Abstract
IIbb3 integrin is a heterodimeric receptor facilitating platelet aggregation. Both genes are on chromosome 17q21.32. Intergenic distance between them has been reported to be 125 to 260 kilobasepairs (kb) by pulsed-field gel electrophoresis (PFGE) genomic analysis, suggesting that they may be regulated coordinately during megakaryopoiesis. In contrast, other studies suggest these genes are greater than 2.0 megabasepairs (mb) apart. Because of the potential biological implications of having these two megakaryocytic-specific genes contiguous, we attempted to resolve this discrepancy. Taking advantage of large kindreds with mutations in either IIb or β3, we have developed a genetic linkage map between the thyroid receptor hormone-1 gene (THRA1) and β3 as follows: cen-THRA1-BRCA1-D17S579/IIb-β3-qter, with a distance of 1.3 centiMorgans (cM) between IIb and β3 and the two genes being oriented in the same direction. PFGE genomic and YAC clone analysis showed that the β3 gene is distal and ≥365 kb upstream of IIb. Additional restriction mapping shows IIb is linked to the erythrocyte band 3 (EPB3) gene, and β3 to the homeobox HOX2b gene. Analysis of IIb+-BAC and P1 clones confirm that the EPB3 gene is ∼110 kb downstream of the IIb gene. Sequencing the region surrounding the human IIb locus showed the Granulin gene ∼18 kb downstream to IIb, and the KIAA0553 gene ∼5.7 kb upstream. This organization is conserved in the murine sequence. These studies show that IIb and β3 are not closely linked, with IIb flanked by nonmegakaryocytic genes, and imply that they are unlikely to share common regulatory domains during megakaryopoiesis.
THE αIIbβ3 (glycoprotein IIb/IIIa or CD41) receptor is a megakaryocyte-specific integrin critical for platelet aggregation.1 There are ∼80,000 copies of this heteroduplex per platelet,2 making it the most densely represented protein on the platelet surface. The genes for both αIIb and β3 have been cloned and characterized, and the molecular basis for their high levels of expression in megakaryocytes has begun to be determined.3 Both genes have been localized to chromosome 17q21.32.4,5 PFGE genomic studies have indicated that these two genes are closely linked at a maximum distance between 125 to 260 kilobasepairs (kb),6 7 suggesting that these genes may be regulated coordinately during megakaryopoiesis.
This region of chromosome 17 also contains the breast cancer predisposing gene, BRCA1 and the linked anonymous marker D17S579.8 Sequence tagged site (STS) content mapping of YAC, P1, and cosmid contigs across this region, placed the genetic marker D17S579, the αIIb gene and the erythroid-specific gene EPB3 in close proximity with each other spanning a range of only 100 to 200 kb.9,10 Multicolor FISH mapping of several genes and markers in this region established a physical map with the following order: cen-EPB3-D17S579(mfd188)-WNT3-HOX2-β3-qter.11Because αIIb is very proximal to the D17S579/EPB3 loci and given the low resolution of FISH mapping, this suggests that there may be at least two genes separating αIIb from its integrin partner β3. D17S579 was also used in the construction of a radiation hybrid map of the BRCA1 region.12 This map also places αIIb, EPB3, and D17S579 as a tightly linked group that could not be ordered because no obligate breaks occurred between them. Conversely, β3 was mapped at a distance of over 42 centiRad(cR) 8000 units from the D17S579/αllb/EPB3 locus, and proximal to the marker for the gastric inhibitory polypeptide gene (GIP). With a conversion ratio of 50 kb/cR(8000) units, this places αIIb distal and centromeric to β3 by more than 2.1 megabasepairs (mb). Anderson et al,13 using genetic linkage analysis, also placed the β3 gene proximal to the GIP gene and the Homeobox (HOX) gene cluster at a genetic distance of at least 1.0 cM telomeric to the D17S579/αllb/EPB3 locus. This region of chromosome 17, also shows high syntenic homology in mice, and in fact, GIP, HOX, and β3 are similarly clustered, within a region distal and telomeric to the erythroid murine protein band 3 and αIIb gene locus, on the orthologous murine chromosome 11.14 15 Collectively, these mapping studies suggest that β3 is more likely to be more closely physically linked to genes near the GIP or HOX loci than to the D17S579/αllb/EPB3 region.
