In this study a previously undescribed 3 bp deletion, AAT1030-1032, in the factor XIII A subunit gene, has been detected in a Thai patient. The inframe deletion results in the translation of a factor XIII A subunit that lacks Asn344. This is the first inframe deletion to be identified in the factor XIII A subunit gene because six previously reported deletions have all caused frameshifts. The deletion has been introduced into a factor XIII A subunit cDNA and the deleted polypeptide expressed in yeast. The mRNA encoding the mutant enzyme appears to have normal stability but the translated protein is subject to premature degradation. In addition, the mutated enzyme exhibited very little transglutaminase activity compared with the wild-type enzyme. Structural modeling of the deleted enzyme suggests that the absence of Asn344 would have a potent impact on the catalytic activity by reorienting the residues associated with the catalytic center. Thus, the Asn344 deletion strongly confirms the significance of the residues surrounding the catalytic center of the factor XIII A subunit.

BLOOD COAGULATION factor XIII is a proenzyme for a plasma transglutaminase previously known as fibrin stabilizing factor. It is involved in the modification of fibrin clots by the formation of tight covalent cross-links between fibrin monomers or between fibrin and α-2 plasmin inhibitor.1 This cross-linking enhances the mechanical strength of the clot and increases its resistance to proteolysis. Factor XIII has also been found in many cells and tissues (platelets, megakaryocytes, placenta, uterus, and monocytes/macrophages).2-7 Factor XIII circulating in plasma is composed of two A and two B subunits forming a noncovalent heterotetrameric complex (A2B2), whereas the intracellular form is a dimer of A subunits (A2).8,9 The A subunits of factor XIII are responsible for its catalytic activity,10,11 whereas the B subunits are thought to play a significant role as a protective carrier of the circulating A subunits.12-14 In addition, there is some evidence that the B subunit might regulate the activation of the proenzyme A subunits.10 11 

Inherited factor XIII deficiency can result from mutations in either the A- or B-subunit genes, but the frequency of A-subunit mutations is far higher than that of B-subunit mutations. This difference is probably due to the fact that B-subunit deficiency is less severe and possibly goes undiagnosed. Congenital factor XIII A-subunit deficiency results in a severe life-long bleeding diathesis and frequently presents as umbilical bleeding a few days after birth.15Other clinical features of this disease including abnormal wound healing and spontaneous abortion have been reviewed by Board et al.16 Inherited factor XIII deficiency is an autosomal recessive disorder as the genes coding for the A and B subunits have been precisely mapped to chromosome band 6p24-2517 and chromosome band 1q31-32.1,18 respectively.

Inherited factor XIII deficiency has been reported in many racial groups,16 and although many mutations have been identified in the A-subunit gene, only 3 mutations have been detected in the B-subunit gene.19,20 Since the first two mutations causing factor XIII A-subunit deficiency were reported in 1992,21,22 around 30 mutations have been identified.23-37 It is notable that the mutations observed in the factor XIII A-subunit gene are heterogeneous, and only four mutations have been reported on multiple occasions (C → T transition at codon 661,25,35 G → A transition at codon 681,21 38 AATT deletion at codons 462-46331,34). All the nucleotide deletions reported so far have been found to disrupt the reading frame.

In this study, we identified a novel 3-bp deletion in a homozygous patient with Thai origins. This deletion causes the translation of a polypeptide missing Asn344. The effect of the deletion on the enzyme's expression and activity has been investigated by site-directed mutagenesis, and its effect on enzyme structure has been predicted by computer modeling.

Patient.

The patient is a Thai girl born in 1992 and the third child in the family. According to the interview at the time of admission, her parents are not relatives and there is no history of bleeding disorders in either side of the family. The first child in this family died of intracranial hemorrhage before this disorder was diagnosed in the family. The patient's severe factor XIII deficiency first became evident when bleeding from the umbilical stump was noted 7 days after birth. Nineteen months later, she suffered from posttraumatic hematoma of the scalp, and at 2 years of age she had a posttraumatic subgaleal hematoma. Another year later, she became ill with posttraumatic intraventricular hemorrhage. A comprehensive hematological investigation when the patient was 3 years and 8 months showed that she had a complete blood count within the normal range and had normal values for basic blood coagulation and platelet function tests. However, her fibrin clots solubilized very rapidly in 8 mol/L urea (10 minutes), confirming a clinical diagnosis of factor XIII deficiency. The patient is not on regular substitution treatment but receives fresh-frozen plasma when she suffers bleeding episodes after accidents. The samples used in this study were collected at varying times after replacement therapy and could be potentially contaminated with residual donor factor XIII.

DNA amplification, heteroduplex analysis, and nucleotide sequencing.

