Abstract
Tick saliva contains anti-inflammatory and immunosuppressive substances that facilitate blood feeding and enhance tick-vectored pathogen transmission, including Anaplasma phagocytophila,an etiologic agent of granulocytic ehrlichiosis. As such, inflammation at a tick-feeding site is strikingly different than that typically observed at other sites of inflammation. Up-regulation of CD11b/CD18 occurs in host granulocytes following interaction or infection withA phagocytophila, and the absence of CD11b/CD18 results in early increases in bacteremia. We hypothesized that β2 integrin–dependent infection kinetics and leukocyte extravasation are important determinants of neutrophil trafficking to, and pathogen acquisition at, tick-feeding sites.A phagocytophila infection kinetics were evaluated in CD11a/CD18, CD11b/CD18, and CD18 knock-out mice using quantitative polymerase chain reaction (PCR) of blood, ticks, and skin biopsies in conjunction with histopathology. A marked increase in the rate ofA phagocytophila infection of neutrophils and pathogen burden in blood followed tick feeding. Infection kinetics were modified by β2 integrin expression and systemic neutrophil counts. Significant neutrophil-pathogen trafficking was observed to both suture and tick sites. Despite the prominent role for β2 integrins in neutrophil arrest in flowing blood, successful pathogen acquisition by ticks occurred in the absence of β2 integrins. Establishment of feeding pools that rely less on leukocyte trafficking and more on small hemorrhages may explain the ready amplification of A phagocytophila DNA from ticks infested on CD11/CD18-deficient mouse strains.
Introduction
Anaplasma phagocytophila, formerly named the agent of human granulocytic ehrlichiosis (HGE),1 is an obligate intracellular granulocytotropic bacterium that relies on a short-lived, terminally differentiated, powerful antimicrobial cell for survival and dissemination.2A phagocytophilais vectored by ticks in the Ixodes persulcatuscomplex3,4 and is 1 of 2 recognized pathogens to cause HGE.5 Laboratory mice serve as useful tools for investigation of in vivo pathogenesis and kinetics of A phagocytophila infection and are uniquely suited to study the natural route of infection and transmission at the host-vector interface.3,4,6,7 In addition, the use of genetically engineered mice with precise genetic defects, including deletions of leukocyte adhesion molecules, allows detailed investigation of infection kinetics, leukocyte function and migration, and pathogen acquisition. Infection of mice with A phagocytophila results in increased surface expression of the β2 integrin, CD11b/CD18.8 Alterations in β2 integrin expression are associated with cell activation and may be important in pathogen clearance and neutrophil-pathogen trafficking to a tick-feeding site.
The kinetics of neutrophil movement in blood, extravasation, and trafficking to the dermis are multistep navigational processes reliant on adhesion molecules found on neutrophils, endothelial cells, connective tissue cells, and extracellular matrix proteins. Two β2 integrins, CD11a/CD18 (LFA-1) and CD11b/CD18 (Mac-1, CR3), are known to play distinct but important roles in firm endothelial adhesion and vascular transmigration of neutrophils.9,10 Although alternative adhesion molecule pathways involving the β1 integrins11,12 and platelet-endothelial cell adhesion molecule-1 (PECAM-1)13-15 may play roles in extravascular leukocyte trafficking, the β2 integrins have been specifically implicated as important in neutrophil trafficking to the dermis.16-19 In addition, both CD18 null mice and humans with leukocyte adhesion deficiency type 1 (heterogeneous mutations in CD18) suffer from recurrent dermatitis, impaired wound healing, and lack of pus formation, further suggesting that the absence of CD18 impairs dermal neutrophil migration.19
A variety of individual chemotactic and/or activation stimuli have been used in the study of dermal leukocyte migration both in vivo and in vitro. However, specific evaluation of leukocyte migration to tick-feeding sites has received little attention. Proteins within tick saliva inhibit activation of the alternative complement pathway,20,21 interferon (IFN-α, -β, and -γ) production,22,23 Th1 cytokine production,24-26 and phagocyte nitric oxide and superoxide production.27-29A phagocytophila is transmitted and acquired by a tick vector, and tick saliva represents a novel stimulus for evaluation of neutrophil migration and pathogen transmission. In the current study, we investigated facets of A phagocytophila pathogenesis in a mouse model, including leukocyte-pathogen trafficking to tick-feeding sites and the effect of infection kinetics in blood on pathogen transmission efficiency to a tick vector.
