Abstract
The unique t(15; 17) of acute promyelocytic leukemia (APL) fuses the PML gene with the retinoic acid receptor α (RARα) gene. Although retinoic acid (RA) inhibits cell growth and induces differentiation in human APL cells, resistance to RA develops both in vitro and in patients. We have developed RA-resistant subclones of the human APL cell line, NB4, whose nuclear extracts display altered RA binding. In the RA-resistant subclone, R4, we find an absence of ligand binding of PML-RARα associated with a point mutation changing a leucine to proline in the ligand-binding domain of the fusion PML-RARα protein. In contrast to mutations in RARα found in retinoid-resistant HL60 cells, in this NB4 subclone, the coexpressed RARα remains wild-type. In vitro expression of a cloned PML-RARα with the observed mutation in R4 confirms that this amino acid change causes the loss of ligand binding, but the mutant PML-RARα protein retains the ability to heterodimerize with RXRα and thus to bind to retinoid response elements (RAREs). This leads to a dominant negative block of transcription from RAREs that is dose-dependent and not relieved by RA. An unrearranged RARα engineered with this mutation also lost ligand binding and inhibited transcription in a dominant negative manner. We then found that the mutant PML-RARα selectively alters regulation of gene expression in the R4 cell line. R4 cells have lost retinoid-regulation of RXRα and RARβ and the RA-induced loss of PML-RARα protein seen in NB4 cells, but retain retinoid-induction of CD18 and CD38. Thus, the R4 cell line provides data supporting the presence of an RARα-mediated pathway that is independent from gene expression induced or repressed by PML-RARα. The high level of retinoid resistance in vitro and in vivo of cells from some relapsed APL patients suggests similar molecular changes may occur clinically.
ACUTE promyelocytic leukemia (APL) is characterized by a reciprocal chromosomal translocation, t(15; 17), that fuses the PML gene with the retinoic acid receptor α (RARα) gene and generates a chimeric PML-RARα.1-4 The resulting PML-RARα fusion protein is found in all APL patients and likely contributes to the pathogenesis of the disease. This concept is supported by recent studies showing that artificial expression of PML-RARα fusion protein in myelocytic or erythrocytic leukemic cell lines blocks differentiation induced by vitamin D3 (VD3), VD3 and transforming growth factor β1 (TGF β1) in combination, or hemin.5,6 Furthermore, the ability of PML-RARα product to transform chicken hematopoietic progenitor cells in vitro and to induce acute leukemias shows its oncogenic potential.7
PML-RARα also plays a role in the induction of cytodifferentiation and maturation of leukemic cells by retinoic acid (RA).8-10 The fusion protein retains the functional domains of RARα, including its DNA- and ligand-binding domains, and the ability to respond to retinoids. PML-RARα was shown to be a ligand-dependent transcriptional activator of retinoid response elements in a cell-specific and promoter-specific manner.2-4 Immunohistochemical studies of PML and PML-RARα showed that they colocalize in an APL-specific microparticulate structure, whereas in normal cells, PML displays a punctate pattern (POD).11 Treatment with RA reconstitutes the normal POD pattern in APL cells, suggesting that deranged PML function may also play a role in the pathophysiology of APL. These data show that retinoids induce APL cells to maturation by reversing the oncogenic properties of PML-RARα. We recently reported evidence that the mechanism of this reversal involves retinoid-induced degradation of PML-RARα.12
Despite an excellent initial response, APL cells develop resistance to RA and relapse occurs in APL patients treated with RA alone.13-15 Proposed explanations for this resistance include progressive reduction of RA plasma concentration seen with repeated oral RA dosing,16,17 which might be explained by increased levels of cytosolic retinoid binding protein (CRABP).18 However, cells from a number of RA-resistant patients have been shown to be completely refractory in vitro to high concentrations of retinoids, including compounds that do not bind CRABP well.19 This suggests additional genetic mechanisms of retinoid-resistance, such as mutations in nuclear retinoid receptors, as previously found in other models of RA resistance.20-22 In vitro studies on APL cells are provided by a cell line, NB4, derived from an APL patient.23 RA-resistant NB4 subclones have been developed to study cellular or molecular mechanisms that mediate retinoid response or resistance.24-26 We have reported RA-resistant subclones that are highly resistant to retinoid-induced cytodifferentiation and maturation.26 They express RARα and fusion PML-RARα transcripts and proteins, but have altered retinoid-binding high performance liquid chromatography (HPLC) profiles, and reduced transactivation of retinoid response elements (RARE) upon RA treatment. We analyzed both the unrearranged RARα and fusion receptors of these clones for mutations that might explain their resistance to RA.
