Key Points
Marrow failure MKs exhibit increased immune activation and impaired platelet function and homeostasis.
BMF MKs function as antigen-presenting cells, capable of T-cell activation.
Visual Abstract
Megakaryocytes (MKs) serve diverse roles beyond platelet production, including hematopoietic stem cell maintenance and immune response modulation. In our mouse model of immune bone marrow failure (BMF), we observed the unexpected persistence of MKs despite thrombocytopenia. These MKs exhibited heightened expression of immune activation markers, such as IA-IE and CD53, compared with MKs from healthy controls. Single-cell RNA sequencing analysis (scRNA-seq) revealed upregulation of immune response pathways and downregulation of pathways related to platelet function and homeostasis in MKs from animals with marrow failure (BMF). Electron microscopy demonstrated that these MKs had fewer cytoplasmic extensions, reduced α-granules, and a less developed demarcation membrane system. MKs from BMF animals had reduced ability to produce platelets compared with normal control MKs. Interestingly, when cocultured with BMF-derived T cells, MKs from healthy mice acquired immune characteristics. Functionally, MKs from BMF mice suppressed hematopoietic stem cell colony formation in coculture experiments. Mechanistically, these MKs appeared to act as antigen-presenting cells, capable of T-cell activation. Notably, similar immune activation of MKs was observed in patients with aplastic anemia through scRNA-seq. These findings highlight the immune functions of mature MKs in an alloimmune model of BMF, with potential implications for human aplastic anemia and related hematologic disorders.
Introduction
Immune aplastic anemia (AA) responds to immunosuppressive agents in the clinic, and its pathophysiology of hematopoietic stem cell (HSC) destruction is dominated by oligo-clonal expansion of cytotoxic T cells.1,2 Other cells of the immune system, such as macrophages, also exhibit abnormal activation or suppression in AA, alongside dysregulation in regulatory T and B cells.3-5 Single-cell analyses reveal a complex immune landscape in AA, and the precise mechanisms by which effective drugs and biologics promote hematopoiesis remain incompletely understood.1,6
Our laboratory developed murine models to investigate immune mechanisms underlying bone marrow failure (BMF) and to assess drug efficacy in preserving hematopoiesis.7 Infusion of allogeneic lymphocytes into sublethally irradiated or nonirradiated recipients mismatched at major or minor histocompatibility leads to marrow aplasia and fatal pancytopenia.7 Donor T cells infiltrate the marrow and eradicate hematopoietic precursors, progenitors, and stem cells. However, on examination of marrows by standard histology, we surprisingly observed paradoxical persistence of megakaryocytes (MKs) despite profound peripheral blood thrombocytopenia, leading to the current investigation.
Bone marrow (BM) MKs have a long-recognized role in hematopoiesis, the process by which all blood cells are formed. MKs are large, multinucleated cells primarily responsible for platelet production, in turn, crucial for blood clotting and wound healing. Within the BM microenvironment, MKs interact intimately with HSCs and specific elements of the stroma.8 Through complex signaling mechanisms, MKs regulate the proliferation, differentiation, and maturation of HSCs, influencing the production of other blood cell lineages, including erythrocytes, leukocytes, and granulocytes. HSC quiescence is supported by MK-derived CXCL4 and transforming growth factor β (TGF-β), which enhance HSC survival and function,9,10 whereas hematopoietic cells reciprocally influence MK development and function through feedback loops and paracrine signaling. Thus, the intricate interplay between BM MKs and hematopoiesis is vital for blood hemostasis and implicated in conditions such as immune thrombocytopenia11; myeloid neoplasia12; and, potentially, to immune BMF.
Beyond platelet production and modulation of HSC function, MKs also appear to actively participate in immune processes relevant to immune BMF pathophysiology. Evidence suggests that MKs exhibit innate immune functions, including recognition of microbial proteins via Toll-like receptors,13 cytokine and chemokine production,8 and adaptive immune cell activation via CD40L14 or major histocompatibility complex (MHC-1) presentation.15 Additionally, MKs directly interact with granulocytes via a process called emperipolesis, in which neutrophils transit intracellularly through MKs. Emperipolesis occurs at increased frequency in bacterial sepsis and is associated with platelet overproduction, although its precise function remains unclear.16
A recent discovery from single-cell RNA sequencing (scRNA-seq) identified an MK subpopulation with immune-modulatory potential and immature progenitor characteristics.17,18 Functionally, MKs can shift from platelet production to an immune phenotype under perturbations such as systemic bacterial sepsis,17,19 whereas primitive HSCs adopt a MK-biased profile.20 Evolutionarily, clotting and antimicrobial functions coexist in single cells in primitive organisms, suggesting an ancient link between these roles.21
In human BMF, MKs historically have been regarded as passive targets of injury and destruction. The presence of MKs and platelets is often discordant with other cell lineages. Immune thrombocytopenia is a frequent apparent precursor of AA,22 and platelets decline early in the disease or upon relapse. Although patients with severe AA frequently demonstrate aplasia, with low or absent MKs on BM biopsy, prior reports as well as our clinical experience confirm that cellularity in the BM can be highly variable.23 In these patients with variable cellularity, peripheral blood cytopenias are present despite adequate cellularity and MKs may exhibit abnormal morphology or impaired function despite relatively normal numbers. This implies that qualitative dysfunction of MKs rather than quantitative deficiency is responsible for thrombocytopenia. This qualitative dysfunction may be because of acquisition of immune functions at the cost of platelet production in MKs in AA.
We explored less canonical functions of MKs, stimulated by anomalous observations in our mouse model of immune AA, using multiple modalities, including a novel method of MK enrichment and scRNA-seq and we demonstrate that MKs are likely a component of the immune pathophysiology in BMF.