Because the published data suggest a conflict between the reported physical distance on PFGE blot and the genetic and radiation studies, the work presented here was conducted to determine the position and the distance of the αIIb gene relative to β3 gene and other informative markers mapped to the same chromosomal region. In this study, we have used both more detailed linkage studies and detailed physical mapping. For the linkage studies, we took advantage of a 13 bp mutation at the intron 3/exon 4 junction in the αIIb gene occurring in four Arab kindreds,16 17 which we used as a polymorphic marker to improve linkage analysis in these large pedigrees. Based on our linkage analysis, we estimated the recombination distance between the αIIb and β3 genes. Additionally, using actual and historical recombinations and the linkage disequilibrium observed in Arab and Iraqi-Jewish Glanzmann thrombasthenic (GT) families, we positioned the αIIb and β3 genes relative to THRA1, BRCA1 gene, and D17S579. We also predict the orientation of the αIIb and β3 genes relative to each other by analyzing our haplotype data using an algorithm for ordering tightly linked markers. This analysis was done concurrently to a detailed PFGE analysis of genomic DNA of this region, and mapping and sequencing of YAC, BAC, and P1 clones containing these two genes. These studies provide a detailed map of the αIIb region and suggest that the αIIb and β3 genes are not closely linked, and may be ≥1 mb apart. Further, we have identified several nonmegakaryocytic genes both 5′ and 3′ of αIIb that separate this gene from its partner β3 in both humans and mice. Collectively, our results suggest that these genes are not likely to function as a tightly linked, centrally regulated, megakaryocyte-specific gene locus and define the maximum size of the αIIb gene locus.
MATERIALS AND METHODS
Linkage analysis.
Blood specimens for genomic DNA preparations were collected from 254 individuals in 28 families with Glanzmann thrombasthenia. The origin of these thrombasthenic families, the type of mutation, and the number of individuals analyzed are detailed in Table1. Genomic DNA was prepared by the desalting method.19 The polymorphic and mutation markers analyzed in these families are listed in Table 2. Dinucleotide repeat and restriction fragment length polymorphisms (RFLP) were analyzed.26
Pairwise linkage analysis of the polymorphisms was performed using the LIPED software program (Rockefeller University, New York, NY) under the assumption of no sex difference. The markers analyzed are shown in Table 2. Haplotypes consisting of allele combinations of markers M4 and M5 and markers M6 to M10 were used as single alleles for αIIb and β3, respectively. The Χ2 test with a 2×K contingency table, in which K is the number of marker alleles present in the sample, was used. Significance of the association was determined by a right-side Χ2 test with K-1 degrees of freedom. Calculations were performed in each ethnic group separately. Chromosomes identical by descent were considered as one chromosome. Two-sided P values of ≤ .05 were considered to be significant.
Haplotype resemblance analysis (HRA).
A method for ordering linked markers on a short chromosomal interval termed HRA was used to orient the αIIb and β3 genes. This method is based on a comparison of multilocus haplotypes that share identical alleles in most loci, representing tightly linked polymorphic markers that show a high level of resemblance that descended from a common ancestral haplotype, and that has yet to undergo many recombinations. In such pairs of haplotypes, loci located away from the center should differ more frequently than loci located near the center. In a set of pairs of multilocus haplotypes with a high level of resemblance, the number of pairs that differ by alleles in any particular locus divided by the locus heterozygosity may be considered an estimate of the relative distance of the locus from the chromosomal interval center.
The algorithm of HRA involves:
- 1.
Comparison between all pairs of haplotypes and counting the identical alleles in each pair.
- 2.
Choosing high-score pairs, eg, those with a number of identical alleles that exceed half the number of the analyzed markers.
- 3.
For every marker, counting the number of high-score haplotype pairs in which the markers are not the same.
- 4.
Dividing the number obtained by the marker’s heterozygosity.
The result obtained is an estimate of the marker’s distance from the center of the chromosomal interval. The higher the number obtained for a locus, the greater its distance from the center.
YAC, P1, BAC, and lambda clones studies.
YAC containing the human αIIb and β3 genes were isolated by polymerase chain reaction (PCR) screening of a YAC library (Human Genomic Library at the Center for Genetics in Medicine, Washington University, St Louis, MO). The library was screened using primers for exon 21 of αIIb (sense-5′-CAGACCTTCCAAGGGCAG-3′antisense-5′-AGACTATGTGGCTCTAA-3′)27and for exon 5 of β3 (sense-5′-CTCTACCAGTGACATGGCTGA-3′antisense-5′-GCAAGCTGAAACCGAGCCC TG-3′).28
αIIb and β3 P1 clones were obtained by screening of a genomic P1 library (DuPont Co, Glenolden, PA).29,30 A PCR-based screening was used with the same αIIb and β3 primers detailed above for the YAC library screen. An αIIb BAC clone was obtained by hybridization screening of a human BAC library (Genome Systems, St Louis, MO) using a random primer labeled probe for the 3.1 kb αIIb complementary DNA (cDNA).31
The αIIb+-P1 clone, P1147 E2, was partially digested with Sau 3a. Fragments ranging from 10 to 20 kb were isolated via electroelution and ligated into the BamHI arms of a λDASH vector (Stratagene, La Jolla, CA). A library of phage was created following the manufacturer’s directions. DNA was extracted from PCR-positive clones,32 and used for routine and PFGE Southern blots and sequencing as described below. Murine αIIb lambda phage were obtained by filter hybridization of a mouse genomic library 129SV in λFIX vector (Stratagene), using a rat αIIb genomic fragment as a probe.27 This clone was sequenced (see below), and primers for murine 129SV αIIb exon 12 were then used in the PCR screening of a murine BAC library (Genome Systems) to isolate a corresponding BAC clone.