We report here a point mutation found in the ligand-binding domain of the fusion PML-RARα in the RA-resistant subclone, R4. R4 expresses PML-RARα protein detected by Western blot and the fusion protein binds RARE, but R4 nuclear extracts show ligand binding only by RARα. To determine that the mutation accounts for the observed loss of binding and transcriptional response to retinoids in R4 cells, we expressed in vitro PML-RARα or RARα proteins with this point mutation. The mutant PML-RARα and RARα proteins do not bind ligand, but retain their ability to bind RARE and block the transcription of RA-responsive genes in a dominant-negative fashion.
MATERIALS AND METHODS
Cell culture.The parental NB4 promyelocytic leukemia cell line, three RA-resistant subclones, and the myeloid leukemia HL-60 cells were grown in RPMI medium (GIBCO BRL, Burlington, Ontario, Canada) plus 10% fetal bovine serum (FBS; Upstate Biotechnology Inc, Lake Placid, NY). Cos-1 cells were grown in Dulbecco's modified Eagle's medium (DMEM; Wisent Inc, St-Bruno, Quebec, Canada) supplemented with 10% FBS. All cell cultures were incubated at 5% pCO2 at 37°C in humidified air.
DNA sequencing analysis.Total RNA was extracted from cells with guanidine isothiocyanate and prepared as previously described.27 Oligonucleotide primers were designed flanking the entire PML-RARα coding region and synthesized by BRI (Montreal, Quebec, Canada). Different domains of PML-RARα were synthesized by reverse transcription polymerase chain reaction (RT-PCR) and used as a template for dsDNA cycle sequencing. The components and the methods were provided by the reaction kit (GIBCO BRL). For each domain, sequencing was performed using 1 pmol of internal primer end-labeled with 1 μL of [γ-32P] ATP (10 μCi/mL; Dupont-NEN, Boston, MA) by T4 polynucleotide kinase. PCR reactions were run on thermal cycler (GeneAmp PCR System 9600; Perkin-Elmer Cetus, Norwalk, CT) and analyzed by denaturing polyacrylamide gel electrophoresis.
Plasmid constructs.Two primers shown in Fig 1A were used for RT-PCR to amplify the RARα portion of the fusion PML-RARα (PRα ΔA) in R4. The amplified cDNA was subcloned to pBS/KS+ vector. Both pBS-PRα ΔA (R4) and pSG5-RARα or pSG5-PML-RARα were digested with BsaBI and BstEII restriction enzymes. The 800-bp fragment produced from pBS-PRα ΔA (R4) digestion containing the point mutation was ligated to the 5.1-kb fragment produced from pSG5-RARα or the 7.5-kb fragment from pSG5-PML-RARα digestion, generating a pSG5-RARα m4 or a pSG5-PML-RARα m4 construct. Both constructs were verified by sequencing analysis.
A point mutation at codon 890 in the ligand-binding domain of PML-RARα. (A) Schematic structure of PML-RARα, showing the approximate positions of two primers used in RT-PCR to amplify the RARα part of PML-RARα (PRα ΔA). (B) Sequencing autoradiogram shows the T → C conversion at PML-RARα codon 890, which results in the exchange of leucine to proline.
A point mutation at codon 890 in the ligand-binding domain of PML-RARα. (A) Schematic structure of PML-RARα, showing the approximate positions of two primers used in RT-PCR to amplify the RARα part of PML-RARα (PRα ΔA). (B) Sequencing autoradiogram shows the T → C conversion at PML-RARα codon 890, which results in the exchange of leucine to proline.
Assay for ligand binding activity.Cos-1 cells were transiently transfected by electroporation with pSG5 expression vectors containing either wild-type or mutant RARα and PML-RARα. Nuclear extracts were prepared from 1 to 5 × 108 cells and incubated for 18 hours at 4°C with 10 nmol/L [3H]t-RA (50.7 Ci/mmol; DuPont-NEN), as previously described.28 29 The extracts were subsequently fractionated at 4°C by HPLC using a superose 6 HR 10/30 size exclusion column (Pharmacia, Uppsala, Sweden). The flow rate was 0.4 mL/min, fractions of 0.4 mL were collected, and radioactivity was determined using a liquid scintillation counter. The HPLC system was calibrated using a series of molecular weight (MW) markers, including the following: blue dextran, MW 2,000,000; thyroglobulin, MW 669,000; β-amylase, MW 200,000, bovine serum albumin, MW 66,000; and ovalbumin, MW 45,000.
