Abstract
Plasmodium falciparum–derived cysteine protease falcipain-2 cleaves host erythrocyte hemoglobin at acidic pH and specific components of the membrane skeleton at neutral pH. Analysis of stage-specific expression of these 2 proteolytic activities of falcipain-2 shows that hemoglobin-hydrolyzing activity is maximum in early trophozoites and declines rapidly at late stages, whereas the membrane skeletal protein hydrolyzing activity is markedly increased at the late trophozoite and schizont stages. Among the erythrocyte membrane skeletal proteins, ankyrin and protein 4.1 are cleaved by native and recombinant falcipain-2 near their C-termini. To identify the precise peptide sequence at the hydrolysis site of protein 4.1, we used a recombinant construct of protein 4.1 as substrate followed by MALDI-MS analysis of the cleaved product. We show that falcipain-2–mediated cleavage of protein 4.1 occurs immediately after lysine 437, which lies within a region of the spectrin–actin-binding domain critical for erythrocyte membrane stability. A 16-mer peptide containing the cleavage site completely inhibited the enzyme activity and blocked falcipain-2–induced fragmentation of erythrocyte ghosts. Based on these results, we propose that falcipain-2 cleaves hemoglobin in the acidic food vacuole at the early trophozoite stage, whereas it cleaves specific components of the red cell skeleton at the late trophozoite and schizont stages. It is the proteolysis of skeletal proteins that causes membrane instability, which, in turn, facilitates parasite release in vivo.
Introduction
Plasmodium falciparum causes the most severe form of human malaria and is becoming increasingly resistant to available antimalarial drugs. New chemotherapy-based approaches to fight the disease are therefore urgently needed. Parasite proteases that are involved in P falciparum development appear to be good targets. Mounting evidence suggests that cysteine proteases are involved in host cell rupture and release of merozoites. In the presence of such inhibitors, merozoites mature normally but are unable to escape from host erythrocytes.1-4
The cluster of merozoites inside a red blood cell (RBC) is enclosed within 2 membranes: an inner parasitophorous vacuole membrane (PVM) and an outer RBC membrane. The rupture of these 2 membranes apparently releases the merozoites for another round of RBC invasion. In a recent study by Salmon et al,5 the authors propose a 2-step process for parasite release from the host erythrocyte: an initial exit of merozoites enclosed within the PVM followed by a rapid escape from the PVM by a proteolysis-dependent mechanism. This study suggests that the RBC membrane is lost independently of the PVM. In another report, Winograd et al6 used videomicroscopy to study the release of merozoites and concluded that an aperture is made through the PVM and RBC membranes to allow merozoites to exit in an orderly fashion. Merozoites were released together with the residual body containing hemozoin, leaving behind the red cell membrane and some hemoglobin that persisted until after the merozoites had escaped. These observations suggest that though there may be 2 parts to the release mechanism, they operate together to ensure a simultaneous breakdown of the 2 barriers. Thus, though proteases are likely to be involved in the release of parasites, molecular mechanisms underlying this process are largely uncharacterized and remain a focus of investigation.
The erythrocyte membrane is laminated on the inner side by a 2-dimensional skeletal network of proteins that provides stability to the membrane.7 The major component of this network is the heterodimeric protein spectrin, composed of 2 nonidentical α and β spectrin polypeptides. Spectrin dimers self-associate to form long fibers of tetramers that are interconnected by junctional complexes containing actin, with the aid of protein 4.1 and several other proteins.8 9 This network of proteins is attached to the plasma membrane by 2 major linkages. The first linkage is through ankyrin, which binds to spectrin and to the cytoplasmic domain of the transmembrane protein band 3. The second linkage is through protein 4.1, which binds to the tail end of spectrin and to the cytoplasmic domain of glycophorin C.
A number of plasmodial proteases have been isolated that are shown to have activities against known red cell skeleton and membrane proteins.10-15 Proteolytic breakdown of these proteins results in red cell lysis and thus could potentially provide a mechanism for merozoite release from RBCs. In this regard, we have recently shown that P falciparum–derived cysteine protease falcipain-2 (FP-2) cleaves host erythrocyte membrane skeletal proteins at neutral pH.16 Specifically, FP-2 cleaves ankyrin and protein 4.1, the cytoskeletal elements vital to the stability of red cell membrane.17 We also showed that FP-2 cleaves both ankyrin and protein 4.1 near their carboxyl termini and that this cleavage is accompanied by membrane instability, as evidenced by an increased rate of membrane fragmentation.17 Additionally, FP-2 has been shown to hydrolyze hemoglobin at acidic pH,18 suggesting that the enzyme may have multiple functions. In the present study, we measured cysteine protease activity in the soluble extracts of parasites of different developmental stages. This enzyme activity comigrated with recombinant FP-2 (rFP-2) activity on gelatin substrate sodium dodecyl sulfate–polyacrylamide gel electrophoresis (SDS-PAGE) and behaved identically to rFP-2 in terms of inhibition profile, substrate specificity, and kinetics; hence, it will be referred to as FP-2 throughout this article. Our results show that FP-2 activity against hemoglobin is maximal at the early trophozoite stage, whereas activity against membrane skeletal ankyrin and protein 4.1 is maximal at the late trophozoite and schizont stages of parasite development. Degradation products of ankyrin and protein 4.1 were detected in intact parasitized RBCs. Furthermore, to develop specific peptide inhibitors of FP-2, we have identified the precise peptide sequence at the hydrolysis site of protein 4.1. A 16-mer peptide containing the cleavage site completely inhibited all known functions of FP-2, including the cleavage of human erythrocyte ankyrin, protein 4.1, hemoglobin, and the fragmentation of erythrocyte membranes. Identification of the precise cleavage site within the RBC protein 4.1 sets the stage for the development of membrane-permeable inhibitors of FP-2 that could function as novel antimalarial drugs.
