Abstract
Stat3 is essential for early embryonic development and for myeloid differentiation induced by the cytokines granulocyte colony-stimulating factor (G-CSF) and interleukin-6 (IL-6). Two isoforms of Stat3 have been identified, (p92) and β (p83), which have distinct transcriptional and biological functions. Activation of both Stat3 and Stat3β requires the distal cytoplasmic domain of the G-CSFR, which contains four Tyr at positions 704, 729, 744, and 764. The studies reported here were undertaken to determine which, if any, of these tyrosine residues participated in Stat3/β recruitment and activation. We showed that Stat3 and Stat3β were affinity purified using phosphopeptides containing Y704 and Y744 but not by nonphosphorylated peptide analogues or by phosphopeptides containing Y729 and Y764. Complementary results were obtained in studies examining the ability of these peptides to destabilize and inhibit DNA binding of activated Stat3. Both Y704 and Y744 contributed to optimal activation of Stat3/β in M1 murine myeloid leukemia cells containing wild-type and Y-to-F mutant G-CSFR constructs. Carboxy-terminal to Y704 at the +3 position is Gln; YXXQ represents a consensus Stat3 recruitment and activation motif. Y744 is followed at the +3 position by Cys (C); YXXC, represents a novel motif implicated in the recruitment and activation of Stat3. Modeling of the SH2 domain of Stat3 based on homologous SH2 domains of known structure revealed polar residues whose side chains contact the +3 position. This substitution may confer specificity for the Y704- and Y744-based ligands by allowing H-bond formation between the binding surface and the Gln or Cys found at the respective +3 position.
TARGETED DISRUPTION of the mouseStat3 gene leads to embryonic lethality at 6.5 to 7.5 days, indicating that Stat3 is essential for early embryonic development.1 At the cellular level, Stat3 has been shown to be involved in the signaling cascade initiated by receptors of several classes. These include receptors for granulocyte colony-stimulating factor (G-CSF) and for the interleukin-6 (IL-6) cytokine family as well as other type I and type II cytokine receptors2 (IL-2,3 IL-4,4IL-5,5 IL-10,6 IL-12,7IL-13,4 interferon-α,8 growth hormone,9 thrombopoietin,10 and leptin11), receptor tyrosine kinases (epidermal growth factor receptor [EGFR],12 platelet-derived growth factor receptor [PDGFR],13 colony-stimulating factor-1 receptor [CSF-1R],13 and basic fibroblast growth factor receptor [bFGFR]14) and the G-protein–coupled receptors for angiotensin II15 and the CC chemokines RANTES and MIP-1α.16 G-CSF initiates a signaling cascade in bone marrow progenitor cells that is critical to their differentiation into neutrophils.17,18 Activation of Stat3 by the G-CSFR as well as by the homologous IL-6Rβ chain (gp130) has been shown to be essential for differentiation of murine myeloid cell lines by their respective cytokines.19-21
The G-CSF receptor (G-CSFR) is a member of the type I cytokine receptor family.2 Ligand-induced dimerization of the G-CSFR results in activation of protein Tyr kinases (PTK) including Jak1,22Jak2,23-25 and Lyn.26Activation of receptor-associated PTK results in receptor Tyr phosphorylation and recruitment of SH2-containing proteins including additional PTKs such as Syk,26 adapter proteins such as Shc,27 and members of the STAT protein family including Stat1,23 Stat3,23,28,29 and Stat5.23 Stat3 activation has been shown to require the distal cytoplasmic portion of the G-CSFR which contains four Tyr residues,22 30 suggesting that Stat3, in particular, may be recruited directly by the receptor through an SH2-phosphotyrosine interaction involving one or more of these residues.
Two isoforms of Stat3 derived from a single gene have been described in mice31 and humans28,32 and are designated Stat3α and Stat3β. Unlike Stat3α (p92), Stat3β (p83) appears to functionally interact with c-Jun.31 Also, Stat3β lacks Ser727 present in Stat3α that has been shown to be a site of phosphorylation,33,34 possibly by MAP kinase.33Serine phosphorylation has been shown to enhance Stat3α DNA binding33 and to be required for maximal transcriptional activation.34 In addition, Stat3β inhibits the ability of Stat3α to activate promoter constructs in transient-transfection assays.32 The distinct transactivating abilities of Stat3α and Stat3β appear to be biologically important. G-CSF activated predominantly Stat3β in normal adult human CD34+ bone marrow cells capable of differentiating in response to G-CSF.28 In contrast, G-CSF activated predominantly Stat3α in acute myeloid leukemia cell lines not shown to differentiate in response to G-CSF.28 Intriguingly, in studies revealing an essential role for Stat3 in gp130-induced M1 cell differentiation, the investigators demonstrated that overexpression of Stat3α behaved in a dominant-negative fashion and inhibited terminal differentiation of this cell line.20 In contrast, overexpression of Stat3β blocks v-Src transformation of fibroblasts.35
Studies examining the ability of full-length and truncated mutant G-CSFR constructs to induce proliferation and differentiation of myeloid cells showed that while the N-terminal half of the cytoplasmic domain was necessary and sufficient for proliferation, differentiation required the full-length receptor, thereby mapping specific signaling events required for differentiation to the C-terminal half the cytoplasmic domain.36,37 We30 and others25 previously showed that activation of Stat3 did not correlate with proliferation; rather, it required the C-terminal half of the cytoplasmic domain of the G-CSFR, which is essential for differentiation.37 This region contains four Tyr at positions 704, 729, 744, and 764. STAT proteins have previously been shown to be recruited to receptor complexes through SH2-phosphotyrosine interactions.6 38-43 The studies reported here were undertaken to determine which phosphotyrosine, if any, within the G-CSFR are responsible for recruitment and activation of Stat3α and Stat3β and to determine whether any of the phosphotyrosines show preferential binding activity for either Stat3 isoform.
