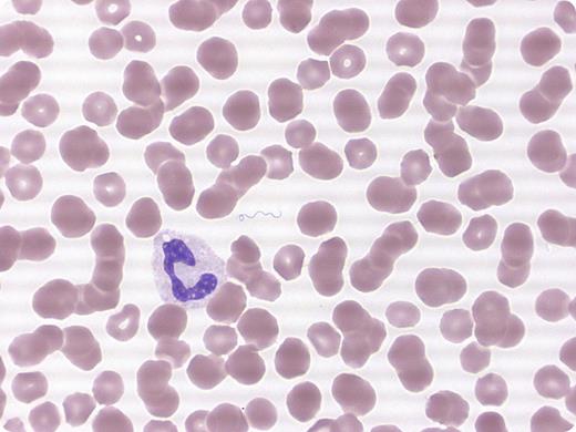
A 49-year-old healthy female presented to the emergency department with a headache, fever to 103°F, mild myalgia, heart rate of 119 bpm, and blood pressure of 80/40 mm Hg. Past medical history was unremarkable, no drug allergies or current medications, except for a recent vacation in eastern Washington state. The complete blood count showed a white blood cell count of 12.5 × 10E9/L (mild leukocytosis with left shift), thrombocytopenia (32 000/µL), normal electrolytes, and an elevated C-reactive protein (19.8 mg/dL). Blood cultures were sterile. The peripheral blood smear revealed spirochetes morphologically resembling Borrelia species (Borrelia sp) and were considered confirmatory for relapsing fever (RF). Serological testing for Borrelia sp on acute and convalescent specimens exhibited negative and positive immunoglobulin G antibodies to B hermsii, respectively. She was treated with ciprofloxacin and made a full recovery.
Although the therapy for tick- or louse-borne borreliosis is well established and the response to antibiotics is predictably good, RF is a communicable disease and must be reported by laboratories to the local health department.
A 49-year-old healthy female presented to the emergency department with a headache, fever to 103°F, mild myalgia, heart rate of 119 bpm, and blood pressure of 80/40 mm Hg. Past medical history was unremarkable, no drug allergies or current medications, except for a recent vacation in eastern Washington state. The complete blood count showed a white blood cell count of 12.5 × 10E9/L (mild leukocytosis with left shift), thrombocytopenia (32 000/µL), normal electrolytes, and an elevated C-reactive protein (19.8 mg/dL). Blood cultures were sterile. The peripheral blood smear revealed spirochetes morphologically resembling Borrelia species (Borrelia sp) and were considered confirmatory for relapsing fever (RF). Serological testing for Borrelia sp on acute and convalescent specimens exhibited negative and positive immunoglobulin G antibodies to B hermsii, respectively. She was treated with ciprofloxacin and made a full recovery.
Although the therapy for tick- or louse-borne borreliosis is well established and the response to antibiotics is predictably good, RF is a communicable disease and must be reported by laboratories to the local health department.
For additional images, visit the ASH IMAGE BANK, a reference and teaching tool that is continually updated with new atlas and case study images. For more information visit http://imagebank.hematology.org.
