Abstract
We have described 5 major subtypes of Epstein-Barr virus (EBV) based on variations in EBNA-1 sequences. These include P-ala (identical to the prototype B95.8 virus), P-thr, V-pro, V-leu, and V-val. Normal individuals often carry multiple EBV subtypes, the most common being P-ala, whereas EBV-associated tumors examined to date always contain a single subtype, which only on rare occasion is P-ala. The primary hypotheses that these observations generate are as follows: (1) Each of these EBV subtypes are naturally occurring, and in normal individuals the multiplicity of subtypes results from multiple infections. (2) EBV subtypes in normal individuals are generated in vivo from a single infecting virus subtype by mutations in EBNA-1. The second hypothesis essentially excludes the possibilities that the nonrandom association of certain subtypes with lymphomas is secondary to the geographic distribution of EBV subtypes and, if proven correct, could provide strong support for a direct role of EBV in tumorigenesis. In this report, we provide evidence for the latter hypothesis. We show that the P-ala EBV subtype present in most nasal lymphomas undergoes and accumulates multiple mutations consistent with the generation of variant species of EBNA-1 in vivo. This phenomenon is similar to the generation of quasispecies in RNA viruses and is the first description of in vivo generation of subtypes in DNA viruses. In RNA-based viruses, including human immunodeficiency virus and hepatitis C virus, the emergence of quasispecies is linked to replication infidelity and significantly influences disease processes through its effect on viral tropism, the emergence of viruses resistant to the host defenses or to therapy, and pathogenicity. The present data thus raise important questions relating to the mechanisms whereby these mutations are generated in EBV and their relevance to the pathogenicity of EBV-associated lymphomas.
EPSTEIN-BARR VIRUS (EBV), which infects more than 90% of the world's population, has been known for many years to be capable of infecting both lymphoid and epithelial cells and has been detected in lymphoid neoplasms of B- and T-cell origin, in Hodgkin's disease, and in epithelial cell tumors such as nasopharyngeal carcinoma (NPC), cervical cancer, and some breast cancers.1-6
In recent reports, we7,8 and others9,10 have described alterations (relative to the prototype virus B95.8) in the DNA sequence of EBNA-1, an EBV gene essential for the persistence and replication of EBV genomes in latently infected cells. These alterations were found in EBV contained in immortalized or neoplastic cells, eg, EBV-transformed cell lines,7,8,10 B-cell non-Hodgkin's lymphoma (NHL),7,8,10 and NPC8,9as well as in normal cells from peripheral blood lymphocytes (PBL)7 and oral secretions.8 Recently, antigenic variation of EBNA-1 resulting from such sequence heterogeneity has also been observed.11 We have used these sequence variations to classify EBV according to the amino acid at position 487 in EBNA-1 into 5 subtypes. Two of these subtypes, prototype EBNA-1 (P-ala) and the closely related subtype, P-thr, have been identified in lymphocytes from peripheral blood and in oral secretions. The 3 other subtypes contain multiple substitutions, and we have therefore referred to them as variant strains (V-pro, V-leu, and V-val). V-leu has, to date, only been identified in B-cell NHL, whereas V-pro has been identified only in normal PBLs.7,8 V-pro differs from V-leu by one amino acid, suggesting that V-leu is derived by a tumor-specific mutation (proline to leucine at codon 487). V-val, on the other hand, demonstrates specificity for the oral compartment and has, to date, been identified only in normal oral secretions and in NPC.8 9
The detection of each of the EBNA-1 subtypes as the sole species of EBNA-1 in either tumor samples or immortalized cell lines indicates that each subtype can exist as a separate subspecies. Thus, the simultaneous presence of clusters of substitutions typical of more than one EBNA-1 subtype in the blood and saliva of a high fraction of normal individuals strongly suggests that multiple viral subtypes are present.7 8 In normal cells, some of these subtypes (ie, V-pro and V-val) occur only in the presence of the prototype viruses, P-ala and/or P-thr.