Materials and methods
Parasite culture and preparation of parasite extracts
P falciparum (strain 3D7) culture was maintained in vitro in the presence of 15% human serum in a culture medium containing fresh A+ human erythrocytes, RPMI 1640, glucose, gentamicin sulfate, HEPES, NaHCO3, l-glutamine, and pyruvic acid as described previously.19 Parasites were grown up to 6% parasitemia at 37°C under 5% CO2, 1% O2, and 94% N2. Ring-stage parasites were synchronized in 5% sorbitol.20 Early trophozoite, late trophozoite, and schizont-infected RBCs were enriched to greater than 95% by centrifugation through sorbitol-Percoll (Sigma, St Louis, MO) gradients.21 For the preparation of parasite extracts, RBCs infected with stage-specific parasites were incubated with 0.01% (wt/vol) saponin in phosphate-buffered saline (PBS) at 37°C for 10 minutes to lyse erythrocyte membranes and were washed 3 times with ice-cold PBS. Released parasites were then lysed with 5 mM phosphate buffer, pH 8.0, and centrifuged at 100 000g for 30 minutes.16 The resultant supernatant is referred to as the soluble parasite extract.
Expression of recombinant falcipain-2 and production of antibodies
Recombinant FP-2 encoding the complete mature domain, plus 35 amino acids from the C-terminal end of the prodomain, was expressed inEscherichia coli, as described previously.18Refolded mature FP-2 was generously provided by Dr Philip Rosenthal (University of California, San Francisco).
Ni-NTA–purified rFP-2 was used to raise antibodies against FP-2. Female BALB/c mice (6 weeks old) were immunized intraperitoneally with an emulsified polyacrylamide gel containing rFP-2 (approximately 35 kd) in complete Freund adjuvant. Booster injections were given in incomplete adjuvant on days 14 and 28. Mice were killed on day 35, and sera were pooled.
Construction and expression of His-tagged recombinant protein 4.1
To identify the precise cleavage site, we designed a cDNA construct containing nucleotides 1678 to 2565 encoding amino acids 294 to 588.22 The insert was amplified from a human reticulocyte cDNA library by polymerase chain reaction and ligated into the pQE-30 vector (which encodes an amino terminal 6-Histag; Qiagen, Valencia, CA) to produce an expression construct. After confirming the sequence, the construct was used to transform M15(pREP4)-strain E coli, and the transformants were grown in the presence of IPTG and analyzed for the expression of fusion protein by SDS-PAGE.
Recombinant His-tagged protein was bound to Ni-NTA resin and digested with 0.2 μM FP-2 at pH 7.5 for 30 minutes at 37°C. Bound protein was then eluted with 8 M urea, 20 mM Tris-HCl, 1 M imidazole, pH 8.0, and was subjected to matrix-assisted laser desorption ionization mass spectrometry (MALDI-MS) measurements at Harvard Microchemistry Laboratory (Cambridge, MA) for the determination of precise molecular mass of the cleaved product.
Measurement of protease activity
For substrate gel analysis, samples were mixed with SDS-PAGE sample buffer lacking 2-mercaptoethanol and electrophoresed in a 10% acrylamide gel that was copolymerized with 0.1% gelatin.23 The gel was then washed twice (30 minutes, room temperature) with 2.5% Triton X-100 to remove SDS and was incubated overnight at 37°C either in 100 mM sodium acetate, 1 mM dithiothreitol (DTT), pH 5.5, or in 20 mM sodium phosphate, 1 mM DTT, pH 7.0, before staining with Coomassie blue.
To detect enzyme activity against erythrocyte membrane skeletal proteins, spectrin–actin-depleted inside-out vesicles (IOVs) were used as substrate.16 rFP-2 (0.1 μg) or soluble parasite extract (1-10 μL) was incubated with 10 μL spectrin–actin-depleted IOVs (2 mg/mL) in a total volume of 50 μL for 30 minutes at 37°C. Vesicles were collected by centrifugation at 38 000g for 20 minutes at 4°C and were analyzed by SDS-PAGE. To detect enzyme activity against hemoglobin, 100 nM rFP-2 was added to 25-μL reactions containing 3 μg human hemoglobin (Sigma) in 100 mM sodium acetate, pH 5.5, 1 mM DTT. The reactions were incubated at 37°C for 60 minutes and analyzed by 15% SDS-PAGE.
