Abstract
Multimerin is a massive, soluble, homomultimeric, factor V-binding protein found in platelet -granules and in vascular endothelium. Unlike platelets, endothelial cells contain multimerin within granules that lack the secretory granule membrane protein P-selectin, and in culture, they constitutively secrete most of their synthesized multimerin. To further evaluate multimerin’s posttranslational processing and storage, we expressed human endothelial cell prepromultimerin in a variety of cell lines, with and without pathways for regulated secretion. The recombinant multimerin produced by these different cells showed variations in its glycosylation, proteolytic processing, and multimer profile, and human embryonic kidney 293 cells recapitulated multimerin’s normal processing for constitutive secretion by human endothelial cells. When multimerin was expressed in a neuroendocrine cell line capable of regulated protein secretion, it was efficiently targeted for regulated secretion. However, the multimerin stored in these cells was proteolyzed more extensively than normally occurs in platelets, suggesting that endoproteases similar to those expressed by megakaryocytes are required to produce platelet-type multimerin. The impact of the tissue-specific differences in multimerin’s posttranslational processing on its functions is not yet known. Multimerin’s sorting and targeting for regulated secretion may be important for its functions and its association with factor V in secretion granules.
MULTIMERIN IS A massive, soluble protein found in platelets, megakaryocytes, vascular endothelium, and the fibrillary extracellular matrix of cultured endothelium.1-4Like von Willebrand factor (vWF), multimerin is one of the largest platelet and endothelial cell proteins, and it is composed of variably sized, disulfide-linked homomultimers.4-6 However, unlike vWF, multimerin is not detectable in normal plasma.1,5Studies of multimerin’s functions indicate it is the major platelet binding protein for coagulation factor V.3 Because the biologically active stores of coagulation factor V in platelets are stored within α-granules as a complex with multimerin,3multimerin could be important for regulating the factor V stored in platelets. Furthermore, multimerin’s unusual structure and similarity to adhesive and extracellular matrix proteins, its normal sequestration in resting platelets and vascular endothelium, and its associations with activated platelets, endothelial cells, and the extracellular matrix suggest that multimerin has roles in supporting platelet and vascular functions at sites of vessel injury.1-7 But studies of multimerin’s functions have been limited by the quantities of multimerin in human platelets and endothelial cells, the procedures required to isolate multimerin from these cells,4,5 8 and the lack of established models for producing recombinant multimerin that resembles the forms normally produced in platelets and endothelial cells.
Multimerin’s large homomultimers are assembled from a novel precursor protein, prepromultimerin, that is expressed in megakaryocytes and vascular endothelium.1,2,4,7 Prepromultimerin contains a signal sequence, multiple N-glycosylation sites, an RGDS site, a central coiled-coil region, epidermal growth factor (EGF)-like and partial EGF-like domains, and a C-terminal region that resembles the globular domain in the extracellular matrix proteins collagens type VIII and X.7 In both platelets and endothelial cells, prepromultimerin undergoes extensive N-glycosylation, proteolytic processing, and multimerization to generate mature multimerin.1,2,4 Although the prepromultimerin transcripts expressed in platelets, megakaryocyte cell lines, and endothelial cells are identical in size, there are differences in multimerin’s posttranslational processing by these cells.1,2,4 When multimerin is synthesized and secreted by phorbol myristate acetate (PMA)-treated Dami cells (a megakaryocyte cell line) and endothelial cells, it contains large amounts of uncleaved promultimerin and proportionally less of the high molecular weight forms found in platelets.2,4 Promultimerin is cleaved to smaller forms in platelets; these forms have been designated by different laboratories as p-155 and p-170, or glycoprotein Ia*, because of similarities in multimerin’s reduced mobility with an unrelated platelet protein, glycoprotein Ia.1,2,4-8 The size of N-deglycosylated platelet multimerin and its cleavage near the RGDS domain suggest that prepromultimerin is cleaved only in its N-terminal region in platelets, to generate a form that contains the RGDS, coiled-coil, EGF-like, and globular domains of prepromultimerin.2,7,8 However, PMA-treated Dami cells and cultured endothelial cells appear to process and proteolyze multimerin differently from platelets, because their multimerin subunits do not comigrate with platelet multimerin, before or after removal of their N-linked carbohydrate.2 4
In platelets and endothelial cells, multimerin is contained within dense core secretion granules, suggesting that multimerin has the property to be targeted for regulated secretion in a variety of cell types.2,4 However, there are unusual features of multimerin’s distribution in platelets and endothelial cells. Unlike most soluble proteins stored in platelet α-granules, multimerin is stored with vWF and coagulation factor V in the eccentric, electron-lucent zone.2,3,9-11 Multimerin’s storage in α-granules is not altered by severe vWF deficiency, indicating that it is sorted to the electron-lucent zone independently of vWF.9 In human vascular endothelial cells, multimerin and vWF are primarily sorted to different dense core granules, although trace amounts of multimerin are present in some vWF/P-selectin–containing Weibel-Palade bodies.4 Because the internal granule membrane protein P-selectin12-17 sorts to several types of secretion granules when expressed in heterologous cells,18 its undetectable levels in the multimerin granules within endothelial cells suggest that P-selectin and multimerin are sorted differently by secretory pathways.4
Multimerin’s variant processing and storage by platelets and endothelial cells, its undetectable levels in normal plasma, and its putative role as an intragranular factor V carrier protein led us to investigate the processing and sorting of human prepromultimerin using heterologous cells. Our objectives were to determine if multimerin contained information to signal its sorting into the regulated secretory pathway, to evaluate the effects of constitutive and regulated secretory pathways on its processing, and to determine if heterologous cells could model multimerin’s normal production by human platelets and endothelial cells.
MATERIALS AND METHODS
Cell preparation and culture.
