Abstract
B12 deficiency is the leading cause of megaloblastic anemia, and although more common in the elderly, can occur at any age. Clinical disease caused by B12 deficiency usually connotes severe deficiency, resulting from a failure of the gastric or ileal phase of physiological B12 absorption, best exemplified by the autoimmune disease pernicious anemia. There are many other causes of B12 deficiency, which range from severe to mild. Mild deficiency usually results from failure to render food B12 bioavailable or from dietary inadequacy. Although rarely resulting in megaloblastic anemia, mild deficiency may be associated with neurocognitive and other consequences. B12 deficiency is best diagnosed using a combination of tests because none alone is completely reliable. The features of B12 deficiency are variable and may be atypical. Timely diagnosis is important, and treatment is gratifying. Failure to diagnose B12 deficiency can have dire consequences, usually neurological. This review is written from the perspective of a practicing hematologist.
Introduction
Traditionally, vitamin B12 deficiency has been considered to lie within the scope and expertise of hematologists. This assignation has deep historical roots, going back to the earliest recognition of the disease that acquired the eponymic title of Addisonian pernicious anemia following the somewhat vague description by the Guy’s Hospital physician, Thomas Addison, of “a very remarkable form of general anemia occurring without any discoverable cause whatsoever.” It was the astute clinical observations of Richard Cabot, William Osler, and others that brought the picture of the syndromic disease with its classical triad of associated jaundice, glossitis, and myeloneuropathy into sharper focus, as nicely recorded in William Castle’s historical review of the disease.1 Coller,2 in his commentary to mark the 70th anniversary of Blood, wrote: “The most dramatic and far reaching event in hematology in the United States in the pre-Blood period was Minot and Murphy’s 1926 report that feeding liver to patients with pernicious anemia could cure this otherwise fatal disorder. This dramatic breakthrough was an enormous stimulus to hematologic investigation.” A quest for the active principle in liver that made it possible to “cure” pernicious anemia ushered in the era of Big Pharma in a race to identify and produce the compound that ultimately became known as vitamin B12. Elucidation of the physiology of B12 and its intricate mechanism of assimilation made it clear that there was a myriad of causes of B12 deficiency.3
Vitamin B12 deficiency: the hematological perspective, past and present
Because of the often conspicuous hematological manifestations of B12 deficiency, it remained largely within the domain of hematology. However, as ever more sensitive methods were developed to assess subtle degrees of deficiency of the vitamin,4,5 it became clear that the effects of B12 deficiency were not restricted to the hematopoietic system but were often overshadowed by neurological complications and were sometimes entirely absent.6 Just as folate deficiency is associated with effects beyond anemia,7 B12 deficiency also can be associated with nonhematological complications, including increased risk of neural tube defect pregnancy, cognitive impairment, osteopenia, and vascular occlusive disease, perhaps attributable to the accumulation of homocysteine (Hcy) that occurs in B12 deficiency.3 Even so, because the most conspicuous manifestations of established B12 deficiency affect the blood and bone marrow and are a leading cause of macrocytic and megaloblastic anemia, it is ultimately the practicing hematologist who remains front and center of the clinical diagnosis and management of patients with suspected or confirmed B12 deficiency.
This review is written from the perspective of a practicing hematologist who might suspect B12 deficiency during a routine patient encounter or who might see a patient in consultation for anemia as part of a complex medical problem. An understanding of the normal physiology and its perturbations in disease is a key factor to the understanding of the causes and manifestations of B12 deficiency. The clinical features in a given case of B12 deficiency may range from the typical “textbook” picture through any 1 of a kaleidoscopic variety of atypical presentations that can befuddle the unwary.
Pathobiology of B12 deficiency
In an adult, the total body B12 store is 3 to 5 mg, and the recommended daily intake (RDI) is 2.4 μg.8 Natural food sources of B12 are restricted to food of animal origin. As a consequence, it is a micronutrient that is often in critically short supply, particularly among vegetarian or vegan populations who, through culture, poverty, or conviction, subsist on diets that lack or are poor in B12. Were it not for efficient conservation of biliary B12 through enterohepatic reabsorption,9-11 symptomatic B12 deficiency would occur more frequently among vegans.
Complex mechanisms are in place to render B12 bioavailable, protect it during intestinal transit, and then absorb and retain the precious vitamin for cellular uptake3,12 (Figure 1). It is remarkable that B12 is the required cofactor for only 2 biochemical reactions in humans,3 yet the effects of B12 deficiency are not only profound but protean. The several possible reasons for the broad spectrum of manifestations fall into the broad categories of genetic variation and acquired comorbidities.