Each of the 15 exons of the factor XIII A-subunit gene was amplified from genomic DNA from the patient and her immediate family members as described by Board et al.21 The polymerase chain reaction (PCR) products were then subjected to heteroduplex analysis.39 Exons showing heteroduplex formation were further purified by a Wizard PCR Preps DNA purification system (Promega, Madison, WI) and directly sequenced using a Thermo Sequenase cycle sequencing kit (Amersham, Arlington Heights, IL).

Genetic analysis.

Genetic transmission of the 3-bp deletion in this particular family has been linked to the length polymorphism of the tetranucleotide repeat element (AAAG)n occurring upstream of the coding sequence of the factor XIII A-subunit gene as described previously.40 

Determination of factor XIII activity in plasma.

Plasma factor XIII activity of the patient and her close family members was determined by the incorporation of [1,4-14C] putrescine dihydrochloride into α casein41 and by fibrin cross-linking in clotted plasma.36 

Recombinant factor XIII A subunit.

The plasmid pGal181 was used for the expression of wild-type and Asn344 deleted A-subunit cDNAs. These constructs have a similar configuration to that constructed by Jagadeeswaran and Haas.42 The expression of the factor XIII A subunit is under the control of theGAL1 promoter and can be induced by galactose.

In vitro mutagenesis.

The deletion of AAT at codon 344 was introduced into the factor XIII A-subunit cDNA by the primer (5′-CAAATTGGCATCATCATGGGC-3′) and the oligonucleotide-directed in vitro mutagenesis system version 2.1 (Amersham). A plasmid containing the desired mutant was transformed into Saccharomyces cerevisiae AH22 by the lithium acetate method43 and grown on selective media without leucine (SD/glucose-Leu).44 

Characterization of the mutant enzyme in yeast lysate.

Yeast strains were grown overnight in YPD broth,44 washed with sterile water, and grown for another 30 hours in SD/galactose-Leu broth.44 The yeast pellet was resuspended in lysis buffer (50 mmol/L HEPES pH 7.5, 150 mmol/L NaCl, 5 mmol/L EDTA, 1% Triton X-100, 1 mmol/L phenylmethylsulphonyl fluoride) and lysed by the method described by Bartel et al.45Immunoblotting of the mutant protein after separation on 8% sodium dodecyl sulfate-polyacrylamide gel electrophoresis (SDS-PAGE) was performed with rabbit anticoagulation factor XIII A-subunit serum (Calbiochem, San Diego, CA) as previously described.46 The transglutaminase activity of the mutant enzyme was determined by the incorporation of [1,4-14C] putrescine dihydrochloride (Amersham) into α casein (Sigma, St Louis, MO).41 A pulse-chase experiment was performed47 using 35S-Met (Amersham) to evaluate the possible degradation of mutant A subunits expressed in yeast.

RNA hybridization analysis.

Because no suitable samples from the patient and her family were available for mRNA analysis, mRNA was evaluated in yeast expressing the mutant enzyme. Yeast strains were grown overnight in SD/glucose-Leu, washed with sterile water, and grown for 8 hours in either YPD broth or in YPGal broth.44 Total RNA was prepared by the glass bead/phenol/chloroform extraction procedure,48and aliquots (approximately 10 μg) were electrophoresed in 1% (wt/vol) agarose gel in MOPS buffer/1% (vol/vol) formaldehyde as described by Finley et al.49 After electrophoresis, samples were transferred to a nylon membrane (Amersham Hybond N+) as described by the manufacturer. The probe was a 2.3-kb Pst I fragment that contained the entire factor XIII A-subunit cDNA coding region,50 which was labeled by a random primer fluorescein labeling kit (DuPont NEN, Wilmington, DE) and hybridized according to the manufacturer's instructions. Hybridization was detected using CDP-Star chemiluminescence (DuPont NEN).

Computer modeling.

Computer modeling was used to examine the likely effect of the deletion on the enzyme structure. A model for the mutant enzyme was created by deleting Asn344 from the wild-type structure and then performing energy minimization to resolve the excessive bond length between residues 343 and 345. The three-dimensional structure of factor XIII A subunit determined by Yee et al51 was used as the template to model the Asn344 deletion mutant. Modeling was performed with the Insight package from MSI/Biosym (San Diego, CA). Initially, all atoms of residue 344 were deleted and a pseudo peptide bond created between residues 343 and 345. Hydrogens were introduced into the model with the Builder module and residues 185-515, the “core” domain, were minimized with the Discover module for 100 steps of steepest descent minimization. In keeping with other simulations done in vacuum, a noncovalent interaction cutoff 12 Å was used with no cross or Morse terms. Subsequently, a short dynamics trajectory was calculated tethering all residues but those between 340 and 349 to their original positions with a moderate force constant of 100 kcal/mol. The system was equilibrated for 300 iterations before calculating a single trajectory for 500 iterations at 301°K. The resulting structure was then further minimized for 100 steps of steepest descent minimization followed by 200 steps of conjugate gradient minimization. The same procedure was also applied to the wild-type core domain as a control. The atomic coordinates of the protein structure were obtained from the Brookhaven Protein Data Bank under the identifier “1fie” (Http://www.pdb.bnl.gov).