Human platelets and endothelial cells were isolated as described.2-6 Human embryonic kidney (HEK) 293 cells (gift from Dr F. Graham, McMaster University, Hamilton, Ontario, Canada) and the Chinese hamster ovary cell line CHO (American Type Culture Collection [ATCC], Manassas, VA) were cultured in Minimum Essential Medium alpha Medium (α-MEM; GIBCO/BRL, Burlington, Ontario, Canada) supplemented with 10% fetal bovine serum (FBS), 10 mmol/L HEPES, 100 U/mL penicillin G, and 100 μg/mL streptomycin. The monkey kidney cell line COS-1 and the mouse pituitary tumor cell line AtT 20/D16V-F2 (ATCC) were cultured in Dulbecco’s modified Eagle’s medium (D-MEM; GIBCO/BRL) supplemented with 10 mmol/L HEPES, 0.12% sodium bicarbonate, 10% FBS, 100 U/mL penicillin G, and 100 μg/mL streptomycin.
Generation of the multimerin construct and cell transfections.
To obtain a full-length cDNA sequence encoding human prepromultimerin,7 a fragment spanning the internalEcoRI site was reverse transcribed from endothelial cell RNA using Superscript II (GIBCO/BRL) and the primer 5′-GAGCAGATGTGCAAGCAAAGAT-3′ for bp 3815 to 3836 in the 3′ untranslated prepromultimerin cDNA. The region between 1834 and 3805 of the prepromultimerin cDNA was then amplified by 30 cycles of the polymerase chain reaction (PCR) using pfu DNA polymerase (GIBCO/BRL), the forward primer (bp 1834-1856) 5′AUGGAGAUCUCUTCAGAGGTGAATGTGAAGACATG-3′, and the reverse primer (bp 3783-3805) 5′-ACGCGUACUAGUCACTGGCTGTTTCTCAATAAAGG-3′. The resulting PCR product was subcloned into pAMP19 (GIBCO/BRL), and double-stranded sequencing indicated that the insert’s coding region corresponded to the published 3′ prepromultimerin sequence.7 This 3′ region of prepromultimerin was excised as an NcoI-Kpn I fragment and subcloned into Nco I-KpnI–cut pGEM7Zf that contained the complete 5′ region from the prepromultimerin cDNA clone 17.7 The resulting prepromultimerin construct, containing the complete coding sequence, was excised as an Xho I-Kpn I fragment and subcloned into the expression vector pCMV5 (gift from Dr M. Stinski, University of Iowa, Iowa City, IA), and the correct composition and orientation of the construct pCMV5-multimerin was verified by partial sequencing and restriction mapping.7 The empty pCMV5 vector was used for control, mock transfections.
For transient and stable transfection studies, cells were transfected using lipofectamine (GIBCO/BRL) according to the supplier’s recommendations. Briefly, cells were grown to 50% to 80% confluence in 35-mm wells and transfected using 2 μg of DNA/well and conditions determined to be optimal for control transfections using lipofectamine and the vector pGreen Lantern-1 (GIBCO/BRL; percentage of cells transfected evaluated by immunostaining4). To generate stably transfected cell lines expressing multimerin, AtT 20 and HEK 293 cells were cotransfected using lipofectamine, 2 μg of pCMV5-multimerin, and 0.2 μg of the neomycin resistance vector pSV2neo/35-mm well. Forty-eight hours posttransfection, cells were subcultured using media containing 0.5 mg/mL active G418. Neomycin-resistant clones were selected, cloned by limiting dilution, and evaluated for multimerin production using an enzyme-linked immunosorbent assay (ELISA).19
Metabolic labeling.
Metabolic labeling studies2,4 were performed using methionine-free D-MEM media supplemented with35S-methionine (Mandel Scientific Co Ltd, Guelph, Ontario, Canada; 0.5 mCi/mL for 30-minute pulse labeling studies of HEK 293, COS-1, and AtT 20 cells; 0.1 mCi/mL for other studies), 10% dialyzed FBS (HEK 293 and COS-1 cells), and 10% to 20% complete D-MEM. For transient expression studies, cells were incubated with labeling media 44 to 52 hours posttransfection. To study multimerin secretion from stably transfected AtT 20 cells, cells were plated at 40% confluence and cultured overnight before labeling in media with 20% D-MEM. After 28 hours of continuous labeling, cells were washed and chased consecutively for 12 hours and 1 hour in complete and then serum-free media to allow secretion of all of the radiolabeled multimerin destined for constitutive release. Postchase, cells were incubated with serum free media, with or without the secretagogue 10 mmol/L 8-Br-cAMP (Sigma Chemical Co, St Louis, MO) for 60 minutes, followed by radioimmunoprecipitation analyses of the multimerin in the media and cell lysate fractions. Radiolabeled multimerin was prepared from passage 1 human umbilical vein endothelial cells and 125I labeled platelets as previously described.4 5
Preparation of cell lysates and culture media.
Cell lysates (1% Triton X-100) and culture media were collected into protease inhibitors as described4-6 or into buffer containing 4.0 mmol/L pefabloc, 0.3 μmol/L aprotinin, 100 μg/mL soybean trypsin inhibitor, 28 μmol/L E64, 1 μmol/L leupeptin, 5 mmol/L N-ethyl-maleimide, 1 μmol/L pepstatin, 100 μmol/L phenanthroline, and 10 to 20 mmol/L EDTA. All buffers contained EDTA, which effectively prevented multimerin degradation by calcium-dependent proteases. The multimerin prepared by these different procedures had an identical mobility on nonreduced and reduced gels. For quantitative analyses, samples were harvested on day 3 from T25 flasks that were 80% to 100% confluent. To evaluate regulated secretion, transfected AtT 20 cells were grown in 6-well plates for 2 days until 95% confluent and then incubated in 0.5 mL of serum-free media with or without 10 mmol/L 8-Br-cAMP for 60 minutes.
