Abstract
Abstract 1244
Mice carrying germline deletion of the telomerase RNA component (Terc−/−) have functional alterations in various tissues but can breed and live normally for six generations. We acquired Terc−/− mice at G3 generation under the C57BL/6 (B6) background, backcrossed to normal inbred B6 mice, interbred between Terc+/− offspring to generate Terc−/−, Terc+/− and Terc+/+ mice at later generations, and analyzed cytological changes in hematological tissues using animals at young (3–6 months), middle (12–18 months) and old (20–26 months) ages. Cellular composition was relatively normal in peripheral blood (PB), bone marrow (BM) and spleen in young Terc−/− and Terc+/− mice relative to Terc+/+ littermates. However, middle and old Terc−/− mice had significantly lower levels of red blood cells, hemoglobin and hematocrit, and significantly higher percentage red cell distribution width and neutrophil counts in comparison to old Terc+/+ mice and young B6 controls. Middle and old Terc−/− mice also showed typical signs of lineage bias with significantly higher CD11b cell percentage and significantly lower CD45R cell percentage in BM, PB and spleen. Interestingly, BM cells from middle and old Terc−/− mice contained higher percentage and total number of Lin−Sca1+Kit+CD150+ hematopoetic stem and progenitor cells than those from young Terc−/− and young B6 controls. Transplantation of old Terc−/− BM cells into lethally irradiated young B6 recipients resulted in effective donor cell engraftment with relatively normal levels of blood cell counts and normal CD11b and CD45R cell percentages at four to twelve months after transplantation, indicating that the anemia, neutrocytosis and hematopoietic lineage bias seen in aged Terc−/− mice were not intrinsic to hematopoietic stem or progenitor cells. We therefore hypothesize that the age-related hematological abnormalities in Terc−/− mice were responses secondary to inflammatory stresses, or were results of BM stromal dysfunction, or both.
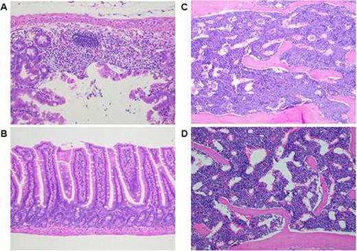
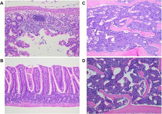
Since hematological abnormalities were easily detectable in middle Terc−/− (12–18 months) mice, we used animals of this age group in our future studies. Middle Terc−/− mice were smaller in size compared to littermates, lethargic, in a hunched posture, and produced a soft stool instead of fecal pellets. At necropsy, the walls of the ileum, cecum and colon were thickened; the ceca were diminished in size, and the cecal and colonic digesta was soft and pasty. Histologic changes in the small intestine, cecum and colon consisted of dysplastic mucosal epithelium with anisocytosis, cytomegaly, and karyomegaly. The small intestinal villi were blunted and fused. Mucosal crypts were lost in the small intestine, cecum and colon along with mucosal ulceration, epithelial attenuation and bacterial colonization of ulcerated areas. There was marked suppurative intestinal inflammation along with severe enteritis, typhlitis and colitis (Figure 1, A & B). In these same animals, BM hematopoiesis was dominated by myeloid precursors with a sharp decline in the presence of erythroid precursors (Figure 1, C & D). In the skin sections, the vast majority of hair follicles were in telogen, a resting phase, and were located close to the epidermis with few sebaceous glands around the hair follicle. Liver, heart, lung and kidney were relatively normal based on microscopic examinations. We analyzed plasma concentrations of selected hematopoietic cytokines and found insignificant declines in GM-CSF and IL-3 and significant increases in G-CSF and IL-6 in middle Terc−/− mice. Flow cytometry analyses revealed a lower percentage of CD3−CD11b−CD45R−CD44+Sca1+ stromal cells in the BM of middle Terc−/− animals. Culturing middle Terc−/− BM cells in vitro in alpha-modified eagle media at 33 degrees for two weeks resulted in the development of stromal feeder layers with normal morphological appearance but reduced functional efficacy to support cobblestone colony formation from freshly-overlaid normal B6 BM cells. We conclude that constitutional Terc deficiency in middle and old Terc−/− mice causes obvious intestinal epithelia degeneration and severe intestinal inflammation that adversely affects normal hematopoiesis to result in neutrocytosis, anemia and lineage bias disfavoring B cells. Dysfunction of BM stromal cells might also contribute to hematological abnormalities in aged Terc-deficient animals.
No relevant conflicts of interest to declare.
Author notes
Asterisk with author names denotes non-ASH members.