There are two possibilities that could account for the presence of multiple EBNA-1 subtypes in the same individual. The subtypes could arise from a single subtype (that which originally infected the individual) by a process of sequential mutation and selection, a process that has a precedence in the generation of RNA virus variants.12-14 Alternatively, the subtypes could be naturally occurring. The latter possibility would require the added corollary that individuals must be infected by more than one subtype, which seems inherently unlikely, because Ebnotyping (ie, electrophoretic examination of the pattern of EBV nuclear antigens) data is consistent with infection and persistence of a single virus type.15 The possibility that the subtypes are generated in vivo can be best supported by demonstration of molecular heterogeneity of EBNA-1 in a cell population that is monoclonal for EBV.
Recently, we elected to examine EBV subtypes in nasal lymphoma of NK/T phenotype, which is essentially always associated with EBV, and found a remarkable difference from the pattern we have observed in other tumors. Instead of a single subtype, we observed extensive genetic heterogeneity of EBNA-1 in the majority of the tumors. Because there is good evidence that EBV is monoclonal in NK/T nasal lymphomas,16 this observation provides clear evidence that EBNA-1 mutations arise in vivo and strongly suggests that the nonrandom distribution of EBV subtypes highlights a role for EBV in lymphomagenesis.
MATERIALS AND METHODS
The tumor biopsies used for this study were obtained as paraffin-embedded samples from Perú and Mexico and were classified after further morphologic and detailed immunophenotypic studies (to be reported separately) as angiocentric lymphomas (REAL classification17), also referred to as nasal NK/T-cell lymphomas (NL).18 All of the tumors included in the study had an NK/T-cell phenotype. Using in situ hybridization to detect EBER-1 RNA,19 we selected 39 NLs cases that were rich in EBV-containing tumor cells. These cases had few or no EBV-positive cells in the reactive cellular infiltrate. To obtain amplifiable DNA, 5 to 7 sections from each nasal lymphoma biopsy were used. Sections were deparaffinized by several washes in xylene and DNA was extracted by digestion with proteinase K.
Analysis of EBV EBNA-1 gene.
The EBNA-1 genotype was determined by polymerase chain reaction (PCR) amplification and subsequent sequence analysis of a 214-bp segment 3′ to the ala-gly repeats that contains most of the substitutions observed in the variant subtypes.7 8 All PCR reactions included positive and negative DNA controls and blanks that contained no DNA. The positive DNA controls consisted of samples representing each of the P-ala, P-thr, and V-leu subtypes of EBNA-1. The amplified products from these controls were also sequenced to determine the integrity of the PCR run.
PCR analysis of monoclonality using the 33-bp repeats in LMP-1.
DNA extracted from the NLs, including samples with heterogeneous EBNA-1 sequences, was also used to determine the clonality of EBV in these tumors. DNA from 13 of these NL samples and from control cell lines or from EBV containing throat washes obtained from healthy adults was amplified with primers GGCGCACCTGGAGGTGGTCC and TTTCCAGGAGAGTCGCTAGG. The amplification was performed using an annealing temperature of 57°C. The amplified products were electrophoresed in a 4% agarose gel followed by Southern blotting and hybridization to a32P-labeled internal probe (TGACAATGGCCCACAG-GACCCTG) homologous to a part of the variable nontandem repeats as described by Shibata et al.20
Single-stranded confirmation polymorphism (SSCP) analysis and sequencing of subcloned EBNA-1 species.
PCR-amplified carboxy fragments of EBNA-1 obtained from 6 NLs (NL 4, 7, 13, 20, 21, and 22) and from controls (B95.8, Namalwa, and P3HR1) were ligated into a TA cloning vector. The ligated products were used to transform bacteria and single colonies were obtained. Plasmid DNA was prepared from single isolates and these plasmids were used as a template to perform PCR amplification in the presence of32P-dCTP. The migration patterns of the labeled amplification products were determined by electrophoresis in a 6% nondenaturing polyacrylamide gel at 15 W for 12 hours and subsequent autoradiography. Plasmid DNA sequencing was accomplished using the Sequenase kit (US Biochemicals, Cleveland, OH) following the method recommended by the manufacturer.
RESULTS
EBNA-1 carboxy region substitutions.