Glycoprotein analyses.
The multimerin content of cell lysates and culture media were evaluated (triplicate studies) using an ELISA and a pooled platelet lysate standard (1 milliunit of multimerin was defined as the amount in 106 platelets).19 For studies of regulated secretion, the quantities of multimerin secreted were expressed as a percentage of the total cell lysate multimerin antigen content, and a 1-tail t-test was used to determine if significantly more multimerin antigen was released when the cells were stimulated with secretagogue.
Immunoblotting and radioimmunoprecipitation analyses were performed as described.2,4 Briefly, the multimerin in equivalent volumes of culture media and cell lysates (10% to 30% of T25 flask contents) was affinity-purified using monoclonal antimultimerin (JS-1) capture beads, followed by analyses using reduced 4% to 8% sodium dodecyl sulfate-polyacrylamide gel electrophoresis (SDS-PAGE) or nonreduced 1.25% agarose/1% acrylamide gels6 and autoradiography or immunoblotting with polyclonal antimultimerin.4,5 To characterize N-linked carbohydrate, radioimmunoprecipitates were treated with N-glycanase F, endoglycosidase H, or control buffer, as previously described.2 For some studies, affinity-purified recombinant multimerin was treated with sample buffer containing 0, 0.01, 0.2, 0.5, 1.0, 2.0, 5.0, 10, 25, or 100 mmol/L dithiothreitol (DTT),6 followed by analyses using 3% to 8% SDS-PAGE and immunoblotting with polyclonal antimultimerin.
Immunofluorescent and immunoelectron microscopy.
Cells prepared for immunofluorescent antibody labeling were cultured onto poly-D-lysine–coated glass coverslips. Proteins were visualized using fluorescein isothiocyanate-conjugated or Texas-Red–conjugated secondary antibodies and standard immunofluorescent microscopy or confocal optical sectioning as previously described.4 The primary antibodies used to label the cells included monoclonal (JS-1; 10 μg/mL)5 and polyclonal (1/200 dilution) antimultimerin5 and rabbit polyclonal anti-ACTH (1/50 dilution; Cedarlane Laboratories Ltd, Hornby, Ontario, Canada). Negative controls included cells labeled with normal mouse IgG and normal rabbit IgG or without primary antibodies. The intracellular distribution of multimerin and ACTH in control and multimerin-transfected AtT-20 cells was investigated using electron microscopy (EM), previously described methods for single and double immunolabeling, and secondary antibodies conjugated with 10- and 15-nm immunogold.4,20,21 For double-labeled EM preparations, thin sections were labeled with polyclonal rabbit antimultimerin (1/200 dilution)5 before labeling the opposite sides of the sections with antibodies to ACTH (1/30 dilution).4 To exclude false-positive immunolabeling, the negative controls included mock-transfected AtT 20 cells and, for the double-labeled preparations, sections labeled without one of the primary antibodies.4
RESULTS
Intracellular distribution of multimerin in transfected heterologous cells.
Immunofluorescent microscopy studies indicated that there was no detectable multimerin staining in control or mock-transfected HEK 293, COS-1, or AtT 20 cells (Fig 1). When multimerin was expressed in cell lines lacking regulated secretory pathways (HEK 293 and COS-1 cells [Fig 1]; CHO cells [not shown]), it was found throughout the cytoplasm, in a fine reticular distribution, but no granules were evident (Fig 1). In contrast, within transiently and stably transfected AtT 20 cells, multimerin was localized in small granules, abundant at the distal cell tips (Figs 1and 2; data representative of 12 of 12 clones), that were similar in size and distribution to the secretion granules containing ACTH (Figs 3 and4), but smaller than the multimerin granules in endothelial cells (Fig 2).
The distribution of multimerin in transfected HEK 293, COS-1, and AtT 20 cells immunolabeled with polyclonal antimultimerin. Images acquired by standard immunofluorescent microscopy (left and middle panels) and confocal optical sectioning (right panels) are shown. Multimerin was not detected in control cells transfected with the empty vector (panels labeled control). In HEK 293 and COS-1 cells transiently transfected with the multimerin cDNA (panels labeled multimerin), recombinant multimerin was distributed throughout the cytoplasm, without evidence of granule formation. In AtT 20 cells transiently (standard immunofluorescent microscope image) and stably (confocal optical section image) transfected with the multimerin vector, multimerin was predominantly located in small granule-like structures that were most abundant at the distal cell tips (arrowheads; N indicate cell nuclei).
The distribution of multimerin in transfected HEK 293, COS-1, and AtT 20 cells immunolabeled with polyclonal antimultimerin. Images acquired by standard immunofluorescent microscopy (left and middle panels) and confocal optical sectioning (right panels) are shown. Multimerin was not detected in control cells transfected with the empty vector (panels labeled control). In HEK 293 and COS-1 cells transiently transfected with the multimerin cDNA (panels labeled multimerin), recombinant multimerin was distributed throughout the cytoplasm, without evidence of granule formation. In AtT 20 cells transiently (standard immunofluorescent microscope image) and stably (confocal optical section image) transfected with the multimerin vector, multimerin was predominantly located in small granule-like structures that were most abundant at the distal cell tips (arrowheads; N indicate cell nuclei).
Confocal microscopy images (250-nm optical sections) of human umbilical vein endothelial cells (HUVEC) and quiescent and secretagogue-treated (+) AtT 20 cells. Cells were immunolabeled with monoclonal antimultimerin after transfection with the empty vector (control) or the multimerin expression vector. The upper panels show images taken at a higher magnification. Multimerin was identified in small granule-like structures (permeabilized cells) that were concentrated at the cell tips of stably transfected AtT 20 cells (arrows). Twenty minutes after stimulation with 10 mmol/L 8-Br-cAMP, transfected AtT 20 cells showed intense multimerin labeling in release patches (arrowheads) around the cells that were not evident in control cells, and this redistribution was associated with reduced multimerin granule labeling at the cell tips (permeabilized cells).
