure (case 1). Yellow diamonds indicate 2 lymphocyte TL taken over time in a female patient with pulmonary fibrosis and bone marrow failure (case 2). Orange circles show lymphocyte TL of the child of patient 2 who presented with thrombocytopenia and dysplastic fingernails and was found to carry the same TERC variant as their mother.
How does a TBD diagnosis change clinical care?
Outcome analyses have found a better overall survival in AD compared with AR/XLR TBDs, possibly related to the older age at onset and fewer clinical features seen in non-TINF2 monoallelic TBDs.7 However, it is important to recognize that adult-onset TBDs are often accompanied by high morbidity and mortality due to progression of BMF, PF, liver disease, HNSCC, or other complications.5,7
Surveillance: Once a TBD diagnosis is established, regular surveillance is recommended (Table 3). This includes regular blood counts to monitor progression of cytopenias, and there should be a low threshold for a bone marrow aspirate and biopsy when blood counts change. Some providers recommend a bone marrow evaluation at diagnosis and annually. Abnormal pulmonary function tests are common in TBD patients and associated with development of significant pulmonary disease.12 Baseline pulmonary function tests are recommended at diagnosis and annually thereafter. Annual screening for oral cancer is recommended since it may detect HNSCC early, when still amenable to surgical resection. Additional specific screening recommendations are available in the TBD Diagnosis and Management Guidelines (https://teamtelomere.org).37 Family members should be offered genetic counseling and testing based on the patient's genetic status. Related individuals with pathogenic variants causative of TBDs should be offered a clinical and diagnostic evaluation, even in the absence of symptoms, to establish a baseline given the considerable variation in respect to time of disease onset. Genetic counseling is essential for either the patient or family members and should address the possibility of genetic anticipation.
Recommended surveillance in adults with telomere biology disorders
| General recommendations | |
| • Regular use of sunscreen, avoid excessive sun exposure • Avoid exposure to cigarette smoke • Patient should be taught how to perform a monthly self-examination for oral, head and neck cancer • Maintain good oral hygiene • Vitamin D and calcium as needed to optimize bone health | |
| Basic surveillance | |
| Hematology | Baseline • CBC with differential and reticulocyte count • BM aspiration and biopsy • Conventional and molecular cytogenetics • Consider NGS myeloid panel to assess for somatic variants/clones. Monitoring • CBC normal/no cytogenetic abnormality: CBC every 6-12 months. BM evaluation if cytopenia develops. • Mild cytopenias/no cytogenetic abnormality: CBC every 3-4 months. BM evaluation based on clinical development, consider regular intervals (eg, every 1-3 years). • Abnormal cytogenetics: clonal cytogenetic abnormalities require more frequent CBC/BM evaluation to evaluate potential leukemic or MDS progression; intervals depend on development of CBC counts. High-risk abnormalities such as chromosome 7 change need immediate referral to HCT center. • Progressive decline or rise in blood counts require CBC and BM evaluation based on clinical situation. • On androgen therapy: CBCs prior to therapy; repeat CBCs every 4-6 weeks to assess response, when counts are stable every 2-3 months |
| Dermatology | Baseline and monitoring • Perform regular skin self-examination for new or changing skin growth • Annual dermatologist evaluation* |
| ENT | Baseline and monitoring • Annual cancer screening by an otolaryngologist |
| Dentist | Baseline and monitoring • Dental hygiene and screening every 6 months |
| Pulmonology | Baseline • Pulmonary function test • Consider HRCT based on results and risk factors Monitoring • Annual pulmonary function test • HRCT as clinically indicated Bubble echocardiogram for pulmonary symptoms in the absence of pulmonary fibrosis |
| Gastroenterology/ hepatology | Baseline • Evaluate for risk factors for hepatic disease (alcohol, drug use) • Liver function tests • Liver ultrasound and/or fibroscan • Evaluate for clinical signs of esophageal stenosis Monitoring • Liver function tests annually • Consider imaging (fibroscan/ultrasound) every 2 years • On androgen therapy: Check liver function tests prior to starting and every 1-2 weeks for first month, then every 6-12 weeks. Check lipid profile prior to starting and every 6-12 months. Perform liver ultrasound examination prior to starting androgens and semiannually to evaluate for adenomas, carcinomas, or fibrosis |