Our results demonstrate that phosphotyrosine motifs containing Y704 and Y744 are responsible for Stat3α and Stat3β recruitment and that each contributes to Stat3α/β activation by G-CSF. Neither motif showed preferential affinity for either Stat3 isoform. Although the Y704 motif, YVLQ, follows the consensus Stat3 recruitment motif (YXXQ), the Y744 motif, YENC, represents a novel Stat3 recruitment motif. The presence of polar amino acid residues, Q and C, at the +3 position within these phosphotyrosine ligands along with sequence analysis of the Stat3 SH2 support a model of Stat3 SH2-phosphotyrosine binding in which the region of the Stat3 SH2 domain that binds the +3 amino acid forms a polar interacting surface.
EXPERIMENTAL PROCEDURES
Cells.
All factor-independent acute myeloid leukemia cell lines were maintained, as described,28 in RPMI 1640 (Life Technologies, Gaithersburg, MD) supplemented with heat-inactivated fetal calf serum (10%), penicillin (100 U/mL), and streptomycin (100 U/mL). The parental pro-B cell line, BAF/BO3, and BAF/BO3 cells expressing wild-type and truncated mutant G-CSFR constructs were maintained as described.30 The murine myeloid leukemia cell line, M1, and clones stably transfected with wild-type human G-CSFR or mutant constructs containing single tyrosine-to-phenylalanine mutations (Y704F, Y729F, Y744F, and Y764F) and double mutations (Y704/744F) were kindly provided by Dr Judith Layton (Ludwig Institute for Cancer Research, Victoria, Australia) and were maintained as described.44
Peptides.
Phosphotyrosine-containing peptides (12 amino acid residues long based on the sequence surrounding Tyr residues 704, 729, 744, and 764 within the human G-CSFR) and a Stat3β-specific peptide (11 amino acid residues long starting at the N-terminus with cysteine and containing the last ten amino acid residues of Stat3β) were used in these studies (Table 1). Peptides were synthesized at the Department of Molecular Genetics and Biochemistry Shared Resources Facility of the University of Pittsburgh School of Medicine on an automated peptide synthesizer (PerSeptive Biosystems, Inc, Framingham, MA) using standard fluoren-9-ylmethoxycarbonyl (FMOC) solid-phase synthesis protocols as described.45 Where indicated, a portion of each peptide was biotinylated before deprotection at the N-terminus using sulfo-N-hydroxysuccinimidyl-6-(biotinamido)hexanoate (Sulfo-NHS-LC-Biotin; Pierce Chemicals, Rockford, IL). Peptide composition and purity was confirmed by mass spectroscopy.
Cytokines and antibodies.
Recombinant human G-CSF was purchased from Amgen (Thousand Oaks, CA). Stat3 antibody, C-20 (Santa Cruz Biotechnology, Santa Cruz, CA), was generated in rabbits immunized with the C-terminal end of murine Stat3/p92, amino acids 750 to 769. Stat3 monoclonal antibody (Transduction Laboratories, Lexington, KY) was developed in mice immunized with a portion of murine Stat3/p92 containing amino acids 1-178.
Chicken IgY specific for Stat3β was generated by an outside vendor (Charles Rivers PharmServices, Southbridge, MA) by preparation of a Stat3β-specific peptide immunogen corresponding to the unique C-terminal residues that are not found in Stat3α (Table 1). This peptide was rendered immunogenic by coupling it to the carrier thyroglobulin. This peptide/carrier conjugate (250 μg in complete Freund’s adjuvant) was used to immunize a hen subcutaneously followed by booster injections (100 μg in incomplete Freund’s adjuvant) every 3 weeks. Upon demonstrating high titer on enzyme-linked immunosorbent assay (ELISA) to a peptide-bovine serum albumin (BSA) conjugate, the IgY was fractionated from eggs per the distributor’s protocols.
Electrophoretic mobility shift assay (EMSA).
Cells (≥106) in suspension were incubated in 1 mL phosphate-buffered saline (PBS) with or without cytokine at 37°C. Whole-cell and nuclear extracts were prepared and EMSAs performed on 4% native polyacrylamide gels using the high-affinitysis-inducible element (hSIE; m67) as described.30Phosphorylated and nonphosphorylated peptide inhibition studies were performed as described.46 Briefly, whole-cell extracts (20 μg) of cells stimulated with G-CSF (100 ng/mL) for 30 minutes were incubated with tyrosine phosphorylated peptides or nonphosphorylated peptides at 0, 30, 100, 300, and 400 μmol/L for 60 minutes at 37°C before addition of radiolabeled duplex hSIE and EMSA. The gels were dried and exposed to Kodak XAR film (Eastman Kodak Co, Rochester, NY) before developing.
Phosphopeptide and antibody affinity purification and immunoblotting studies.