Normal pathway of B12 absorption and cellular uptake. Food B12 is released in the stomach and binds to salivary HC. In the small intestine, food B12 and biliary B12 are released from HC by pancreatic proteases and bind to intrinsic factor (IF). The IF-B12 complex then binds to the cubam (Cubilin [Cub]–amnionless [Amn]) receptor in the terminal ileum for internalization and release to plasma where it is bound by TC. TC delivers B12 to the TC receptor (CD320) on cells, and following release in the cell, B12 is reduced and converted to adenosylcobalamin in the mitochondria and methylcobalamin in the cytosol, where they serve as cofactors for the 2 B12-dependent reactions. CoA, coenzyme A; THF, tetrahydrofolate. Professional illustration by Patrick Lane, ScEYEnce Studios.
Normal pathway of B12 absorption and cellular uptake. Food B12 is released in the stomach and binds to salivary HC. In the small intestine, food B12 and biliary B12 are released from HC by pancreatic proteases and bind to intrinsic factor (IF). The IF-B12 complex then binds to the cubam (Cubilin [Cub]–amnionless [Amn]) receptor in the terminal ileum for internalization and release to plasma where it is bound by TC. TC delivers B12 to the TC receptor (CD320) on cells, and following release in the cell, B12 is reduced and converted to adenosylcobalamin in the mitochondria and methylcobalamin in the cytosol, where they serve as cofactors for the 2 B12-dependent reactions. CoA, coenzyme A; THF, tetrahydrofolate. Professional illustration by Patrick Lane, ScEYEnce Studios.
Depletion of body B12 stores resulting from insufficient capture of the vitamin from dietary sources because of either inadequate intake or malabsorption eventually leads to a state of deficiency. When a certain threshold of deficiency is reached, the supply of B12 becomes inadequate to support biochemical pathways requiring the vitamin, leading to disruption of the functional and ultimately the structural integrity of cells. Absent of any underlying perturbation of B12-dependent pathways that occur in individuals who harbor inborn errors involving intracellular B12 assimilation and processing,13,14 the major determinant of the severity of B12 deficiency and whether it leads to either megaloblastic anemia, demyelinating neurological disease, or both appears to be whether there is abrogation of the normal physiological axis of B12 absorption. Normal B12 absorption requires intact gastric production of intrinsic factor as well as a functioning cubam receptor for the B12-intrinsic factor complex in the terminal ileum.3,12,15
B12 and folate are intimately connected through their cooperative roles in one-carbon metabolism, and the hematological complications seen in deficiency of either vitamin are indistinguishable. Both are caused by impaired DNA synthesis that results in a prolongation of the S phase of the cell cycle16 and causes maturation arrest.17 Prolongation of the cell cycle is associated with delayed migration of the DNA replication fork and the annealing of DNA fragments synthesized from the lagging strand.18 The retardation of DNA replication in megaloblasts arises from failure of the folate-dependent conversion of deoxyuridine to deoxythymidine. The deoxyuridine triphosphate that accumulates is incorporated into DNA in place of thymidine 5′-triphosphate by the somewhat promiscuous DNA polymerase enzyme.19 The normal process of excision-repair of U-A mismatches in DNA fail for persistent lack of thymidine 5′-triphosphate. Repetitive iterations of defective DNA repair ultimately lead to DNA strand breaks, fragmentation, and apoptotic cell death.20,21
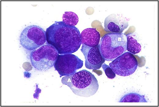
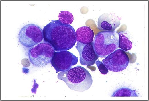
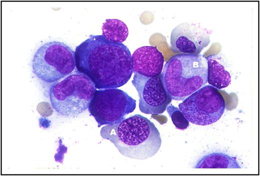
The morphological appearances of these biochemical lesions are seen as megaloblastic changes in the marrow, which consist of red cell precursors that are larger than normal with a lack of synchronous maturation of the nucleus and cytoplasm (Figure 2). There is a preponderance of basophilic erythroblasts over more mature hemoglobinized forms, creating the appearance of a maturation arrest. The myeloid-to-erythroid ratio falls and may even show reversal (<1:1), due to varying degrees of both apparent erythroid hyperplasia caused by maturation arrest and granulocytic hypoplasia. Megaloblastic features in the granulocyte precursors consist of giant metamyelocyte and band forms containing large horseshoe-shaped nuclei (Figure 2). Megaloblastic megakaryocytes may be seen with abnormally large and polylobated nuclei, sometimes with detached lobes and absent cytoplasmic granulation.