Methods
Animals and BMF induction
Inbred C57BL/6 (B6), transgenic C57BL/6-Tg(cytomegalovirus early enhancer/chicken beta-actin promoter-enhanced green fluorescent protein)131Osb/LeySopJ (green fluorescent protein-B6), B6.Cg-Tg (cytomegalovirus early enhancer/chicken beta-actin promoter-discosoma red∗mature stable tetramer)1Nagy/J (discosoma red-B6), C57BL/6-Tg(TcraTcrb)1100Mjb/J (ovalbumin-specific T-cell receptor-1) and B6.Cg-Tg(TcraTcrb)425Cbn/J (ovalbumin-specific T-cell receptor-2), and hybrid (BALB/cByxC57BL/6) F1 (CByB6F1) mice were purchased from the Jackson Laboratory (Bar Harbor, ME). Animal studies were approved by the animal care and use committee at the National Heart, Lung, and Blood Institute.
Inguinal, axillary, and lateral axillary lymph nodes (LNs) collected from B6, GFP-B6, or DsRed-B6 donor mice were homogenized using a minitissue grinder (Daigger and Company, Vernon Hills, IL) in RPMI-1640, filtered through 100 μm nylon (Small Parts, Miami Lake, FL) and counted by a Vi-cell counter (Beckman Coulter, Miami, FL). To induce BMF, donor LN cells were injected into MHC-mismatched CByB6F1 (B6→CByB6F1) recipients via lateral tail veins at a dose of 30 × 106 to 40 × 106 LN cells per recipient.
MK enrichment
To enrich for MKs for scRNA-seq, BM cells were flushed from sterna and tibias, pooled, and filtered through 100 μm mesh to remove debris. The cells were then passed through a 10-μm pluriStrainer (Leipzig, Germany; supplemental Figure 1A) once. Cells retained above the strainer were collected for downstream analysis. This method provides enrichment rather than complete purification of larger cells, retaining a substantial number of smaller cells (supplemental Figure 1B), which is beneficial for studying MKs and other important cell populations (eg, T and B cells, macrophages, etc) in scRNA-seq. The identity of enriched MKs was confirmed by imaging flow cytometry (supplemental Figure 1C). With 1 filtration, we were able to increase the frequency of MK by >10-fold without affecting their ploidy distribution (supplemental Figure 1D). For some coculture experiments, 2 filtrations and additional wash steps were performed to increase MK purity to 55% to 69% (supplemental Figure 1B,E).
Antigen-presentation function of MKs
OVA-1 (SIINFEKL, 257-264) and OVA-2 (ISQAVHAAHAEINEAGR, 323-339) peptides were purchased from GenScript (Piscataway, NJ). Normal MKs or BMF MKs were flow-sorted and pulsed with OVA-1 or OVA-2 peptides for 12 hours. After wash with phosphate-buffered saline, they were cocultured with LN cells collected from OT-1 or OT-2 mice for an additional 12 hours. Anti-IA-IE antibody (BioLegend) was used to test MHC-2 dependence of the OT-2 CD4+ T-cell response. CD25 expression and intracellular interferon gamma (IFN-γ) levels in CD8+ and CD4+ T cells were assessed using flow cytometry.
IFN-γ injection
IFN-γ was purchased from BioLegend. IFN-γ (10 μg per mouse intraperitoneally once daily for 2 days) was administered to normal CByB6F1 mice. On day 3, mice were euthanized, and BM cells were collected. IA-IE expression and ploidy of MKs were analyzed by flow cytometry.
scRNA-seq analysis for murine MKs
BM cells enriched with MKs were processed using the cell fixation and single-cell whole-transcriptome kits from Parse Biosciences (Seattle, WA) following the manufacturer’s instructions. MK-enriched cells from 20 BMF mice at day 14 and from 10 normal CByB6F1 mice were pooled as BMF and control groups, respectively. This scRNA-seq approach used combinatorial barcoding rather than the popular 10× Genomics platform. The scRNA-seq data were imported into “Parse Biosciences analysis pipeline” for subsequent analysis steps. The gene-cell matrix was then imported into Seurat for analysis. Nineteen clusters were visualized for all 19 003 cells in uniform manifold approximation and projection (UMAP) in Seurat4 (resolution 2). In each cluster, the mean expression of each gene was calculated across all cells to identify genes that were highly expressed in a specific cluster. Each gene from the cluster was compared with the median expression of the same gene from cells in all other clusters. Cell types were assigned to each cluster based on significance in overlap between signature genes and cluster-specific genes, as well as well-established surface markers. FindMarkers function in Seurat was used to identify differentially expressed genes between BMF mice and normal control mice. Gene set enrichment analysis (GSEA; http://software.broadinstitute.org/gsea) was performed to identify enriched gene sets of all genes with differential expression (based on average log-fold change).
Reanalysis of third party scRNA-seq data of MKs from patients with AA
Raw data from the original study24 were downloaded from https://figshare.com/s/b1d863820afa167fe040. Dimensionality reduction and clustering were performed by principal component analysis and visualized with UMAP. A Louvain algorithm was used for clustering with resolution of 0.8. Cell types were assigned to cell clusters based on significance in overlap between signature genes (Fisher exact test). GSEA was used to interpret GSE and pathways of defined differentially expressed genes.
Detailed information on flow cytometry, cell culture, multiphoton microscopy (MPM) imaging, and transmission electron microscopy is available in the supplemental Methods.
Statistics
Data were analyzed using GraphPad Prism statistical software with standard variance analyses followed by multiple comparisons. Results are shown as means with standard errors. Statistical significance was declared at P < .05.
Results
Murine immune BMF can be induced without TBI
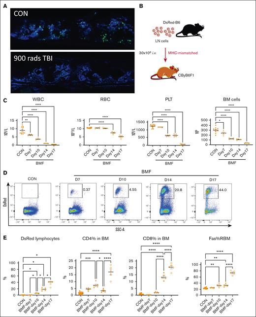
Immune BMF can be induced in mice without radiation.7 Although a sublethal dose of total body irradiation (TBI) can significantly reduce the number of donor LN cells needed to overcome host immune defense, TBI itself is destructive to MKs. Indeed, when we examined sterna of normal mice after TBI exposure, MKs were essentially diminished after irradiation (Figure 1A). To avoid TBI-related MK damage, we used the non-TBI method and induced BMF with DsRed-B6→CByB6F1 LN cell infusion using 30 × 106 to 40 × 106 LN cells per recipient (Figure 1B). From day 7 to day 17 after LN infusion, we observed markedly reduced red blood cells (RBCs), neutrophils, platelets, and total BM cells (Figure 1C). DsRed lymphocytes infiltrated into the BM over the course of BMF (Figure 1D), with increased proportions of CD4+ and CD8+ T cells and increased Fas expression on residual BM cells (Figure 1E). The non-TBI immune BMF model could be replicated using B6-GFP mice as LN cell donors (supplemental Figure 2).
