We carried out HLA-matched related (n = 16) and unrelated (n = 17) hematopoietic cell transplantation (HCT) in 33 patients with relapsed and refractory mantle cell lymphoma after nonmyeloablative conditioning with fludarabine and 2 Gy total body irradiation. Postgrafting immunosuppression consisted of cyclosporine and mycophenolate mofetil. Fourteen patients had failed high-dose autologous HCT. Of the 33 patients studied, 31 had stable engraftment, whereas 2 patients experienced nonfatal graft rejections. The incidences of acute grades II, III, and IV, and chronic graft-versus-host disease (GVHD) were 27%, 17%, 13%, and 64%, respectively. The overall response rate in the 20 patients with measurable disease at the time of HCT was 85% (n = 17; 75% complete remissions [CR] and 10% partial remissions [PR]), whereas 3 patients had progressive disease. Only one of the 17 patients who responded and none of the 13 who received transplants in CR had disease relapse with a median follow-up of 24.6 months. Relapse and nonrelapse mortalities were 9% and 24%, respectively, at 2 years. The Kaplan-Meier probabilities of overall and disease-free survivals at 2 years were 65% and 60%, respectively. Allogeneic HCT after nonmyeloablative conditioning is a promising salvage strategy for patients with relapsed and refractory mantle cell lymphoma. The high response and low relapse rates with this approach suggest that mantle cell lymphoma is susceptible to graft-versus-tumor responses.
Introduction
The median life expectancy after the diagnosis of mantle cell lymphoma has been 36 months to 52 months1 and recurrent disease has been considered incurable with conventional chemotherapy.1-6 Most patients present with advanced stage (IV) disease, and while the disease is often sensitive to chemotherapy, relapse and resistance to chemotherapy continue to be significant problems.7 The use of rituximab in front-line therapy might improve disease-free survival; however, treatment with R-CHOP (rituximab-cyclophosphamide, vincristine, adriamycin, prednisone) has led to median progression-free survival of only 16 months despite the achievement of molecular remissions.6 The use of R-Hyper-CVAD (rituximab-cyclophosphamide, vincristine, adriamycin, prednisone, methotrexate, cytarabine) also has been associated with high complete remission (CR) rates; however, late relapses continue to be observed. Incorporation of high-dose therapy and autologous hematopoietic cell transplantation (HCT) after intensive induction therapy has been associated with progression-free survival rates in the 60% to 80% range at 3 to 5 years.8-11
For patients with relapsed and refractory disease, standard high-dose therapy and autologous HCT has been ineffective.9,12,13 The use of radiolabeled antibodies in the conditioning regimen might provide added tumor-specific therapy and improve outcome.14 However, patients who relapsed after high-dose therapy and autologous HCT have had few options for long-term disease control. Most salvage attempts with additional intensive chemotherapy with or without autologous HCT have not been effective due to disease recurrence or toxicities.12,15,16 As a consequence, there are no accepted salvage treatment options for patients with relapsed or refractory mantle cell lymphoma.
Long-term remissions and possibly cures have been described for patients with mantle cell lymphoma with allogeneic HCT after conventional high-dose conditioning regimens.9,17,18 However, high-dose allogeneic HCT was associated with a 30% to 40% risk of early nonrelapse mortality, which has tempered enthusiasm for exploring this approach in patients with mantle cell lymphoma, especially in those who previously failed autologous HCT.19-22 More recently, promising results have been seen with reduced-intensity conditioning and allogeneic HCT in chemotherapy responsive patients23 compared with more advanced-stage patients.15,16 Some of these trials used in vivo T-cell depletion with alemtuzamab to reduce graft-versus-host disease (GVHD) risk.15,16
We hypothesized that a nonmyeloablative conditioning regimen consisting of 30 mg/m2 per day of fludarabine, given on 3 consecutive days, and 2 Gy total body irradiation (TBI) in concert with postgrafting immunosuppression by cyclosporine (CSP) and mycophenolate mofetil (MMF),24,25 would allow stable engraftment of allogeneic hematopoietic cells. The low-dose regimen was expected to reduce toxicities and mortality in heavily pretreated patients. We speculated that donor immune cells might eradicate malignant cells through graft-versus-tumor (GVT) reactions. In this report, we describe the clinical outcomes of 33 patients with mantle cell lymphoma, 28 of whom had advanced disease, who were given HCT grafts from related or unrelated donors after nonmyeloablative conditioning.