Plasma factor XIII activity was determined in the patient and other members of her family. The value obtained for the patient's sample was very low when compared with normal controls (Table1). The values obtained from the patient's heterozygous relatives are also low, but not lower than might be expected given the wide normal range. An analysis of the cross-linking in the fibrin clots of the patient and her immediate family members has also been performed. No γ-dimer or α polymer formation was observed in the patient's fibrin clot (Fig 1). A Western blot of the patient's plasma revealed only a trace band of A-subunit antigen (data not shown). These data confirm the diagnosis of A-subunit deficiency originally made after a positive urea solubility test in the patient.

Fig. 1.

Fibrin cross-linking in plasma clots of family members where the Asn344 deletion was identified. (A) Fibrin clots in the reaction containing CaCl2 and thrombin (test). (B) Fibrin clots in the reaction containing EDTA and thrombin (control). In each panel: lane 1, maternal sample; lane 2, paternal sample; lane 3, patient's sample; lane 4, brother's sample; and lane 5, a normal control sample. The symbols α, β, γ represent uncross-linked fibrin chains, αn represents α chain polymers, and γ-γ represents γ chain dimers.

Fig. 1.

Fibrin cross-linking in plasma clots of family members where the Asn344 deletion was identified. (A) Fibrin clots in the reaction containing CaCl2 and thrombin (test). (B) Fibrin clots in the reaction containing EDTA and thrombin (control). In each panel: lane 1, maternal sample; lane 2, paternal sample; lane 3, patient's sample; lane 4, brother's sample; and lane 5, a normal control sample. The symbols α, β, γ represent uncross-linked fibrin chains, αn represents α chain polymers, and γ-γ represents γ chain dimers.

Close modal

Heteroduplex analysis of each factor XIII A-subunit exon from the patient indicated the presence of a deletion in exon 8 (Fig2). Direct sequencing of amplified exon 8 DNA from the patient and her immediate family members revealed a 3-bp (AAT) deletion of nucleotides 1030-1032 (nucleotides and amino acids are numbered from the first serine of the mature factor XIII A-subunit protein). This deletion does not alter the reading frame and results in a protein without Asn344 as shown in Fig 3. There is no alteration in a restriction-cleavage site available for the PCR-restriction fragment length polymorphism (RFLP) diagnosis of this particular mutation; however, the mutation can be detected directly by separation of the amplified exon 8 DNA on 6% polyacrylamide gel since the deletion allele (208 bp) runs faster than the normal allele (211 bp; Fig 2). The data suggest that the patient is a homozygote having inherited the same deletion allele from both parents. In addition, a family study using the polymorphic short tandem repeat (AAAG)n in the 5′ flanking sequence of the factor XIII A-subunit gene (Fig 4) shows that the patient inherited a common repeat allele from each parent, thus supporting the conclusion that the patient is a homozygote. This study also revealed that a deletion allele in the patient's brother, who is heterozygous for this deletion, was inherited through the paternal line.

Fig. 2.

Heteroduplex analysis of amplified exon 8 DNA. The mixture of the patient's and a normal subject's amplified DNA was run on the first lane on the right. Amplified normal exon 8 DNA was run as a control (second from right). The unmixed amplified DNA from the patient, her immediate family members, and normal control were also run on the same gel as indicated by the pedigree. The position of heteroduplexes (between normal and 3-bp deleted strands) and the length of homoduplexes (both normal and mutant alleles) are indicated. The genetic transmission of the 3-bp deletion is shown. The symbols for male (□) and female (○) are hatched according to the alleles present.

Fig. 2.

Heteroduplex analysis of amplified exon 8 DNA. The mixture of the patient's and a normal subject's amplified DNA was run on the first lane on the right. Amplified normal exon 8 DNA was run as a control (second from right). The unmixed amplified DNA from the patient, her immediate family members, and normal control were also run on the same gel as indicated by the pedigree. The position of heteroduplexes (between normal and 3-bp deleted strands) and the length of homoduplexes (both normal and mutant alleles) are indicated. The genetic transmission of the 3-bp deletion is shown. The symbols for male (□) and female (○) are hatched according to the alleles present.

Close modal
Fig. 3.

Direct sequencing of amplified exon 8 DNA. The normal and mutated sequences are given on the left of the ladder. The missing nucleotides AAT between the positions 1030 and 1032 are shown in bold. The asterisk (*) indicates the position of the deletion.

Fig. 3.

Direct sequencing of amplified exon 8 DNA. The normal and mutated sequences are given on the left of the ladder. The missing nucleotides AAT between the positions 1030 and 1032 are shown in bold. The asterisk (*) indicates the position of the deletion.