Photomicrograph of bone marrow in a patient with pernicious anemia. (A) Megaloblastic change in the nucleus of an erythroid precursors consisting of variegated finely granular chromatin (“salt-and-pepper” appearance) in contrast to the ground-glass texture of normal proerythroblasts. With progressive maturation, chromatin condensation occurs at a slower pace than normal, giving rise to darker aggregates that fuse nonhomogeneously and impart to the nucleus a characteristic latticelike appearance. Undisturbed maturation of the cytoplasm as hemoglobin forms in a cell with an immature-appearing nucleus results in cells that are conspicuous for their lack of synchrony between nuclear and cytoplasmic development. (B) A megaloblastic (“giant”) granulocyte precursor. Original magnification ×100; Wright-Giemsa stain.
Photomicrograph of bone marrow in a patient with pernicious anemia. (A) Megaloblastic change in the nucleus of an erythroid precursors consisting of variegated finely granular chromatin (“salt-and-pepper” appearance) in contrast to the ground-glass texture of normal proerythroblasts. With progressive maturation, chromatin condensation occurs at a slower pace than normal, giving rise to darker aggregates that fuse nonhomogeneously and impart to the nucleus a characteristic latticelike appearance. Undisturbed maturation of the cytoplasm as hemoglobin forms in a cell with an immature-appearing nucleus results in cells that are conspicuous for their lack of synchrony between nuclear and cytoplasmic development. (B) A megaloblastic (“giant”) granulocyte precursor. Original magnification ×100; Wright-Giemsa stain.
All megaloblastic anemias display similar clinical features. Absent of any sudden acceleration in the rate of B12 depletion, such as occurs following exposure to nitrous oxide,22,23 anemia develops slowly, and symptoms including weakness, palpitations, fatigue, light-headedness, and shortness of breath may not occur until anemia is fairly profound, because compensatory cardiopulmonary changes mitigate tissue hypoxia. The melding of severe pallor with jaundice caused by hemolysis produces a peculiar lemon-yellow skin color.
All formed blood elements are affected by the ineffective megaloblastic hematopoiesis, but erythrocytes show the most marked changes, both in size and in shape, with large oval macrocytes and prominent anisopoikilocytosis. In general, the degree of anemia corresponds with the severity of the red cell morphologic changes. When the hematocrit falls <20%, megaloblasts may appear in the blood. The morphologic features of megaloblastic anemia may be grossly exaggerated in splenectomized patients or in whom there is functional asplenism as occurs in celiac disease or sickle cell anemia when circulating megaloblasts and bizarre red cell morphology may be present.24
The anemia is macrocytic (mean corpuscular volume 100-150 fl or more); mild macrocytosis may be the earliest evidence of a megaloblastic process, but because of longevity of red cells, there is a gradual shift in mean corpuscular volume as comingling occurs with older normocytic red cells. Anisocytosis becomes more marked, and the earliest measurable change in red cell indices is an increase in the red cell distribution width.
Neutrophils typically show hypersegmentation of their nuclei, beyond the usual 3 to 5 lobes, and may contain 6 or more lobes.25 Hypersegmented neutrophils are an early sign of megaloblastosis and may persist for many days after treatment.25 However, neutrophil hypersegmentation does not appear to be a sensitive indicator of mild B12 deficiency.26 Leukopenia and thrombocytopenia may be present but only rarely cause clinical problems. Thrombocytopenia may be severe, when it may be confused with thrombotic thrombocytopenic purpura.27,28 Platelet production is reduced to 10% of what would be expected from the megakaryocyte mass,29 reflecting ineffective thrombopoiesis, and platelets may be functionally abnormal.30
Variations on the theme and the B12-folate nexus
What determines the particular manifestations of B12 deficiency in a given individual depends on several factors, some of which are understood, others not. Two clear examples of what influences the clinical presentation in a given patient are the rate of development and the degree of severity of deficiency. The extent to which absorption of B12 is compromised, whether partial or complete and whether absorption is totally abrogated or whether it relates only to poor bioavailability of food B12 is also important. Polymorphic differences in genes involved in the complex repertoire that comprises the pathways of B12 absorption, assimilation, cellular metabolism, and plasma transport of the vitamin (Figure 1) are known to affect the susceptibility to develop B12 deficiency.32,33 Whether these genetic factors can also influence the disease phenotype in B12 deficiency is not well understood at this time. Another factor that may play a role in the susceptibility of an individual to B12 deficiency is the composition of their gastrointestinal microbiome. Some microbiota are capable of degrading B12, which may affect bioavailability of the vitamin and also lead to the generation of B12 analogs.34 B12 analogs have been identified in plasma and tissues35 and have been invoked as a possible cause of some of the manifestations of B12 deficiency.36 Host-microbial interactions have also been implicated as a possible initiating factor in autoimmune gastritis leading to pernicious anemia. In this proposed mechanism, chronic Helicobacter pylori infection may, through molecular mimicry of H+K+ ATPase, evoke a host immune response that involves CD4+ T cells through a Fas-dependent mechanism37 and leads to destruction of the gastric mucosa.38,39