Patients, materials, and methods
Eligibility criteria
Between February 5, 1997, and August 29, 2003, 33 patients with mantle cell lymphoma received nonmyeloablative conditioning and allogeneic HCT on 7 separate phase 1 or 2 multi-institutional Fred Hutchinson Cancer Research Center (FHCRC) protocols (no. 1225, n = 2; no. 1409, n = 3; no. 1463, n = 7; no. 1533, n = 1; no. 1591, n = 2; no. 1596, n = 10; and no. 1641, n = 8). The primary differences among the protocols were related to the use of HLA-identical siblings, 10 of 10 HLA antigen-matched unrelated individuals, as well as one HLA antigen-mismatched related or unrelated individuals, as HCT donors, and variations in the duration and intensity of postgrafting immune suppression with CSP and MMF. The variations in immune suppression were aimed at reducing the risks of both GVHD and graft rejection. There were 3 patients who received planned autologous HCT as cytoreduction 40 to 80 days before allogeneic HCT.
The studies were performed at 7 academic centers including the FHCRC, University of Washington, Seattle Veterans Affairs Medical Center, Oregon Health and Science University, Stanford University, Baylor University, Emory University, and University of Utah. The FHCRC served as the coordinating center for all protocols. Protocols were approved by the institutional review boards (IRBs) at the FHCRC and each of the collaborating sites. Patients signed consent forms approved by the local IRB. Patients were eligible for the protocols if they were more than 50 years old. Younger patients (n = 10) were included if they were at prohibitive risk for nonrelapse mortality with conventional conditioning due to comorbid conditions or because of failed autologous HCT.15,19,26
Patients were not eligible for protocols if they were pregnant, had decompensated liver disease, corrected pulmonary diffusion capacity of less than 35%, cardiac ejection fraction of less than 30%, Karnofsky performance status of less than 50, or serologic evidence of infection with the human immunodeficiency virus. No exclusions were made for disease status or chemotherapy sensitivity, though most patients received salvage chemotherapy in attempts to reduce disease bulk. No exclusions were made for renal insufficiency or active bacterial or fungal infections. However, most recent protocols required that fungal pneumonitis be stable on therapeutic azole therapy for at least one month before HCT.
HLA typing and matching
Patients and donors were typed for HLA-A, -B, and -C by intermediate resolution DNA typing to a level at least as sensitive as serology, and DR-B1 and DQ-B1 by high-resolution techniques.27 All 16 related donors were matched with their donors for 10 of 10 HLA alleles. Of the 17 unrelated recipients, 13 were matched with their donors at the allele level for 10 HLA loci (HLA-A, -B, -C, DR-B1, and DQ-B1), 2 had single HLA allele level mismatches, one had a single HLA antigen mismatch, and one had a combined single HLA antigen and allele mismatch. All allele and antigen mismatches were for HLA class I antigens (Table 1).