Southern, PFGE, and field inversion gel electrophoresis (FIGE) blots.
High molecular weight genomic DNA for routine and PFGE analyses was extracted from HEL and HeLa cells (American Type Culture Collection, Rockville, MD)33,34 for routine Southern blotting as previously described.32 For PFGE, the cells were split to a density of 0.4 × 106 cells/mL 24 hours before making the plugs. 2.0 × 106 cells were used for each 200 μL plug. Cells were embedded in 1% Seakem GTG agarose gel (FMC, Rockland, ME) and protease digested with proteinase K (Sigma Co, St Louis, MO) as detailed elsewhere.35
Plugs containing either digested genomic DNA or undigested whole chromosome YAC DNA were placed in the wells of 1% Seakem GTG agarose gels containing 0.5× filtered TBE (22.5 mmol/L Tris-HCl, 10 mmol/L Boric acid, and 5 mmol/L EDTA-NaCl, pH 7.4) and then sealed into the wells with 1% agarose. The gel was run in this buffer at 14°C on a CHEF-DR II (BioRad, Richmond, CA). PFGE conditions were as follows: 160V, 60-second pulse, for 20 hours followed by 180V, 90-second pulse for 12 hours. BAC and P1 clones were also restricted and analyzed by both standard electrophoresis and FIGE. Running conditions for FIGE involved a forward voltage of 180V and a reverse of 120V, and each ramped linearly for time periods from 0.2 to 1.8 seconds over an 18-hour period. After standard electrophoresis, the gels were stained with ethidium bromide and photographed. The DNA was then nicked and transferred to Gene Screen Plus membrane (New England Nuclear, Boston, MA) by salt transfer using 10 × sodium citrate chloride (SSC).32 Filters were prehybridized in a 50% formamide solution for 12 hours and the probe of interest (see below) was random primer labeled with α-32P-dCTPs,32denatured at 100°C, and then added to the filter at a specific activity of 1 × 107 cpm/mL. Hybridization was for 24 hours at 42°C. Filters were washed at various salt stringencies in SSC as previously described,32 and then exposed to Kodak X-OMAT film (Eastman Kodak, Rochester, NY). Filters were stripped of probe in a 50% formamide, 1% sodium dodecyl sulfate (SDS), 0.1 SSC solution at 75°C for 1 hour before reuse.
cDNA and PCR probes.
Full-length cDNA fragments, either the 3.3 kb αIIb31 or the 3.9kb β336, were random-primer labeled and used as probes on routine PFGE and FIGE genomic blots. The EPB3 5′ and 3′ cDNA fragments were generated using Superscript RT-PCR (Life Technologies, GIBCO/BRL) of human reticulocyte RNA (generously provided by Dr Christian Stoeckert, The Children’s Hospital of Philadelphia, Philadelphia, PA), and cloned into the Invitrogen TA cloning vector pCR.
Primer pairs were synthesized based on published sequences for the αIIb, β3, EPB3, and HOX2B genes to PCR to amplify desired subregions of these genes using genomic DNA as template. A list of the primer sets are given here:
αIIb-exon 227.
sense 5′-TGA TGT TTG AAC TGA ATT-3′;antisense 5′-AAG GCA GTA TGT GTA AAG CAT-3′.
αIIb exon 3027.
sense 5′-TGG TCC AGG GAG GTG CTC AT-3′;antisense 5′-CTC AGT CTC TTT ATT AGG CA-3′.
5′EPB337.
sense 5′-GAG GAG AAT CTG GAG CAG GAG-3; antisense5′-TAT GCG GAA CAC CCT CTC TGA-3′.
3′EPB338.
sense 5′-ACG CTG ATT GTC AGC AAA CCT-3′;antisense 5′-ACA GGC ATG GCC ACT TCG TCG-3′.
HOX 2B39.
sense 5′-GCT CTA TAG GAG GCC CTG AG-3′; antisense 5′-GAG GCT GTT TAG ATG AGA CA-3.