Biotinylated peptides (120 pmol) were incubated overnight at 4°C with streptavidin coated paramagnetic beads from Dynal (Lake Success, NY). Beads were washed thoroughly with buffer A (20 mmol/L HEPES pH 7.8, 100 mmol/L NaCI, 20 mmol/L NaF, 1 mmol/L Na3VO4, 1 mmol/L Na4P2O7, 1 mmol/L EDTA, 1 mmol/L EGTA, 20% glycerol, 0.05% NP-40, 1 mmol/L dithiothreitol (DTT), 1 mmol/L phenylmethylsulfonyl fluoride [PMSF], 1 mg/mL leupeptin, and aprotinin). DER cells were lysed using buffers A (with 1% NP-40) and centrifuged at 14,000 rpm to remove cell debris. The supernatant was diluted 1:1 with buffer A (without NaC1 and NP-40) and incubated with Dynal beads prebound to biotinylated peptide for 2 hours at 4°C and washed three times with buffer A. Phosphopeptide affinity-purified proteins were separated and immunoblotted as described.28
Stat3β-specific IgY antibody was conjugated to CNBr-activated Sepharose 4B (Pharmacia, Uppsala, Sweden) following the protocol supplied by the manufacturer. Whole-cell extracts (1 mg) were incubated with 50 μL of IgY-Sepharose suspension (50% in buffer A) for 60 minutes at 4°C and washed three times in buffer A. Bound proteins were eluted by boiling in sodium dodecyl sulfate-polyacrylamide gel electrophoresis (SDS-PAGE) sample buffer, and separated on SDS-PAGE and immunoblotted with Stat3 monoclonal antibody as described.28
RESULTS
In vivo activation of Stat3α and Stat3β in BAF/BO3 cells expressing full-length and truncated mutants of G-CSFR.
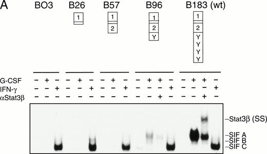
EMSA analysis performed previously on extracts of parental BAF/BO3 cells and derivatives expressing wild-type and truncated mutant G-CSFR suggested that maximal activation of Stat3α required full-length G-CSFR.30 To map the region of the G-CSFR required for activation of Stat3β by EMSA, we developed IgY antibody specific for Stat3β using as immunogen a peptide containing the C-terminal seven amino acid residues unique to Stat3β (Table 1). This antibody immunoprecipitated Stat3β but not Stat3α (Fig1). EMSA of extracts of G-CSF–stimulated BAF/BO3 cells transfected with full-length G-CSFR (B-183) or truncated G-CSFR mutants showed activation of an hSIE-protein complex only in B-96 and B-183 (Fig 2A), which express G-CSFR constructs that contain one or more Tyr. Supershift analysis of the complexes from these cells demonstrated a low level of Stat3β activation in B-96; however, maximal activation of Stat3β required the full-length G-CSFR. To confirm this result, we performed DNA-affinity purification of whole-cell extracts of these cells (Fig2B). Immunoblotting of hSIE–affinity-purified proteins showed the presence of Stat3α and Stat3β only in extracts of G-CSF–stimulated B-96 and B-183 cells. Immunoblotting of whole-cell extracts of each of these cell lines revealed that preferential activation of Stat3α/β in B-96 and B-183 was not due to increased levels of expression of Stat3 isoforms in these cell lines compared with B-57, B-26, or parental BAF-BO3 (Fig 2C).
Specificity of Stat3β antibody. Whole-cell protein extracts (1 mg) of unstimulated cells were incubated with rabbit polyclonal Stat3-specific antibody (C-20; 1 μg) followed by protein G-Sepharose (left lane) or with chicken Stat3β-specific IgY conjugated to CNBr-activated Sepharose Beads (right lane). Bound proteins were eluted by boiling in SDS-PAGE sample buffer and separated by SDS-PAGE and immunoblotted using Stat3 monoclonal antibody. The positions of the prestained molecular-weight markers are indicated on the left and the positions of the Stat3 and Stat3β bands are indicated on the right. The results shown are representative of two experiments.
Specificity of Stat3β antibody. Whole-cell protein extracts (1 mg) of unstimulated cells were incubated with rabbit polyclonal Stat3-specific antibody (C-20; 1 μg) followed by protein G-Sepharose (left lane) or with chicken Stat3β-specific IgY conjugated to CNBr-activated Sepharose Beads (right lane). Bound proteins were eluted by boiling in SDS-PAGE sample buffer and separated by SDS-PAGE and immunoblotted using Stat3 monoclonal antibody. The positions of the prestained molecular-weight markers are indicated on the left and the positions of the Stat3 and Stat3β bands are indicated on the right. The results shown are representative of two experiments.
