Abstract
Rituximab is a chimeric monoclonal antibody directed against CD20 and used in the treatment of B-cell non-Hodgkin's lymphoma. Due to its ability to deplete B lymphocytes, rituximab can interfere with humoral immunity, causing it to be suppressed for several months after treatment. The reported case depicts a serious consequence of this effect of rituximab therapy: pure red cell aplasia resulting from chronic parvovirus B19 infection. The point of interest in this case is not only the association between rituximab therapy and pure red cell aplasia, but the diagnostic and therapeutic utility of the knowledge of parvovirus B19 as the likely etiologic link between the two. Given the known efficacy of intravenous immunoglobulin (IVIg) in the treatment of chronic parvovirus B19 infection, this therapy can cure some of these patients and successfully render most others transfusion-independent until recovery of their own humoral immune system.
Pure red cell aplasia is a type of anemia that results from an isolated depletion of erythroid precursors from the bone marrow. There are well-described associations of this disorder with thymomas, lymphoproliferative disorders, autoimmune disorders, certain drugs, and infectious agents.1 Among the infectious agents, parvovirus B19 is the most significant and is notorious for producing the great majority of aplastic crises in patients with chronic hemolytic states. Infection with this virus generally tends to be brief and self-limited in healthy persons, but it can become chronic and persistent in patients with impaired humoral immunity.2 3
Rituximab (Rituxan; Genentech, South San Francisco, CA) is a chimeric monoclonal antibody (mAb) directed against the B-cell receptor, the CD20 antigen, and used in the treatment of non-Hodgkin's lymphomas. It acts by depleting both malignant and normal pre-B and mature B lymphocytes by a variety of mechanisms after first binding to the CD20 antigen expressed on their surfaces. The pharmaceutical product profile on Rituxan mentions a case of pure red cell aplasia in a patient treated with Rituxan; however, no further information on the underlying mechanism is available.4
We report here a case of pure red cell aplasia due to chronic persistent parvovirus B19 infection in a patient treated with Rituxan for non-Hodgkin's lymphoma. To our knowledge, this is the first case report of pure red cell aplasia associated with the use of rituximab therapy, which implicates parvovirus B19 as the etiologic factor linking the two. Aspects of this case may provide leads into diagnostic and therapeutic decision making for similar patients encountered in the future.
Study design
A 45-year-old white male was diagnosed with stage IV follicular mixed non-Hodgkin's lymphoma in December 1998. In addition to extensive lymphadenopathy, the patient had bone marrow involvement by the lymphoma, both morphologically and by flow cytometric analysis. A polymerase chain reaction (PCR) test demonstrated the presence of the bcl-2 gene translocation. He was treated with a combination of CHOP (cyclophosphamide, doxorubicin, vincristine (Oncovin), and prednisone) chemotherapy and Rituxan, and the therapy was recycled every 21-28 days. By May 1999, he had received 5 cycles of the above regimen with excellent clinical response (complete remission by imaging studies).
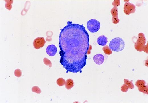
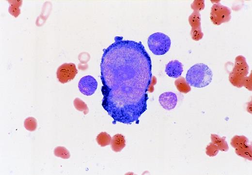
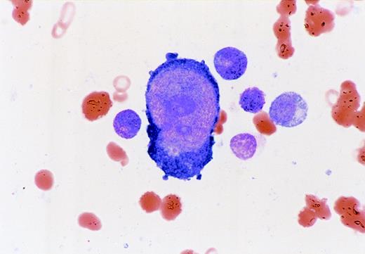
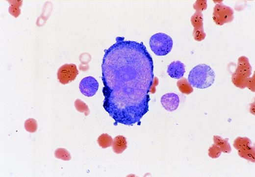
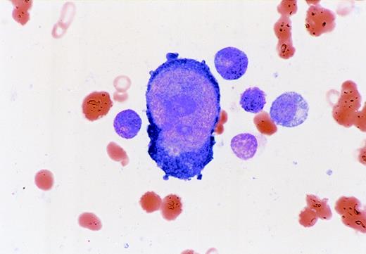
In mid-May 1999, the patient presented with symptoms of anemia and was found to have a hemoglobin of 73 g/L (7.3 g/dL). He was transfused with packed red cells. Due to the microcytic, hypochromic nature of his anemia, the patient underwent a complete endoscopic evaluation of his gastrointestinal tract, which failed to reveal an obvious bleeding source. He presented 3 weeks later with similar symptoms of anemia and a hemoglobin of 63 g/L (6.3g/dL), and he required another red cell transfusion. The corrected reticulocyte count was less than 1%. At this time, a bone marrow aspiration was performed, which revealed findings consistent with pure red cell aplasia. Also visualized were large pronormoblasts with nuclear inclusion bodies that were very suggestive of parvovirus infection (Figure 1). There was no evidence of lymphoma by flow cytometry, and PCR analysis failed to demonstrate thebcl-2 gene mutation.
A giant pronormoblast with prominent nuclear inclusion bodies dwarfs the granulocyte precursor cells.
Evaluation of the bone marrow aspirate revealed maturing granulopoiesis and thrombopoiesis but severely suppressed erythropoiesis, which was arrested at the pronormoblast stage. The myeloid:erythroid ratio was 72:1, with pronormoblasts comprising 1.2% of total bone marrow cells.