Transcriptional activation assays.Cos-1 cells were grown in DMEM with 10% FBS and were seeded 1 day before transfection. Cells were rinsed with Opti-MEM (GIBCO BRL) and transfected by the lipofectamine method (GIBCO BRL) with 0.7 μg of receptor plasmid, 1 μg of reporter CAT plasmid, and 0.3 μg of pCMV-βGal as an internal control for transfection efficiency. Amounts of pSG5-RARα and pSG5-PML-RARα m4 were varied to have a total of 0.7 μg of plasmid. Cells were transfected for 4 hours and were replenished with 2 mL of DMEM with 10% FBS and were then incubated for 2 days with or without 10−6 mol/L tRA (Sigma, St Louis, MO). The chloramphenicol acetyltransferase (CAT) activity was measured using a modified protocol of the organic diffusion method.30 Fifty microliters of cell extracts was incubated for 2 hours at 37°C with 200 μL of 1.25 mmol/L cold chloramphenicol (ICN, Costa Mesa, CA) dissolved in 100 mmol/L Tris-Cl, pH 7.8, and 0.25 μCi of 3H-labeled acetyl coenzyme A (NEN, Streetsville, Ontario, Canada). The reaction was extracted with Ready Organic Scintillation Cocktail (Beckman, Mississauga, Ontario, Canada), and 750 μL of the organic phase was counted on a scintillation counter. The CAT counts were normalized with β-Gal activity to obtain relative CAT activity.
Ribonuclease protection assay.Total cytoplasmic RNA was isolated and RNase protection analysis was performed as described previously.27,31 32 Hybridization of cRNA probes was performed at 45°C overnight, followed by the addition of 300 μL of RNase digestion buffer containing 40 μg/mL of RNase A and 700 U/mL of RNase T1. RNase digestion was performed at 25°C for 1 hour. The RNase-resistant fragments were resolved by electrophoresis on 6% urea-polyacrylamide sequencing gels. A GAPDH probe (Ambion Inc, Austin, TX) was included in all samples as a control for RNA loading. As approximate size markers, [32P]-labeled Msp I-digested fragments of pBR322 were run on all gels.
Northern analysis.Total RNA was electrophoresed on a 1% formaldehyde agarose gel and blotted onto Zeta probe (BioRad, Mississauga, Ontario, Canada) transfer membranes. The filters were hybridized to a DNA probe labeled by random priming (Pharmacia Biotech, Baie d'Urfe, Quebec, Canada). Hybridization and autoradiography were performed as previously described.26 The CD18 probe was isolated by RT-PCR. Two primers used for PCR correspond to CD18 sequences 931-950 and 1487-1506, respectively, and amplified a 576-bp CD18 cDNA fragment.33
Western analysis.Nuclear extracts were diluted 1:1 with 2 × sodium dodecyl sulfate (SDS) sample buffer. Proteins were then fractionated by electrophoresis on a 8% SDS polyacrylamide gel and electroblotted onto a nitrocellulose membrane (Hybond C Super; Amersham, Milan, Italy). Proteins that reacted with the anti-RARα RPα(F ) antibody34 (used at a 1:1,000 dilution) were detected using the ECL Western blotting detection kit (Amersham).
RESULTS
RA-resistant subclone R4 has a point mutation in the ligand-binding domain of PML-RARα.We have developed several RA-resistant subclones of NB4 by selection in RA-containing media without treatment with mutagens.26 Unlike RA-resistant subclones reported by Dermime et al,25 both Northern and Western analyses on these RA-resistant subclones showed expression of unrearranged RARα and the fusion PML-RARα transcripts and proteins. Three resistant subclones (MR2, MR6, and R4) were subjected to DNA sequencing analysis using a dsDNA cycle sequencing system. Two primers depicted in Fig 1A were used in RT-PCR to specifically amplify the RARα part of PML-RARα (PRα ΔA). A primer specific to the first exon of RARα was combined with the 3′ UTR primer shown (Fig 1A) to amplify the coexpressed unrearranged RARα. In one resistant subclone, R4, a point mutation was found in PML-RARα codon 890, showing a T → C conversion leading an amino acid change of leucine to proline (Fig 1B). Sequencing both strands of cDNA confirmed the point mutation. This point mutation is localized in the ligand-binding domain of PML-RARα within the autonomous activating domain (AF-2 AD) and 10 amino acids upstream to the AF-2 core domain. No other mutations or deletions were detected in PRα ΔA of R4 or the MR2- and MR6-resistant lines. The sequence of unrearranged RARα was normal in all three cell lines.