BMF induced without TBI. (A) Comparison of MK number between control (CON) and TBI. Green staining denotes CD41 APC channel, blue nuclei staining with DAPI (4′,6-diamidino-2-phenylindole). (B) Male CByB6F1 mice were infused with 30 to 40 million LN cells from B6-DsRed donors without TBI. (C) The peripheral blood was analyzed for white blood cells (WBCs), RBCs, platelets (PLTs), and BM cell number (BM) over the course of BMF induced without TBI. (D) Proportion of DsRed lymphocytes at different time points shown as representative flow cytometry plots. (E) Individual observations of proportions of DsRed lymphocytes, CD4+, CD8+ T cells, and Fas expression on residual BM (RBM, excluding CD4 and CD8 T cells). CON (n = 11), day 7 (n = 5), day 10 (n = 5), day 14 (n = 5), and day 17 (n = 5). D, day; SSC-A, side scatter area.
BMF induced without TBI. (A) Comparison of MK number between control (CON) and TBI. Green staining denotes CD41 APC channel, blue nuclei staining with DAPI (4′,6-diamidino-2-phenylindole). (B) Male CByB6F1 mice were infused with 30 to 40 million LN cells from B6-DsRed donors without TBI. (C) The peripheral blood was analyzed for white blood cells (WBCs), RBCs, platelets (PLTs), and BM cell number (BM) over the course of BMF induced without TBI. (D) Proportion of DsRed lymphocytes at different time points shown as representative flow cytometry plots. (E) Individual observations of proportions of DsRed lymphocytes, CD4+, CD8+ T cells, and Fas expression on residual BM (RBM, excluding CD4 and CD8 T cells). CON (n = 11), day 7 (n = 5), day 10 (n = 5), day 14 (n = 5), and day 17 (n = 5). D, day; SSC-A, side scatter area.
MKs persist and increase expression of immune markers over course of BMF
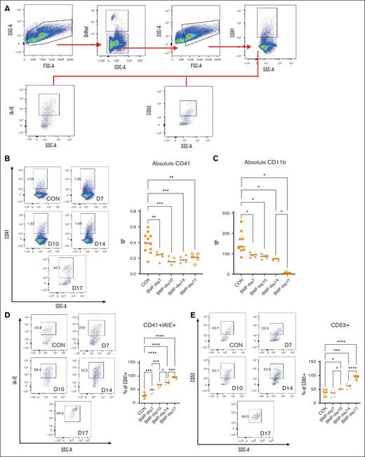
Because of their scarcity in the BM and their large size and fragility, MKs pose inherent challenges for comprehensive study. To overcome these difficulties, we evaluated the characteristics of MKs over the course of BMF by multiple techniques: flow cytometry, MPM imaging, electron microscopy imaging, and scRNA-seq. Initially, we used flow cytometry to assess cell surface expression of immune markers on MKs, using a gating strategy focused on large, CD41+ cells (Figure 2A).
CD41+ cells persist over the course of BMF with increased expression of IA-IE and CD53. (A) Representative flow cytometry plots of a gating strategy used to identify large cells with CD41+ expression. (B) Representative flow cytometry plots demonstrating CD41+, the large-cell population over the course of BMF, and individual results of absolute number of CD41+ large cells. (C) Changes of absolute numbers of CD11b during BMF. Representative flow cytometry plots showing IA-IE and CD53 in the CD41+ large-cell population over the course of BMF, and individual results of absolute number of IA-IE+CD41+ cells (D) and CD53+CD41+ cells (E). CON (n = 11), day 7 (n = 5), day 10 (n = 5), day 14 (n = 5), and day 17 (n = 5). (F) Frequencies and absolute numbers of the ploidy of MKs in normal mice and BMF mice. (G) Frequencies and absolute numbers of the ploidy of IA-IE+ MKs in normal mice and BMF mice. ∗P < .05; ∗∗P < .01; ∗∗∗P < .001; ∗∗∗∗P < .0001. CON, control; D, day; FSC-A, forwad scatter area; NC, normal control; SSC-A, side scatter area.
CD41+ cells persist over the course of BMF with increased expression of IA-IE and CD53. (A) Representative flow cytometry plots of a gating strategy used to identify large cells with CD41+ expression. (B) Representative flow cytometry plots demonstrating CD41+, the large-cell population over the course of BMF, and individual results of absolute number of CD41+ large cells. (C) Changes of absolute numbers of CD11b during BMF. Representative flow cytometry plots showing IA-IE and CD53 in the CD41+ large-cell population over the course of BMF, and individual results of absolute number of IA-IE+CD41+ cells (D) and CD53+CD41+ cells (E). CON (n = 11), day 7 (n = 5), day 10 (n = 5), day 14 (n = 5), and day 17 (n = 5). (F) Frequencies and absolute numbers of the ploidy of MKs in normal mice and BMF mice. (G) Frequencies and absolute numbers of the ploidy of IA-IE+ MKs in normal mice and BMF mice. ∗P < .05; ∗∗P < .01; ∗∗∗P < .001; ∗∗∗∗P < .0001. CON, control; D, day; FSC-A, forwad scatter area; NC, normal control; SSC-A, side scatter area.
