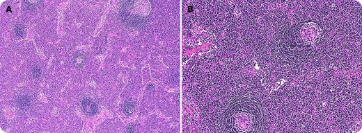
A 48-year-old woman presented with a 2-week history of peripheral neuropathy. She progressively developed motor weakness leading to quadriparesis and respiratory failure requiring intubation. Nerve conduction studies showed diffuse absence of motor and sensory responses. She had a right cervical mass that was excised, which showed regressed follicles with expansion of interfollicular region by sheets of plasma cells. The majority of the follicles contained lymphocyte-depleted germinal center surrounded by a broad mantle zone with an “onion skin” pattern (panel A); some follicles were penetrated by hyalinized blood vessels (panel B). The bone marrow biopsy showed thickened trabeculae and increased atypical megakaryocytes. The overall features were suggestive of Castleman disease, plasma cell variant. Serum immunofixation showed monoclonal IgG λ (M-spike, 0.8 g/dL); vascular endothelial growth factor level was elevated at 1101 pg/mL. A diagnosis of POEMS (polyneuropathy, organomegaly, endocrinopathy, monoclonal gammopathy and skin changes) syndrome was made. She was treated with cyclophosphamide and dexamethasone. With four cycles of treatment, she regained upper extremity strength and is now ventilator independent.
POEMS syndrome is a rare paraneoplastic syndrome resulting from an underlying plasma cell disorder. The diagnosis is often delayed because of incorrect diagnoses of chronic inflammatory demyelinating polyradiculoneuropathy and monoclonal gammopathy of undetermined significance. Between 11% and 30% of patients with POEMS have documented Castleman disease or Castleman-like histology. Prompt treatment directed at the plasma cell clone produces good responses in majority of the patients.
A 48-year-old woman presented with a 2-week history of peripheral neuropathy. She progressively developed motor weakness leading to quadriparesis and respiratory failure requiring intubation. Nerve conduction studies showed diffuse absence of motor and sensory responses. She had a right cervical mass that was excised, which showed regressed follicles with expansion of interfollicular region by sheets of plasma cells. The majority of the follicles contained lymphocyte-depleted germinal center surrounded by a broad mantle zone with an “onion skin” pattern (panel A); some follicles were penetrated by hyalinized blood vessels (panel B). The bone marrow biopsy showed thickened trabeculae and increased atypical megakaryocytes. The overall features were suggestive of Castleman disease, plasma cell variant. Serum immunofixation showed monoclonal IgG λ (M-spike, 0.8 g/dL); vascular endothelial growth factor level was elevated at 1101 pg/mL. A diagnosis of POEMS (polyneuropathy, organomegaly, endocrinopathy, monoclonal gammopathy and skin changes) syndrome was made. She was treated with cyclophosphamide and dexamethasone. With four cycles of treatment, she regained upper extremity strength and is now ventilator independent.
POEMS syndrome is a rare paraneoplastic syndrome resulting from an underlying plasma cell disorder. The diagnosis is often delayed because of incorrect diagnoses of chronic inflammatory demyelinating polyradiculoneuropathy and monoclonal gammopathy of undetermined significance. Between 11% and 30% of patients with POEMS have documented Castleman disease or Castleman-like histology. Prompt treatment directed at the plasma cell clone produces good responses in majority of the patients.
For additional images, visit the ASH IMAGE BANK, a reference and teaching tool that is continually updated with new atlas and case study images. For more information visit http://imagebank.hematology.org.
