Visual Abstract
Hepatosplenic T-cell lymphoma (HSTCL) is an aggressive mature T-cell lymphoma characterized by significant hepatosplenomegaly, bone marrow involvement, and minimal or no lymphadenopathy. Primarily affecting young adults, it is exceptionally rare in children and adolescents. This makes diagnosis and treatment particularly challenging for pathologists and pediatric oncologists. Diagnosis typically relies on bone marrow, spleen, or liver biopsy, with histopathologic features including small/medium lymphoid cells with irregular nuclear contours that obstruct the sinuses or sinusoids of the spleen or liver. Immunophenotyping usually reveals CD2/3/7 positivity and CD4/8 negativity, with γδ T-cell receptor rearrangements in most cases. Some genetic distinctions described in pediatric and adolescent patients include chromosome 7 and 8 abnormalities and mutations involving SETD2 and STAT5B. Given the lack of standardized approaches, childhood and adolescent patients with HSTCL are often treated with adult protocols, such as intensive cytotoxic chemotherapy regimens followed by allogeneic hematopoietic stem cell transplantation. Despite these highly intensive treatments, the prognosis for HSTCL remains poor in children and adolescents, with an estimated 5-year overall survival of <15%. HSTCL's rarity in children and adolescents limits accurate epidemiological estimates, clinical experience, data collection, treatment advances, and surveillance recommendations. Data on relapsed/refractory disease are even more limited. This review summarizes known clinical and histopathologic features as well as outcomes specific to children and adolescents with HSTCL, highlighting potential distinctions from adults. We will also discuss future strategies to acquire additional biologic and molecular data, streamline diagnosis, and advance treatment approaches to ultimately improve outcomes for young patients with this deadly disease.
Introduction
Hepatosplenic T-cell lymphoma (HSTCL) is a rare and aggressive form of mature T-cell non-Hodgkin lymphoma (NHL), primarily affecting young adults. It was first described in 1981 as “erythrophagocytic Tγ lymphoma,” a unique lymphoma resembling malignant histiocytosis with hepatosplenomegaly and minimal lymphadenopathy.1 In 1990, it received its current name based on its distinct T-cell receptor (TCR) γδ–positive cells.2 It was officially included in the European American Lymphoma Classification in 1994.3 However, it was not until 1995 that the first pediatric case was reported: an 8-year-old boy who presented in October 1992 with severe splenomegaly, mild hepatomegaly, and bone marrow involvement without peripheral lymphadenopathy.4 Since then, HSTCL has shown a strong male predominance and connections with immune system suppression, dysregulation, or inborn errors of immunity (IEIs).5 Although first described in TCR γδ cells, rare cases with an αβ phenotype have been reported.6 Therefore, it is currently classified as “hepatosplenic T-cell lymphoma” under “mature T-cell and natural killer (NK)–cell neoplasms” in the fifth editions of the World Health Organization (WHO) Classification of Haematopoietic and Lymphoid Tissues and Classification of Paediatric Tumors.7,8 Despite advancements in biologic understanding, HSTCL remains difficult to diagnose and treat for all ages, with dismal outcomes despite intensive therapies.9 These challenges are magnified for children and adolescents, because HSTCL is even rarer in these populations. Previous reviews of HSTCL have cited data mostly from adults,10-12 with current literature describing children and adolescents with HSTCL mostly limited to case reports and series. Therefore, in this review undertaken by members of the Children’s Oncology Group NHL Committee’s Rare NHL Subcommittee, we explore the distinct epidemiology, clinical features, diagnostic challenges, treatment options, and future directions for pediatric patients with HSTCL, drawing on both published literature and clinical experiences (Table 1). In addition, we provide a summary of HSTCL cases in children and adolescents reported in the literature from 2017 to 2024, expanding on work by McThenia et al (Table 2).13 To ground this review, we have included patient cases with identifying details changed to protect patient anonymity.