Close modal
Fig. 4.

The cosegregation of the 3-bp deletion (AAT1030-1032) in the A-subunit gene and the (AAAG)n STR alleles in the Thai family. The photograph shows the electrophoretic separation of the (AAAG)n PCR products from each family member. Repeat alleles have been numbered 1 and 2 exclusively in this family and do not relate to the number of repeats. The symbols for male (□) and female (○) are hatched according to the mutation alleles present.

Fig. 4.

The cosegregation of the 3-bp deletion (AAT1030-1032) in the A-subunit gene and the (AAAG)n STR alleles in the Thai family. The photograph shows the electrophoretic separation of the (AAAG)n PCR products from each family member. Repeat alleles have been numbered 1 and 2 exclusively in this family and do not relate to the number of repeats. The symbols for male (□) and female (○) are hatched according to the mutation alleles present.

Close modal

To elucidate whether this inframe deletion leads to a loss of catalytic activity or protein instability, we have introduced the deletion into an A-subunit cDNA and expressed the recombinant protein in S cerevisiae. An immunodetectable band was observed in the crude lysate of yeast expressing the mutant protein (Fig5); however, this was far weaker than the level of expression obtained for the normal enzyme in parallel cultures since the amount of mutant culture lysate applied to the gel was about four times that of the normal control.

Fig. 5.

Western blot of normal and deleted A subunits in fresh lysates of S cerevisiae AH22. Total yeast lysate protein was prepared from S cerevisiae transformed with lane 1, pGal181/wild-type factor XIII A-subunit cDNA (1.5 μg); lane 2, negative control vector pGal181 (1.5 μg); and lane 3, pGal181/Asn 344–deleted factor XIII A-subunit cDNA (6 μg). The samples were subjected to SDS-PAGE, blotted onto nitrocellulose membrane, and developed with antiserum to human factor XIII A subunit.

Fig. 5.

Western blot of normal and deleted A subunits in fresh lysates of S cerevisiae AH22. Total yeast lysate protein was prepared from S cerevisiae transformed with lane 1, pGal181/wild-type factor XIII A-subunit cDNA (1.5 μg); lane 2, negative control vector pGal181 (1.5 μg); and lane 3, pGal181/Asn 344–deleted factor XIII A-subunit cDNA (6 μg). The samples were subjected to SDS-PAGE, blotted onto nitrocellulose membrane, and developed with antiserum to human factor XIII A subunit.

Close modal

RNA hybridization analysis (Northern blot) revealed that mRNAs for both wild-type and mutant factor XIII A subunit were present in equal abundance in cells grown in galactose but were absent from cells grown in glucose, consistent with induction from the GAL1 promoter and no change in mRNA stability caused by the mutation (Fig6). The transglutaminase activity of the mutant enzyme determined by 14C putrescine incorporation into α casein was not significantly different to the negative control of yeast lysate without the recombinant A-subunit plasmid (Table2). Attempts to purify the mutant protein via a C-terminal 6xHis tag and immobilized metal affinity chromatography were not successful. Thus, it was not possible to obtain a specific activity for the mutant protein. The failure of this purification appeared to be due to instability of the mutant protein as normal A subunit can be readily prepared by that procedure. A pulse-chase experiment was performed to evaluate the stability of the recombinant protein. After 15 minutes there was significant degradation of the mutant enzyme and no change in the normal enzyme (Fig7). Thus, the mutant protein appears to be both catalytically inactive and unstable.

Fig. 6.

RNA hybridization analysis of factor XIII A-subunit expression in yeast. (A) Ethidium bromide stained gel; (B) hybridized membrane. Total RNA was prepared from S cerevisiae AH22 transformed with negative control vector pGal181 (lanes 1, 4), pGal181/wild-type factor XIII A-subunit cDNA (lanes 2, 5), or pGal181/Asn344–deleted factor XIII A-subunit cDNA (lanes 3 through 6) and grown either in YPGal (induced; lanes 1 through 3) or YPD (repressed; lanes 4 through 6). Hybridization with a factor XIII A-subunit probe and chemiluminescent detection were performed as described in Materials and Methods. RNA size standards (Promega) on the left are in nucleotides.

Fig. 6.

RNA hybridization analysis of factor XIII A-subunit expression in yeast. (A) Ethidium bromide stained gel; (B) hybridized membrane. Total RNA was prepared from S cerevisiae AH22 transformed with negative control vector pGal181 (lanes 1, 4), pGal181/wild-type factor XIII A-subunit cDNA (lanes 2, 5), or pGal181/Asn344–deleted factor XIII A-subunit cDNA (lanes 3 through 6) and grown either in YPGal (induced; lanes 1 through 3) or YPD (repressed; lanes 4 through 6). Hybridization with a factor XIII A-subunit probe and chemiluminescent detection were performed as described in Materials and Methods. RNA size standards (Promega) on the left are in nucleotides.

