Abstract
Despite modern technologies, such as immunophenotyping and molecular probing, cytomorphologic examination of stained peripheral blood smears by microscopy remains the mainstay of diagnosis in a large variety of diseases. This holds true especially in underdeveloped or rural areas where profound expertise and equipment are not easily available. Although communication technologies have been dramatically improved, telehematology has not become routine. To date, little information is available on which procedures are critical for successful implementation. Therefore, a study evaluating possible factors that prevented implementation of telehematology was initiated. We found that staining technique, smearing procedure, training skills, number of captured images, and prevalent disease influenced the accuracy of diagnosis by the reference laboratory. Using realtime teleconferencing allowed for overcoming these deficits. Together, when certain rules are observed, telehematology allows for rapid, accurate, standardized, and cheap expert advice. This technology should improve treatment of patients in remote areas where expertise is not available.
Introduction
In clinical laboratory testing, evaluation of peripheral blood and bone marrow smears is essential for diagnosis of diseases, especially those of the blood. Although technically simple, morphologic analysis requires considerable skill. For accurate diagnosis of blood diseases, well-trained and experienced medical laboratory technicians, as well as experienced hematologists, are required. Technicians in small peripheral medical laboratories may be inexperienced in evaluating rare pathologies. Because early diagnosis in several hematologic diseases is important (eg, acute promyelocytic leukemia associated frequently with disseminated intravascular coagulation), rapidly available expert advice would represent a major step in quality improvement of peripheral health care. In remote areas, referral of the patient to tertiary care centers is only justified after a solid diagnosis is obtained. Because many disorders can be diagnosed by pathognomonic blood smears, dangerous delays and unnecessary referrals could be avoided if appropriate hematologic expertise is obtained in time. But unlike numerical data such as complete blood count and biochemical markers, it has been difficult to report cell morphology from remote sites. Digital transmission in the field of the pathologic testing is used in increasing frequency.1 In hematology, support of diagnosis and clinical practices by using digitally transmitted images is not yet routine. Recently, standardized systems for digital transmission of visual information in hematology (telehematology) have become available. It is now possible to handle images viewed through a microscope on a computer by electronically capturing pictures of peripheral blood and bone marrow smears by using charge-coupled device (CCD) cameras in a standardized fashion. Although the technical aspects of rapid transmission of high-quality images has been solved, specific hematologic issues have not been addressed to date, such as the role of staining procedure, level of experience and training of staff obtaining images, and competence of staff hematologist evaluating the images. To establish the hematology-specific requirements for correct diagnosis of a blood smear obtained at a remote site, patients with a variety of diseases were analyzed in a blinded fashion. This test included 30 different cases with distinct diseases. This technology could prove useful in countries with large rural areas (China, Canada, Greece, etc) or in emerging countries. Nevertheless, even in privileged countries with high population density, second opinion gathering through standardized telehematology might prove useful as well.
Study design
In an experimental setting using a newly developed telehematology system (LAFIA; Sysmex, Kobe, Japan), the situation between a small peripheral routine laboratory and a hematology reference laboratory was simulated. The transmitting workstation (peripheral laboratory) was located remotely from the receiving workstation (reference laboratory). The reference laboratory (featuring a technician with wide experience in hematology and a hematologist) was requested to evaluate the chosen photographs of blood smears received from the peripheral laboratory by e-mail (Figure 1). The diagnoses were compared with direct microscopic evaluation of the smears by an expert (gold standard) without the use of telehematology (Figure 2). Several factors influencing the quality of expert advice were examined. These factors included a staining or smear technique different from the reference laboratory, different numbers of transmitted photographs (1 or 3 per case), and different levels of expertise of the person in the peripheral laboratory selecting the photographs (hematologist, general practitioner, and clinical chemistry technician). The effect of these factors on the accuracy of expert diagnosis was assessed by transmitting (e-mail) different sets of photographs (JPG format) obtained from blood smears of 30 different cases covering a wide variety of common hematologic diseases (Table 1). The effect of teleconferencing was evaluated by using real-time transmission of the microscopic procedure. This dynamic system transmits live images of smears from the microscope at the remote site to a monitor at the reference laboratory. The expert gains the possibility to control the microscopic procedure while viewing simultaneously, giving technical instructions in selecting diagnostic fields, and adjusting focus magnification and illumination. The 2 participants can communicate by phone and draw each other's attention to specific details. Therefore, with real-time hematology the smears can be analyzed as with locally available microscopy. Statistics were based on the chi square test (applying Yates correction for continuity), comparing the proportion of correctly reported expert diagnosis to the gold standard. P values were calculated 2-tailed; the level of significance was set at ≤ .05.
