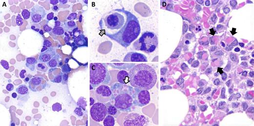
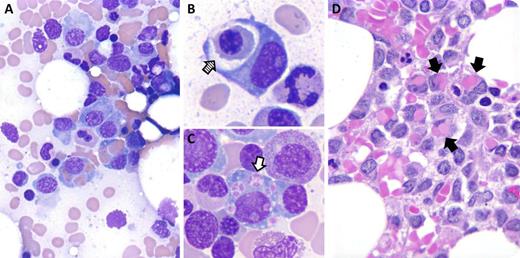
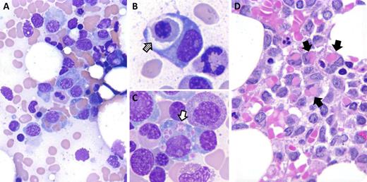
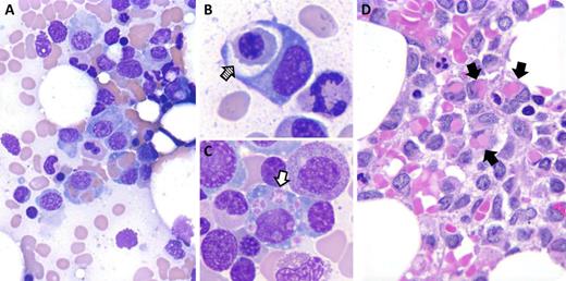
A 61-year-old woman presented to her physician with fatigue. A complete blood count showed mild normocytic anemia. Serum protein electrophoresis and immunofixation identified an immunoglobulin G κ paraprotein (2.1 g/dL). Laboratory values for calcium, blood urea nitrogen, creatinine, and lactate dehydrogenase were normal; no lytic lesions were detected by magnetic resonance imaging. Subsequent bone marrow aspiration and biopsy revealed an infiltrate of atypical plasma cells comprising 20% of nucleated cells, diagnostic of plasma cell myeloma. Many plasma cells contained phagocytosed red blood cells (solid arrows), erythroid progenitors (cross-hatched arrow), and platelets (open arrow) in the aspirate (panels A-C) and biopsy (panel D). By flow cytometry, plasma cells expressed CD38, CD138, and CD56 and were negative for CD45, CD19, CD20, CD27, and CD81. Interphase fluorescence in situ hybridization detected t(4;14)(q16.3;q32), monosomy 13, and deletion of MAF at 16q23. Prominent hemophagocytosis was present in 2 subsequent bone marrow examinations, which showed similar levels of involvement by malignant plasma cells.
Hemophagocytosis by neoplastic plasma cells has rarely been described. On the basis of the few reported cases, hemophagocytosis does not appear to be associated with any recurrent myeloma-associated genetic abnormality, nor is it associated with any particular immunophenotypic characteristics. While cytopenias have been reported in some cases, it is uncertain whether they are a direct result of the hemophagocytic activity of the neoplastic plasma cells.
A 61-year-old woman presented to her physician with fatigue. A complete blood count showed mild normocytic anemia. Serum protein electrophoresis and immunofixation identified an immunoglobulin G κ paraprotein (2.1 g/dL). Laboratory values for calcium, blood urea nitrogen, creatinine, and lactate dehydrogenase were normal; no lytic lesions were detected by magnetic resonance imaging. Subsequent bone marrow aspiration and biopsy revealed an infiltrate of atypical plasma cells comprising 20% of nucleated cells, diagnostic of plasma cell myeloma. Many plasma cells contained phagocytosed red blood cells (solid arrows), erythroid progenitors (cross-hatched arrow), and platelets (open arrow) in the aspirate (panels A-C) and biopsy (panel D). By flow cytometry, plasma cells expressed CD38, CD138, and CD56 and were negative for CD45, CD19, CD20, CD27, and CD81. Interphase fluorescence in situ hybridization detected t(4;14)(q16.3;q32), monosomy 13, and deletion of MAF at 16q23. Prominent hemophagocytosis was present in 2 subsequent bone marrow examinations, which showed similar levels of involvement by malignant plasma cells.
Hemophagocytosis by neoplastic plasma cells has rarely been described. On the basis of the few reported cases, hemophagocytosis does not appear to be associated with any recurrent myeloma-associated genetic abnormality, nor is it associated with any particular immunophenotypic characteristics. While cytopenias have been reported in some cases, it is uncertain whether they are a direct result of the hemophagocytic activity of the neoplastic plasma cells.
For additional images, visit the ASH IMAGE BANK, a reference and teaching tool that is continually updated with new atlas and case study images. For more information visit http://imagebank.hematology.org.