Close modal
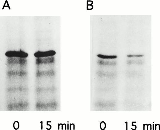
Fig. 7.

Pulse-chase analysis of recombinant factor XIII A subunits expressed in yeast. (A) pGal181/wild-type factor XIII A subunit. (B) pGal181/Asn344–deleted factor XIII A subunit. The cells were metabolically labeled for 10 minutes followed by a 15-minute chase.

Fig. 7.

Pulse-chase analysis of recombinant factor XIII A subunits expressed in yeast. (A) pGal181/wild-type factor XIII A subunit. (B) pGal181/Asn344–deleted factor XIII A subunit. The cells were metabolically labeled for 10 minutes followed by a 15-minute chase.

Close modal

The Asn344 deletion occurs within the core domain of the enzyme. Figure8A shows the relative position of this deletion with respect to the active center of the A subunit. Comparison of the wild-type structure to that of the minimized structure shows good agreement with an overall root mean square (rms) deviation of about 0.7 Å. This measure of structural deviation takes the square root of the average squared Euclidian distance between superimposed atoms from both structures. The rms deviation for the residues from 340-349 show a similar value, and all side chains have similar orientations. In contrast, comparison of the wild-type structure with that of the minimized deletion mutant shows an rms deviation of about 1.8 Å for residues 340 to 343 and 345 to 349. The largest change involves the complete reorientation of Asp 343 (Fig 8B), which now points away from the proposed catalytic triad. This residue is conserved among transglutaminase sequences that possess the Cys314, His373, and Asp396 triad. Further, it normally forms a hydrogen bond with Arg11 in the activation peptide.51 The location of Asp343, directly in the proposed active site, suggests that its reorientation as a consequence of the Asn344 deletion would be detrimental to the enzyme.

Fig. 8.

(A) Illustration of the active site in the core domain of factor XIII A subunit. Side chains of active site residues Cys314, His373, Asp396, and Trp279, Ser340, His342, Asp343, Asp345, Trp370, Thr398, and Gln400 are shown along with the side chain of Asn344, which is deleted in the patient studied here. (B) As for Fig8A but showing a possible configuration for the mutant enzyme. Asp343 has a completely different orientation that is expected to be detrimental for enzyme activity.

Fig. 8.

(A) Illustration of the active site in the core domain of factor XIII A subunit. Side chains of active site residues Cys314, His373, Asp396, and Trp279, Ser340, His342, Asp343, Asp345, Trp370, Thr398, and Gln400 are shown along with the side chain of Asn344, which is deleted in the patient studied here. (B) As for Fig8A but showing a possible configuration for the mutant enzyme. Asp343 has a completely different orientation that is expected to be detrimental for enzyme activity.

Close modal

Since the publication of the first reports of mutations in the A subunit of factor XIII in 1992,21 22 a number of additional mutations have been identified. Among those mutations, six deletions in the A-subunit gene have been reported (Table3). Surprisingly, all of them cause frameshifts resulting in the premature termination of translation. In this study we have identified the first inframe deletion in the factor XIII A-subunit gene. The resulting protein has a normal sequence but lacks Asn344 (which is coded by the missing AAT1030-1032). The effect of the deletion on the enzyme's expression and activity has been investigated by in vitro mutagenesis, and its effect on enzyme structure has been predicted by the computer modeling of the deleted enzyme.

The result of the Western blot analysis indicates that the deletion of Asn344 significantly lowers the level of expressed enzyme in yeast lysates. Because the mutant A subunit mRNA is stable, it is possible to conclude that the deleted protein might be expressed at a normal level but is sensitive to degradation. It is notable that although immunodetectable protein can be observed in lysate of yeast expressing the mutant enzyme, its activity is not significantly different to that of the negative control lysate. This implies that the deleted enzyme definitely loses its transglutaminase activity. The instability of the mutant protein prevented its successful purification and characterization in greater detail. These results are in agreement with data derived directly from the patient. Activity measurement of the patient's plasma found less than 5% of normal activity. In addition, a Western blot of the patient's plasma revealed the presence of only a trace band of A subunit. Because this minimal amount of plasma A subunit in the patient could be residual normal A subunit remaining from prior replacement therapy, it appears that the mutant enzyme prematurely degrades and has a short lifespan in the circulation.

The Asn344 residue is directly adjacent to residues associated with the active center. The Asn344 deletion occurs on a loop and might otherwise leave the molecule largely unperturbed but for the fact that other residues on this loop are directly associated with the active center. It has been proposed that His342 and Asp343 guide the lysyl substrate residue into the active site.51 These two residues occur adjacent, in sequence as well as in the structure, to Asn344 and will almost certainly be reoriented as a result of a deletion at position 344. Figure 8B shows a possible configuration of these residues that are also immediately juxtaposed to the proposed catalytic triad: Cys314, His373, and Asp396. As a consequence, a deletion occurring at position 344 would be expected to have a profound impact on enzymatic activity. Such prediction is in agreement with the absence of transglutaminase activity in the lysate of yeast expressing the deleted enzyme and the absence of fibrin cross-linking activity in the plasma of this patient. In addition, this Asn344 deletion could have a serious effect on the stability of the enzyme.