Materials and methods
Mice
Female, 4- to 6-week-old, specific pathogen-free C3H/Smn.CIcrHsd-scid (severe combined immunodeficiency [SCID]) mice were purchased from Harlan Sprague-Dawley (Indianapolis, IN). Thirty, 6- to 12-week-old, CD11b/CD18 knock-out mice (CD11b−/−) and 30, 6- to 12-week-old, CD11a/CD18 knock-out mice (CD11a−/−) backcrossed onto C57BL/6J (B6) mice for 12 generations were provided by one of the authors (C.M.B.). Four CD18 null mice (CD18−/−) were generously provided by Dr Clifford Lowell (University of California, San Francisco). Age- and sex-matched wild-type B6 mice were purchased from the Jackson Laboratory (Bar Harbor, ME) and were used as congenic controls for CD11b−/−, CD11a−/−, and CD18−/− mice. All mice were maintained according to Public Health Service (PHS) guidelines under an approved institutional animal use and care protocol.
A phagocytophila
The pathogen used in these studies was isolated from peripheral blood of an HGE patient from Nantucket, MA, (NCH-1 isolate)4 and maintained through serial intraperitoneal passage of infected blood in SCID mice, as described.6Blood from these mice, collected approximately 3 to 4 weeks after inoculation, served as the source of infectious material in all experiments. For each experiment, infected SCID mouse blood was pooled and a 50 μL aliquot was tested by quantitative polymerase chain reaction (PCR) to quantify and standardize the initial infectious dose of A phagocytophila. Mice were inoculated intraperitoneally with 100 μL pooled infected, or uninfected (controls), anticoagulated blood. Experiments with B6, CD11b−/−, and CD11a−/− mice were repeated 2 to 3 times. Due to mouse availability, experiments involving CD18−/− mice were limited and not repeated. Data from these few mice are described only to demonstrate the effects of marked neutrophilia on infection kinetics and pathogen transmission.
Ticks
Adult Ixodes scapularis ticks were collected from the field in southern Connecticut and generously provided by Dr Durland Fish (Yale University, New Haven, CT). Adult ticks produced larvae that were fed on uninfected C3H/HeN mice and allowed to molt and harden into nymphs as previously described.7 Ten percent of the molted nymph pool was tested by PCR and found to be negative forBorrelia burgdorferi and A phagocytophila.
In vivo experimental design
Mice were inoculated with infected (4 × 105 to 1 × 106A phagocytophila p44 DNA copy number per mouse, depending on experiment) or uninfected blood intraperitoneally on day −5. On day 5 after inoculation (experimental day 0), infected and control mice were anesthetized with 0.15 to 0.20 mL ketamine/xylazine intraperitoneally (10 mg ketamine per 1 mg xylazine per milliliter, Vetamine, Schering-Plough Animal Health, Union, NJ; TranquiVed, Vedco, St Joseph, MO), and each mouse was infested with 5 uninfected nymphal ticks. Nymphs were placed in small shaved patches on the cranial to middorsal midline. At the same time, one suture (3-0 silk, Ethilon) was placed through the skin in a small shaved area above the tail head, distant from the nymphs. Suture served as a nonspecific, alternate inflammatory source and as a positive control, as described.7 Groups of 3 to 6 uninfected and infected mice of each strain (excluding CD18−/−) were killed with CO2 at 0, 24, 48, and 72 hours after tick infestation (corresponding to days 5, 6, 7, and 8 after initial infection). Previous experiments have shown that marked bacterial amplification in blood occurs by day 3 to 4 after infection and bacteremia is stable by day 5. In addition, this interval represents the preimmune stage of disease, avoiding the complication of immune-mediated pathogen clearance.