Nutrient-nutrient interactions are known to play a role in the manifestations of B12 deficiency. The best known of these is concomitant iron deficiency, which can mask the macrocytosis typically seen in B12 deficiency. The same is true for other microcytic disorders like α- or β-thalassemia trait.40,41
An important B12 nutrient interaction is with folate. In B12 deficiency, there is disruption of normal folate cycling for regeneration of methylene-tetrahydrofolate, the form required to sustain synthesis of thymidine for DNA replication. Folate becomes effectively “trapped” as methylfolate,42 because B12 is required for its conversion to tetrahydrofolate in the methionine synthase reaction (Figure 3). Trapping of methylfolate creates a state of functional folate deficiency. Supply of folic acid to a B12-deficient patient can intermittently bypass this block through reduction of folic acid to dihydrofolate and then tetrahydrofolate, thereby partially or temporarily alleviating the anemia. Alleviation of the anemia masks the underlying B12 deficiency and allows the neurological damage from B12 deprivation to continue unabated. There is well-described evidence in the early literature that amounts of folic acid exceeding 1 mg daily given to patients with pernicious anemia were fraught with deleterious outcome.3,8 Although at first ameliorating hematological features of the disease, even at times with temporary improvement in neurological symptoms, continued administration of folic acid would precipitate or aggravate neurological complications, usually with subsequent recurrence of the anemia.8,43 Linked to these observations are reports of dissociation between neurological and hematological manifestations in B12-deficient patients6 as well as an inverse correlation between the degree of anemia and the severity of neurological involvement.44,45 There is some evidence that this relationship might be related to higher serum folate concentrations in patients with exclusively or predominantly neurological manifestations.44 More recently, and occurring in the wake of national folic acid fortification programs designed to reduce neural tube defect pregnancies, there have been several reports from longitudinal population studies that individuals with low serum B12 levels, who had associated high serum folate levels, had significantly higher levels of methylmalonic acid (MMA) and Hcy and were more likely to show cognitive decline and have lower hemoglobin concentrations than those with low B12 but without high serum folate.46-48 Moreover, individuals with low serum B12 and high serum folate had depressed levels of holotranscobalamin (holoTC), indicating an apparent depletion of circulating active B12 when serum folate was high.48 A report that the prevalence of anemia in patients with low B12 levels before and after the introduction of folic acid fortification was unchanged argues against the proposition that food fortification may have caused an increase in masking the hematological complications of B12 deficiency.49 However, it is possible that if there is any deleterious effect of folate in B12-deficient persons, this occurs only in individuals consuming amounts of folate well in excess of the recommended safe upper limit.8
Intersections of B12 and folate metabolism, the methionine cycle, folate cycle, and DNA synthesis showing the methyl folate “trap.” The key intersection of B12 and folate occurs at the methionine synthase (MS) reaction in which the one-carbon methyl group of methyltetrahydrofolate (MethylTHF) is transferred to Hcy to form methionine. The cofactor for this reaction is B12 in the form of methylcobalamin. The folate product tetrahydrofolate regains a one-carbon methylene group through the serine hydroxymethyltransferase (SHMT) reaction, and the resulting methylenetetrahydrofolate is essential for conversion of deoxyuridine to thymidine in the thymidylate synthase (TS) reaction. This reaction is rate limiting for DNA synthesis. In B12 deficiency, folate becomes trapped as methylTHF. Administration of folic acid can temporarily overcome this block through dihydrofolate reductase (DHFR) reduction to tetrahydrofolate. The other product of the MS reaction, the essential amino acid methionine, after adenosylation to S-adenosyl-methionine (SAM), serves as a universal methyl donor in numerous methyltransferase reactions. The product, S-adenosyl-homocysteine (SAH), undergoes reversible hydrolysis by the enzyme adenosyl-homocysteine hydrolase (AHCY hydrolase), yielding Hcy and thus completing the methionine or remethylation cycle. Not shown in this figure is the alternative transsulfuration pathway for Hcy disposal, which requires vitamin B6.8 ATP, adenosine triphosphate; DHFR, dihydrofolate reductase; H+, proton; MTHFR, methylene tetrahydrofolate reductase; NADP+, NAD phosphate; NADPH+, reduced NAD phosphate. Professional illustration by Patrick Lane, ScEYEnce Studios.
