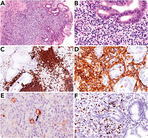
A 63-year-old woman presented with dyspepsia and gastric pain without B symptoms. She had been treated with methotrexate for 8 years for psoriatic arthritis. Endoscopy showed multiple gastric ulcers. Histological examination revealed submucosal infiltration by small- to medium-size lymphoid cells (panel A, original magnification ×40; panel B, original magnification ×400; hematoxylin and eosin stain) that were CD20+ (panel C, original magnification ×100; panel D, original magnification ×400; immunoperoxidase stain), CD5−, and CD23. Occasional large CD30+ cells were observed (panel E, arrow, original magnification ×400; immunoperoxidase stain). In situ hybridization showed numerous Epstein-Barr virus–positive (EBV+) lymphoid cells (panel F, original magnification ×200). Positron emission tomography/computed tomography revealed no pathological 18F-fluorodeoxyglucose uptake. EBV+ mucocutaneous ulcer (EBVMCU) was diagnosed. Methotrexate was stopped without improvement of the gastric ulcers. The patient received rituximab, achieving a complete remission.
EBVMCU is a polymorphic proliferation of EBV+ atypical B-cells that characteristically occurs in immunosuppressed patients, mostly in the oropharyngeal mucosa. EBVMCU has a morphological spectrum that may simulate diffuse large B-cell lymphoma or even classic Hodgkin lymphoma (in CD20− cases). EBVMCU is usually characterized by spontaneous regression. However, rituximab may be required to induce remission, as in our patient. EBVMCU, a provisional entity of 2016 World Health Organization classification of lymphohematopoietic neoplasms, has been revised as distinct entity in the 2022 International Consensus Classification of mature lymphoid neoplasms.
For additional images, visit the ASH Image Bank, a reference and teaching tool that is continually updated with new atlas and case study images. For more information, visit http://imagebank.hematology.org.