At necropsy, blood from each mouse was obtained for quantitative PCR, complete blood cell counts, and differential leukocyte counts. Skin samples were collected from multiple sites including tick-feeding site(s), distant nontick sites, and suture sites using 2-mm sterile dermal biopsy punches (Miltex Instrument, Bethpage, NY) to ensure comparably sized tissue sections for quantitative PCR. Skin from tick, nontick, and suture sites was also collected for histopathology. The location of ticks was noted, and all ticks were individually collected for quantitative PCR except for ticks attached to skin sections submitted for histopathology, which were used to direct and facilitate sectioning. For histopathology, sections of skin were fixed in 10% formalin, paraffin embedded, sectioned, and stained with hematoxylin and eosin using standard techniques. All slides were blindly examined by one of the authors (H.E.V.D.) to assess the degree and type of inflammatory cell infiltrate and presence or absence of transmigrating neutrophils as well as other significant inflammatory changes including hemorrhage and edema.
DNA extraction and quantitative PCR
DNA extraction.
DNA was extracted from 50 μL blood, individual skin samples, and individual ticks obtained at necropsy using DNeasy tissue kit according to the manufacturer's instruction for tissues and insects (QIAGEN, Valencia, CA). Ticks were crushed in liquid nitrogen with a plastic grinder, and powder was used for consequent DNA extraction. The copy number of p44 A phagocytophila target gene was expressed per tick, per skin sample, and per milliliter of blood.
TaqMan probe, primers, reaction mix, and thermal cycling.
Three oligonucleotides, 2 primers, and 1 probe for the target geneA phagocytophila p44 (GenBank accession no.AF037599) were used under the conditions previously described.8 DNA amplification, data acquisition, and data analysis were performed in an ABI Prism 7700 Sequence Detector (Applied Biosystems, Foster City, CA), and quantification of the amount of A phagocytophila p44 gene in each sample was accomplished by measuring cycle threshold (CT) and using an absolute standard curve (from a plasmid standard) as previously described.30 A Sequence Detection System (version 1.6 software) was used to analyze data. Results were exported to a Microsoft Excel worksheet for statistical analysis.
Plasma IFN-γ cytokine ELISA
Murine plasma IFN-γ levels were assayed using an OptEIA enzyme-linked immunosorbent assay (ELISA) kit according to manufacturer's instructions (Pharmingen, San Diego, CA). In brief, 96-well plates were coated with 100 μL antimouse IFN-γ capture antibody (diluted at 1:2000 in coating buffer) and incubated overnight at 4°C. Wells were washed and blocked with phosphate-buffered saline (PBS)/10% fetal bovine serum (FBS) for 1 hour. A standard curve was created using recombinant mouse IFN-γ diluted with PBS/10% FBS (1000 pg/mL to 31.3 pg/mL); 100 μL of each standard, sample, or controls was pipetted into each well and incubated for 2 hours at room temperature (samples were run in duplicate at 1:4 and 1:8 dilutions). Plates were washed, and 100 μL biotinylated antimouse IFN-γ (diluted 1:250) was added to each well. After 1 hour at room temperature, plates were washed and 100 μL avidin–horseradish peroxidase conjugate was added. Also, 100 μL of the substrate (tetramethylbenzidine and hydrogen peroxide) was added and permitted to incubate for 30 minutes. Optical absorbance was read at 450 nm on an automated ELISA plate reader.
Statistical analysis
Statistical comparisons between 2 groups of mice or time periods were made using a Student t test. Multiple comparison analyses were made using a 1-way analysis of variance (ANOVA) followed by a least squares difference post hoc test (SPSS, version 6.1 for Windows, SPSS, Chicago, IL). Calculated P values less than .05 were considered significant.