Summary of clinical approach to HSTCL in children and adolescents
| Initial considerations |
|
| Clinical presentation |
|
| Histopathologic diagnosis |
|
| Workup |
|
| Treatment |
|
| Prognosis |
|
| Initial considerations |
|
| Clinical presentation |
|
| Histopathologic diagnosis |
|
| Workup |
|
| Treatment |
|
| Prognosis |
|
Summary of childhood and adolescent patients with HSTCL, 2017 to 2024
| Patient number . | Reference . | Age (y)/sex . | Comorbidities . | Treatment . | Transplant type . | Outcome . |
|---|---|---|---|---|---|---|
| 1 | 14 | 10/M | None | HR BFM induction, CR Reinduction with IT MTX, vincristine, idarubicin, asparaginase, and dexamethasone after relapse 4 mo later | N/A | Alive |
| 2 | 15 | 5/F | Unknown | ICE + 1 additional unspecified line of therapy, AD | Allo, CR | Alive |
| 3 | 15 | 8/M | Unknown | ICE + 1 additional unspecified line of therapy, AD | Allo, CR | Relapsed at unknown time posttransplant Died of HSTCL |
| 4 | 15 | 9/M | Unknown | ICE + 1 additional unspecified line of therapy, CR | Allo, CR | Alive |
| 5 | 15 | 4/F | Unknown | ICE plus 1 additional unspecified line of therapy, CR | Allo, CR | Alive |
| 6 | 16 | 10/M | None | Inter-B-NHL 2010 Group C1 (no rituximab), AD ICE, AD GEM-P with daratumumab, AD UKALL regimen B, AD | N/A | Died of HSTCL |
| 7 | 17 | 10/F | None | 4-drug B-ALL induction followed by bendamustine and maintenance with lenalidomide and celecoxib, CR | N/A | Alive |
| 8 | 17 | 16/M | None | CHOEP, AD ICE + bortezomib, AD | N/A | Died of HSTCL |
| 9 | 18 | 3/F | History of short stature, microcephaly | Tokyo Children’s Cancer Study Group L09-1603 induction, AD FLAG, CR | Allo, CR | Alive |
| 10 | 19 | 3/F | History of mixed phenotype acute leukemia | ICE, alemtuzumab, radiation therapy, AD | N/A | Died at 107 d of follow-up |
| 11 | 19 | 4/M | None | None | N/A | Died |
| 12 | 19 | 21/M | None | ICE, CR | Allo, CR | Lost to follow-up after transplant |
| 13 | 20 | 17/F | None | Splenectomy, ICE, PD Pralatrexate-CHP, PR | Allo, CR | Died after transplant due to complications from human metapneumovirus pneumonia |
| 14 | 21 | 14/F | Turner syndrome, Crohn disease (prior 6-MP treatment) | ICE, CR | Allo, CR | Alive 1 y after transplant |
| 15 | 22 | 15/F | Crohn disease (prior 6-MP, MTX treatment) | ICE, PR | N/A | Died 2 mo after diagnosis of disseminated HSTCL and multiorgan system failure |
| 16 | 23 | 20/M | Crohn disease (prior thiopurine treatment) | Chemotherapy NOS | Unknown | Died of HSTCL |
| 17 | 23 | 18/M | Ulcerative colitis (prior thiopurine treatment) | Chemotherapy NOS | Unknown | Died of HSTCL |
| 18 | 23 | 23/M | Ulcerative colitis (prior thiopurine treatment) | Chemotherapy NOS | Unknown | Died of HSTCL |
| Patient number . | Reference . | Age (y)/sex . | Comorbidities . | Treatment . | Transplant type . | Outcome . |
|---|---|---|---|---|---|---|
| 1 | 14 | 10/M | None | HR BFM induction, CR Reinduction with IT MTX, vincristine, idarubicin, asparaginase, and dexamethasone after relapse 4 mo later | N/A | Alive |
| 2 | 15 | 5/F | Unknown | ICE + 1 additional unspecified line of therapy, AD | Allo, CR | Alive |
| 3 | 15 | 8/M | Unknown | ICE + 1 additional unspecified line of therapy, AD | Allo, CR | Relapsed at unknown time posttransplant Died of HSTCL |
| 4 | 15 | 9/M | Unknown | ICE + 1 additional unspecified line of therapy, CR | Allo, CR | Alive |
| 5 | 15 | 4/F | Unknown | ICE plus 1 additional unspecified line of therapy, CR | Allo, CR | Alive |
| 6 | 16 | 10/M | None | Inter-B-NHL 2010 Group C1 (no rituximab), AD ICE, AD GEM-P with daratumumab, AD UKALL regimen B, AD | N/A | Died of HSTCL |
| 7 | 17 | 10/F | None | 4-drug B-ALL induction followed by bendamustine and maintenance with lenalidomide and celecoxib, CR | N/A | Alive |
| 8 | 17 | 16/M | None | CHOEP, AD ICE + bortezomib, AD | N/A | Died of HSTCL |
| 9 | 18 | 3/F | History of short stature, microcephaly | Tokyo Children’s Cancer Study Group L09-1603 induction, AD FLAG, CR | Allo, CR | Alive |
| 10 | 19 | 3/F | History of mixed phenotype acute leukemia | ICE, alemtuzumab, radiation therapy, AD | N/A | Died at 107 d of follow-up |
| 11 | 19 | 4/M | None | None | N/A | Died |
| 12 | 19 | 21/M | None | ICE, CR | Allo, CR | Lost to follow-up after transplant |
| 13 | 20 | 17/F | None | Splenectomy, ICE, PD Pralatrexate-CHP, PR | Allo, CR | Died after transplant due to complications from human metapneumovirus pneumonia |
| 14 | 21 | 14/F | Turner syndrome, Crohn disease (prior 6-MP treatment) | ICE, CR | Allo, CR | Alive 1 y after transplant |
| 15 | 22 | 15/F | Crohn disease (prior 6-MP, MTX treatment) | ICE, PR | N/A | Died 2 mo after diagnosis of disseminated HSTCL and multiorgan system failure |
| 16 | 23 | 20/M | Crohn disease (prior thiopurine treatment) | Chemotherapy NOS | Unknown | Died of HSTCL |
| 17 | 23 | 18/M | Ulcerative colitis (prior thiopurine treatment) | Chemotherapy NOS | Unknown | Died of HSTCL |
| 18 | 23 | 23/M | Ulcerative colitis (prior thiopurine treatment) | Chemotherapy NOS | Unknown | Died of HSTCL |
6-MP: 6-mercaptopurine; AD, active disease; Allo, Allogeneic HSCT; B-ALL, B-cell acute lymphoblastic leukemia; BFM, Berlin-Frankfurt-Münster; CHOEP, cyclophosphamide, doxorubicin, vincristine, etoposide, prednisone; CHP, cyclophosphamide, doxorubicin, prednisone; F, female; FLAG, fludarabine, cytarabine, granulocyte colony-stimulating factor; GEM-P, gemcitabine, cisplatin and methylprednisolone; HR, high risk; IT, intrathecal; M, male; MTX, methotrexate; N/A, not applicable; NOS, not otherwise specified; PD, progressive disease; PR, partial response.