Measurement of membrane stability
Erythrocyte ghosts were incubated with various volumes of the purified protease activity for 10 minutes at 0°C. Ghosts were subsequently resealed by adding 150 mM KCl, 1 mM MgCl2, and 1 mM DTT followed by a 30-minute incubation at 37°C. Resealed ghosts were suspended in 50% dextran, and membrane mechanical stability was measured using an ektacytometer. Briefly, the ghosts were subjected to a constant shear stress of 750 dyne/cm2, and the changes with time in laser diffraction patterns were measured by recording rate of change of the deformability index (DI). The rate of decrease of DI is a measure of the rate of membrane fragmentation and thus a measure of membrane mechanical stability.
Polyacrylamide gel electrophoresis and Western blotting
Results
Stage-specific expression of falcipain-2
To evaluate temporal changes in the expression of FP-2, soluble parasite extracts were prepared from highly synchronized parasites (3D7 strain) at ring, early trophozoite, late trophozoite, and schizont stages (Giemsa-stained smears made at these stages are shown in Figure1A). Western blot analysis using antibodies raised against rFP-2 detected a protein of approximately 27 kd corresponding to mature FP-2 in the extracts of trophozoites and schizonts but not in rings (Figure 1B).
Stage-specific expression of FP-2.
(A) Giemsa-stained smears of highly synchronized parasites at ring (i), early trophozoite (ii), late trophozoite (iii), and schizont (iv) stages. (B) Immunoblot analysis of rFP-2 (lane 1) and soluble parasite extracts from 1 × 108 parasites/lane (lanes: i, rings; ii, early trophozoites; iii, late trophozoites; iv, schizonts) using antibodies raised against rFP-2. (C) Gelatin substrate analysis: rFP-2 (lane 1) and soluble parasite extracts from 1 × 108 parasites/lane were analyzed by 10% gelatin substrate SDS-PAGE. Protease activity at pH 5.5 and at pH 7.0 was identified as clear bands against a Coomassie blue–stained background. (D) Cleavage of human erythrocyte membrane skeletal proteins (left) and hemoglobin (right): 5 μL human erythrocyte IOVs (2 mg/mL) (lane 1′, left panel) in 5 mM sodium phosphate buffer, pH 7.0, 1 mM DTT or 3 μg human hemoglobin (lane 1′, right panel) in 100 mM sodium acetate, pH 5.5, and 1 mM DTT were incubated with 0.2 μM rFP-2 (lanes 1) or identical volumes of soluble parasite extracts for 30 minutes (IOVs) or 60 minutes (Hb) at 37°C, followed by SDS-PAGE analysis.
Stage-specific expression of FP-2.
(A) Giemsa-stained smears of highly synchronized parasites at ring (i), early trophozoite (ii), late trophozoite (iii), and schizont (iv) stages. (B) Immunoblot analysis of rFP-2 (lane 1) and soluble parasite extracts from 1 × 108 parasites/lane (lanes: i, rings; ii, early trophozoites; iii, late trophozoites; iv, schizonts) using antibodies raised against rFP-2. (C) Gelatin substrate analysis: rFP-2 (lane 1) and soluble parasite extracts from 1 × 108 parasites/lane were analyzed by 10% gelatin substrate SDS-PAGE. Protease activity at pH 5.5 and at pH 7.0 was identified as clear bands against a Coomassie blue–stained background. (D) Cleavage of human erythrocyte membrane skeletal proteins (left) and hemoglobin (right): 5 μL human erythrocyte IOVs (2 mg/mL) (lane 1′, left panel) in 5 mM sodium phosphate buffer, pH 7.0, 1 mM DTT or 3 μg human hemoglobin (lane 1′, right panel) in 100 mM sodium acetate, pH 5.5, and 1 mM DTT were incubated with 0.2 μM rFP-2 (lanes 1) or identical volumes of soluble parasite extracts for 30 minutes (IOVs) or 60 minutes (Hb) at 37°C, followed by SDS-PAGE analysis.
Previous studies have shown that P falciparum–derived cysteine protease activity cleaves host erythrocyte hemoglobin and specific components of the membrane skeleton. However, the pH optimum is different for these substrates: 5.5 to 6.0 for hemoglobin18 and 7.0 to 7.5 for skeletal proteins.16 Therefore, to evaluate temporal changes in the expression of 2 apparently distinct proteolytic activities, we compared cysteine protease activity of soluble parasite extracts by gelatin substrate SDS-PAGE at pH 5.5 and pH 7.0 (Figure 1C). The gelatin-hydrolyzing activity of rFP-2 and of soluble extracts migrates with an approximate molecular mass of 27 kd as a broad, diffuse band consisting of a closely spaced doublet at both pH values. As shown in Figure 1C, at acidic pH, the gelatin-hydrolyzing cysteine protease activity of soluble extracts was maximal at the early trophozoite stage but declined rapidly at late stages of parasite development. In striking contrast, at neutral pH, the proteolytic activity was markedly increased at the late trophozoite and schizont stages.
