Abstract
Acute chest syndrome (ACS) is a potentially fatal complication of sickle cell disease (SCD) and is characterized by opacification of the chest x-ray (CXR) and progressive pulmonary failure due, in part, to intra-pulmonary sickling. The ACS process can proceed very rapidly from a small area of lung involvement in one lobe to total opacification of the lung and pulmonary failure within 12 to 24 hours. In the early phases of this process, oxygenation and pulmonary function may be preserved. In the face of rapidly progressing CXR changes, the ACS process may be reversed if diagnosed early and managed by emergent transfusion to decrease the percent of sickle red blood cells (SRBC).
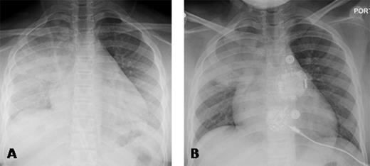
A 10 years old African American child with hemoglobin SC type SCD was transferred to our institution with fever and right upper lobe consolidation. Her respiratory rate was 23 breaths/min, SpO2 was 95% breathing room air. Serial CXR showed opacification of the entire right lung and part of the left lower lobe over a 12-hour period (Panel A). Because of the rapid progression, transfusion was recommended. However, because of the family's Jehovah's Witness religious faith, transfusion was refused.
PEG-COHb is in clinical development for the treatment of SCD and is designed to deliver preloaded carbon monoxide (CO), pick up O2, and deliver O2 to hypoxic tissue. PEG-COHb serves as a vasodilator and anti-inflammatory agent. It has been shown to have anti-sickling properties in vitro (ASH Abstract 1372, 2014). The agent was obtained from Prolong Pharmaceuticals via an emergency IND (16432) from the FDA. The agent was acceptable to the family and church elders. After written consent was obtained, 500 cc were infused according to dosing information obtained from Prolong Pharma. The CXR (Panel A) 3 hours before infusion shows opacification of the right lung and the left lower lobe. A CXR obtained one hour after infusion showed no worsening, and the CXR (Panel B) obtained 29 hours after Panel A shows significant improvement in the opacification of the lower lobes. The right upper lobe consolidation was likely bacterial pneumonia, and would not be expected to clear rapidly.
The patient was mildly hypertensive for age (138/72 mmHg) prior to PEG-COHb infusion. Her blood pressure rose to 153/85 mmHg during infusion; the infusion was stopped and anti-hypertensives were administered. The infusion was restarted at a lower infusion rate and completed in 6 hours instead of the planned 4 with no untoward effects. She was discharged 4 days after the infusion. There were no other serious adverse events clearly related to the drug. There were significant laboratory abnormalities and transaminases that were most likely falsely elevated due to interference of the PEG-COHb with the laboratory methods. Continuous non-invasive monitoring of carboxyhemoglobin showed basal levels of 7% rose to 24% during infusions and returned to normal prior to discharge. Continual recording of SpO2, methemoglobin, heart-rate variability and blood rheological measures showed no significant abnormalities.
The rapid reversal of radiographic features consistent with progressive "pure ACS" secondary to the right upper lobe infectious process suggests that PEG-COHb may be an effective treatment for sickle cell related ACS.
SHAPE
Panel A demonstrates the chest x-ray 3 hours prior to PEG-COHb with right upper lobe consolidation and evolving bilateral lower lobe consolidation and Panel B 29 hours following administration of PEG-COHb demonstrating improvement in the lower lobes.
Panel A demonstrates the chest x-ray 3 hours prior to PEG-COHb with right upper lobe consolidation and evolving bilateral lower lobe consolidation and Panel B 29 hours following administration of PEG-COHb demonstrating improvement in the lower lobes.
Off Label Use: SANGUINATE (pegylated carboxyhemoglobin bovine) is 40 mg/mL of purified bovine hemoglobin that has been pegylated, saturated with carbon monoxide, and dissolved in a buffered saline solution.. Abuchowski:Prolong Pharmaceuticals: Employment. Parmar:Prolong Pharmaceuticals: Employment.
Author notes
Asterisk with author names denotes non-ASH members.