Each PCR-amplified genomic fragment used for probing the above blots was sequenced to confirm its identity.
Sequence analysis in the αIIb gene locus.
The above αIIb-containing clones were end sequenced beginning with the appropriate primers (eg, T7, SP6, and T3 primers29,32,40). In addition, the region from −500 bp upstream of the transcriptional start site of the human and murine αIIb gene to −12000 bp was sequenced beginning with primers based on the published 5′-flanking region of the αIIb gene.27 Subsequent primers were generated based on the new data and used to prime the next round of sequencing reaction. All sequencing used fluorescenated dNTPs and Sequenase41 and an ABI 373A automated sequencer.
New sequences determined in the αIIb locus were analyzed using the databases at the National Center for Biotechnology, which host an internet site at URL: http://www.nlm.nih.gov/. Using the sequence similarity program Basic Local Alignment Search Tool (BLAST),42 sequences from αIIb containing clones were entered into a Basic BLAST search using the BLASTn program and the nr, month, or high throughput genomic sequence (htgs) databases.43 Values greater than 500 with E values of 0.0 were evaluated further with the expressed sequence tag (dbEST), and mouse and human EST databases.43
RESULTS
Linkage analysis in Glanzmann thrombasthenia pedigrees.
We have genotyped 254 members in 28 thrombasthenic families (Table 1) for 10 polymorphic markers (Table 2). The results of such an analysis in 1 Arab thrombasthenic family is presented in Fig1. The pedigree illustrates the large number of offsprings in each generation, the increased informativity in the αIIb gene due to heterozygosity for the thrombasthenia mutation, and the presence of two recombination events. Nine recombination events were observed in the 28 families analyzed, and these were as follows: 2 paternal, 2 maternal, and one of unknown origin between THRA1 and the other loci (BRCA1, D17S579, αIIb, β3), 2 maternal recombinations between (THRA1, BRCA1) and (D17S579, αIIb, β3), and 2 additional maternal recombinations between the β3 gene and the other loci (THRA1, BRCA1, D175579, αIIb). These recombination events are consistent with the following order: THRA1-BRCA1-(D17S579/αIIb)-β3.The results of pairwise linkage analysis between the loci are presented in Table3. The largest recombination distance of 4.6 cM (maximum Lod score, 17.85) was obtained between the THRA1 and β3 genes. The most probable distance between the αIIb and β3 genes was 1.3 cM (Lod score 27.87). However, the odds were not significantly different for distances of 1 to 4 cM. The location of the αIIb gene respective to the anonymous probe D17S579 could not be resolved by linkage analysis because no recombinations have been observed between these two loci in our families. We took another approach to determine the order of the markers in this region by comparing the haplotypes of the apparently independent chromosomes bearing the common Iraqi-Jewish (IJ)-1 mutation in our families (Table4). Nineteen different haplotypes have been identified. A common, most probable founder haplotype, extending over the whole interval was observed in 9 chromosomes. Using this apparent haplotype for comparison, the type and number of the apparent historical recombinations (denoted by ↓) are summarized:[THRA1] ↓ [BRCA1, D17S579, αIIb, β3] 14 times; [THRA1, BRCA1] ↓ [D17S579, αIIb, β3] 10 or 11 times; [THRA1, BRCA1, D17S579] ↓ [αIIb, β3] 4 or 5 times; and [THRA1, BRCA1, D17S579, αIIb] ↓ [β3] 3 times. This pattern of historical recombinations suggests the following order: THRA1-BRCA1-D17S579-αIIb-β3.
Marker segregation in an Arab GT family near the IIb-β3 genomic locus. The extensive family tree for one of the studied families with the determined inherited markers (Table 2) are shown. Crossover regions are shown on a black background. The inherited thrombasthenia gene is also indicated by the grayed regions in the family tree over the affected chromosome. The polymorphic markers studied are indicated at the top left of the fig and refer to Table2.
Marker segregation in an Arab GT family near the IIb-β3 genomic locus. The extensive family tree for one of the studied families with the determined inherited markers (Table 2) are shown. Crossover regions are shown on a black background. The inherited thrombasthenia gene is also indicated by the grayed regions in the family tree over the affected chromosome. The polymorphic markers studied are indicated at the top left of the fig and refer to Table2.
Another way of obtaining information about the position of the αIIb gene with respect to the neighboring markers, is to compare the tightness of the linkage disequilibrium between αIIb and the other markers in the studied populations. In the Arab chromosomes, the β3 gene was the only locus for which a significant linkage disequilibrium with αIIb was found (P = .038). In the Iraqi-Jewish chromosomes, linkage disequilibrium was found to D17S855 (P = .076), D17S579 (P = .0004), and β3 (P = .00002). These results support the map order inferred from the comparison of the historical recombinations.