Patients
Patient characteristics are shown in Table 1. The median patient age was 53.5 years (range, 32.6 to 69.6 years). There were 27 males and 6 females. Comorbidity scores were assigned to patients using criteria modified from Charlson et al.28-30 Using this methodology, 20 patients had score “0,” 7 had score “1,” 2 had score “2,” one patient each had scores “3,” “4,” and “5,” and one patient could not be scored. The patients' diagnoses were confirmed before HCT with review of pathology specimens, flow cytometry reports, and, if available, cytogenetic analyses and molecular studies. The median time from disease diagnosis to HCT was 2.8 years (range, 0.4 to 9.5 years). The median number of treatment regimens was 4 (range, 1 to 10). Recipients of unrelated grafts were more heavily pretreated than those of related grafts (median treatment regimens 5 versus 3, respectively). 42% of patients had failed autologous HCT (10 of 17 unrelated recipients versus 4 of 16 sibling recipients). There were 3 additional patients who had planned autologous HCT one to 3 months before allogeneic HCT in an attempt to reduce disease burden. Before nonmyeloablative HCT, patients were defined as having “responsive disease” if they had at least a partial remission (PR; 50% or greater reduction in tumor masses) or CR (no detectable disease by radiology, endoscopy, marrow morphology, or marrow phenotyping) to the last chemotherapy administered. Patients were considered “refractory” to salvage therapy if they had less than a PR (ie, stable or progressive tumor growth) to the last therapy administered. Patients with recurrent disease after having previously documented responsive disease were considered to have “untested relapse.” Thirty-nine percent of patients were refractory to salvage chemotherapy or planned autologous HCT (Table 1). Similar proportions of unrelated recipients (41%) and related recipients (38%) had refractory disease. Of 20 patients with measurable disease, 9 had minimal (largest lymph node < 1.5 cm), 5 had moderate (largest lymph node ≥ 1.5 cm and < 5 cm), and 6 had large disease burdens (largest lymph node ≥ 5 cm). Moderate to large disease burdens were found in 41% of the unrelated recipients, compared with 25% of the related recipients. The median follow-up after HCT for surviving patients was 24.6 months (range, 2.7 to 41.7 months). Early results in 7 of the 33 patients have been reported previously.25
Conditioning regimen and postgrafting immunosuppression
Patients received 30 mg/m2 per day of fludarabine on days –4, –3, and –2 before HCT, and 2 Gy of TBI at a rate of .07 Gy/min from linear accelerators on the day of HCT (day 0). Immunosuppressive therapy with 5.0 mg/kg to 6.25 mg/kg CSP, given orally twice a day, was started on day –3, and 15 mg/kg MMF, given orally twice or 3 times a day, was started 4 to 6 hours after HCT on day 0. Intravenous formulations of CSP and MMF were administered if patients were not able to tolerate oral medications. Discontinuation of immunosuppression for patients without GVHD was mandated by individual protocols. All recipients of HLA-identical related grafts had MMF stopped at day 28, whereas CSP was tapered beginning on day 56 over 21 days for 8 patients with advanced-stage disease and 2 in first CR, or over 124 days for 3 patients with cytoreductive autologous HCT and 2 in first CR. For patients with HLA matched or single allele mismatched unrelated donors, MMF was tapered at day 40 over 56 days and CSP was tapered at day 100 over 80 days. In 8 of the unrelated recipients, 15 mg/kg MMF was given 3 times a day, with the same tapering schedule. For recipients of single HLA antigen and combined HLA antigen and allele mismatched grafts, 15 mg/kg MMF was given 3 times a day and was tapered at day 100 over 2 months and CSP was tapered at day 180 over 180 days.
Collection of hematopoietic cells
Sibling donors received 16 μg/kg granulocyte colony-stimulating factor (G-CSF) on day –5 through day 0. Leukapheresis procedures were performed on day –1 and day 0. G-CSF–mobilized peripheral blood mononuclear cells (G-PBMCs) were given with median doses of 9.33 × 106/kg CD34 (range, 3.83 to 15.21 × 106/kg) and 3.26 × 108/kg CD3 (range, 1.94 to 7.6 × 108/kg), respectively. The collections of unrelated marrow (n = 2) and G-PBMCs (n = 15) were coordinated through unrelated donor centers.25 The median CD34 and CD3 cell doses were 7.05 × 106/kg (range, 1.57 to 25.98 × 106/kg) and 2.23 × 108/kg (range, 0.23 to 6.9 × 108/kg), respectively. Portions of the unrelated G-PBMC products, containing 1 × 107 CD3+ cells/kg, were cryopreserved for possible later use as donor lymphocyte infusions. Red blood cell (RBC)–depleted HCT was performed in ABO-mismatched patients with high titers of antidonor isohemagglutinins.