Loss of retinoid binding activity of the R4 mutant PML-RARα.The mutant codon 890 is within the helix 11-helix 12 region of the RARα ligand-binding domain.35 Proline is a small cyclic amino acid that typically disrupts helical structures, causing an altered conformation of the protein. To confirm that the point mutation we found alters the conformation of the ligand-binding domain to block RA binding, we examined the retinoid binding activity of the R4 mutant PML-RARα protein. The T → C mutation was introduced into a wild-type PML-RARα cDNA, which was subcloned in an expression vector and transiently transfected into Cos-1 cells. Western analysis (Fig 2A) showed that transfected cells expressed mutant PML-RARα protein. The binding of [3H]-tRA was analyzed in nuclear extracts prepared from transfected Cos-1 cells (Fig 2B). The size exclusion HPLC profile of extracts from cells expressing mutated form of PML-RARα (PML-RARα m4) shows no specific peaks corresponding to either PML-RARα monomer or high molecular weight complex binding to labeled RA.4,29,36 The only two specific all-trans retinoic acid (tRA) binding components correspond to molecular weights of 50,000 and 16,000, probably representing the endogenous RARs and CRABPs present in Cos-1 cells. To determine whether the effects of this point mutation were dependent on the structure of the PML-RARα protein or would also be seen in the unrearranged RARα, we constructed a vector expressing RARα in which codon 890 was replaced by Pro (RARα m4). The binding of [3H]-tRA was analyzed as described above; no peaks at 50,000 corresponding to RARα-tRA specific binding were observed.29 Thus, this Leu → Pro mutation in the ligand-binding domain abolishes the ability of both RARα and PML-RARα to bind their ligand.
(A) Wild-type RARα and PML-RARα as well as mutant PML-RARα and RARα were transiently transfected into Cos-1 cells. Nuclear extracts of transfected cells were subjected to Western analysis to examine the expression of exogenous proteins. Lane 1, Cos-1 cells transfected with mock; lane 2, transfected with RARα wt; lane 3, transfected with mutant RARα (RARα m4); lane 4, transfected with PML-RARα wt; lane 5, transfected with mutant PML-RARα (PML-RARα m4). (B) Specific nuclear tRA binding activity in Cos-1 cells transfected with (1) PML-RARα m4 or (2) RARα m4 in comparison to those transfected with wild-type receptors (3) and (4). Nuclear extracts were incubated with [3H]-tRA alone (•) or with [3H]-tRA in the presence of 200-fold excess of unlabeled tRA (○).
(A) Wild-type RARα and PML-RARα as well as mutant PML-RARα and RARα were transiently transfected into Cos-1 cells. Nuclear extracts of transfected cells were subjected to Western analysis to examine the expression of exogenous proteins. Lane 1, Cos-1 cells transfected with mock; lane 2, transfected with RARα wt; lane 3, transfected with mutant RARα (RARα m4); lane 4, transfected with PML-RARα wt; lane 5, transfected with mutant PML-RARα (PML-RARα m4). (B) Specific nuclear tRA binding activity in Cos-1 cells transfected with (1) PML-RARα m4 or (2) RARα m4 in comparison to those transfected with wild-type receptors (3) and (4). Nuclear extracts were incubated with [3H]-tRA alone (•) or with [3H]-tRA in the presence of 200-fold excess of unlabeled tRA (○).
Transcriptional inhibition by in vitro expressed mutant proteins.The conformational change induced by the R4 mutation might also be expected to alter protein-protein interactions that are required for RARE binding and activation. Doré and Momparler22 found a point mutation in the LBD of RARα in RA-resistant HL60 cells that caused a significant reduction in the formation of RXR-RAR heterodimers on an RARE. In gel-shift experiments, we find that nuclear extracts from R4 bind an RARE as well as extracts from NB4 (Rosenauer et al26 and data not shown), suggesting no loss of DNA binding by the mutant PML-RARα. Thus, we compared the transcriptional activity of mutant PML-RARα with that of wild-type RARα and PML-RARα on two retinoid-responsive elements. Receptor plasmids were cotransfected into Cos-1 cells with a tk-CAT reporter driven by either a palindromic thyroid response element (TRE) or the RARE of the RARβ (βRE)37 38 (Fig 3). Expression of wild-type RARα allowed transactivation of a TRE by 10−6 mol/L tRA (Fig 3A). PML-RARα stimulated the RA-induced transcription of a TRE more efficiently than RARα, whereas the mutated form, PML-RARα m4, has lost the ligand-dependent transcriptional activity of the wild-type (Fig 3A). Similarly, RARα m4 does not activate transcription in response to RA. Figure 3B shows that RA induced transcription of the βRE-tk-CAT reporter without cotransfected receptors, and the fold induction was increased by cotransfecting either RARα or PML-RARα. Whereas RARα transfection also slightly increased transcription in the absence of ligand (122% of control relative CAT in Fig 3B), PML-RARα acted as a dominant negative inhibitor of the control transcriptional activity, reducing baseline CAT to 16%. This dominant negative inhibition of PML-RARα is maintained in the mutant PML-RARα, as shown by a low baseline CAT of 11%. The constructed mutant RARα also shows a baseline inhibition, yielding only 31% of control relative CAT (26% of the basal transcription of cotransfected wild-type RARα). Although the inhibition of wild-type PML-RARα was released by RA, the mutant PML-RARα preserved this transcriptional inhibition in the presence of ligand. In the presence of RA, the relative CAT activity of PML-RARα m4 was 13.6% of wild-type PML-RARα and 4% of wild-type RARα. We then tested whether the mutant PML-RARα would repress a cotransfected wild-type RARα in a dominant negative manner. Wild-type RARα and PML-RARα m4 were cotransfected into Cos-1 cells along with βRE-tk-CAT reporter in the presence or absence of 10−6 mol/L tRA (Fig 3C). PML-RARα m4 is seen to block the transactivation of normal RARα in a dose-dependent manner.