| Gynecology/ obstetrics | Baseline and monitoring: • Annual gynecologic evaluation with HPV testing starting at 18 years of age or at start of sexual activity • HPV vaccination in females and males <27 years of age if not adequately vaccinated in childhood Pregnancy: referral to maternal-fetal medicine specialist for high-risk pregnancy |
| Orthopedics | Bone density scan at baseline† |
| Oncology | • Follow surveillance guidelines for breast cancer, cervical cancer, colon/rectal cancer, lung cancer, prostate cancer • In case of cancer diagnosis: increased sensitivity to therapeutic radiation and chemotherapy may require dose reductions |
| Additional surveillance based on clinical presentation per case | |
| Cardiology | Regular assessment for hypertension Baseline lipid level |
| Urology | Baseline assessment for genitourinary anomalies, including symptoms of urethral stenosis, penile leukoplakia |
| Immunology‡ | In case of suspected immunodeficiency such as increased sinus/lung infections: • Serum immunoglobulin levels (total and fractions) • Flow cytometry for peripheral blood leukocytes including lymphocyte subsets • Consider evaluating childhood vaccine antibody titers |
| Neurology‡ | MRI assessment for cerebellar hypoplasia in individuals with developmental delay or learning problems |
| Ophthalmology‡ | Annual examination to detect/correct vision problems, abnormally growing eyelashes, lacrimal duct stenosis, retinal changes, bleeding, cataracts, and glaucoma |
| General recommendations | |
| • Regular use of sunscreen, avoid excessive sun exposure • Avoid exposure to cigarette smoke • Patient should be taught how to perform a monthly self-examination for oral, head and neck cancer • Maintain good oral hygiene • Vitamin D and calcium as needed to optimize bone health | |
| Basic surveillance | |
| Hematology | Baseline • CBC with differential and reticulocyte count • BM aspiration and biopsy • Conventional and molecular cytogenetics • Consider NGS myeloid panel to assess for somatic variants/clones. Monitoring • CBC normal/no cytogenetic abnormality: CBC every 6-12 months. BM evaluation if cytopenia develops. • Mild cytopenias/no cytogenetic abnormality: CBC every 3-4 months. BM evaluation based on clinical development, consider regular intervals (eg, every 1-3 years). • Abnormal cytogenetics: clonal cytogenetic abnormalities require more frequent CBC/BM evaluation to evaluate potential leukemic or MDS progression; intervals depend on development of CBC counts. High-risk abnormalities such as chromosome 7 change need immediate referral to HCT center. • Progressive decline or rise in blood counts require CBC and BM evaluation based on clinical situation. • On androgen therapy: CBCs prior to therapy; repeat CBCs every 4-6 weeks to assess response, when counts are stable every 2-3 months |
| Dermatology | Baseline and monitoring • Perform regular skin self-examination for new or changing skin growth • Annual dermatologist evaluation* |
| ENT | Baseline and monitoring • Annual cancer screening by an otolaryngologist |
| Dentist | Baseline and monitoring • Dental hygiene and screening every 6 months |
| Pulmonology | Baseline • Pulmonary function test • Consider HRCT based on results and risk factors Monitoring • Annual pulmonary function test • HRCT as clinically indicated Bubble echocardiogram for pulmonary symptoms in the absence of pulmonary fibrosis |
| Gastroenterology/ hepatology | Baseline • Evaluate for risk factors for hepatic disease (alcohol, drug use) • Liver function tests • Liver ultrasound and/or fibroscan • Evaluate for clinical signs of esophageal stenosis Monitoring • Liver function tests annually • Consider imaging (fibroscan/ultrasound) every 2 years • On androgen therapy: Check liver function tests prior to starting and every 1-2 weeks for first month, then every 6-12 weeks. Check lipid profile prior to starting and every 6-12 months. Perform liver ultrasound examination prior to starting androgens and semiannually to evaluate for adenomas, carcinomas, or fibrosis |
| Gynecology/ obstetrics | Baseline and monitoring: • Annual gynecologic evaluation with HPV testing starting at 18 years of age or at start of sexual activity • HPV vaccination in females and males <27 years of age if not adequately vaccinated in childhood Pregnancy: referral to maternal-fetal medicine specialist for high-risk pregnancy |
| Orthopedics | Bone density scan at baseline† |
| Oncology | • Follow surveillance guidelines for breast cancer, cervical cancer, colon/rectal cancer, lung cancer, prostate cancer • In case of cancer diagnosis: increased sensitivity to therapeutic radiation and chemotherapy may require dose reductions |
| Additional surveillance based on clinical presentation per case | |
| Cardiology | Regular assessment for hypertension Baseline lipid level |
| Urology | Baseline assessment for genitourinary anomalies, including symptoms of urethral stenosis, penile leukoplakia |
