Abstract
The 2016 multiparameter World Health Organization (WHO) classification for Philadelphia-negative myeloproliferative neoplasms (MPNs) integrates clinical features, morphology, and genetic data to diagnose polycythemia vera (PV), essential thrombocythemia (ET), and primary myelofibrosis (PMF). The main novelties are: (1) the reduction of the hemoglobin (Hb) level threshold to diagnose PV, now established at 16.5 g/dL for men and 16 g/dL for women (based on the identification of MPN patients with PV-consistent bone marrow [BM] features and a Hb level lower than that established in the 2008 WHO classification for PV); (2) the recognition of prefibrotic/early PMF, distinguishable from ET on the basis of BM morphology, an entity having a higher tendency to develop overt myelofibrosis or acute leukemia, and characterized by inferior survival; (3) the central role of BM morphology in the diagnosis of ET, prefibrotic/early PMF, PMF, and PV with borderline Hb values; megakaryocyte number and morphology (typical in ET, atypical in both PMF forms) accompanied by a new distinction of reticulin fibrosis grade in PMF (grade 1 in prefibrotic/early PMF and grade 2-3 in PMF) constitute diagnostic criteria; and (4) the inclusion of all mutually exclusive MPN driver mutations (JAK2, CALR, and MPL) as major diagnostic criteria in ET and PMF; 10% to 15% of these patients are triple negative, and in these cases the search for an additional clonal marker (eg, mutations in ASXL1, EZH2, TET2, IDH1/IDH2, SRSF2, and SF3B1) is warranted.
Learning Objectives
To become familiar with the 2016 WHO criteria to diagnose PV, ET, and PMF
To adopt a user manual helpful to distinguish the 3 diseases from reactive conditions and to discriminate among them
Introduction
Classical myeloproliferative neoplasms (MPNs) include essential thrombocythemia (ET), polycythemia vera (PV), and primary myelofibrosis (PMF).1 ET and PV may progress to post-ET and post-PV myelofibrosis (MF),2 or blast phase (BP).1,3 The pre-2016 classification of MPN and BP was based on the criteria proposed by the World Health Organization (WHO) in 2008,1 and in the same year the International Working Group for Myeloproliferative Neoplasms Research and Treatment established the diagnostic criteria for post-PV and post-ET MF.4
The multiparameter-based 2008 WHO classification of MPNs had 3 milestones: clinical parameters, bone marrow (BM) morphology, and genetic data. The expanded panorama of genetic lesions underlying MPNs and the insight derived from clinical studies on disease course led to the new 2016 WHO classification. The new evidence collected in the time elapsed between 2008 and 2016 includes: the discovery of CALR mutations in ET and PMF other than the JAK2 exon 14 and MPL mutations; the identification of additional clonal markers in PMF with an impact on survival; the distinction between ET and prefibrotic/early PMF (pre-PMF) lacking fibrosis; the role of hematocrit in the prediction of events during the follow-up of PV patients; the identification of patients with PV BM morphology but with a hemoglobin (Hb) level lower than 18.5 g/dL in men or 16.5 g/dL in women; and the uncertainty of defining minor criteria and the reliability of some of them (endogenous erythroid colonies).
The distinction of the MPN entities is mandatory because treatment strategies and survival differ; furthermore, a clear-cut definition of the diagnosis is the backbone of any interventional clinical trial. Treatment of PV and ET, relatively indolent disorders,5,6 is tailored on the vascular risk and is based on phlebotomy and aspirin in PV, aspirin in the vast majority of ET cases, cytoreduction with hydroxyurea, or interferon, or anagrelide when indicated,7,8 or ruxolitinib when inadequate response to hydroxyurea occurs.9,10 The treatment strategy of PMF11 is mainly based on survival stratification (International Prognostic Scoring System [IPSS]/dynamic IPSS models),12 and consists of therapies addressing anemia,13 ruxolitinib,14-16 and stem cell transplantation.17
Table 1 reports the 2016 WHO MPNs and Table 2 the 2016 WHO criteria to classify MPNs; the 2008 WHO version is widely available.1
List of diseases included in the 2016 WHO classification for MPNs
| 2016 WHO classification of MPNs . |
|---|
| CML, BCR-ABL1–positive |
| CNL |
| PV |
| PMF |
| PMF, prefibrotic/early stage |
| PMF, overt fibrotic stage |
| ET |
| Chronic eosinophilic leukemia, NOS |
| MPN, unclassifiable |
| 2016 WHO classification of MPNs . |
|---|
| CML, BCR-ABL1–positive |
| CNL |
| PV |
| PMF |
| PMF, prefibrotic/early stage |
| PMF, overt fibrotic stage |
| ET |
| Chronic eosinophilic leukemia, NOS |
| MPN, unclassifiable |
BCR-ABL1, breakpoint cluster region-Abelson 1; CNL, chronic neutrophilic leukemia; NOS, not otherwise specified.