Furthermore, P falciparum–derived cysteine protease FP-2, both native and recombinant, cleaves host erythrocyte hemoglobin18 and specific components of the membrane skeleton.17 To determine stage-specific changes in the expression of dual activities of FP-2, we compared proteolytic activity of soluble parasite extracts with that of recombinant mature FP-2 using human erythrocyte hemoglobin and spectrin–actin-depleted IOVs as substrates. As shown in Figure 1D, the hemoglobin-hydrolyzing activity was maximal at the early trophozoite stage, and it declined rapidly at late stages of parasite development. Incubations of IOVs with soluble extracts resulted in the proteolysis of ankyrin and protein 4.1 producing approximately 155-kd and approximately 56-kd fragments, respectively. The identity of these bands was confirmed using antiankyrin and antiprotein 4.1 antibodies (data not shown). The cleavage pattern is virtually identical to that produced using rFP-2. Quantification of proteolytic products showed that in striking contrast to the hemoglobin-hydrolyzing activity, the protease activity against ankyrin and protein 4.1 was markedly increased at the late trophozoite and schizont stages of parasite development. It is noteworthy here that while the 155-kd ankyrin fragment appears to be resistant to further proteolysis under these conditions, the 56-kd fragment of protein 4.1 undergoes further degradation into smaller fragments at high protease concentrations.17 Furthermore, the proteolytic activity of soluble extracts against hemoglobin and ankyrin–protein 4.1 was identical to that of rFP-2 in terms of inhibition: both activities were strongly inhibited by cysteine protease-specific inhibitors leupeptin (10 μM) and MDL 28170 (60 μM) (data not shown).
Together, these results suggest a dual role for FP-2: it cleaves hemoglobin in the acidic food vacuole at the early trophozoite stage, and at the late trophozoite and schizont stages it cleaves specific components of the red cell skeleton at the inner surface of the plasma membrane.
Evidence of proteolytic degradation of ankyrin and protein 4.1 in trophozoite- and schizont-infected erythrocytes
Our previous studies have shown that FP-2 cleaves erythrocyte ankyrin and protein 4.1 in vitro, both in ghosts and as purified proteins.17 To determine whether this in vitro degradation also takes place in vivo, we examined parasite-infected intact erythrocytes by Western blotting. Parasite culture consisting of rings, trophozoites, and early to mid schizonts was centrifuged on a 63% Percoll cushion at 500g for 20 minutes at room temperature. Trophozoite- and schizont-infected RBCs (90%-95% enriched) were collected from the top of the Percoll gradient, and a mixture of uninfected and ring-infected RBCs was collected from the bottom of the gradient. Boiling SDS-PAGE sample buffer was added to both samples, which were boiled for another 5 minutes to shear DNA, and then analyzed by SDS-PAGE followed by immunoblotting using antiankyrin and antiprotein 4.1 antibodies. As shown in Figure2, truncated ankyrin and protein 4.1 of approximately 155 kd and approximately 56 kd, respectively, were detected in trophozoite- and schizont-infected RBCs but not in uninfected or ring-infected RBCs, suggesting that proteolytic degradation of host erythrocyte membrane ankyrin and protein 4.1 takes place within RBCs infected with late-stage parasites. These results are consistent with the in vitro studies presented above, which showed that identical cleavage products of ankyrin and protein 4.1 are obtained when erythrocyte IOVs are incubated with soluble cytosolic extracts of isolated late trophozoites and schizonts but not with rings.
Immunoblot analysis of intact cells directly solubilized in boiling SDS sample buffer.
Blots were probed with antiankyrin and antiprotein 4.1 antibodies. Lane 1, uninfected and ring-infected RBCs. Lane 2, trophozoite- and schizont-infected RBCs. Truncated ankyrin and protein 4.1 of approximately 155 kd and approximately 56 kd, respectively, were detected in trophozoite- and schizont-infected RBCs but not in uninfected or ring-infected RBCs. Note that in the left panel, overexposure of lane 1 did not detect the 155-kd band in uninfected and ring-infected RBCs (lane 1′).
Immunoblot analysis of intact cells directly solubilized in boiling SDS sample buffer.
Blots were probed with antiankyrin and antiprotein 4.1 antibodies. Lane 1, uninfected and ring-infected RBCs. Lane 2, trophozoite- and schizont-infected RBCs. Truncated ankyrin and protein 4.1 of approximately 155 kd and approximately 56 kd, respectively, were detected in trophozoite- and schizont-infected RBCs but not in uninfected or ring-infected RBCs. Note that in the left panel, overexposure of lane 1 did not detect the 155-kd band in uninfected and ring-infected RBCs (lane 1′).