Because both parents of the patient are heterozygous for the same AAT1030-1032 deletion, it implies that they may have a common ancestor despite the apparent absence of consanguinity in this family. An extensive family study could reveal further information about the origin of this deletion. As this deletion does not change any restriction cleavage site, the best method for its identification is the direct electrophoresis of amplified exon 8 DNA. Under the conditions described here the 3-bp deletion can be readily resolved. In addition, further study of this family using the linked polymorphic short tandem repeat element in the 5′ flanking sequence40revealed the mode of inheritance of this deletion among the immediate family members (Fig 4). Although the inheritance of the STR allele 1 from the patient's father is equivocal, the deletion allele in the patient's brother is clearly inherited from the father. Analysis of the inheritance of the linked STR alleles could be readily applied for the prenatal diagnosis of the deletion in this family.

Two of the previously reported deletions in the A-subunit gene, AATT1385-1388 in exon 1131 and AG at the intron B/exon 3 boundary,22 occurred within repetitive sequence and might be explained by the slipped strand mispairing mechanism.52 However, the mechanism causing the AAT1030-1032 deletion in this study and another four previously identified deletions (a deletion/insertion in exon 3, a 13 bp deletion in exon 3, a 1-bp deletion in exon 2, and the entire deletion of exon 5)26,30,32 35 are still not clear.

In conclusion we have identified the first inframe deletion in the factor XIII A-subunit gene. The resulting enzyme has a deletion of Asn344. This deletion occurs in the catalytic core domain, and computer modeling suggests that it will have a profound effect on catalytic activity and may influence stability. The deleted enzyme has been expressed in yeast and shown to have negligible activity and appears to be prematurely degraded, thus confirming the structural predictions. The effects of the deletion identified in this study confirm the significance of the amino acid residues surrounding the catalytic area in maintaining the structure, stability, and activity of the enzyme.

G.C. is a Postdoctoral Fellow of the Australian Research Council. R.T.B. holds a QEII Fellowship from the Australian Research Council.

Address reprint requests to Philip G. Board, PhD, Molecular Genetics Group, John Curtin School of Medical Research, Australian National University, GPO 334, Canberra, Australian Capital Territory, 2601, Australia.

The publication costs of this article were defrayed in part by page charge payment. This article must therefore be hereby marked "advertisement" is accordance with 18 U.S.C. section 1734 solely to indicate this fact.

© 1998 by the American Society of Hematology.

