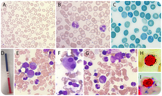
An 83-year old white man with microcytic anemia (hemoglobin 119 g/L; mean corpuscular volume 69 fL) and thrombocytopenia (120 × 109/L) had prominent red cell changes (microcytosis, target cells, elliptocytes, schistocytes) (panel A; original magnification ×40, Wright Giemsa stain), and ∼80% neutrophils were hypogranular and/or abnormally segmented (panel B; original magnification ×40, Wright Giemsa stain) on blood film. Hemoglobin electrophoresis and high-performance liquid chromatography were normal. Approximately 5% red cells showed hemoglobin H (HbH) inclusion bodies (panel C; original magnification ×100, brilliant cresyl blue stain). The i+LABORATORY α-thalassemia immunochromatographic strip test was positive (panel D), consistent with α-thalassemia. The patient lacked family history of thalassemia, had previous normal presentation (no jaundice/splenomegaly), normal red blood cell parameters, and granulocyte morphology. This led to clinical suspicion of acquired HbH disease associated with myelodysplastic syndromes (MDS). Bone marrow showed trilineage dysplasia–multinucleated erythroids (panel E; original magnification ×40, Wright Giemsa stain), hypolobate megakaryocytes (panel F, ×40), and hypogranular granulocytes (panel G, ×40). Ringed sideroblasts (23%) were noted (panels H-I; original magnification ×100, potassium hexacyanoferrate with neutral red counterstain). MDS with ringed sideroblasts and multilineage dysplasia was diagnosed. Cytogenetic analysis showed +14.
α-Thalassemia is an autosomal recessive inherited disorder of red blood cells. It can also occur as an acquired defect in disorders associated with ineffective erythropoiesis, especially MDS. Acquired α-thalassemia is due to acquired somatic mutations in the ATRX gene (Xq21.1), resulting in downregulation of α-globin gene expression.
An 83-year old white man with microcytic anemia (hemoglobin 119 g/L; mean corpuscular volume 69 fL) and thrombocytopenia (120 × 109/L) had prominent red cell changes (microcytosis, target cells, elliptocytes, schistocytes) (panel A; original magnification ×40, Wright Giemsa stain), and ∼80% neutrophils were hypogranular and/or abnormally segmented (panel B; original magnification ×40, Wright Giemsa stain) on blood film. Hemoglobin electrophoresis and high-performance liquid chromatography were normal. Approximately 5% red cells showed hemoglobin H (HbH) inclusion bodies (panel C; original magnification ×100, brilliant cresyl blue stain). The i+LABORATORY α-thalassemia immunochromatographic strip test was positive (panel D), consistent with α-thalassemia. The patient lacked family history of thalassemia, had previous normal presentation (no jaundice/splenomegaly), normal red blood cell parameters, and granulocyte morphology. This led to clinical suspicion of acquired HbH disease associated with myelodysplastic syndromes (MDS). Bone marrow showed trilineage dysplasia–multinucleated erythroids (panel E; original magnification ×40, Wright Giemsa stain), hypolobate megakaryocytes (panel F, ×40), and hypogranular granulocytes (panel G, ×40). Ringed sideroblasts (23%) were noted (panels H-I; original magnification ×100, potassium hexacyanoferrate with neutral red counterstain). MDS with ringed sideroblasts and multilineage dysplasia was diagnosed. Cytogenetic analysis showed +14.
α-Thalassemia is an autosomal recessive inherited disorder of red blood cells. It can also occur as an acquired defect in disorders associated with ineffective erythropoiesis, especially MDS. Acquired α-thalassemia is due to acquired somatic mutations in the ATRX gene (Xq21.1), resulting in downregulation of α-globin gene expression.
For additional images, visit the ASH Image Bank, a reference and teaching tool that is continually updated with new atlas and case study images. For more information, visit http://imagebank.hematology.org.

