Key Points
Red blood cell membrane–derived particles cause endothelial dysfunction and organ damage at the onset phase of hyperhemolysis in SCD.
The carbon monoxide–releasing molecule CORM-401 counteracts organ damage at the onset phase of hyperhemolysis in SCD.
Visual Abstract
Acute hyperhemolysis is a severe life-threatening complication in patients with sickle cell disease (SCD) that may occur during delayed hemolytic transfusion reaction (DHTR), or vaso-occlusive crises associated with multiorgan failure. Here, we developed in vitro and in vivo animal models to mimic endothelial damage during the early phase of hyperhemolysis in SCD. We then used the carbon monoxide (CO)–releasing molecule CORM-401 and examined its effects against endothelial activation, damage, and inflammation inflicted by hemolysates containing red blood cell membrane–derived particles. The in vitro results revealed that CORM-401: (1) prevented the upregulation of relevant proinflammatory and proadhesion markers controlled by the NF-κB enhancer of activated B cells, and (2) abolished the expression of the nuclear factor erythroid-2-related factor 2 (Nrf2) that regulates the inducible antioxidant cell machinery. We also show in SCD mice that CORM-401 protects against hemolysate-induced acute damage of target organs such as the lung, liver, and kidney through modulation of NF-κB proinflammatory and Nrf2 antioxidant pathways. Our data demonstrate the efficacy of CORM-401 as a novel therapeutic agent to counteract hemolysate-induced organ damage during hyperhemolysis in SCD. This approach might be considered as possible preventive treatment in high-risk situations such as patients with SCD with history of DHTR.
Introduction
Sickle cell disease (SCD) is a common inherited red blood cell (RBC) disorder characterized by chronic hemolysis and acute vaso-occlusive events.1 RBC transfusion is still a key therapeutic intervention in the clinical management of both acute and chronic sickle cell–related complications.2
Acute hyperhemolysis is an extremely severe situation encountered in SCD during different situations including severe vaso-occlusive crises with multiorgan damage and delayed hemolytic transfusion reaction (DHTR), a life-threatening complication of RBC transfusion with high incidence among patients with SCD,3-5 which contributes to 6% of mortality.6 DHTR is characterized by dramatic hemolysis with a drop in hemoglobin (Hb) levels due to the destruction of both transfused RBCs and patients’ RBCs (bystander effect).4,7 Evolution during the first 24 to 48 hours after DHTR onset is crucial in terms of organ damage and prognosis. During DHTR, hemolysis is generally caused by alloimmunization via antibodies against RBCs, which are not identified in almost 30% of DHTR cases.7,8 The risk of DHTR after a blood transfusion can be evaluated by considering a patient's history of DHTR, the presence of alloimmunization, or a low number of prior transfusions.4,9 DHTR results in severe intravascular hemolysis and activation of the complement system.10-12 Free heme and free Hb during DHTR promote intravascular oxidative stress, leading to (1) endothelial damage with upregulation of proadhesive and chemotaxis factors such as vascular cell adhesion molecule 1 (VCAM-1) or monocyte chemoattractant protein 111,13-16; (2) reduction in nitric oxide (NO) bioavailability17-19; and (3) abnormal activation of the alternative complement pathway.11,12 Previous studies in cell- and animal-based DHTR models used purified Hb or hemin to mimic the effects of severe intravascular hemolysis,13,14,20,21 which do not take into account the contribution of RBC membrane–derived particles in amplifying and sustaining free heme/Hb-induced vascular endothelial damage.
To limit the deleterious effects of free heme/Hb in SCD, different therapeutic strategies have been proposed, including infusion of hemopexin (which neutralizes heme) or haptoglobin (a scavenger of Hb). Carbon monoxide (CO), a byproduct of heme metabolism catalyzed by heme oxygenase-1 enzyme, evokes anti-inflammatory effects on the vasculature, and in SCD mice has been demonstrated to elicit beneficial therapeutic effects.22-24 Both CO inhalation and CO-releasing molecules (CO-RMs) are promising candidates for the treatment of inflammatory vasculopathy.23,25-27 Among the pharmacologically active CO-RMs, CORM-401 is a recently characterized Mn-containing compound that is stable and delivers precise CO quantities with high efficiency both in vitro and when orally administered in vivo.27,28 Previous studies showed that endothelial cells exposed to CORM-401 accumulate intracellular CO, leading to endothelial calcium signaling and increased NO bioavailability.29
Here, we studied the effects of CORM-401 on acute hyperhemolysis onset in vitro and in a humanized SCD mouse model.30 Using approaches that mimic the onset phase of hyperhemolysis, we found a protective effect of CO delivered by CORM-401 in hemolysis-induced endothelial dysfunction and organ damage, with significant reduction of inflammation and acute response systems. Thus, CORM-401 may be considered an interesting therapeutic agent to alleviate hyperhemolysis-mediated vascular and organ dysfunction occurring during DHTR in patients with SCD.
Materials and methods
In vitro cell-based assays
Blood samples were collected from healthy blood donors (AAs) from the Etablissement Français du Sang and from patients with SCD (SS) with consent and local institutional review board (CPP Creteil) approval (collection protocol ERYTHROPEDIE), excluding patients in a chronic transfusion program.
Fluidic model to mimic DHTR
Flow culture of human umbilical vein endothelial cells (HUVECs)
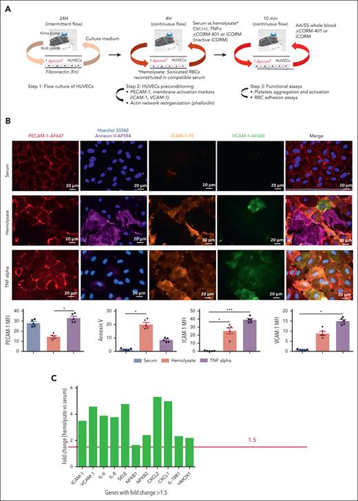
Step 1 is shown in Figure 1A. HUVECs isolated from neonate umbilical vein (see supplemental Methods, available on the Blood website) were seeded in fibronectin-coated microslides (Sigma-Aldrich). After 2 hours of static culture, cells were exposed to shear stress of 1 dyne·cm−2 overnight using a Kima pump (Cellix). For hemolysate preparation, freshly washed AA RBCs were resuspended in autologous serum at 2.5% volume-to-volume ratio, then lysed by sonication. This hemolysate reproduces the early phase of DHTR observed in patients with SCD, when almost 10% of RBCs are destroyed within a few hours with a drop in Hb concentration.6 In all experiments, lysis of 10% RBCs corresponds to free Hb levels of 7.022 g/L. MetHb, and heme were extremely low (<0.1%, and <0.17 μM, respectively).
