Abstract
Abstract 3653
Diffuse large-B-cell lymphoma (DLBCL) is an aggressive malignancy of mature B lymphocytes with variable biological and cytogenetic features, as well as clinical outcomes. Further investigating specific biomarkers and cellular signaling pathways, understanding molecular pathogenesis of DLBCL and developing more targeted and effective treatments are indispensable for significantly increasing the survival and alleviating the suffering of patients. Metadherin (MTDH) has been demonstrated as a potentially crucial mediator of various types of human malignancies. It promotes tumor progression by modulating multiple oncogenic signaling pathways, such as NF-kB, PI3K/Akt and Wnt/b-catenin pathways. However, the expression and role of MTDH in DLBCL have not been reported yet. This study focuses on illuminating the role of MTDH and the relationship between MTDH and Wnt/b-catenin pathway in the pathogenesis of DLBCL.
Sixteen fresh and thirty araffin-embedded tissues from DLBCL patients were collected. The tissues from patients of reactive hyperplasia of lymph node were used as control group. Peripheral blood mononuclear cells (PBMCs) from healthy volunteers served as normal control compared with human DLBCL cell lines LY1 and LY8. LY1 and LY8 cells were treated with tumor necrosis factor-a(TNF-a,250pg/ml) and cultured for 48 hours to induce the upregulation of MTDH protein. The expressions of MTDH and b-catenin mRNA in DLBCL tissues and controls were determined by quantitative PCR. MTDH and b-catenin protein expressions and localizations were examined by Western-blot analysis and immunohistochemical staining. The impacts of MTDH overexpression induced by TNF-a on LY1 and LY8 cells!&hibar; proliferation and apoptosis were assessed by 3H-TdR incorporation method and flow cytometry. The effects of MTDH upregulation on expression of total b-catenin and its nuclear translocation were analyzed by nuclear protein extraction and Western-blot analysis.
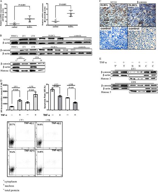
A remarkable elevation of MTDH and b-catenin on mRNA level was detected in DLBCL tissues (Figure 1A, P<0.001). The expression of MTDH and b-catenin protein, with b-catenin nuclear localization, was also significantly increased in DLBCL cell lines and DLBCL tissues in comparison to their counterparts (Figure 1B, P<0.001). Immunohistochemical analysis showed high expression of MTDH in 23 of 30(76.67%) paraffin-embedded archival DLBCL specimens (Figure 1C). Statistical analysis suggested that the over expression of MTDH was strongly correlated to the clinical staging of patients with DLBCL (Table 1). The expression of MTDH protein in LY1 and LY8 cells was upregulated after treated with TNF- a(MTDH/b-actin: 0.98\!À0.15 v. 1.18\!À0.18, P<0.05; 0.95\!À0.13 v. 1.19\!À0.19, P<0.05). Furthermore, we determined that the increase of MTDH in DLBCL cells could distinctly enhance cell proliferation and inhibit cell apoptosis (Figure 1D, P<0.05). Upregulation of MTDH elevated the protein level of total b-catenin and translocation of b-catenin to the nucleus (Figure 1E, P<0.05).
Our study indicated that MTDH and b-catenin were markedly overexpressed, with b-catenin nuclear localization, in DLBCL. Overexpression of MTDH was correlated with the clinical staging of patients with DLBCL. The effect of MTDH promoting growth and survival of DLBCL cells may be mediated through regulation of Wnt/b-catenin signaling pathway. These results suggest that MTDH contributes to the pathogenesis of DLBCL mediated by activation of Wnt/b-catenin pathway. This novel study may contribute to further investigation on the useful biomarkers and potential therapeutic target in the DLBCL patients.
No relevant conflicts of interest to declare.
Author notes
Asterisk with author names denotes non-ASH members.