Supportive care
Patients were managed in the ambulatory care clinic except during the scheduled infusions of unrelated hematopoietic cells or whenever complications mandated closer medical supervision and/or therapy. Antimicrobial prophylaxis, cytomegalovirus prophylaxis, and blood product support have been described.25
GVHD grading and therapy
The local investigators used standard criteria to grade acute and chronic GVHD.31 Treatment of acute and chronic GVHD was per each institution's standard practice guidelines. First-line therapy for isolated proximal gut GVHD often consisted of methylprednisolone at one mg/kg per day or oral beclomethasone with or without systemic corticosteroids.
Follow-up
Health-care providers examined patients at least 3 times a week for the first month and then weekly or more frequently depending on the patients' clinical status. Disease-dependent restaging evaluations after HCT occurred at 2 months, 3 months, 6 months, one year, and yearly thereafter, or more frequently depending on clinical circumstances. Evaluations consisted of marrow aspirates for pathology, cytogenetics, flow cytometry and molecular studies, and radiographic examinations. Patients were referred to the care of their local physicians approximately 100 days after HCT.
Treatment of persistent/progressive or relapsed malignancies
Progression or relapse of lymphoma in the absence of severe manifestations of acute or chronic GVHD was treated by rapid discontinuation of systemic immunosuppression in order to initiate GVT effects. Persistent disease not meeting the definition for progression was generally observed without changes in protocol-specified immunosuppressive therapy. Only 1 of the 33 patients received a donor lymphocyte infusion, and this was for falling donor T-cell chimerism, to prevent graft rejection.
Chimerism analyses
Confirmation of donor engraftment was made by chimerism analyses of flow cytometrically sorted peripheral blood granulocytes and T cells, and nucleated marrow cells collected on days 28, 56, 84, 180, and 365, and then yearly after HCT. For recipients of sex-mismatched HCT, chimerism analyses were based on fluorescent in situ hybridization (FISH) for X and Y chromosomes32 and for the remainder on polymerase chain reaction–based amplification of variable number tandem repeat (VNTR) sequences unique to donors and hosts.33 For all patients who underwent transplantation at Stanford University, VNTR analyses were used exclusively.
Study end points
Data were analyzed as of December 1, 2003. The primary study end points were hematopoietic engraftment, survival, progression-free survival, and nonrelapse mortality. Secondary outcomes included the incidence and severity of GVHD, and evaluation of GVT responses. Patients were considered to have died of nonrelapse mortality if there was no evidence of disease relapse or progression. Patients with persistent disease with no evidence of progression were considered at risk for nonrelapse mortality. Disease responses and progression were defined by standard criteria.34 Neutrophil recovery was defined as the first of 3 consecutive days with neutrophil counts of more than 0.5 × 109/L. Platelet recovery was defined as the first of 3 consecutive days with platelet counts of more than 20 × 109/L without transfusion support.
Statistical methods
Survival and progression-free survival were estimated by the Kaplan-Meier method. Cumulative incidence estimates were calculated for graft rejection, acute GVHD, relapse, and nonrelapse mortality. Hazard ratios were estimated from Cox regression models. Deaths were treated as competing events in analyses of graft rejection, GVHD, and disease progression. Rejection was treated as a competing event in analyses of GVHD. Progression and nonrelapse mortality were the components of progression-free survival and were treated as competing events. Factors considered in univariate analysis for nonrelapse mortality, relapse/progression, overall survival, and progression-free survival included detectable lymphoma by flow cytometry or marrow morphology, donor status, Charlson comorbidity score, donor-recipient sex mismatch, HLA antigen or allele mismatch, prior autologous HCT, chemotherapy sensitivity, disease burden, β2 microglobulin above or below the median, lactate dehydrogenase level, number of prior treatment regimens, patient age, CD34 cell dose, and CD3 cell dose. Multivariate models were not constructed because of the small sample size, small number of events, and lack of multiple significant univariate risk factors. All P values were derived from likelihood ratio statistics and were 2-sided.
Putative GVT effects were evaluated using time-dependent Cox regression models. To accommodate changes in GVHD with time after transplantation, patients were assigned to 2 time-dependent acute GVHD comparison groups (no acute GVHD versus grades I to IV GVHD), and to 2 time-dependent chronic GVHD groups (no or limited chronic GVHD versus clinical extensive chronic GVHD). All patients were considered to be in the “no acute GVHD” and “no chronic GVHD” groups on day 0. They were then assigned to their acute GVHD group and/or their chronic GVHD group at the time of onset of each grade of acute or chronic extensive GVHD, respectively, and their subsequent probabilities of achieving CR was compared with patients surviving a similar length of time without developing acute or chronic extensive GVHD.