The absolute number of CD41+ MKs declined during BMF but remained stable on day 17 (Figure 2B). In contrast, the absolute numbers of CD11b cells (Figure 2C) and total BM cell numbers (Figure 1C) continued to decrease and, were nearly 0 by day 17. Furthermore, the large CD41+ cell population exhibited progressively increased IA-IE expression during the course of BMF (Figure 2D), concurrently with upregulation of CD53 (Figure 2E). CD53 is present on a recently described novel population of immune MKs.17 We assessed the ploidy of the unenriched MKs on day 14. BMF mice had significantly lower frequency and absolute numbers of 16N MKs but higher frequency of 32N MKs than did normal control mice. (Figure 2F). Among IA-IE+ MKs, 16N and 32N cells were more abundant in numbers in BMF mice than in normal mice (Figure 2G).
MPM imaging provides direct evidence of MK persistence and T-cell infiltration of the BM
MPM imaging combined with image processing was used to evaluate and enumerate MKs as illustrated in Figure 3A. Persistence of MKs was confirmed by direct MPM imaging of the BM sterna stained with CD41-APC (Figure 3B). MK identity was confirmed in normal BM by presence of convoluted nuclei, large cell size, and diffuse cytoplasmic staining of CD41 and CD42d (Figure 3C). Evaluation of the CD41 channel alone demonstrated MK persistence up to day 17 after induction of BMF. By using Aivia software, and CytoMAP image processing software,25 we also objectively demonstrated a reduction but persistence of MKs over the course of BMF as measured by MK number as normalized to image volume (Figure 3D). Consistent with flow cytometry, MPM imaging showed gradual infiltration and expansion of DsRed lymphocytes into the BM cavity over the course of BMF (Figure 3E).
Persistency of MKs and infiltration of T cells in the BM over the course of BMF. (A) Image processing workflow for multi-photon images. (B) MPM imaging of mouse sterna with CD41 APC channel (teal), demonstrating persisting MK signal over the course of BMF. (C) Large CD41+ cells coexpress CD42d, split channel image of cells identified as MKs, left to right, CD41 channel, CD42d channel, DAPI channel, merged channel. (D) Individual value plots of MK per image volume over the course of BMF. (E) MPM imaging of DsRed lymphocytes infiltrating into the BM cavity over the course of BMF. D, day; DAPI, 4′,6-diamidino-2-phenylindole; PE, phycoerythrin.
Persistency of MKs and infiltration of T cells in the BM over the course of BMF. (A) Image processing workflow for multi-photon images. (B) MPM imaging of mouse sterna with CD41 APC channel (teal), demonstrating persisting MK signal over the course of BMF. (C) Large CD41+ cells coexpress CD42d, split channel image of cells identified as MKs, left to right, CD41 channel, CD42d channel, DAPI channel, merged channel. (D) Individual value plots of MK per image volume over the course of BMF. (E) MPM imaging of DsRed lymphocytes infiltrating into the BM cavity over the course of BMF. D, day; DAPI, 4′,6-diamidino-2-phenylindole; PE, phycoerythrin.
scRNA-seq demonstrates altered MK gene expression in BMF
scRNA-seq of enriched BM MKs was performed using the ParseBio platform: this scRNA-seq preparation does not have a cell size limitation and can be applied to large cells. After sequencing, quality control and cell clustering procedures were performed. We were able to identify different cell clusters on UMAP including MKs, macrophages, T cells, B cells, granulocytes, and RBCs, based on signature genes (Figure 4A). The MK cluster was confirmed by high expression of glycoprotein V (Gp5), integrin alpha 2-b (Itga2b, Cd41), platelet factor 4 (Pf4), and tubulin beta 1 (Tubb1; Figure 4B). Macrophages were identified by high expression of Ccr5, Fcgr4, Cd74, C1qa, C1qb, and C1qc. T cells were identified by high expression of Cd3e, Cd3g, Cd8a, Il2rb, Zap70, and Thy1. As shown in the UMAP (Figure 4A), BMF mice had massive expansion of T cells relative to controls, consistent with flow cytometry data (Figure 1E); in contrast, clusters of B cells, RBCs, and granulocytes were greatly diminished compared with controls. We also observed considerable expansion of macrophages, consistent with their suspected involvement in the development of BMF.4
MK scRNA-seq. (A) UMAP of scRNA-seq results with identification of different clusters including MKs, T cells, B cells, granulocytes, RBCs, and macrophages. Orange (day-14 BMF), blue (CON). (B) Confirmation of MK cluster by high expression of glycoprotein V (Gp-5), platelet factor 4 (Pf-4), integrin 2 β (Itga2β, Cd41), tubulin β class 1 (Tubb1). (C) GSEA of differentially upregulated gene pathways in day-14 BMF MKs compared with control MKs. (D) Upregulation of genes pertaining to immune activation and antigen presentation and reduction in genes pertaining to platelet function. Individual value plots of Stat1, H2-K1, Nlrc5, Vwf, Igf1r, and Akt3 gene expression of day-14 BMF (orange) and CON (blue). (E) MK subsets. MKs were extracted from whole BM scRNA-seq (panel A), and MK Clusters 0 to 5 were identified. These MKs were classified into 3 groups based on the gene pathways (F). (G) Distribution of BMF and control groups across MK clusters. CA2, calcium2+; CON, normal control; iMK, immune megakaryocyte; IL6, interleukin 6; NES, normalized enrichment score.
MK scRNA-seq. (A) UMAP of scRNA-seq results with identification of different clusters including MKs, T cells, B cells, granulocytes, RBCs, and macrophages. Orange (day-14 BMF), blue (CON). (B) Confirmation of MK cluster by high expression of glycoprotein V (Gp-5), platelet factor 4 (Pf-4), integrin 2 β (Itga2β, Cd41), tubulin β class 1 (Tubb1). (C) GSEA of differentially upregulated gene pathways in day-14 BMF MKs compared with control MKs. (D) Upregulation of genes pertaining to immune activation and antigen presentation and reduction in genes pertaining to platelet function. Individual value plots of Stat1, H2-K1, Nlrc5, Vwf, Igf1r, and Akt3 gene expression of day-14 BMF (orange) and CON (blue). (E) MK subsets. MKs were extracted from whole BM scRNA-seq (panel A), and MK Clusters 0 to 5 were identified. These MKs were classified into 3 groups based on the gene pathways (F). (G) Distribution of BMF and control groups across MK clusters. CA2, calcium2+; CON, normal control; iMK, immune megakaryocyte; IL6, interleukin 6; NES, normalized enrichment score.
