Abstract
Primary central nervous system lymphoma (PCNSL) is a rare extranodal lymphomatous malignancy that affects the brain, spinal cord, leptomeninges, or vitreoretinal space, without evidence of systemic involvement. The diagnosis of PCNSL requires a high level of suspicion because clinical presentation varies depending upon involved structures. Initiation of treatment is time sensitive for optimal neurologic recovery and disease control. In general, the prognosis of PCNSL has improved significantly over the past few decades, largely as a result of the introduction and widespread use of high-dose methotrexate (MTX) chemotherapy, which is considered the backbone of first-line polychemotherapy treatment. Upon completion of MTX-based treatment, a consolidation strategy is often required to prolong duration of response. Consolidation can consist of radiation, maintenance therapy, nonmyeloablative chemotherapy, or myeloablative treatment followed by autologous stem cell transplant. Unfortunately, even with consolidation, relapse is common, and 5-year survival rates stand at only 30% to 40%. Novel insights into the pathophysiology of PCNSL have identified key mechanisms in tumor pathogenesis, including activation of the B-cell receptor pathway, immune evasion, and a suppressed tumor immune microenvironment. These insights have led to the identification of novel small molecules targeting these aberrant pathways. The Bruton tyrosine kinase inhibitor ibrutinib and immunomodulatory drugs (lenalidomide or pomalidomide) have shown promising clinical response rates for relapsed/refractory PCNSL and are increasingly used for the treatment of recurrent disease. This review provides a discussion of the clinical presentation of PCNSL, the approach to work-up and staging, and an overview of recent advancements in the understanding of the pathophysiology and current treatment strategies for immunocompetent patients.
Introduction
Primary central nervous system lymphoma (PCNSL) is an extranodal non-Hodgkin lymphoma affecting the brain, spine, cerebrospinal fluid (CSF), or vitreoretinal space.1,2 It is a rare cancer with an annual incidence of 0.4 per 100 000 in all comers,3,4 but the incidence increases with age to as high as 4 per 100 000 in those older than 70 years.3 PCNSL accounts for 4% to 6% of all extranodal lymphomas, as well as for 4% of newly diagnosed malignant brain tumors.5 PCNSL can develop at any age (0.4% occur in patients younger than 9 years; 1.5% occur in patients younger than 19 years), but it has a median age of 56 to 61 years.3 Immunosuppressed patients, such as those with HIV/AIDS or patients posttransplant, are at an increased risk for PCNSL associated with Epstein-Barr virus.
The majority of PCNSL tumors are diffuse large B-cell lymphomas (DLBCLs). Although these tumors are highly chemo- and radioresponsive, relapse rates are high. Diagnosis is often made via biopsy of contrast-enhancing brain lesions, vitreous biopsy, or sampling of the CSF. High-dose methotrexate (MTX) chemotherapy regimens are the backbone of treatment, but consolidation therapy following MTX further improves duration of response. This review focuses on the clinical presentation, work-up, and treatment of immunocompetent patients with PCNSL.
Clinical presentation
The diagnosis of PCNSL requires a high level of suspicion because clinical presentations can vary widely. Only a proportion of patients with PCNSL (∼50% to 70%) will present with focal neurologic deficits.6 Almost as common, patients with PCNSL (∼40% to 50%) may develop nonspecific cognitive or behavioral changes over a matter of weeks to months. Signs of elevated intracranial pressure, such as headache, vomiting, or nausea, may also be seen (33%) but are not always readily identified as neurologic. Patients may have lymphoma isolated to the vitreoretinal space; as a result, their initial clinical presentation may be limited to subtle visual abnormalities, such as blurring, decreased acuity, or floaters. When the eye is the only site of disease, patients are diagnosed with primary intraocular lymphoma.7 Symptoms of primary intraocular lymphoma can be very indolent and may precede involvement of other central nervous system (CNS) compartments by years. Ocular abnormalities often require slit lamp examination for detection. Even when observed, these changes can be misdiagnosed because they often resemble uveitis. Further complicating matters, a majority of patients with PCNSL with ocular involvement have no visual symptoms.7 B symptoms that are commonly seen with systemic hematologic malignancy, such as fever, night sweats, and weight loss, are rare in PCNSL.