EMSA supershift analysis and DNA-affinity chromatography of BAF/BO3 cells transfected with full-length and truncated mutants of G-CSFR. BAF/BO3 cells were stably transfected with vector containing either wild-type human G-CSFR (HRG-183) or with vector containing G-CSFR constructs truncated at intracytoplasmic amino acid residue 96 (HGR-96), residue 57 (HGR-57) or residue 26 (HGR-26) as described.36 The constructs contained one or more of the homology regions, boxes 1 and 2, and tyrosines (Y) as indicated in panel A. Cells were extracted before (−) or after (+) G-CSF or interferon-γ stimulation. EMSA was performed without (−) or with (+) antibody to Stat3β. The position of the SIF-A, B, and C complexes and the supershifted(SS) Stat3β complex are indicated on the right. The results shown are each representative of two experiments. In (B), the stably transfected cell lines (B-26, B-57, B-96, and B-183) and the parental cell line (BO3) were stimulated with G-CSF (100 ng/mL for 15 minutes) and extracted. Whole-cell protein extracts (500 μg each) were bound to and eluted from a hSIE-affinity purification column. Eluted proteins were separated by SDS-PAGE, immunoblotted with Stat3 monoclonal antibody, and developed with ECL chemiluminescence. The position of the prestained molecular-weight markers are shown on the left and the position of the Stat and Stat3β bands are shown on the right. In (C), whole-cell protein extracts of each cell line (50 μg each) were separated by SDS-PAGE and immunoblotted with Stat3 monoclonal antibody. The positions of Stat3 and Stat3β are indicated on the right.
EMSA supershift analysis and DNA-affinity chromatography of BAF/BO3 cells transfected with full-length and truncated mutants of G-CSFR. BAF/BO3 cells were stably transfected with vector containing either wild-type human G-CSFR (HRG-183) or with vector containing G-CSFR constructs truncated at intracytoplasmic amino acid residue 96 (HGR-96), residue 57 (HGR-57) or residue 26 (HGR-26) as described.36 The constructs contained one or more of the homology regions, boxes 1 and 2, and tyrosines (Y) as indicated in panel A. Cells were extracted before (−) or after (+) G-CSF or interferon-γ stimulation. EMSA was performed without (−) or with (+) antibody to Stat3β. The position of the SIF-A, B, and C complexes and the supershifted(SS) Stat3β complex are indicated on the right. The results shown are each representative of two experiments. In (B), the stably transfected cell lines (B-26, B-57, B-96, and B-183) and the parental cell line (BO3) were stimulated with G-CSF (100 ng/mL for 15 minutes) and extracted. Whole-cell protein extracts (500 μg each) were bound to and eluted from a hSIE-affinity purification column. Eluted proteins were separated by SDS-PAGE, immunoblotted with Stat3 monoclonal antibody, and developed with ECL chemiluminescence. The position of the prestained molecular-weight markers are shown on the left and the position of the Stat and Stat3β bands are shown on the right. In (C), whole-cell protein extracts of each cell line (50 μg each) were separated by SDS-PAGE and immunoblotted with Stat3 monoclonal antibody. The positions of Stat3 and Stat3β are indicated on the right.
Phosphopeptides based on Y704 and Y744 affinity purify Stat3α and Stat3β.
To determine specifically which, if any, of the Tyr residues within the C-terminal cytoplasmic domain of the hG-CSFR are involved in the recruitment of human Stat3α and Stat3β, phosphopeptides 12-amino acid residues each were synthesized spanning either side of each Tyr within the G-CSFR cytoplasmic domain (Table 1). Each phosphopeptide was incubated with whole-cell extracts of human myeloid leukemia cell lines, DER and THP-1, previously shown to express both isoforms of Stat3 upon immunoblotting of whole-cell extracts.28Immunoblotting demonstrated bands corresponding to both Stat3α and Stat3β (Fig 3 and data not shown) in the peptide-affinity complexes of phosphopeptides based on Y704 and Y744 but not Y729 or Y764 and not within complexes formed with nonphosphorylated analogues of peptides based on Y704 and Y744. Of note, neither Stat3α nor Stat3β showed preferential binding to phosphopeptides based on either Y704 or Y744. Immunoblotting of proteins affinity purified by phosphopeptides Y704 and Y744 also revealed a third Stat3 cross-reactive band of approximately 72 kD, which we recently showed to be a proteolytic fragment of Stat3α.47
Phosphopeptide affinity purification of Stat3 and Stat3β. Biotinylated tyrosine phosphorylated peptide (+P) or nonphosphorylated peptides (−P) were bound to paramagnetic beads and incubated 2 hours at 4°C with whole cell extracts (1.5 mg) prepared from unstimulated DER cells. The peptide-protein complexes were magnetically separated and eluted by boiling in SDS-PAGE sample buffer followed by SDS-PAGE separation. The proteins were transferred to PVDF membrane, developed with Stat3 monoclonal antibody, and visualized by ECL chemiluminescence. The position of prestained molecular-weight markers are indicated on the left and of Stat3 and Stat3β are indicated on the right. The results shown are representative of two experiments.
Phosphopeptide affinity purification of Stat3 and Stat3β. Biotinylated tyrosine phosphorylated peptide (+P) or nonphosphorylated peptides (−P) were bound to paramagnetic beads and incubated 2 hours at 4°C with whole cell extracts (1.5 mg) prepared from unstimulated DER cells. The peptide-protein complexes were magnetically separated and eluted by boiling in SDS-PAGE sample buffer followed by SDS-PAGE separation. The proteins were transferred to PVDF membrane, developed with Stat3 monoclonal antibody, and visualized by ECL chemiluminescence. The position of prestained molecular-weight markers are indicated on the left and of Stat3 and Stat3β are indicated on the right. The results shown are representative of two experiments.
Phosphopeptides based on Y704 and Y744 inhibit Stat3α and Stat3β binding to DNA.
