Abstract
Background: Total body irradiation (TBI) is an important component of many hematopoietic cell transplantation (HCT) preparative regimens because of its efficacy in immune suppression and leukemia eradication. However, TBI is also associated with risk of damage to vital organs, especially the gastrointestinal tract and lungs, which can lead to several early and late complications. We hypothesized that total marrow irradiation (TMI) would induce fewer damaging side effects, especially in aging mice, but similar marrow response compared to TBI. To test this hypothesis, we developed a mouse model of TMI and compared its effects with TBI and untreated control mice.
Materials and Methods: We compared two types of 8.5 Gy radiation exposures – TBI and TMI in adult (4 months, N=8) and aging (26 months, N=8) BALB/c mice to age matched non-irradiated control mice (N=8) to determine physiologic differences 2 days post irradiation. In TMI mice, viscera and cranium were shielded using a copper compensator (Figure 1a). Organ dosimetry was verified using thermo luminescent dosimeters and GafChromic film. Pulmonary function testing was performed on day 2, followed by sacrifice and collection of serum, lungs, gastrointestinal (GI) tissue, and marrow for further testing. Changes in organ histology were determined by microscopy and immunohistochemistry. Differences in oxidative stress in the GI tract were examined by measurement of reduced glutathione (GSH) to oxidized glutathione (GSSG) ratio by ELISA. The profile of cytokines, chemokines, and damage-related proteins (TNFa, IFNg, IL-1b, IL-6, IL-10, IL-12p70, SDF-1a, MCP-1/JE, GRO/CXCL1/KC, MMP2, MMP9, MMP12, and 8-isoprostane) in serum, the lung, and bone marrow were determined via magnetic bead array or ELISA.
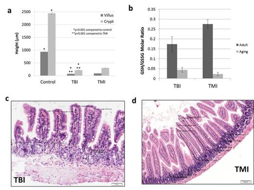
Results: The radiation dosage delivered to the marrow was the same in TBI and TMI, although critical organ dosage in TMI was reduced by 35-50%. Marrow histologic analysis of both groups revealed similar effects on the myeloid, erythroid, and megakaryocyte series and similar proliferative response by Ki67 staining (Figure 1b, 1c). Levels of IL-10 and SDF-1a were increased in the marrow of mice receiving TBI and TMI compared to controls, whereas mice receiving TMI had elevated marrow levels of MMP9 (Figure 1d). Recipients of TBI showed worse GI pathology, as evident by diminished median crypt depth and villous height (68 and 214 mm, respectively) compared to TMI (88 and 303 mm, p<0.001, Figure 2a, 2c, 2d). Overall difference in GSH/GSSG between treatment groups was not significant but was markedly lower in aging mice (Figure 2b). No significant lung functional changes were apparent between treatment groups, although compliance and elastance were differed between adult versus aging mice. In the serum and lungs of mice treated with TBI, levels of MCP-1/JE were elevated (Figure 3a and 3d), although lung MCP-1 was not as elevated after TMI. Lung MMP2 was elevated after both TMI and TBI, and lung MMP9 was only elevated adult mice after TBI. Adult and aging mice treated with TBI also demonstrated increased levels of GRO/CXCL1/KC in the serum compared to TMI mice (Figure 3d), but only young adult mice showed a significant increase in MMP12 in the serum after TBI.
Conclusions: TBI and TMI result in comparable early histologic changes within the marrow, although the effects of TMI on the GI tract were attenuated compared to TBI. Increased MCP-1 in the serum and lungs of TBI mice could lead to not only macrophage recruitment and activation but also T-cell chemotaxis into the lungs and other sites of antigen presentation, although this response was also attenuated in TMI. An early elevation in MMP12 (macrophage elastase) in adult mice could reflect a reactive mechanism against radiation damage that is less robust in aging mice.
(a) TBI versus TMI with copper shielding, (b) percentage of KI67 positive cells in the bone marrow, (c) photomicrograph of Ki67 staining in the marrow, and (d) significant differences in marrow cytokines, growth factors, and MMPs between treatment groups.
(a) TBI versus TMI with copper shielding, (b) percentage of KI67 positive cells in the bone marrow, (c) photomicrograph of Ki67 staining in the marrow, and (d) significant differences in marrow cytokines, growth factors, and MMPs between treatment groups.
(a) Differences in villus height and crypt depth between treatment groups, (b) differences in oxidative stress as measured by GSH/GSSH ratio, (c) H&E stain of intestine from TBI recipient, and (d) H&D stain of intestine from TMI recipient.
(a) Differences in villus height and crypt depth between treatment groups, (b) differences in oxidative stress as measured by GSH/GSSH ratio, (c) H&E stain of intestine from TBI recipient, and (d) H&D stain of intestine from TMI recipient.
Differences in lung (a) MCP-1, (b) MMP9 (c) MMP2, and (d) serum cytokines and MMPs between treatment groups.
Differences in lung (a) MCP-1, (b) MMP9 (c) MMP2, and (d) serum cytokines and MMPs between treatment groups.
No relevant conflicts of interest to declare.
Author notes
Asterisk with author names denotes non-ASH members.