Diagnosis
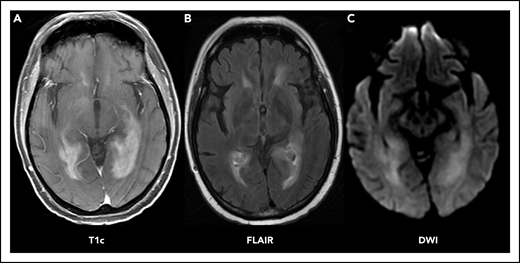
Patients with neurologic signs or symptoms as described above should immediately undergo brain imaging. The preferred imaging modality is magnetic resonance imaging (MRI) with and without contrast. MRI provides the best resolution for visualization and may be helpful with diagnosis of PCNSL, because it is often associated with characteristic radiographic features (Figure 1A). Lesions may be multifocal or unifocal. They are often periventricular (60%), affecting deep brain structures like the corpus callosum, the deep white matter, or the basal ganglia. On T2 sequencing, they tend to be iso- to hyperintense (Figure 1B) and are typically homogeneously enhancing with associated diffusion restriction (Figure 1C). In contrast to glioma or solid tumor metastases, PCNSL lesions tend to present with a mild amount of edema relative to their size.6 In patients who are unable to tolerate MRI scans, a computed tomography (CT) scan with and without contrast may be performed. The role of FDG–positron emission tomography (PET) brain imaging has not been established.8 PCNSL can present with isolated leptomeningeal or ocular involvement, although this is rare. Still, a normal-appearing MRI should not preclude lumbar puncture and ocular examinations when suspicion remains.
PCNSL imaging pattern on MRI. Characteristic PCNSL imaging features on MRI. (A) T1 sequence with gadolinium contrast (T1c) demonstrates homogenously enhancing lesions affecting the deep white matter. (B) Fluid-attenuated inversion recovery (FLAIR) sequence demonstrates moderate edema surrounding the lesion. (C) Diffusion-weighted imaging sequence (DWI) demonstrates restricted diffusion within the lesions.
PCNSL imaging pattern on MRI. Characteristic PCNSL imaging features on MRI. (A) T1 sequence with gadolinium contrast (T1c) demonstrates homogenously enhancing lesions affecting the deep white matter. (B) Fluid-attenuated inversion recovery (FLAIR) sequence demonstrates moderate edema surrounding the lesion. (C) Diffusion-weighted imaging sequence (DWI) demonstrates restricted diffusion within the lesions.
To establish a definitive diagnosis of PCNSL, a tissue sample is required. This often necessitates a brain biopsy, but CSF examination or vitrectomy may be diagnostic. Up to 20% of patients with PCNSL may have leptomeningeal involvement at diagnosis. As such, lumbar puncture is required for complete staging. CSF should be assessed by a basic cell count with differential, CSF glucose and protein levels, cytology, and flow cytometry. Immunoglobulin heavy chain gene rearrangement testing can be performed in the CSF, if available. Results may support cytology and flow cytometry findings. A slit-lamp evaluation to look for malignant cells in the vitreous humor or retina is necessary to complete staging. If found, biopsy may be performed, potentially obviating need for a brain biopsy. In general, however, brain biopsy should not be delayed while awaiting results of other investigations because PCNSL symptoms may progress rapidly and could lead to acute clinical deterioration if treatment is delayed.
When a diagnosis of PCNSL is being considered, it is important to defer corticosteroid administration until after pathologic confirmation. Corticosteroids are toxic to lymphoma cells and can cause a complete resolution of PCNSL lesions, resulting in poor diagnostic yield, potentially delaying definitive diagnosis and treatment. Therefore, corticosteroids should be reserved only for life-threatening circumstances. If it is necessary to start steroids, a brain biopsy should be performed within 24 to 48 hours of the first dose to optimize the diagnostic yield.