Impact of hemolysate on HUVECs in a fluidic model mimicking intracellular hemolysis. (A) Three-step fluidic model reproducing intracellular hemolysis. HUVECs cultured in a flow system (step 1, flow culture of HUVECs) were exposed to either AA hemolysate, TNFα, or serum for 4 hours (step 2, HUVEC preconditioning). Step 3, functional assays were performed by infusing heparinized WB from either AA donors or patients with SCD on hemolysate-preconditioned HUVECs from step 2 for 10 minutes. The infusion flow rate in the fluidic model was adjusted to reach a shear stress 1 dyne·cm−2. (B) Hemolysate induced activation and damage of HUVECs after preconditioning: HUVECs cultured in flow system were exposed to either AA hemolysate, TNFα, or serum for 4 hours, then stained for activation and apoptosis markers by PECAM-1 Alexa Fluor 647 (red), ICAM-1 PE (orange), VCAM-1 Alexa Fluor 488 (green), Hoechst 34442 (blue), and annexin-V Alexa Fluor 594 (purple) staining. Images representative of 5 different experiments. Mean fluorescence intensity (MFI) of PECAM-1, ICAM-1, VCAM-1, and annexin-V markers were quantified by ImageJ. Data represent mean ± SEM (n = 5), the Kruskal-Wallis test with ∗P < .05 and ∗∗∗P < .001. (C) Hemolysate upregulates inflammation and acute response genes on HUVECs. HUVECs cultured in a flow system were exposed to either serum or hemolysate for 4 hours. Cells were then recuperated to analyze gene expression profiles by messenger RNA sequencing as described in supplemental Data. Example of genes with a global fold change of >1.5 and a false discovery rate (FDR) P value < .05 induced by hemolysate vs serum from 7 AA donors.
Impact of hemolysate on HUVECs in a fluidic model mimicking intracellular hemolysis. (A) Three-step fluidic model reproducing intracellular hemolysis. HUVECs cultured in a flow system (step 1, flow culture of HUVECs) were exposed to either AA hemolysate, TNFα, or serum for 4 hours (step 2, HUVEC preconditioning). Step 3, functional assays were performed by infusing heparinized WB from either AA donors or patients with SCD on hemolysate-preconditioned HUVECs from step 2 for 10 minutes. The infusion flow rate in the fluidic model was adjusted to reach a shear stress 1 dyne·cm−2. (B) Hemolysate induced activation and damage of HUVECs after preconditioning: HUVECs cultured in flow system were exposed to either AA hemolysate, TNFα, or serum for 4 hours, then stained for activation and apoptosis markers by PECAM-1 Alexa Fluor 647 (red), ICAM-1 PE (orange), VCAM-1 Alexa Fluor 488 (green), Hoechst 34442 (blue), and annexin-V Alexa Fluor 594 (purple) staining. Images representative of 5 different experiments. Mean fluorescence intensity (MFI) of PECAM-1, ICAM-1, VCAM-1, and annexin-V markers were quantified by ImageJ. Data represent mean ± SEM (n = 5), the Kruskal-Wallis test with ∗P < .05 and ∗∗∗P < .001. (C) Hemolysate upregulates inflammation and acute response genes on HUVECs. HUVECs cultured in a flow system were exposed to either serum or hemolysate for 4 hours. Cells were then recuperated to analyze gene expression profiles by messenger RNA sequencing as described in supplemental Data. Example of genes with a global fold change of >1.5 and a false discovery rate (FDR) P value < .05 induced by hemolysate vs serum from 7 AA donors.
Hemolysate preconditioning
Step 2 is shown in Figure 1A. Flow cultured HUVECs were exposed to hemolysate containing RBC membrane–derived particles for 4 hours at shear stress 1 dyne·cm−2. HUVECs were then washed in culture medium before functional assays or other studies.
Functional assays
Step 3 is shown in Figure 1A. AA and SS whole blood (WB) containing 10% volume-to-volume ratio of the supernatant from the hemolysate preconditioning step was perfused onto preconditioned HUVECs to study RBC adhesion and platelet thrombus formation (see supplemental Methods).
Determination of Hb, MetHb, heme, and carboxyhemoglobin (COHb) was performed as previously reported.31 Transcriptome analysis of HUVECs id detailed in supplemental Methods.
CORM-401 or inactive CORM (iCORM)
CORM-401 was synthetized as described previously.27,29 iCORM, which does not contain CO, was used as a negative control and was prepared by mixing equimolar amounts of the dithiocarbamate ligand present in CORM-401 (Na[S2CN(CH3)CH2COONa]x2CH3OH) in combination with Mn2SO4. Treatment with CORM-401 (50 or 100 μM) or iCORM (100 μM) in the hyperhemolysis syndrome–mimicking model was performed 1 hour before, and during, step 2. Either CORM-401 or iCORM was then incubated with WB for 30 minutes before perfusion on HUVECs (step 3).
Mouse model and experimental design
The institutional animal experimental committee of the University of Verona and the Italian Ministry of Health approved the experimental protocols (56DC9.64), following European directive 2010/63/EU and the Federation for Laboratory Animal Science Associations guidelines and recommendations. Experiments were performed on 4-month-old sex-matched healthy control (Hbatm1(HBA)Tow Hbbtm3(HBG1, HBB)Tow [AA]) and SCD (Hbatm1(HBA)Tow Hbbtm2(HBG1,HBB∗)Tow [SS]) mice. The animal protocol was approved by the animal care and use committee at the University of Verona. Hematological parameters and COHb levels were assessed using a Sysmex XN-1000 Hematology Analyzer and a GEM Premier 4000 blood gas analyzer, respectively. Blood urea nitrogen and creatinine were measured in plasma.
Hemolysate preparation involved collecting blood from AA or SS mice. Washed RBCs were lysed in water (see supplemental Methods). The resulting hemolysate was infused intravenously in AA (560 mg/kg) and SS mice (350 mg/kg). Vehicle (phosphate-buffered saline) or CORM-401 (30 mg/kg) was orally administered 3 times weekly for 3 weeks. When indicated, mice underwent acute hemolysate infusion, 5 hours before euthanization.
Reticulocytes, annexin-V–positive cells, organ histology, immunoblot analyses, and quantification of hepatic CO accumulation
Procedures are detailed in supplemental Methods.
Statistical analysis
Statistical analysis is detailed in supplemental Methods.
Results
HUVECs display a proadhesion and proinflammatory phenotype when exposed to hemolysis in a fluidic model
To mimic DHTR, we exposed HUVECs to hemolysate in a fluidic model for 4 hours (Figure 1A). MetHb was negligible (<0.1%) and heme undetectable (<0.17 μM), indicating that oxidation of Hb does not occur under these conditions. Exposure of HUVECs to hemolysate upregulated intercellular adhesion molecule 1 (ICAM-1; CD54) and VCAM-1 (CD106), although less markedly than tumor necrosis factor α (TNFα), a positive control for HUVECs activation, compared with serum-treated cells (Figure 1B). Moreover, we observed a reorganization of HUVECs exposed to hemolysate compared with those exposed to serum or TNFα, which might favor cell detachment under flow conditions, as shown by the increased percentage of non–HUVEC-covered surfaces (supplemental Figure 1). In these cell-detached areas, we detected annexin-V positivity without nuclear and PECAM-1 staining because of either residual HUVEC membrane or deposition of phosphatidylserine (PS) from RBC membranes in hemolysate (Figure 1B; supplemental Figure 2). The merged image also showed a colocalization of vascular activation (ICAM-1 and/or VCAM-1) indicating that hemolysate induces inflammatory response. Some of these cells were also positive for annexin-V, indicating an apoptotic response in the same cell (Figure 1B; supplemental Figure 2).