Unlike other neoplasms in which we have invariably detected only a single variant subtype of EBNA-1 associated with each tumor biopsy,7 8 in NLs only 6 of the 39 tumors (NL 1, 3, 4, 5, 29, and 30) carried a single EBNA-1 sequence (homogenous for all codons sequenced). The remaining 33 tumors carried both the prototype EBNA-1 and EBNA-1 with substitutions common to the variant subtypes mainly V-pro, V-leu, and V-val (codons 499, 502, 520, and 524). A small number of novel substitutions were observed, eg, at codon 486. Several nasal lymphomas (such as NL 4, 17, 26, and 27) carried an EBNA-1 species with only a subset of the substitutions that we have found to be typical of one or the other of the variant EBNA-1 subtypes. A large fraction of tumors (12/39; NL 7, 10, 18, 20, 21, 22, 23, 24, 25, 28, 31, and 37) carried at least a 2-base substitution at codon 487, such that this codon now potentially coded for as many as 4 amino acids. However, these substitutions were not random and only represented those amino acids that we have previously associated with the EBNA-1 subtypes. Interestingly, the only change specific for P-thr, ie, GCT-ACT at position 487, was present in only 4 tumors. The pattern of codon substitutions is described in Fig 1.
This bar graph illustrates the codon substitution and their frequency in the carboxy fragment of EBNA-1 sequenced from 39 nasal lymphomas. Only those codons that showed mutations are depicted. The prototype P-ala sequence is shown in the x-axis. The top panel shows the substitutions in the respective codons in the subtypes previously described. The most frequent substitutions observed in NL are shown above the graph. At codon 487, **T means ACT, CCT, CTT, and/or GTT.
This bar graph illustrates the codon substitution and their frequency in the carboxy fragment of EBNA-1 sequenced from 39 nasal lymphomas. Only those codons that showed mutations are depicted. The prototype P-ala sequence is shown in the x-axis. The top panel shows the substitutions in the respective codons in the subtypes previously described. The most frequent substitutions observed in NL are shown above the graph. At codon 487, **T means ACT, CCT, CTT, and/or GTT.
EBV clonality in NL with multiple EBNA-1 species.
Southern blot analysis of EBV DNA using a probe that detects a 500-bp tandem repeat sequence in the terminal repeat region of the EBV genome has often been used to demonstrate monoclonality of EBV association with tumors. Nasal lymphomas have been previously studied in this way and EBV has been reported to be monoclonal.21Unfortunately, such analysis requires a relatively large amount of high molecular weight DNA that cannot be obtained from paraffin-embedded material. Clonality determination using a PCR-based analysis of the repeats from the terminal region is difficult because the size of the target DNA that needs to be amplified is several kilobases long. We therefore sought to use an alternative marker that is readily examined by PCR. The LMP-1 sequence contains tandem repeats of 33 bp, the number of which varies among different isolates. We examined this region of LMP, also referred to as LYDMA,20 in 13 NLs, including some that showed heterogeneity of the carboxy fragments of EBNA-1. A single PCR band of varying size was obtained from each of the NL samples as well as from the monoclonal controls, including EBV-infected cell lines Raji, Daudi, and Ag876. As a polyclonal control, we obtained DNA samples from EBV-positive throat washes from healthy individuals. As expected, PCR did not generate a unique band.
Monoclonal NLs contain independent and multiple EBNA-1 molecules with varying substitutions.
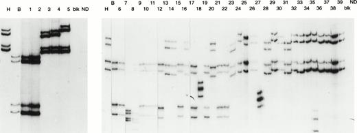
As expected from previous Southern blot analyses, the results of the LMP-33bp repeat PCR indicated monoclonality. Thus, the marked variability in the carboxy terminus of EBNA-1 in NLs could only result from an ongoing process of substitutions. To more directly demonstrate this, we subcloned the amplified carboxy region of EBNA-1 from 6 NLs (4, 7, 13, 20, 21, and 22). Among these, we included 1 (NL-4) that carried a single EBNA-1 variant based on direct sequencing of amplified carboxy terminus DNA (Table 1). The other 5 showed the presence of multiple EBNA-1 variants with respect to the carboxy terminus. In a previous study, we had documented the absence of multiple variants in subcloned products obtained from amplification of EBNA-1 from BL samples or from spontaneously transformed B-cell lines.7 In the present study, as additional controls, we also amplified and subcloned carboxy fragments from a B-cell line that carried the B95.8 virus and from EBV associated with the B-cell lymphoma cell lines P3HR1 and Namalwa. A subset (4 to 10 clones) of the subcloned EBNA-1 products from all 6 NL samples and the controls was assessed for sequence integrity by SSCP analysis, followed by sequencing the clones with a migration identical to B95.8 and with abnormal migration (Fig 2 and Table 1).