When a surgical procedure is required for diagnosis, biopsy is typically favored over a complete resection to minimize the potential for morbidity. Often PCNSL is multifocal and involves deep brain structures. Retrospective data conflict on the role of aggressive resection, with some studies finding no evidence of improved clinical outcomes6 and others suggesting a benefit in lower-risk patients.9 Notably, high-risk patients, defined as those with medical comorbidities, difficulties with activities of daily living, age > 55 years, and those with deep or multiple lesions, do not appear to benefit from resection; in practice, these parameters apply to the majority of patients with PCNSL. Most importantly, PCNSL is highly chemo and radio-responsive. Medical treatment alone can result in rapid and dramatic neurologic recovery, perhaps obviating the need for resection and supporting a more conservative surgical approach.
Pathology
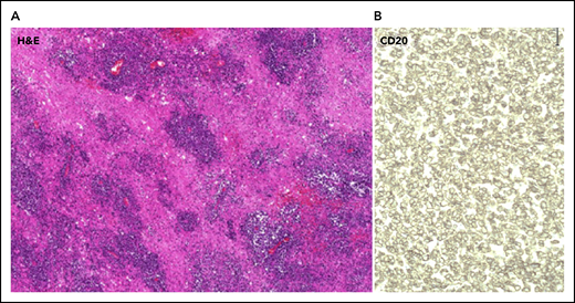
The majority of PCNSL tumors are DLBCLs (90%), with the vast majority of these categorized as the activated B-cell–like (ABC)/nongerminal center subtype.10,11 On histology, cells are typically highly proliferative, diffusely infiltrating the brain parenchyma and exhibiting an angiocentric growth pattern (Figure 2A). Neoplastic cells are identified by the high expression of the B-cell surface marker CD20 (Figure 2B). In systemic DLBCL, the ABC/nongerminal subgroup is associated with a poorer prognosis, as well as frequent recurrent mutations in the B-cell receptor (BCR) pathway.12 In PCNSL, this pathway is also affected by frequent recurrent mutations primarily affecting MYD88 and CD79B.11,13 Interestingly, and in contrast to non-CNS systemic DLBCL, these mutations are found in germinal and ABC center subtypes, suggesting that the BCR plays a central role in PCNSL. PCNSL demonstrates frequent copy number gains at 9p24.1, which includes loci of immunosuppressive genes programmed death ligand 1 (PD-L1) and PD-L2.14 Although PD-L1 expression is only found in 30%13 of PCNSL tumors, immune evasion might play a role in PCNSL pathogenesis.
Effects of corticosteroids on imaging in PCNSL and histopathologic features of PCNSL. (A) Hematoxylin and eosin (H&E) staining (10× magnification) of PCNSL demonstrating angiocentric growth pattern and diffusely infiltrating PCNSL cells invading the brain parenchyma. (B) Cells are positive for the B-cell surface marker CD20 (40× magnification).
Effects of corticosteroids on imaging in PCNSL and histopathologic features of PCNSL. (A) Hematoxylin and eosin (H&E) staining (10× magnification) of PCNSL demonstrating angiocentric growth pattern and diffusely infiltrating PCNSL cells invading the brain parenchyma. (B) Cells are positive for the B-cell surface marker CD20 (40× magnification).
