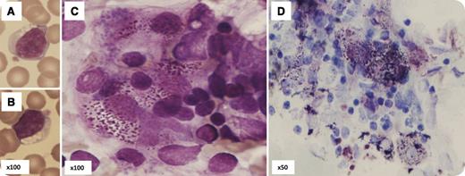
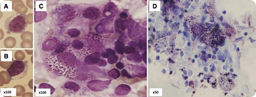
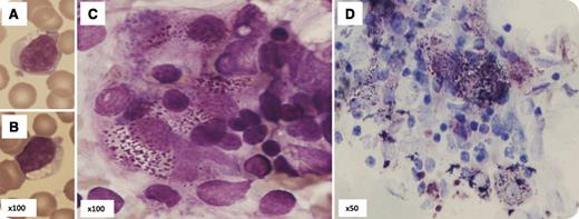
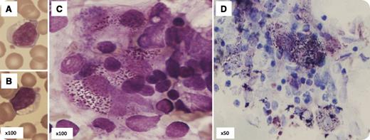
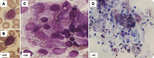
A 6-year-old girl from Pakistan was investigated for neurologic symptoms also affecting 3 other family members. She was the sixth child of parents who were first cousins, born at term with normal birth weight. Developmental milestones were normal until 5 years old when she developed restless behavior, loss of motor skills, stiff gait, muscular spasticity, hepatosplenomegaly, and dysmorphic facies: bushy eyebrows, low forehead, and a short pouting upper lip. Her blood count was normal but morphology revealed 20% lymphocytes with between 1 and 9 cytoplasmic vacuoles (panels A-B). Bone marrow was normocellular with normal trilineage maturation. Some bone marrow lymphocytes also showed cytoplasmic vacuolation. Macrophages visible in and around the edges of the particles were of normal size, nonvacuolated but with abnormal basophilic cytoplasmic inclusions (panel C). Staining with toluidine blue (of Haust and Landing) confirmed the presence of metachromatic acid mucopolysaccharide granules (panel D), which are typical of some types of mucopolysaccharidosis (MPS) storage disorder.
Morphology provides an important rapid diagnostic assessment but must be confirmed by appropriate biochemical and molecular tests. Peripheral blood vacuolation is a useful differentiating feature between storage disorders; the absence of Alder granulation in maturing myeloid cells distinguishes MPS type III (Sanfilippo syndrome) from MPS type VI.
A 6-year-old girl from Pakistan was investigated for neurologic symptoms also affecting 3 other family members. She was the sixth child of parents who were first cousins, born at term with normal birth weight. Developmental milestones were normal until 5 years old when she developed restless behavior, loss of motor skills, stiff gait, muscular spasticity, hepatosplenomegaly, and dysmorphic facies: bushy eyebrows, low forehead, and a short pouting upper lip. Her blood count was normal but morphology revealed 20% lymphocytes with between 1 and 9 cytoplasmic vacuoles (panels A-B). Bone marrow was normocellular with normal trilineage maturation. Some bone marrow lymphocytes also showed cytoplasmic vacuolation. Macrophages visible in and around the edges of the particles were of normal size, nonvacuolated but with abnormal basophilic cytoplasmic inclusions (panel C). Staining with toluidine blue (of Haust and Landing) confirmed the presence of metachromatic acid mucopolysaccharide granules (panel D), which are typical of some types of mucopolysaccharidosis (MPS) storage disorder.
Morphology provides an important rapid diagnostic assessment but must be confirmed by appropriate biochemical and molecular tests. Peripheral blood vacuolation is a useful differentiating feature between storage disorders; the absence of Alder granulation in maturing myeloid cells distinguishes MPS type III (Sanfilippo syndrome) from MPS type VI.
For additional images, visit the ASH IMAGE BANK, a reference and teaching tool that is continually updated with new atlas and case study images. For more information visit http://imagebank.hematology.org.