Confocal microscopy images (250-nm optical sections) of human umbilical vein endothelial cells (HUVEC) and quiescent and secretagogue-treated (+) AtT 20 cells. Cells were immunolabeled with monoclonal antimultimerin after transfection with the empty vector (control) or the multimerin expression vector. The upper panels show images taken at a higher magnification. Multimerin was identified in small granule-like structures (permeabilized cells) that were concentrated at the cell tips of stably transfected AtT 20 cells (arrows). Twenty minutes after stimulation with 10 mmol/L 8-Br-cAMP, transfected AtT 20 cells showed intense multimerin labeling in release patches (arrowheads) around the cells that were not evident in control cells, and this redistribution was associated with reduced multimerin granule labeling at the cell tips (permeabilized cells).
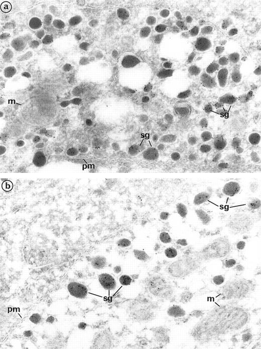
Electron micrographs of multimerin-transfected AtT 20 cells, immunogold labeled with antibodies to ACTH (a) or multimerin (b). (a) Cells labeled with immunogold for ACTH contained gold particles within their secretion granules (sg), and the plasma membrane (pm) and mitochondria (m) were not labeled (original magnification × 60,000). (b) Cells labeled with immunogold for multimerin contained multimerin in secretion granules (sg). The mitochondria (m), as a control structure, and the plasma membrane (pm) displayed no labeling for multimerin (original magnification × 60,000).
Electron micrographs of multimerin-transfected AtT 20 cells, immunogold labeled with antibodies to ACTH (a) or multimerin (b). (a) Cells labeled with immunogold for ACTH contained gold particles within their secretion granules (sg), and the plasma membrane (pm) and mitochondria (m) were not labeled (original magnification × 60,000). (b) Cells labeled with immunogold for multimerin contained multimerin in secretion granules (sg). The mitochondria (m), as a control structure, and the plasma membrane (pm) displayed no labeling for multimerin (original magnification × 60,000).
Electron micrographs of multimerin-transfected AtT 20 cells, double-labeled for multimerin (10-nm gold) and ACTH (15-nm gold). Some granules contained only multimerin (sg2), whereas others contained both ACTH and multimerin (sg1, and inset; original magnifications: main panel, ×60,000; inset, ×120,000).
Electron micrographs of multimerin-transfected AtT 20 cells, double-labeled for multimerin (10-nm gold) and ACTH (15-nm gold). Some granules contained only multimerin (sg2), whereas others contained both ACTH and multimerin (sg1, and inset; original magnifications: main panel, ×60,000; inset, ×120,000).
To determine if the structures containing multimerin in AtT 20 cells had morphologic features of secretion granules, immunoelectron microscopy was performed. No significant multimerin labeling was observed with control AtT 20 cells. In AtT 20 cells stably transfected with the multimerin cDNA, there was abundant multimerin immunolabel within dense core secretion granules that resembled the ACTH storage granules (Fig 3). In multimerin-transfected AtT 20 cells that were double-labeled (Fig 4), there was colocalization of multimerin and ACTH in ≥50% of the dense core secretion granules that contained label for these proteins, suggesting that they were similarly, but independently, sorted to the secretion granules of AtT 20 cells. By electron microscopy, the multimerin secretion granules in AtT 20 cells were approximately two thirds the size of the multimerin granules in endothelial cells (not shown), but they were the same size as the ACTH-containing granules in AtT 20 cells.
Stably, multimerin-transfected AtT 20 cells were studied to determine if they released multimerin when treated with 8-Br-cAMP, a secretagogue that induces regulated secretion from AtT 20 cells.22 The cell lysates and culture media from control and mock-transfected AtT 20 cells had undetectable multimerin in the ELISA. By 60 minutes after treatment with 10 mmol/L 8-Br-cAMP, multimerin-transfected AtT 20 cells released 8.9% of their cell lysate multimerin antigen (mean of 3 experiments; range, 8.1% to 10.4%), which was significantly greater (P = .015) than the 2.4% released by quiescent cells (mean of 3 experiments; range, 2.0% to 2.8%). Furthermore, nonpermeabilized AtT 20 cells evaluated at 5 minutes (not shown) or 20 minutes after stimulation with 10 mmol/L 8-Br-cAMP (Fig 2) showed intense labeling for multimerin in release patches (Fig 2, arrowheads) on the external surfaces and cell perimeters that were not evident on quiescent cells (Fig 2). Secretagogue treatment was also associated with reduced multimerin labeling of granules at the distal cell tips of stimulated cells (Fig 2, permeabilized cells) and similar reduced, but not absent, granule staining for ACTH at the cell tips (not shown). The multimerin release patches on secretagogue-treated cells were much less apparent by 60 to 90 minutes (not shown) when there was measurable stimulus-induced release of multimerin into the culture media.
Processing of recombinant multimerin in heterologous cells, with and without pathways for regulated secretion.