2016 WHO classification for MPNs
| 2016 WHO diagnostic criteria for PV (Diagnosis of PV requires meeting either all 3 major criteria, or the first 2 major criteria and the minor criterion) | |
| Major criteria | |
| Criterion 1 (clinical) | |
| Hb, or | >16.5 g/dL in men, >16.0 g/dL in women |
| Hematocrit, or | >49% in men, >48% in women |
| Red cell mass | Increased 25% above mean normal predicted value |
| Criterion 2 (morphologic) | |
| BM morphology* | Hypercellularity for age with trilineage growth (panmyelosis), including prominent erythroid, granulocytic, and megakaryocytic proliferation with pleomorphic, mature MKs (differences in size) |
| Criterion 3 (genetic) | |
| JAK2V617F, or | Presence |
| JAK2 exon 12 mutation | Presence |
| Minor criterion | |
| Serum Epo level | Subnormal |
| 2016 WHO diagnostic criteria for ET | |
| (Diagnosis of ET requires meeting all 4 major criteria, or the first 3 major criteria and the minor criterion) | |
| Major criteria | |
| Criterion 1 (clinical) | |
| Platelet count | >450 × 109/L |
| Criterion 2 (morphologic) | |
| BM morphology | Proliferation mainly of the MK lineage with increased numbers of enlarged, mature MKs with hyperlobulated nuclei. No significant increase or left-shift in neutrophil granulopoiesis or erythropoiesis, and very rarely minor (grade 1) increase in reticulin fibers |
| Criterion 3 (clinical) | |
| WHO criteria for BCR-ABL1 + CML, PV, PMF, MDS, or other myeloid neoplasms | Not meeting |
| Criterion 4 (genetic) | |
| JAK2, CALR, or MPL mutation | Presence |
| Minor criterion | |
| Clonal marker, or | Presence |
| Reactive thrombocytosis | Absence |
| 2016 WHO diagnostic criteria for prefibrotic/early PMF | |
| (Diagnosis of pre-PMF requires meeting all 3 major criteria, and at least 1 minor criterion) | |
| Major criteria | |
| Criterion 1 (morphologic) | |
| BM morphology | Megakaryocytic proliferation and atypia, without reticulin fibrosis > grade 1, accompanied by increased age-adjusted BM cellularity, granulocytic proliferation, and often decreased erythropoiesis |
| Criterion 2 (clinical) | |
| WHO criteria for BCR-ABL1 + CML, PV, ET, MDS, or other myeloid neoplasms | Not meeting |
| Criterion 3 (genetic) | |
| JAK2, CALR or MPL mutation, or | Presence |
| Clonal marker,† or | Presence |
| Reactive BM reticulin fibrosis‡ | Absence |
| Minor criteria | |
| Anemia not attributed to a comorbid condition | Presence |
| Leukocyte count | ≥11 × 109/L |
| Spleen size | Palpable |
| Serum LDH | Increased to above upper normal limit of institutional reference range |
| 2016 WHO diagnostic criteria for PMF | |
| (Diagnosis of overt PMF requires meeting all 3 major criteria, and at least 1 minor criterion) | |
| Major criteria | |
| Criterion 1 (morphologic) | |
| BM morphology | Presence of megakaryocytic proliferation and atypia, accompanied by either reticulin and/or collagen fibrosis grades 2 or 3 |
| Criterion 2 (morphologic) | |
| WHO criteria for ET, PV, BCR-ABL1 + CML, MDS, or other myeloid neoplasms | Not meeting |
| Criterion 3 (genetic) | |
| JAK2, CALR, or MPL mutation, or | Presence |
| Clonal marker,† or | Presence |
| Reactive BM reticulin fibrosis‡ | Absence |
| Minor criteria | |
| Anemia not attributed to a comorbid condition | Presence |
| Leukocyte count | ≥11 × 109/L |
| Spleen size | Palpable |
| Serum LDH | Increased to above upper normal limit of institutional reference range |
| Leukoerythroblastosis | Presence |
| 2016 WHO diagnostic criteria for PV (Diagnosis of PV requires meeting either all 3 major criteria, or the first 2 major criteria and the minor criterion) | |
| Major criteria | |
| Criterion 1 (clinical) | |
| Hb, or | >16.5 g/dL in men, >16.0 g/dL in women |
| Hematocrit, or | >49% in men, >48% in women |
| Red cell mass | Increased 25% above mean normal predicted value |
| Criterion 2 (morphologic) | |
| BM morphology* | Hypercellularity for age with trilineage growth (panmyelosis), including prominent erythroid, granulocytic, and megakaryocytic proliferation with pleomorphic, mature MKs (differences in size) |
