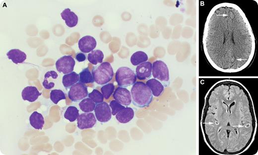
A 26-year-old asymptomatic female was seen by her primary care physician and routine laboratory testing was performed. Her white blood cell count was 240 × 109/L, hemoglobin was 14 g/dL, and platelet count was 196 × 109/L. The review of the peripheral smear and flow cytometry were compatible with B-cell acute lymphoblastic leukemia. Karyotype showed a translocation 4;11. Abundant lymphoblasts were present in the bone marrow aspirate (panel A). Treatment was begun with intrathecal methotrexate and high-dose chemotherapy; however, she terminated therapy in favor of a vitamin-based alternative approach.
Two months later she developed lower extremity weakness and blurry vision. Complete blood count and differential revealed leukocytosis (989 × 109/L) with 80% lymphoblasts, normocytic anemia (9.8 g/dL), and thrombocytopenia (37 × 109/L). Computed tomography (panel B) and subsequent magnetic resonance imaging (panel C) of the brain showed scattered hyper-attenuating hemorrhagic foci in different stages of evolution. The spinal fluid did not show evidence of leukemic meningitis. She agreed to accept high-dose chemotherapy. A complete resolution of her neurologic symptoms occurred. Currently, she is being evaluated for allogeneic hematopoeitic stem cell transplantation.
For additional images, visit the ASH IMAGE BANK, a reference and teaching tool that is continually updated with new atlas and case study images. For more information visit http://imagebank.hematology.org.