The cell lysates and culture media of the control and mock-transfected cell lines did not contain detectable multimerin when evaluated by ELISA, immunoblot (Fig 5), or radioimmunoprecipitation assays (Fig 6A; control AtT 20 cells). Small amounts of multimerin antigen (2 to 7 mU/T25 flask) were detected in the cell lysates of transiently transfected CHO, COS-1, and HEK 293 cells, but most was found in their culture media, consistent with its constitutive secretion (mU/T25 flask culture media/3 days: 19 mU for CHO cells, 75 to 95 mU for COS-1 cells, and 165 to 250 mU for HEK 293 cells). Comparisons of multimerin’s production and processing by AtT 20 cells and HEK 293 cells were performed using stably transfected cells, because less than 1% of AtT 20 cells were successfully transfected by the vectors encoding multimerin or the green fluorescent protein in transient expression studies. The amounts of multimerin constitutively secreted by the stably transfected clones ranged from 650 to 1,800 mU/T25 flask/3 days for the HEK 293 cells to 400 to 1,315 mU/T25 flask/3 days for the AtT 20 cells. Stably transfected AtT 20 cells contained much more multimerin in their cell lysates (490 to 640 mU/T25 flask) than stably transfected HEK 293 cells (22 mU/T25 flask), suggesting that regulated secretory pathways allowed multimerin to be retained within AtT 20 cells.
Western blot comparing platelet (Plt) and endothelial cell (EC) multimerin with recombinant multimerin synthesized by COS-1, HEK 293, and AtT 20 cells. Transient transfection experiments are shown in (A), and studies using stably transfected cells are shown in (B). Cell lysates and culture media from cells transfected with the empty vector (v) or the multimerin expression vector (m) were analyzed using 4% to 8%, reduced SDS-PAGE. Recently synthesized promultimerin (proM), fully glycosylated promultimerin (proM*), and the platelet multimerin subunits p-155 and p-170 are indicated.
Western blot comparing platelet (Plt) and endothelial cell (EC) multimerin with recombinant multimerin synthesized by COS-1, HEK 293, and AtT 20 cells. Transient transfection experiments are shown in (A), and studies using stably transfected cells are shown in (B). Cell lysates and culture media from cells transfected with the empty vector (v) or the multimerin expression vector (m) were analyzed using 4% to 8%, reduced SDS-PAGE. Recently synthesized promultimerin (proM), fully glycosylated promultimerin (proM*), and the platelet multimerin subunits p-155 and p-170 are indicated.
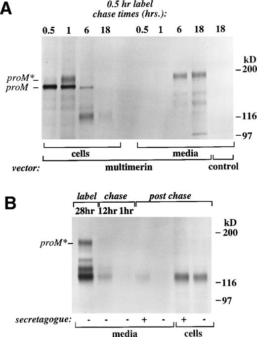
Pulse-chase metabolic labeling studies of recombinant multimerin biosynthesis by AtT 20 cells. Radioimmunoprecipitates from a 30-minute pulse-labeling study (A; chase times indicated) and a 28-hour continuous labeling study (B) were analyzed using 4% to 8% reduced SDS-PAGE. In (B), labeled cells were consecutively chased for 12 hours and 1 hour in cold media before 60 minutes of incubation (postchase) with (+) or without (−) the secretagogue 10 mmol/L 8-Br-cAMP. (A) Multimerin was first synthesized as promultimerin (proM, Mr160 kD), which migrated with a higher apparent molecular mass (proM*; A) after additional processing of its N-linked carbohydrate. Multimerin was constitutively secreted as proM* and smaller proteolyzed subunits. (B) Proteolyzed multimerin, with a Mr of 122 kD (reduced), persisted in the cell lysate after there was no further constitutive secretion of radiolabeled multimerin during the chase and postchase periods and it was secreted into the postchase medium only when the cells were incubated with secretagogue.
Pulse-chase metabolic labeling studies of recombinant multimerin biosynthesis by AtT 20 cells. Radioimmunoprecipitates from a 30-minute pulse-labeling study (A; chase times indicated) and a 28-hour continuous labeling study (B) were analyzed using 4% to 8% reduced SDS-PAGE. In (B), labeled cells were consecutively chased for 12 hours and 1 hour in cold media before 60 minutes of incubation (postchase) with (+) or without (−) the secretagogue 10 mmol/L 8-Br-cAMP. (A) Multimerin was first synthesized as promultimerin (proM, Mr160 kD), which migrated with a higher apparent molecular mass (proM*; A) after additional processing of its N-linked carbohydrate. Multimerin was constitutively secreted as proM* and smaller proteolyzed subunits. (B) Proteolyzed multimerin, with a Mr of 122 kD (reduced), persisted in the cell lysate after there was no further constitutive secretion of radiolabeled multimerin during the chase and postchase periods and it was secreted into the postchase medium only when the cells were incubated with secretagogue.
The predominant form of multimerin in the cell lysates of transfected COS-1 (Fig 5), HEK 293 (Fig 5; stable and transient transfection studies), and CHO cells (not shown) was recently synthesized promultimerin (proM) that had not yet undergone full N-glycosylation. Prolonged exposures (not shown) of these immunoblots confirmed that only trace quantities of mature, fully glycosylated multimerin (proM*) were contained in the lysates of HEK 293 and COS-1 cells, consistent with their lack of regulated secretory pathways. Pulse-chase labeling experiments (not shown) indicated that multimerin biosynthesis by transfected HEK 293 cells and COS-1 modeled multimerin’s processing for constitutive secretion by human endothelial cells,4because these cells constitutively secreted fully glycosylated promultimerin (proM*) and smaller proteolyzed subunits but did not retain mature multimerin. Although the multimerin subunits secreted by COS-1 cells were smaller than those secreted by HEK 293 cells and human endothelial cells (Fig 5A), their similar mobility after treatment with N-glycanase F (not shown) indicated that these differences were due to less extensive N-glycosylation of multimerin by COS-1 cells.