Results
Tick feeding results in increased A phagocytophila DNA in blood with kinetics influenced by β2 integrin expression
The amount of A phagocytophila p44 DNA in blood is likely to be influenced by the number of circulating granulocytes, the success of transmission to susceptible host cells, the rate of pathogen replication, and the rate of neutrophil margination and extravasation. The p44 DNA copy number in blood of different experimental mice over time is depicted in Figure1A. Before tick infestation (time 0, day 5 after systemic infection), CD11a−/− and CD11b−/− mice had significantly higher p44 DNA in their blood compared with B6 wild-type controls (P = .024 and .038, respectively). At 24 hours after tick infestation, there was a significant and marked increase in p44DNA in the blood of all mouse strains compared with time 0 (P < .05 for all strains). This increase, however, was 3-fold greater for CD11a−/− and CD11b−/−mice compared with B6 wild-type controls (P = .003 and .007, respectively).
A phagocytophila p44 DNA copy number amplified from blood.
(A) Amplification of blood was performed using quantitative PCR or (B) presented as a ratio of DNA per granulocyte in β2 integrin knock-out and B6 congenic control mice before and after I scapularis tick infestation. (A) Lines represent averageA phagocytophila p44 DNA copy number per milliliter of blood ± SE (n = 4 to 8 mice per strain per time period). *Significant differences compared with time 0 (P < .05). (B) Ratio of p44 DNA per granulocyte. This ratio was calculated by dividing total A phagocytophila p44 DNA copy number per milliliter of blood by the number of granulocytes per milliliter of blood. Columns represent average ratio ± SE (n = 4 to 8 mice per strain per time period). *Significant differences compared with time 0 (P < .05).
A phagocytophila p44 DNA copy number amplified from blood.
(A) Amplification of blood was performed using quantitative PCR or (B) presented as a ratio of DNA per granulocyte in β2 integrin knock-out and B6 congenic control mice before and after I scapularis tick infestation. (A) Lines represent averageA phagocytophila p44 DNA copy number per milliliter of blood ± SE (n = 4 to 8 mice per strain per time period). *Significant differences compared with time 0 (P < .05). (B) Ratio of p44 DNA per granulocyte. This ratio was calculated by dividing total A phagocytophila p44 DNA copy number per milliliter of blood by the number of granulocytes per milliliter of blood. Columns represent average ratio ± SE (n = 4 to 8 mice per strain per time period). *Significant differences compared with time 0 (P < .05).
Plasma IFN-γ levels were determined to assess whether tick feeding or mouse strain resulted in differential IFN-γ production that could influence pathogen kinetics. Uninfected mice maintained plasma IFN-γ levels of 50 pg/mL or less, regardless of strain. Infected wild-type mice in the absence of ticks had plasma IFN-γ levels that ranged from 60 to 250 pg/mL. Tick-fed mice, regardless of strain, had significantly higher plasma IFN-γ levels than non–tick-fed mice at all time points after tick feeding (range, 150-2515 pg/mL; P < .05). Strains with the highest blood burden of pathogen, especially CD11a−/− mice, tended toward the highest plasma IFN-γ concentration.
The kinetics of A phagocytophila p44 DNA copy number in blood changed over the course of tick feeding. In B6 mice, a significant increase in p44 DNA began by 24 hours after tick infestation, continued through 48 hours, and returned to baseline levels at 72 hours. In CD11b−/− mice, there was a marked amplification at 24 hours after tick infestation that rapidly returned to baseline by 48 hours and stayed low. In CD11a−/− mice, the marked amplification began at 24 hours and peaked at 48 hours, reaching a level 5-fold higher than B6 or CD11b−/− mice, before a rapid decline to near baseline at 72 hours. Although only a few infected CD18−/− mice were evaluated, p44DNA copy number in blood was 300 times greater than both CD11a−/− and CD11b−/− mice at 24 hours after tick infestation (data not shown). These mice highlight the trend of exponential pathogen amplification when markedly increased numbers of susceptible host cells are combined with a complete defect in leukocyte extravasation and clearance.
