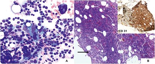
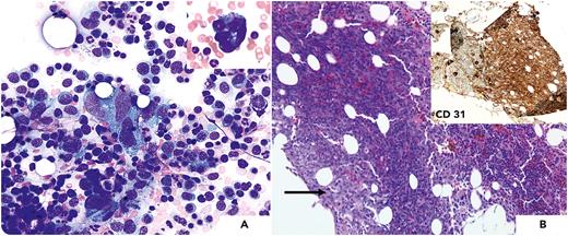
A 37-year-old man presented with bilateral deep vein thrombosis and a rapidly growing mass in the right lower extremity, which was diagnosed as angiosarcoma. He received 8 cycles of paclitaxel and targeted radiation. Six months from diagnosis, a metastasis to the left scapula was found. Three months later, he presented with numbness, fatigue, hematuria, and a rapid decrease in hemoglobin and platelet count. Laboratory evaluation included a hemoglobin concentration of 62 g/L, platelet count of 6 × 109/L, and a white blood cell count of 14.1 × 109/L. The peripheral blood smear showed a leukoerythroblastic blood picture. Bone marrow aspirate revealed clusters of large, pleomorphic epithelioid cells with vacuolated cytoplasm (panel A, hematoxylin and eosin stain; original magnification ×500; inset, original magnification ×400) in a background of erythroid predominant trilineage hematopoiesis. The core biopsy examination revealed a hypercellular marrow replaced by sheets of highly pleomorphic epithelioid cells (panel B, hematoxylin and eosin stain; original magnification ×400, arrow points to metastatic cells). The diagnosis was confirmed by positive staining for CD31 and CD34 (panel B, inset, original magnification ×200).
Metastatic sarcoma to the bone marrow is unusual. This case highlights a rare case of metastatic angiosarcoma involving the bone marrow as a cause for new-onset cytopenias.