| Criterion 3 (genetic) | |
| JAK2V617F, or | Presence |
| JAK2 exon 12 mutation | Presence |
| Minor criterion | |
| Serum Epo level | Subnormal |
| 2016 WHO diagnostic criteria for ET | |
| (Diagnosis of ET requires meeting all 4 major criteria, or the first 3 major criteria and the minor criterion) | |
| Major criteria | |
| Criterion 1 (clinical) | |
| Platelet count | >450 × 109/L |
| Criterion 2 (morphologic) | |
| BM morphology | Proliferation mainly of the MK lineage with increased numbers of enlarged, mature MKs with hyperlobulated nuclei. No significant increase or left-shift in neutrophil granulopoiesis or erythropoiesis, and very rarely minor (grade 1) increase in reticulin fibers |
| Criterion 3 (clinical) | |
| WHO criteria for BCR-ABL1 + CML, PV, PMF, MDS, or other myeloid neoplasms | Not meeting |
| Criterion 4 (genetic) | |
| JAK2, CALR, or MPL mutation | Presence |
| Minor criterion | |
| Clonal marker, or | Presence |
| Reactive thrombocytosis | Absence |
| 2016 WHO diagnostic criteria for prefibrotic/early PMF | |
| (Diagnosis of pre-PMF requires meeting all 3 major criteria, and at least 1 minor criterion) | |
| Major criteria | |
| Criterion 1 (morphologic) | |
| BM morphology | Megakaryocytic proliferation and atypia, without reticulin fibrosis > grade 1, accompanied by increased age-adjusted BM cellularity, granulocytic proliferation, and often decreased erythropoiesis |
| Criterion 2 (clinical) | |
| WHO criteria for BCR-ABL1 + CML, PV, ET, MDS, or other myeloid neoplasms | Not meeting |
| Criterion 3 (genetic) | |
| JAK2, CALR or MPL mutation, or | Presence |
| Clonal marker,† or | Presence |
| Reactive BM reticulin fibrosis‡ | Absence |
| Minor criteria | |
| Anemia not attributed to a comorbid condition | Presence |
| Leukocyte count | ≥11 × 109/L |
| Spleen size | Palpable |
| Serum LDH | Increased to above upper normal limit of institutional reference range |
| 2016 WHO diagnostic criteria for PMF | |
| (Diagnosis of overt PMF requires meeting all 3 major criteria, and at least 1 minor criterion) | |
| Major criteria | |
| Criterion 1 (morphologic) | |
| BM morphology | Presence of megakaryocytic proliferation and atypia, accompanied by either reticulin and/or collagen fibrosis grades 2 or 3 |
| Criterion 2 (morphologic) | |
| WHO criteria for ET, PV, BCR-ABL1 + CML, MDS, or other myeloid neoplasms | Not meeting |
| Criterion 3 (genetic) | |
| JAK2, CALR, or MPL mutation, or | Presence |
| Clonal marker,† or | Presence |
| Reactive BM reticulin fibrosis‡ | Absence |
| Minor criteria | |
| Anemia not attributed to a comorbid condition | Presence |
| Leukocyte count | ≥11 × 109/L |
| Spleen size | Palpable |
| Serum LDH | Increased to above upper normal limit of institutional reference range |
| Leukoerythroblastosis | Presence |
LDH, lactate dehydrogenase; MDS, myelodysplastic syndrome; MK, megakaryocyte.
*Criterion number 2 (BM biopsy) may not be required in cases with sustained absolute erythrocytosis: Hb levels >18.5 g/dL in men (hematocrit 55.5%) or >16.5 g/dL in women (hematocrit 49.5%) if major criterion 3 and the minor criterion are present.
†In the absence of any of the 3 major clonal mutations, the search for the most frequent accompanying mutations (eg, ASXL1, EZH2, TET2, IDH1/IDH2, SRSF2, and SF3B1) are of help in determining the clonal nature of the disease.
‡Minor (grade 1) reticulin fibrosis secondary to infection, autoimmune disorder or other chronic inflammatory conditions, hairy cell leukemia or other lymphoid neoplasm, metastatic malignancy, or toxic (chronic) myelopathies.
Discriminating reactive conditions and clonal MPNs
In the WHO classifications (especially the 2016 version), BM morphology is critical but, in general, its analysis requires expert pathologists (eg, consensus among experts in the distinction between ET and pre-PMF ranges from 53% to 88%). Therefore, the achievement of an accurate MPN diagnosis also relies upon the careful exclusion of reactive conditions.