Results
Engraftment
The median neutrophil nadir and median duration of neutropenia were 200 cells/μL and 4 days, respectively. The median platelet nadir was 38 000/μL. The median levels of day 28 donor CD3, CD33, and marrow chimerism were 95%, 98%, and 97%, respectively. Of the 33 patients in the study, 30 had sustained donor engraftment and progressive increases of donor chimerism in all lineages to 100%, usually by 6 months after HCT.
There were 2 (6%) patients who rejected their HLA allele-matched unrelated donor marrow (n = 1) or G-PBMC (n = 1) grafts, and a third patient developed marrow aplasia after donor lymphocyte infusion for low (33%) donor T-cell chimerism. One of the 3 patients had mixed chimerism in peripheral blood CD3 and granulocyte lineages and marrow cells for more than 18 months before eventually rejecting his unrelated marrow graft and experiencing autologous marrow recovery. This patient had developed transient myelodysplastic marrow and clonal abnormalities in host cells for 19 months (chromosome 7 deletion and a translocation between chromosome 7 and short arm of chromosome 18 in 4 of 16 cells). Recently, both the myelodysplastic features and the cytogenetic abnormalities have resolved, and the patient's lymphoma has remained in remission. A second patient had early rejection of the G-PBMC graft with prolonged neutropenia; a subsequent G-PBMC graft from the same donor after 90 mg/m2 fludarabine and 400 cGy of TBI was also rejected; and a third graft from a second unrelated donor after 120 mg/kg cyclophosphamide, 150 mg/m2 fludarabine, and 7.5 mg/kg thymoglobulin, given over 6 days, was successful.
The final patient with an HLA-identical sibling graft developed aplasia (but maintained donor cell engraftment) after a single dose of pentostatin (2 mg/m2) followed by donor lymphocyte infusion for low donor T-cell chimerism and suspected impending graft rejection. This patient had successful hematologic recovery after another G-PBMC infusion from the same donor following 90 mg/m2 fludarabine and 300 cGy of TBI conditioning, but eventually died of pulmonary aspergillosis.
Toxicity
Toxicities other than those due to GVHD included 66 grade III and 22 grade IV organ-specific episodes (Table 2). There were 8 grade III cardiovascular episodes from calcineurin-induced hypertension and 5 from transient episodes of atrial fibrillation. The grade IV episodes included hematologic (neutropenia and thrombocytopenia), gastrointestinal (anorexia requiring total parenteral nutrition and colonic perforation from colonoscopy), pulmonary (failure requiring mechanical ventilation), and renal (failure requiring dialysis) events.
GVHD
In 45% of patients, there was either no GVHD or fleeting grade I acute GVHD not requiring therapy. Grades II, III, and IV acute GVHD occurred in 27%, 17%, and 13% of patients, respectively (57% overall; Figure 1A). Chronic extensive GVHD occurred in 18 of 28 (64%) patients who were evaluable beyond day 100 (Figure 1B). Complications from acute and chronic GVHD were responsible for the deaths of 4 (12%) patients.
Acute and chronic GVHD. Cumulative probabilities of (A) acute grades II to IV and III to IV GVHD and (B) chronic GVHD.
Acute and chronic GVHD. Cumulative probabilities of (A) acute grades II to IV and III to IV GVHD and (B) chronic GVHD.