We investigated the effect of hemolysate on gene expression profile in HUVECs by messenger RNA sequencing. We found a significant upregulation of inflammatory genes such as VCAM-1, ICAM-1, NFkB1, NFk-B2, E-selectin, IL-6, IL-8, and Hmox1 in hemolysate-treated HUVECs compared with serum-treated cells (fold change >1.5; and false discovery rate <0.05; Figure 1C).
We then evaluated adhesion of blood cells from AA WB to HUVECs preexposed to either serum, hemolysate, or TNFα (step 3; Figure 1A). RBC adhesion increased significantly in hemolysate- or TNFα-treated HUVECs compared with those treated with serum only (Figure 2A). This adhesion occurred mainly on HUVECs positive for ICAM-1 and/or VCAM-1 and/or annexin-V rather than on non–HUVEC-covered surfaces resulting from cell detachment (without PECAM-1 and nuclear marker; supplemental Figure 2). Interestingly, pretreatment with AA hemolysate tended to increase the adhesion of RBCs from patients with SCD compared with AA controls (supplemental Figure 3). We noted a negligible leukocyte adhesion on hemolysate-treated HUVECs (data not shown).
Hemolysate induced HUVEC dysfunction. HUVECs cultured in a flow system were exposed to either AA hemolysate, TNFα, or serum for 4 hours. Functional assays were performed by infusing heparinized WB on hemolysate-preconditioned HUVECs for 10 minutes. The infusion flow rate in the fluidic model was adjusted to reach a shear stress of 1 dyne·cm−2. (A) RBC adhesion after infusion of heparinized WB from AA donors on either AA hemolysate, TNFα, or serum-preconditioned HUVECs for 10 minutes at shear stress 1 dyne·cm−2. Data represent mean ± SEM (n = 8), the Kruskal-Wallis test with ∗P < .05 and ∗∗∗P < .001. (B-C) Platelet aggregation and activation at endothelial injury sites after infusion of heparinized WB from AA donors on either AA hemolysate, TNFα or serum-preconditioned HUVECs for 10 minutes at shear stress 1 dyne·cm−2. (C) Fixed cells were stained with PECAM-1 FITC (green), CD41a PE (orange), and CD62P (mouse antihuman primary antibody and Alexa Fluor 647 goat antimouse secondary antibody, red). Data represent mean ± SEM (n = 5), the Kruskal-Wallis test with ∗P < .05 and ∗∗∗P < .001. (D) Inhibitory effect of integrilin on platelets aggregation. HUVECs cultured in a flow system were exposed to AA hemolysate for 4 hours. AA heparinized WB was pretreated or not with integrilin, a GPIIbIIIa antagonist, at 10 μg/mL for 30 minutes before infusion on hemolysate-preconditioned HUVECs for 10 minutes. The infusion flow rate in the fluidic model was adjusted to reach a shear stress of 1 dyne·cm−2. After the washing step, fixed cells were stained with PECAM-1 FITC (green) and CD41a PE (orange). Images representative of 5 different experiments, data represent mean ± SEM (n = 5) (∗∗) paired t test with P < .01. FITC, fluorescein isothiocyanate.
Hemolysate induced HUVEC dysfunction. HUVECs cultured in a flow system were exposed to either AA hemolysate, TNFα, or serum for 4 hours. Functional assays were performed by infusing heparinized WB on hemolysate-preconditioned HUVECs for 10 minutes. The infusion flow rate in the fluidic model was adjusted to reach a shear stress of 1 dyne·cm−2. (A) RBC adhesion after infusion of heparinized WB from AA donors on either AA hemolysate, TNFα, or serum-preconditioned HUVECs for 10 minutes at shear stress 1 dyne·cm−2. Data represent mean ± SEM (n = 8), the Kruskal-Wallis test with ∗P < .05 and ∗∗∗P < .001. (B-C) Platelet aggregation and activation at endothelial injury sites after infusion of heparinized WB from AA donors on either AA hemolysate, TNFα or serum-preconditioned HUVECs for 10 minutes at shear stress 1 dyne·cm−2. (C) Fixed cells were stained with PECAM-1 FITC (green), CD41a PE (orange), and CD62P (mouse antihuman primary antibody and Alexa Fluor 647 goat antimouse secondary antibody, red). Data represent mean ± SEM (n = 5), the Kruskal-Wallis test with ∗P < .05 and ∗∗∗P < .001. (D) Inhibitory effect of integrilin on platelets aggregation. HUVECs cultured in a flow system were exposed to AA hemolysate for 4 hours. AA heparinized WB was pretreated or not with integrilin, a GPIIbIIIa antagonist, at 10 μg/mL for 30 minutes before infusion on hemolysate-preconditioned HUVECs for 10 minutes. The infusion flow rate in the fluidic model was adjusted to reach a shear stress of 1 dyne·cm−2. After the washing step, fixed cells were stained with PECAM-1 FITC (green) and CD41a PE (orange). Images representative of 5 different experiments, data represent mean ± SEM (n = 5) (∗∗) paired t test with P < .01. FITC, fluorescein isothiocyanate.
The formation of platelet thrombus on damaged endothelium was evaluated by staining platelet and endothelial cells after AA WB perfusion on preconditioned HUVECs for 10 minutes. We observed that hemolysate induced aggregation (Figure 2B) and activation (Figure 2C) of platelets at injury sites. This platelet recruitment was significantly reduced by pretreating WB with integrilin, a GPIIbIIIa antagonist (Figure 2D). Interestingly, when SS WB was perfused, we noted a massive platelet recruitment in non–HUVEC-covered areas, which was completely abolished by integrilin treatment (supplementary Figure 4). These results suggest a role for platelet–platelet interaction in hemolysate-induced thrombus formation on damaged endothelium.
CORM-401 prevents hemolysate-induced activation of HUVECs and inflammatory response
Previous studies have highlighted the importance of CO against inflammatory vasculopathy related to SCD.22,32 We therefore evaluated the effects of CORM-401 by exposing HUVECs to this CO-releasing agent27-29,33 either: (1) before hemolysate infusion, (2) during hemolysate infusion, or (3) before and during hemolysate infusion. The latter (3) was the most effective in preventing HUVEC activation (supplemental Figure 5) and was chosen for the subsequent experiments.
