Abstract
In vitro studies suggest that resistance to the apoptosis-inducing effect of chemotherapy might explain poor responses to therapy in fatal instances of Hodgkin disease (HD). Execution of apoptosis depends on proper functioning of effector caspases, in particular caspase 3, which is activated on the induction of apoptosis through either the stress-induced pathway or the death receptor–mediated pathway. Thus, high levels of caspase 3 activation should reflect proper functioning of one or both identified apoptosis pathways, resulting in chemotherapy-sensitive neoplastic cells and thus a favorable clinical response to chemotherapy. We tested this hypothesis by quantifying active caspase 3–positive tumor cells in primary biopsy specimens of HD and compared these numbers to clinical outcomes. Using an immunohistochemical assay, activation of caspase 3 was detected in 0% to 13% of neoplastic cells. High numbers of active caspase 3–positive tumor cells (5% or more) correlated with excellent clinical prognosis; 0 of 22 patients with 5% or more active caspase 3–positive cells died compared with 11 of 41 patients with less than 5% positive cells (P = .007). Proper functioning of active caspase 3 was demonstrated by the detection of one of its cleaved substrates, PARP-1/p89, in similar percentages of neoplastic cells. High levels of active caspase 3–positive neoplastic cells were associated with the expression of p53 and its downstream effector molecule p21, suggesting proper functioning of the stress-induced apoptosis pathway. In conclusion, high numbers of active caspase 3–positive neoplastic cells predict a highly favorable clinical outcome in HD patients, supporting the notion that an (at least partially) intact apoptosis cascade is essential for the cell killing effect of chemotherapy.
Introduction
Hodgkin disease (HD) is characterized by the presence of low numbers of neoplastic cells, Reed-Sternberg (RS) cells, and their mononuclear variants the Hodgkin (H) cells, surrounded by high numbers of non-neoplastic infiltrating lymphocytes, histiocytes, and eosinophilic granulocytes.1 Usually, H/RS cells are an expansion of a single follicle center B cell that has acquired either crippling mutations in one or both immunoglobulin genes or that shows aberrant transcription of these genes,2-4 most likely because of down-regulation of the B-cell transcription factors Oct2 and BOB.1/OBF.5,6 Under normal circumstances the inability of follicle center B cells to express properly functioning immunoglobulin genes leads to rapid induction of apoptosis in these cells,7,8 but H/RS cells have apparently escaped from apoptosis.9
New treatment modalities have resulted in a tremendous improvement in clinical outcome for patients with HD. Presently, 80% to 90% of patients are cured.10 Still, in some cases, the disease follows a fatal course despite aggressive treatment. Although different clinical risk factors have been identified, including age, presence of B symptoms, and stage, it remains impossible to predict whether a patient will respond favorably or unfavorably to therapy.10,11 In vitro data indicate that a poor response to chemotherapy and radiotherapy in patients with fatal disease may be caused by inhibition of the apoptosis cascade.12-19
Apoptosis or programmed cell death is a form of cellular suicide characterized by distinct morphologic and recognizable phases. It can be triggered by a variety of stimuli, including cytotoxic T-lymphocyte (CTL)–mediated killing through either the CD95 or the granzyme B–perforin-mediated pathway and by ionizing radiation and many cytostatic drugs.20 On the induction of apoptosis, a cascade of proteases called caspases (cysteine-containing aspartic acid–specific proteases) is activated.20 Once activated, these enzymes dismantle the cell by selectively cleaving key proteins. In vitro studies have elucidated 2 major apoptosis pathways—a stress-induced pathway mediated by cytochrome release from the mitochondria and subsequent activation of caspase 921-23and a death receptor–mediated pathway through the activation of caspase 8.24,25 Both pathways induce apoptosis through the activation of caspase 3 and possibly other effector caspases (6 and 7), which execute cell death through the degradation of vital proteins.20 Granzyme B (GrB) can induce the activation of caspase 3 directly by proteolytic cleavage or indirectly by the activation of caspase 9 through the cleavage of Bid.26-30Thus all major pathways depend on the activation of effector caspases, in particular caspase 3, for the final execution of apoptosis.