| Immunology‡ | In case of suspected immunodeficiency such as increased sinus/lung infections: • Serum immunoglobulin levels (total and fractions) • Flow cytometry for peripheral blood leukocytes including lymphocyte subsets • Consider evaluating childhood vaccine antibody titers |
| Neurology‡ | MRI assessment for cerebellar hypoplasia in individuals with developmental delay or learning problems |
| Ophthalmology‡ | Annual examination to detect/correct vision problems, abnormally growing eyelashes, lacrimal duct stenosis, retinal changes, bleeding, cataracts, and glaucoma |
Surveillance recommendations are modified from Niewisch and Savage55 and based on expert opinion in Agarwal et al. (published on www.teamtelomere.org) and Walsh et al.56 These recommendations are tailored toward individuals above 18 years of age without previous HCT. Following HCT, surveillance intervals may need to be adjusted.
Cutaneous squamous cell carcinomas have frequently been described in young adults with TBDs.15 Regular dermatologic exams may therefore be advisable starting before the age of 30 years.
TBDs in younger patients have an increased risk of avascular osteonecrosis and unexplained fractures. Therefore, a baseline bone density scan is advisable even in young adults.
Immunodeficiency (commonly with lymphopenia) and developmental delay (often cerebellar hypoplasia) is predominantly observed in TBD cases with onset in early childhood, specifically Hoyeraal-Hreidarsson syndrome. Ophthalmologic manifestations are frequent in childhood-onset TBDs, including classic dyskeratosis congenita, Hoyeraal-Hreidarsson syndrome, Revesz syndrome, or Coats plus.
BM, bone marrow; CBC, complete blood count; HPV, human papilloma virus; NGS, next generation sequencing.
Therapy options: Research advances in telomere biology have led to a better understanding of the etiology of TBDs and their associated clinical manifestations. However, there are few therapeutic options. The only curative option for TBD-related lung, bone marrow, or hepatic disease is organ transplant. Each of these modalities can be complicated by the concomitant involvement of other organs and concerns for increased treatment- related toxicity.38-40 This warrants close interdisciplinary care both pre- and posttransplant and highlights the importance of multicenter prospective trials in this setting. Implementation of reduced-intensity hematopoietic cell transplant (HCT) regimens and advancement in HCT donor matching have significantly improved its outcome in patients with TBDs.40,41 After HCT, patients remain at high risk of PF, PAVM, liver disease, HNSCC, and/or gastrointestinal bleeding complications.12,25,40,41 Lung transplant in TBD patients with PF has successfully been performed, yet patients are prone to complications and show inferior outcome compared with non-TBD lung transplant recipients.10,38 A current collaborative effort by the Clinical Care Consortium of Telomere Associated Ailments (CCCTAA) is evaluating liver transplant outcomes in TBD patients. “Tandem” transplants of either lung/bone marrow or lung/liver have been considered as a possible therapeutic approach yet are restricted to a few specialized centers, and outcome data are sparse.42
If lung transplant is not an option, antifibrotic agents such as nintedanib and pirfenidone could be considered. There are very few data on their use in TBDs, but overall reports suggest they are likely safe in TBD-related PF and may slow lung function decline.43 Immunosuppressive therapy is not effective in TBD-related BMF. In lieu of HCT, androgen treatment can result in a hematologic response and transfusion independence for several years. Danazol is often used due to its somewhat more favorable side effect profile compared with nandrolone or oxymetholone. Their efficacy appears similar, but they have not been systematically studied in this setting.44 In some studies androgens have been proposed to lengthen telomeres, but the effect has been inconsistent and the long-term risks or benefits of lengthening telomeres in TBDs is not known.45-48 One study reported a potential positive effect of nandrolone on pulmonary function in TBD patients with ILD.47 Solid tumors should be treated according to entity-specific recommendations with careful following for increased chemotherapy-related complications, especially for cytopenias. Patients with TBDs also have higher rates of complications from therapeutic radiation, including severe tissue reactions and avascular osteonecrosis.7,49
CLINICAL CASES (continued)
For both cases, screening measures as outlined in Table 3 were initiated. The progressive BMF in case 1 required treatment, and the patient was started on low-dose danazol because of the severe hepatopathy. His blood counts improved such that he no longer requires transfusions, and his liver disease has not worsened.
