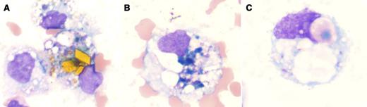
A 50-year-old woman with a right cerebellopontine-angle schwannoma developed a chain of complications after multiple surgeries for tumor resection including intracerebral and subarachnoid hemorrhage, hydrocephalus, and fungal meningitis with subarachnoid pyogenic loculations. After 2 months of routine monitoring, cerebrospinal fluid (CSF) examination revealed increased red blood cells (RBCs), neutrophils, monocytes, and macrophages. Wright-Giemsa staining revealed golden brown rhomboid crystals of hematoidin (panel A) and coarse granules of hemosiderin (panel B) in the macrophages (siderophages). Along with the presence of macrophages with ingested RBCs (erythrophages; panel C), these findings indicate an acute and chronic hemorrhage.
Hematoidin is a hemoglobin degradation product biochemically similar to unconjugated bilirubin, which can be present both as extracellular and/or intracellular forms (within histiocytes). It usually manifests as radially arranged star-shaped clusters, spherules, amorphous masses, or rhomboids in association with hemosiderin. It is formed after extravasation of RBCs in a closed compartment (reducing environment and low-oxygen tension). It has been documented in CSF 2 weeks after intracranial hemorrhage. In contrast, siderophages have been detected within 2 to 4 days (as intracellular coarse granules) and erythrophages within 1 to 2 days after subarachnoid hemorrhage. The presence of hematoidin, siderophages, and erythrophages indicate true hemorrhage as opposed to traumatic tap.
A 50-year-old woman with a right cerebellopontine-angle schwannoma developed a chain of complications after multiple surgeries for tumor resection including intracerebral and subarachnoid hemorrhage, hydrocephalus, and fungal meningitis with subarachnoid pyogenic loculations. After 2 months of routine monitoring, cerebrospinal fluid (CSF) examination revealed increased red blood cells (RBCs), neutrophils, monocytes, and macrophages. Wright-Giemsa staining revealed golden brown rhomboid crystals of hematoidin (panel A) and coarse granules of hemosiderin (panel B) in the macrophages (siderophages). Along with the presence of macrophages with ingested RBCs (erythrophages; panel C), these findings indicate an acute and chronic hemorrhage.
Hematoidin is a hemoglobin degradation product biochemically similar to unconjugated bilirubin, which can be present both as extracellular and/or intracellular forms (within histiocytes). It usually manifests as radially arranged star-shaped clusters, spherules, amorphous masses, or rhomboids in association with hemosiderin. It is formed after extravasation of RBCs in a closed compartment (reducing environment and low-oxygen tension). It has been documented in CSF 2 weeks after intracranial hemorrhage. In contrast, siderophages have been detected within 2 to 4 days (as intracellular coarse granules) and erythrophages within 1 to 2 days after subarachnoid hemorrhage. The presence of hematoidin, siderophages, and erythrophages indicate true hemorrhage as opposed to traumatic tap.
For additional images, visit the ASH IMAGE BANK, a reference and teaching tool that is continually updated with new atlas and case study images. For more information visit http://imagebank.hematology.org.