Intersections of B12 and folate metabolism, the methionine cycle, folate cycle, and DNA synthesis showing the methyl folate “trap.” The key intersection of B12 and folate occurs at the methionine synthase (MS) reaction in which the one-carbon methyl group of methyltetrahydrofolate (MethylTHF) is transferred to Hcy to form methionine. The cofactor for this reaction is B12 in the form of methylcobalamin. The folate product tetrahydrofolate regains a one-carbon methylene group through the serine hydroxymethyltransferase (SHMT) reaction, and the resulting methylenetetrahydrofolate is essential for conversion of deoxyuridine to thymidine in the thymidylate synthase (TS) reaction. This reaction is rate limiting for DNA synthesis. In B12 deficiency, folate becomes trapped as methylTHF. Administration of folic acid can temporarily overcome this block through dihydrofolate reductase (DHFR) reduction to tetrahydrofolate. The other product of the MS reaction, the essential amino acid methionine, after adenosylation to S-adenosyl-methionine (SAM), serves as a universal methyl donor in numerous methyltransferase reactions. The product, S-adenosyl-homocysteine (SAH), undergoes reversible hydrolysis by the enzyme adenosyl-homocysteine hydrolase (AHCY hydrolase), yielding Hcy and thus completing the methionine or remethylation cycle. Not shown in this figure is the alternative transsulfuration pathway for Hcy disposal, which requires vitamin B6.8 ATP, adenosine triphosphate; DHFR, dihydrofolate reductase; H+, proton; MTHFR, methylene tetrahydrofolate reductase; NADP+, NAD phosphate; NADPH+, reduced NAD phosphate. Professional illustration by Patrick Lane, ScEYEnce Studios.
Causes of B12 deficiency
There are several causes and varying degrees of severity of B12 depletion leading to deficiency (Table 1). From the hematological standpoint, it is convenient to divide the causes of B12 deficiency into those that frequently lead to megaloblastic anemia or overt neurological complications and those that usually do not.3,50 The features that distinguish the severe from the mild category of B12 deficiency are summarized in Table 2. The separation is based on pathophysiologic considerations and the degree of severity of the deficiency that occurs. The causes that are listed as severe usually involve disease processes that disrupt some aspect of the physiological pathway for B12 absorption comprising intrinsic factor and the cubam receptor in the terminal ileum. Undiagnosed or untreated, these conditions ultimately advance to a level of depletion of B12 that manifests the clinical features of B12 deficiency, either hematological or neurological or both. The exemplar of this category of B12 deficiency is pernicious anemia. The slow evolution of this disease reflects the rate at which the autoimmune process disables the manufacture of intrinsic factor in gastric parietal cells leading to the inexorable depletion of the body B12 store. Gastrectomy emulates abrogation of intrinsic factor production but with surgical suddenness. Similar temporal considerations apply in the case of ileal disease vs surgical resection. In the case of chemical inactivation of B12 by nitrous oxide, depending on the frequency and duration of its use and the state of B12 reserves, deficiency can develop either suddenly or insidiously.22,23
The causes of mild B12 deficiency, on the other hand, involve either a disruption of the ability to render natural dietary B12 bioavailable or a primary dietary lack of B12 that is obtained among unsupplemented vegans or, to a lesser extent, among vegetarians.51 There are several conditions that disrupt the normal processes, as discussed in the review by Nielsen et al12 and depicted in Figure 1, whereby food B12 is rendered bioavailable for absorption through the physiological intrinsic factor-cubam receptor pathway (Table 1). Disruption of the mechanisms to render dietary B12 bioavailable all involve a failure of adequate gastric acid production, disrupting the proteolytic activity of peptic digestion.52 A similar failure of the digestive process applies in the case of chronic pancreatic disease,53 in which the release of B12 from salivary haptocorrin (HC) in the upper small intestine is disrupted through lack of bicarbonate and trypsin production.54 There are some less common causes of B12 deficiency that do not fit nicely into either category, such as infestation with the fish tapeworm, Diphyllobothrium latum, in which the degree of deficiency and hence its clinical severity can vary considerably.55
Diagnosis of B12 deficiency
Two pathophysiologic processes contribute to the anemia resulting from B12 deficiency. In addition to the ineffective erythropoiesis caused by intramedullary apoptosis of megaloblastic erythroid precursors,20 the erythrocytes that are produced have increased rigidity associated with abnormal red cell membrane proteins leading to shortened red cell survival.56,57 The resulting hemolysis is associated with a 30% to 50% reduction in red cell lifespan. Plasma bilirubin is increased,58 as is serum lactic dehydrogenase (LDH),59 with LDH-1 predominating over LDH-2.60 Serum AST levels are, however, often normal.61 There is an increase in serum erythropoietin levels, but the increase is relatively modest, compared with other anemias of similar severity.62 Another feature arising from the ineffective erythropoiesis is a block in iron utilization, resulting in increased serum iron and ferritin levels,63 but with increased levels of soluble serum transferrin receptor, presumably related to hemolysis.64 Corresponding to the increase in LDH, there may be an increase in serum muramidase caused by increased granulocyte turnover.65
Serum B12 levels