The patient in case 2 was started on androgen treatment for BMF and remained hematologically stable for more than 10 years. The first restrictive changes on pulmonary function tests and DLCO reduction were noted at 52 years of age. PF was diagnosed 2 years later (Figure 1C) and was progressive, leading to oxygen dependency. Unfortunately, a suitable lung transplant donor could not be identified, and pirfenidone treatment did not lead to a significant improvement. She died due to respiratory failure at 59 years of age while awaiting a combined lung and bone marrow transplant. This clinical course sadly highlights 2 key problems of TBD patients: (1) the unavailability of suitable organs for transplants while experiencing rapid progression of disease and (2) the severe disease that can occur in several organs and limit therapeutic options.
Outlook
Discovery of new genotypes: A growing understanding of telomere biology and the growth of next-generation sequencing has led to numerous discoveries of pathogenic variants in patients with TBDs. Most recently, germline variants involving both TYMS and ENOSF1 were reported to result in classic DC features in children and young adults and introduced the possibility of digenic inheritance of TBDs.50 Consideration of variants in noncoding sequences, which may affect regulatory regions, or synonymous variants altering splicing may elucidate the genetic etiology in patients with TBDs and no currently known cause.
Emergence of new therapeutics: The development of therapeutic agents targeting disease-specific defects are required to expand treatment options and improve patient outcomes.5 Future targets may include pathways connected to telomere maintenance, telomerase-directed gene therapies, and/or CRISPR- Cas9 editing to elongate telomeres.2,5,10,51,52 Major challenges in developing TBD-related therapeutics include their broad clinical spectrum and the multiple and variable genetic etiologies. Given the role telomeres play in genome integrity and potentially in carcinogenesis, long-term follow-up will also be required.
Until new therapies are discovered, early diagnosis of TBDs and careful surveillance for disease progression, including cancer, are essential to improve the health and well-being of all affected with TBDs.
Acknowledgments
We thank all the patients and families with TBDs for their invaluable contributions to science and medicine. Thank you to Dr. Neelam Giri, National Cancer Institute (NCI), for providing clinical insight and feedback on the patient cases.
M.R.N. receives support from the Gerdes Foundation. The work of F.B. is in part supported by a grant of the “Stiftung Lichterzellen.” The work of S.A.S. is supported by the intramural research program of the Division of Cancer Epidemiology and Genetics, National Cancer Institute.
Conflict-of-interest disclosure
Marena R. Niewisch: no competing financial interests to declare.
Fabian Beier: no competing financial interests to declare.
Sharon A. Savage: no competing financial interests to declare.
Off-label drug use
Marena R. Niewisch: Androgen-use in the context of telomere biology disorder related bone marrow failure.
Fabian Beier: Androgen-use in the context of telomere biology disorder related bone marrow failure.
Sharon A. Savage: Androgen-use in the context of telomere biology disorder related bone marrow failure.