A peripheral neutrophilia developed in infected mice, but not in uninfected control mice, 24 hours after tick infestation (Table1). Compared with time 0, infected mice from all strains had a significantly higher neutrophil count at 24 hours after tick infestation than their baseline neutrophil counts (P < .05 for all comparisons). This neutrophilia was also noted in CD18−/− mice (data not shown). Due to high individual variation in blood neutrophil counts, statistical differences between infected and uninfected mice were not noted at 48 and 72 hours after tick infestation; however, the trend toward higher counts in infected mice remained. Thus, neutrophilia partially explains the marked increase in A phagocytophila p44 DNA in the blood, especially at 24 hours after tick infestation.
Peripheral blood neutrophil counts per microliter
| Mouse strain ID . | Hours after infestation . | Uninfected . | Infected . | ||
|---|---|---|---|---|---|
| Ave . | SE . | Ave . | SE . | ||
| B6 | 0 | 844 | 149 | 1041 | 61 |
| B6-CD11b−/− | 0 | 1748 | 206 | 1188 | 244 |
| B6-CD11a−/− | 0 | 2423 | 702 | 2159 | 224 |
| B6 | 24 | 738 | 159 | 1285 | 212 |
| B6-CD11b−/− | 24 | 1737 | 125 | 2483 | 517 |
| B6-CD11a−/− | 24 | 2012 | 867 | 4078 | 825 |
| B6 | 48 | 1276 | 266 | 1463 | 250 |
| B6-CD11b−/− | 48 | 974 | 257 | 1380 | 256 |
| B6-CD11a−/− | 48 | 2041 | 655 | 2626 | 278 |
| B6 | 72 | 570 | 43 | 735 | 18 |
| B6-CD11b−/− | 72 | 1031 | 7 | 1704 | 287 |
| B6-CD11a−/− | 72 | 4400 | 1262 | 2015 | 447 |
| Mouse strain ID . | Hours after infestation . | Uninfected . | Infected . | ||
|---|---|---|---|---|---|
| Ave . | SE . | Ave . | SE . | ||
| B6 | 0 | 844 | 149 | 1041 | 61 |
| B6-CD11b−/− | 0 | 1748 | 206 | 1188 | 244 |
| B6-CD11a−/− | 0 | 2423 | 702 | 2159 | 224 |
| B6 | 24 | 738 | 159 | 1285 | 212 |
| B6-CD11b−/− | 24 | 1737 | 125 | 2483 | 517 |
| B6-CD11a−/− | 24 | 2012 | 867 | 4078 | 825 |
| B6 | 48 | 1276 | 266 | 1463 | 250 |
| B6-CD11b−/− | 48 | 974 | 257 | 1380 | 256 |
| B6-CD11a−/− | 48 | 2041 | 655 | 2626 | 278 |
| B6 | 72 | 570 | 43 | 735 | 18 |
| B6-CD11b−/− | 72 | 1031 | 7 | 1704 | 287 |
| B6-CD11a−/− | 72 | 4400 | 1262 | 2015 | 447 |
Ave indicates average.
To distinguish between the contribution of increased pathogen replication within an individual neutrophil and the contribution of an increase in the population of susceptible cells to total blood pathogen burden, p44 DNA copy number was normalized by granulocyte number per milliliter of blood. This ratio is depicted in Figure 1B. At time 0, the significant increase of p44 DNA in the blood of CD11a−/− mice correlated with an increased number of circulating host cells. Conversely, although CD11b−/−mice had significantly more p44 DNA in their blood than B6 mice, this appeared to be influenced by both higher numbers of organisms per cell and increased neutrophil counts. At 24 hours after tick infestation, DNA copy number per granulocyte in CD11b−/− mice increased significantly, both compared with its baseline value at time 0 as well as compared with other mouse strains (Figure 1B; P = .01 and 0.04, respectively). This initial increase was only transient in CD11b−/− mice. In contrast, the copy number of A phagocytophila per granulocyte in CD11a−/− mice increased with time, peaking at 48 hours and remaining significantly increased over baseline at 72 hours after tick infestation (P < .05 at 48 and 72 hours after infestation compared with time 0). CD18−/− mice paralleled the changes noted in CD11a−/− mice with an increased ratio at 24 hours that continued to increase over time. B6 mice showed a steady increase in p44 DNA per granulocyte that remained above baseline at 48 and 72 hours after infestation (P < .05). This relative increase in DNA per granulocyte appeared to be a function of the 2- to 3-fold lower number of neutrophils, compared with knock-out strains, resulting in a relatively low copy number in blood over time.