Differentially expressed genes between MKs from control mice and MKs isolated from mice on day 14 of BMF were used for pathway analysis. Overall, GSEA analysis demonstrated upregulation of pathways pertaining to immune activation, such as IFN-γ response, tumor necrosis factor α signaling, IFN-α response, and downregulation of pathways related to platelet signaling, aggregation, and homeostasis (Figure 4C). As shown in a heatmap, upregulated genes related to immune response include Stat1, Stat2, Irf1, Irf9, and B2m, and downregulated genes related to platelet function were Gp1ba, F5, Gp6, Pf4, Vwf, etc (supplemental Figure 3). Individual genes relating to cytokine production (Stat1), antigen presentation (H2-K1), and transactivator for MHC class 1 (Nlrc5) were upregulated in MKs at day-14 BMF compared with controls, whereas genes pertaining to platelet function decreased, such as von Willebrand factor (Vwf). Vwf expression was present in day-14 BMF MKs (Figure 4D), confirming their MK identity despite gain of immune function. Furthermore, we also observed reduction of factors related to platelet production such as insulin-like growth factor-1 receptor (Igf1r) and Akt expression in BMF MKs compared with normal control MKs (Figure 4D). Next, we analyzed MK population subsets. Six clusters were classified into 3 groups based on gene pathways: Cluster 0 likely represents active cycling; Cluster 1 is associated with immune activation; Clusters 2 to 4 represent thrombopoietic cells; and the function of Cluster 5 unknown (Figure 4E-F). Most BMF MKs were found in immune activation Cluster 1, whereas most control MKs were in Clusters 2 to 4, associated with classic thrombopoiesis. BMF and control MKs overlapped in Cluster 0, which may represent a transition phase between thrombopoietic and immune MKs (Figure 4G).
BMF MKs show altered ultrastructure and reduced ability to produce platelets compared with normal MKs
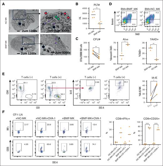
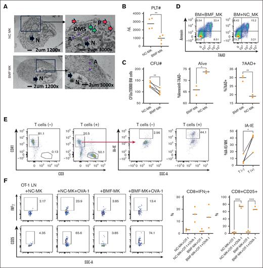
We examined the ultrastructure of MKs using electron microscopy. Compared with normal MKs, BMF MKs exhibited fewer cytoplasmic extensions (proplatelets), fewer α-granules, and reduced demarcation membrane system (the precursor of platelet plasma membrane; Figure 5A), consistent with their reduced potential for platelet production. Indeed, when the same number of MKs were cultured in vitro, BMF MKs produced significantly lower numbers of platelets than normal control MKs (Figure 5B).
Functions of BMF-derived MKs. (A) Representative electron microscopy images of enriched MKs from normal mice and BMF mice. N, nucleus (black arrows); DMS, demarcation membrane system (green arrows); proplatelets (P, red arrows); α-granules (A, purple arrows). Scale bars = 2 μm under 1200× magnification, and 2 μm under 3000× magnification, respectively (from pooled 15 BMF mice and 10 normal mice, respectively). (B) Comparison of platelet production between BMF MK and normal control MKs. MKs (3 × 104/mL) from pooled 10 BMF mice and 5 normal mice were seeded into 96-well plates, respectively, and cultured for 6 days as described previously,19 then counted manually. (C) BMF-derived MKs suppress colony forming capacity of normal BM cells. MKs were isolated from pooled samples of BMF mice (n = 30) and control CByB6F1 mice (n = 15). BM cells (2 × 104) from normal CByB6F1 mice were incubated with BMF-derived or normal control MKs (8000 cells) at 37°C for 1 hour, then were mixed in semisolid methylcellulose medium, and plated on 35-mm culture dishes. Cells were cultured at 37°C with 5% CO2. Colonies were counted on day 7. Data shown were from 2 separate experiments. CFU, colony forming unit. (D) BMF-derived MKs induce apoptosis and death of normal BM cells. MKs (2 × 104 cells) isolated from BMF mice (n = 3 pools) or control CByB6F1 mice (n = 2 pools) were incubated with BM cells (2 × 105 cells) from normal CByB6F1 mice at 37°C for overnight, 7AAD and annexin V positivity on BM cells was evaluated by flow cytometry. BMF-MK, normal BM cells cocultured with BMF-derived MKs; NC-MK, normal BM cells cocultured with normal mice-derived MKs. (E) BMF-derived T cells induce upregulation of IA-IE on normal MKs after coculture. Representative plot of IA-IE expression on MKs after coculture with T cells for overnight. Individual value plots of IA-IE on MKs after coculture with T cells. (F) OT-1 CD8+ T-cell response mediated by OVA-1 peptide-pulsed MKs. (G) OT-2 CD4+ T-cell response mediated by OVA-2 peptide-pulsed MKs. Ten thousand flow-sorted normal MKs (a fraction of pooled from 10 mice) or BMF MKs (a fraction of pooled from 15 mice) were pulsed with OVA-1 or OVA-2 peptides (200 μg) for 12 hours. After wash with phosphate-buffered saline, they were cocultured with 1 × 105 LN cells collected from OT-1 or OT-2 mice for an additional 12 hours. OT-1/2 LN cells + BMF MKs or normal control MKs without peptides served as negative controls. MK:LN ratio = 1 × 104:1 × 105. To test MHC-2–dependent OT-2 CD4+ T-cell response, anti-IA-IE antibody (250 μg/mL) was added to MKs before OVA-2 peptide pulsing. Representative flow cytometry plots and results are shown. CD8+ T cells and CD4+ T cells were gated in panels F and G, respectively. ∗P < .05; ∗∗P < .01; ∗∗∗P < .001. 7AAD, 7-aminoactinomycin; DMS, demarcation membrane system; NC, normal control; PLT, platelet; SSC-A, side scatter area.