Transcriptional activity of wild-type and mutant receptors. (A) TRE-tk-CAT reporter or (B) βRE-tk-CAT reporter was cotransfected with the indicated receptors. pSG5 is the vector alone. Relative CAT activity with () or without (▪) 10−6 mol/L tRA treatment is shown with calculated fold induction below. Each data point represents results from three independent transfections. (C) The βRE-tk-CAT reporter was cotransfected with PML-RARα m4 and RARα wt expression vectors. The ratio of PML-RARα m4 to RARα was varied, and the total amount of receptor plasmids was kept at 0.7 μg for each transfection.
Transcriptional activity of wild-type and mutant receptors. (A) TRE-tk-CAT reporter or (B) βRE-tk-CAT reporter was cotransfected with the indicated receptors. pSG5 is the vector alone. Relative CAT activity with () or without (▪) 10−6 mol/L tRA treatment is shown with calculated fold induction below. Each data point represents results from three independent transfections. (C) The βRE-tk-CAT reporter was cotransfected with PML-RARα m4 and RARα wt expression vectors. The ratio of PML-RARα m4 to RARα was varied, and the total amount of receptor plasmids was kept at 0.7 μg for each transfection.
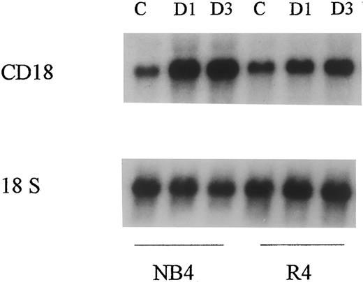
Retinoid receptor and RA-induced gene expression in R4 cells.To determine whether the expression of this mutant PML-RARα in R4 directly affected retinoid receptor levels, we compared R4 with NB4 in their expression of the six retinoid receptor isoforms in a ribonuclease protection assay. The hybridizing bands specific for each receptor were scanned by phosphoimager and are presented in arbitrary units in Table 1. Neither RARγ nor RXRγ expression is detected in NB4 or R4 cells. RARα, RXRα, and RXRβ are constitutively expressed in both NB4 and R4 cells. As previously reported,26 a small decrease in RXRα expression is observed in NB4 cells treated with tRA. Interestingly, a significant increase in RARβ expression is seen in NB4 cells. Both the induction of RARβ and decrease of RXRα expression upon RA are lost in R4 cells. However, we have found that one retinoid-regulated gene, myeloblastin, retains its response to RA in R4 cells.26 We therefore examined the expression of two other RA-induced genes, CD38 and CD18 (leukoctyte adherence β subunit), that have been shown to be transcriptionally upregulated during RA-induced differentiation in myeloid leukemia HL-60 cells.39-41 RA-dependent upregulation of both genes was observed in both parental NB4 cells and resistant subclone R4 cells. The RA-induced CD38 expression is presented in Table 1 by the RNase-protection method. Northern analysis was performed to examine the expression of CD18 (Fig 4). NB4.306, an RA-resistant NB4 subclone that does not express detected PML-RARα protein,25 was reported to have RA-dependent induction of CD18 expression in a manner similar to NB4 cells.41 In the two PML-RARα expressing cell lines we examined, CD18 expression is induced by RA. Thus, a significant subset of RA-regulated genes continue to be regulated in a variety of cells that are resistant to RA-induced differentiation.
Northern analysis for CD18 mRNA expression in NB4 and R4 cells. Total RNA was prepared from untreated cells (control) or cells cultured for 1 and 3 days with 10−6 mol/L of tRA as indicated. 18s was used as control for RNA loading.
Northern analysis for CD18 mRNA expression in NB4 and R4 cells. Total RNA was prepared from untreated cells (control) or cells cultured for 1 and 3 days with 10−6 mol/L of tRA as indicated. 18s was used as control for RNA loading.