The processing of recombinant multimerin by AtT 20 cells was different from the other cell lines. Transfected AtT 20 cells synthesized and constitutively secreted multimerin that had subunits ranging in size from 185 to 122 kD (Figs 5 and 6; Mr based on reduced 4% to 8% SDS-PAGE). AtT 20 cell lysates mainly contained a 122-kD multimerin subunit (smaller than the multimerin subunits produced in platelets, endothelial cells, and the other cell lines) that comigrated with the smallest form constitutively secreted by AtT 20 cells (Figs 5and 6). Pulse-chase metabolic labeling studies (Fig 6) indicated that AtT 20 cells first synthesized multimerin as its precursor promultimerin (Fig 6, proM; 160 kD on 4% to 8% SDS-PAGE), which subsequently migrated with a larger apparent molecular mass (proM*, Fig6) due to further processing of its N-linked carbohydrate. Multimerin was subsequently proteolyzed and constitutively secreted from AtT 20 cells as radiolabeled subunits that ranged in size from 122 to 185 kD (Fig 6A). The form of multimerin retained within AtT 20 cells after prolonged chases in cold media was the more extensively proteolyzed 122-kD subunit, indicating that there was more complete proteolytic processing of the retained, compared with constitutively secreted, multimerin by these cells (Fig 6B). Postchase, AtT 20 cells released radiolabeled multimerin (Mr 122 kD, reduced) into the culture media when incubated for 60 minutes with media containing 8-Br-cAMP, but not when they were incubated in media without secretagogue, confirming that multimerin was processed for regulated secretion in AtT 20 cells (Fig 6B; data representative of 2 of 2 experiments).
Comparisons of multimerin’s subunit size after treatment with buffer, N-glycanase F, or endoglycosidase H indicated that the multimerin stored and secreted from AtT 20 cells contained mainly complex forms of N-linked carbohydrate (Fig 7). As previously reported, mature platelet (Fig 7) and endothelial cell multimerin (not shown) were sensitive to N-glycanase F and resistant to endoglycosidase H, indicating that they contained only complex forms of N-linked carbohydrate.2 4 The recombinant multimerin secreted by COS-1 and 293 cells was similarly endoglycosidase H resistant (not shown). However, the multimerin stored and secreted by AtT 20 cells contained small amounts of endoglycosidase H-sensitive N-linked carbohydrate (Fig 7; data representative of 2 of 2 experiments), indicating that there was incomplete conversion of multimerin’s N-linked carbohydrate to complex forms when it was synthesized in AtT 20 cells. After N-linked carbohydrates were removed using N-glycanase F, 2 of the multimerin subunits constitutively secreted from AtT-20 cells comigrated with the platelet multimerin subunits p-155 and p-170, but AtT 20 cells also constitutively secreted multimerin subunits that were larger and smaller than platelet p-155 and p-170, before and after N-deglycosylation (Fig 7). Because AtT 20 cell lysates contained a 122-kD subunit smaller than platelet p-155 and p-170 after N-deglycosylation and smaller amounts of a subunit that comigrated with platelet p-155 after N-deglycosylation (Fig 7), these data confirmed that there was more extensive proteolytic processing of multimerin when it was stored in AtT 20 cells compared with platelets. In vitro proteolysis was not observed when affinity-purified platelet multimerin was incubated overnight with undiluted culture media from control and secretagogue-treated nontransfected AtT 20 cells (not shown). These findings, and the less complete proteolysis of constitutively secreted multimerin, suggested that intracellular endoproteases were responsible for producing the smaller subunits stored in AtT 20 cells.
Comparisons of N-linked carbohydrate on platelet (plt) and AtT 20 cell-derived multimerin. Cells were labeled for 28 hours as in Fig 6B; their multimerin radioimmunoprecipitates were treated with buffer, N-glycosidase F (endo-F), or endoglycosidase H (endo-H) and then separated using reduced 4% to 8% SDS-PAGE (lane L, multimerin constitutively secreted during the labeling; lane C, multimerin remaining in the cell lysate postchase; lane S, longer exposure showing the multimerin secreted postchase in response to 8-Br-cAMP). The125I-labeled platelet multimerin subunits p-155 (arrows) and p-170 (arrowheads) are indicated. The coprecipitated, 83-kD platelet protein, which was resistant to N-glycosidase F and N-glycosidase H, was not observed in all studies. The multimerin stored in AtT 20 cells was more extensively proteolyzed than constitutively secreted multimerin. Two of the multimerin subunits constitutively secreted by AtT 20 cells (lanes L) comigrated with p-155 and p-170 after their N-linked carbohydrates were removed with N-glycanase F. The major form of multimerin stored in AtT 20 cells (lanes C) was a proteolytic product smaller than platelet multimerin, although AtT 20 cells also stored a subunit that comigrated with p-155 after N-glycosidase F treatment. Endoglycosidase H-sensitive carbohydrate was detected on the mature multimerin stored and secreted from AtT 20 cells, but not on platelet multimerin.
Comparisons of N-linked carbohydrate on platelet (plt) and AtT 20 cell-derived multimerin. Cells were labeled for 28 hours as in Fig 6B; their multimerin radioimmunoprecipitates were treated with buffer, N-glycosidase F (endo-F), or endoglycosidase H (endo-H) and then separated using reduced 4% to 8% SDS-PAGE (lane L, multimerin constitutively secreted during the labeling; lane C, multimerin remaining in the cell lysate postchase; lane S, longer exposure showing the multimerin secreted postchase in response to 8-Br-cAMP). The125I-labeled platelet multimerin subunits p-155 (arrows) and p-170 (arrowheads) are indicated. The coprecipitated, 83-kD platelet protein, which was resistant to N-glycosidase F and N-glycosidase H, was not observed in all studies. The multimerin stored in AtT 20 cells was more extensively proteolyzed than constitutively secreted multimerin. Two of the multimerin subunits constitutively secreted by AtT 20 cells (lanes L) comigrated with p-155 and p-170 after their N-linked carbohydrates were removed with N-glycanase F. The major form of multimerin stored in AtT 20 cells (lanes C) was a proteolytic product smaller than platelet multimerin, although AtT 20 cells also stored a subunit that comigrated with p-155 after N-glycosidase F treatment. Endoglycosidase H-sensitive carbohydrate was detected on the mature multimerin stored and secreted from AtT 20 cells, but not on platelet multimerin.