SSCP analysis of EBNA-1. EBNA-1 PCR products were first subcloned in a TA cloning vector. Independent clones were then analyzed for SSCP migrations. The sequence analysis of these subcloned fragments is given in Table 1. Lane numbers in the figure are also shown in Table 1. Migration pattern of 5 clones from NL 21 (lanes 1 through 5), 6 clones from NL 22 (lanes 6 through 11), 4 clones from NL 20 (lanes 12 through 16), 4 clones from NL 7 (lanes 17 through 21), 10 clones from NL 13 (lanes 22 through 31), and 8 clones from NL 4 (lanes 32 through 39) are shown. Control samples in the SSCP analysis include P-ala EBNA-1 amplified from B95.8 (lane B) and V-leu EBNA-1 amplified from P3HR1 (lane H). Several clones from the NLs migrate identically to the B95.8 pattern (eg, lanes 6, 9, 10, and 11 corresponding to clones 1, 5, 6, and 7, respectively, from NL 22).
SSCP analysis of EBNA-1. EBNA-1 PCR products were first subcloned in a TA cloning vector. Independent clones were then analyzed for SSCP migrations. The sequence analysis of these subcloned fragments is given in Table 1. Lane numbers in the figure are also shown in Table 1. Migration pattern of 5 clones from NL 21 (lanes 1 through 5), 6 clones from NL 22 (lanes 6 through 11), 4 clones from NL 20 (lanes 12 through 16), 4 clones from NL 7 (lanes 17 through 21), 10 clones from NL 13 (lanes 22 through 31), and 8 clones from NL 4 (lanes 32 through 39) are shown. Control samples in the SSCP analysis include P-ala EBNA-1 amplified from B95.8 (lane B) and V-leu EBNA-1 amplified from P3HR1 (lane H). Several clones from the NLs migrate identically to the B95.8 pattern (eg, lanes 6, 9, 10, and 11 corresponding to clones 1, 5, 6, and 7, respectively, from NL 22).
All the amplified DNA fragments from subclones obtained from the B95.8 (P-ala) EBNA-1 migrated uniformly. The patterns of migration of the fragments from subclones obtained from P3HR1 and Namalwa (both with V-leu EBNA-1 subtype) were different from B95.8 but identical to each other. All the DNA fragments from subclones of Namalwa and P3HR1 also migrated uniformly. Examples of the migration pattern of DNA fragments from these controls are seen in lanes B and H in Fig 2. The results of SSCP analysis of DNA from the 6 NLs are also shown in Fig 2. From several of the EBNA-1 subclones derived from NL 7, 13, 20, 21, and 22, a single fragment that migrated identically to the fragment obtained from B95.8 was observed, but in other clones, different patterns of migration were seen. This was in agreement with the direct sequencing results that predicted the presence of multiple EBNA-1 subtypes in many of the tumors, including the prototype. In contrast, all 9 subclones obtained from NL 4 demonstrated a homogeneous migration pattern and a sequence pattern identical to that obtained by direct sequencing. Both the migration pattern and the sequences of these subclones were, as expected, different from those seen with the EBNA-1 from prototype EBV.
Comparison of the EBNA-1 sequence obtained by direct sequencing of the PCR products obtained from tumor DNA and those obtained by first subcloning PCR amplified EBNA-1 fragments is depicted in Table 1. Subcloned EBNA-1 fragments from NL 7,13, 20, 21, and 22 that showed an SSCP migration pattern identical to the prototype EBNA-1, as expected, also had identical nucleotide sequences to the same EBNA-1 fragment amplified from B95.8. Three variant fragments obtained from NL-21 each carried mutations relative to B95.8 EBNA-1. Most of the variations observed in sequence analysis of uncloned DNA can be derived from the composite of the sequences of the independent clones. Some of these mutations were common to the 3 subclones, whereas others were present in only 1 or 2 of the subclones. As is also evident from the SSCP analysis (Fig 2, lanes 4 and 5), clones 21-5 and 21-6 also differed by a single base mutation (GAT-GAG) at codon 500 (Table 1). Similarly, subclones from tumor number 20 specifically, 20-3 and 20-6 (Fig 2, lanes 13 and 16), and subclones from tumor number 7, 7-5 and 7-7 (Fig2, lanes 18 and 20), also differed by mutations in a single codon. From other tumor samples, we also identified several subclones that carried only a single mutation, compared with the prototype EBNA-1, eg, 13-6, 20-11, 21-1, and 22-14. None of the BL controls (Namalwa and P3HR1) demonstrated any heterogeneity among the subclones either by SSCP or by sequencing.
