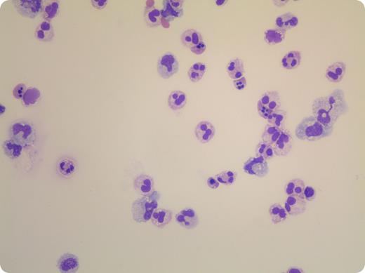
A 60-year-old man with known hepatitis C, cirrhosis, and mild hepatosplenomegaly was admitted for ascites. He had pancytopenia with leukocyte count 2.6 × 109/L, mild neutropenia 1.6 × 109/L, macrocytic anemia, and mild thrombocytopenia. Elevated international normalized ratio, low albumin, high bilirubin, and elevated liver enzymes were noted. Therapeutic paracentesis was performed, and ascitic fluid was reviewed. In the image provided from the ascitic fluid smear, abundant apoptotic neutrophils with 2 or 3 pyknotic nuclei were noted (original magnification ×40; Wright-Giemsa stain). This appearance is not to be confused with yeast forms.
Cirrhotic patients commonly develop neutropenia secondary to hypersplenism and increased sequestration. A lesser known cause of neutropenia may be increased neutrophil apoptosis, which may be due to increased production of reactive oxygen species and enhanced caspase activity. Under normal physiological conditions, there is a balance of regenerating and apoptotic neutrophils. Kupffer cells in the liver promptly clear the apoptotic neutrophils. However, in cirrhotic liver, this process is inefficient and leads to accumulation of apoptotic neutrophils in the ascitic fluid. In conclusion, apoptotic neutrophils can be seen in the ascitic fluid of patients presenting with neutropenia and liver cirrhosis.
A 60-year-old man with known hepatitis C, cirrhosis, and mild hepatosplenomegaly was admitted for ascites. He had pancytopenia with leukocyte count 2.6 × 109/L, mild neutropenia 1.6 × 109/L, macrocytic anemia, and mild thrombocytopenia. Elevated international normalized ratio, low albumin, high bilirubin, and elevated liver enzymes were noted. Therapeutic paracentesis was performed, and ascitic fluid was reviewed. In the image provided from the ascitic fluid smear, abundant apoptotic neutrophils with 2 or 3 pyknotic nuclei were noted (original magnification ×40; Wright-Giemsa stain). This appearance is not to be confused with yeast forms.
Cirrhotic patients commonly develop neutropenia secondary to hypersplenism and increased sequestration. A lesser known cause of neutropenia may be increased neutrophil apoptosis, which may be due to increased production of reactive oxygen species and enhanced caspase activity. Under normal physiological conditions, there is a balance of regenerating and apoptotic neutrophils. Kupffer cells in the liver promptly clear the apoptotic neutrophils. However, in cirrhotic liver, this process is inefficient and leads to accumulation of apoptotic neutrophils in the ascitic fluid. In conclusion, apoptotic neutrophils can be seen in the ascitic fluid of patients presenting with neutropenia and liver cirrhosis.
For additional images, visit the ASH IMAGE BANK, a reference and teaching tool that is continually updated with new atlas and case study images. For more information visit http://imagebank.hematology.org.