As proposed in Figure 1, the diagnostic work-up of a patient with isolated erythrocytosis or thrombocytosis is different from that of a patient presenting with more cytoses (higher likelihood of MPN). Although the 2016 WHO classification does not comment on this, we suggest to start with thoroughly excluding reactive conditions in the case of single lineage involvement, whereas one can reasonably begin directly with the molecular and BM analyses in the presence of multilineage involvement. In all patients with isolated erythrocytosis, we explore causes of secondary polycythemia such as smoking, pulmonary, or cardiac problems (by chest radiograph, lung function tests, and echocardiography), nocturnal dyspnea in overweight subjects (by polysomnography), or hepatic and renal tumors (by ultrasound scan). Assessing the serum Epo level is a positive discriminatory test, which is included in the 2016 WHO classification as minor criterion. Mostly, Epo is below the normal range in PV and above it in secondary polycythemia.2 However, this is not a dogma and some PV patients might have normal/high Epo levels. According to the 2016 WHO classification, a patient with Hb values over the cutoff level, harboring a JAK2 mutation and with consistent BM morphology, can be diagnosed with PV irrespective of Epo levels. It is also important to remember that, to obtain reliable results of Epo measurements, blood sampling must be performed before receiving phlebotomy. For the clinical practice, once causes of secondary polycythemia have been excluded, we suggest to test Epo and JAK2 early on in the diagnostic process (Figure 1), performing a BM biopsy subsequently, if necessary, to finalize the diagnosis.
Algorithm for evaluation of MPN phenotype with erythrocytosis. *Test JAK2 V617F first and exon 12 JAK2 mutations if V617F is negative. CML, chronic myeloid leukemia; Epo, erythropoietin; F, female; M, male; MK, megakaryocytes; PLT, platelet; WBC, white blood cell.
Algorithm for evaluation of MPN phenotype with erythrocytosis. *Test JAK2 V617F first and exon 12 JAK2 mutations if V617F is negative. CML, chronic myeloid leukemia; Epo, erythropoietin; F, female; M, male; MK, megakaryocytes; PLT, platelet; WBC, white blood cell.
In all patients with isolated thrombocytosis (Figure 2), we investigate causes of secondary thrombocythemia, such as infections, acute or chronic inflammatory diseases, smoking, iron deficiency and chronic bleeding, postsurgical states, malignancies, hemolysis, rebound after immunosuppressive chemotherapy, and use of drugs (corticosteroids, adrenaline, and thrombopoietin [TPO] mimetics).
Algorithm for evaluation of MPN phenotype without erythrocytosis. *Test JAK2 V617F first, CALR mutations if V617F is negative, and MPL mutations if JAK2 and CALR are negative. **Evaluate for MPN, MDS, MDS/MPN, or other myeloid malignancies.
Algorithm for evaluation of MPN phenotype without erythrocytosis. *Test JAK2 V617F first, CALR mutations if V617F is negative, and MPL mutations if JAK2 and CALR are negative. **Evaluate for MPN, MDS, MDS/MPN, or other myeloid malignancies.
In case of neutrophilia, inflammatory and infectious conditions must be ruled out. Among clonal disorders, CML and CNL must be considered among MPNs. The 2016 WHO diagnostic criteria for CNL include: (1) peripheral blood WBC ≥25 × 109/L with segmented neutrophils, plus band forms ≥80% of WBC and neutrophil precursors (promyelocytes, myelocytes, and metamyelocytes) <10% of WBC, rare myeloblasts, monocyte count <1 × 109/L, and absence of dysgranulopoiesis; (2) hypercellular BM (neutrophil granulocytes increased in percentage and number with normal neutrophil maturation and myeloblasts <5%); (3) not meeting the WHO criteria for BCR-ABL1–positive CML, PV, ET, or PMF; (4) absence of rearrangements of PDGFRA, PDGFRB, or FGFR1, or PCM1-JAK2; and (5) the presence of CSF3R T618I or other activating CSF3R mutation, or, in the absence of a CSFR3R mutation, persistent neutrophilia, splenomegaly, and no identifiable cause of reactive neutrophilia including absence of a plasma cell neoplasm or, if present, demonstration of clonality of myeloid cells by cytogenetic or molecular studies.
We also give special emphasis to familial disorders expressing with thrombocytosis or erythrocytosis. Congenital polycythemia is caused by deregulated red blood cell production resulting in polycythemia.18 Primary congenital familial erythrocytosis is recognized by the presence of low Epo levels and results from mutations in the Epo receptor gene. Secondary congenital polycythemia derives from conditions causing tissue hypoxia resulting in increased Epo levels. These include Hb variants with increased affinity for oxygen, decreased production of 2,3-bisphosphoglycerate or mutations in the genes involved in the hypoxia-sensing pathway. Hereditary thrombocythemia is due to defects in the TPO signaling pathway, mostly mutations that target THPO or the TPO receptor MPL, which result in aberrant stimulation of megakaryopoiesis and excessive platelet production, without any involvement of other lineages.