DISCUSSION
In the present study, we have identified multiple variations of EBNA-1 in EBV present in nasal NK/T-cell lymphomas. This contrasts with our previous studies in which we reported that EBV present in tumor samples derived from EBV-associated BL and NPC always contains a single EBNA-1 variant.7,8 Because EBV is monoclonal in these tumors,1,3 this finding is not surprising. In BL-associated EBV, EBNA-1 is either P-thr or V-leu (which differs from V-pro by a single amino acid substitution at codon 487) but never contains mixtures of these or other subtypes. Similarly, NPC-associated EBV is either P-thr or V-val. Surprisingly, however, the prototype, P-ala, which is frequently present in the normal population, is rarely associated with these two malignancies.7 8 In contrast, in NK/T nasal lymphomas, we frequently detected the P-ala EBV, but only in the presence of additional variant EBNA-1 subtypes. Moreover, multiple variant EBNA-1 species were present in 33 of the 39 tumors (Fig 1). Similar sequence patterns were observed in NK/T nasal lymphomas from Mexico and Peru. Interestingly, in none of the 6 NLs that carried a single EBNA-1 subtype was this P-ala EBNA-1. Thus, NLs, like other tumors, do not appear to contain a homogenous P-ala subtype.
Two possible explanations for these observations can be considered. (1) Some nasal lymphomas are monoclonal for EBV and contain a single variant EBNA-1 subtype, whereas others, which contain multiple EBNA-1 subtypes, are not monoclonal for EBV; or (2) nasal lymphomas that contain multiple EBNA-1 subtypes are also monoclonal for EBV, but the EBNA-1 in these tumors undergoes continuous mutation. Our analysis of LMP-1 (LMP-33bp repeat) sequences, coupled to previous demonstrations that NK/T-cell nasal lymphomas are monoclonal,21 strongly supports the second possibility. It is interesting that multiple EBNA-1 subtypes were observed in this study only in the presence of EBNA-1 clones identical to P-ala, also suggesting that this subtype is not oncogenic or is not compatible with the persistence of the neoplastic phenotype when present alone. Either possibility strongly supports the likelihood that EBNA-1 is relevant to oncogenesis. Because a few of the tumors we examined did not carry a mixture of variant EBNA-1 genotypes, the possibility that in each case a precursor tumor cell was infected by a virus that had already undergone substitutions in EBNA-1 remains. In the majority of the tumors, in which the prototype virus may have been, at one point, the only subtype present, the virus was subjected to mutational pressure within the carboxy terminus, thus generating one or more additional subtypes in addition to P-ala. However, this model does require that multiple EBNA-1 subtypes are present in individual tumor cells, requiring, for its proof, PCR analysis of microdissected cells. This will be the topic of a future research project.
Several of the substitutions we detected in NK/T lymphoma were similar to those that we have described previously, although we also often observed clones that were not completely identical to those in EBNA-1 variants derived from other tumors and normal cells (Fig 1). For example, codons 486 and 529, not normally mutated in the EBNA-1 subtypes, were mutated in 6 and 10 NLs, respectively. A surprisingly large fraction of the tumors carried at least 2-base substitutions at codon 487, such that this codon could potentially code for four amino acids. However, these substitutions were not random, with the 4 possible amino acids being those that we have previously associated with the different EBNA-1 subtypes, namely alanine, leucine, proline, and valine. Seventy-seven percent of the NLs had a substitution at codon 487, and alanine, proline, leucine, and valine were observed in 92%, 62%, 33%, and 38% of the tumors, respectively. Surprisingly, in view of its frequency in normal cells, BL and NPC, a threonine at position 487 was rarely present in the NLs (4/39). In contrast to the lack of a threonine substitution, as many as 56% of the NLs carried a specific substitution at codon 528 (ATT-GTT), which is typically present only in the V-val subtype (Fig 1). The EBNA-1 in these same 528(val) tumors invariably also carried substitutions in the amino-terminus that are also present in the V-val subtype.