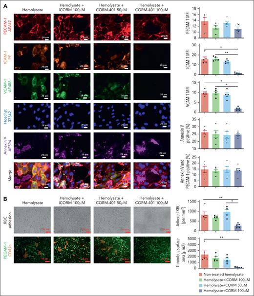
Thus, we pretreated HUVECs with CORM-401 or its inactive counterpart (iCORM) for 1 hour before exposure to hemolysate incubated with CORM-401 or iCORM, which contained similar Hb levels (supplemental Figure 6A). CORM-401 (50 and 100 μM) increased COHb from 0% to 8.88% and 14.74%, respectively, whereas 100 μM iCORM did not (supplemental Figure 6B). A 2-step treatment with 100 μM CORM-401 significantly reduced ICAM-1 and VCAM-1 expression (Figure 3A; Table 1) and tended to reduce reactive oxygen species generation (supplemental Figure 7), suggesting a reduction of hemolysate-induced HUVEC activation and oxidative stress. CORM-401 had no significant effect on annexin-V or PECAM-1 staining (Figure 3A), maintaining a similar proportion of non–HUVEC-covered surfaces (supplemental Figure 8). Noteworthily, hemolysate-induced RBC and platelet adhesion on HUVECs decreased with the 2-step treatment compared with untreated hemolysate (Figure 3B).
Hemolysate-induced proinflammatory and activation of HUVECs is prevented by CORM-401. HUVECs cultured in a flow system were pretreated or not with either CORM-401 or iCORM at a different concentration for 1 hour before being exposed to either hemolysate alone or hemolysate plus either CORM-401 or iCORM (recapitulated in following table). Nonpretreated HUVECs exposed to hemolysate alone served as control group. The infusion flow rate was adjusted to reach a shear stress of 1 dyne·cm−2 (Table 1). (A) Immunofluorescence staining of membrane markers on HUVECs: PECAM-1 Alexa Fluor 647 (red), ICAM-1 PE (orange), VCAM-1 Alexa Fluor 488 (green), annexin-V Alexa Fluor 594 (purple), phalloidin Alexa Fluor 488 (green), and Hoechst 33442 (blue). Images representative of 5 different experiments. ICAM-1 and VCAM-1 MFI was quantified by ImageJ. Data represent mean ± SEM (n = 5), the Kruskal-Wallis test with ∗P value < .05, ∗∗P < .01, ∗∗∗P < .001, and ∗∗∗∗P < .0001. (B) CORM-401 prevented RBC and platelet recruitment on HUVECs preconditioned with hemolysate. Heparinized WB from AA donors was perfused on preconditioned HUVECs for 10 minutes at shear stress 1 dyne·cm−2. Fixed cells were stained with PECAM-1 FITC (green) and CD41a PE (orange). Images representative of 5 different experiments. Data represent mean ± SEM (n = 5), the Kruskal-Wallis test with ∗P value < .05, ∗∗P < .01.
Hemolysate-induced proinflammatory and activation of HUVECs is prevented by CORM-401. HUVECs cultured in a flow system were pretreated or not with either CORM-401 or iCORM at a different concentration for 1 hour before being exposed to either hemolysate alone or hemolysate plus either CORM-401 or iCORM (recapitulated in following table). Nonpretreated HUVECs exposed to hemolysate alone served as control group. The infusion flow rate was adjusted to reach a shear stress of 1 dyne·cm−2 (Table 1). (A) Immunofluorescence staining of membrane markers on HUVECs: PECAM-1 Alexa Fluor 647 (red), ICAM-1 PE (orange), VCAM-1 Alexa Fluor 488 (green), annexin-V Alexa Fluor 594 (purple), phalloidin Alexa Fluor 488 (green), and Hoechst 33442 (blue). Images representative of 5 different experiments. ICAM-1 and VCAM-1 MFI was quantified by ImageJ. Data represent mean ± SEM (n = 5), the Kruskal-Wallis test with ∗P value < .05, ∗∗P < .01, ∗∗∗P < .001, and ∗∗∗∗P < .0001. (B) CORM-401 prevented RBC and platelet recruitment on HUVECs preconditioned with hemolysate. Heparinized WB from AA donors was perfused on preconditioned HUVECs for 10 minutes at shear stress 1 dyne·cm−2. Fixed cells were stained with PECAM-1 FITC (green) and CD41a PE (orange). Images representative of 5 different experiments. Data represent mean ± SEM (n = 5), the Kruskal-Wallis test with ∗P value < .05, ∗∗P < .01.
Transcriptomic analysis showed that CORM-401 prevented hemolysate-induced upregulation of proinflammatory markers (Figure 4A; Table 2). As shown in Figure 4B, hemolysate significantly upregulated the triggering receptor expressed on myeloid cells 1 (TREM1), interleukin-1 (IL-1), high mobility group protein 1 (HMGB1), and IL-8 signaling pathways (z score of >2, large red dots) and tended to increase NF-κB, IL-6, acute inflammatory phase signaling (z score between 1 and 2, small red dots). Noteworthily, CORM-401 inhibited all these pathways (z score of less than −2; Figure 4B, large green dots) except apoptosis, which was nonsignificantly increased (Figure 4B; z score = 1, small green dots). In contrast, iCORM had no significant effect on 28 of 33 genes, compared with serum conditions (fold change <1.5; supplemental Figure 9, green graph). Therefore, CO released from CORM-401 appears to counteract the negative effects of hemolysate on proinflammatory, proadhesion, and pro-oxidant signaling pathways.
CORM-401 prevents hemolysate-induced up-regulation of proinflammatory pathways in endothelial cells. HUVECs cultured in a flow system were pre-treated or not with 100 μM CORM-401 for 1 hour before being exposed to either serum only, hemolysate alone, or hemolysate plus 100 μM CORM-401 (recapitulated in Table 2). The infusion flow rate was adjusted to reach a shear stress of 1 dyne·cm−2. Cells in indicated conditions were harvested and gene expression profiles were analyzed by messenger RNA sequencing, as described in supplemental Data (Table 2). (A) Heat maps of normalized read counts of differentially expressed genes in endothelial cells exposed to hemolysate alone compared with hemolysate plus CORM-401 treatment (only those having fold change >1.5 or less than −1.5, and FDR P value < .05 are represented). (B) Main canonical pathways (z score) in hemolysate- vs serum-treated HUVECs (red dots) and in cells exposed to hemolysate plus CORM-401 treatment vs hemolysate alone (green dots). Large red dots: z score > 2, large green dots: z score less than −2: considered significant to predict upregulation or downregulation pathway, respectively.
CORM-401 prevents hemolysate-induced up-regulation of proinflammatory pathways in endothelial cells. HUVECs cultured in a flow system were pre-treated or not with 100 μM CORM-401 for 1 hour before being exposed to either serum only, hemolysate alone, or hemolysate plus 100 μM CORM-401 (recapitulated in Table 2). The infusion flow rate was adjusted to reach a shear stress of 1 dyne·cm−2. Cells in indicated conditions were harvested and gene expression profiles were analyzed by messenger RNA sequencing, as described in supplemental Data (Table 2). (A) Heat maps of normalized read counts of differentially expressed genes in endothelial cells exposed to hemolysate alone compared with hemolysate plus CORM-401 treatment (only those having fold change >1.5 or less than −1.5, and FDR P value < .05 are represented). (B) Main canonical pathways (z score) in hemolysate- vs serum-treated HUVECs (red dots) and in cells exposed to hemolysate plus CORM-401 treatment vs hemolysate alone (green dots). Large red dots: z score > 2, large green dots: z score less than −2: considered significant to predict upregulation or downregulation pathway, respectively.