Once activated, STAT protein dimers can be specifically destabilized and inhibited from binding DNA by incubation with phosphopeptides based on receptor sequences involved in their recruitment and activation.46 We examined whether phosphopeptides based on Y704 and Y744 could destabilize Stat3 dimers and thereby inhibit their ability to bind DNA. Whole-cell extracts of G-CSF–stimulated cells including DER, THP-1, EM2, and EM3 were preincubated with phosphopeptides before addition to binding reactions and EMSA. Phosphopeptides based on Y704 and Y744 nearly completely inhibited hSIE binding by Stat3α/β while phosphopeptides based on Y729 and Y764 and nonphosphorylated analogues of Y704 and Y744 peptides had no effect (Fig 4 and data not shown). These results provide additional support for a critical role for Y704 and Y744, but not Y729 and Y764, in Stat3 recruitment to the G-CSFR.
Phosphopeptide inhibition of Stat3/β binding to hSIE. Whole-cell extracts (20 μg) of an acute leukemia cell line, EM2,28 stimulated with G-CSF (100 ng/mL) for 30 minutes were incubated with the indicated tyrosine phosphorylated peptides (+P) or nonphosphorylated peptides (−P) at 0, 30, 100, 300, and 400 μmol/L for 60 minutes at 37°C before addition of radiolabeled duplex hSIE and EMSA. The gels were dried and exposed to Kodak XAR film for before developing. The results shown are representative of three experiments.
Phosphopeptide inhibition of Stat3/β binding to hSIE. Whole-cell extracts (20 μg) of an acute leukemia cell line, EM2,28 stimulated with G-CSF (100 ng/mL) for 30 minutes were incubated with the indicated tyrosine phosphorylated peptides (+P) or nonphosphorylated peptides (−P) at 0, 30, 100, 300, and 400 μmol/L for 60 minutes at 37°C before addition of radiolabeled duplex hSIE and EMSA. The gels were dried and exposed to Kodak XAR film for before developing. The results shown are representative of three experiments.
Y704 and Y744 contribute to optimal activation of Stat3α and Stat3β by G-CSF in M1 cells.
To determine whether Y704 and Y744 contribute to Stat3α/β activation, we examined the effect of mutation of these residues to phenylalanine on Stat3α/β activation in the murine myeloid leukemia cell line, M1. This cell line was previously shown to differentiate into macrophages after heterologous expression of the human G-CSFR and upon exposure to G-CSF.44 M1 cell clones expressing Y704F and Y744F mutant G-CSFR constructs and especially clones expressing the Y704/744F double mutant showed dramatically reduced ability to differentiate in response to G-CSF.44 EMSA supershift analysis was performed on parental M1 cells and M1 clones expressing wild-type and mutant G-CSFR (Y704F, Y729F, Y744F, Y764F, and Y704/744F) at equivalent levels44 using Stat3α- or Stat3β-specific antibody (Fig 5). Each antibody supershifts its respective isoform but also reduces complex formation (Fig 2A and data not shown). Consequently, we used the nonsupershifted band following incubation with Stat3β-specific antibody for quantitation of Stat3α by PhosphorImager analysis. Clones expressing G-CSFR mutants Y729F and Y764F demonstrated levels of Stat3α activation similar to clones expressing wild-type receptor (Fig 5A and B). In contrast, levels of Stat3α activation were reduced in M1 clones expressing G-CSFR containing either the Y704F or Y744F mutation. Furthermore, in clones expressing G-CSFR containing the double mutation (Y704/744F), levels of Stat3α activation were reduced to levels observed in the parental M1 cells. Similar results were obtained for Stat3β (Fig 5C and D), although receptors containing Y729F and Y764F also showed reduced Stat3β activation compared with clones expressing wild-type receptor.
Stat3 and Stat3β supershift analysis of M1 cells clones transfected with wild-type and mutant human G-CSFR constructs. M1 parental cells (P) or clones (two each) expressing either wild-type (WT) human G-CSFR or constructs containing tyrosine-to-phenylalanine mutations at the indicated tyrosine residues were stimulated with G-CSF (1 ng/mL for 15 minutes) and extracted. EMSA was performed in the presence of antibody specific for either Stat3β (A and B) or Stat3 (C and D). (A and C) Autoradiographs of EMSA gels of M1 parental cells and a representative clone containing each construct. The position of the supershifted and nonsupershifted Stat3 and Stat3β are indicated on the right. The signal remaining within the nonsupershifted Stat3 band (B) and the nonsupershifted Stat3β band (D) obtained from M1 parental cells and both clones containing each construct were quantitated by PhosphoImager analysis and the mean ± SEM shown.
Stat3 and Stat3β supershift analysis of M1 cells clones transfected with wild-type and mutant human G-CSFR constructs. M1 parental cells (P) or clones (two each) expressing either wild-type (WT) human G-CSFR or constructs containing tyrosine-to-phenylalanine mutations at the indicated tyrosine residues were stimulated with G-CSF (1 ng/mL for 15 minutes) and extracted. EMSA was performed in the presence of antibody specific for either Stat3β (A and B) or Stat3 (C and D). (A and C) Autoradiographs of EMSA gels of M1 parental cells and a representative clone containing each construct. The position of the supershifted and nonsupershifted Stat3 and Stat3β are indicated on the right. The signal remaining within the nonsupershifted Stat3 band (B) and the nonsupershifted Stat3β band (D) obtained from M1 parental cells and both clones containing each construct were quantitated by PhosphoImager analysis and the mean ± SEM shown.