DISCUSSION
Studies of retinoid-resistant subclones have led to insights into the molecular mechanisms of response to retinoids in RA-inducible embryonal carcinoma and leukemic cell lines.20,21 We applied the same strategy to study APL using the in vitro model provided by the NB4 cell line. We developed several RA-resistant NB4 subclones to investigate the molecular basis of RA-resistance in APL.26 We report here a point mutation found in the ligand-binding domain of the PML-RARα in an RA-resistant subclone, R4. The point mutation is localized at codon 890, changing leucine to proline. It is within the helix 11-helix 12 region of the RARα ligand-binding domain, 10 amino acids upstream to the AF-2 AD core domain. Renaud et al.35 compared the crystal structure of the retinoid receptor ligand-binding domain free of ligand with that of ligand-bound. They proposed a mouse trap mechanism: after the retinoid is attracted to the ligand-binding cavity by electrostatic forces, H11 is repositioned, causing H12 to swing to its final position. In this position, H12 serves as a lid for the ligand-binding cavity and stabilizes ligand binding to the pocket. This mechanism could be disrupted by the substitution of the cyclic amino acid proline, preventing interaction of the receptor with its ligand. By expressing in vitro PML-RARα engineered to contain the point mutation, we confirmed that this single mutation abrogates the ligand-binding ability of PML-RARα.
Two additional RA-resistant subclones, MR2 and MR6, were also subjected to DNA sequence analysis. No mutations or deletions were found in their PRα ΔA region. However, both cell lines show altered binding of high MW PML-RARα complex to ligand, suggesting that the protein-protein interaction mediated by PML domain of the fusion molecule may be altered. A recent report by Altabef et al7 showed that PML-RARα with two mutations in the PML domain transformed chicken hematopoietic progenitor cells and the mutant protein localization did not return to the normal pattern with RA treatment. We are currently sequencing the PML domain of these two resistant cell lines as well as exploring molecular mechanisms other than the alteration of the PML-RARα or the unrearranged RARα that may play a role in causing RA-resistance in these two cell lines.
RA-resistant HL60 subclones have been reported with mutations in the ligand-binding domain of RARα.21,22,42 Li et al42 and Robertson et al21 both found the same point mutation that leads to a truncated protein in their independently derived resistant subclones. The mutant RARα gene is either homozygous42 or coexpressed with the wild-type RARα and displays a dominant negative activity.21 Doré and Momparler22 reported a point mutation resulting in a protein that is unable to form RXR-RAR heterodimers, does not bind to retinoid response elements, and thus might not inhibit transcription as a dominant negative factor. However, in the R4 APL subclone, RA-resistance is caused by a point mutation found in the PML-RARα oncoprotein, not in RARα. This mutation mediates a retinoid-independent dominant negative inhibition of the coexpressed wild-type RARα.
As shown by gel retardation assays, the mutant PML-RARα in R4 cells retains the ability to interact with RXRα and bind to the DNA βRE. In Cos-1 cells, both intact and mutant PML-RARα proteins inhibit transcriptional activity in the absence of ligand, again suggesting preservation of protein-protein or protein-DNA interaction. Although the intact PML-RARα becomes a transcriptional activator in response to RA, the mutant receptors continue to inhibit transcription in the presence of RA. PML-RARα plays a dual role in the APL phenotype: it mediates the block of differentiation but retains sensitivity to RA.5,6 Pharmacologic levels of RA release the differentiation block, perhaps by inducing proteolysis of PML-RARα protein.12 43 The RA-induced degradation of PML-RARα seen in NB4 is lost in R4, perhaps because PML-RARα–induced transcription is required to express or activate a protease, or, alternatively, the conformational change in the mutant PML-RARα confers resistance to proteolysis.
Studies suggested that the ratio of expression of PML-RARα to that of the unrearranged RARα is important in maintaining the dominant negative block of myelocytic differentiation.44 PML-RARα forms large multimeric complexes with itself, PML, RXR, and possibly a group of ligand-dependent transcription factors.29,36,45 Thus, PML-RARα and RARα may compete for common coactivators. PML-RARα has previously been shown to suppress transcription of RAREs in the absence of ligand,2-4 possibly by the sequestration of either PML, RXR, or other proteins. RA induces specific degradation of PML-RARα and so releases the block to transcription. However, because mutant PML-RARα is not degraded by RA, we were able to test its dominant negative function in the presence of ligand, and we find that it blocks the transcriptional activity of cotransfected wild-type RARα in a dose-dependent manner.