Rarely, lymphoma subtypes other than DLBCL may be the cause of isolated CNS lesions. More indolent B-cell lymphomas, including mantle cell, Burkett, and T-cell lymphomas, have all been described, as has Bing-Neel syndrome, or CNS involvement in patients with Waldenström’s macroglobulinemia.10 The underlying histology may dictate treatment and impact clinical outcomes. Five-year overall survival (OS) rates for CNS DLBCL are ∼30% compared with 79% in marginal zone lymphoma, 66% in follicular lymphoma, 45% in Hodgkin lymphoma, 38% in small lymphocytic lymphoma, 42% in Burkitt lymphoma, and 33% in peripheral T-cell lymphoma.15
Staging
Once the diagnosis of PCNSL is confirmed, patients require systemic staging to rule out extra-CNS disease, which would change management and require the addition of chemotherapy agents used in systemic disease (eg, rituximab/cyclophosphamide/doxorubicin/vincristine/prednisone). Active systemic disease is ultimately discovered in 4% to 7%16 of patients with a newly diagnosed central lymphomatous lesion. The International PCNSL Collaborative Group17 recommends staging with a whole-body PET scan and bone marrow biopsy (Table 1). If PET cannot be performed, a CT tomography chest/abdomen/pelvis with and without contrast may suffice. Men who are unable to undergo PET or those with an abnormal scrotal examination should have a testicular ultrasound because there is a high frequency of CNS disease associated with testicular lymphoma. A basic laboratory evaluation should include a complete blood count with a differential, a complete metabolic panel to assess baseline renal and liver function, serum lactate dehydrogenase (LDH), hepatitis B and C serology, and HIV testing.
Prognosis may be predicted with 2 commonly used models: (1) The Memorial Sloan Kettering Cancer Center model, which utilizes Karnofsky Performance Scale (≥70 vs <70) and age (≤50 vs >50 years) at diagnosis to predict median progression-free survival (PFS) and OS18 and (2) The International Extranodal Lymphoma Study Group model, which relies on Eastern Cooperative Oncology Group Performance Status (0-1 vs >1), age (<60 vs >60 years), LDH (normal vs elevated), involvement of deep brain structures, and CSF protein concentration (normal vs elevated).19
Treatment at first diagnosis
To prevent morbidity and optimize the chances of neurologic recovery, treatment of PCNSL should be initiated as soon as the diagnosis is confirmed. Postbiopsy recovery and wound healing are usually not a concern and should not delay treatment initiation. Treatment is typically administered in 2 stages: induction and consolidation. The purpose of induction is to induce a partial, or ideally, complete response, whereas consolidation eliminates residual, often microscopic disease, and helps to maintain remission. There is a paucity of phase 3 randomized clinical trials for PCNSL treatment; as such, there is no standard agreed upon induction or consolidation strategy. However, it is generally accepted that MTX-based chemotherapy is the standard of care for induction. The dose of MTX and concurrent therapies administered may differ based on regional and institutional preferences. Consolidation strategies are also varied and are often tailored to the specific patient. They can range from myeloablative chemotherapy with autologous stem cell transplant (ASCT) to high-dose nonmyeloablative chemotherapy, radiation, medical maintenance, or even observation.
Historically, patients with PCNSL were treated with radiation. Although radiation tends to induce dramatic imaging responses, focal radiation resulted in high rates of relapse outside of the radiation field. Whole-brain radiation therapy (WBRT) yields impressive 90% overall response rates (ORRs); however, responses are not durable, with an OS of only 12 to 18 months.20,21
The standard chemotherapy agents used for treatment of systemic lymphoma (rituximab/cyclophosphamide/doxorubicin/vincristine/prednisone) lack efficacy in PCNSL,22,23 likely as a result of poor penetration of the blood-brain barrier (BBB). MTX administered at doses > 1.5 g/m2 penetrates the BBB and achieves cytotoxic concentrations in the CSF. The addition of MTX to WBRT results in improved OS, with 5-year survival rates of 30% to 50%.24,25 Ferreri et al26 demonstrated that the addition of cytarabine to MTX/WBRT improved ORR and prolonged PFS from 3 to 18 months, suggesting that polychemotherapy is more effective than single-agent MTX, setting the stage for the regimens in current use.