1
Folk
JE
Finlayson
JS
The ε-(γ-glutamyl)lysine crosslink and the catalytic role of transglutaminases.
Adv Protein Chem
31
1977
1
2
Fear
JD
Jackson
P
Gray
C
Miloszewski
KJA
Losowsky
MS
Localization of factor XIII in human tissues using an immunoperoxidase technique.
J Clin Pathol
37
1984
560
3
Chung
SI
Comparative studies on tissue transglutaminase and factor XIII.
Ann N Y Acad Sci
202
1972
240
4
Kiesselbach
TH
Wagner
RH
Demonstration of factor XIII in human megakaryocytes by a fluorescent antibody technique.
Ann N Y Acad Sci
202
1972
318
5
Henriksson
P
Becker
S
Lynch
G
McDonagh
J
Identification of intracellular factor XIII in human monocytes and macrophages.
J Clin Invest
76
1985
528
6
Muszbek
L
Adany
R
Szegedi
G
Polgar
J
Kavai
M
Factor XIII of blood coagulation in human monocytes.
Thromb Res
37
1985
401
7
Sixma
JJ
van den Berg
A
Schiphorst
M
Geuze
HJ
McDonagh
J
Immunocytochemical localization of albumin and factor XIII in thin cryo sections of human blood platelets.
Thromb Haemost
51
1984
388
8
Schwartz
ML
Pizzo
SV
Hill
RL
McKee
PA
The subunit structures of human plasma and platelet factor XIII (fibrin-stabilizing factor).
J Biol Chem
246
1971
5851
9
Schwartz
ML
Pizzo
SV
Hill
RL
McKee
PA
Human factor XIII from plasma and platelets. Molecular weights, subunit structures, proteolytic activation, and cross-linking of fibrinogen and fibrin.
J Biol Chem
248
1973
1395
10
Lorand
L
Gray
AJ
Brown
K
Credo
RB
Curtis
CG
Domanik
RA
Stenberg
P
Dissociation of the subunit structure of fibrin stabilizing factor during activation of the zymogen.
Biochem Biophys Res Commun
56
1974
914
11
Chung
SI
Lewis
MS
Folk
JE
Relationships of the catalytic properties of human plasma and platelet transglutaminases (activated blood coagulation factor XIII) to their subunit structures.
J Biol Chem
249
1974
940
12
Bohn
H
Becker
W
Trobisch
H
Molecular structure of fibrin stabilizing factors in man. II. Comparative immunologic studies on factor XIII deficient plasma and normal plasma.
Blut
26
1973
303
13
Cooke
RD
Calcium-induced dissociation of human plasma factor XIII and the appearance of catalytic activity.
Biochem J
141
1974
683
14
Lorand
L
Activation of blood coagulation factor XIII.
Ann N Y Acad Sci
485
1986
144
15
Duckert
F
Jung
E
Shmerling
DH
A hitherto undescribed congenital haemorrhagic diathesis probably due to fibrin stabilizing factor deficiency.
Thromb Diath Haemorrh
5
1960
179
16
Board
PG
Losowsky
MS
Miloszewski
KJA
Factor XIII: Inherited and acquired deficiency.
Blood Rev
7
1993
229
17
Board
PG
Webb
GC
McKee
J
Ichinose
A
Localization of the coagulation factor XIII A subunit gene (F13A) to chromosome bands 6p24 > p25.
Cytogenet Cell Genet
48
1988
25
18
Webb
GC
Coggan
M
Ichinose
A
Board
PG
Localization of the coagulation factor XIII B subunit gene (F13B) to chromosome bands 1q31-32.1 and restriction fragment length polymorphism at the locus.
Hum Genet
81
1989
157
19
Hashiguchi
T
Saito
M
Morishita
E
Matsuda
T
Ichinose
A
Two genetic defects in a patient with complete deficiency of the b-subunit for coagulation factor XIII.
Blood
82
1993
145
20
Izumi
T
Hashiguchi
T
Castaman
G
Tosetto
A
Rodeghiero
F
Girolami
A
Ichinose
A
Type I factor XIII deficiency is caused by a genetic defect of its b subunit: Insertion of triplet AAC in exon III leads to premature termination in the second Sushi domain.
Blood
87
1996
2769
21
Board
P
Coggan
M
Miloszewski
K
Identification of a point mutation in factor XIII A subunit deficiency.
Blood
80
1992
937
22
Kamura
T
Okamura
T
Murakawa
M
Tsuda
H
Teshima
T
Shibuya
T
Harada
M
Niho
Y
Deficiency of coagulation factor XIII A subunit caused by the dinucleotide deletion at the 5′ end of exon III.
J Clin Invest
90
1992
315
23
Ichinose
A
Kaetsu
H
Molecular approach to structure-function relationship of human coagulation factor XIII.
Methods Enzymol
222
1993
36
24
Standen
GR
Bowen
DJ
Factor XIII ABristol 1: Detection of a nonsense mutation (Arg171 → stop codon) in factor XIII A subunit deficiency.
Br J Haematol
85
1993
769
25
Mikkola
H
Syrjälä
M
Rasi
V
Vahtera
E
Hämäläinen
E
Peltonen
L
Palotie
A
Deficiency in the A-subunit of coagulation factor XIII: Two novel point mutations demonstrate different effects on transcript levels.
Blood
84
1994
517
26
Anwar
R
Stewart
AD
Miloszewski
KJA
Losowsky
MS
Markham
AF
Molecular basis of inherited factor XIII deficiency: Identification of multiple mutations provides insights into protein function.
Br J Haematol
91
1995
728
27
Aslam
S
Poon
MC
Yee
VC
Bowen
DJ
Standen
GR
Factor XIIIA Calgary: A candidate missense mutation (Leu667Pro) in the beta barrel 2 domain of the factor XIIIA subunit.