Disease-defining clinical pictures
PV is characterized by erythrocytosis with some degree of leukocytosis and thrombocytosis in ∼40% of patients. Notably, some conditions such as iron deficiency, renal impairment, or thalassemic syndromes may affect the Hb level masking a PV phenotype. Splenomegaly may occur in 30% of cases and is very rarely massive. The clinical picture of ET patients is dominated by isolated thrombocytosis, whereas enlargement of the spleen is seen in 20% of patients and is very rarely large.19,20 In PV and ET, it is very unusual to find circulating immature cells unless the disease is transforming to post-PV or post-ET MF or BP. PMF has the most heterogeneous clinical presentation, including anemia, leukocytosis or leukopenia, and thrombocytosis or thrombocytopenia. Splenomegaly, often considerable, is present in ∼80% to 90% of the patients at diagnosis and is the distinctive phenotypic feature of overt PMF. The peripheral blood picture is helpful in overt PMF because most patients have circulating erythroblasts and myeloblasts with teardrop-shaped erythrocytes. In addition, pre-PMF invariably presents with normal or high leukocyte counts, whereas in classical PMF, the leukocyte count can be extremely variable, ranging from leukopenia to leukocytosis. All MPNs may present with symptomatology, which has recently been very well described.21
Genetic data
Driver mutations in the JAK2, MPL, and CALR genes are present in all MPNs, both in sporadic22-24 and familial cases.25 These mutations are generally considered mutually exclusive, although concurrent clones have been reported in a very few patients. Patients with ET and PMF who do not carry any of these mutations (10% to 15%, overall) are defined triple negative (TN). Within these TN patients, new somatic JAK2 and MPL variants have been discovered.26
The JAK2 V617F mutation
In PV, JAK2 mutations, involving the JAK 2 gene located on chromosome 9p24 and resulting in JAK-STAT pathway activation, cover almost the whole mutational profile (the V617F mutation is present in 95% to 97% of patients20 and exon 12 mutations in most of the remaining),27 with only a very few cases having CBL or LNK mutations. JAK2 mutations represent the hallmark of PV, and erythroid cell culture analysis is no more a minor criterion for diagnosis.
We want to stress the point that virtually all PV cases are JAK2 mutated because this is very relevant when evaluating erythrocytosis in real life. On the basis of the 2016 WHO classification, to diagnose PV in the absence of JAK2 mutations, BM morphology should be consistent with PV and Epo levels should be low. But, as stated by pathologists on several occasions, BM morphologic evaluation requires experience, and clear cut criteria to distinguish PV from reactive conditions is lacking. Hence, we suggest a very careful evaluation of these situations and an adequate follow-up before concluding for a diagnosis of PV, especially in patients with borderline erythrocytosis (Hb values, 16.0-18.5 g/dL).
In ET and PMF, the JAK2 V617F mutation frequency is estimated at 50% to 60%. This mutation can occur rarely in other hematologic malignancies such as MDS, acute myeloid leukemia (AML), MDS/MPN, and in half of the cases of refractory anemia with ringed sideroblasts associated with marked thrombocytosis.1
On the basis of its sensitivity to detect MPNs, the assessment of JAK2 mutational status is mandatory in case of erythrocytosis or thrombocytosis without explanation and in the occurrence of PMF-like clinical features. The presence of the mutation is one of the main criteria for the diagnosis of MPNs in both the 2008 and the 2016 WHO classifications. Apart from its diagnostic role, the JAK2 V617F mutation also has prognostic implications in the prediction of thrombosis according to the International Prognostic Score in ET-thrombosis model,28 magnifying its role in MPNs.
A high JAK2 V617F burden correlates unequivocally with enhanced myelopoiesis of the BM, leukocytosis, increasing spleen size, and circulating CD34-positive cells,29 whereas it inversely correlates with platelet count.30 Although allele burden quantification is of interest, it is not indicated for MPN diagnosis or for discriminating among MPNs.
CALR mutations
CALR mutations are deletions or insertions (type-1, 52-bp deletion, and type-2, 5-bp insertion) in the last exon of the CALR gene (chromosome 19p13.2) encoding the C-terminal amino acids of the CALR protein. More than 50 different types of mutations have been described with an allele burden commonly of 40% to 50%, indicating a fully dominant hematopoiesis. The currently available evidence concerning the molecular pathogenesis of CALR-mutant MPNs has been recently summarized by Cazzola.31 Concerning clinical phenotype, mutations cluster with ET and PMF only (20% to 25%): type 2 mutations are predominantly associated with ET, whereas type 1 with PMF. CALR assessment enters the 2016 WHO classification specifically for ET and PMF, and must be performed in all patients without JAK2 mutations. Some prognostic implications have been described for CALR mutations, ie, a lower risk of thrombosis in ET,32 without however modifying the International Prognostic Score in ET-thrombosis prognostic model’s impact on thrombosis prediction, and a superior survival for type 1 CALR-mutated PMF patients.33
MPL mutations
MPL mutations represent the third driver mutation in terms of frequency in MPNs because they have been reported in 3% to 5% of ET and 6% to 10% of PMF.7 The mutations involve the oncogene MPL, located on chromosome 1p34. MPL mutations must be investigated in patients with ET or PMF without JAK2 and CALR mutations.