Multimer analyses indicated that transfected AtT 20 cells constitutively secreted variably sized multimerin multimers (Fig 8, left panel) that were similar to the multimers constitutively released by the other cell lines (not shown) and by cultured endothelial cells.4 Like platelet multimerin, the multimerin stored in transfected AtT 20 cells was resolved into discrete bands on multimer gels (Fig 8, left panel), likely due to its extensive and fairly uniform proteolytic processing. However, the multimerin radioimmunoprecipitates prepared from transfected AtT 20 cells and their culture media contained proportionally less high molecular weight multimerin than platelets (Fig 8, left panel), and identical findings were observed when similar amounts of multimerin antigen from AtT 20 cells and platelets were analyzed by immunoblotting (not shown). AtT 20 cells contained disulfide-linked multimerin multimers that were larger than intermediary forms generated by partial reduction (Fig 8, right panel), indicating that, like platelets,6 AtT 20 cells produced multimerin that was organized into trimers and larger multimers. AtT 20 cells contained small amounts of recently synthesized, promultimerin (Fig 8; proM, nonreduced lane) that had not yet multimerized in addition to larger quantities of recently synthesized promultimerin that had already been incorporated into multimers. Fully glycosylated, promultimerin (proM*) subunits and the smaller, mature proteolyzed multimerin subunits were only detected within multimers (Fig 8, right panel), indicating that multimerization occurred in these cells early, before promultimerin’s N-linked carbohydrates were processed to complex forms and before promultimerin was proteolyzed to smaller forms.
The multimeric composition of multimerin synthesized by AtT 20 cells. The left panel shows multimerin radioimmunoprecipitates from platelets and AtT 20 cells (fractions as in Figs 6B and 7) analyzed using nonreduced agarose/acrylamide gels. The right panel shows a Western blot of cell lysate from AtT 20 cells, analyzed on 3% to 8% SDS-PAGE after treatment with different concentrations of DTT (the multimerin subunits proM and proM*, native multimers, and intermediary forms generated by partial reduction are indicated). Similar to platelet multimerin,6 the multimerin stored and secreted from AtT 20 cells was composed of different sized multimers (left panel). Only small amounts of proM that had not yet multimerized were detected in the cell lysates (right panel).
The multimeric composition of multimerin synthesized by AtT 20 cells. The left panel shows multimerin radioimmunoprecipitates from platelets and AtT 20 cells (fractions as in Figs 6B and 7) analyzed using nonreduced agarose/acrylamide gels. The right panel shows a Western blot of cell lysate from AtT 20 cells, analyzed on 3% to 8% SDS-PAGE after treatment with different concentrations of DTT (the multimerin subunits proM and proM*, native multimers, and intermediary forms generated by partial reduction are indicated). Similar to platelet multimerin,6 the multimerin stored and secreted from AtT 20 cells was composed of different sized multimers (left panel). Only small amounts of proM that had not yet multimerized were detected in the cell lysates (right panel).
DISCUSSION
The proteins sequestered in platelets and endothelial cells are important for changing the functions of these cells at sites of vessel injury. Individuals with α-granule protein deficiency (eg, gray platelet syndrome) and humans and animals with deficient stores of vWF or P-selectin suffer from bleeding and impaired vascular function.11,12,23-28 The mechanisms that regulate protein trafficking, storage, and secretion in platelets and endothelial cells, although important, are only partially understood. The proteins that are known to be stored and secreted by human endothelial cells are endogenously synthesized.4,15-17,29-31 In contrast, platelets direct many different types of proteins into their α-granules, including proteins that are not normally targeted for regulated secretion and proteins that they incorporate from the plasma.10,11 Of the proteins stored by endothelial cells, vWF,32 P-selectin,18,33 and tissue-type plasminogen activator34 have properties that result in their targeting for regulated secretion when they are expressed in cells capable of regulated protein secretion. Our current study indicates that this is also true for multimerin and suggests that multimerin’s presence in platelet α-granules and endothelial cell granules reflects its ability to be sorted by their regulated secretory pathways.
Although our previous studies of multimerin in cultured endothelial cells suggested that multimerin might not be efficiently targeted for regulated secretion,4 multimerin was targeted for regulated secretion in AtT 20 cells with an efficiency similar to that reported for other secretory proteins.35 The much larger quantities of multimerin produced by our transfected AtT 20 cell lines may have facilitated multimerin’s storage, due to a concentration-dependent enhancement of its condensation and sorting for regulated secretion. Because helper proteins, including the granins expressed by neuroendocrine cells, regulate the sorting and proteolytic processing of some stored secretory proteins,36,37 similar factors could exist to regulate multimerin’s processing and storage in different cell types. In endothelial cells4 and AtT 20 cells, multimerin is sorted with a variable degree of overlap to granules that store other endogenously synthesized secretory proteins, and in platelets, multimerin sorts away from the majority of proteins that are stored in the central matrix of α-granules.2,3 9These findings suggest that exclusionary factors such as homoaggregate formation influence multimerin’s sorting for regulated secretion in a variety of cell types.
Variations in posttranslational processing have been implicating in producing the different forms of multimerin made by platelets, Dami cells, and endothelial cells, because these cells express identically sized prepromultimerin transcripts.1,7 Our current study confirms that there are cell-type–dependent variations in multimerin’s glycosylation and proteolytic processing. Given multimerin’s high content of N-linked carbohydrate, it is not surprising that its glycosylation by different cells produces forms that vary in their molecular mass.1,2 4 The human embryonic kidney cell line HEK 293 proved the most useful to recapitulate multimerin’s normal processing by the constitutive secretory pathways of human endothelial cells, and these cells produced recombinant multimerin that was functional in its ability to bind human factor V (unpublished observations). However, none of the cell lines investigated, including AtT 20 cells, produced platelet-like multimerin.