DISCUSSION
Evaluation of Stat3-deficient mice showed that Stat3 plays an essential and nonredundant role in early embryonic development. In addition, Stat3 activation is critical for myeloid differentiation in murine cell line models in response to G-CSF19 and IL-6.20,21 G-CSF–dependent myeloid differentiation maps to the distal cytoplasmic region of the human G-CSFR,37,48which contains four tyrosines (Y704, Y729, Y744, and Y764), and especially to Y704 and Y744.44 To map the tyrosine(s) required for Stat3 recruitment and activation, we performed DNA affinity purification of whole-cell extracts of G-CSF–activated BAF/BO3 cells containing full-length and truncated G-CSFR constructs and supershift analysis, which suggested that Y704 and possibly one or more of the distal tyrosines participated in the recruitment of Stat3α and Stat3β. We showed that both Stat3 isoforms were affinity purified using phosphopeptides based on Y704 and Y744 but not by nonphosphorylated peptide analogues or by peptides bases on Y729 and Y764. In addition, phosphopeptides based on Y704 and Y744 completely inhibited the DNA-binding activity of both Stat3α and Stat3β while nonphosphorylated peptide analogues of each and phosphopeptides bases on Y729 and Y764 had no effect. EMSA analysis of M1 parental cells and M1 cell clones expressing wild-type or Y-to-F mutant human G-CSFR constructs confirmed the contribution of Y704 and Y744 to activation of both Stat3α and Stat3β.
The regions of the G-CSFR surrounding Y704 and Y744 have previously been implicated as important in the function of G-CSFR based either on homology to regions within related receptors or on gene activation studies. Y744 is contained within the box 3 domain determined by sequence homology between the G-CSFR, gp130, and the LIFR.49 Y704 is contained within a region of the G-CSF essential for activation of acute phase response genes when wild-type or truncated receptors were transfected into human hepatoma cell lines.36 More recently, these two tyrosine sites especially Y744 have been shown by Nicholson et al44 to be critical for G-CSF–induced differentiation of the murine myeloid leukemic cell line, M1, transfected with wild-type and Y-to-F mutant G-CSFR constructs. This group was unable to consistently demonstrate a contribution of any G-CSFR tyrosine to Stat3 phosphorylation and activation. However, they examined extracts of cells stimulated with a G-CSF at 10 ng/mL which is 100-fold higher than the concentration of G-CSF that resulted in macrophage differentiation in 50% of cells containing wild-type G-CSFR (EC50WT), 100-fold greater than the EC50Y764F, 14- to 17-folder greater than the EC50Y704F and EC50Y724F and 7-fold greater than the EC50Y744F. We also were unable to detect clear differences in levels of Stat3 activation between M1 cells containing the different Y-to-F mutant constructs at G-CSF concentrations ≥10 ng/mL (data not shown). However, in the results shown (Fig 5), Stat3 activation was examined in extracts from cells stimulated with a concentration of G-CSF nearer the EC50 of most of the Y-to-F mutant ie, 1 ng/mL. The membrane proximal cytoplasmic region of the G-CSFR is responsible for association with and activation of Jak2,23,25,50 which in turn may directly recruit and activate Stat3.51-54 Consequently, it is possible that Stat3 activation by direct Jak2 interaction may obscure differences in Stat3 activation mediated through receptor phosphotyrosine interactions at higher G-CSF concentration (≥10 ng/mL).
Stat3 has been shown to be essential for differentiation induced by ligand-activated G-CSFR19 and gp130,20 21 a receptor whose intracellular domain is homologous to that of the G-CSFR. These findings together with the results of Nicholson et al and our laboratory strongly support the following hypothesis: phosphotyrosine residues at position 704 and 744 within the G-CSFR are responsible for the recruitment and activation of Stat3 which, in turn, is critical for G-CSF–induced myeloid differentiation.
Our results indicate that phosphorylated Y704 and Y744 each recruit Stat3 directly, resulting in Stat3 activation. In contrast, the findings of reduced Stat3 activity, especially Stat3β, in M1 cells containing Y729F and Y764F constructs suggest that Y729 and Y764 each may affect Stat3 activation indirectly, possibly by decreasing phosphorylation of Y704 and Y744 within the G-CSFR, as suggested by the findings of Yoshikawa et al,55 or by altering the secondary structure of the cytoplasmic region around Y704 and Y744, thereby interfering with their ability to recruit Stat3. Alternatively, Y729 and/or Y764 may activate a signaling pathway that regulates Stat3 DNA binding activity downstream of tyrosine phosphorylation in a positive manner, through activating serine phosphorylation of Stat3 or, in a negative manner, by activating one of the proteolytic pathways demonstrated to be involved in STAT protein inactivation, ie, proteosomal degradation, caspases or serine proteases.47 Of note is the finding that Y764 may be involved in the activation of Ras and MAP kinase through its recruitment of Shc/GRB2,27suggesting a linkage between Y764 and Stat3 serine phosphorylation. Also notable are the findings of two groups44 55 that implicate Y729 (or Y728 in the murine G-CSFR) in G-CSF–induced differentiation of M1 and LGM-1 cells, respectively. Their findings, together with the results reported here, suggest that this tyrosine activates a differentiation-promoting signaling pathway distinct from Stat3.