TN patients: how to proceed?
This question concerns ET and PMF patients not harboring any driver mutation (Figure 2). Genetic information included in the 2016 WHO classification has been enriched with respect to that of the 2008 WHO classification. In 2008, clonal markers in the case of JAK2 wild-type ET and PMF cases were MPL mutations and cytogenetic abnormalities (rare in ET and present in 40% of PMF cases). In the 2016 version, the clonal marker criterion is still present for TN-ET and TN-PMF patients. For TN-PMF, clonality may be demonstrated by the identification of a variety of possible accompanying mutations in the ASXL1, EZH2, TET2, IDH1/IDH2, SRSF2, and SF3B1 genes. These mutations also serve as prognostic markers for survival irrespective of IPSS/dynamic IPSS.34 Of note, somatic mutations that drive clonal expansion of blood cells, in particular those involving DNMT3A, TET2, or ASXL1, can be a common finding in the elderly without hematologic diseases. Age-related clonal hematopoiesis seems a common premalignant condition in myeloid malignancies, and appears to be associated with increased overall and cardiometabolic disease-related mortality.35
Questions we should ask ourselves when facing a TN MPN diagnosis include: (1) has this case of TN-ET a reactive thrombocytosis? In the absence of other clonal markers (and in the absence of clinical urgencies), we suggest to deeply investigate reactive conditions and follow the patient for several months before making a final diagnosis, bearing in mind that ET is an indolent disease but still a neoplastic one; and (2) has this patient with TN-PMF a MDS with BM fibrosis (MDS-F)? We suggest to carefully check BM aspirate smears and to send a DNA sample to referral centers for the identification of additional mutations. A recent analysis focused on differences between PMF and MDS with MDS-F.36 Patients with MDS-F had more profound cytopenia, lower circulating CD34+ cell count, less commonly a leukoerythroblastic peripheral blood smear, and splenomegaly. Erythroid and granulocytic dysplasia were found in 90% and 77% of MDS-F patients and in 34% and 6% of PMF patients, respectively.
BM morphology
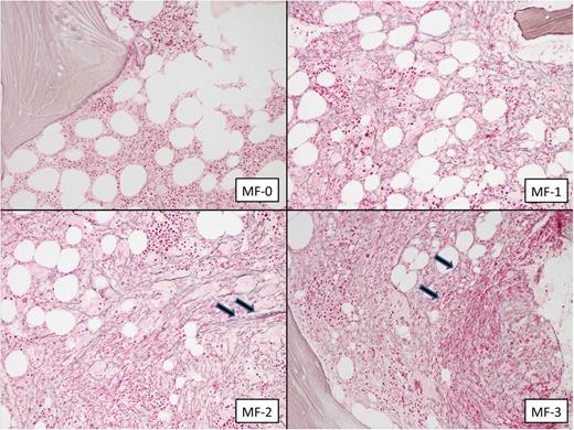
BM morphology has a critical role in the WHO classifications. The interpretation of morphology is however subjective, resulting in a variability of consensus among pathologists. Fibrosis grading has been reported in the 2016 WHO classification (Table 3; Figure 3). The main morphologic criteria for MPN definition are reported in Table 2 and Figures 1-2.
Semiquantitative grading of BM-F
| Grading . | |
|---|---|
| MF-0 | Scattered linear reticulin with no intersections (crossovers) corresponding to normal BM |
| MF-1 | Loose network of reticulin with many intersections, especially in perivascular areas |
| MF-2 | Diffuse and dense increase in reticulin with extensive intersections, occasionally with focal bundles of thick fibers mostly consistent with collagen, and/or focal osteosclerosis* |
| MF-3 | Diffuse and dense increase in reticulin with extensive intersections and coarse bundles of thick fibers consistent with collagen, usually associated with osteosclerosis* |
| Grading . | |
|---|---|
| MF-0 | Scattered linear reticulin with no intersections (crossovers) corresponding to normal BM |
| MF-1 | Loose network of reticulin with many intersections, especially in perivascular areas |
| MF-2 | Diffuse and dense increase in reticulin with extensive intersections, occasionally with focal bundles of thick fibers mostly consistent with collagen, and/or focal osteosclerosis* |
| MF-3 | Diffuse and dense increase in reticulin with extensive intersections and coarse bundles of thick fibers consistent with collagen, usually associated with osteosclerosis* |
Fiber density should be assessed only in hematopoietic areas.