Analysis of subcloned EBNA-1 PCR products from NK/T-cell lymphomas showed that the mutational process was ongoing. Each of the tumors contained EBNA-1 molecules containing one or more mutations (Table 1), and several of the mutations were detected in more than one of the independent clones, consistent with the incremental accumulation of mutations. Mutations at codon 487, although frequent, were invariably associated with mutations in at least 3 or 4 other codons and subclones with other mutations, but without codon 487 mutations, were also recovered (eg, subclone NL-21-4 in Table 1 and NL-4), suggesting that mutations at position 487 usually occur after other mutations have occurred. Overall, the pattern of these mutations showed a tendency to generate the various subtypes we have previously described and further substantiate the negative association of the P-ala strain with EBV-containing tumors. These data are also consistent with the in vivo generation of EBNA-1 subtypes and provide an explanation for the apparent invariable association of V-pro and V-val with P-ala or P-thr. Our data are also consistent with the possibility that BL and NPC, and a small fraction of NK/T-cell lymphomas, arise from cells infected by a virus already mutated in its carboxy terminus region, whereas a larger fraction of NK/T-cell lymphomas arise from cells containing prototype (P-ala) virus that undergo mutations in the premalignant or the malignant cells themselves. It remains possible that P-thr, which, unlike the V strains, may occur in isolation in normal cells, represents a second free-living strain of virus.
Finally, the in vivo generation of multiple EBV subtypes, as demonstrated here in NK/T-cell lymphomas, is reminiscent of the generation of quasispecies in RNA viruses. This is the first description of such a process in DNA viruses and raises important questions relating to the mechanisms of these mutations. Although it is possible that they occur merely as a result of genetic instability in the tumor, several arguments suggest that this may not be the case: the pattern of mutations is similar to the substitutions in the EBV subtypes observed in normal individuals, and deletions or insertions at polynucleotide tracts, a characteristic of microsatellite instability, was not observed, although such a phenotype has been demonstrated in certain hematological malignancies.22 In RNA viruses, the RNA-dependent RNA polymerases have no proofreading activity, which leads to a high frequency of nucleotide substitutions during replication. Thus, viral populations in infected individuals become heterogeneous mixtures of variants or quasispecies. Although the EBV DNA-dependent DNA polymerase lacks some proofreading activity,23 such that replication would normally be associated with the generation of mutations, there is no evidence that this polymerase is involved in the generation of the genetic variability we have observed. Because the virus is monoclonal in tumor cells, multiple cycles of viral replication would appear to be excluded, and mutations must presumably arise during replication of latent viral genomes, which is dependent on the host DNA polymerase. Therefore, either the environment in the NK-cell background is conducive to the emergence of genetic heterogeneity or EBV possesses a mechanism for driving EBNA-1 mutation. Moreover, because we have demonstrated EBNA-1 hypervariability only in NK/T-cell lymphomas, it is possible that the generation of EBNA-1 subtypes in normal individuals occurs only in certain cell types, eg, NK cells or a subset of NK cells. Alternatively, stringent selection of EBNA-1 variants occurs in most cell types, but not NK/T-cell lymphomas. Whatever the mechanism, the nonrandom disassociation of the EBV subtypes with normal and neoplastic cells suggests that the generation of heterogeneity in EBNA-1 influences both the biology and the pathogenicity of the virus.
ACKNOWLEDGMENT
The authors acknowledge Dr Kojo Elenitoba-Johnson (Molecular Pathology Section, National Cancer Institute) for helping with the diagnosis and the work up of the Mexican nasal lymphomas.
Address reprint requests to K. Bhatia, PhD, National Institutes of Health, Bldg 10, Room 13N240, 10 Center Dr MSC 1928, Bethesda, MD 20892-1928; e-mail: BhatiaK@Pbmac.nci.nih.gov.
The publication costs of this article were defrayed in part by page charge payment. This article must therefore be hereby marked "advertisement" is accordance with 18 U.S.C. section 1734 solely to indicate this fact.
This is a US government work. There are no restrictions on its use.