Case 1
A 14-year-old adolescent girl presented with anemia, thrombocytopenia, neutropenia, and palpable splenomegaly. She had undergone a deceased donor renal transplant 7 months prior and was receiving immunosuppressants at presentation.
Epidemiology
Current data suggest HSTCL accounts for ∼1.4% to 2% of mature T-cell lymphoma diagnoses worldwide in adults, with a median age of diagnosis in the mid-30s.24,25 However, these are cautious estimates, because the rarity of HSTCL, changes in its classification over time, and misdiagnosis could obscure true epidemiology.26 For children and adolescents, accurate estimates of incidence and prevalence are even more challenging. To illustrate this, ∼600 children and 400 adolescents are diagnosed with NHL each year in the United States.27 “Rare NHL” encompass >20 distinct tumor subtypes (of which HSTCL is one) and comprise <5% of all yearly NHL diagnoses in children and adolescents.28 Our best direct estimate of HSTCL’s incidence in children and adolescents comes from Sorge et al. They reported an incidence of 0.05 cases per million person-years based on Surveillance, Epidemiology, and End Results Program (SEER)-18 data from 2001 to 2012 for patients aged <21 years.9 However, within this time frame, only 15 cases were reported within this database, which includes 27.5% of the United States population. Furthermore, the incidence of NHL is known to vary worldwide.27 Nevertheless, HSTCL is an exceedingly rare disease in young people, and all incidence estimates should be interpreted with caution.
HSTCL appears to have a male predominance in children and adolescents, with males 1.5 to 6.5 times more likely to be diagnosed than females.9,13,29 This is not necessarily surprising, because the incidence of most childhood NHL subtypes is higher in males.27 As case 1 illustrates, HSTCL can arise in the setting of acquired immunosuppression or immune system dysregulation. Cases have been described in children, adolescents, and young adults (AYAs; aged 15-39 years) with autoimmune diseases,29-31 inflammatory bowel disease,32,33 prior solid organ transplantation,29,31,34 and prior malignancies.31 The proportion of HSTCL cases that occur in the presence of acquired immune dysfunction is unknown, but literature suggests it could be substantial. In Kotlyar et al’s series of 14 patients aged <22 years with HTSCL and inflammatory bowel disease, 10 received anti–tumor necrosis factor therapies (such as infliximab), all 14 were on thiopurine immunomodulators (such as 6-mercaptopurine), and 9 received both.32 Chronic immune stimulation, seen in inflammatory disorders of the intestine, likely functions as a driver of HSCTL development.35 These reports align with long-standing literature reporting increased risk of NHL in patients with autoimmune and inflammatory conditions.36,37
Pediatric HSTCL has also been described in the setting of IEIs.29,38 Congenital immunodeficiencies are increasingly being recognized with the advancement of genetic testing: nearly 500 have been documented by the International Union of Immunological Societies Expert Committee as of 2022.39 The fifth edition of the WHO Classification of Haematopoietic and Lymphoid Tissues recognized associations between immunosuppression, immune dysregulation, IEIs, and T-cell NHL, with a variety of mechanisms proposed.40,41 Therefore, although no guideline mandates the investigation of immune system function in patients with HSTCL, we would suggest an initial evaluation, such as quantitative serum immunoglobulins, lymphocyte subsets with T-, B-, and NK-cell enumeration, and vaccine titers.42 Depending on the patient’s personal and family health history, next-generation sequencing (NGS), whole-exome sequencing, and/or whole-genome sequencing may also be reasonable during the initial workup and can help clinicians refer for genetic counseling, anticipate possible treatment-related toxicities, and make personalized treatment decisions.
Case 2
A 15-year-old adolescent boy is admitted to the pediatric intensive care unit with >1 week of high fevers (≥39°C) and massive hepatosplenomegaly. Laboratory tests reveal thrombocytopenia, neutropenia (<0.5 × 109/L), hypertriglyceridemia (≥300 mg/dL), hyperferritinemia (≥500 μg/L), hypofibrinogenemia (<150 mg/dL), and an elevated soluble interleukin-2 receptor level (>10 000 U/mL).
Clinical presentation
Patients with HSTCL usually present with acute or subacute constitutional symptoms, including fatigue, fever, and weight loss. Physical examination generally reveals hepatomegaly and/or splenomegaly, the degree of which can be quite striking. Unlike other lymphomas, HSTCL rarely presents with palpable peripheral lymphadenopathy. This extranodal distribution may perplex clinicians, prolong workup, and delay definitive diagnosis.