Although often used as the first-line screening test for B12 deficiency, serum B12 measurement used in isolation has a generally poor sensitivity and specificity for reliable detection of B12 deficiency.4,5 A low serum B12 level does not always indicate B12 deficiency, and a serum B12 within the reference range does not always connote normalcy. There are several reasons serum B12 is not low in all patients with B12 deficiency. In part, this relates to the distribution of B12 on the 2 major plasma B12 binding proteins. Normally, the major fraction (70% to 90%) of circulating B12 is bound to HC, which is unavailable for immediate delivery to cells. The other 10% to 30% is bound to transcobalamin (TC), the functional B12 transport protein. Consequently, if levels of the HC-bound fraction are conserved, the total serum B12 level may lie within the normal reference range, despite lowered levels of the important TC-bound fraction. An extreme example of this is seen in a B12-deficient patient with normal serum B12 levels who has an underlying myeloproliferative disease with high HC levels.66 In almost 50% of patients with low vitamin B12 levels, levels of the biochemical markers, MMA and Hcy, were found to be normal, and these patients had no hematologic or neurologic response to B12 replacement therapy, suggesting that the low B12 values were false positive results.67 Serum B12 levels are usually normal in functional B12 deficiency, resulting from exposure to nitrous oxide, which chemically inactivates the methylcobalamin at the active site of the methionine synthase during its catalytic cycle.68 Serum B12 levels are also usually normal in TC deficiency, and inborn errors of cobalamin metabolism.69 Conversely, serum B12 levels may be low in the presence of normal tissue B12 in vegetarians,70 in subjects taking megadoses of ascorbic acid,71 in inherited “benign” HC deficiency,72,73 and in a substantial proportion of patients with megaloblastic anemia resulting from folate deficiency (30%).4
Serum holoTC
The B12 bound to HC comprises 70% to 90% of the total plasma B12, yet is unavailable for cellular delivery. That TC is the critical plasma B12 binding protein is underscored by the fact that inherited TC deficiency is associated with serious hematological and neurological sequelae and, if untreated, fatal outcome,74 whereas HC deficiency has no morbid consequence.73 Theoretically, measurement of the TC-bound fraction of the plasma B12 (holoTC), also termed “active B12,”75 should be more relevant for assessing functional B12 status, even though it constitutes only 10% to 30% of the total plasma B12. Increasingly, holoTC measurement is being used for clinical assessment of B12 status, either singly3,76,77 or in combination with the total serum B12 with or without measurement of the metabolites MMA and Hcy.78-80 In addition, holoTC levels also reflect B12 absorptive capacity.81-83
Serum or plasma MMA and Hcy
Because they are the substrates of the 2 B12-dependent reactions, elevated levels of MMA and Hcy are sensitive indicators of tissue B12 deficiency. Their levels are high in >90% of B12-deficient patients and increase before serum B12 falls to subnormal levels.4,5 Even when there is no manifest evidence of clinical B12 deficiency, and serum B12 levels are not low, elevated levels of MMA and Hcy can be considered as sensitive biomarkers of a subclinical underlying state of B12 deficiency, which may potentially progress to a state of manifest B12 deficiency with its attendant clinical complications that may remain subtle, often being only neurological84 or may become more exuberant.3,85,86 MMA measurements can be carried out on either plasma or serum, whereas Hcy is best measured in plasma, because cellular release of Hcy in a clotted blood sample can alter Hcy levels.87,88 Elevated plasma MMA and/or elevated Hcy are both indicators of B12 deficiency in patients without impaired renal function or an inherited defect in cobalamin processing enzymes.4,13,14,89 Of the 2, MMA measurement is both more sensitive and more specific, and elevated MMA will persist for several days, even after B12 treatment. MMA elevation is seen only in B12 deficiency, unlike Hcy levels that also increase in folate and pyridoxine deficiencies, as well as in hypothyroidism.4 However, certain intestinal microbes synthesize propionate, a precursor of MMA, and when there is bacterial overgrowth in the small intestine, as occurs in blind loops following gastrointestinal surgery, microbial-derived MMA may contribute to elevations in plasma MMA.5,90 Although measurement of these metabolites may be used in population screening for B12 deficiency, the finding of an isolated elevation of plasma MMA should not be taken as proof of clinically attributable B12 deficiency, absent of any ancillary measurements to support that diagnosis or any demonstration of a therapeutic response to the administration of B12.90,91
Assays of B12 absorption and intrinsic factor antibodies
There is currently no approved test in routine clinical use to measure B12 absorption since the Schilling test became obsolete. Lack of a validated B12 absorption test hampers accurate diagnosis of pernicious anemia as the cause of B12 deficiency and clinical investigations related to all causes of B12 malabsorption.92 One possible test that shows promise, the Cobasorb test, is based on the measurement of the change in holoTC following oral administration of nonradiolabeled cobalamin.82,93,94 An alternative approach has been described using accelerator mass spectrometry to quantify 14C in the blood following an orally administered dose of [14C]-cyanocobalamin.95