Orientation of the αIIb and β3 genes.
To orient the two genes respective to their 5′ to 3′ direction, HRA was applied to markers within the αIIb and β3 genes. The analysis was performed for independent normal chromosomes in the Arab GT families using the M4 and M5 markers in αIIb and the M6 and M8 markers in β3. Eleven distinct haplotypes and 32 high score haplotype pairs (those sharing 3 identical alleles) were identified in our pedigrees. The relative distances of the markers from an arbitrary center between the αIIb and β3 genes computed by the HRA algorithm were calculated. The markers M4 at the intron 3/exon 4 junction of the αIIb gene and M8 in exon 9 of the β3 gene were closer to this center of the interval between the two genes (3.47 and 20.21, respectively). Markers M5 in exon 26 of the αIIb gene and M6 in intron 6 of the β3 gene were distant from the center (29.68 and 43.91, respectively). These results suggest that the 5′ end marker (exon 3) of the αIIb gene is close to the 3′ end marker (exon 9) of the β3 gene, and that the β3 gene is upstream and in the same orientation as the αIIb gene.
Characterization of the physical distance between the αIIb and β3 genes.
The β3 gene has a naturally occurring Sfi I site in it that splits the gene into a 125 kb 5′ fragment and a 260 kb 3′ fragment, and the 260 kb 3′ β3 fragment was reported to cohybridize with both 5′ and 3′ αIIb cDNA probes on FIGE genomic blots.6 This would suggest that the 5′ end of the 17 kb αIIb gene might be within 180 to 260 kb of the 3′ end of the 63 kb β3 gene. We set out to more precisely determine the exact physical distance between these loci, using rare enzymes that would split the αIIb locus into 5′ and 3′ oriented fragments. PFGE gels of human genomic DNA digested with rare restriction enzymes were sequentially hybridized to αIIb and β3 cDNA probes (top, Fig 2). αIIb shared no common restriction bands with β3. The closest in size were two Sfi I bands (arrows 4 and 5), which are clearly different in size on close observation.
Genomic and YAC PFGE hybridized to the IIb and β3 probes. Sequential rehybridization of the same filter to the IIb and β3 cDNAs, the EPB3 5′ genomic fragment, a HOX 2b genomic fragment, and the IIb exon 2 5′ and exon 30 3′ genomic fragments. Numbered arrows indicate bands of interest.
Genomic and YAC PFGE hybridized to the IIb and β3 probes. Sequential rehybridization of the same filter to the IIb and β3 cDNAs, the EPB3 5′ genomic fragment, a HOX 2b genomic fragment, and the IIb exon 2 5′ and exon 30 3′ genomic fragments. Numbered arrows indicate bands of interest.
Because the αIIb and β3 cDNA probes have no common bands on the PFGE genomic blots, it was not possible to estimate the exact distance between them. Instead we opted to determine the minimal distance between them, by using 5′ and 3′ αIIb-specific probes. The same PFGE blots were sequentially hybridized with a 5′ genomic αIIb exon 2 probe and then with a 3′ αIIb exon 30 probe (bottom, Fig 2). The 5′ αIIb exon 2 probe, hybridized to Nru I bands of 600 and 365 kb (arrows 2 and 3). In contrast, the 3′ αIIb exon 30 probe detected the identical 600 kb fragment and a 235 kb band (arrows 1 and 3). Given that the full-length αIIb cDNA probe detected the same 600, 365, and 235 kb Nru I fragments, and that the Nru I sites in the αIIb gene were previously defined,27 it appears that the 365 kb band contains the 5′ end of αIIb, the 235 kb band contains the 3′ end of αIIb, and the 600 kb band is a partially-digested band containing both bands. A restriction map, derived from the fragments produced on the above PFGE blots and from sequence and restriction analysis of BAC and P1 clones containing this region (data not shown, but see below) is provided in Fig 3. This figure illustrates the orientation of the three Nru I fragments. Genetic recombination data presented above, suggest that the 3′ end of the β3 gene is closest to the 5′ end of the αIIb gene. Given that β3 is telomeric to the αIIb gene whose 3′ end is oriented towards the centromere,9-12 β3 must be oriented in the same direction with its 3′ end directly upstream and telomeric to the 5′ end of αIIb (Fig 3). Because none of the β3 bands cohybridized to any of the three Nru I fragments, and given the fact that the upstream Nru I site in the αIIb gene is in exon 4, this suggests that the β3 gene cannot be less than ∼365 kb 5′ to the αIIb gene.
