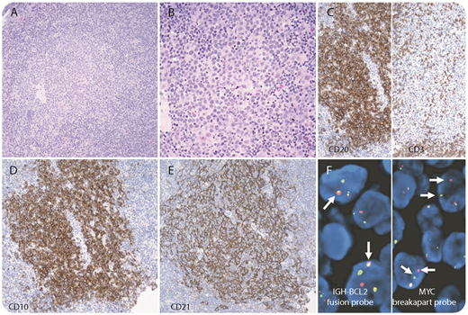
A 93-year-old woman presented with axillary lymphadenopathy. A biopsy showed lymphoid tissue with vaguely nodular architecture. Within the nodule, there was sheet of exclusive large centroblasts with few centrocytes in between (panels A-B; hematoxylin and eosin stain, original magnification ×200 and ×400, respectively). By immunohistochemistry, the cells were positive for CD20/CD3 (panel C; original magnification ×200), CD10 (panel D; original magnification ×400), BCL6, BCL2, and MYC protein. CD21 highlighted the intact follicular dendritic meshwork (panel E). Ki-67 proliferation index increased to 80% to 90%. The diagnosis of follicular lymphoma (FL) 3b/3 was made. Fluorescent in situ hybridization identified both BCL-2 and MYC gene rearrangements (panel F; original magnification ×1000). Thus, this case represented so-called double-hit FL (DH-FL).
De novo DH-FL is very rare and has been reported to be associated with a higher histologic grade, with few exceptions. The prognostic significance of DH-FL is still controversial. One study reported aggressive behavior, but suggested better response to more intensive treatment, whereas other reports revealed a regular behavior similar to that of conventional FL that lacks MYC rearrangement. Although double-hit diffuse large B-cell lymphoma has been recognized as high-grade B-cell lymphoma with MYC and BCL2 and/or BCL6 rearrangements by the new World Health Organization classification, DH-FL is not included in this category. More investigations are needed to better characterize its clinicopathological features.
A 93-year-old woman presented with axillary lymphadenopathy. A biopsy showed lymphoid tissue with vaguely nodular architecture. Within the nodule, there was sheet of exclusive large centroblasts with few centrocytes in between (panels A-B; hematoxylin and eosin stain, original magnification ×200 and ×400, respectively). By immunohistochemistry, the cells were positive for CD20/CD3 (panel C; original magnification ×200), CD10 (panel D; original magnification ×400), BCL6, BCL2, and MYC protein. CD21 highlighted the intact follicular dendritic meshwork (panel E). Ki-67 proliferation index increased to 80% to 90%. The diagnosis of follicular lymphoma (FL) 3b/3 was made. Fluorescent in situ hybridization identified both BCL-2 and MYC gene rearrangements (panel F; original magnification ×1000). Thus, this case represented so-called double-hit FL (DH-FL).
De novo DH-FL is very rare and has been reported to be associated with a higher histologic grade, with few exceptions. The prognostic significance of DH-FL is still controversial. One study reported aggressive behavior, but suggested better response to more intensive treatment, whereas other reports revealed a regular behavior similar to that of conventional FL that lacks MYC rearrangement. Although double-hit diffuse large B-cell lymphoma has been recognized as high-grade B-cell lymphoma with MYC and BCL2 and/or BCL6 rearrangements by the new World Health Organization classification, DH-FL is not included in this category. More investigations are needed to better characterize its clinicopathological features.
For additional images, visit the ASH Image Bank, a reference and teaching tool that is continually updated with new atlas and case study images. For more information, visit http://imagebank.hematology.org.