Using a specific monoclonal antibody to detect only the activated, cleaved form of caspase 3 on formalin-fixed, paraffin-embedded tissue sections, we previously found that in vivo, in B-cell lymphomas and reactive tissues, apoptosis always involves the activation of caspase 3.31 The absence of active caspase 3–negative cells with clear apoptotic morphology further indicates that, if expressed, apoptosis inhibitory proteins such as certain bcl-2 family members and inhibitors of apoptosis (IAP) express their influence by interference with this death-signaling cascade upstream from caspase 3 activation.31 It might therefore be expected that high levels of active caspase 3 reflect proper functioning of one or both identified apoptosis pathways, resulting in relatively chemotherapy-sensitive neoplastic cells and a favorable response to chemotherapy.
We tested this hypothesis by quantifying numbers of active caspase 3–positive H/RS cells on paraffin-embedded tissue sections of diagnostic biopsy samples of 63 HD patients taken before the start of chemotherapy and comparing percentages of active caspase 3–positive H/RS cells to clinical outcome. To see whether active caspase 3 was functional, we investigated whether the activation of caspase 3 led to the cleavage of one of its main substrates, poly (ADP-ribose) polymerase (PARP-1).32-36 In addition, we investigated whether the p53-controlled, stress-induced apoptosis pathway was involved in the activation of caspase 3 and whether low levels of caspase 3 activation may be caused by low or absent expression of the uncleaved form of caspase 3.
Patients, materials, and methods
Patients and tissues
Formalin-fixed, paraffin-embedded tissue blocks of 63 primary biopsy specimens from patients with nodular sclerosing (n = 55) and mixed cellularity (n = 8) HD were selected from the archives of the Departments of Pathology of the Vrije Universiteit Medical Centre, Amsterdam, the Leiden University Medical Center Leiden, and the Antonie van Leeuwenhoek Hospital Amsterdam (diagnoses between 1983 and 1996). Consecutive patients were selected, but if during this period a patient had recurrent HD, the lymph node biopsy specimen was retrieved on which the initial diagnosis of HD was made. Thus a positive selection occurred for patients with recurrent HD. All cases were classified according to the Rye classification as incorporated in the new World Health Organization classification.37 The diagnostic immunohistochemical panel always included CD3, CD20, CD45, CD30, CD15, EMA, ALK1, LMP1, and EBER RNA in situ hybridization. For all patients the first diagnostic lymph node biopsy sample taken before the start of therapy was investigated.
Paraffin-embedded tonsil specimens taken during biopsy were used as a positive control for immunohistochemical detection of procaspase 3, active caspase 3, PARP-1, and PARP-1/p89, whereas mamma carcinoma was used as a positive control for the detection of p53 and p21.
Analysis of clinical data
For each patient, the following characteristics were noted from the medical records: age and Ann Arbor stage at first presentation, sex, presence or absence of B symptoms, therapy, achievement of complete remission, occurrence of relapses, and patient death with or without tumor. Survival time was measured from time of initial diagnosis until death or until end of follow-up. The median follow-up time was 65 months (range, 1 to 154 months). Patients who died of causes unrelated to the disease without evidence of tumor were censored at the time of death. Progression-free survival time was measured from time of initial diagnosis until time of disease relapse. Patients not in complete remission were assigned a progression-free survival time of zero in the analysis.
In situ detection of procaspase 3 and active caspase 3, cleavage of PARP-1, p53, p21, and granzyme B expression
The following antibodies were used: anti–procaspase 3 (polyclonal CPP32 [DAKO, Glostrup, Denmark] and monoclonal antibody clone 19 [Coulter Immunology, Hialeah, FL]), anti–active caspase 3 (monoclonal rabbit anti–active caspase 3; PharMingen, San Diego, CA), anti–PARP-1 (PharMingen), anti–PARP-1/p89 (Promega, Madison, WI), and anti-p53 (DO-7; DAKO). Because the DO-7 antibody detects wild-type and mutated p53, expression of its downstream effector molecule p21 was determined as an indirect reflection of its functionality, anti-p21 (Oncogene Science, Cambridge, MA) and anti–granzyme B (GrB7; Sanbio, Uden, The Netherlands).
