Abstract
Abstract 3775
Olfactomedin 4 (OLFM4) was initially identified as a gene highly induced in myeloid stem cells by G-CSF treatment and independently as a gene highly expressed in colon cancers. OLFM4 was predicted in a bioinformatics analysis as associated with neutrophil specific granules. We analyzed the expression of OLFM4 mRNA in myeloid cells from normal human bone marrow and demonstrated that expression of OLFM4 mRNA is similar to the expression of LCN2 which codes for the specific granule protein NGAL (Figure 1), but distinct from expression of mRNA for myeloperoxidase and gelatinase which are marker proteins for azurophil granules and gelatinase granules, respectively. Subcellular fractionation of peripheral blood neutrophils demonstrated complete co-localization of OLFM4 with NGAL, and stimulation of neutrophils with fMLP or PMA resulted in co-release of NGAL and OLFM4, indirectly proving that OLFM4 is a genuine constituent of neutrophil specific granules.
mRNA expression profiles for OLFM4 and LCN2 in populations enriched in myeloblasts/promyelocytes (MB/PM), myelocytes/metamyelocytes (MY/MM), banded cells/segmented cells (BC) and peripheral blood neutrophils (pb-PMN) normalized to ACTB.
mRNA expression profiles for OLFM4 and LCN2 in populations enriched in myeloblasts/promyelocytes (MB/PM), myelocytes/metamyelocytes (MY/MM), banded cells/segmented cells (BC) and peripheral blood neutrophils (pb-PMN) normalized to ACTB.
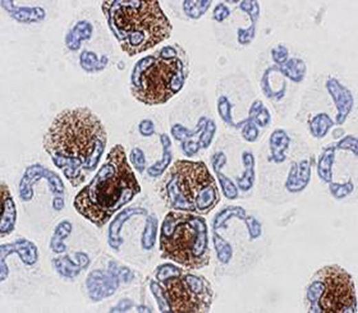
Interestingly, immunohistochemistry showed OLFM4 expression in only a subset of neutrophils (figure 2). We suspected that this might be dependent on the antibody, but two different commercial antibodies and an in-house antibody raised against a synthetic OLFM4 derived peptide, all polyclonal, showed similar patterns. Flow cytometry confirmed the existence of two populations of neutrophils, one expressing OLFM4 the other not.
Immunohistochemistry of bone marrow cells showed that OLFM4 appears in myelocytes and is maintained in the cells during further maturation of the cells to segmented neutrophils. Again, only 30% of the neutrophil precursors from bone marrow stain positive for OLFM4 indicating, that different subsets of human neutrophils may exist.
No relevant conflicts of interest to declare.
Author notes
Asterisk with author names denotes non-ASH members.

