A 62-year-old woman was found to have a breast mass on screening mammography. A core biopsy was performed and revealed heterogeneous aggregates of lymphocytes and plasma cells juxtaposed against sheets of histiocytes with punctate areas of necrosis mimicking necrotizing granulomatous inflammation (panel A; arrows denote necrosis). Histiocytes had brightly eosinophilic cytoplasm engorged with crystals (panel B). The neoplastic lymphoplasmacytic cells were positive for CD20, with λ-restriction and immunoglobulin M expression. The latter was also identified in the cytoplasm of CD163-positive crystal-storing histiocytes. A diagnosis of extranodal marginal zone lymphoma (MZL) with crystal-storing histiocytosis (CSH) was rendered. Staging workup showed bilateral axillary lymph nodes that, along with the left breast mass, were mildly fluorodeoxyglucose-avid by positron emission tomography.
CSH is a rare disorder characterized by accumulation of immunoglobulin light chains within the cytoplasm of histiocytes, most commonly observed in association with underlying lymphoproliferative disorders. The majority of cases involve the head and neck region, followed by the lung. Lymphoma comprises 0.13% of all breast malignancies, with MZL constituting <10% of primary breast lymphomas and CSH of the breast being exceedingly rare, with only 4 cases reported previously in the literature. This case brings to light the unusual presentation of primary breast MZL with associated CSH.
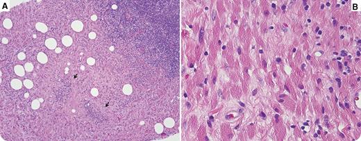
A 62-year-old woman was found to have a breast mass on screening mammography. A core biopsy was performed and revealed heterogeneous aggregates of lymphocytes and plasma cells juxtaposed against sheets of histiocytes with punctate areas of necrosis mimicking necrotizing granulomatous inflammation (panel A; arrows denote necrosis). Histiocytes had brightly eosinophilic cytoplasm engorged with crystals (panel B). The neoplastic lymphoplasmacytic cells were positive for CD20, with λ-restriction and immunoglobulin M expression. The latter was also identified in the cytoplasm of CD163-positive crystal-storing histiocytes. A diagnosis of extranodal marginal zone lymphoma (MZL) with crystal-storing histiocytosis (CSH) was rendered. Staging workup showed bilateral axillary lymph nodes that, along with the left breast mass, were mildly fluorodeoxyglucose-avid by positron emission tomography.
CSH is a rare disorder characterized by accumulation of immunoglobulin light chains within the cytoplasm of histiocytes, most commonly observed in association with underlying lymphoproliferative disorders. The majority of cases involve the head and neck region, followed by the lung. Lymphoma comprises 0.13% of all breast malignancies, with MZL constituting <10% of primary breast lymphomas and CSH of the breast being exceedingly rare, with only 4 cases reported previously in the literature. This case brings to light the unusual presentation of primary breast MZL with associated CSH.
For additional images, visit the ASH IMAGE BANK, a reference and teaching tool that is continually updated with new atlas and case study images. For more information visit http://imagebank.hematology.org.