All antibodies were used on paraffin-embedded tissue sections. Four-micrometer sections were stained using a standard 3-step streptavidin-biotin–complex method with diaminobenzidine as chromogen. All antibodies required antigen retrieval by microwave treatment for 10 minutes in a citrate buffer (10 mM, pH 6.0, at 700 W). P53 and p21 antibodies were incubated overnight. Staining intensity was enhanced using the catalyzed reported deposition method (DAKO) for all antibodies except p53, p21, and granzyme B.38 Table1 lists the used dilutions.
Antibodies used in this study with used staining conditions
| Antigen . | Antibody . | Titer . | Treatment . |
|---|---|---|---|
| Procaspase 3 | CPP32 | 1:500 | Citrate, sABC, CARD |
| Procaspase 3 | Clone 19 | 1:10 | Citrate, sABC, CARD |
| Active caspase 3 | C92-605 | 1:1000 | Citrate, sABC, CARD |
| PARP-1 | C2-10 | 1:500 | Citrate, sABC, CARD |
| PARP-1/p89 | — | 1:1000 | Citrate, sABC, CARD |
| P53 | DO-7 | 1:500 | Citrate, o/n, sABC |
| P21 | Waf-1 | 1:50 | Citrate, o/n, sABC |
| Granzyme B | GrB7 | 1:500 | Citrate, sABC |
| Antigen . | Antibody . | Titer . | Treatment . |
|---|---|---|---|
| Procaspase 3 | CPP32 | 1:500 | Citrate, sABC, CARD |
| Procaspase 3 | Clone 19 | 1:10 | Citrate, sABC, CARD |
| Active caspase 3 | C92-605 | 1:1000 | Citrate, sABC, CARD |
| PARP-1 | C2-10 | 1:500 | Citrate, sABC, CARD |
| PARP-1/p89 | — | 1:1000 | Citrate, sABC, CARD |
| P53 | DO-7 | 1:500 | Citrate, o/n, sABC |
| P21 | Waf-1 | 1:50 | Citrate, o/n, sABC |
| Granzyme B | GrB7 | 1:500 | Citrate, sABC |
Citrate, antigen retrieval with citrate buffer (10 mM, pH 6.0, at 700 W for 10 minutes); o/n, overnight incubation of the primary antibody; sABC, standard 3-step ABC method; CARD, catalyzed reported deposition enhancement of the staining signal.
Quantification of active caspase 3– and PARP-1/p89–positive neoplastic cells
Percentages of active caspase 3– and PARP-1/p89–positive neoplastic cells were quantified using a commercially available interactive video-overlay–based measuring system (Q-PRODIT; Leica, Cambridge, United Kingdom), as described previously.39 40In the selected area, up to 200 fields of vision were screened, and in these fields at least 75 to 100 neoplastic cells were counted. When low numbers of H/RS cells were counted, additional sections were quantified. To avoid counting reactive lymphocytes, only unambiguously neoplastic cells with large nuclei (more than 3 times the size of a lymphocyte) were counted. To avoid counting macrophages with phagocytosed apoptotic debris, only cells with nuclear staining or with nuclear and cytoplasmic staining were counted. Active caspase 3– and PARP-1/p89–positive cells were taken as a percentage of all H/RS cells using morphologic criteria.
Identification of active caspase 3–positive cells
To determine whether cytoplasmic staining of active caspase 3 was restricted to macrophages, double staining was performed for active caspase 3 and CD68 and for PARP-1/p89 and CD68, as described previously with slight modifications.31 Briefly, both primary antibodies were incubated simultaneously; this was followed by the detection of either active caspase 3 or PARP-1/p89 using a biotinylated polyclonal donkey anti–rabbit antibody and was visualized with diaminobenzidine. Thereafter, CD68 was detected with an alkaline phosphatase–conjugated rabbit anti–mouse monoclonal. Alkaline phosphatase was visualized with new fuchsin–naphthol AS biphosphate.
