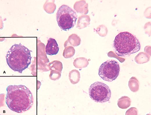
A 55-year-old woman being worked up for possible bladder prolapse was found to have pancytopenia. She had no prior history of malignancies or exposure to chemotherapy or radiation. Her CBC showed WBC 1.0 × 109/L, neutrophils 0.14 × 109/L, hemoglobin 99 g/L, MCV 100 fL, and platelet count 61 × 109/L. A peripheral blood smear confirmed the pancytopenia and bone marrow aspirate revealed numerous medium to large monomorphic blast cells (40%) with basophilic cytoplasm containing vacuoles (panel A). Several of these blast cells had an immature folded-in nucleus with nucleoli and vacuolation (panel B). Flow cytometric analysis demonstrated a population of cells positive for CD34, CD117, CD13, CD33, human leukocyte Ag-DR, CD15, and MPO positive consistent with a myeloblast population. Cytogenetic studies revealed a complex karyotype with the presence of trisomies 8 and 21 and deletion 17p. The patient was admitted to the hospital and started on standard induction chemotherapy with cytarabine and daunorubicin for acute nonlymphocytic leukemia.
Acute leukemia should be considered in a patient with pancytopenia and a peripheral blood smear can sometimes provide clues. It was not until a bone marrow aspirate was performed that demonstrated the presence of pleomorphic myeloblasts, particularly monoblasts, that the diagnosis was established. Furthermore, flow cytometric analysis and immunohistochemistry are essential to identify the proper induction therapy.
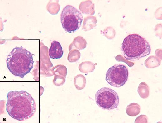
A 55-year-old woman being worked up for possible bladder prolapse was found to have pancytopenia. She had no prior history of malignancies or exposure to chemotherapy or radiation. Her CBC showed WBC 1.0 × 109/L, neutrophils 0.14 × 109/L, hemoglobin 99 g/L, MCV 100 fL, and platelet count 61 × 109/L. A peripheral blood smear confirmed the pancytopenia and bone marrow aspirate revealed numerous medium to large monomorphic blast cells (40%) with basophilic cytoplasm containing vacuoles (panel A). Several of these blast cells had an immature folded-in nucleus with nucleoli and vacuolation (panel B). Flow cytometric analysis demonstrated a population of cells positive for CD34, CD117, CD13, CD33, human leukocyte Ag-DR, CD15, and MPO positive consistent with a myeloblast population. Cytogenetic studies revealed a complex karyotype with the presence of trisomies 8 and 21 and deletion 17p. The patient was admitted to the hospital and started on standard induction chemotherapy with cytarabine and daunorubicin for acute nonlymphocytic leukemia.
Acute leukemia should be considered in a patient with pancytopenia and a peripheral blood smear can sometimes provide clues. It was not until a bone marrow aspirate was performed that demonstrated the presence of pleomorphic myeloblasts, particularly monoblasts, that the diagnosis was established. Furthermore, flow cytometric analysis and immunohistochemistry are essential to identify the proper induction therapy.
Many Blood Work images are provided by the ASH IMAGE BANK, a reference and teaching tool that is continually updated with new atlas images and images of case studies. For more information or to contribute to the Image Bank, visit http://imagebank.hematology.org.