GVT and disease-free survival
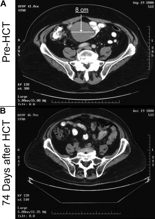
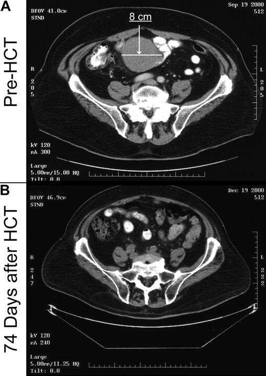
At the time of HCT, 19 patients had measurable disease by CT scan, and one patient had evidence for disease by flow cytometry (Table 3). The disease response rate after transplantation was 85%. An example of an antitumor response after an unrelated donor nonmyeloablative HCT in a heavily pretreated patient with bulky disease who had failed autologous HCT is shown in Figure 2. CR was achieved by 15 patients (75%), including the one with flow cytometry evidence of disease, PR was achieved by 2 patients (10%), and 3 patients (15%) experienced disease progression. The median time to CR was 87 days (range, 21 to 244 days). One of the 15 patients who achieved CR had disease relapse 5 months after HCT, whereas the others have remained in CR. In the time-dependent analysis of the relationship of disease response with GVHD, there was no association between disease response and grades I to IV acute GVHD (P = .36), but a trend was observed with chronic extensive GVHD (P = .09). With an observation time of 24.6 months, all 13 patients who underwent transplantation without evidence of disease have remained in CR. In the patients with progressive disease, one refused further direction or follow-up from the transplant center, one could not have immunosuppression discontinued due to GVHD and concurrent aspergillus infection, and the other 2 had fulminate early lymphoma progression unresponsive to immunosuppression discontinuation. The Kaplan-Meier probability of overall progression-free survival was 60% (95% confidence interval: 43%-78%) at 2 years, and corresponding figures for recipients of related and unrelated grafts were 56% and 66%, respectively (Figure 3). The cumulative probability of relapse at 2 years was 16%. In univariate analysis, the only pretransplantation factor predictive of relapse was the number of preceding treatment regimens. None of 14 patients with less than 4 treatment regimens experienced relapse, compared with 4 of 19 patients with at least 4 regimens (P = .01).
Example of graft-versus-tumor response. Patient no. 20, as shown in Table 1, was a 69-year-old man with rapidly progressive mantle cell NHL. Prior treatments included 8 lines of chemotherapy with only a 6-month remission to high-dose radiolabeled antibodies with autologous peripheral blood stem cell support. At the time of transplantation, he had kinetically failed Etoposide, Methylprednisolone, Ara-C Cisplatin (ESHAP), with rapidly progressive disease during the pretransplantation workup. (A) Pretransplantation computed tomography (CT) scan image (day –27) through the upper pelvis demonstrating an 8-cm by 7-cm mass that extended through twelve 0.5-cm cuts. (B) CT scan image through the same region demonstrating complete resolution of the mass on day +74 after nonmyeloablative transplantation from a matched unrelated donor. The patient remains in remission 30 months after transplantation with no evidence of GVHD.
Example of graft-versus-tumor response. Patient no. 20, as shown in Table 1, was a 69-year-old man with rapidly progressive mantle cell NHL. Prior treatments included 8 lines of chemotherapy with only a 6-month remission to high-dose radiolabeled antibodies with autologous peripheral blood stem cell support. At the time of transplantation, he had kinetically failed Etoposide, Methylprednisolone, Ara-C Cisplatin (ESHAP), with rapidly progressive disease during the pretransplantation workup. (A) Pretransplantation computed tomography (CT) scan image (day –27) through the upper pelvis demonstrating an 8-cm by 7-cm mass that extended through twelve 0.5-cm cuts. (B) CT scan image through the same region demonstrating complete resolution of the mass on day +74 after nonmyeloablative transplantation from a matched unrelated donor. The patient remains in remission 30 months after transplantation with no evidence of GVHD.
Kaplan-Meier estimates of progression-free survival. Progression-free survival of (A) all 33 patients and (B) unrelated (n = 17) and related (n = 16) recipients after nonmyeloablative conditioning and HCT for mantle cell lymphoma.
Kaplan-Meier estimates of progression-free survival. Progression-free survival of (A) all 33 patients and (B) unrelated (n = 17) and related (n = 16) recipients after nonmyeloablative conditioning and HCT for mantle cell lymphoma.