Determining expression of procaspase 3, p53, and p21 in H/RS cells
Evaluation of procaspase 3–positive H/RS cells was performed according to Chhanabhai et al.41 Briefly, neoplastic cells showing cytoplasmic staining, irrespective of intensity, were regarded as positive. Cases were determined to be negative when the diagnostic cells were completely negative or when less than 5% of these cells were positive. P53- and p21-positive staining in H/RS cells was scored as either positive or negative, using an arbitrarily cut-off value of more than or less than 50% positive neoplastic cells.
Statistical analysis
Survival curves were constructed according to the Kaplan-Meier method. Differences between the curves were analyzed using the log-rank test. Qualitative variables were analyzed by Pearson χ2test, Fisher exact test, or Mann-Whitney U test when appropriate. All values were based on 2-tailed statistical analysis, unless stated otherwise. Multivariate analysis was performed using the Cox proportional hazards model (enter and remove limits 0.1).P < .05 was considered significant. All analyses were performed using the SPSS statistical software package (version 9.0; SPSS, Chicago, IL).
Results
Patient characteristics
Patient characteristics are summarized in Table2 and are ranked according to the percentage of active caspase 3–positive H/RS cells. Most patients were between 20 and 35 years of age and had stage II disease with multiple enlarged lymph nodes in the neck region and frequent mediastinal involvement. Most patients were treated with chemotherapy with or without radiotherapy. Some patients presenting with low-stage disease received only radiotherapy (Table 2). Presence of B symptoms, stage at presentation, and age were strong prognostic markers (P = .03, P = .002, andP = .0001 respectively), consistent with previous studies.10,42 43 However, because of our selection procedure as described above, the number of patients with advanced-stage and recurrent HD entered in this study were higher than expected from those studies.
Patient characteristics in relation to numbers of active caspase 3–positive H/RS cells
| Characteristic . | Active caspase 3–positive H/RS cells (%) . | P . | |
|---|---|---|---|
| ≤ 5% (n = 41) . | > 5% (n = 22) . | ||
| Median age (y) | 32.0 (14-76) | 27.0 (10-71) | NS‡ |
| Sex | |||
| M | 24 | 12 | — |
| F | 17 | 10 | NS |
| Stage | |||
| I | 6 | 2 | — |
| II | 22 | 14 | — |
| III | 4 | 1 | — |
| IV | 9 | 5 | NS |
| B symptoms* | |||
| Yes | 22 | 12 | — |
| No | 15 | 10 | NS |
| Therapy | |||
| Radiotherapy only | 18† | 9 | — |
| Chemotherapy | 15 | 10 | — |
| Chemotherapy and radiotherapy | 8 | 3 | NS |
| Complete remission | |||
| Yes | 34 | 22 | — |
| No | 7 | 0 | .04 |
| Relapse | |||
| Yes | 23 | 3 | — |
| No | 18 | 19 | .001 |
| Death | |||
| Yes | 11 | 0 | — |
| No | 30 | 22 | .007 |
| Characteristic . | Active caspase 3–positive H/RS cells (%) . | P . | |
|---|---|---|---|
| ≤ 5% (n = 41) . | > 5% (n = 22) . | ||
| Median age (y) | 32.0 (14-76) | 27.0 (10-71) | NS‡ |
| Sex | |||
| M | 24 | 12 | — |
| F | 17 | 10 | NS |
| Stage | |||
| I | 6 | 2 | — |
| II | 22 | 14 | — |
| III | 4 | 1 | — |
| IV | 9 | 5 | NS |
| B symptoms* | |||
| Yes | 22 | 12 | — |
| No | 15 | 10 | NS |
| Therapy | |||
| Radiotherapy only | 18† | 9 | — |
| Chemotherapy | 15 | 10 | — |
| Chemotherapy and radiotherapy | 8 | 3 | NS |
| Complete remission | |||
| Yes | 34 | 22 | — |
| No | 7 | 0 | .04 |
| Relapse | |||
| Yes | 23 | 3 | — |
| No | 18 | 19 | .001 |
| Death | |||
| Yes | 11 | 0 | — |
| No | 30 | 22 | .007 |
P values were determined by χ2 analysis, unless stated otherwise.