Unfortunately, the combination of chemotherapy and radiation therapies has proven to be neurotoxic. Over time, patients may develop symptoms, such as psychomotor slowing, executive and memory dysfunction, progressive subcortical dementia, gait ataxia, behavioral changes, and incontinence. Imaging reveals diffuse white matter disease and cortical-subcortical atrophy. These changes are mainly attributed to WBRT, particularly at doses > 42 Gy, and are common in patients treated with chemoradiation, particularly those older than 60 years.27,28
To address whether WBRT improves OS, a large phase 3 study randomized patients to receive MTX, with or without ifosfamide; those with a complete response were then randomized to 45-Gy WBRT or observation.29 The study revealed a significant improvement in PFS with WBRT (18 vs 12 months), but this did not translate to a benefit in OS (32.4 months [WBRT] vs 37.1 months). RTOG 1114 is a randomized phase 2 study of low-dose (23.4-Gy) WBRT for consolidation after MTX-based chemotherapy. Early data suggest an improvement in PFS, but OS has not been reached in either arm. It also remains to be seen whether this regimen is less neurotoxic than higher doses of radiation.30 Based on current data, WBRT is often reserved for salvage therapy.
Increasingly, strategies of intensified chemotherapy have replaced WBRT in upfront treatment of PCNSL. Many regimens include the use of rituximab, a monoclonal antibody targeting the B-cell surface antigen CD20. Rituximab dramatically improves response and clinical outcomes in systemic DLBCL and, therefore, was incorporated into early PCNSL treatment regimens. Although rituximab is a large protein, it can be detected in the CSF after systemic administration in patients with PCNSL,31 particularly when the BBB was disrupted. Retrospective studies demonstrated an added benefit with the addition of rituximab to MTX-based chemotherapy. A meta-analysis identified a PFS, but no OS, benefit.32 The randomized International Extranodal Lymphoma Study Group 32 study showed that the addition of rituximab to MTX/cytarabine improved ORR (73% vs 53%) and median PFS (20 vs 6 months).33 In striking contrast, the randomized HOVON/ALLG phase 3 study did not demonstrate a survival benefit with the addition of rituximab to the combination MTX/teniposide/BCNU/prednisone (MVBP) chemotherapy regimen, followed by cytarabine and WBRT consolidation.34 As a result, the role of rituximab in PCNSL remains undefined. However, given prior evidence and its relatively low side effect profile, many regimens, including in the clinical trial setting, still incorporate its use.
Additional therapies administered in conjunction with MTX are still debated because head-to-head trials are lacking. A recent noncomparative study suggested improvement in ORR and PFS when thiotepa is added to rituximab/MTX/cytarabine (MATRix regimen).33 Evidence also supports the use of MTX in combination with other alkylators, such as procarbazine, temozolomide, or carmustine.
Common induction regimens include rituximab + MTX + vincristine + procarbazine (R-MVP),35 rituximab + MTX + temozolomide,36 MATRix,33 and rituximab + MTX + etoposide + carmustine + prednisone (R-MVBP)34 (Table 2).
Although most of these regimens have not been directly compared, 1 multicenter phase 2 trial randomized elderly patients (age ≥ 60 years) to receive MTX/temozolomide or MTX/vincristine/procarbazine/cytarabine. Toxicity profiles were comparable in both groups. ORR was 71% and 82% respectively; median OS was not significantly different at 14 and 31 months.37
Consolidation strategies vary and are typically tailored to the specific patient based on their age, medical comorbidities, and response of disease to induction. More aggressive high-dose myeloablative chemotherapy (HDC) regimens followed by ASCT(HDC-ASCT) are used in younger (<70 years) patients with few medical comorbidities. Recent phase 2 studies, using MATRix,38 R-MVP,39 or R-MVBP,40 in combination with HDC-ASCT as consolidation, demonstrated high ORR (>90%) and prolonged PFS (>74 months), supporting that HDC-ASCT is a promising consolidative strategy, especially for young otherwise healthy patients with PCNSL. Thiotepa-based conditioning regimens have yielded superior results over BCNU/etoposide/cytarabine/melphalan, a conditioning regimen that is commonly used in systemic lymphoma.38,39,41-43
Alternative consolidation strategies include nonmyeloablative high-dose chemotherapy with agents such as cytarabine with or without etoposide; maintenance therapy with temozolomide, rituximab, or MTX; WBRT (23.4 or 45 Gy); or even observation. Additionally, novel targeted agents like lenalidomide44 or ibrutinib45 have been used in clinical trials as maintenance strategies. Ongoing trials that randomize patients to different consolidation treatments will shed further light on the optimal consolidation regimen.