In absence of any test for B12 absorption, definitive diagnosis of pernicious anemia is problematic and depends on the demonstration of circulating antibodies to intrinsic factor and gastric parietal cells. Antibodies to intrinsic factor can be of 2 types, varying according to the epitope on the intrinsic factor molecule to which they are directed. For diagnostic purposes, the so-called “blocking” type, directed against the B12 binding site, is measured, as this type not only is highly specific for pernicious anemia but also is the species present in 70% of patients.96 Antibodies to parietal cells, although present in 90% of patients with pernicious anemia, are less specific, as they can occur in simple atrophic gastritis and in autoimmune thyroid disease.97
Prevention and treatment of B12 deficiency
Regarding prevention of B12 deficiency, the Institute of Medicine Food and Nutrition Board has defined the RDI for adults at 2.4 μg daily but with the caveat that individuals 51 years and older obtain most of this amount through consuming foods fortified with B12 or in a B12-containing supplement.8 This rider is added in consideration of the high prevalence of food B12 malabsorption caused by gastric dysfunction among the elderly. Assuming that the lowest possible MMA level is consistent with optimal well-being, a large segment of the population may exist in a state of precarious B12 balance, as evidenced by the fact that concentrations of serum MMA leveled off to a nadir in healthy individuals consuming 4 to 7 μg B12 daily.98 One of the possible implications of this finding is that individuals consuming less B12 may have a narrow margin of safety in the event that they were to develop any condition that further compromised their state of B12 repletion. Provided the physiologic intrinsic factor–cubam pathway for physiologic B12 absorption is intact, a daily supplement of B12 of 10 μg or more would suffice to prevent B12 deficiency or to maintain adequate B12 status in individuals with food B12 malabsorption caused by gastric dysfunction, including atrophic gastritis or the chronic use of drugs that impair acid production, such as proton pump inhibitors.12,50 The defined RDI notwithstanding, it is important to recognize that individuals with pernicious anemia or any other condition that interdicts the physiological intrinsic factor cubam absorption pathway would not benefit from the additional Institute of Medicine recommendation.
It is worth noting that prospective interventional trials using Hcy-lowering vitamin supplements containing B12 in subjects at high risk through suboptimal baseline B vitamin status show a slowing of cognitive decline and of cerebral atrophy.99 Considering that vitamin B12 deficiency is the dominant modifiable cause of hyperhomocysteinemia in the post–folic acid fortification era,100 it is reasonable to conclude that B12 adequacy is important to maintain, and this becomes progressively more relevant with advancing age.
Concerning treatment of confirmed B12 deficiency, well-defined guidelines have been enunciated,50,101 the details of which still apply. Some important principles need emphasizing. Where the cause of the deficiency is not known or irreversible, treatment must be lifelong. In general, the form and dosage of treatment depend first on whether the intrinsic factor-dependent pathway is intact or not. If not intact, then the choices lie between intramuscular injection of 1000 μg B12 (cyanocobalamin in the United States; hydroxocobalamin in Europe) given every other day for 1 to 2 weeks followed by weekly injections for a month and then tapered to once a month indefinitely. Only ∼10% of each B12 dose is retained. The alternative to injected B12 is high-dose oral B12. Between 1% and 4% of an oral dose of B12 is absorbed passively, even when the intrinsic factor-dependent pathway is abrogated.102 Consequently, oral replacement therapy with B12, which was used successfully in the past,103 has again come into vogue,104 because of convenience and cost. In most instances, however, it would be prudent to “top up” a B12-deficient patient through parenteral injection before switching to the oral route for maintenance, with due vigilance concerning compliance, particularly in the elderly. Because the passive route of absorption of B12 applies to all mucosal surfaces, approved sublingual and intranasal formulations of B12 are also available. It should be noted that patients with pernicious anemia at times report that the recommended treatment schedule is not adequate to relieve all their neurological symptoms and therefore often request, or may even treat themselves with, B12 injections more frequently than the guidelines suggest. No biological basis for this apparent increased requirement for B12 replacement is known, but because there are no reports of adverse effects associated with excess B12 intake, there is no reason to advise against this practice.8
Conclusion
Although considered an “old” disease, new information is constantly accruing about B12 deficiency, the broad array of its effects, and methods for its diagnosis. B12 deficiency primarily affects the hematopoietic system, but its effects extend to other tissues and organs, most notably the nervous system. The spectrum of clinical presentations is broad so that diagnosis depends first on a high index of suspicion and then on the judicious application of appropriate testing. Because B12 deficiency is amenable to simple replacement therapy, diagnosis is critical. Several questions still remain unanswered concerning B12 deficiency, including the possible harmful effects of high folate levels in subjects with low B12 status, particularly with respect to neurological damage. Other newer areas of investigation that may provide better insights into the variability of expression of B12 deficiency include genetic analysis and the effects of the microbiome.