CORM-401 reduces lung damage and pulmonary inflammatory vasculopathy induced by acute hemolysis in humanized SCD mice
To evaluate the potential therapeutic role of CORM-401 in hyperhemolysis-induced inflammatory vasculopathy in SCD, we orally administered 30 mg/kg CORM-401 3 times a week to humanized SCD mice for 21 days (dose based on previous studies).28,36 CORM-401 did not significantly affect Hb or reticulocyte counts in both AA and SS mice (supplemental Figure 10A). As expected, COHb levels notably increased on days 7 and 14 after CORM-401 treatment in both mouse strains (supplemental Figure 10B). Noteworthily, we did not find changes in liver hemopexin expression in SCD mice treated with either vehicle or CORM-401 (supplemental Figure 10C), suggesting no major effect of CORM-401 on chronic hemolysis. Indeed, there were no changes in expression of VCAM-1, a marker of inflammatory vasculopathy, in target organs for SCD such as the lung, liver, or kidney of CORM-401-treated SCD mice when compared with vehicle-treated animals (supplemental Figure 10D). We also found lower ICAM-1 expression in the lung and kidney from CORM-401–treated SCD mice than in vehicle-treated SCD mice (supplemental Figure 10D). Conversely, no effect on liver ICAM-1 expression was detected in CORM-401–treated SCD mice vs vehicle-treated animals (supplemental Figure 10D).
To simulate our in vitro experiments, at day 21 after administration with CORM-401 or vehicle, mice were exposed to hemolysate to mimic acute hyperhemolysis as in DHTR. No major changes in Hb or in the amount of annexin-V+ red cells were observed after hemolysate infusion in either vehicle or CORM-401 treated mice (supplemental Figure 11A). However, we found lower total leukocyte count in CORM-401–treated than in vehicle-treated SS mice exposed to hemolysate (supplemental Figure 11B). Noteworthily, CORM-401–treated SS mice exposed to hemolysate exhibited a significant increase in plasma hemopexin and a reduction in liver hemopexin expression when compared with vehicle-treated SS mice (supplemental Figure 12A-B).
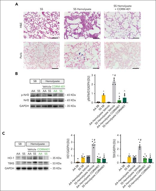
It has been reported that lungs are involved early during acute hyperhemolysis such as in severe DHTR.37 In SS mice treated with CORM-401 and exposed to hemolysate, lung inflammatory cell infiltrates, thrombi formation, and iron accumulation in lung macrophages were significantly decreased (Table 3; Figure 5A; supplemental Figure 13A). This was associated with a decrease in the active form of the nuclear factor erythroid-2-related factor 2 (Nrf2), an acute-phase redox-sensitive transcription factor (Figure 5B) and downregulation of Nrf2-dependent heme oxygenase 1 (HO-1) and thromboxane synthase (TBXS) expression, which are linked to endothelial cell activation (Figure 5C). Furthermore, CORM-401 reduced the active form of NF-κB and decreased protein expression of VCAM-1, ICAM-1, and ET-1, in SS mice compared with vehicle treatment (supplemental Figure 13B-C).
CORM-401 prevents hemolysate-induced lung damage and counteracts pulmonary inflammatory vasculopathy in humanized SCD (SS) mice. (A) Representative micro picture of hematoxylin and eosin–stained sections and Perls-stained sections of the lung at 200× magnification from SCD (SS) mice exposed to sterile buffer (SB) or hemolysate (AA hemolysate in AA recipient and SS hemolysate in SS recipient, respectively) and treated with either vehicle or CORM-401 (scale bar: 50 mm) (see also Table 3). (B) Western blot analysis with specific antibodies against phosphorylated (p)Nrf2 and Nrf2 in the lung from AA and SS mice infused with SB or hemolysate and treated with either vehicle or CORM-401. Glyceraldehyde-3-phosphate dehydrogenase (GAPDH) is used as protein loading control. One representative gel from 5 with similar results is shown. Densitometric analysis of immunoblots (DU: densitometric unit) is shown on the right. Data represent mean ± SEM (n = 5); ^P < .05 compared with vehicle-treated animals; ∗P < .05 compared with AA SB-treated animals; P < .05 compared with SS SB-treated animals by 1-way analysis of variance (ANOVA). (C) Western blot analysis with specific antibodies against HO-1 and TBXS in the lung from AA and SS mice infused with SB or hemolysate and treated with either vehicle or CORM-401. GAPDH is used as protein loading control. One representative gel from 5 with similar results is shown. Densitometric analysis of immunoblots is shown in the lower panel. Data represent mean ± SEM (n = 5); ^P < .05 compared with vehicle-treated animals; ∗P < .05 compared with AA mice treated with SB; #P < .05 compared with SS mice treated with SB by the 1-way ANOVA.
CORM-401 prevents hemolysate-induced lung damage and counteracts pulmonary inflammatory vasculopathy in humanized SCD (SS) mice. (A) Representative micro picture of hematoxylin and eosin–stained sections and Perls-stained sections of the lung at 200× magnification from SCD (SS) mice exposed to sterile buffer (SB) or hemolysate (AA hemolysate in AA recipient and SS hemolysate in SS recipient, respectively) and treated with either vehicle or CORM-401 (scale bar: 50 mm) (see also Table 3). (B) Western blot analysis with specific antibodies against phosphorylated (p)Nrf2 and Nrf2 in the lung from AA and SS mice infused with SB or hemolysate and treated with either vehicle or CORM-401. Glyceraldehyde-3-phosphate dehydrogenase (GAPDH) is used as protein loading control. One representative gel from 5 with similar results is shown. Densitometric analysis of immunoblots (DU: densitometric unit) is shown on the right. Data represent mean ± SEM (n = 5); ^P < .05 compared with vehicle-treated animals; ∗P < .05 compared with AA SB-treated animals; P < .05 compared with SS SB-treated animals by 1-way analysis of variance (ANOVA). (C) Western blot analysis with specific antibodies against HO-1 and TBXS in the lung from AA and SS mice infused with SB or hemolysate and treated with either vehicle or CORM-401. GAPDH is used as protein loading control. One representative gel from 5 with similar results is shown. Densitometric analysis of immunoblots is shown in the lower panel. Data represent mean ± SEM (n = 5); ^P < .05 compared with vehicle-treated animals; ∗P < .05 compared with AA mice treated with SB; #P < .05 compared with SS mice treated with SB by the 1-way ANOVA.
In healthy AA mice treated with CORM-401, VCAM-1 expression was significantly lower than in vehicle-treated animals. However, no change was observed in ICAM-1 and endothelin 1 (ET-1) expression in AA mice treated with vehicle or CORM-401 and exposed to hemolysate (supplemental Figure 13C).