There is evidence that we can differentiate transcription mediated by PML-RARα from that by RARα. We compared the expression and retinoid regulation of six retinoid receptor isoforms in either PML-RARα or mutant PML-RARα expressing cell lines. The RA-dependent regulation of RXRα and RARβ observed in NB4 cells is lost in R4 cells, whereas myeloblastin, CD18, and CD38 continue to be regulated. The loss of RA-inducible regulation in some but not all genes in R4 cells indicates that the mutant PML-RARα selectively blocks RARα-regulated signaling. RARα may mediate induction of certain genes even in the presence of dominant negative PML-RARα.
APL is a unique example in oncology of a molecular translocation that can be treated by therapy targeted directly towards the defect, the chimeric PML-RARα gene. However, an aberrant form of PML-RARα found in R4 cells prevents it from responding to RA normally and results in the resistance of cells to RA treatment. The high level of retinoid resistance in vitro and in vivo of cells from some relapsed APL patients suggests that similar molecular changes may occur clinically.
ACKNOWLEDGMENT
We thank Dr Henry Sucov for kindly providing the βRE-tk-CAT response elements, Dr Sylvie Mader for the TREpal-tk-CAT response element, and Dr Pierre Chambon for his generous gift of the pSG5 and pSG5-RARα expression vectors.
Supported by grants from the Medical Research Council of Canada and the Associazione Italiana per la Ricerca sul Cancro (AIRC). W.S. is supported by a Medical Research Council Studentship Award, and W.H.M. is a Scholar of the Medical Research Council of Canada.
Address reprint requests to Wilson H. Miller Jr, MD, PhD, 3755 Chemin de la Côte-Ste-Catherine, Montreal, Quebec, Canada H3T 1E2.

![Fig. 2. (A) Wild-type RARα and PML-RARα as well as mutant PML-RARα and RARα were transiently transfected into Cos-1 cells. Nuclear extracts of transfected cells were subjected to Western analysis to examine the expression of exogenous proteins. Lane 1, Cos-1 cells transfected with mock; lane 2, transfected with RARα wt; lane 3, transfected with mutant RARα (RARα m4); lane 4, transfected with PML-RARα wt; lane 5, transfected with mutant PML-RARα (PML-RARα m4). (B) Specific nuclear tRA binding activity in Cos-1 cells transfected with (1) PML-RARα m4 or (2) RARα m4 in comparison to those transfected with wild-type receptors (3) and (4). Nuclear extracts were incubated with [3H]-tRA alone (•) or with [3H]-tRA in the presence of 200-fold excess of unlabeled tRA (○).](https://ash.silverchair-cdn.com/ash/content_public/journal/blood/89/12/10.1182_blood.v89.12.4282/3/m_bl_0051f2a.jpeg?Expires=1769182223&Signature=q05UFHmQPUP9hpbLL4zMM8mPoyz3jvOEfz~wN6treQWCbjmwnXV5nhoJ4EXj-ZFl-nORMJ-PIu9q7v6Y2NWiyitS2KKOBvK0rcbiLPap~f~4dZRNkXlBA82doRKMyPo9sOLekpurCE0q561Q3jYBkyMq91HP2JbJAOlmJ8j2cc2BuEq-k7iL-jYtzOpI3qZKrSfzDwH0XnJh9WZrFVCOVCXgEgGbKXBtkcW5YF5Rpbz3elh3oDNB1lhZTkP6KcrPOX6tPvCQ-32AburMl7z3IpazvNFk8DL-qbm~y1m1CUbRXlinXHyneNFWJ4FlRWDyOSxKM5FUhdMN~4kT~JQ1wQ__&Key-Pair-Id=APKAIE5G5CRDK6RD3PGA)