Data concerning the presence or absence of B symptoms could not be retrieved for 4 patients.
Seven of these patients underwent additional chemotherapy following relapse.
As determined by the Mann-Whitney U test.
Caspase 3 activation occurred in 0% to 13% of H/RS cells and was correlated to cleavage of PARP-1 and execution of apoptosis
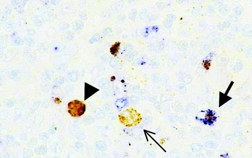
In all patients with HD, active caspase 3 was detected as nuclear staining in a minority of reactive lymphocytes, serving as a positive internal control. In most patients strong, primarily nuclear, staining of active caspase 3 was detected in H/RS cells. Cytoplasmic staining was also observed but nearly always as granular staining in cells with a macrophagelike morphology. Double staining with anti-CD68 confirmed that this cytoplasmic staining was indeed nearly always restricted to macrophages representing mostly phagocytosed nuclear apoptotic debris (Figure 1). Double staining with CD30 or CD15 with either active caspase 3 or PARP/p89 was unsuccessful, probably because of the rapid disappearance of both markers early in apoptosis.
Detection of active caspase 3–expressing neoplastic cells in HD in combination with CD68.
Double staining of active caspase 3 (brown) and CD68 (blue) indicates that nearly all active caspase 3–positive cytoplasmic staining is restricted to CD68-positive macrophages. (arrow) Macrophage containing active caspase 3-positive debris. (arrowhead) Active caspase 3–positive. CD68− H/RS cell with exclusive cytoplasmic staining (thin arrow). Original magnification × 630.
Detection of active caspase 3–expressing neoplastic cells in HD in combination with CD68.
Double staining of active caspase 3 (brown) and CD68 (blue) indicates that nearly all active caspase 3–positive cytoplasmic staining is restricted to CD68-positive macrophages. (arrow) Macrophage containing active caspase 3-positive debris. (arrowhead) Active caspase 3–positive. CD68− H/RS cell with exclusive cytoplasmic staining (thin arrow). Original magnification × 630.
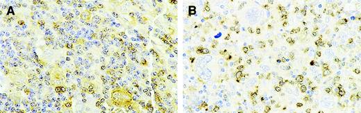
The percentage of active caspase 3–positive H/RS cells ranged from 0% to 13%, with a mean of 4.3% (Figure 2). Staining was mostly found in nuclei of morphologically identifiable apoptotic cells (Figure 3A-B), though active caspase 3 was also detected as nuclear and cytoplasmic staining in a small number of H/RS cells without morphologic signs of apoptosis.
Histogram of number of patients with different percentages of active caspase 3–expressing H/RS cells.
Histogram of number of patients with different percentages of active caspase 3–expressing H/RS cells.
Expression of active caspase 3 and PARP-1/p89 in HD.
(A) Active caspase 3 expression in a patient with HD showing 5% or more active caspase 3–positive H/RS cells. (B) Expression of active caspase 3 in a patient with HD showing less than 5% active caspase 3–positive H/RS cells. (C) PARP-1/p89 expression in the same HD patient as depicted in Figure 5A, showing comparable numbers of PARP-1/p89 and active caspase 3–positive H/RS cells. (D) Expression of PARP-1/p89. The same HD patient depicted in Figure 5B, showing expression in a few small reactive but negative H/RS cells. Original magnification × 630.
Expression of active caspase 3 and PARP-1/p89 in HD.
(A) Active caspase 3 expression in a patient with HD showing 5% or more active caspase 3–positive H/RS cells. (B) Expression of active caspase 3 in a patient with HD showing less than 5% active caspase 3–positive H/RS cells. (C) PARP-1/p89 expression in the same HD patient as depicted in Figure 5A, showing comparable numbers of PARP-1/p89 and active caspase 3–positive H/RS cells. (D) Expression of PARP-1/p89. The same HD patient depicted in Figure 5B, showing expression in a few small reactive but negative H/RS cells. Original magnification × 630.