Laboratory evaluation often reveals cytopenias, which may be due to bone marrow involvement, hypersplenism, or an immune-mediated process with or without a cytokine response.43,44 Although thrombocytopenia has been suggested as a poor prognostic factor in adults,10 this association has yet to be proven for children and adolescents with HSTCL. Bone marrow involvement is common in children and adolescents, with estimates as high as 70%.45 Prescence of peripheral blasts at diagnosis is estimated to occur in 1% to 2% of adult cases.10,46 However, data in children and adolescents are restricted to case reports,18,21,22 making its significance unknown. Other frequent laboratory findings include elevated lactate dehydrogenase (reflecting high tumor burden and rapid cell turnover)30 as well as elevated alanine transaminase and aspartate transaminase levels.12,13
As depicted in case 2, presentation may also include features of hemophagocytic lymphohistiocytosis (HLH), a severe hyperinflammatory syndrome that may further complicate initial workup, diagnosis, and management of HSTCL. HLH may occur in patients with T-cell lymphoma as a paraneoplastic syndrome or secondary phenomenon. For some malignancies copresenting with HLH, immune system dysregulation starts with a viral infection such as Epstein-Barr virus (EBV), leading to cytokine dysregulation and hemophagocytosis.47 However, HSTCL is not classically associated with EBV, meaning the neoplastic cells may drive the HLH instead. Activated, malignant γδ T cells can produce interferon gamma, tumor necrosis factor α, and interleukin-2 receptor, leading to macrophage and reticulin cell activation, red blood cell phagocytosis, and thrombocytopenia.48,49 Secretion of interferon gamma is also directly disruptive to myelopoiesis, which could lead to pancytopenia.50 Although HLH’s copresence with HSTCL has been described in adults,43,51,52 its true frequency has yet to be studied systematically in pediatrics. We strongly advocate for the investigation of an underlying malignancy, such as HSTCL, in patients with HLH of unclear etiology.53
Case 2 continuation
The patient undergoes bilateral bone marrow biopsies, which show striking sinusoidal infiltrates of CD3+ T cells that exclusively express TCR γδ. Flow cytometry shows virtually all the CD3+ T cells are also CD2+, CD52+, and CD56+, whereas CD4 and CD8 are negative. Cytogenetics reveals the presence of isochromosome 7q and trisomy 8.
Histopathology, histopathogenesis, and diagnosis
Diagnosing HSTCL requires a high index of suspicion, confirmed through histopathologic and immunophenotypic analysis of biopsied tissue from the spleen, liver, or bone marrow (Figure 1). Pediatric and adult cases share common histopathologic features.12,43,54 Low-powered examination of liver, spleen, and bone marrow tissue typically reveals sinusoidal infiltration by lymphoma cells. Higher-powered examination shows small-to-medium lymphoid cells with irregular nuclear contours, mature chromatin, and a lack of granules.12,43,54 Hemophagocytosis may be observed, but it is not required to diagnose HSTCL or secondary HLH.51,52
Histopathologic features of HSTCL. (A) Splenic biopsy shows diffuse sinusoidal infiltrates of atypical lymphocytes of variable size with loosely condensed nuclear chromatin and inconspicuous nucleoli (hematoxylin and eosin [H&E] stain; image original magnification, 40×). (B) Bone marrow biopsy shows relative hypercellularity with dilated sinuses containing bland-appearing small lymphocytes (H&E stain; image original magnification 40×). (C) Malignant cells usually stain positive for T-cell markers, including CD3 (H&E stain; image original magnification 40×). (D) Most express TCR γδ (H&E stain; image original magnification 40×). The most common cytogenetic abnormality in HSTCL is isochromosome 7 (E), followed by trisomy 8 (F).
Histopathologic features of HSTCL. (A) Splenic biopsy shows diffuse sinusoidal infiltrates of atypical lymphocytes of variable size with loosely condensed nuclear chromatin and inconspicuous nucleoli (hematoxylin and eosin [H&E] stain; image original magnification, 40×). (B) Bone marrow biopsy shows relative hypercellularity with dilated sinuses containing bland-appearing small lymphocytes (H&E stain; image original magnification 40×). (C) Malignant cells usually stain positive for T-cell markers, including CD3 (H&E stain; image original magnification 40×). (D) Most express TCR γδ (H&E stain; image original magnification 40×). The most common cytogenetic abnormality in HSTCL is isochromosome 7 (E), followed by trisomy 8 (F).
Lymphoma cells commonly express mature T-cell markers, including CD2, CD3, and CD7. NK-cell markers, such as CD11b, CD16, and CD56, are also usually positive. T-cell markers CD4, CD5, and CD8 are usually negative; however, CD8 positivity has been described.43 CD1a (dendritic cell marker) is negative, as is terminal deoxynucleotidyl transferase, a marker of cell immaturity. Cytotoxic granule–associated markers TIA-1 and granzyme M are typically positive, whereas perforin and granzyme B are negative. Although reports have described HSTCL in the presence of EBV infection,55,56 this is exceedingly uncommon. HSTCL is not classically considered an EBV-driven malignancy, and EBV-encoded RNA in situ hybridization is usually negative. Although often performed during workup for adult patients, there are no reports of HIV nor human T-lymphotropic virus in pediatric patients with HSTCL. Therefore, uniform testing for these diseases is not recommended.