The role of site-directed therapy for lymphoma involving the leptomeningeal or vitreoretinal spaces remains unknown. In early polychemotherapy trials, intrathecal (IT) or intraventricular chemotherapy was considered an integral treatment component. There was concern that CSF could serve as a sanctuary reservoir for PCNSL cells, contributing to early treatment failure and relapses. In addition, it was thought that longer exposure to cytotoxic concentrations in the CSF could be achieved with IT drug delivery. However, high-dose MTX administered systemically achieves cytotoxic levels in the CSF, and retrospective studies did not demonstrate a benefit for patients with PCNSL who received additional IT chemotherapy. IT drug delivery is also associated with increased adverse events related to the Ommaya reservoir used for administration, as well as drug toxicity, such as leukoencephalopathy.1 Currently, no consensus has been reached regarding the role of IT therapy, and it is increasingly omitted from upfront treatment regimens. However, in situations of persistent lymphomatous leptomeningeal or CSF involvement, IT chemotherapy may be appropriate. Common IT chemotherapy selections include MTX, rituximab, or cytarabine.
High-dose systemic MTX may induce clearance of the vitreoretinal space when it is involved with disease. However, ocular radiation or intraocular chemotherapy should be considered when ocular disease persists after systemic treatment.
Toxicity observed with chemotherapy varies depending on the agents used in the treatment of PCNSL. In general, MTX is well tolerated, even in elderly patients and those with multiple medical comorbidities. It is administered in the inpatient setting with continuous hydration and close monitoring of urine pH to prevent MTX crystallization in the kidney and renal failure. Of note, an impaired renal function, characterized by a creatinine clearance < 30 mL/min, is a contraindication for the use of MTX. Caution should be applied in patients with fluid collections (pleural effusions, ascites), because MTX can accumulate in these fluid spaces, leading to prolonged MTX clearance and an increased risk for adverse events. Although MTX is generally well tolerated, patients can develop nausea, vomiting, diarrhea, and headache. Other MTX-associated adverse events include pneumonitis, rash, mucositis, and myelosuppression. Neurologic toxicity is not common, but stroke-like symptoms and acute or subacute encephalopathy can occur. A delayed multifocal leukoencephalopathy may also be seen in long-term follow up, particularly when MTX is combined with WBRT. The US Food and Drug Administration has approved glucarpidase, a bacterial recombinant enzyme that cleaves MTX to the inactive byproducts glutamate and 4-deoxy-4-amino-N10-methylpteroic acid, for patients with MTX toxicity in the setting of MTX-induced renal failure. To reduce MTX-related toxicity, the empiric use of glucarpidase to aid in rapid MTX clearance and prevent MTX toxicity is currently being investigated (NCT03684980). For patients who are unable to receive treatment with MTX, either because of renal failure or intolerance, agents used in the salvage setting should considered as next-line therapy. Age is not a contraindication to MTX. Treatment with MTX-based regimens is effective and safe among the oldest patients with PCNSL.46 However for patients who are especially frail, one could consider a reduction in the MTX dose, MTX-only treatment, or enrollment into clinical trials using MTX-free regimens built around novel targeted agents, such as single-agent ibrutinib (NCT02623010) or ibrutinib combination therapy (copanlisib/ibrutinib, NCT03581942).
Rituximab is generally well tolerated. It can be associated with infusion reactions, which can be severe. It can also increase the risk of a reactivation of viral hepatitis B. Therefore, hepatitis serologies should be collected prior to treatment initiation and in patients with past exposure; prophylactic antiviral agents need to be used.