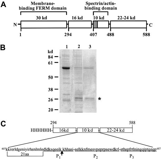
Falcipain-2 cleaves erythrocyte protein 4.1 within the spectrin–actin-binding domain
Using peptide-specific antibodies, we previously showed that the truncated protein 4.1 obtained after cleavage with FP-2 contains the 21-aa peptide within the 10-kd spectrin–actin-binding domain but lacks 20 amino acids at the C-terminus end of protein 4.1.17These results suggested that FP-2 cleavage occurs in the region between amino acids 428 and 568, encoding parts of the 10-kd domain and the 22- to 24-kd C-terminal domain of protein 4.1 (Figure3A). To further identify the precise cleavage site, a segment of human erythrocyte protein 4.1 from amino acids 294 to 588 was expressed as a His-tagged protein inE coli and was analyzed by SDS-PAGE. Although the calculated molecular mass of expressed protein is 33.4 kd, it migrates with an apparent molecular weight of approximately 55 kd on SDS-PAGE (Figure3B). Recombinant His-tagged protein was bound to Ni-NTA resin and digested with 0.2 μM FP-2, pH 7.5, for 30 minutes at 37°C. After incubation, the sample was centrifuged, and both the supernatant and the pelleted beads were analyzed by SDS-PAGE. Although no protein was detected in the supernatant (data not shown), a major protein band with an apparent molecular weight of approximately 26 kd was detected in the pellet (indicated by an asterisk in Figure 3B). In addition, a faint band corresponding to undigested recombinant protein was detected. Immunoblot analysis confirmed that the approximately 26-kd band was a fragment of protein 4.1 and contained the N-terminalHis tag, suggesting that the cleavage took place from the C-terminal end of recombinant protein. Bound protein was then eluted with 8 M urea, 20 mM Tris-HCl, 1 M imidazole, pH 8.0, and subjected to MALDI-MS to determine the precise molecular mass of the cleaved product. A major species with a molecular mass of 16 686 d was detected. A small peak of 33 500 d, corresponding to undigested recombinant protein, was also detected.
Identification of the cleavage site of protein 4.1.
(A) The structure of human erythrocyte protein 4.1 containing 4 structural domains. Hatched box represents the 21-aa peptide within the 10 kDa spectrin–actin-binding domain. (B) SDS-PAGE analysis of recombinant protein 4.1 digested with FP-2. A segment of protein 4.1 encoding aa 294 to 588 expressed as a His-tagged protein inE coli was bound to Ni-NTA beads (lane 1), digested with 0.2 μM rFP-2, pH 7.5, for 30 minutes at 37°C, and centrifuged to collect beads (lane 2), and bound protein was eluted in minimum volume of a buffer containing 1 M imidazole (lane 3). (C) Amino acid sequence of the 10-kd spectrin–actin-binding domain indicating the position of the cleavage site (arrow). Sequence of 3 peptides is underlined, and position of the 21-aa alternative exon is indicated.
Identification of the cleavage site of protein 4.1.
(A) The structure of human erythrocyte protein 4.1 containing 4 structural domains. Hatched box represents the 21-aa peptide within the 10 kDa spectrin–actin-binding domain. (B) SDS-PAGE analysis of recombinant protein 4.1 digested with FP-2. A segment of protein 4.1 encoding aa 294 to 588 expressed as a His-tagged protein inE coli was bound to Ni-NTA beads (lane 1), digested with 0.2 μM rFP-2, pH 7.5, for 30 minutes at 37°C, and centrifuged to collect beads (lane 2), and bound protein was eluted in minimum volume of a buffer containing 1 M imidazole (lane 3). (C) Amino acid sequence of the 10-kd spectrin–actin-binding domain indicating the position of the cleavage site (arrow). Sequence of 3 peptides is underlined, and position of the 21-aa alternative exon is indicated.
Based on the amino acid sequence of recombinant His-tagged protein, cleavage after lysine-437 appeared to be most consistent with the MALDI-MS data (Figure 3C). Cleavage at this location corresponded to the expected generation of an N-terminal fragment of 16 686.50 d. This finding is further supported by a previous observation demonstrating that native and recombinant FP-2 cleave synthetic peptide substrates containing arginine or lysine residues at the P1 position, with a marked preference for a hydrophobic residue at the P2 position.18
Protein 4.1 peptide containing the cleavage site inhibits all known functions of falcipain-2
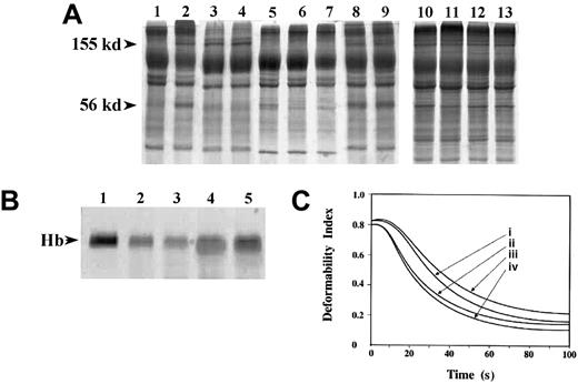
To confirm the specificity of cleavage, we designed 3 peptides termed P1, P2, and P3 (Figure 3C). To determine the effect of these peptides on FP-2–mediated cleavage of erythrocyte ankyrin and protein 4.1, rFP-2 was incubated with spectrin–actin-depleted IOVs at pH 7.5, in the presence of various amounts of peptides (dissolved in dimethyl sulfoxide [DMSO]), followed by SDS-PAGE analysis. Control samples contained the same concentration of DMSO. Intensities of the 155-kd (truncated ankyrin) and 56-kd (truncated protein 4.1) protein bands were monitored. As shown in Figure 4A, increasing amounts of the peptide P1 inhibited FP-2–mediated cleavage of ankyrin and protein 4.1. Quantification of the intensity of the 155-kd band by densitometry showed that peptide P1 had no effect on FP-2 activity at 25 μM and 50 μM (lanes 3-4) but that at concentrations of 500 μM and above it caused nearly 100% inhibition (lanes 5-7). Precise quantification of the 56-kd band is limited because of the presence of several minor proteins in this region. Inhibition constant,Ki, was calculated to be approximately 100 μM for ankyrin and for protein 4.1. Similar values were obtained when recombinant ankyrin and 4.1 fusion proteins were used as substrates (data not shown). Peptides P2 and P3 had no significant effect compared with the control sample.