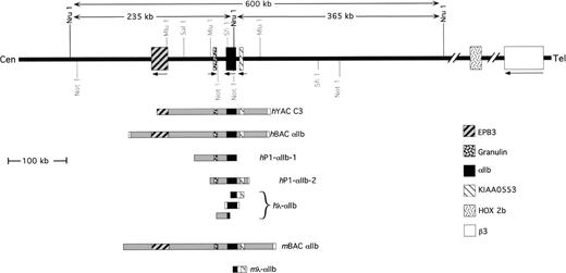
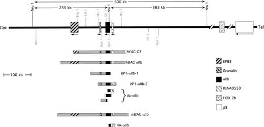
Schematic organization of the IIb (and β3) gene locus region. The heavy line near the top indicates the gene locus drawn to scale with the various identified genes indicated. A partial restriction map for several rare restriction enzymes around the IIb gene is also indicated. The restriction sites shown on this map were generated using data from both pulsed-field genomic fragments (above) and BAC, P1, and YAC sequence and restriction analysis (data not shown). A summary of all clones that have been characterized is shown below with the sequenced regions shown matching the genome or in white rather than in gray. This map only focuses on the region surrounding the IIb locus. A complete map of the β3 locus has been previously reported.6,7 49 (All sequences reported here have been registered with GenBank accession no. AF160252).
Schematic organization of the IIb (and β3) gene locus region. The heavy line near the top indicates the gene locus drawn to scale with the various identified genes indicated. A partial restriction map for several rare restriction enzymes around the IIb gene is also indicated. The restriction sites shown on this map were generated using data from both pulsed-field genomic fragments (above) and BAC, P1, and YAC sequence and restriction analysis (data not shown). A summary of all clones that have been characterized is shown below with the sequenced regions shown matching the genome or in white rather than in gray. This map only focuses on the region surrounding the IIb locus. A complete map of the β3 locus has been previously reported.6,7 49 (All sequences reported here have been registered with GenBank accession no. AF160252).
Defining the genes closely linked to the αIIb and β3 genes.
Additional candidate genes that colocalize to this region of chromosome 17 were studied by PFGE. Hybridization of PFGE Southern blots with both 5′- and 3′-specific probes for the EPB3 gene resulted in bands that cohybridized with the αIIb bands (Fig 2, arrows 1, 3, 7, and 8, for the 5′ probe; 3′ probe not shown). The 235 kb Nru I fragment is the identical fragment that bound to the 3′ αIIb exon 30 probe but not the 5′ αIIb exon 2 probe. These data reconfirm and expand the studies that had previously genetically and physically linked the αIIb and EPB3 genes, and suggest that the EPB3 gene is less than 235 kb downstream of the αIIb gene.
Radiation hybrid maps, place the β3 gene near a cluster of genes that includes the GIP and HOX 2B gene.12,13 Using a Hox 2B genomic probe,39 we rehybridized the above PFGE blot and showed cohybridization of its bands with a number of β3 bands (Fig 2, top and middle right panels, arrows 5 and 6), but with no αIIb or EPB3 bands, suggesting that the HOX 2B gene is more closely linked to β3 than either of the other two genes.
The last lane in each of the PFGE blots shown in Fig 2 contain DNA from an αIIb+-YAC clone (A206C3), which contains a genomic insert of 200 kb.10 Both the αIIb and EPB3 probes hybridize to this YAC clone, but neither the HOX 2b nor the β3 probe hybridize to it (Fig 2). Two other αIIb+-YAC clones (A75H8 and A247E2), containing insert sizes of 800 and 350 kb, respectively, do not hybridize with β3, but A247E2, which extends 300 kb beyond the 3′ end of αIIb does hybridize with an EPB3 probe (data not shown). Additionally, a BAC clone positive for αIIb that contains an insert of 220 kb also crosshybridizes to the EPB3 5′ and 3′ probes but not the β3 probe (data not shown, but see Fig3). Two β3+-YAC clones (A144B1 and B160F6), with insert sizes 500 and 650 kb, respectively, do not crosshybridize with αIIb or EPB3 probes, but do crosshybridize to the HOX 2B probe (data not shown). These data further suggest that the αIIb gene is closely linked to the EPB3 gene, and the β3 gene is closely linked to HOX 2B, but that αIIb and β3 do not appear to be closely linked to each other.
Further characterization of the genes immediately 5′ and 3′ of the αIIb gene.
Screening of human BAC and P1 genomic libraries provided one BAC and two P1 αIIb+ clones. FIGE restriction mapping and Southern blotting suggested that these clones overlapped and spanned from −50 kb 5′ of the αIIb gene to 150 kb 3′ of its last exon (data not shown, but see Fig 3).