We have previously shown that Stat3β is preferentially activated by G-CSF in myeloid precursor cells capable of differentiating into neutrophils in response to this ligand while Stat3α activation predominated in myeloid precursor cells incapable of G-CSF–induced neutrophilic differentiation. The isoform of Stat3 preferentially activated by G-CSF in a given cell line corresponded to the predominant isoform that was expressed within extracts of that cell line.28 The studies reported here were undertaken, in part, to examine whether selective recruitment of either Stat3 isoform to the G-CSFR might also contribute to preferential activation. Our results, however, do not support this hypothesis.
Each STAT protein contains a single SH2 domain.8 Critical ligands for STAT protein SH2 domains include receptor phosphotyrosine-containing motifs and phosphotyrosine-containing motifs located near the C-terminus of the STAT proteins themselves.6,8,38-43 Interaction with the receptor phosphotyrosines causes juxtapositioning of STAT proteins with activated receptor-associated PTK, including members of the JAK and Src family resulting in phosphorylation of STAT proteins on their C-terminal tyrosine. Interaction between the SH2 domain of one STAT protein with the C-terminal phosphotyrosine of another STAT protein results in homodimerization or heterodimerization, the requisite configuration for STAT proteins to bind DNA. The amino acid residues surrounding the phosphotyrosine greatly influence the affinity of the SH2-phosphotyrosine interaction.56 Of the surrounding residues, the one at the C-terminal +3 position has been shown to have the greatest impact on SH2 binding. The phosphotyrosine-containing motif at position Y704 is YVLQ. This motif contains the polar amino acid residue, Gln (Q), at the position identical to all previously described motifs shown to recruit Stat3 including those within human gp130 (YRHQ, YFKQ, YLPQ, and YMPQ) and the receptors for hLIF (YQPQ and YKPQ), hEGFR (YINQ and YYHQ), and mIL-10 (YQKQ and YLKQ).6,39 40 The phosphotyrosine-containing motif at position Y744 is YLRC. This is the first motif demonstrated to recruit Stat3 that contains the polar amino acid residue, Cys, at the +3 position. In contrast, both Y729 and Y764 are followed at the +3 position by the nonpolar amino acid residue Leu.
To better understand the specificity of the Stat3 SH2 domain for the Y704- and Y744-based ligands, this domain was modeled using SH2 domains of known structure and high sequence homology as templates (Fig6). CLUSTAL analysis57 of the SH2 domain within Stat3 to other proteins in the Brookhaven data base identified the following proteins as having greatest homology, in order of decreasing homology: the SH2 domains of v-Src, p56-Lck, murine Syp, and human Grb-2. Also included in the CLUSTAL analysis for comparison were the sequences of identified homologues of Stat3: the SH2 domains of Stat1, Stat2, Stat4, Stat5A, Stat5B, and Stat6. Very recently, the crystal structure of a truncated Stat1 homodimer complexed to DNA has been determined.58Although the STAT protein SH2 domains differ in sequence from other SH2 domains, there appears to be remarkable conservation with respect to SH2 structure (2.6 Å rms deviation of Stat1 with respect to v-Src). The alignments between STAT and non-STAT SH2 domains were based on structural alignment of the SH2 domains of v-Src and Stat1.58 Gaps in the alignment were generally limited to loops between α-helices and/or β sheet elements (the location of these elements are shown schematically in Fig 6). SH2 domain structures were examined usingO.59
Alignment of partial SH2 domains of Stat proteins with homologous SH2 domains of known structure. All sequences were downloaded from GenBank, except for SH2 domain of Stat3, which was used in the search query. The numbering of the peptide fragments and accession codes are as follows: Grb2 67-140, P29354; Syp 120-202,P35235; p56 Lck 134-213, P06239; v-Src 154-234, P15054; Stat3 590-661; Stat1, 572-646, P42224; Stat2, 387-459, P52630; Stat4, 579-651, P42228; Stat5A 599-665, P42229; Stat5B 599-665, P51692; and Stat6 543-611,P42226. STAT sequences (in black) were aligned using CLUSTAL, as were nonSTAT sequences (in gray). The relative alignments between STAT and non-STAT proteins were based on alignments of Chen et al,58which used direct comparison of the crystal structures of the SH2 domains of v-Src and Stat1. Secondary structural elements observed in structural studies of v-Src and Stat1 SH2 domains are indicated below the sequences (in gray and black, respectively); β-sheets are indicated as arrows, and -helices as boxes with diagonal stripes. Residue sidechains, which have been shown in high resolution studies to interact directly with the phosphotyrosine of the ligand, are boxed and highlighted. The v-src sidechains of which form the binding pocket for the +3 residue of the ligand are highlighted (Y202 and I214). Residues of Stat3, which are hypothesized to interact with bound ligand, are also highlighted (E638, Y640, and Y657).