Functions of BMF-derived MKs. (A) Representative electron microscopy images of enriched MKs from normal mice and BMF mice. N, nucleus (black arrows); DMS, demarcation membrane system (green arrows); proplatelets (P, red arrows); α-granules (A, purple arrows). Scale bars = 2 μm under 1200× magnification, and 2 μm under 3000× magnification, respectively (from pooled 15 BMF mice and 10 normal mice, respectively). (B) Comparison of platelet production between BMF MK and normal control MKs. MKs (3 × 104/mL) from pooled 10 BMF mice and 5 normal mice were seeded into 96-well plates, respectively, and cultured for 6 days as described previously,19 then counted manually. (C) BMF-derived MKs suppress colony forming capacity of normal BM cells. MKs were isolated from pooled samples of BMF mice (n = 30) and control CByB6F1 mice (n = 15). BM cells (2 × 104) from normal CByB6F1 mice were incubated with BMF-derived or normal control MKs (8000 cells) at 37°C for 1 hour, then were mixed in semisolid methylcellulose medium, and plated on 35-mm culture dishes. Cells were cultured at 37°C with 5% CO2. Colonies were counted on day 7. Data shown were from 2 separate experiments. CFU, colony forming unit. (D) BMF-derived MKs induce apoptosis and death of normal BM cells. MKs (2 × 104 cells) isolated from BMF mice (n = 3 pools) or control CByB6F1 mice (n = 2 pools) were incubated with BM cells (2 × 105 cells) from normal CByB6F1 mice at 37°C for overnight, 7AAD and annexin V positivity on BM cells was evaluated by flow cytometry. BMF-MK, normal BM cells cocultured with BMF-derived MKs; NC-MK, normal BM cells cocultured with normal mice-derived MKs. (E) BMF-derived T cells induce upregulation of IA-IE on normal MKs after coculture. Representative plot of IA-IE expression on MKs after coculture with T cells for overnight. Individual value plots of IA-IE on MKs after coculture with T cells. (F) OT-1 CD8+ T-cell response mediated by OVA-1 peptide-pulsed MKs. (G) OT-2 CD4+ T-cell response mediated by OVA-2 peptide-pulsed MKs. Ten thousand flow-sorted normal MKs (a fraction of pooled from 10 mice) or BMF MKs (a fraction of pooled from 15 mice) were pulsed with OVA-1 or OVA-2 peptides (200 μg) for 12 hours. After wash with phosphate-buffered saline, they were cocultured with 1 × 105 LN cells collected from OT-1 or OT-2 mice for an additional 12 hours. OT-1/2 LN cells + BMF MKs or normal control MKs without peptides served as negative controls. MK:LN ratio = 1 × 104:1 × 105. To test MHC-2–dependent OT-2 CD4+ T-cell response, anti-IA-IE antibody (250 μg/mL) was added to MKs before OVA-2 peptide pulsing. Representative flow cytometry plots and results are shown. CD8+ T cells and CD4+ T cells were gated in panels F and G, respectively. ∗P < .05; ∗∗P < .01; ∗∗∗P < .001. 7AAD, 7-aminoactinomycin; DMS, demarcation membrane system; NC, normal control; PLT, platelet; SSC-A, side scatter area.
BMF MKs inhibit HSC function in vitro and T cells induce immune characteristics in normal MKs
To assess the functional significance of the gain of immune characteristics in BMF MKs, we undertook coculture experiments with BM cells and MKs. After enrichment, MKs from control CByB6F1 mice or from mice at day 14 of BMF were cocultured with normal BM cells from control CByB6F1 mice in a hematopoietic progenitor assay. There was a significant reduction of colony-forming unit number for HSCs coincubated with MKs from BMF mice compared with MKs from control mice (Figure 5C), despite relatively low effector-to-target ratios because of the constraint of MK cell numbers. Consistent with a reduction in progenitors inferred from colony formation, there was a significantly higher proportion of dying and dead cells and a lower proportion of live cells as measured by expression of annexin V and 7-aminoactinomycin in BMF MK–cocultured BM cells (Figure 5D) compared with BM cells cocultured with control MKs. When we cocultured normal MKs with T cells harvested from BMF mice, MKs acquired IA-IE expression, suggesting that activated T cells induce immune characteristics in MKs (Figure 5E).
MKs act as antigen-presenting cells
To determine whether MKs can function as antigen-presenting cells because of their immune characteristics, we cocultured flow-sorted higher-purity MKs with OT-1 (OVA-1-reactive CD8+ T cells) LN cells or OT-2 (OVA-2-reactive CD4+ T cells) LN cells, pulsed with or without OVA-1 or OVA-2 peptides, respectively. MKs from either normal mice or BMF mice were able to present the OVA-1 antigen to OT-1 CD8+ T cells similarly (Figure 5F). However, OVA-2 antigen presentation to OT-2 CD4+ T cells appeared to be more specific to BMF MKs than to normal MKs, as demonstrated by higher intracellular IFN-γ levels despite similar high CD25 expression in MK-cocultured CD4+ T cells (Figure 5G). Furthermore, increases of CD25 and IFN-γ in OT-2 CD4+ T cells were IA-IE (MHC-2) dependent (Figure 5G). These findings are consistent with the increased IA-IE expression observed in BMF MKs.