Effect of protein 4.1 peptides on enzyme activity.
(A) Cleavage of human erythrocyte membrane ankyrin and protein 4.1. Five microliters of human erythrocyte IOVs (2 mg/mL) were added to 25-μL reactions in 5 mM sodium phosphate buffer, pH 7.5, 1 mM DTT containing no enzyme (lane 1), or 0.1 μg rFP-2 in the absence (lane 2) or presence (lanes 3-9) of peptides. Inhibition of ankyrin cleavage was calculated from the intensity of the truncated ankyrin (155-kd band) obtained by densitometry and is given below in parentheses. Lanes 3 to 7: 25 μM (0%), 50 μM (0%), 500 μM (98%), 1000 μM (100%), or 1500 μM (100%), respectively of peptide P1. Lane 8: 1500 μM (5%) peptide P2. Lane 9: 1500 μM (5%) peptide P3. Lanes 10 and 11: 1000 μM (0%) and 1500 μM (5%), respectively, of peptide P4. Lanes 12 and 13: 1000 μM (0%) and 1500 μM (0%), respectively, of peptide P5. Reactions were incubated for 30 minutes at 37°C. Vesicles were analyzed by reducing SDS-PAGE and were stained with Coomassie blue. The sizes of truncated ankyrin and protein 4.1 are shown on the left. (B) Cleavage of human hemoglobin. Three micrograms human hemoglobin was added to 25-μL reactions in 100 mM sodium acetate, pH 5.5, 1 mM DTT containing no enzyme (lane 1), or 100 nM recombinant FP-2 in the absence (lane 2) or presence of increasing amounts of the peptide P1. Inhibition of hemoglobin cleavage is given in parentheses: 100 μM (0%), 500 μM (50%), and 1000 μM (80%), respectively in lanes 3, 4, and 5. Reactions were incubated for 60 minutes at 37°C, analyzed by 15% SDS-PAGE under reducing conditions, and stained with Coomassie blue. (C) Mechanical stability of erythrocyte ghosts. Human erythrocyte ghosts (300 μL) were incubated with 0 μg FP-2 (i), 0.1 μg FP-2 (ii), 0.1 μg FP-2 + 80 μM P1 (iii), or 0.1 μg FP-2 + 80 μM P2 (iv) for 10 minutes at 0°C. Ghosts were subsequently resealed in isotonic solution and subjected to a constant shear stress of 750 dyne/cm2. The rate of change of deformability index was measured in an ektacytometer.
Effect of protein 4.1 peptides on enzyme activity.
(A) Cleavage of human erythrocyte membrane ankyrin and protein 4.1. Five microliters of human erythrocyte IOVs (2 mg/mL) were added to 25-μL reactions in 5 mM sodium phosphate buffer, pH 7.5, 1 mM DTT containing no enzyme (lane 1), or 0.1 μg rFP-2 in the absence (lane 2) or presence (lanes 3-9) of peptides. Inhibition of ankyrin cleavage was calculated from the intensity of the truncated ankyrin (155-kd band) obtained by densitometry and is given below in parentheses. Lanes 3 to 7: 25 μM (0%), 50 μM (0%), 500 μM (98%), 1000 μM (100%), or 1500 μM (100%), respectively of peptide P1. Lane 8: 1500 μM (5%) peptide P2. Lane 9: 1500 μM (5%) peptide P3. Lanes 10 and 11: 1000 μM (0%) and 1500 μM (5%), respectively, of peptide P4. Lanes 12 and 13: 1000 μM (0%) and 1500 μM (0%), respectively, of peptide P5. Reactions were incubated for 30 minutes at 37°C. Vesicles were analyzed by reducing SDS-PAGE and were stained with Coomassie blue. The sizes of truncated ankyrin and protein 4.1 are shown on the left. (B) Cleavage of human hemoglobin. Three micrograms human hemoglobin was added to 25-μL reactions in 100 mM sodium acetate, pH 5.5, 1 mM DTT containing no enzyme (lane 1), or 100 nM recombinant FP-2 in the absence (lane 2) or presence of increasing amounts of the peptide P1. Inhibition of hemoglobin cleavage is given in parentheses: 100 μM (0%), 500 μM (50%), and 1000 μM (80%), respectively in lanes 3, 4, and 5. Reactions were incubated for 60 minutes at 37°C, analyzed by 15% SDS-PAGE under reducing conditions, and stained with Coomassie blue. (C) Mechanical stability of erythrocyte ghosts. Human erythrocyte ghosts (300 μL) were incubated with 0 μg FP-2 (i), 0.1 μg FP-2 (ii), 0.1 μg FP-2 + 80 μM P1 (iii), or 0.1 μg FP-2 + 80 μM P2 (iv) for 10 minutes at 0°C. Ghosts were subsequently resealed in isotonic solution and subjected to a constant shear stress of 750 dyne/cm2. The rate of change of deformability index was measured in an ektacytometer.
