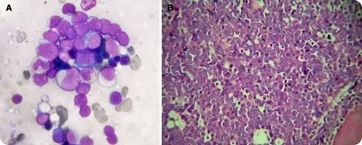
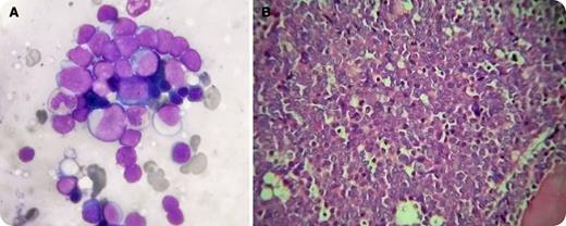
A 40-year-old man presented with severe anemia and gum bleeding. His complete blood count showed severe pancytopenia (hemoglobin, 67 g/L; red blood cells, 2.1 × 1012/L; white blood cells, 0.8 × 109/L; platelets, 12 × 109/L). The peripheral blood smears revealed no blasts or atypical cells. The bone marrow aspiration yielded a dry tap. A trephine biopsy was performed with preparation of a few touch imprints. The touch imprints were packed with blasts (panel A), which upon cytochemical staining showed myeloperoxidase positivity. An initial diagnosis of acute myeloid leukemia was made the same day. A week afterward, the trephine biopsy sections were evaluated, which showed marked hyperplasia with near-total replacement of the marrow by blasts (panel B). Immunohistochemistry confirmed the case as acute myeloid leukemia.
Bone marrow touch imprints play a crucial role in the diagnostic workup of acute leukemia, particularly when there is severe pancytopenia and a dry tap on aspiration. In few instances like this, the peripheral blood may not yield the required number of cells for flow cytometry. An adequate touch imprint provides important morphologic information to arrive at an initial diagnosis the same day while the trephine biopsy sections are awaited. The value of touch preparation is well reported in the literature but may be overlooked in practice.
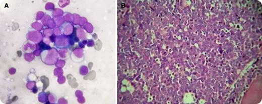
A 40-year-old man presented with severe anemia and gum bleeding. His complete blood count showed severe pancytopenia (hemoglobin, 67 g/L; red blood cells, 2.1 × 1012/L; white blood cells, 0.8 × 109/L; platelets, 12 × 109/L). The peripheral blood smears revealed no blasts or atypical cells. The bone marrow aspiration yielded a dry tap. A trephine biopsy was performed with preparation of a few touch imprints. The touch imprints were packed with blasts (panel A), which upon cytochemical staining showed myeloperoxidase positivity. An initial diagnosis of acute myeloid leukemia was made the same day. A week afterward, the trephine biopsy sections were evaluated, which showed marked hyperplasia with near-total replacement of the marrow by blasts (panel B). Immunohistochemistry confirmed the case as acute myeloid leukemia.
Bone marrow touch imprints play a crucial role in the diagnostic workup of acute leukemia, particularly when there is severe pancytopenia and a dry tap on aspiration. In few instances like this, the peripheral blood may not yield the required number of cells for flow cytometry. An adequate touch imprint provides important morphologic information to arrive at an initial diagnosis the same day while the trephine biopsy sections are awaited. The value of touch preparation is well reported in the literature but may be overlooked in practice.
For additional images, visit the ASH IMAGE BANK, a reference and teaching tool that is continually updated with new atlas and case study images. For more information visit http://imagebank.hematology.org.