End sequence analysis of YAC A206C3 followed by a BLASTn nr search42 showed the 5′ end of the EPB3 gene (Fig 3). Southern blot mapping and sequencing of our αIIb+-BAC clone with EPB3 primers, also confirmed its presence on the αIIb+-BAC. The combination of this sequence analysis and restriction mapping, not only showed that EPB3 is ∼110 kb downstream of the αIIb gene, but that the two genes are oriented in the same 5′ to 3′ direction.
In addition, a λDASH bacteriophage sublibrary was made from one of the P1 clones (P1 1147 E2). Several of these λ clones were mapped against each other, and the original P1 and BAC clones using both PCR and Southern blotting. The resulting contig is shown in Fig 3. These BAC, P1, and lambda clones were end sequenced using the natural T3, T7, and Sp6 sequences that flank the polylinker site.29,32,40 BLAST analysis of the sequences on the T7 end of P1 1147 showed that this clone ends near the Granulin or Epithelin gene.44 The Granulin gene ends ∼18 kb 3′ to exon 30 of the αIIb gene and is in opposite 5′ to 3′ orientation (Fig 3).
End sequence analysis followed by extensive overlap sequencing of clone λ5′-αIIb-1, showed that it began 9 kb upstream of the transcriptional start site of the αIIb gene and extended to exon 12 of the αIIb coding region. At its 5′ end, and continuing upstream into the sequence of P1 1147 (Fig 3), there is a 6 kb region containing the gene for the previously defined human brain cDNA named the KIAA0553 gene.45 This gene spans from ∼ −12 kb to −5.8 upstream to the αIIb gene transcriptional start site.
Additionally, λFIX 129SV clones for the mouse αIIb gene were isolated initially by crosshybridization with a previously described rat αIIb 5′ genomic region.27 In turn, DNA sequence data for the murine αIIb was used to isolate a murine αIIb+-BAC clone. Southern blot and sequence analysis of these murine αIIb clones showed that both the KIAA0553 and Granulin genes are highly conserved in sequence, orientation, and relative position. This further supports other reports that the murine and human syntenic relationships amongst genes in this region on chromosomes 11 and 17, respectively, are unparalleled in their degree of conservation.13 14
DISCUSSION
The recent positional cloning of the BRCA1 gene within the 17q21 region of chromosome 17 uncovered many useful polymorphic markers and genes.46 Other markers within this region have been found through the efforts of the Human Genome Project.11-13Taking advantage of this high density of chromosomal markers, we have genetically mapped the locations and relative distances of several markers surrounding the platelet-specific αIIb gene, to determine its position relative to the gene of its integrin partner β3. Using haplotype studies of 254 members in 28 thrombasthenic families of Arab and Iraqi-Jewish descent, as well as historic recombination and linkage disequilibrium data, we have determined the relative order of five markers as follows: cen-THRA1-BRCA1-(D17S579-αIIb)-β3-qter. Pairwise linkage studies and HRA studies suggest a probable distance of 4.6 cM between THRA1 and the β3 gene and a distance of 1.3 cM between the αIIb and β3 genes, with the two genes being in the same 5′ to 3′ direction.
The determination of these linkage distances may also be useful in the care of families with Glanzmann thrombasthenia. This bleeding diathesis is due to qualitative or quantitative defects in the platelet αIIbβ3 receptor. Often, the bleeding is sufficiently severe that families are interested in determining the at-risk status of potentially affected fetuses. Unfortunately, the number of mutations causing Glanzmann thrombasthenia is large. At present, over 40 distinct mutations have been identified.47 Except in some well-characterized, in-breed populations, the defect must be determined for each affected family, and this can be labor and time intensive. Therefore, to make a prenatal determination of risk for a fetus may require linkage analysis of such polymorphisms as listed in Table2.26 48 The likelihood of crossover between a mutation and these polymorphisms decreases the ability to use linkage studies. Our data shows the risk factor for a crossover between any two markers. We propose that multiple markers in this region be used when examining the linkage of a thrombasthenic mutation in a potentially affected fetus to decrease the chance of recombination affecting the conclusion.
An earlier report based on PFGE suggested that the 3′ end of the β3 gene was linked to the αIIb gene on a 260 kb Sfi I fragment and may have been as little as 125 kb apart6 49 although the orientation of the αIIb gene was not defined. Our results support the close physical and genetic linkage in that earlier report, except that the actual distance between the two genes is greater than was initially concluded. We suggest that the αIIb and β3 genes are oriented in the same direction with the 3′ end of β3 closest to the 5′ end of αIIb, placing the αIIb gene at a minimum distance of 365 kb downstream of the β3 gene. Whether 5′ or 3′ of αIIb, the β3 gene, by our Nru I studies, is still greater than 235 kb away from its integrin partner. Furthermore, other nonmegakaryocyte-specific genes are located between them.