*In grades MF-2 or MF-3, an additional trichrome stain is recommended.
Illustrations of BM reticulin fibers and osteosclerosis. MF-0: scattered linear reticulin fibers with no intersections (internal control is represented by the reticulin fiber around the vessel; MF-1: loose network of reticulin fibers with many intersections, especially in perivascular areas; MF-2: diffuse and dense increase in reticulin fibers, with extensive intersections and occasionally with focal bundles of collagen (arrows); and MF-3: diffuse and dense increase in reticulin fibers, with extensive intersections and coarse bundles of collagen (arrows).
Illustrations of BM reticulin fibers and osteosclerosis. MF-0: scattered linear reticulin fibers with no intersections (internal control is represented by the reticulin fiber around the vessel; MF-1: loose network of reticulin fibers with many intersections, especially in perivascular areas; MF-2: diffuse and dense increase in reticulin fibers, with extensive intersections and occasionally with focal bundles of collagen (arrows); and MF-3: diffuse and dense increase in reticulin fibers, with extensive intersections and coarse bundles of collagen (arrows).
For clinical decision-making, we believe that the most relevant consequences of the correct interpretation of BM morphology, always to be integrated with other parameters to finalize a WHO-based diagnosis, can be summarized in the following 3 points: (1) the distinction between ET and pre-PMF; (2) a reticulin-fiber-grade–based distinction between pre-PMF and PMF; and (3) the recognition of PV with lower Hb levels.
ET and pre-PMF are conditions that can be undistinguishable with regards to clinical presentation: both have thrombocytosis (even though the latter can also have mild leukocytosis, mild anemia, and moderate serum LDH increase) and have an equivalent mutational profile. In ET, the BM biopsy reveals no or only a slight increase in cellularity when compared with non-MPN age-matched controls, no or minor (grade 1) increase of reticulin fibers, no significant increase in granulo- and erythropoiesis, and prominent proliferation of enlarged, mature MKs. Of note, the 2016 WHO classification allows the presence of reticulin fibrosis grade 1, but this is a very rare presentation. Pre-PMF, where reticulin fibrosis is not >1, is characterized by an increase in age-adjusted cellularity, pronounced granulopoiesis, frequent reduction of erythroid precursors, and megakaryocytic proliferation with atypia. The recognition of pre-PMF is imperative because patients have a higher risk of evolution to MF or AML and an inferior survival with respect to ET patients.37 In the 2016 WHO classification, reticulin-fiber grading becomes central: grade 1 or less is needed for ET and pre-PMF diagnosis, and grade 2 or 3 for PMF diagnosis. Although the presence of grade 2 and 3 reticulin fibrosis seems to imply inferior survival in PMF, allocating BM reticulin fibrosis grade 1 to pre-PMF is arbitrary and not based on specific data. This potentially will generate a reallocation of roughly one-third of the current PMF cases to the pre-PMF category. In addition, this also calls for a new interpretation of past investigational trials (ie, what we have treated in the past) and suggests the need for different designs in future trials.
The BM morphology in PV is dominated by age-adjusted hypercellularity and panmyelosis, and its evaluation is especially critical for patients with borderline Hb levels and JAK2 negativity. Patients with PV-consistent BM morphology but with Hb levels below the threshold established for PV diagnosis in the 2008 WHO classification (eg, Hb levels between 16.0 and 18.4 g/dL for men and 15.0 and 16.4 g/dL for women) were recognized as possibly having a so-called “masked” or “prodromic” PV.38 The 2016 WHO classification recognizes the importance of lowering the Hb cutoff for PV diagnosis (see Table 2), because this allows the inclusion of patients with overlapping BM morphology and similar or even worse disease evolution. In fact, prodromic PV displays significantly higher rates of progression to MF and AML, and inferior survival with respect to classical PV patients,38 and in younger patients also a higher risk of thrombosis.39
Some PV patients (20%) may have grade 1 reticulin fibrosis in the BM at diagnosis. This does not per se imply a diagnosis of MF but notably is associated with a higher risk of secondary MF.
Cutoff of platelet count in ET and of Hb level in PV
Concerning platelet count, both the 2008 and 2016 WHO classifications consider 450 × 109/L as the threshold for diagnosis.
