A 6-year-old female presented with complaints of thirst, polyuria, weight loss, and fainting spells lasting more than 1 month. Neck swelling and fever had occurred for a week. On examination, the child was underweight and afebrile, with mild pallor and no icterus. An ulcerating lesion on the right side of the forehead and a few reddish papules 3-4 mm in diameter on the trunk were present. Bilateral inguinal and cervical nodes were enlarged. Nodes were nontender and discrete. Hepatosplenomegaly was absent. Investigations revealed hemoglobin 9.3 g/dL, white blood cell count 19.9 ± 103/µL, polymorphs 64%, lymphocytes 20%, eosinophils 10%, monocytes 6%, platelets 278 × 103/µL, alanine aminotransferase 159 U/L, aspartate aminotransferase 253 U/L, and normal renal function. Serum and urine osmolality were below normal range. Multiple lytic lesions in her skull radiograph and a nonvisualized posterior pituitary bright spot on magnetic resonance imaging suggested a likely diagnosis of Langerhans cell histiocytosis.
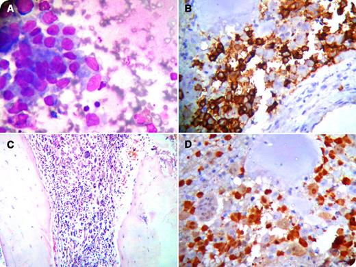
A bone marrow aspirate revealed clusters of oval cells with grooved nuclei (panel A). Bone marrow biopsy showed mild hypocellularity and patchy histiocytic infiltrates (panel C). The histiocytic cells were positive for CD1a (panel B) and S100 (panel D), confirming the diagnosis of disseminated Langerhans cell histiocytosis. The patient received vinblastine and prednisolone for 6 weeks and continues to receive desmopressin.
A 6-year-old female presented with complaints of thirst, polyuria, weight loss, and fainting spells lasting more than 1 month. Neck swelling and fever had occurred for a week. On examination, the child was underweight and afebrile, with mild pallor and no icterus. An ulcerating lesion on the right side of the forehead and a few reddish papules 3-4 mm in diameter on the trunk were present. Bilateral inguinal and cervical nodes were enlarged. Nodes were nontender and discrete. Hepatosplenomegaly was absent. Investigations revealed hemoglobin 9.3 g/dL, white blood cell count 19.9 ± 103/µL, polymorphs 64%, lymphocytes 20%, eosinophils 10%, monocytes 6%, platelets 278 × 103/µL, alanine aminotransferase 159 U/L, aspartate aminotransferase 253 U/L, and normal renal function. Serum and urine osmolality were below normal range. Multiple lytic lesions in her skull radiograph and a nonvisualized posterior pituitary bright spot on magnetic resonance imaging suggested a likely diagnosis of Langerhans cell histiocytosis.
A bone marrow aspirate revealed clusters of oval cells with grooved nuclei (panel A). Bone marrow biopsy showed mild hypocellularity and patchy histiocytic infiltrates (panel C). The histiocytic cells were positive for CD1a (panel B) and S100 (panel D), confirming the diagnosis of disseminated Langerhans cell histiocytosis. The patient received vinblastine and prednisolone for 6 weeks and continues to receive desmopressin.
For additional images, visit the ASH IMAGE BANK, a reference and teaching tool that is continually updated with new atlas and case study images. For more information visit http://imagebank.hematology.org.