The apparent inconsistency between our data and the previous studies may be due to the difficulty in discerning the two closely-sized Sfi I bands, a 180 kb αIIb Sfi I band and a 160 kb β3 Sfi I band. By using high-percentage agarose gels, we provided sufficient clarity to distinguish the two bands on close examination. Also there have been reports of band inversions during FIGE runs.50 Therefore, FIGE might make two bands close in size appear to be identical during certain periods of the run.
Sequencing of both the human and mouse αIIb gene locus showed the presence of the Granulin gene 18 kb 3′ of the αIIb gene (Fig3). Granulins are potential growth factors that were initially discovered in leukocytes and bone marrow.44 They are also expressed in myelogenous leukemic cell lines as well as in fibroblast, epithelial, and kidney primary cells. Therefore, this gene is not only present in the opposite orientation to the αIIb gene, but also appears to have a different profile of tissue-specific expression.
Our sequence analysis also identified the KIAA0553 gene spanning a region from 6 to 12 kb upstream of the αIIb gene and oriented in the same direction in both human and mouse. Database comparison of the KIAA protein sequence showed no homologous proteins. Nucleotide BLAST comparisons also showed no homologies. BLAST comparisons against a human EST database showed that the brain, ovaries, and testes contained cDNAs for the KIAA gene. Thus, it represents a novel protein of unknown function. RT-PCR studies of the expression profile of KIAA showed that it was fairly ubiquitous with 10 out of the 14 tissues having transcripts.45 Our own studies with platelet RNA suggest that it is not expressed in megakaryocytes (data not shown).
The original view of the αIIb-β3 locus suggested that these genes might be very closely linked and potentially could form a platelet-specific expression locus under the regulation of a commoncis-regulatory element, such as a locus control element (LCR). LCR domains have been mapped to other tissue-specific genes such as the β-globin and human growth hormone loci.51 52 Because the two integrin α and β heterodimeric partners were physically linked and expressed at high levels in a coordinated fashion during megakaryopoiesis, this hypothesis seemed plausible. However, given the greater physical distance between these two genes, a commoncis-regulatory element seems less feasible. Additionally, the fact that the αIIb gene is surrounded by other genes that are not expressed in platelets, further supports a model of separate regulation. With the appreciation that β3 is actually expressed in multiple tissues besides megakaryocytes, it becomes clearer that the two genes are likely to only be accidentally on the same chromosomal locus without any functional implications to this physical association.
The αIIb gene has been the most carefully studied platelet-specific gene. Often such regulation not only involves the proximal promoter, but also more distal regulatory elements. Our paper shows that the αIIb gene is surprisingly restricted in size at both its 5′ and 3′ ends, consisting of less than 6 kb of upstream sequence and less than 18 kb of downstream sequence. Thus, the 6 kb region between the KIAA gene and the αIIb gene may potentially contain important enhancer-like regulatory regions that would direct tissue- and/or stage-specific expression of αIIb in hematopoiesis. Moreover, this region as well as the 18 kb 3′ region between αIIb and the Granulin gene might be envisioned to have insulator elements that protect the tissue expression of αIIb from the influences of its diversely expressed neighbors. The fact that the distance between αIIb and KIAA is conserved in mouse and human also supports the idea that this region may contain important regulatory elements. Recently, we have found several DNase I hypersensitive sites (unpublished observations) within the region between KIAA and αIIb, two of which are constitutive and one which is tissue specific. It will be interesting to see if any of these sites represent these putative distal regulatory elements.
ACKNOWLEDGMENT
YAC clones studied were provided by Dr Francis Collins and S.C. Chandrasekharappa, who at the time were at the University of Michigan in Ann Arbor, MI. The screening of the P1 library and the isolation of the P1 clones were done in collaboration with Dr Nat Sternberg at DuPont Co, Glenolden, PA.
Supported in part by grant HL40387 (M.P.), a grant from the Schulman Foundation (M.P.) and a grant from The Council for Tobacco Research-USA, Inc (#3152, M.P.).
The publication costs of this article were defrayed in part by page charge payment. This article must therefore be hereby marked “advertisement” in accordance with 18 U.S.C. section 1734 solely to indicate this fact.
REFERENCES
Author notes
Address reprint requests to H. Peretz, Clinical Biochemistry Laboratory, Tel Aviv Sourasky Medical Center, 6 Weizman St, 64239, Tel Aviv, Israel; e-mail: hperetz@tasmc.health.gov.il