Br J Haematol
91
1995
452
28
Coggan
M
Baker
R
Miloszewski
K
Woodfield
G
Board
P
Mutations causing coagulation factor XIII subunit A deficiency: Characterization of the mutant proteins after expression in yeast.
Blood
85
1995
2455
29
Vreken
P
Niessen
RWLM
Peters
M
Schaap
MCL
Zuithoff-Rijntjes
JGM
Sturk
A
A point mutation in an invariant splice acceptor site results in a decreased mRNA level in a patient with severe coagulation factor XIII subunit A deficiency.
Thromb Haemost
74
1995
584
30
Aslam
S
Bowen
DJ
Mandalaki
T
Gialeraki
R
Standen
GR
Factor XIIIA subunit deficiency due to a homozygous 13-base pair deletion in exon 3 of the A subunit gene.
Am J Hematol
53
1996
77
31
Kangsadalampai
S
Farges-Berth
A
Çaglayan
SH
Board
PG
New mutations causing the premature termination of translation in the A subunit gene of coagulation factor XIII.
Thromb Haemost
76
1996
139
32
Mikkola
H
Yee
VC
Syrjälä
M
Seitz
R
Egbring
R
Petrini
P
Ljung
R
Ingerslev
J
Teller
DC
Peltonen
L
Palotie
A
Four novel mutations in deficiency of coagulation factor XIII: Consequences to expression and structure of the A-subunit.
Blood
87
1996
141
33
(abstr)
Mikkola
H
Yee
VC
Muszbek
L
Seitz
R
Salmi
T
Jalanko
A
Peltonen
L
Palotie
A
Molecular basis of coagulation factor XIII deficiency.
Blood
88
1996
525a
34
(abstr)
Takahashi
N
Izumi
T
Saito
T
Yamazaki
T
Castaman
G
Rodeghiero
F
Ichinose
A
Genetic defects in patients with deficiency of the a subunit for factor XIII.
Blood
88
1996
35a
35
(abstr)
Yoshida
S
Inaba
H
Nagaizumi
K
Hagiwara
T
Arai
M
Shima
M
Yoshioka
A
Fukutake
K
Identification of two point mutations and one large (∼4.7 kb) deletion in patients with coagulation factor XIII A subunit deficiency.
Blood
88
1996
35a
36
Mikkola
H
Muszbek
L
Laiho
E
Syrjälä
M
Hämäläinen
E
Haramura
G
Salmi
T
Peltonen
L
Palotie
A
Molecular mechanism of a mild phenotype in coagulation factor XIII (FXIII) deficiency: A splicing mutation permitting partial correct splicing of FXIII A-subunit mRNA.
Blood
89
1997
1279
37
Kangsadalampai S, Chelvanayagam G, Tiedemann K, Kuperan P, Board PG: Identification and characterization of two new missense mutations causing factor XIIIA deficiency of varying severity. (in preparation)
38
Aslam
S
Standen
GR
Molecular analysis in factor XIIIA deficiency.
Thromb Haemost
73
1995
895
39
White
MB
Carvalho
M
Derse
D
O'Brien
SJ
Dean
M
Detecting single base substitutions as heteroduplex polymorphisms.
Genomics
12
1992
301
40
Kangsadalampai
S
Coggan
M
Çaglayan
SH
Aktuglu
G
Board
PG
Application of HUMF13A01 (AAAG)n STR polymorphism to the genetic diagnosis of coagulation factor XIII deficiency.
Thromb Haemost
76
1996
879
41
Dvilansky
A
Britten
AFH
Loewy
AG
Factor XIII assay by an isotope method. I. Factor XIII (transamidase) in plasma, serum, leucocytes, erythrocytes and platelets and evaluation of screening tests of clot solubility.
Br J Haematol
18
1970
399
42
Jagadeeswaran
P
Haas
P
Synthesis of human coagulation factor XIII in yeast.
Gene
86
1990
279
43
Ito
H
Fukuda
Y
Murata
K
Kimura
A
Transformation of intact yeast cells treated with alkali cations.
J Bacteriol
153
1983
163
44
Sherman
F
Getting started with yeast.
Methods Enzymol
194
1991
3
45
Bartel
B
Wunning
I
Varshavsky
A
The recognition component of the N-end rule pathway.
EMBO J
9
1990
3179
46
Board
PG
Reid
M
Serjeantson
S
The gene for coagulation factor XIII a subunit (F13A) is distal to HLA on chromosome 6.
Hum Genet
67
1984
406
47
Bachmair
A
Finley
D
Varshavsky
A
In vivo half-life of a protein is a function of its amino-terminal residue.
Science
234
1986
179
48
Spraque GF Jr
Jensen
R
Herskowitz
I
Control of yeast cell type by the mating type locus: Positive regulation of the alpha-specific STE3 gene by the MAT alpha 1 product.
Cell
32
1983
409
49
Finley
D
Bartel
B
Varshavsky
A
The tails of ubiquitin precursors are ribosomal proteins whose fusion to ubiquitin facilitates ribosome biogenesis.
Nature
338
1989
394
50
Board
PG
Pierce
K
Coggan
M
Expression of functional coagulation factor XIII in Escherichia coli.
Thromb Haemost
63
1990
235
51
Yee
VC
Pedersen
LC
le Trong
I
Bishop
PD
Stenkamp
RE
Teller
DC
Three-dimensional structure of a transglutaminase: Human blood coagulation factor XIII.
Proc Natl Acad Sci USA
91
1994
7296
52
Efstratiadis
A
Posakony
JW
Maniatis
T
Lawn
RM
O'Connell
C
Spritz
RA
DeRiel
JK
Forget
BG
Weissman
SM
Slightom
JL
Blechl
AE
Smithies
O
Baralle
FE
Shoulders
CC
Proudfoot
NJ
The structure and evolution of the human β-globin gene family.
Cell
21
1980
653
Sign in via your Institution