Many secretory proteins, including multimerin, are synthesized as proproteins that are cleaved by proprotein converting endoproteases.35,36 The similar proteolytic processing of multimerin by the constitutive secretory pathways of diverse cells such as COS-1, HEK 293, Dami, and endothelial cells indicates that ubiquitously expressed endoproteases, perhaps enzymes such as furin, cleave multimerin to smaller forms. Because these cells proteolyze multimerin differently from platelets, our findings suggest that a proprotein converting enzyme with a restricted tissue distribution cleaves promultimerin in platelets; however, the proprotein-converting enzymes expressed by megakaryocytes are not yet known. In platelets, promultimerin is cleaved N-terminal to its RGDS domain to generate platelet multimerin.8 The smaller, N-deglycosylated size of the major form of multimerin stored in AtT 20 cells indicates that these cells contain different multimerin-cleaving endoproteases than platelets. We have observed that similar, more extensive proteolysis also occurs when multimerin is synthesized and stored in rat insulinoma RIN-5F cells (unpublished observations). The quantities of multimerin produced by AtT 20 cells did not permit analyses of N-terminal sequences. Because the multimerin stored in AtT 20 cells contained the monoclonal antibody JS-1 epitope, we suspect that endoproteases in AtT 20 cells remove an N-terminal region from promultimerin that includes the RGDS domain, or the C-terminal, globular domain distal to the JS-1 epitope.7 AtT 20 cell are known to express highly restricted endoproteases (such as prohormone convertases 1 and 2) that cleave substrates with dibasic amino acid sequences, although the substrate specificities of these enzymes are only partially understood.36 Prepromultimerin contains a number of potential cleavage sites for these proteases, including a Lys-Lys site at amino acids 340-341, located downstream from the N-terminal site where promultimerin is cleaved in platelets.7 8 The functional significance of multimerin’s aberrant proteolysis by AtT 20 and RIN-5F cells is not yet known, but, because it could alter or remove domains that support multimerin’s functions in platelets, AtT 20 and RIN-5F cells may not be appropriate for evaluating some of multimerin’s functions.
Multimerin’s large size and multivalent structure may facilitate its attachment to activated platelets and endothelial cells and its assembly into fibrillary scaffolds in the extracellular matrix.1,2 4-6 Our current study indicates that multimerin’s interchain disulfide bonds form early during biosynthesis, likely in a pre-Golgi compartment, before its N-linked carbohydrates are converted to complex forms. Because the multimerin produced by the heterologous cells contained proportionally less high molecular weight multimers than platelet multimerin, these cells may lack components that optimize multimer formation in platelets. It is also possible that multimerin’s more extensive proteolysis during storage in AtT 20 cells interferes with the formation or stability of its multimers, despite preserving its organization into trimers and larger multimers.
Platelets contain large amounts of factor V that they store complexed with multimerin,3 but the mechanisms that facilitate factor V storage in platelets are uncertain. The factor V released by activated platelets may enhance factor V’s delivery to sites of tissue injury, because it is sufficient to support hemostasis in individuals with plasma factor V deficiency.38-40 Controversies exist regarding the origins of the factor V stored in platelets and suggest that the high concentrations of factor V in platelets are the result of megakaryocyte synthesis of factor V or factor V’s uptake from the plasma.41-44 Our current and previous studies indicate that multimerin can be stored independently of factor V in platelets,19 endothelial cells,4 and heterologous cells. Multimerin’s ability to bind exogenous factor V indicates that multimerin-factor V complexes could form during or after biosynthesis.3 At least several mechanisms could facilitate factor V’s storage with multimerin in secretion granules. One possibility is that multimerin functions as a carrier protein, destined for regulated secretion, that diverts coexpressed factor V from constitutive into regulated secretory pathways.36,45,46Examples of this type of sorting include the diversion of factor VIII into storage granules when it is coexpressed with its plasma carrier protein vWF.46 Factor V’s similarity to factor VIII47 suggests that it may not be independently targeted for storage in secretion granules. Recent studies indicate that complexes of plasma-derived and megakaryocyte-synthesized proteins can also be incorporated into α-granules.48 Further studies are needed to determine if factor V is stored complexed with multimerin in α-granules due to multimerin’s interactions with megakaryocyte-synthesized and/or plasma-derived factor V. Because multimerin does not circulate in detectable amounts in normal plasma, it likely forms complexes with factor V in megakaryocytes.
Multimerin’s ability to be targeted for regulated secretion in a variety of cells may facilitate its normal storage and sequestration within platelets and vascular endothelium, and this may be important for regulating its functions. Although HEK 293 cells process multimerin similarly to human endothelial cells, the production of platelet-like multimerin appears to require cells that possess pathways for regulated secretion, in addition to megakaryocyte-like proprotein converting endoproteases. Defects in protein storage (such as gray platelet syndrome) may alter multimerin’s delivery to sites of blood vessel injury and change how and where multimerin associates with platelets, endothelial cells, factor V, and the extracellular matrix, with hemostatic consequences.
Supported by grants from the Medical Research Council of Canada (C.P.M.H.), from the Heart and Stroke Foundation of Ontario (C.P.M.H.), and from l’Association pour la Recherche sur le Cancer (ARC) and Fondation pour la Recherche Medicale (FRM; to E.M.C.). C.P.M.H. is a Research Scholar of the Heart and Stroke Foundation of Canada.
The publication costs of this article were defrayed in part by page charge payment. This article must therefore be hereby marked “advertisement” in accordance with 18 U.S.C. section 1734 solely to indicate this fact.
REFERENCES
Author notes
Address reprint requests to Catherine P.M. Hayward, MD, PhD, Room 2N32, McMaster University Medical Centre, Hamilton Health Sciences Corp, 1200 Main St W, Hamilton, Ontario, Canada L8N 3Z5.








 
                