In most patients, the number of active caspase 3–positive H/RS cells correlated strongly with the number of PARP-1/p89–positive neoplastic cells (Figure 3C-D; R = 0.642;P < .0001), indicating that PARP-1 is proteolytically cleaved at the site used by effector caspases. Presence of PARP-1/p89 in similar numbers of H/RS cells as active caspase 3 strongly suggests that active caspase 3 is truly functional. The fact that nearly all active caspase 3– or PARP-1/p89–positive H/RS cells were morphologically recognizable as apoptotic further indicates the proper functioning of active caspase 3.
The mean number of active caspase 3–, and PARP-1/p89-positive tumor cells in HD appeared to be a little lower than the mean number of positive tumor cells observed in primary biopsy specimens of diffuse large B-cell lymphomas (mean, 9%; range, 1%-18%) but was found to be lower than the numbers observed in Burkitt lymphomas (mean, 13%; range, 6%-26%).31
High numbers of active caspase 3–positive H/RS cells are correlated with a favorable clinical outcome
The presence of many active caspase 3–positive H/RS cells was strongly related to a favorable prognosis. The threshold giving the most discriminative power was found to be 5%. All 22 patients with 5% or more active caspase 3–positive H/RS obtained complete remission; only 3 patients had relapses but regained complete remission following a second cycle of chemotherapy (Table 2). In contrast, 7 of 41 patients with less than 5% active caspase 3–positive H/RS cells did not reach complete remission, 18 had relapses, and 11 died. Using the log-rank test, differences in overall survival and progression-free survival were significant at P = .02 and P = .009, respectively. Stratified for stage, values were P = .009 and P = .005, respectively (Figure4A-B).
Comparison of survival times.
(A) Comparison of overall survival time according to the percentage of active caspase 3–expressing H/RS cells. (B) Comparison of progression-free survival time according to the percentage of active caspase 3–expressing neoplastic cells in HD.
Comparison of survival times.
(A) Comparison of overall survival time according to the percentage of active caspase 3–expressing H/RS cells. (B) Comparison of progression-free survival time according to the percentage of active caspase 3–expressing neoplastic cells in HD.
The prognostic value of the percentage caspase 3–positive H/RS cells was independent from stage at presentation. Interestingly, the presence of 5% or more active caspase 3–positive cells was related to excellent clinical outcome, even in patients with stage IV disease (P = .03).
Presence of many active caspase 3–positive H/RS cells correlates with expression of probably wild-type p53 in H/RS cells
Expression of p53 was only observed in H/RS cells. Small lymphoid cells were always negative. In most patients either no or all H/RS cells were p53-positive. The remaining patients (n = 7) were regarded as positive or negative if the number of positive staining H/RS cells was either more than or less than 50%. A strong correlation was found between the presence of 5% or more active caspase 3–positive H/RS cells and p53-expressing H/RS cells (P = .004; Table3). In 15 of 18 (83%) patients with high levels of active caspase 3, p21 was found together with p53, indicating that in these instances probably wild-type p53 is expressed.44
Tumor characteristics in relation to numbers of active caspase 3–positive H/RS cells
| Characteristic . | Active caspase 3–positive H/RS cells (%) . | P . | |
|---|---|---|---|
| ≤ 5% (n = 41)† . | > 5% (n = 22)3-150 . | ||
| P53 | |||
| Negative | 20 | 3 | — |
| Positive | 19 | 19 | .004 |
| P21 | |||
| Negative | 7 | 0 | — |
| Positive | 28 | 18 | .04 |
| Procaspase 3 | |||
| Negative | 9 | 0 | — |
| Positive | 21 | 17 | .01 |
| Activated CTLs | |||
| < 15% | 25 | 17 | — |
| ≥ 15% | 10 | 1 | .05 |
| Characteristic . | Active caspase 3–positive H/RS cells (%) . | P . | |
|---|---|---|---|
| ≤ 5% (n = 41)† . | > 5% (n = 22)3-150 . | ||
| P53 | |||
| Negative | 20 | 3 | — |
| Positive | 19 | 19 | .004 |
| P21 | |||
| Negative | 7 | 0 | — |
| Positive | 28 | 18 | .04 |
| Procaspase 3 | |||
| Negative | 9 | 0 | — |
| Positive | 21 | 17 | .01 |
| Activated CTLs | |||
| < 15% | 25 | 17 | — |
| ≥ 15% | 10 | 1 | .05 |
P values were determined by χ2analysis.
