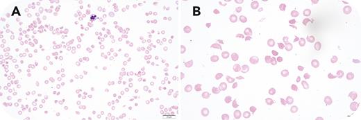
A 4-year-old boy was admitted with recurrent pancreatitis (peak lipase 7315 units/L). On day 3 of hospitalization, he developed altered mental status and laboratory evidence of acute renal injury. Blood count showed an acute decrease in hemoglobin (from 12.7 to 4.0 g/dL) and platelet count (from 213 to 16 × 109/L). Lactate dehydrogenase was elevated at 2830 units/L, with direct hyperbilirubinemia (6.4/3.5 mg/dL), and undetectable haptoglobin. A direct Coombs test was negative. Review of peripheral smear showed anisopoikilocytosis (panel A: Wright-Giemsa stain, 50× lens objective) with a predominant morphology of schistocytes, helmet cells, and red blood cell fragments (panel B: Wright-Giemsa stain, 100× lens objective). Given concern for thrombotic thrombocytopenic purpura, daily plasmapheresis, and methylprednisolone were initiated. Stool culture was negative for Escherichia coli and Shigella. ADAMTS13 activity collected before plasmapheresis was reported to be 91%, following which plasmapheresis (after 5 cycles) and methylprednisolone were discontinued. The patient improved clinically, with complete normalization of hemolysis markers and renal function. Both functional and genetic testing for complement-mediated hemolytic uremic syndrome were negative. Testing for genetic predisposition to pancreatitis identified multiple heterozygous variants in the CFTR, CASR, and SLC26A9 genes. A diagnosis of pancreatitis-associated microangiopathic hematolytic anemia with thrombocytopenia (MAHA-T) was made.
MAHA-T, an increasingly recognized complication of pancreatitis, is thought to result from cytokine-mediated endothelial damage. Most reported cases are diagnosed within 3 to 4 days of hospitalization with pancreatitis, have normal ADAMTS13 levels, and undergo plasmapheresis, though the efficacy of plasmapheresis in this cohort remains unclear.
For additional images, visit the ASH Image Bank, a reference and teaching tool that is continually updated with new atlas and case study images. For more information, visit https://imagebank.hematology.org.