Posttreatment monitoring
PCNSL has a high rate of recurrence, particularly in the first 2 years after treatment. Patients who are elderly or frail tend to develop early recurrence, possibly as the result of less aggressive upfront therapy. Although relapses occur usually within the first 2 years after the initial diagnosis, late relapses even after more than 10 years have been described. The National Comprehensive Cancer Network guideline recommends surveillance MRI brain imaging every 3 months during the first 2 years after completion of first-line treatment and then every 6 months thereafter. After 5 years, imaging can be performed annually, but it should continue indefinitely because of the risk of late relapses.1 Serial CSF collection and surveillance spine MRIs are only performed in patients with leptomeningeal and/or spinal disease at initial diagnosis. Patients with ocular involvement need to be assessed with serial ophthalmologic examinations.
Therapy at recurrence/salvage
Despite the efficacy of MTX-based therapy, 10% to 15% of PCNSL cases may prove to be refractory to MTX. In patients whose clinical course was complicated by delays in MTX administration, additional MTX therapy may still be useful. Relapse after initial response to MTX-based therapy is seen up to 50% of the time.47 The median time to relapse is 10 to 18 months, with most relapses occurring in the first 2 years. Prognosis for refractory disease and at relapse is poor, with an estimated OS of 2 months for patients with refractory disease and 3.7 months for those with relapsed disease.48 At the time of relapse, restaging should be performed and should include imaging of the neuroaxis (brain and spine), lumbar puncture, and another ophthalmologic examination. A whole-body PET scan should also be repeated, because, although rare, CNS lymphoma may relapse systemically.47
There is no single established approach to the treatment of patients with relapsed/refractory disease. Choice of treatment typically depends on patient age, performance status, response to prior therapy, and medical comorbidities. Rechallenge with MTX is reasonable, particularly for those with initial durable response following first-line MTX-based treatment. Retrospective studies have reported ORRs of 85% to 91% in this setting.49,50 Prospective trials of other agents, such as pemetrexed, temozolomide, topotecan, and rituximab, have demonstrated ORRs between 31% and 55% with a PFS of 1.6 to 5.7 months51 (Table 3). In patients who are radiation naive, WBRT remains an effective strategy for palliation and short-term control, although neurocognitive impairment remains a concern in patients with durable response.
In younger patients, HDC-ASCT remains an option at relapse. A prospective multicenter trial of high-dose etoposide/cytarabine, followed by HDC-ASCT, demonstrated a median PFS of 11.6 months and a 2-year OS of 45%.52
Multiple new treatment strategies have been tested in the relapsed/refractory setting, including immunotherapy. Two recent case series of PD-1 antibody therapy in patients with relapsed/refractory PCNSL suggested a response. In 1 case series, 4 patients with PCNSL received the anti–PD-1 antibody nivolumab, and all demonstrated an objective radiographic response. PFS for each was >13 months, and all were alive at a median follow-up of 17 months.53 A second retrospective study reported on 6 patients with CNS lymphoma, including 3 with PCNSL, who were treated with anti–PD-1 therapy in combination with rituximab. In that series, 3 patients achieved complete response, including 2 of the patients with PCNSL.54 Prospective studies exploring the role of anti–PD-1 antibody as monotherapy and in combination with targeted or immunomodulatory drugs (IMiDs) are ongoing.