To further confirm the proposed protein 4.1 cleavage site, lysine 437 in peptide P1 was replaced with glutamic acid. The new peptide is termed P4 (DLDKSQEEIEKHHASI). In addition, because previous studies have shown that the amino acid at the P2 position plays a key role in mediating substrate specificity of FP-2,18 we replaced isoleucine 436 with glutamic acid to generate peptide P5 (DLDKSQEEEKKHHASI). The effect of these peptides on FP-2–mediated cleavage of erythrocyte ankyrin and protein 4.1 was tested using spectrin–actin-depleted IOVs as described above. As shown in Figure 4A (lanes 10-13), peptides P4 and P5 had no effect on FP-2 activity at concentrations identical to those of the inhibitory peptide P1. These results further confirm that FP-2 cleaves protein 4.1 at lysine 437 and that a hydrophobic but not charged amino acid is preferred at position P2.
Because FP-2 also cleaves hemoglobin,18 we tested the effect of peptide P1 on hemoglobin degradation. Recombinant FP-2 was incubated with human hemoglobin in 100 mM sodium acetate, pH 5.5, 1 mM DTT, and varying amounts of the peptide P1. As shown in Figure 4B, FP-2–mediated degradation of human hemoglobin was also inhibited with increasing amounts of peptide P1.Ki was determined to be approximately 350 μM, suggesting that P1 is a more potent inhibitor of the hydrolysis of ankyrin and protein 4.1 than hemoglobin.
Previously, we showed that the incubation of erythrocyte membrane ghosts with native or rFP-2 leads to membrane instability, as evidenced by an increased rate of membrane fragmentation.16 17 To determine whether peptide P1 is sufficient to reverse the action of FP-2, FP-2 preincubated with the peptide was added to freshly prepared hemoglobin-free erythrocyte ghosts and incubated for 10 minutes at 0°C. These ghosts were then resealed and subjected to a constant shear stress to measure mechanical stability using an ektacytometer. As shown in Figure 4C, 80 μM P1 completely blocked FP-2–mediated increases in the rate of fragmentation of ghosts, whereas peptide P2 had no significant effect compared with the control. Immunoblot analysis of resealed ghosts, using antiankyrin and antiprotein 4.1 antibodies, confirmed that peptide P1 inhibited the degradation of ankyrin and protein 4.1 (data not shown).
Discussion
The mechanism of merozoite release from host red blood cells is largely unknown; however, considerable evidence now suggests that cysteine proteases are involved. Blood stages of P falciparum express several sets of proteases; a number of them are active in hydrolyzing RBC hemoglobin and thus are not relevant to merozoite release. However, other proteases expressed at the late stages of parasite development are likely to play a role during merozoite release from RBCs. Previous studies have shown that the cysteine protease FP-2 cleaves hemoglobin18 and specific components of erythrocyte membrane skeleton.16 17 This latter action of FP-2 may be relevant to the release process. Western blot analysis of soluble parasite extracts using antibodies raised against rFP-2 detected a protein of approximately 27 kd, corresponding to mature FP-2 in the trophozoites and schizonts but not in rings, suggesting that active FP-2 is present through most of the erythrocytic life cycle. The goal of this study was to determine the temporal changes in the expression of cysteine protease activity against hemoglobin and skeletal proteins. The protease activity in soluble parasite extracts is similar to that in rFP-2 in terms of molecular mass, inhibition profile, and substrate specificity. We show that hemoglobin-hydrolyzing activity is maximal at the early trophozoite stage, whereas the activity against erythrocyte membrane ankyrin and protein 4.1 is markedly increased at the late trophozoite and schizont stages of parasite development.
P falciparum is reported to contain relatively few cysteine proteases. These include 3 falcipains—FP-1,26FP-2,18,27 and FP-328—a 35- to 40-kd protease activity in schizonts with no known function,29and a 68-kd merozoite proteinase for erythrocyte invasion.15 The last 2 enzymes could be easily distinguished from FP-2 on the basis of molecular mass. However, we did not detect these activities on gelatin-substrate SDS-PAGE of soluble parasite extracts, suggesting that either these proteases are present in small amounts or are not active under the conditions we tested. On the other hand, the molecular masses of the 3 falcipains are similar. All 3 falcipains are believed to cleave hemoglobin. FP-1 is a low-abundance enzyme, whereas FP-2 and FP-3 are present in large amounts and share 65% identity in their mature domains.28Thus, it is likely that the cysteine protease activity we have detected in the parasite extracts represents a combination of FP-2 and FP-3 proteases. Specifically, hemoglobin degradation seen in Figure 1D could also, at least in part, be attributed to FP-3 activity. While the effect of FP-3 on membrane skeletal protein degradation has not been examined to date, rFP-2 cleaves skeletal proteins ankyrin and protein 4.1, producing a cleavage pattern identical to that produced with soluble extracts. Therefore, we believe that FP-2 is likely one principal enzyme responsible for the observed cleavages and have designated the cysteine protease activity of parasite extracts as FP-2 throughout this paper.