Not all patients were tested because of the absence of enough material for additional immunohistochemical analysis.
Absence of procaspase 3 in patients with HD with low levels of active caspase 3
In all patients with HD, most reactive lymphocytes stained positively for procaspase 3 using both antibodies (Figure5A-B). In addition, in H/RS cells in most patients clear expression of the uncleaved form of caspase 3 was detected, with the exception of 9 patients in whom no or only weak expression of procaspase 3 was observed (Figure 5A-B). As expected, these procaspase 3–negative patients all had an absence of active caspase 3–positive H/RS cells. Absence of procaspase 3 was not observed in patients with 5% or more active caspase 3–positive H/RS cells (P = .012).
Expression of procaspase 3 in HD.
(A) In this patient with HD, all H/RS cells expressed procaspase 3 at levels similar to those for the reactive infiltrating lymphocytes that served as an internal positive control. (B) Absence of procaspase 3 in the H/RS cells and strongly positive reactive lymphocytes. Expression of active caspase 3 and PARP-1/p89 in the neoplastic cells was not observed in this patient (Figure 3B,D). Original magnification × 630.
Expression of procaspase 3 in HD.
(A) In this patient with HD, all H/RS cells expressed procaspase 3 at levels similar to those for the reactive infiltrating lymphocytes that served as an internal positive control. (B) Absence of procaspase 3 in the H/RS cells and strongly positive reactive lymphocytes. Expression of active caspase 3 and PARP-1/p89 in the neoplastic cells was not observed in this patient (Figure 3B,D). Original magnification × 630.
Number of active caspase 3–positive H/RS cells is inversely correlated with number of activated CTLs
The number of activated (ie, granzyme B-positive) CTLs in biopsy specimens was determined as described previously.40 When percentages of GrB-positive lymphocytes were compared with numbers of active caspase 3–positive H/RS cells, it appeared that nearly all patients with many activated CTLs harbor low numbers of active caspase 3–positive H/RS cells and vice versa.
Discussion
We have shown that high numbers of active caspase 3–positive H/RS cells found in pretreatment biopsy of HD patients predict a highly favorable clinical outcome. Proper functioning of active caspase 3 was demonstrated by the concomitant detection of PARP-1/p89 in similar numbers of H/RS cells. In addition, active caspase 3 and PARP-1/p89 were detected in morphologically (pre)apoptotic cells.
The strong relation between high numbers of active caspase 3–positive H/RS cells and excellent prognosis supports the notion that a favorable response to radiotherapy or chemotherapy depends, at least partially, on the proper activation of downstream effector caspases. However, functional studies on isolated lymphoma cells are necessary to determine whether HD patients with many active caspase 3–positive cells are indeed more sensitive to the cell death–inducing effect of chemotherapy than patients harboring low numbers of active caspase 3–positive H/RS cells. Cell lines appear to be less suitable to test this hypothesis because cell lines are strongly selected for survival in culture and may acquire additional lesions that positively or negatively affect treatment sensitivity, as recently demonstrated by Schmitt et al.45
Many studies demonstrate that, in particular, the stress-induced p53/caspase 9–mediated apoptosis pathway is crucial for the chemotherapy-induced apoptosis pathway.46 Consistent with this notion, we found the expression of probably wild-type p53 in all patients with high numbers of active caspase 3–positive cells. Although the mutational status of p53 cannot be assessed using the DO-7 antibody, the concomitant detection of p21 in p53-positive patients indicates that p53 is most likely present in its wild-type form, in agreement with a previous report.47 This is supported by another study demonstrating the presence of only wild-type p53 in H/RS cells by DNA sequencing.48 These data suggest that in patients with high numbers of active caspase 3–positive cells, a relatively intact stress-induced apoptosis pathway activates caspase 3.