Authorship
Contribution: R.G. wrote the manuscript.
Conflict-of-interest disclosure: The author declares no competing financial interests.
Correspondence: Ralph Green, Department of Pathology and Laboratory Medicine, University of California, Davis, 4400 V St, PATH Building, Sacramento, CA 95817; e-mail: rgreen@ucdavis.edu.
![Figure 1. Normal pathway of B12 absorption and cellular uptake. Food B12 is released in the stomach and binds to salivary HC. In the small intestine, food B12 and biliary B12 are released from HC by pancreatic proteases and bind to intrinsic factor (IF). The IF-B12 complex then binds to the cubam (Cubilin [Cub]–amnionless [Amn]) receptor in the terminal ileum for internalization and release to plasma where it is bound by TC. TC delivers B12 to the TC receptor (CD320) on cells, and following release in the cell, B12 is reduced and converted to adenosylcobalamin in the mitochondria and methylcobalamin in the cytosol, where they serve as cofactors for the 2 B12-dependent reactions. CoA, coenzyme A; THF, tetrahydrofolate. Professional illustration by Patrick Lane, ScEYEnce Studios.](https://ash.silverchair-cdn.com/ash/content_public/journal/blood/129/19/10.1182_blood-2016-10-569186/4/m_blood569186f1.jpeg?Expires=1768527518&Signature=M4hYRbwEE4y4BjaW7XudbWEAp1J0go1pCtcosJ-QvZEWi4I7dvk2HL3Sme34QSaBXe8ugtSH7HfxnmlA1TjJEtgKMIhNBlaTXh3L82zz59cgX~QzW7OL~z5pX3Nc8ZskT-rVE9-pg1kqpXrfgrc2fFrTlSy1v2LDz8tNpWVZFPJr6ksz15M869wONU2-wfbxgpsf4DLFYOQSw-gcGApls3LQ6nwUhlZ4sBJg6sEdICVDPWZxocMOkET~QrV3XUDJ7zNk5a8DLWe-ZTxlfyAFmhEjJ9B7OK9jaHTRmX~DpfJ5SNFeUlt-YR4P5ogBpeaZh93I4MAu9jzj21x1CqEycw__&Key-Pair-Id=APKAIE5G5CRDK6RD3PGA)


![Figure 1. Normal pathway of B12 absorption and cellular uptake. Food B12 is released in the stomach and binds to salivary HC. In the small intestine, food B12 and biliary B12 are released from HC by pancreatic proteases and bind to intrinsic factor (IF). The IF-B12 complex then binds to the cubam (Cubilin [Cub]–amnionless [Amn]) receptor in the terminal ileum for internalization and release to plasma where it is bound by TC. TC delivers B12 to the TC receptor (CD320) on cells, and following release in the cell, B12 is reduced and converted to adenosylcobalamin in the mitochondria and methylcobalamin in the cytosol, where they serve as cofactors for the 2 B12-dependent reactions. CoA, coenzyme A; THF, tetrahydrofolate. Professional illustration by Patrick Lane, ScEYEnce Studios.](https://ash.silverchair-cdn.com/ash/content_public/journal/blood/129/19/10.1182_blood-2016-10-569186/4/m_blood569186f1.jpeg?Expires=1768786792&Signature=wu9Vsapj2Rj~2jLn8pf5XPqpwZIY88aoyttf1UpT-u6-N9JY7jtPn9Af0yI7UpFZGaxJcT4~43jp~Ca9Ysy3tXIFyLYzlZ9k3H32SKk9RqIaAj6Q4dbdVgmJei1ah7clTkFsksaQgiVZWjOc2QY2DzshS5D2yH4DmoGT65~i2l6E7xYZKmGyiiZRI59Yj~TcMe6Y3tMfgXtXCXhGKDTh-tTR3nxO1hh2~EnNaAgDiklz7VvDz0AuFDb0AW-BWiocickQSMZedEjOainsvRGumLRK69mZojsa-mIAOTColgUXYqioXK3q14VcBRrKdF6LJhqOboQJMsR5sOXnItlT~g__&Key-Pair-Id=APKAIE5G5CRDK6RD3PGA)