IFN-γ induces activation of MKs from normal mice
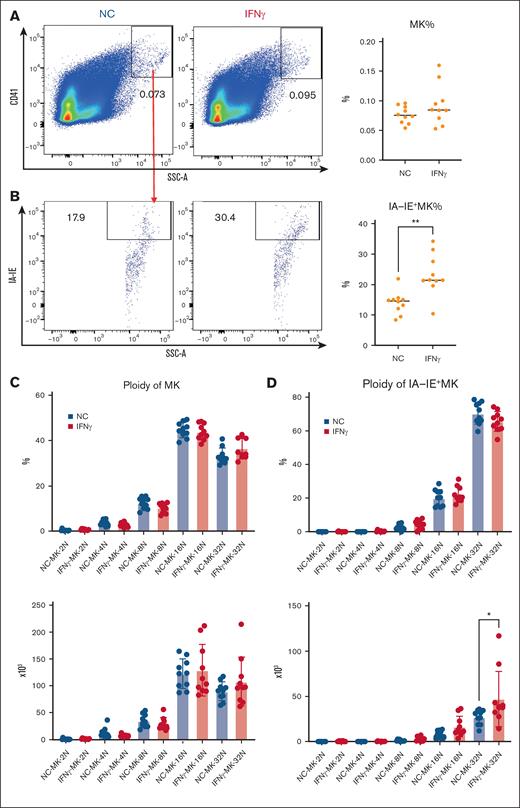
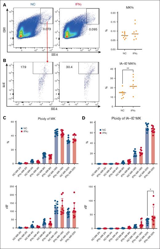
IFN-γ is the most critical cytokine in BMF. We injected IFN-γ into normal mice to test whether MKs would exhibit the same immune phenotype changes observed in BMF model. IFN-γ did not alter the overall frequency of MK in the BM (Figure 6A), but it significantly increased IA-IE expression on MKs (Figure 6B), mimicking the phenotype changes of MKs in BMF. IFN-γ did not change the ploidy distribution and numbers of MKs (Figure 6C) but significantly increased the numbers of 32N MKs in the IA-IE+ population (Figure 6D).
IFN-γ induces immune characteristics in MKs. (A) The frequencies of MKs in the total BM after IFN-γ injection. (B) The frequencies of IA-IE+ MKs after IFN-γ injection. (C) Frequencies and absolute numbers of the ploidy of MKs in normal mice and IFN-γ–injected mice. (D) Frequencies and absolute numbers of the ploidy of IA-IE+ MKs in normal mice and IFN-γ–injected mice. Representative flow cytometry plots and results are shown, n = 10 mice for each group. NC, normal MKs; IFN-γ, MKs from IFN-γ–injected mice. ∗∗P < .01. SSC-A, side scatter area.
IFN-γ induces immune characteristics in MKs. (A) The frequencies of MKs in the total BM after IFN-γ injection. (B) The frequencies of IA-IE+ MKs after IFN-γ injection. (C) Frequencies and absolute numbers of the ploidy of MKs in normal mice and IFN-γ–injected mice. (D) Frequencies and absolute numbers of the ploidy of IA-IE+ MKs in normal mice and IFN-γ–injected mice. Representative flow cytometry plots and results are shown, n = 10 mice for each group. NC, normal MKs; IFN-γ, MKs from IFN-γ–injected mice. ∗∗P < .01. SSC-A, side scatter area.
scRNA-seq reveals immune activation status of BM MKs in patients with AA
To examine whether the transcriptional changes in murine BMF MKs could also be observed in patients with AA, we took advantage of a published scRNA-seq data set of BM cells from 9 patients with AA and 4 healthy controls (https://figshare.com/s/b1d863820afa167fe040).24 BM cells were assigned to major cell types including CD4+ T cells, CD8+ T cells, B/plasma cells, natural killer cells, myeloid cells, monocytes, erythroblasts, and MKs, based on signature genes (Figure 7A). GSEA analysis of differentially expressed genes in MKs from patients with AA and healthy controls demonstrate that interleukin-2 STAT5 signaling, interleukin-6 JAK/STAT3 signaling, allograft rejection, tumor necrosis factor α signaling via NF-κB were significantly upregulated (Figure 7B), reflecting an immune activation status in AA MKs, similar to what we observed in the murine BMF model.
Immune activation pathways are upregulated in the MKs from patients with AA demonstrated by scRNA-seq. (A) A UMAP plot of single BM cell gene expression of patients with AA (n = 9) and healthy controls (n = 4). Cells are colored by types (erythroblast, MK, myeloid, NK, CD8+ T cell, CD4+ T cell, and B/plasma cells). Expression of cell-type signature genes are highlighted in UMAP plots. (B) GSEA of expressed genes in MKs from patients with AA compared with those in healthy donors. Normalized enrichment scores (NES) for the GSEA pathways are plotted, showing higher enrichment of the inflammatory pathways in MKs from patients with AA. IL2/6, interleukin-2/6.
Immune activation pathways are upregulated in the MKs from patients with AA demonstrated by scRNA-seq. (A) A UMAP plot of single BM cell gene expression of patients with AA (n = 9) and healthy controls (n = 4). Cells are colored by types (erythroblast, MK, myeloid, NK, CD8+ T cell, CD4+ T cell, and B/plasma cells). Expression of cell-type signature genes are highlighted in UMAP plots. (B) GSEA of expressed genes in MKs from patients with AA compared with those in healthy donors. Normalized enrichment scores (NES) for the GSEA pathways are plotted, showing higher enrichment of the inflammatory pathways in MKs from patients with AA. IL2/6, interleukin-2/6.
Discussion
MKs play a crucial role in the marrow microenvironment through their diverse functions, including platelet production, HSC maintenance, and immune modulation. Our study provides, to our knowledge, the first comprehensive evaluation of MKs’ potential role in immune BMF: during development of murine AA, MKs acquire immune characteristics, present antigen via MHC-2, suppress HSC function, with much reduced ability to produce platelets. These findings support MKs as active participants, with innate immune–like properties in immune-mediated BMF. Additionally, we provide preliminary evidence suggesting that these MK characteristics are recapitulated in human BMF. These results were enabled by our approach of inducing BMF without TBI and using a novel method of MK enrichment, offering a workflow for replication and more in-depth exploration of this rare cell population.