Most often, HSTCL cells express the TCR γδ phenotype, although TCR αβ rearrangements have been reported. According to Yabe et al’s clinicopathologic study of 28 cases of HSTCL (5 were aged <18 years), the TCR αβ phenotype was associated with shorter overall survival (OS) and event-free survival than the TCR γδ phenotype.43 It should be noted that phenotypes were not stratified by age. Another case series, in which 30% of patients were aged <10 years, reported that TCR αβ phenotype was more common in younger, female patients. Their median OS was abysmal at <6 months.57
In terms of cytogenetics, chromosome 7 abnormalities are common in HSTCL across all ages, suggesting a key role in disease development and progression.44,58 Reported abnormalities include isochromosome 7q [i(7)(q10)] with the loss of the short arm (p), as well as other structural aberrations or translocations.34,58,59 It is thought that overexpression of genes localized to chromosome 7q may function as an initial hit in HSTCL lymphomagenesis. Aberrant dosage effect from the loss of 7p or gain of 7q may also be involved in tumor progression, given that selective amplification of 7q sequencies or gain of extracopies of i(7)q10 have been demonstrated in relapsed cases of HSTCL.58,60 Interestingly, a 7 year-old boy with HSTCL had cytogenetics that included ring chromosome 7 [47, XY, r(7), +8, der(19)t(?;19)(?;13)], and the region mapped at 7q21.12 involved ABCB1.60ABCB1 (MDR1, adenosine triphosphate-binding cassette, subfamily B, member 1) encodes the large and well-known transmembrane protein P-glycoprotein (P-gp). P-gp expression can be found in a variety of human plasma cell membranes, functioning as a drug-transport efflux pump in both normal and cancerous cell functions.61 Overexpression of P-gp has been described in cases of HSTCL, with higher levels than other mature T-/NK-cell lymphomas (such as peripheral T-cell lymphoma, not otherwise specified).62 Other cytogenic abnormalities reported in pediatric HSTCL include those in chromosome 8 (trisomy 8), X, Y, 10, and complex karyotype.31,43,44,59,60
Recently, NGS has identified mutations in several oncogenic pathways, which may offer future therapy targets. Studies, mostly involving adults, revealed aberrations in the JAK/STAT (STAT3 and STAT5B) and PI3K (PIK3CD) pathways, chromatin-modifying genes (SETD2, INO80, ARID1B, TET3, and SMARCA2), oncogenes (FOS, TP53, UBR5, and VAV3), NK-cell antigen expression (including NCAM1 and CD244), and the SYK tyrosine kinase.62,63 Some of these, including STAT3, STAT5B, and SETD2, have been implicated in other mature T-cell NHL, including those derived from the γδ T cell.64-66 Interestingly, a recent study by Au-Yeung et al revealed TET2, KMT2C, SETD2, STAT5B, and FLT3 variants in 3 of 4 pediatric patients with HSTCL in their study.67 None had mutations in PIK3CD, STAT3, or TP53, as reported in adults,63 indicating potential differences in the molecular pathogenesis between pediatric and adult HSTCL that requires further study.
Case 3
An 18-year-old man presented with a plaque-like lesion on his extremity. The patient tried multiple topical regimens without improvement. After he developed palpable hepatosplenomegaly, a positron emission tomography (PET)/computed tomography (CT) scan was obtained, revealing diffuse 18F-fludeoxyglucose uptake in the liver and spleen and lack of uptake in peripheral lymph nodes. The plaque was biopsied. HSTCL was confirmed, with pathology reviews by 2 outside institutions. Bone marrow biopsies were negative for disease.
Workup and staging
Initial workup for HSTCL includes a comprehensive history and physical examination, with particular attention to liver and spleen size. Routine laboratory studies should include a complete blood count with differential, comprehensive metabolic panel (with particular attention paid to liver function tests), serum uric acid, and lactate dehydrogenase levels. Patients usually present with signs and symptoms of systemic inflammation; therefore, trending erythrocyte sedimentation rate, ferritin, and C-reactive protein are reasonable. As stated earlier, screening for immunosuppression, immune dysregulation, and IEIs is recommended.
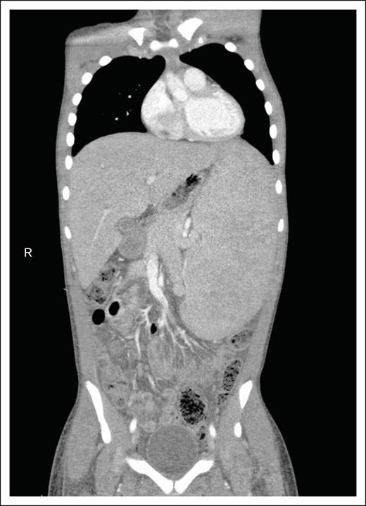
In terms of imaging, contrast-enhanced CT and PET/CT scans are commonly used to evaluate whole-body metabolic and morphologic presence of disease, similar to children and adolescents with other NHL (Figure 2).68 Use of magnetic resonance imaging (MRI) and PET/MRI have also been described; however, similar to other lymphomas, they are recommended as alternative or adjunctive imaging modalities due to the superior sensitivity and specificity of CT and CT/PET in detecting both nodal and extranodal disease.69,70 CT and PET/CT each have pros and cons.71 CT scans can miss extranodal disease, particularly relevant for HSTCL. PET/CT scans have not been studied as extensively in pediatric NHL compared with adults and other malignancies and may be inadequate for response assessment alone.72,73 CTs usually show an enlarged liver and spleen without discrete lesions, whereas PET/CT may show avidity in the liver, spleen, and bone marrow.71,74
Imaging findings in HSTCL. CT scans of the abdomen and pelvis typically reveal massive hepatosplenomegaly, displacing other organs, with minimal enlarged lymph nodes. R, right side of the body.
