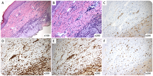
A healthy 80-year-old patient with a history of seborrheic dermatitis presented with an erythematous scalp lesion concerning for basal cell carcinoma. The biopsy showed ruptured folliculitis, dermal scar consistent with a previous biopsy, and focal dermal intralymphatic infiltrates of large mononuclear cells (panels A and B, hematoxylin and eosin stain; original magnification shown on photomicrographs; panel B inset, original magnification ×1000). By immunohistochemistry, the large cells were positive for CD30 (panel C), CD3 (panel D), and CD4 (panel E) and negative for CD8 (panel F), Epstein-Barr virus encoding RNA, CD20, CD56, ALK-1, and TIA-1 (not shown). T-cell receptor (TCR) gene rearrangement studies were negative. The clinical, morphologic, immunophenotypic, and molecular features were consistent with cutaneous intralymphatic CD30+ T-cell pseudolymphoma.
Cutaneous intralymphatic CD30+ T-cell pseudolymphoma is an uncommon, incidental finding with a benign course associated with chronic cutaneous inflammatory conditions or trauma. Histologically, this entity mimics CD30+ intravascular T-cell lymphoma, a rare true lymphoma with poor prognosis, and intralymphatic anaplastic large T-cell lymphoma. Lack of coexpression of TIA-1, granzyme B, CD56, and ALK-1 and a polyclonal pattern TCR gene rearrangement help exclude malignant lymphomas. Diagnosis requires clinicopathologic correlation and localization of CD30+ cells in lymphatic vessels (positive for podoplanin) rather than capillaries or venules.
A healthy 80-year-old patient with a history of seborrheic dermatitis presented with an erythematous scalp lesion concerning for basal cell carcinoma. The biopsy showed ruptured folliculitis, dermal scar consistent with a previous biopsy, and focal dermal intralymphatic infiltrates of large mononuclear cells (panels A and B, hematoxylin and eosin stain; original magnification shown on photomicrographs; panel B inset, original magnification ×1000). By immunohistochemistry, the large cells were positive for CD30 (panel C), CD3 (panel D), and CD4 (panel E) and negative for CD8 (panel F), Epstein-Barr virus encoding RNA, CD20, CD56, ALK-1, and TIA-1 (not shown). T-cell receptor (TCR) gene rearrangement studies were negative. The clinical, morphologic, immunophenotypic, and molecular features were consistent with cutaneous intralymphatic CD30+ T-cell pseudolymphoma.
Cutaneous intralymphatic CD30+ T-cell pseudolymphoma is an uncommon, incidental finding with a benign course associated with chronic cutaneous inflammatory conditions or trauma. Histologically, this entity mimics CD30+ intravascular T-cell lymphoma, a rare true lymphoma with poor prognosis, and intralymphatic anaplastic large T-cell lymphoma. Lack of coexpression of TIA-1, granzyme B, CD56, and ALK-1 and a polyclonal pattern TCR gene rearrangement help exclude malignant lymphomas. Diagnosis requires clinicopathologic correlation and localization of CD30+ cells in lymphatic vessels (positive for podoplanin) rather than capillaries or venules.
For additional images, visit the ASH Image Bank, a reference and teaching tool that is continually updated with new atlas and case study images. For more information, visit http://imagebank.hematology.org.