A giant pronormoblast with prominent nuclear inclusion bodies dwarfs the granulocyte precursor cells.
Evaluation of the bone marrow aspirate revealed maturing granulopoiesis and thrombopoiesis but severely suppressed erythropoiesis, which was arrested at the pronormoblast stage. The myeloid:erythroid ratio was 72:1, with pronormoblasts comprising 1.2% of total bone marrow cells.
The above findings prompted testing for parvovirus B19 by both serologic and PCR tests. The serologic test was negative, but the PCR returned positive for parvovirus B19 DNA. With this information, he was treated with 30 g intravenous immunoglobulin (IVIg) weekly for 3 weeks. His hemoglobin increased to 99 g/L (9.9g/dL) by the time of the third dose and continued to improve over the next 2 months without further need for transfusion or IVIg. His most recent hemoglobin from September 1999 was 143 g/L (14.3 g/dL). A PCR test for parvovirus B19 was still positive in August 1999.
Results and discussion
The causal association of parvovirus B19 with pure red cell aplasia is well established.3,5 Parvovirus B19 is a single-stranded DNA virus that produces a wide spectrum of clinical manifestations, but the destruction of erythroid precursors constitutes the main source of morbidity and mortality associated with it.2,3 Clearance of viremia and hence recovery of erythropoiesis are contingent upon an adequate antibody response to the virus, which occurs within about 1-2 weeks in most healthy persons.2 Patients who are unable to mount an adequate humoral immune response to the virus, however, fail to clear it from their circulation. They are consequently left with persistent ongoing destruction of their erythroid precursors, which leads to a chronic transfusion-dependent anemic state.6-10
Rituximab is a monoclonal antibody directed against CD20, which depletes both normal and malignant CD20+ pre-B and mature B lymphocytes from circulation by a variety of mechanisms including complement-dependent cytotoxicity, antibody-dependent cell-mediated cytotoxicity, and induction of apoptosis. Recovery of B lymphocytes after treatment with rituximab typically starts about 6 months later and may take up to a year to return to pretreatment levels.4 As a consequence of this, there are sustained reductions in both IgM and IgG serum levels, which in fact, drop below the normal range in up to 14% of patients.4 This results in chronically impaired humoral immunity, thereby providing an opportunity for parvovirus B19 to establish persistent infection and produce chronic red cell aplasia.
In determining the cause of the pure red cell aplasia in our patient, the morphologic findings in his bone marrow were compelling enough to direct attention primarily toward an infectious etiology and away from other considerations. Lymphoma was felt unlikely to be a contributing factor as he was in complete remission by radiographic and bone marrow criteria, the latter being confirmed by highly sensitive techniques. Also, he was not receiving any medication associated with pure red cell aplasia. Therefore, parvovirus B19 emerged as the most likely cause and was further verified by PCR analysis. Although it is impossible to definitively ascribe the B19 infection in our patient to any one of his potential predispositions, his lymphoma was in complete remission at the time of presentation, and in its long history of extensive use, CHOP chemotherapy has never been implicated in causing chronic B19 viremia. We therefore feel that rituximab, with its efficient and prolonged depletion of B lymphocytes, was the most likely explanation.
IVIg has been found to be an effective therapy for chronic parvovirus B19 infection. Commercial IVIg is known to contain IgG antibodies to parvovirus B19, which can control and may even eradicate B19 infection.11-13 This therapy was successful in bringing about a resolution of anemia in our patient. The detection of viral DNA in circulation after clinical improvement following IVIg therapy merely reflects the qualitative nature of the PCR test for B19, which is not designed to accurately identify a quantitative drop in the viral load reflected clinically by the increment in hemoglobin level. The test, however, besides being highly sensitive, is also very specific, and a positive result has been shown to predict true infection with great accuracy, even in asymptomatic mass-screened blood donors.14-16
In conclusion, this case is the first one to be reported depicting an association between rituximab therapy and pure red cell aplasia. Parvovirus B19 infection appears to be the linking factor in this association, as described above. The development of chronic pure red cell aplasia in a patient treated with rituximab should prompt a search for parvovirus B19 infection. If detected, treatment with IVIg may cure the infection in some patients and allow adequate control of viremia in others, enabling them to become transfusion-independent. Such therapy may need to be given intermittently for several months to these latter patients until their humoral immunity recovers from the effects of rituximab and clears the virus from circulation. Finally, with regard to diagnosis, it is worth noting that B19 infection in these patients may not be detected by serologic testing due to their impaired antibody response, as was the case with our patient. A PCR study to detect viral DNA in serum should be performed. Indeed for any patient with chronic pure red cell aplasia, parvovirus B19 infection should be ruled out by PCR prior to embarking on immunosuppressive therapy aimed at treating idiopathic or autoimmune forms of the disorder. Morphologic changes in the bone marrow, if found, also help with the diagnosis. When in doubt, a therapeutic trial of IVIg may be appropriate if definitive testing for parvovirus B19 is not immediately available.
Acknowledgment
We are grateful to Dawn Grant for her valuable assistance in the preparation of the manuscript.
Reprints:Vivek R. Sharma, James Graham Brown Cancer Center, 529 South Jackson St, Louisville, KY 40202; e-mail:vrshar01@gwise.louisville.edu.
The publication costs of this article were defrayed in part by page charge payment. Therefore, and solely to indicate this fact, this article is hereby marked “advertisement” in accordance with 18 U.S.C. section 1734.