Imaging findings in HSTCL. CT scans of the abdomen and pelvis typically reveal massive hepatosplenomegaly, displacing other organs, with minimal enlarged lymph nodes. R, right side of the body.
Imaging alone is insufficient for evaluation. Bilateral bone marrow aspirates and biopsies are essential for staging because bone marrow involvement is common.45 Additional biopsies of the spleen or liver may be needed, based on examination, imaging, and histopathologic findings. Central nervous system involvement has not been described in pediatric HSTCL. To our knowledge, there has been 1 case report of this phenomenon reported in a 41-year-old woman with a cortical mass.75 Therefore, we do not routinely recommend head imaging or lumbar puncture with cerebrospinal fluid examination unless clinically indicated.
Staging of HSTCL is complex due to its extranodal nature. Because of HSTCL’s high predilection for liver and spleen involvement, most patients would be classified as stage III or higher at diagnosis under pediatric NHL staging systems such as St. Jude/Murphy76 and the International Pediatric Non-Hodgkin Lymphoma Staging System.77 Other staging systems, such as the Lugano classification,78 are based on adult data and do not account well for extranodal disease. Therefore, staging of HSTCL requires a nuanced approach.
During the workup of HSTCL, sending HLA testing from the patient and initiating a referral to a hematopoietic stem cell transplant (HSCT) team is recommended.29,43 Because treatment can involve anthracyclines, obtaining a baseline echocardiogram or multigated acquisition scan is advisable. Most regimens used for successful treatment of HSTCL put children and adolescents at risk for future infertility,79 based on their need for HSCT or their total cumulative cyclophosphamide equivalent dose with upfront therapy.80 Therefore, early referral to a fertility preservation specialist is indicated for children and adolescents with HSTCL, regardless of their pubertal status, to maximize options and discuss desired interventions before starting gonadotoxic therapy.79,81
Case 3 continuation
The patient received 2 cycles of ICE (ifosfamide, carboplatin, and etoposide) chemotherapy, after which skin lesions resolved, and PET scan was negative. He proceeded to a 10/10 matched unrelated donor allogeneic HSCT. He remains in complete remission (CR) >2 years after his initial diagnosis.
Treatment
Due to the rarity of HSTCL in children and adolescents, there is no established standard of care for treatment. The most accepted therapy paradigm is to initiate intensive, multiagent chemotherapy induction regimens. Of note, splenectomy is not necessary nor recommended upfront. It should be considered only in specific clinical scenarios or to support the start of treatment (eg, pain control, quality of life, or thrombocytopenia management).82 The goal of induction chemotherapy is to produce a CR or near-CR before proceeding with consolidative approaches, such as HSCT. It should be noted that a consensus definition of CR and how it is determined is not currently standardized for children and adolescents with HSTCL, with controversies similar to those for staging.83 Imaging alone appears to be inadequate for response assessment.74 Histopathology confirmation of remission with postinduction bone marrow, liver, or splenic biopsies should be pursued, even with the absence of metabolic disease by PET/CT or PET/MRI. Similar to other NHL, NGS and monitoring of circulating tumor DNA may prove useful for assessing treatment response and should be studied further.84
Commonly used induction regimens include those containing platinum agents (such as ICE in case 3) and cytarabine (such as IVAC [ifosfamide, etoposide, and cytarabine]), which may induce superior responses compared with anthracycline-containing regimens (CHOP [cyclophosphamide, doxorubicin, vincristine, and prednisone] or CHOP-like).62,85-87 Antimetabolite therapy (eg, pentostatin and pralatrexate) either as monotherapy or in combination with other agents may be effective.20,85,88 Additionally, there are pediatric cases describing effective use of acute leukemia regimens.14,13,89 One retrospective analysis by Mellgren et al found a significant difference in the probability of overall survival (pOS) at five years between pediatric patients with HSTCL treated with “pulse-like B-cell type treatment” (n = 6 [of 20]; pOS, 0.62 ± 0.21) vs a “lymphoblastic lymphoma/T-cell type” treatment (n = 7; pOS, 0.21 ± 0.18).29 Given the study’s small sample size, further research is needed. Additionally, the degree of disease response in each of these studies is difficult to interpret due to the lack of uniform documentation of response criteria and outcome definitions.13
Nonetheless, survival for pediatric patients with HSTCL remains poor. Novel approaches are needed to improve outcomes. One possible method includes the incorporation of immunotherapy. Classically, HSTCL has minimal to zero expression of CD30, but studies show efficacy of therapies such as brentuximab vedotin (Bv; CD30-directed antibody-drug conjugate) may not depend on CD30 expression alone.90 In the United States, one ongoing clinical trial (NCT03719105) is investigating the use of Bv with an anthracycline-based regimen in children and AYAs with mature T-cell lymphomas, including HSTCL. Patients with less than a CR are eligible to proceed with pralatrexate monotherapy followed by consolidation with reduced-intensity conditioning allogeneic HSCT.