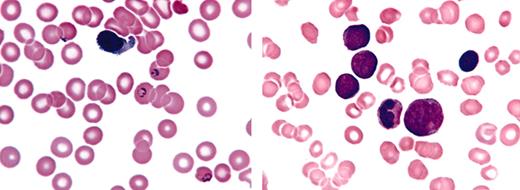
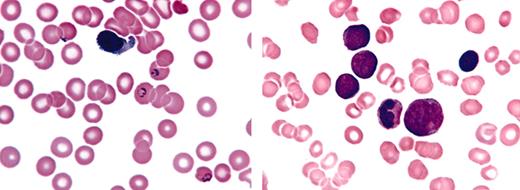
Examples of blood smear photographs transmitted from the peripheral lab to the reference lab. Malaria (left) and acute leukemia (right) are selected. Wright stain was used. Original magnification, × 500.
Examples of blood smear photographs transmitted from the peripheral lab to the reference lab. Malaria (left) and acute leukemia (right) are selected. Wright stain was used. Original magnification, × 500.
Settings in the peripheral lab influencing the diagnostic accuracy in the reference lab using telehematology.
Settings in the peripheral lab influencing the diagnostic accuracy in the reference lab using telehematology.
Results and discussion
Images acquired by LAFIA provided a 640 by 480 pixel image resolution and were stored in JPG format (approximately 250 kB). These electronic images imported into a computer by a CCD camera and sent by e-mail can reproduce microscopic findings very accurately. As expected, using a hematologist in the peripheral laboratory, the diagnostic accuracy in the reference laboratory achieved 100% when transmitting 3 pictures per case. Interestingly, when the hematologist was mailing only 1 photograph per case, the diagnostic accuracy dropped to 57% (17 of 30; P < .001). The difficulty was that a proper number of images of cells was not reached with only 1 photograph per case. The expert diagnosis was better when more cells were available for evaluating. Even when a hematologist in the peripheral laboratory transmitted 3 pictures of smears prepared with a different stain (Pappenheim) than that used in the reference laboratory (Wright stain), the accuracy was lower (27 of 30; NS, P = .24). Also the use of a different smear technique (automation versus spun smears) decreased the accuracy to 72% (18 of 25; P = .008). Disorders of red blood cells were judged accurately in most cases in almost all settings. Problems in judging the smears arose predominantly in disorders of white blood cells (eg, lymphoproliferative disorders and acute leukemia), especially when leukopenia was present additionally. Cell characteristics such as nuclear reticular structure, presence or absence of nucleolus, and granular or color tone of cytoplasm often enabled the diagnosis. Further, a general practitioner transmitting 3 pictures allowed 63% (19 of 30; P = .001), and the clinical chemistry technician transmitting 3 pictures had only 37% diagnostic accuracy (11 of 30; P < .001). Thus, a lower level of specialized knowledge of the person in the peripheral laboratory choosing the photographs resulted in a significantly lower accuracy of expert advice. The lower skilled persons often selected photographs that were not representative for the diagnosis, eg, healthy blood cells instead of blast cells in the case of acute leukemia. This deficit was compensated if real-time microscopy was available. This method enabled a clinical chemistry technician to obtain images that improved the accuracy significantly to 100% (P < .001). Interpretation of images sent by an inexperienced technician was more difficult as demonstrated. However, a basic knowledge in hematology at the periphery is sufficient for sending the right images to the reference laboratory. No expert experience was necessary. Real-time hematology would overcome these difficulties, yet would be a laborious and expensive alternative method. Standardization of staining and smearing procedure, capturing of 3 images, and a minimum of training of a technologist are sufficient for successful telehematology together with a modest technical investment.
We conclude that transmitting blood smear photographs by way of e-mail is feasible to offer rapid expert advice to peripheral laboratories. However, there are factors negatively affecting the accuracy of telehematology diagnosis. Real-time telehematology is the method of choice to overcome these factors. As an other option it facilitates a second opinion from a colleague, who has particular expertise in a special field, or to confirm a clinician's diagnosis by asking the advice of an expert.
Prepublished online as Blood First Edition Paper, September 11, 2003; DOI 10.1182/blood-2003-05-1615.
The publication costs of this article were defrayed in part by page charge payment. Therefore, and solely to indicate this fact, this article is hereby marked “advertisement” in accordance with 18 U.S.C. section 1734.