Alignment of partial SH2 domains of Stat proteins with homologous SH2 domains of known structure. All sequences were downloaded from GenBank, except for SH2 domain of Stat3, which was used in the search query. The numbering of the peptide fragments and accession codes are as follows: Grb2 67-140, P29354; Syp 120-202,P35235; p56 Lck 134-213, P06239; v-Src 154-234, P15054; Stat3 590-661; Stat1, 572-646, P42224; Stat2, 387-459, P52630; Stat4, 579-651, P42228; Stat5A 599-665, P42229; Stat5B 599-665, P51692; and Stat6 543-611,P42226. STAT sequences (in black) were aligned using CLUSTAL, as were nonSTAT sequences (in gray). The relative alignments between STAT and non-STAT proteins were based on alignments of Chen et al,58which used direct comparison of the crystal structures of the SH2 domains of v-Src and Stat1. Secondary structural elements observed in structural studies of v-Src and Stat1 SH2 domains are indicated below the sequences (in gray and black, respectively); β-sheets are indicated as arrows, and -helices as boxes with diagonal stripes. Residue sidechains, which have been shown in high resolution studies to interact directly with the phosphotyrosine of the ligand, are boxed and highlighted. The v-src sidechains of which form the binding pocket for the +3 residue of the ligand are highlighted (Y202 and I214). Residues of Stat3, which are hypothesized to interact with bound ligand, are also highlighted (E638, Y640, and Y657).
In all of these examined SH2 domains of known structure, the side chains that directly interacted with the phosphotyrosine of the bound ligand were conserved (see residues corresponding to v-Src R155, R175, S177, E178, and T179). Similarly conserved residues were also present in the STAT proteins. Of particular note was the observed variability that occurred in the binding pocket that makes direct contact with the +3 residue of the phosphotyrosine ligand in the crystal structures. In v-Src, p56-Lck, Syp, and Grb-2, this residue is strictly hydrophobic (Ile, Ile, Val, or Phe, respectively), and in each case the corresponding +3 ligand residue which it contacts is also hydrophobic. In our model of human Stat3, which is based on the highly conserved Stat1 structure (56% sequence identity), the corresponding SH2 residues modeled in this binding site are polar and hydrophilic. The schematic representation of the interaction of v-Src with its ligands, and the proposed interactions involved in Stat3 recognition of the G-CSF receptor are shown in Fig 7. In v-Src, the hydrophobic pocket is comprised of Ile214, as well as some contributions from the gamma and delta carbons of Tyr202 (ie, the edge of the aromatic ring, distal relative to the hydroxyl, also lies at the surface of the binding pocket). In human Stat3, the corresponding residues that map to the surface of the binding site are Glu638, Tyr640, and Tyr 657, dramatically changing the chemical nature of this site. Of note, the other STAT proteins also have polar hydrophilic residues at these positions, suggesting they also may bind phosphotyrosine-containing motifs with hydrophilic residues at the +3 position. Very recently, the three-dimensional structure of Stat3β homodimer bound to DNA was reported.60 However, the electron density obtained for the SH2 domain and the phosphopeptide region were not well defined. Consequently, additional useful information relevant to our model was not obtained from these studies.
v-Src residues directly interacting with ligand and corresponding putative residues involved in Stat3 binding of the G-CSF receptor. v-Src residues which directly interact with the phosphorylated ligand were determined by observing the crystal structures of v-Src (Brookhaven accession codes 1SHA and 1SHB, with ligands pTyr-Val-Pro-Met and pTyr-Leu-Arg-Val, respectively) usingO59 with a 3.5 Å cut-off. The residues interacting with the central ligand are in white typeface in gray boxes, and the +3 residue of the ligand is shown in gray. The corresponding residues in the Stat3 model are shown in black typeface in white boxes, and the +3 residue is shown in black. Of note, the Stat3 residues proposed to interact with the phosphotyrosine are conserved or homologous to those in v-Src, but those defining the binding pocket for the +3 residue in Stat3 have hydrophilic substitutions that may hydrogen bond with the more hydrophilic G-CSF ligand.
v-Src residues directly interacting with ligand and corresponding putative residues involved in Stat3 binding of the G-CSF receptor. v-Src residues which directly interact with the phosphorylated ligand were determined by observing the crystal structures of v-Src (Brookhaven accession codes 1SHA and 1SHB, with ligands pTyr-Val-Pro-Met and pTyr-Leu-Arg-Val, respectively) usingO59 with a 3.5 Å cut-off. The residues interacting with the central ligand are in white typeface in gray boxes, and the +3 residue of the ligand is shown in gray. The corresponding residues in the Stat3 model are shown in black typeface in white boxes, and the +3 residue is shown in black. Of note, the Stat3 residues proposed to interact with the phosphotyrosine are conserved or homologous to those in v-Src, but those defining the binding pocket for the +3 residue in Stat3 have hydrophilic substitutions that may hydrogen bond with the more hydrophilic G-CSF ligand.
ACKNOWLEDGMENT
We thank Judith E. Layton and members of her laboratory, especially Sandra E. Nicholson, for providing the M1 cell clones.
Supported in part by National Institutes of Health Grant No. CA 72261.
The publication costs of this article were defrayed in part by page charge payment. This article must therefore be hereby marked “advertisement” in accordance with 18 U.S.C. section 1734 solely to indicate this fact.
REFERENCES
Author notes
Address reprint requests to David J. Tweardy, MD, Division of Infectious Diseases, University of Pittsburgh Medical Center, Suite 501, Kaufmann Bldg, 200 Lothrop St, Pittsburgh, PA 15213; e-mail:tweardy+@pitt.edu.