Our previous studies have provided convincing evidence that FP-2 cleaves erythrocyte ankyrin and protein 4.1 in vitro.16 17To extend this observation in vivo, intact erythrocytes infected with stage-specific parasites were directly solubilized in boiling SDS sample buffer and were examined by Western blotting using antiankyrin and antiprotein 4.1 antibodies. Truncated ankyrin and protein 4.1 were detected in the trophozoite- and schizont-infected RBCs but not in uninfected or ring-infected RBCs, suggesting that proteolytic degradation of host membrane proteins takes place in vivo at late stages of parasite development. This result is consistent with the late-stage expression of cysteine protease activity against ankyrin and protein 4.1 (Figure 1).
The cleavage of recombinant protein 4.1 with FP-2 followed by MALDI-MS analysis of cleaved product revealed the cleavage site immediately after lysine 437. This cleavage site is consistent with the previous finding that native and recombinant FP-2 show a strong preference for a hydrophobic residue at the P2 position.18 Based on the amino acid sequence at the cleavage site of protein 4.1, we have performed an extensive homology search within ankyrin but did not find any obvious cleavage site consensus sequence(s). Therefore, it is possible that the cleavage of ankyrin by FP-2 is governed not just by amino acid sequence but also by the state of the protein. In the case of protein 4.1, however, the precise sequence appears to be essential for cleavage because a 16-mer peptide based on the amino acid sequence of the cleavage site completely blocks the proteolysis of substrates by refolded FP-2 in solution, whereas 2 other adjoining peptides had no significant effect.
Erythrocyte protein 4.1 (or 4.1R) is a multifunctional protein that is critical for the organization and maintenance of the spectrin-actin skeleton and for the attachment of the skeleton to the plasma membrane.22 The 10-kd spectrin–actin-binding domain of protein 4.1 is encoded by an alternatively spliced exon (encoding the N-terminal 21 aa) and a constitutive exon (encoding the C-terminal 59 aa).30 Previous studies have shown that the 21-aa alternative cassette plus the following 43 aa within the 10-kd spectrin–actin-binding domain are required for 4.1-spectrin binary interactions, which are critical for erythrocyte membrane stability.31 Thus, cleavage of protein 4.1 at lysine 437, which is located within the 43 aa, will be expected to result in a marked decrease in binary and ternary interactions involving protein 4.1, spectrin, and actin, and, in turn, may result in reduced association of spectrin and actin to the plasma membrane, and hence a markedly unstable membrane skeleton. This is consistent with our previous observation that the incubation of human erythrocyte ghosts with FP-2 destabilizes the membrane.16 17 The data shown in this article documenting the inhibitory effect of peptide P1 on FP-2–induced proteolysis provide additional proof of our proposed hypothesis.
It should be noted that the conclusions of this paper regarding the involvement of cysteine proteases in the release of merozoites from the red cell differ from those of Salmon et al.5 The latter report demonstrates that a cysteine protease inhibitor, E64, blocks the release of merozoites from within the PVM and not from the red cell membrane. This discrepancy could be attributed to the fact that E64 is an irreversible, membrane-impermeable inhibitor that likely enters an infected RBC through parasite-induced permeation pathways32 and targets the intracellular parasite but not the RBC. Consistent with this notion, our recent unpublished studies (September 2001) have shown that in the presence of a membrane-permeable cysteine protease inhibitor, MDL 28170, parasite release is completely blocked from both the PVM and the RBC membrane. These studies thus suggest that the route of entry of inhibitors target them to different compartments within parasitized RBCs, giving rise to entirely different conclusions. Moreover, proteolytic degradation of ankyrin and protein 4.1 observed in the trophozoite- and schizont-infected RBCs, but not in uninfected or ring-infected RBCs (Figure 2), and the demonstration that FP-2 can destabilize the red cell membrane are key observations in favor of our proposed hypothesis.
Taken together, our results suggest that FP-2 is a dual-function protease cleaving hemoglobin at the early trophozoite stage and that it targets specific components of the erythrocyte membrane skeleton at the late stages of parasite development. Importantly, this dual function of FP-2 is governed by the unique pH differential that exists in the 2 target compartments. The identification of a 16-mer inhibitory peptide derived from the cleavage site of protein 4.1 sets the stage for the rational design of membrane-permeable inhibitors of FP-2, which, either by themselves or in conjunction with established therapies, may offer an alternative mode of treatment for malaria.
We thank Dr Philip Rosenthal for the generous gift of recombinant falcipain-2 and Donna-Marie Mironchuk for the artwork.
Prepublished online as Blood First Edition Paper, April 30, 2002; DOI 10.1182/blood-2002-01-0101.
Supported in part by National Institutes of Health grant HL60152 (M.H.).
The publication costs of this article were defrayed in part by page charge payment. Therefore, and solely to indicate this fact, this article is hereby marked “advertisement” in accordance with 18 U.S.C. section 1734.
References
Author notes
Manjit Hanspal, Division of Hematology Research, ACH 406, St Elizabeth's Medical Center, Boston, MA 02135; e-mail:manjit_hanspal@cchcs.org.