The cutoff for Hb level and the introduction of a hematocrit value to diagnose PV are the two most challenging blood count novelties in the 2016 WHO classification. In the 2008 WHO classification, the minimum Hb level for PV diagnosis was 18.5 g/dL in men and 16.5 g/dL in women without considering a predefined hematocrit level. On the other hand, the British Committee for Standards in Haematology classification includes the presence of a JAK2 mutation and a hematocrit value >52% in men and 48% in women, without the need of specific BM morphology for PV diagnosis. This sounds attractively simple. So, which Hb level should we consider? And which hematocrit level? It has been shown that an Hb level of 16.5 g/dL in men and 16 g/dL in women or a hematocrit level of 49% in men and 48% in women are the optimal cutoff levels for distinguishing JAK2-mutated ET from “masked“ PV.40
Concerning hematocrit, after the publication of the Cytoreductive Therapy in Polycythemia Vera study,41 doctors treat PV patients to maintain a hematocrit level under 45% with the aim of reducing vascular complications. Hence, it is reasonable to accept a hematocrit value also for diagnostic purposes.
By applying the new 2016 WHO Hb cutoff for PV, a certain amount of cases, classified as ET or MPN-unclassified in the past, will be classified as PV. Although expecting bona fide a heath advantage for these patients as a consequence of this modification, one can expect: (1) a higher number of JAK2 tests in patients with a borderline increase of Hb (eg, levels between 16.0 and 18.4 g/dL); (2) a higher number of patients receiving phlebotomies; (3) a higher number of patients with access to new therapies, such as JAK inhibitors, in case of inadequate response to hydroxyurea; and (4) eventually, economic consequences on the health care system.
Symptomatology in MPNs: a practical guide outside the WHO criteria
The WHO classifications do not take the symptoms of MPN patients into consideration because these are not useful to discriminate between the 3 conditions. For the purpose of this overview, the authors however think that being familiar with MPN patients’ symptomatology can help doctors to recognize MPNs, together with cell count alterations and spleen enlargement, in individuals presenting with an MPN phenotype.42
The spectrum of MPN-related symptoms is wide: constitutional symptoms (fever, night sweats, and weight loss), symptoms related to spleen enlargement (abdominal discomfort or pain and early satiety), symptoms related to microvascular disturbances (vertigo, lightheadedness, dizziness, insomnia, sexual dysfunction, numbness, tingling, headaches, and concentration problems), fatigue, cough, bone pain, inactivity, and pruritus.43
Today, doctors can check symptomatology of MF patients through the Myelofibrosis Symptom Assessment Form (MF-SAF) questionnaire, which was the first instrument developed. MF-SAF is a 20-item survey validated against other cancer patient-reported outcome tools, which proved effective in capturing the presence and intensity of MF-related symptoms.44 MF-SAF was then expanded to 27 items to have a broader instrument, which could be representative of the 3 MPNs. Each individual symptom was rated on a potential score of 0/absent to 10/worst imaginable. Further refinement of this instrument for frequent serial use was a 10-item total symptom score (the MPN-SAF-Total Symptom Score or MPN 10).45 These 10 core items include worst fatigue, early satiety, abdominal discomfort, concentration problems, inactivity, night sweats, itching, bone pain, fever, and weight loss.
Conclusion
The 2016 WHO classification updates criteria for MPN diagnosis by integrating clinical, morphologic, and genetic data. This diagnostic tool will enter clinical practice and clinical trial design to give patients homogeneous access to treatment strategies and to new investigative therapies. Using the WHO criteria will also help identify their limits. According to the 2016 WHO classification, all patients must be studied for the driver mutations and virtually all for BM morphology. Genetic and genomic approaches applied in the last years have proved instrumental in defining the molecular landscape of MPNs and future technologies will be of great usefulness. BM morphology evaluation needs to be implemented in terms of standardization and diffusion: education and networking will therefore be critical.
Acknowledgments
The authors thank Umberto Gianelli (Hematopathology Service, Pathology Unit, Department of Pathophysiology and Transplantation, University of Milan, IRCCS Ca’ Granda-Maggiore Policlinico Hospital Foundation, Milan, Italy) for providing BM figures and helpful interpretation.
F.P. was supported by grants from Associazione Italiana per la Ricerca sul Cancro (AIRC; Milan, Italy), Special Program Molecular Clinical Oncology 5x1000 to AIRC–Gruppo Italiano Malattie Mieloproliferative project #1005; from the Fondazione Matarelli (Milan, Italy); from the Fondazione Rusconi (Varese, Italy); and from the Associazione Italiana lotta alle Leucemie, Linfomi e Mieloma, Varese, Italy.
Correspondence
Francesco Passamonti, Department of Experimental and Clinical Medicine, University of Insubria, Via Guicciardini, Varese, Italy; e-mail: francesco.passamonti@uninsubria.it.
References
Competing Interests
Conflict-of-interest disclosure: The authors declare no competing financial interests.
Author notes
Off-label drug use: None disclosed.