If disease control is achieved, strong consideration should be given to proceeding with consolidative HSCT.15,91 Allogeneic HSCT has been reported more often in children and adolescents with HSTCL than autologous HSCT. Case reports have detailed durable remissions with multiagent chemotherapy followed by allogeneic HSCT, even without achieving CR before transplant.15,13,26,91 Mellgren et al’s international review of 143 cases of nonanaplastic peripheral T-cell lymphoma in children and adolescents included 20 patients with HSTCL, 12 of whom underwent HSCT.29 Of the 7 alive at last follow-up, 5 received allogeneic HSCT.
If allogeneic HSCT is pursued, there are several additional considerations. In terms of pretransplant conditioning regimens, there is no consensus. However, data suggest that myeloablative regimens that include total-body irradiation may yield superior outcomes compared with reduced-intensity conditioning regimens.88,92,93 One ongoing clinical trial is investigating this in pediatric mature T-cell NHL including HSCTL (NCT03719105), with reduced-intensity alemtuzumab-based conditioning followed by allogeneic HSCT. Another consideration is donor choice. Unsurprisingly, given the rarity of this disease, there are no definitive data on the ideal donor source (bone marrow vs peripheral blood vs cord blood and related vs unrelated). However, we would caution the use of related donors, given the associations between HSTCL and inherited immunosuppressive, immune dysregulation, and IEI disorders. Providers should pursue full immunological evaluations of family members being considered as donors. Additionally, case series including pediatric patients with HSTCL found those who underwent allogeneic HSTCL and developed graft-versus-host disease had improved survival.88,94,95 Chanan-Khan et al reported a case of a 26 year-old man with long-term survival from HSTCL after a donor lymphocyte infusion.96 Although these reports raise the prospect that graft-versus-lymphoma effects may contribute to favorable clinical outcomes, their exact benefit cannot be determined at present due to limited data.
Autologous HSCT has been reported much less frequently as a treatment strategy for children and adolescents with HSTCL. A 2015 retrospective study by the European Society for Bone and Marrow Transplantation Lymphoma Working Party reported on the use of allogeneic and autologous HSCT: 2 of the 25 patients reported were children/adolescents and received an autologous HSCT.97 Both died after early relapse after transplant.
Relapsed and refractory disease is even more challenging to manage, with no consensus on therapy approaches. Successful salvage in pediatric relapsed/refractory HSTCL is limited to case reports, using alternate induction regimens (eg, attempting ICE if CHOP was initially pursued), regimens common to mature B- and T-cell NHL (eg, dose-adjusted etoposide, prednisone, vincristine, cyclophosphamide, and doxorubicin and hyper-cyclophosphamide, vincristine, doxorubicin, and dexamethasone alternating with methotrexate and cytarabine), and consideration of targeted immunotherapy (eg, Bv for CD30+ cases and alemtuzumab for CD52+ cases).11,98,99 Despite some reported success, patients with relapsed/refractory HSTCL typically have extremely poor outcomes. Their clinical courses are often rapidly fatal if early HSCT is not pursued.
To summarize, research is desperately needed to advance treatment paradigms for HSTCL. In 2016, the European Intergroup for Childhood NHL and international Berlin-Frankfurt-Münster groups reported a probability of OS at 5 years of 0.13 ± 0.12.29 Similarly, a 2018 study using SEER data reported a 5-year OS of only 9.6% ± 8.8% for pediatric patients with HSCTL.9 Therefore, regardless of treatment strategies, at present, outcomes for children and adolescents with HSTCL are dismal.
Future directions
There are several gaps in the research landscape for pediatric HSTCL. First, due to its rarity, its true epidemiology is unknown, making it difficult to establish a standard frontline approach. Although multiagent chemotherapy followed by allogeneic HSCT is commonly used, specific induction regimens, consolidation approaches, and their respective efficacies need further investigation.13,29 A promising area of research involves comprehensive molecular and genetic profiling of HSTCL. Already, molecular analyses of pediatric patients with HSTCL have identified possible biologic differences between children/adolescents and adults with this disease.67 Several oncogenic pathway mutations have been identified in HSTCL, which are already being treated with targeted agents in other malignancies (Table 3). However, currently, the use of these agents for HSTCL remains experimental. There is also the issue of response determination and disease surveillance. Due to its extranodal nature and lack of clinical trial data, consensus on CR definitions and how to determine that in HSTCL are lacking. Lastly, studies describing long-term outcomes and challenges for pediatric and adolescent patients who survive do not currently exist.
