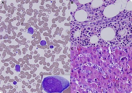
A 59-year-old man presented with acalculous cholecystitis and hepatomegaly. Routine laboratory tests were remarkable for thrombocytopenia (125 × 109/L), alanine aminotransferase 95 U/L, aspartate aminotransferase 760 U/L, alkaline phosphatase 223 U/L, and lactate dehydrogenase 3755 U/L. A peripheral smear showed morphologically normal red blood cells and large atypical lymphoid cells (panel A and inset). Cholecystectomy, liver biopsy, and bone marrow biopsy were performed. Flow cytometry on bone marrow and peripheral blood demonstrated a population of λ-restricted B cells that were positive for CD19, CD20, and CD22, and coexpressed CD5 and CD10. Histologic sections showed large atypical lymphoid cells within small subserosal vessels of the gallbladder, as well as within hepatic (panel C) and bone marrow sinusoids (panel B). Immunohistochemistry showed strong positivity for CD20, PAX-5, CD5, CD10, and Ki-67. Fluorescent in situ hybridization revealed a distal deletion of BCL6 and 3 to 5 copies of BCL2. Cerebrospinal fluid examination was unremarkable.
Intravascular large B-cell lymphoma (IVLBCL) is a rare subtype of extranodal large B-cell lymphoma characterized by intraluminal growth of lymphoma cells within small vessels. Circulating lymphoma cells in the peripheral blood happens occasionally. Once called the oncologist's “great imitator,” IVLBCL can mimic, because of its intrinsically widespread nature, diseases in almost any organ and diagnosis requires high vigilance.
A 59-year-old man presented with acalculous cholecystitis and hepatomegaly. Routine laboratory tests were remarkable for thrombocytopenia (125 × 109/L), alanine aminotransferase 95 U/L, aspartate aminotransferase 760 U/L, alkaline phosphatase 223 U/L, and lactate dehydrogenase 3755 U/L. A peripheral smear showed morphologically normal red blood cells and large atypical lymphoid cells (panel A and inset). Cholecystectomy, liver biopsy, and bone marrow biopsy were performed. Flow cytometry on bone marrow and peripheral blood demonstrated a population of λ-restricted B cells that were positive for CD19, CD20, and CD22, and coexpressed CD5 and CD10. Histologic sections showed large atypical lymphoid cells within small subserosal vessels of the gallbladder, as well as within hepatic (panel C) and bone marrow sinusoids (panel B). Immunohistochemistry showed strong positivity for CD20, PAX-5, CD5, CD10, and Ki-67. Fluorescent in situ hybridization revealed a distal deletion of BCL6 and 3 to 5 copies of BCL2. Cerebrospinal fluid examination was unremarkable.
Intravascular large B-cell lymphoma (IVLBCL) is a rare subtype of extranodal large B-cell lymphoma characterized by intraluminal growth of lymphoma cells within small vessels. Circulating lymphoma cells in the peripheral blood happens occasionally. Once called the oncologist's “great imitator,” IVLBCL can mimic, because of its intrinsically widespread nature, diseases in almost any organ and diagnosis requires high vigilance.
For additional images, visit the ASH IMAGE BANK, a reference and teaching tool that is continually updated with new atlas and case study images. For more information visit http://imagebank.hematology.org.