Overall survival and nonrelapse mortality
At the time of this report, 11 patients have died. Of the 11 patients who died, 3 (9%) died of disease progression and 8 (24%) of nonrelapse causes. The cumulative probability of nonrelapse mortality at 2 years was 24% (Figure 4). The Kaplan-Meier probability of overall survival was 64% (95% confidence intervals: 46%-81%) at 2 years, and corresponding figures for recipients of related and unrelated donor grafts were 56% and 74%, respectively (Figure 5). On univariate analysis, the only significant factor that predicted worse survival was a β2 microglobulin level greater than the median of 1.85 (P = .03). However, this is based on only 6 events in the 19 patients who had β2 microglobulin levels available at the time of HCT (Table 1).
Nonrelapse and relapse mortality. Cumulative probabilities of (A) nonrelapse mortality and (B) disease relapse after nonmyeloablative conditioning and allogeneic HCT for mantle cell lymphoma.
Nonrelapse and relapse mortality. Cumulative probabilities of (A) nonrelapse mortality and (B) disease relapse after nonmyeloablative conditioning and allogeneic HCT for mantle cell lymphoma.
Kaplan-Meier estimates of overall survival. Overall survival for (A) all 33 patients and (B) unrelated (n = 17) and related (n = 16) recipients after nonmyeloablative conditioning and HCT for mantle cell lymphoma.
Kaplan-Meier estimates of overall survival. Overall survival for (A) all 33 patients and (B) unrelated (n = 17) and related (n = 16) recipients after nonmyeloablative conditioning and HCT for mantle cell lymphoma.
Nonrelapse causes of death included 4 episodes of grade IV GVHD associated with multiorgan failure (n = 2) or infections (n = 2), infections with aspergillus (n = 2), acute respiratory distress syndrome (n = 1), and pancreatitis with multiorgan failure (n = 1). On univariate analysis, patients 55 years old and younger had worse nonrelapse mortality compared with patients who were older than 55 years (P = .003), presumably because a higher proportion of patients 55 years old or younger had failed previous autologous HCT (11 versus 6 patients, respectively) and had chemotherapy refractory disease or untested relapse (10 versus 6 patients, respectively). There were no differences in the distribution of comorbidity scores between the 2 patient groups.
Discussion
There is no accepted treatment for patients with advanced mantle cell lymphoma.2,3,35 Survival has been poor for heavily treated patients12,36 or those with advanced disease features.8,9 Conventional high-dose allogeneic HCT is rarely used because of a 30% to 40% risk of early nonrelapse mortality even in younger patients with lymphoma.19-21 Recently, reduced intensity regimens have been developed in attempts to reduce nonrelapse mortality while exploiting GVT effects.15,16,23-25
The current study used HCT from related or unrelated donors after nonmyeloablative conditioning to treat patients with advanced mantle cell lymphoma. Despite the low-intensity conditioning regimen, a high rate of clinical remissions was observed. It is unlikely that the mild regimen of 90 mg/m2 fludarabine and 2 Gy TBI produced the sustained responses and more likely that remissions were due to graft-versus-lymphoma effects. Overall, 75% of patients had CR and 10% had PR, and only 12% have relapsed/progressed (6% related and 17% unrelated). The high response rate and the low incidence of relapse/progression were remarkable as 85% of patients had failed front-line or salvage treatments, 40% had failed preceding high-dose therapy and autologous HCT, and 36% were refractory to the last treatment regimen. At 2 years the estimated overall survival was 65% and progression-free survival was 60%. This compares favorably to other published studies of autologous HCT for relapsed and refractory patients.12,13 The only factor identified that adversely affected survival was the pre-HCT β2 microglobulin level. This finding should be interpreted with caution since more than a third of patients did not have this parameter measured at the time of HCT. The only factor predicting a high risk of relapse/progression was exposure to more than 3 lines of preceding therapy. This was also noted previously in patients undergoing autologous HCT.12 It is remarkable that chemotherapy refractoriness was not identified as a risk factor for disease progression/relapse. The reason for the high response rate and low relapse rate in these patients is unclear, but it may be due to differences in cell killing mechanisms between donor immune cell-mediated GVT responses compared to those of chemotherapy.