Overall, these results provide in vivo evidence that CORM-401 protects SS mice against lung injury induced by acute hemolysis.
CORM-401 attenuates liver injury and the kidney inflammatory response in SS mice exposed to hemolysate
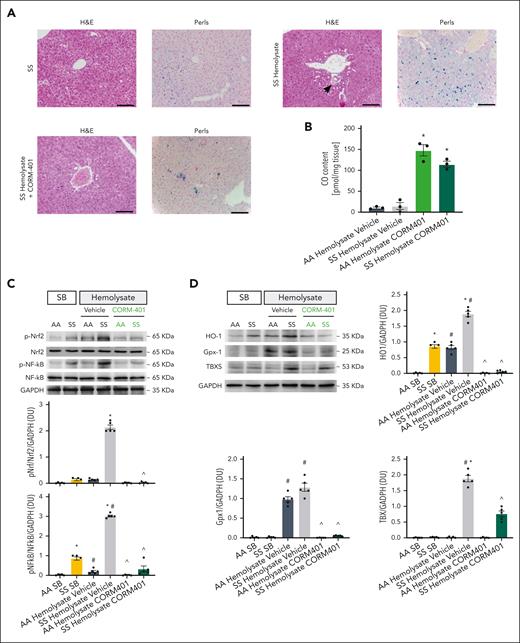
In CORM-401–treated SS mice exposed to hemolysate, liver histopathology showed reduced inflammation, thrombi, and iron accumulation in Kupffer cells (Figure 6A; supplemental Figure 14A). Notably, hepatic CO content significantly increased in both AA and SS mice treated with CORM-401 compared with in vehicle-treated animals (Figure 6B), indicating the effective delivery of CO by CORM-401 to organs in vivo (Figure 6B). Similar to that observed in the lung, CORM-401–treated SS mice exposed to hemolysate displayed significant reduction in the active forms of hepatic Nrf2 and NF-κB compared with vehicle-treated animals (Figure 6C). Hemolysate did not change liver VCAM-1 and ICAM-1 expression compared with mice in steady state (supplemental Figure 14B).
CORM-401 attenuates liver injury in SS mice exposed to hemolysate. (A) Representative micro picture of hematoxylin and eosin (H&E)–stained sections and Perls-stained sections of liver at ×200 magnification from SS mice exposed to SB or hemolysate and treated with either vehicle or CORM-401 (scale bar: 50 mm; see also Table 1). (B) Quantification of CO content in the liver of AA and SS mice treated with either vehicle or CORM-401 (30 mg/kg) by oral gavage. Accumulation of CO in hepatic tissue was measured spectrophotometrically using the hemoCD1 assay. Data are presented as mean ± SEM; ∗P < .02 compared with vehicle-treated animals. (C) Western blot analysis with specific antibodies against phosphorylated (p)-Nrf2, Nrf2, p-NF-κB, and NF-κB, in the liver from AA and SS mice infused with SB or hemolysate and treated with either vehicle or CORM-401. GAPDH is used as protein loading control. One representative gel from 5 with similar results is shown. Densitometric analysis of the immunoblots is shown in the bottom panel. Data are presented as mean ± SEM (n = 5); ^P < .05 compared with vehicle-treated animals; ∗P < .05 compared with AA animals; #P < .05 compared with SS SB-treated animals by the 1-way ANOVA. (D) Western blot analysis with specific antibodies against HO-1, Gpx1, and TBXS in liver from AA and SS mice infused with SB or hemolysate and treated with either vehicle or CORM-401. GAPDH is used as protein loading control. One representative gel from 5 with similar results is shown. Densitometric analysis of the immunoblots is shown in the bottom panel. Data are presented as mean ± SEM (n = 5); ^P < .05 compared with vehicle-treated animals; ∗P < .05 compared with AA animals; #P < .05 compared with SS SB-treated animals by the 1-way ANOVA.
CORM-401 attenuates liver injury in SS mice exposed to hemolysate. (A) Representative micro picture of hematoxylin and eosin (H&E)–stained sections and Perls-stained sections of liver at ×200 magnification from SS mice exposed to SB or hemolysate and treated with either vehicle or CORM-401 (scale bar: 50 mm; see also Table 1). (B) Quantification of CO content in the liver of AA and SS mice treated with either vehicle or CORM-401 (30 mg/kg) by oral gavage. Accumulation of CO in hepatic tissue was measured spectrophotometrically using the hemoCD1 assay. Data are presented as mean ± SEM; ∗P < .02 compared with vehicle-treated animals. (C) Western blot analysis with specific antibodies against phosphorylated (p)-Nrf2, Nrf2, p-NF-κB, and NF-κB, in the liver from AA and SS mice infused with SB or hemolysate and treated with either vehicle or CORM-401. GAPDH is used as protein loading control. One representative gel from 5 with similar results is shown. Densitometric analysis of the immunoblots is shown in the bottom panel. Data are presented as mean ± SEM (n = 5); ^P < .05 compared with vehicle-treated animals; ∗P < .05 compared with AA animals; #P < .05 compared with SS SB-treated animals by the 1-way ANOVA. (D) Western blot analysis with specific antibodies against HO-1, Gpx1, and TBXS in liver from AA and SS mice infused with SB or hemolysate and treated with either vehicle or CORM-401. GAPDH is used as protein loading control. One representative gel from 5 with similar results is shown. Densitometric analysis of the immunoblots is shown in the bottom panel. Data are presented as mean ± SEM (n = 5); ^P < .05 compared with vehicle-treated animals; ∗P < .05 compared with AA animals; #P < .05 compared with SS SB-treated animals by the 1-way ANOVA.
This might be related to the chosen experimental timeframe when compared with previous reports, exploring liver expression of proadhesion molecule after heme/hemin infusion (1 hour reported by Belcher et al13 and 6 hours reported by Vinchi et al39). At this stage we cannot exclude a possible modulation of VCAM-1 or ICAM-1 liver expression in either shorter or longer time interval after the infusion of hemolysate.
In healthy AA mice, Nrf2 was activated by hemolysate and prevented by CORM-401, with no change in NF-κB activity or VCAM-1 expression (Figure 6C; supplemental Figure 14B). Increased liver ICAM-1 expression induced by hemolysate in AA mice was not affected by CORM-401 (supplemental Figure 14B). In SS mice treated with CORM-401, HO-1, glutathione peroxidase-1 (Gpx1), and TBXS were downregulated (Figure 6D). In healthy AA mice treated with CORM-401, HO-1 and Gpx1 were significantly lower than in vehicle-treated animals. No change was observed in TBXS expression in AA mice treated with vehicle or CORM-401 and exposed to hemolysate (Figure 6D). Collectively, these data indicate that CORM-401 mitigates liver injury and modulates the amplified inflammatory and oxidative stress response induced by acute hemolysis.