A better understanding of the pathophysiology of PCNSL has led to the development and exploitation of novel targeted therapies. The first targeted agent investigated was temsirolimus, a mammalian target of rapamycin inhibitor that induced high response rates (54%) that, unfortunately, were not durable (PFS, 2.1 months), suggesting rapid development of drug resistance.55
More promising, ibrutinib, an inhibitor of Bruton tyrosine kinase, a member of the BCR pathway, has been shown to induce significant responses when used alone11,56 (560 mg, ORR = 52%; 840 mg, ORR = 77%) or in combination with methotrexate/rituximab45 (ORR = 80%) in recurrent PCNSL. A phase 1 trial incorporated ibrutinib with temozolomide, etoposide, liposomal doxorubicin, dexamethasone, and rituximab. Patients were first treated with ibrutinib alone, prior to the addition of the remainder of the temozolomide, etoposide, liposomal doxorubicin, dexamethasone, and rituximab regimen. Imaging demonstrated radiographic reduction in tumor size in 94% of patients after only 2 weeks of monotherapy.57 Unfortunately, frequent serious and sometimes fatal complications of pulmonary or cerebral aspergillosis were seen in this trial, which is ongoing to better define treatment-associated toxicities. Therefore, caution should be used when ibrutinib is prescribed for patients with PCNSL, particularly in the setting of immunosuppression from chronic steroid use, prior chemotherapy, or prior transplant. Ibrutinib is under investigation in combination with other agents in the recurrent setting (rituximab/ibrutinib/lenalidomide [NCT03703167], ibrutinib/copanlisib [NCT03581942], ibrutinib/pembrolizumab/rituximab [NCT04421560]), as well as in the first-line treatment in combination with R-MVP (NCT02315326) or as single-agent maintenance for elderly patients with PCNSL (NCT02623010). A randomized French study will evaluate response to R-MVP/ibrutinib in comparison with R-MVP/lenalidomide (NCT04446962). Moreover, second-generation Bruton tyrosine kinase inhibitors are now also being investigated in the recurrent setting (tirabrutinib [NCT04947319], acalabrutinib alone [NCT04548648] or in combination with rituximab and durvalumab [NCT04688151]).
Another promising class of therapeutic agents are IMiDs. The IMiDs lenalidomide and pomalidomide have been used in patients with relapsed/refractory PCNSL, alone or in combination with rituximab. ORR was 43% with pomalidomide,58 62% with single-agent lenalidomide,59 and 63% with lenalidomide + rituximab.44 Lenalidomide is under investigation in combination with MTX and the checkpoint inhibitor nivolumab in the first-line setting (NCT04609046). Based on these results, the updated National Comprehensive Cancer Network guidelines for the treatment of relapsed/refractory PCNSL now include the use of single-agent ibrutinib, single-agent lenalidomide, and the combination of lenalidomide and rituximab.
Overall, these novel agents seem to induce frequent and significant radiographic responses. Unfortunately, responses are often not durable, suggesting early development of resistance. Combination therapy may be 1 way to improve outcomes, and trials combining novel targeted treatments with cytotoxic agents, immunotherapy, or other targeted treatments are ongoing.
Conclusions
There have been significant advances in the management of PCNSL, but relapses remain frequent and difficult to treat. MTX-based polychemotherapy is widely considered the standard of care in the upfront setting, but optimal treatment in the salvage setting has not been defined. New pathophysiologic insights into PCNSL have led to the recent introduction and more common use of novel targeted agents in the salvage setting. These agents are increasingly adopted from the clinical trial setting into routine clinical practice and are beginning to be studied in newly diagnosed patients. In the next few years, we hope to see the integration of these novel agents into first-line treatment regimens in the anticipation that they improve the frequency and duration of response and offer additional treatment options for patients at increased risk for a poor clinical outcome.
Acknowledgments
This work was supported by National Institutes of Health/National Cancer Institute Cancer Center Support Grant P30-CA008748, as well as by grants from Cycle for Survival Equinox and the Leukemia and Lymphoma Society.
Contribution: L.R.S. and C.G. designed research, performed research, contributed vital new reagents or analytical tools, collected data, analyzed and interpreted data, performed statistical analysis and wrote the manuscript.
Conflict-of-interest disclosure: L.S. has received research support from BTG and has acted as a consultant for DebioPharm. C.G. has received research support from Pharmacyclics, Bayer, and Bristol Myers Squibb and has acted as a consultant for Kite, BTG, and ONO.
Correspondence: Christian Grommes, Department of Neurology, Memorial Sloan Kettering Cancer Center, 1275 York Ave, Box 71, New York, NY 10065; e-mail: grommesc@mskcc.org.