![Fig. 2. (A) Wild-type RARα and PML-RARα as well as mutant PML-RARα and RARα were transiently transfected into Cos-1 cells. Nuclear extracts of transfected cells were subjected to Western analysis to examine the expression of exogenous proteins. Lane 1, Cos-1 cells transfected with mock; lane 2, transfected with RARα wt; lane 3, transfected with mutant RARα (RARα m4); lane 4, transfected with PML-RARα wt; lane 5, transfected with mutant PML-RARα (PML-RARα m4). (B) Specific nuclear tRA binding activity in Cos-1 cells transfected with (1) PML-RARα m4 or (2) RARα m4 in comparison to those transfected with wild-type receptors (3) and (4). Nuclear extracts were incubated with [3H]-tRA alone (•) or with [3H]-tRA in the presence of 200-fold excess of unlabeled tRA (○).](https://ash.silverchair-cdn.com/ash/content_public/journal/blood/89/12/10.1182_blood.v89.12.4282/3/m_bl_0051f2b.jpeg?Expires=1769182223&Signature=GoUR6ANyLg3pcR0gmx6dfspyyc03vKArJEoHNlerHL5R8-fZW1aSkQ001PsV6zHgg7iAX-oboGY74fcIv8kMwNo3~mdY-OE7LpyD3YqlMiSKwgexn20axM8d494YwtNSKy~qXeo9mkuk5lfWCoWmW0nwxKGX48a8EeKomcsTxYe4P3nLe3ZTV6PJSHSyTEJoYV5iZvk9GJ9FvsXqk5O4CjlOUYDw1HVXw9ZQaKrBXbs5nPQ6C4W9bW57BRaGUdz3TuMcCQjrrUBn9P9iOXmCC~KdxdC0YOVusi5Mq89HOrQg6Cutfsp2Dm8Gj3Bi16dmWLza76NAI2Ds2jmdNQKh5g__&Key-Pair-Id=APKAIE5G5CRDK6RD3PGA)




![Fig. 2. (A) Wild-type RARα and PML-RARα as well as mutant PML-RARα and RARα were transiently transfected into Cos-1 cells. Nuclear extracts of transfected cells were subjected to Western analysis to examine the expression of exogenous proteins. Lane 1, Cos-1 cells transfected with mock; lane 2, transfected with RARα wt; lane 3, transfected with mutant RARα (RARα m4); lane 4, transfected with PML-RARα wt; lane 5, transfected with mutant PML-RARα (PML-RARα m4). (B) Specific nuclear tRA binding activity in Cos-1 cells transfected with (1) PML-RARα m4 or (2) RARα m4 in comparison to those transfected with wild-type receptors (3) and (4). Nuclear extracts were incubated with [3H]-tRA alone (•) or with [3H]-tRA in the presence of 200-fold excess of unlabeled tRA (○).](https://ash.silverchair-cdn.com/ash/content_public/journal/blood/89/12/10.1182_blood.v89.12.4282/3/m_bl_0051f2a.jpeg?Expires=1769182224&Signature=VNmnhdpRLywuTZ3nvjbiaJdg51yZd1dCAf8avEUdKftIsSDWYN4l9IIOyn7BrMR9bcaocvyeeFIKp8L6aHxZSOsUkV9BtUQFv55LzWHLI7UNduOoNZz3dmHsVmRJygXOl9cP7xrF0k7jUHfntBuN0BgYn26RzGBItR3Sr08qArlaIEox7occ8IimusGFkohi7rneYEzxO2NHqwAgiGcDmdx48fBxAvEQ4iFYMn5mLmiLWXKqAn0MFvH7JSl7qS5P2ll1eLjz8DN5-ceUYijGZzTGSOmtcCis14TOyngxrnXCKRiyV2VMxGfw-s6pP~A2Cn1OCpFdURsWSqRB4iJ4Gw__&Key-Pair-Id=APKAIE5G5CRDK6RD3PGA)
![Fig. 2. (A) Wild-type RARα and PML-RARα as well as mutant PML-RARα and RARα were transiently transfected into Cos-1 cells. Nuclear extracts of transfected cells were subjected to Western analysis to examine the expression of exogenous proteins. Lane 1, Cos-1 cells transfected with mock; lane 2, transfected with RARα wt; lane 3, transfected with mutant RARα (RARα m4); lane 4, transfected with PML-RARα wt; lane 5, transfected with mutant PML-RARα (PML-RARα m4). (B) Specific nuclear tRA binding activity in Cos-1 cells transfected with (1) PML-RARα m4 or (2) RARα m4 in comparison to those transfected with wild-type receptors (3) and (4). Nuclear extracts were incubated with [3H]-tRA alone (•) or with [3H]-tRA in the presence of 200-fold excess of unlabeled tRA (○).](https://ash.silverchair-cdn.com/ash/content_public/journal/blood/89/12/10.1182_blood.v89.12.4282/3/m_bl_0051f2b.jpeg?Expires=1769182224&Signature=yN15x3iYwyJXNDRSHrrBO2LQg4DTOgxMNM3gTku6XJ1zyhNjOq7LIXXMcrFWjCgkcsJoXQ9r4GBmlOVbrsEUWQoG1oR2jpY~YaiU1tXwDl0InzmLAPrBwLhPF6flUg2RVH6-y7epw6aGCBjvDQymFqaBfnbjhaOP-nU89U0Fhewyfj2q8SF8KXsb6J3NRYCx31t7tIb3r3bYHLTMN80v1kkVw2hQI3VLjbM9LixW26ALPNb6XVOBpJ6EmeZgLuLKPugwVSBrrZ5m0JkyXTeJNocinmctXiQQ7UPWI5YQ6y5qQ1KQVWo-yDhpSTaHlncRQXz2o5m2GkLeE~gEyvBc6w__&Key-Pair-Id=APKAIE5G5CRDK6RD3PGA)