In patients with poor response to chemotherapy, low levels of active caspase 3 may result from the expression of inhibitory proteins in the stress-induced apoptosis pathway upstream from caspase 3 activation. Possible candidates are apoptosis-inhibiting members of the bcl-2 protein family and members of the IAP family.49-52 We found no relation between high bcl-2 expression levels and low levels of active caspase 3 (data not shown). In addition, Bcl-XLalone is not responsible for inhibiting the stress-mediated pathway because the expression of Bcl-XL is detected in all H/RS cells in all patients (data not shown and Xerri et al53 54). The expression of IAPs in H/RS is under investigation.
In addition, in vitro data indicate that the nuclear transcription factor NF-κB might be involved in the inhibition of apoptosis in HD.55 NF-κB was found to be constitutively expressed in H/RS cell lines that were apoptosis resistant, whereas inactivation of this protein rendered the cells apoptosis sensitive.56Interestingly, it was recently reported that the inhibition of NF-κB in HD-derived cell lines can also result in spontaneous caspase-independent cell death.57 Persistent activation of NF-κB in H/RS cells might be caused by defects such as mutation or aberrant expression of the natural inhibitors of NF-κB (I-κB).56 58-60
In principle, all caspases and other proteins of the apoptosis cascade are possible tumor-suppressor genes. Loss of Apaf-1 function, crucial for caspase 9 activation, was recently demonstrated to account for resistance to apoptosis in melanoma cells.61 In some HD patients without any active caspase 3–positive H/RS cells, no expression of procaspase 3 was detected. Absence of procaspase 3 expression in neoplastic cells of HD has been described previously but primarily in nodular lymphocyte-predominant cases.41 62Thus, in these instances, the absence of caspase 3 activation might also be caused by defects in transcriptional regulation of procaspase 3 or by the existence of defects in either or both encoding genes.
This notion is supported by a recent study by Wrone-Smith et al,63 who demonstrated that the lack of procaspase 3 expression in one HD-derived cell line (KM-H2) results in reduced sensitivity to chemotherapy-induced apoptosis that can be restored by transfecting these cells with procaspase 3. Detection of defects in procaspase 3 and other apoptosis-regulating proteins on DNA level will be investigated in H/RS cells using single-cell polymerase chain reaction–based analysis.
Alternatively, differences in levels of caspase 3 activation may be caused by differences in upstream activation of either or both apoptosis pathways. This possibility was investigated by comparing numbers of active caspase 3–positive H/RS cells with percentages of activated (granzyme B-positive) CTLs. In fact, we found that the highest levels of active caspase 3–positive H/RS cells were observed in patients with no or few activated CTLs and vice versa (Table 3). Thus high levels of active caspase 3 cannot simply be explained by a more intense CTL-mediated immune response. This observation supports our previous hypothesis that in patients with many activated CTLs, a strong selection for tumor cells has occurred that have become resistant to CTL-induced apoptosis, resulting in cross-resistance to chemotherapy-induced apoptosis.11
In conclusion, high numbers of active caspase 3–positive H/RS cells in pretreatment biopsy specimens of HD patients predict a highly favorable clinical outcome, supporting the notion that an intact apoptosis cascade is necessary for the cell killing effect of chemotherapy. Identification of putative defects at the time of diagnosis allow for accurate prediction of sensitivity to chemotherapy treatment and could be used to develop alternative chemotherapy or radiotherapy schemes to improve clinical outcome.
The publication costs of this article were defrayed in part by page charge payment. Therefore, and solely to indicate this fact, this article is hereby marked “advertisement” in accordance with 18 U.S.C. section 1734.
References
Author notes
Joost J. Oudejans, Dept of Pathology, VU Medical Centre, De Boelelaan 1117, 1081 HV Amsterdam, The Netherlands; e-mail: jj.oudejans@vumc.nl.





This feature is available to Subscribers Only
Sign In or Create an Account Close Modal