A 77-year-old white woman who was followed for an IgA-λ multiple myeloma (MM) was admitted for the development of neurological symptoms. Her International Staging System stage III MM had been diagnosed incidentally 8 years prior. After 3 relapses, she was treated with a combination of corticosteroids, cyclophosphamide, and pomalidomide and was believed to be in complete remission. Complete blood count readings showed mild anemia (hemoglobin 105 g/L), normal white blood cell count (7.8 × 109/L) with severe lymphopenia (0.15 × 109/L), and severe thrombocytopenia (41 × 109/L), which prompted a bone marrow (BM) aspiration. BM examination revealed no signs of dysmegakaryopoiesis or plasma cell invasion, but there were several histiocytes with intracellular encapsulated bodies identified as fungal cells. Disseminated cryptococcosis caused by Cryptococcus neoformans was confirmed by India ink stain and a cryptococcal antigenemia test was run on the cerebrospinal fluid. BM examination suggested the diagnosis that was confirmed by additional tests. Treatment with associating high doses of amphotericin B and flucytosine was quickly started, but the patient died 10 days later.
Cryptococcus neoformans infection is rare among immunocompetent patients. Although the patient was given polyvalent human immunoglobulins (IgG, IgA, and IgM levels were normal: 7.3 g/L, 2.34 g/L, and 0.17 g/L, respectively), the long-term immunosuppressive therapy caused severe TCD4+ lymphopenia (0.064 × 109/L) and was instrumental in allowing the infection and dissemination of the yeast.
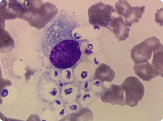
A 77-year-old white woman who was followed for an IgA-λ multiple myeloma (MM) was admitted for the development of neurological symptoms. Her International Staging System stage III MM had been diagnosed incidentally 8 years prior. After 3 relapses, she was treated with a combination of corticosteroids, cyclophosphamide, and pomalidomide and was believed to be in complete remission. Complete blood count readings showed mild anemia (hemoglobin 105 g/L), normal white blood cell count (7.8 × 109/L) with severe lymphopenia (0.15 × 109/L), and severe thrombocytopenia (41 × 109/L), which prompted a bone marrow (BM) aspiration. BM examination revealed no signs of dysmegakaryopoiesis or plasma cell invasion, but there were several histiocytes with intracellular encapsulated bodies identified as fungal cells. Disseminated cryptococcosis caused by Cryptococcus neoformans was confirmed by India ink stain and a cryptococcal antigenemia test was run on the cerebrospinal fluid. BM examination suggested the diagnosis that was confirmed by additional tests. Treatment with associating high doses of amphotericin B and flucytosine was quickly started, but the patient died 10 days later.
Cryptococcus neoformans infection is rare among immunocompetent patients. Although the patient was given polyvalent human immunoglobulins (IgG, IgA, and IgM levels were normal: 7.3 g/L, 2.34 g/L, and 0.17 g/L, respectively), the long-term immunosuppressive therapy caused severe TCD4+ lymphopenia (0.064 × 109/L) and was instrumental in allowing the infection and dissemination of the yeast.
For additional images, visit the ASH IMAGE BANK, a reference and teaching tool that is continually updated with new atlas and case study images. For more information visit http://imagebank.hematology.org.
