Topics:
erythroblastic island
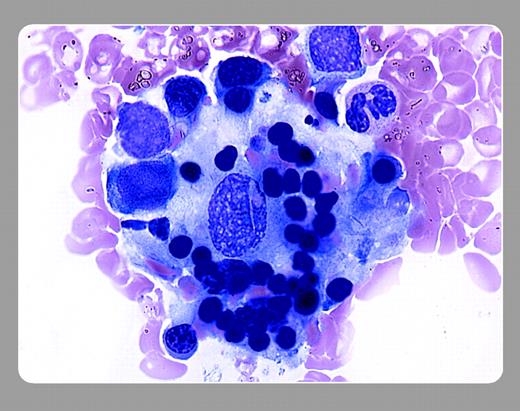
Erythroid precursors surround a “nursing” histiocyte. The organization of cells within these structures is thought to facilitate erythropoiesis. Increased numbers of erythroblastic islands may be seen in regenerating bone marrow.FIG1
Many Blood Work images are provided by the ASH IMAGE BANK, a reference and teaching tool that is continually updated with new atlas images and images of case studies. For more information or to contribute to the Image Bank, visit www.ashimagebank.org.
Copyright © 2004 by The American Society of Hematology
2004

Peter Maslak, Memorial Sloan-Kettering Cancer Center