The nonrelapse mortality at 2 years was 24% with most events occurring by 6 months. Given the small numbers of patients and clinical events, multivariable analysis of this end-point was not possible. However, univariate analysis showed that patients older than 55 years had a lower probability of nonrelapse mortality. Since there was no difference in CCI scores between older and younger patients, this might be explained by a lower proportion of older patients with relapsed/refractory disease at HCT and previous high-dose autologous HCT compared with younger patients. The major causes of nonrelapse death were GVHD (n = 2), GVHD with infections (n = 2), and infections (n = 2), emphasizing the need for better prophylaxis and treatment for acute GVHD and infections. Comorbidities have been shown to play major roles in patients' abilities to tolerate allogeneic HCT,37,38 but in this small series of patients, comorbidities did not impact outcomes.
The current study compares favorably to 2 other reported series, using reduced-intensity conditioning for allogeneic transplantation for comparable patients with mantle cell lymphoma. Robinson et al16 reported the experience of the European Bone Marrow Transplant Lymphoma Working Group's experience of various reduced-intensity conditioning regimens for patients with non-Hodgkin lymphoma (NHL), 22 of whom had mantle cell lymphoma. The one-year overall and progression-free survival, incidence of progression, and treatment-related mortality were 38%, 31%, 48%, and 46%, respectively. Faulkner et al15 reported the experience using Carmustine, etoposide, Ara-C, melphalan, and alemtuzamab for various lymphoproliferative disorders, including 5 patients with mantle cell lymphoma analyzed with 8 patients with high-grade NHL. At 2 years, the rates of relapse, overall survival, and event-free survival were 67.9%, 45.4%, and 16.8%, respectively. In a study by Khouri et al23 of 18 mantle cell patients (17 of whom were in complete remission at the time of HCT), nonrelapse mortality occurred in 2 of 18 patients, and 3 of 18 patients had disease progression. The improved outcomes observed in the current study compared with the studies by Robinson and Faulkner might have been due to the less intensive conditioning, resulting in less toxicity to heavily pretreated patients as well as the lack of T-cell depletion from the use of alemtuzamab for GVHD prophylaxis. T-cell depletion after reduced-intensity conditioning would be expected to attenuate or even abrogate allogeneic GVT responses. Differences in the patient groups prevent ready comparison of the current study to the better-risk patients included in the Khouri study. However, T-cell depletion was not used in the Khouri study, which may explain the similar low relapse rates in that and the current study.
In summary, nonmyeloablative conditioning allowed for successful allogeneic HCT in patients with advanced mantle cell lymphoma and was associated with a high response rate and low risk of relapse at 2 years. We advocate the early identification of appropriately HLA-matched related or unrelated donors so that salvage allogeneic nonmyeloablative HCT can be performed if patients relapse after aggressive chemotherapy induction and high-dose consolidation strategies. Alternatively, the current results also support consideration of earlier integration of allogeneic HCT after nonmyeloablative conditioning as a consolidation strategy for newly diagnosed patients. The treatment of patients earlier in their disease course could result in higher response and lower progression rates, and less risk of nonrelapse mortality. Finally, improvements in supportive care, in particular the prophylaxis and treatment of GVHD and infections, might result in improvements of allogeneic HCT outcomes using nonmyeloablative conditioning for patients with mantle cell lymphoma.
Prepublished online as Blood First Edition Paper, August 10, 2004; DOI 10.1182/blood-2004-06-2275.
Supported in part by grants CA78902, K23 CA92058, CA18029, CA15704, CA49605, and DK56465 from the National Institutes of Health, Department of Health and Human Services, Bethesda, MD.
The publication costs of this article were defrayed in part by page charge payment. Therefore, and solely to indicate this fact, this article is hereby marked “advertisement” in accordance with 18 U.S.C. section 1734.
The authors wish to thank the physicians, nurses, and support staff of the FHCRC and collaborating centers for their dedicated patient care. We also thank the study nurses John Sedgwick, Mary Hinds, Steve Minor, and Linda Cook for their excellent clinical support, and Heather Hildebrandt, Debbie Bassuk, Sarah Ryan, and Scott Baslee for data management and regulatory support. Finally, the authors wish to thank to Bonnie Larson and Helen Crawford for manuscript preparation.









