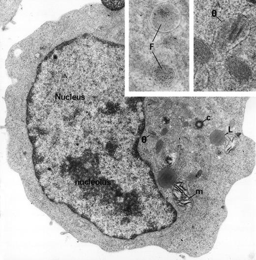
Early erythroblastic leukemia. This leukemic blast cell displays typical ultrastructure. The nucleus contains mainly euchromatin and prominent nucleolus structures. Characteristic granules called θ granules (θ) because they resemble the greek letter theta and ferritin containing granules (F) are present in the juxta-nuclear region near the centriole (c). Large size mitochondria (m) and lipid inclusions (L) are frequent (original magnification ×18,000). (Inset) High magnification of the characteristic granule ultrastructure. Ferritin molecules are identified in the granules by their density and shape (F). θ granules exhibit complex internal structures (original magnification ×54,600). (Courtesy of Elisabeth M. Cramer, MD, PhD, INSERM U. 474, Hopital Henri Mondor, 51 av. du Marechal de Lattre-de-Tassigny, Creteil 94010, France.)
Early erythroblastic leukemia. This leukemic blast cell displays typical ultrastructure. The nucleus contains mainly euchromatin and prominent nucleolus structures. Characteristic granules called θ granules (θ) because they resemble the greek letter theta and ferritin containing granules (F) are present in the juxta-nuclear region near the centriole (c). Large size mitochondria (m) and lipid inclusions (L) are frequent (original magnification ×18,000). (Inset) High magnification of the characteristic granule ultrastructure. Ferritin molecules are identified in the granules by their density and shape (F). θ granules exhibit complex internal structures (original magnification ×54,600). (Courtesy of Elisabeth M. Cramer, MD, PhD, INSERM U. 474, Hopital Henri Mondor, 51 av. du Marechal de Lattre-de-Tassigny, Creteil 94010, France.)