Mutations described in children and adolescents with HSTCL and existing targeted therapies
| Mutation . | Therapy class . | Targeted therapy . |
|---|---|---|
| SETD2, INO80, TET2, TET3 | Histone deacetylase inhibitor | Vorinostat and romidepsin |
| SMARCA2, ARID1B | Hypomethylating agent | Decitabine and azacitidine |
| STAT3, STAT5B | JAK inhibitor | Ruxolitinib and fedratinib |
| PIK3CD | PI3K inhibitor | Idelalisib, copanlisib, duvelisib, and alpelisib |
| SYK | SYK inhibitor | Fostamatinib |
| FLT3 | FLT3 inhibitor | Midostaurin, quizartinib, and gilteritinib |
| Mutation . | Therapy class . | Targeted therapy . |
|---|---|---|
| SETD2, INO80, TET2, TET3 | Histone deacetylase inhibitor | Vorinostat and romidepsin |
| SMARCA2, ARID1B | Hypomethylating agent | Decitabine and azacitidine |
| STAT3, STAT5B | JAK inhibitor | Ruxolitinib and fedratinib |
| PIK3CD | PI3K inhibitor | Idelalisib, copanlisib, duvelisib, and alpelisib |
| SYK | SYK inhibitor | Fostamatinib |
| FLT3 | FLT3 inhibitor | Midostaurin, quizartinib, and gilteritinib |
To begin addressing these gaps, collaborative international efforts, such as the creation of prospective databases and collation of large retrospective cohort data, are crucial for advancing the understanding and treatment of HSTCL in children and adolescents. One such study, currently in development within the Children’s Oncology Group NHL Committee’s Rare NHL Subcommittee, involves the establishment of a multi-institutional retrospective cohort of “rare” pediatric and AYA patients with NHL, including those with HSTCL. This study aims to collect and analyze “real-world” data on rare NHL subtypes to improve the understanding of the clinical characteristics, treatments, and outcomes of children and AYAs with these rare lymphomas through collaborative efforts across numerous institutions.
Conclusion
As demonstrated by our highlighted cases throughout this review, HSTCL in children and adolescents remains a challenging diagnosis for clinicians as well as the patients and families it affects. Despite advances in our understanding of this disease since its first description >40 years ago,1 significant gaps in knowledge persist, particularly regarding the molecular drivers of the disease and effective treatment strategies. We have seen in medicine, time and again, that children are not “little adults.” Therefore, great care should be taken to both collect and analyze pediatric-specific data for this rare lymphoma, because what is true and effective for adults may not be the same for our younger populations. A concerted effort to conduct multi-institutional, international, and collaborative research is necessary to advance knowledge of HSTCL and improve clinical outcomes for this vulnerable patient population.
Acknowledgments
The authors thank Lynda M. Villagomez, James B. Ford, and Rohini Chakravarthy for sharing their patient cases, as well as Angela Lager and Sandeep Gurbuxani for providing the pathology images for this review. The concept for this article was developed by members of the Children’s Oncology Group NHL Committee, specifically the Rare NHL Subcommittee.
L.F.S. reports support from National Cancer Institute (NCI) grants K12 CA139160 and L40 CA274778. This work was also supported by NCI’s National Clinical Trials Network Operations Center grant U10 CA180886.
The content of this review is solely the responsibility of the authors and does not necessarily represent the official views of the National Institutes of Health.
Authorship
Contribution: L.F.S. contributed through review conceptualization, data curation, formal analysis, investigation, visualization, and writing (both original draft and review/editing); K.J.D. contributed through review conceptualization, data curation, investigation, validation, and writing (review/editing); and A.C.X. contributed through review conceptualization, data curation, investigation, supervision, validation, and writing (review/editing).
Conflict-of-interest disclosure: The authors declare no competing financial interests.
Correspondence: Lindsay F. Schwartz, Department of Pediatrics, The University of Chicago, 5841 S Maryland Ave, WP C-425A, MC 4060, Chicago, IL 60637; email: lindsay.schwartz@bsd.uchicago.edu.

![Histopathologic features of HSTCL. (A) Splenic biopsy shows diffuse sinusoidal infiltrates of atypical lymphocytes of variable size with loosely condensed nuclear chromatin and inconspicuous nucleoli (hematoxylin and eosin [H&E] stain; image original magnification, 40×). (B) Bone marrow biopsy shows relative hypercellularity with dilated sinuses containing bland-appearing small lymphocytes (H&E stain; image original magnification 40×). (C) Malignant cells usually stain positive for T-cell markers, including CD3 (H&E stain; image original magnification 40×). (D) Most express TCR γδ (H&E stain; image original magnification 40×). The most common cytogenetic abnormality in HSTCL is isochromosome 7 (E), followed by trisomy 8 (F).](https://ash.silverchair-cdn.com/ash/content_public/journal/bloodadvances/9/8/10.1182_bloodadvances.2025015857/2/m_blooda_adv-2025-015857-gr1.jpeg?Expires=1768250596&Signature=fj8Vf-geFjSiQ9vP27CbmSP3PxWG-u0CjnKIvOMOW8zdimWekhSjU2QmlbitGbHCgSXSheuIoWD7RYqGEWIoEcH8qT8V~PcC3zsC99n2Q3gqoMOvMjmFraRLkj64E6BcK7BRnTw1T-kgP~D7LQtvpVz2OoCOjYxr196nK0ALKQT~XlrTbnSLwzeb6nPwAZLpDcpSxnnM3hUSlwVdcYhc8b-uyTQnEe-aJ-F01tezGuZ9yWehaQAY4vrzW-6YRVGvWm4Pt85-aKMI-gVVp1c7UBQ6gjDOcHAcnT1njWD~k8kfWFb36SpGk5Ul1T~~6nXqY2O8-BY~o~onShaBKPon9g__&Key-Pair-Id=APKAIE5G5CRDK6RD3PGA)