Because the kidney is another major organ susceptible to damage during acute hyperhemolysis in patients with SCD,40 we evaluated whether CORM-401 protected against hemolysate-induced kidney injury. Kidney sections from SS mice exposed to hemolysate and CORM-401 showed a marked reduction in glomerular inflammatory cell infiltration, with a slight reduction in tubular iron accumulation compared with vehicle-treated animals (supplemental Figure 15A-B). This led to a smaller hemolysate-induced increase in blood urea nitrogen plasma values compared with vehicle-treated SS animals (supplemental Figure 15C) with no major change in creatinine in both mouse strains (supplemental Figure 15C). Furthermore, Nrf2 activation was reduced in the kidneys of both mouse strains, as indicated by decreased phosphorylated protein levels in western blotting (Figure 7A). The expression of HO-1 and reduced NADPH dehydrogenase (quinone)-1, an antioxidant system activated in response to acute kidney injury,41 was decreased in both mouse strains exposed to hemolysate and treated with CORM-401 compared with vehicle-treated animals (Figure 7B). Noteworthily, VCAM-1 and ICAM-1 were upregulated in the kidney of SS mice exposed to hemolysate (supplemental Figure 16), and CORM-401 prevented the increased expression of ICAM-1 but not of VCAM-1. A similar pattern was observed for VCAM-1 and ICAM-1 in AA animals exposed to hemolysate with or without CORM-401 (supplemental Figure 16).
CORM-401 modulates the hemolysate-induced activation of pro-oxidation and proinflammatory pathways in the kidney of SS mice. Western blot analysis with specific antibodies against phosphorylated (p)-Nrf2 and Nrf2 in the kidney from AA and SS mice in steady state and exposed to hemolysate, treated with either vehicle or CORM-401. GAPDH is used as protein loading control; 75 μg/μL of protein loaded on an 8% T, 2.5% C polyacrylamide gel. One representative gel from 5 with similar results is shown. Densitometric analysis of immunoblots is shown on the right. Data represent mean ± SEM (n = 5); ^P < .05 compared with vehicle-treated animals; ∗P < .05 compared with AA animals; #P < .05 compared with SB-treated animals by 1-way ANOVA. (B) Western blot analysis with specific antibodies against HO-1 and reduced NADP dehydrogenase (quinone)-1 (Nqo1) in the kidney from AA and SS mice in steady state and exposed to hemolysate, treated with either vehicle or CORM-401. GAPDH is used as protein loading control; 75 μg/μL of protein loaded on an 11% T, 2.5% C polyacrylamide gel. One representative gel from 5 with similar results is shown. Densitometric analysis of immunoblots is shown on the right. Data represent mean ± SEM (n = 5); ^P < .05 compared with vehicle-treated animals; ∗P < .05 compared with AA animals; #P < .05 compared with SB-treated animals by the 1-way ANOVA. (C) Western blot analysis with specific antibodies against VCAM-1 and ICAM-1, in the kidney from AA and SS mice exposed to hemolysate, treated with either vehicle or CORM-401. GAPDH is used as protein loading control; 75 μg/μL of protein loaded on an 11% T, 2.5% C polyacrylamide gel. One representative gel from 5 with similar results is shown. Densitometric analysis of immunoblots is shown on the right. Data represent mean ± SEM (n = 5); ^P < .05 compared with vehicle treated animals by the 1-way ANOVA.
CORM-401 modulates the hemolysate-induced activation of pro-oxidation and proinflammatory pathways in the kidney of SS mice. Western blot analysis with specific antibodies against phosphorylated (p)-Nrf2 and Nrf2 in the kidney from AA and SS mice in steady state and exposed to hemolysate, treated with either vehicle or CORM-401. GAPDH is used as protein loading control; 75 μg/μL of protein loaded on an 8% T, 2.5% C polyacrylamide gel. One representative gel from 5 with similar results is shown. Densitometric analysis of immunoblots is shown on the right. Data represent mean ± SEM (n = 5); ^P < .05 compared with vehicle-treated animals; ∗P < .05 compared with AA animals; #P < .05 compared with SB-treated animals by 1-way ANOVA. (B) Western blot analysis with specific antibodies against HO-1 and reduced NADP dehydrogenase (quinone)-1 (Nqo1) in the kidney from AA and SS mice in steady state and exposed to hemolysate, treated with either vehicle or CORM-401. GAPDH is used as protein loading control; 75 μg/μL of protein loaded on an 11% T, 2.5% C polyacrylamide gel. One representative gel from 5 with similar results is shown. Densitometric analysis of immunoblots is shown on the right. Data represent mean ± SEM (n = 5); ^P < .05 compared with vehicle-treated animals; ∗P < .05 compared with AA animals; #P < .05 compared with SB-treated animals by the 1-way ANOVA. (C) Western blot analysis with specific antibodies against VCAM-1 and ICAM-1, in the kidney from AA and SS mice exposed to hemolysate, treated with either vehicle or CORM-401. GAPDH is used as protein loading control; 75 μg/μL of protein loaded on an 11% T, 2.5% C polyacrylamide gel. One representative gel from 5 with similar results is shown. Densitometric analysis of immunoblots is shown on the right. Data represent mean ± SEM (n = 5); ^P < .05 compared with vehicle treated animals by the 1-way ANOVA.
CORM-401 protects against hemolysate-induced inflammatory vasculopathy in SS mice
Finally, we evaluated the impact of CORM-401 on the progression of SCD-mediated inflammatory vasculopathy induced by hemolysate. CORM-401 reduced P-selectin and VCAM-1 protein expression in aortas isolated from SS mice exposed to hemolysate (Figure 7C), indicating that the CO-releasing agent might prevent severe vascular dysfunction and organ damage observed in DHTR onset in patients with SCD.
Discussion
Acute hyperhemolysis such as that observed during DHTR, represents life-threatening complications in patients with SCD.3,4,6,42 Here, we established a fluidic model of HUVECs exposed to hemolysate, closely mimicking the early phase of acute hyperhemolysis when RBC components, such as Hb, RBC membrane–derived particles, and microparticles,43 are released in plasma. Indeed, our model explores hyperhemolysis in the early stage before heme release due to Hb oxidation, which occurs later in the clinical progression of acute hyperhemolysis and can be mimicked by hemin.24,32,44 We show that hemolysate affects vascular endothelial cells leading to inflammatory vasculopathy,45 stimulating NF-κB pathways and acute phase proinflammatory and proadhesion responses as observed in acute sickle cell–related clinical manifestations.38,46,47 This effect was associated with HUVEC damage, leading to their detachment after PS exposure, and favoring platelet aggregation in a GPIIbIIIa-dependent manner. Because the slides were only coated with fibronectin, PS could come from the internal side of the membrane of detached HUVECs or from the RBC membranes in hemolysate. In our model, aggregation and activation of platelets might be enhanced by plasma Hb and ADP released from RBCs and damaged endothelial cells.48 These preliminary findings support a link between hemolysis and hemostasis in SCD in the early phase of acute hyperhemolysis.