Although MKs are known to possess immune functions, demonstrating that their presence and functionality in the context of allogeneic immune BMF is novel. MKs express pattern recognition receptors, interact with microorganisms, produce cytokines, present antigen via MHC-1, and produce antiviral proteins, with these capabilities primarily observed in vitro or in infectious diseases.15,26,27 In autoimmune conditions, such as rheumatoid arthritis, systemic lupus erythematosus, and Sjögren syndrome, immune-type MKs expand in the peripheral blood, but their specific role in these diseases and other autoimmune diseases has been unclear.28 CD53+ immune MKs expand after lipopolysaccharide challenge in mice.17 These MKs behave like antigen presenting cells with phagocytic properties.17,29 We observed similar results in our study, but CD53+ MKs were high ploidy rather than diploidy. Immune MKs have been reported to be low ploidy cells (2N) in steady state17 and in lung MKs.19 Based on our results, 2N ploidy cells were a small fraction of total MKs in unenriched BM. We sought but did not observe expansion of 2N MKs during BMF. Diploid MKs are likely not the principal immune cells in the setting of murine BMF because there was a massive upregulation of IA-IE (MHC-2) and CD53 in nearly all MKs at late stage BMF, and most of these cells were high ploidy. The contrast in results of correlation between ploidy and immune function is likely the result of context, such as between steady state and acute disease and the BM vs lung.
In immune-mediated diseases, MKs’ ability to present antigens to T cells may be crucial. MKs are known to present antigens via MHC-1 to CD8 T cells and there is increasing evidence that MKs can function as professional antigen-presenting cells via MHC-2–CD4 T-cell interactions. Recent work demonstrates that MHC-2 is expressed on mature MKs and that lung MKs can present bacterial antigen via MHC-2 to CD4+ T-cells.19,30 Our data suggest that MKs actively contribute to disease and are not passive bystanders in marrow destruction, propagating immune responses by acting as professional antigen presenting cells in immune BMF. It is interesting that the GSEA pathways of BMF MKs are identical to those described in post–chimeric antigen receptor T-cell cytopenia31 and from engrafted marrow in the allogeneic setting32 and thus reflect the impact of massive T-cell activation on other cell populations.
Beyond immune response mediation, the loss of platelet production activity and HSC maintenance functions of MKs likely also contribute to immune BMF. MKs regulate HSC growth, quiescence, and maturation. Suppression of HSC growth may be related to direct cytokine production or loss of HSC trophic signals from MKs. For instance, insulin-like growth factor-1 supports CD34+ cell differentiation toward MKs and facilitates proplatelet formation and platelet production through AKT activation.33 We observed significant reduction of Igf1r and Akt expression in BMF MKs, which may contribute to HSC suppression. scRNA-seq analysis of MKs showed that MK from BMF mice had high level expression of inflammatory genes compared with normal MKs: the inflammatory environment created by immune MK in BMF could suppress HSC function. Furthermore, BMF MKs may act as antigen-presenting cells, activating T cells and thereby contributing to HSC damage in vivo. The multifunctional roles of MKs, and apparent parallels in human MKs, warrant further investigation of MKs’ role in immune BMF in a human context.
Radiation impairs the survival of MKs and MK progenitors as well as alters the MK differentiation pathway.34 From a technical standpoint, our study used a high LN cell dose/no irradiation approach to introduce BMF. This approach avoids TBI-associated deteriorating effects on MKs and other cells in the BM microenvironment, facilitating investigation of the precise roles of these radiation-sensitive cells in the development of immune BMF.
Our study has limitations. MKs have been historically difficult to study because of their scarcity and fragility, impeding MK isolation and purification, with frequent contamination from leukocyte cell populations. Despite these challenges, our scRNA-seq data confirmed our ability to enrich MKs, based on the relative expression of MK defining gene transcripts such as Vwf, which persist despite acquisition of immune functionality. Furthermore, our comprehensive approach using multiple modalities, reinforces the validity of our findings regarding the persistence and acquisition of immune capabilities of MKs in the development of immune BMF.
Clinically, our findings have implications for AA. A proportion of patients with AA initially presents with isolated thrombocytopenia, often diagnosed or misdiagnosed as immune thrombocytopenic purpura.22 During relapse, platelet counts are typically the first to decline and are most affected.35 In addition to interactions among MKs, HSC, and auto-reactive T cells, the immune characteristics of MKs in AA may also be influenced by epigenetic reprogramming or extracellular factors, such as the cytokine milieu. Theoretically, targeting MK immune activity could offer potential therapeutic implications for AA but with the obvious risk of worsening thrombocytopenia. Our work provides a platform for further investigation of the role in MKs in human blood disease.
Acknowledgments
The authors thank Pradeep Dagur at the Flow Cytometry Core of the National Heart, Lung, and Blood Institute for assistance with the flow cytometry sorting, imaging, and analyses performed in this work.
Funding for this study was provided by the Intramural Research Program of the National Heart, Lung, and Blood Institute. A.P. has been funded by Maddie Riewoldt’s Vision and the Victorian State Government acting through the Victorian Cancer Agency, Melbourne, Australia.
Authorship
Contribution: A.P. and X.F. designed the research, analyzed data, and wrote the paper; L.W., J.C., and A.L.M. performed experiments and wrote the paper; Z.W., S.G., and H.M. analyzed RNA sequencing data; C.A.C., V.B., and Z.S. performed experiments and analyzed data; and N.S.Y. designed the research, analyzed data, and edited the paper.
Conflict-of-interest disclosure: The authors declare no competing financial interests.
Correspondence: Xingmin Feng, Hematology Branch, National Heart, Lung, and Blood Institute/National Institutes of Health, Room 3E-5216, Bldg 10, 10 Center Dr, Bethesda, MD 20892; email: fengx2@nhlbi.nih.gov; and Ashvind Prabahran, Department of Clinical Haematology, Peter MacCallum/The Royal Melbourne Hospital, Melbourne 3000, Australia; email: ashvind.prabahran@mh.org.au.
References
Author notes
Single-cell gene expression data have been deposited in the National Center for Biotechnology Information Gene Expression Omnibus database (accession number GSE256359).
The authors confirm that the data supporting the findings of this study are available within the article and its supplemental Materials.
The full-text version of this article contains a data supplement.