Different formulations of CO have been tested in mouse models of SCD with promising results. Intermittent inhalation of CO gas (3 times per week) over 8 to 10 weeks reduced leukocytosis in peripheral blood and increased anti-inflammatory pathways in liver tissue of SCD mice.32 In addition, modified human Hb saturated with CO (MP4CO) inhibited microvascular stasis in sickle mice exposed to hypoxia/reoxygenation.44 More recently, oral administration of a CO-saturated liquid (HBI-002) improved Hb and hematocrit (Hct) levels, RBC counts, and vaso-occlusion in SCD mice.22 Interestingly, COHbS cannot polymerize,49 thus decreasing the intracellular concentration of HbS available for polymer synthesis. It is important to note that in these and other studies, mice were exposed to hemin infusion, mimicking the advanced phase of acute hemolysis.24,32,44 Here, the CO-releasing molecule CORM-401 was tested in our in vitro cell-based model of early phase of acute hyperhemolysis. First, we found that the detrimental effect of hemolysate on HUVECs is prevented by CORM-401. The molecule significantly reduced inflammation, VCAM-1 and ICAM-1 expression, and the acute response signaling, including the NF-kB pathways. Our data corroborate previous findings showing that other CO carriers, CORM-A1 and CORM-3, markedly reduced the adhesion of sickle RBCs to human and bovine aortic endothelial cells cultured in static conditions in vitro.50 Importantly, SS mice exposed to acute hemolysate and treated with CORM-401 confirmed the therapeutic effects of CO on organ damage, particularly the lung, kidney, and liver, which are mainly affected during DHTR. The protective effect of CORM-401 might accelerate resolution of inflammation, preventing NF-kB and Nrf2 activation and modulating proinflammatory, proadhesive (VCAM-1, ICAM-1, ET-1, and TBX), and antioxidants (HO-1 and Gpx1) systems. Noteworthily, in SCD mice, the beneficial action of CORM-401 appears to be most effective during acute hyperhemolysis. However, the reduction of ICAM-1 expression in the lung and kidney from steady state SCD mice treated with CORM-401 suggests a possible local modulation of vascular tone by CO. This is supported by previous observation that ICAM-1 gene but not VCAM-1 gene contains a shear-stress responsive element in the promoter region.51,52 Indeed, Walpola et al have reported that low shear stress downregulates ICAM-1 expression but upregulates VCAM-1, whereas the expression of both molecules is increased in presence of an intense shear stress.51 Collectively, our data agree with a report by Chiang et al showing that inhaled CO empowers endogenous proresolvin mechanisms in an inflammatory model of murine peritonitis.53 Indeed, in CORM-401–treated SCD mice exposed to hemolysate, reduction of Nrf2 activation and downregulation of HO-1 expression resemble more the effect of exogenous Rev-D17 infusion in the same SCD mouse strain54 compared with other strategies to increase CO bioavailability in SCD mice.22,32,44 This might be related to different delivery modes of CO by the various molecules and/or the times chosen for analysis (eg, 1-29 hours after the stress vs 5 hours after hemolysate infusion in our study).32,44 In addition, the pivotal action of CORM-401 is its ability to deliver CO not only to blood, as indicated by increased COHb levels, but also to the liver (and most likely in other organs as well) in association with a protective effect against hemolysate-induced hepatic damage. Indeed, we have data showing that the liver, kidney, cecum, and colon accumulate considerable amounts of CO after CORM-401 treatment in mice.55 These results indicate that CO efficiently delivered by orally administered CORM-401 is protecting remote organs from oxidative stress, inflammation, and damage inflicted by heme/hemolysate. Therefore, key markers of these parameters such as Nrf2 and HO-1 were attenuated by CORM-401 treatment in SCD mice.
Based on its high capacity to release CO and exert anti-inflammatory activities in a model of endotoxin challenge,36 as well as its efficacy after prolonged treatment in mice subjected to high fat diet, CORM-401 might be a concrete alternative mode of CO delivery in SCD.28 The efficacy of this “solid form of CO” is complemented by practical advantages including an easy synthesis process, solubility in aqueous solutions, and great stability once stored at −20°C. Controlled CO delivery can be safe, provided that COHb levels do not exceed 12%.25 Our previous reports and this report clearly show that at 30 mg/kg CORM-401, COHb levels in mice are far below this threshold (∼5% in normal mice and <8% in SCD mice).28 The toxic effects of CO related to an impairment of oxygen delivery to tissues by Hb are known to occur at much higher levels of COHb.56
In conclusion, our study highlights 2 important outcomes: (1) the development and characterization of a new in vitro cell-based model to mimic the early phase of acute hyperhemolysis encountered in DHTR; and (2) the protective effects of CORM-401 on endothelial dysfunction and organ damage induced by acute hemolysis in both in vitro and in vivo models of SCD. Our data support the emerging evidence that CO delivery might be therapeutically effective to counteract the early phase of acute intravascular hemolysis occurring in DHTR.4 CORM 401 could be considered in situations in which hyperhemolysis is likely to occur, before it occurs, to limit its catastrophic effects.
Acknowledgments
This work was funded by FUR-UNIVR (L.d.F.), Erganeo, and UPEC Prematuration grants (R.F. and R.M.), and DIM gene therapy for sickle cell diseases (P.B. and K.A.N.).
Authorship
Contribution: K.A.N., P.B., R.F., R.M., F.P. and L.d.F. conceived experimental plan; in vitro experiments were performed by K.A.N., R.F., L.K., C.L., H.H., L.B., L.d.F., and R.M.; in vivo experiments were performed by A.M., E.F., and L.d.F; data were collected and analyzed by K.A.N., A.M., R.F., E.F., C.L., H.H., L.d.F., R.M., and P.B.; R.M. and R.F. provided CORM-401/iCORM and performed the hemoCD1 assay; H.K. provided hemoCD1; and the manuscript was written by K.A.N., A.M., R.F., R.M., L.d.F., and P.B., and edited by R.F., E.F., Y.P., L.d.F., R.M., H.K., and P.B.
Conflict-of-interest disclosure: The authors declare no competing financial interests.
Correspondence: Pablo Bartolucci, Sickle Cell Referral Center, Hôpitaux Universitaires Henri Mondor, APHP, Équipe Transfusion et Maladies du Globule Rouge, Université Paris Est Créteil, 51 av du Mal de Lattre de Tassigny, 94010 Créteil, France; email: pablo.bartolucci@aphp.fr.
References
Author notes
K.A.N. and A.M. contributed equally to this study.
L.d.F., R.M., and P.B. contributed equally to this study.
The study protocol is included as a data supplement available with the online version of this article. Further information and data are available on request from the corresponding author, Pablo Bartolucci (pablo.bartolucci@aphp.fr).
The online version of this article contains a data supplement.
There is a Blood Commentary on this article in this issue.
The publication costs of this article were defrayed in part by page charge payment. Therefore, and solely to indicate this fact, this article is hereby marked “advertisement” in accordance with 18 USC section 1734.