In summary, tick feeding resulted in a marked amplification ofp44 DNA in the blood of all infected mice. The kinetics of this increase differed between mice. The amplification could be partially explained by an increase in susceptible host cells (neutrophilia) in all mice. CD11b−/− mice had a transient, early increase in pathogen burden associated with increased numbers of organisms per neutrophil whereas CD11a−/− and CD18−/− had sustained increases in pathogen burden likely due to increases in neutrophil count combined with defects in neutrophil extravasation promoting pathogen replication in blood.
Neutrophil-pathogen accumulation at dermal sites of suture and tick feeding
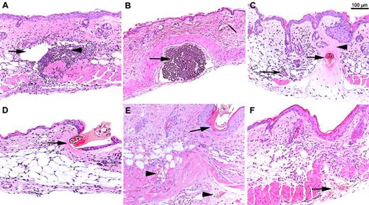
Suture elicited significantly more neutrophilic inflammation and pathogen accumulation than tick feeding based on histopathology and quantitative PCR of skin biopsies (Figures 2-3; Table2). As such, these disparate tissue insults provided 2 extremes of inflammatory stimuli. In most mice, histopathologic changes within 24 hours of suture placement included marked diffuse neutrophilic, occasionally necrotizing, inflammation in the superficial dermis. This inflammation was directly associated with the suture and probably represented recruitment of local neutrophils to trauma and local “injection” of skin-associated bacterial flora into the skin (Figure 2A). Remarkably, there was an absence of neutrophilic inflammation in response to suture in CD18−/− mice (Figure 2B). In addition, marginated and transmigrating neutrophils, distant from the inciting suture, were noted in B6 mice but were essentially absent in CD11a−/−, CD11b−/−, and CD18−/− mice. In sharp contrast, histopathologic changes associated with 24 to 48 hours of tick feeding included mild to moderate, diffuse, primarily lymphoplasmacytic inflammation in the superficial dermis, regardless of mouse strain. The tick attachment site was characterized by a cement cone, secreted by the tick, that appeared in tissue sections as a homogeneous eosinophilic matrix (Figure 2C-D).31 32 After 72 hours, features associated with tick feeding included foci of moderate to marked hemorrhage with swollen, plump endothelial cells, edema, and vascular congestion (Figure 2E-F). These vascular changes were not noted at suture sites, even in the face of occasionally necrotizing, marked neutrophilic inflammation.
Representative histologic sections of murine skin after tick infestation or suture placement.
(A) Marked purulent inflammation induced by 24 hours of suture placement in a CD11b−/− mouse. Arrow indicates hole in dermis where suture used to be. Arrowhead indicates neutrophilic inflammation. (B) Complete absence of neutrophilic response to suture in a CD18−/− mouse. Arrow indicates retained suture. (C) Minimal, primarily lymphocytic inflammation induced by 24 hours of tick feeding in a CD11b−/− mouse. Arrow indicates I scapularis mouth parts embedded in the dermis. Arrowhead indicates pink cement substance secreted by the tick to aid in firm attachment. Narrow, concave arrow indicates venules containing erythrocytes and nonextravasated leukocytes. (D) Minimal inflammation induced by 24 hours of tick feeding in a B6 mouse. Arrow indicates I scapularis mouth parts breaching the superficial epidermis. (E) Moderate hemorrhage induced after 72 hours of tick feeding in a B6 mouse. Arrow indicates remnants of I scapularis near epidermis. Arrowheads indicate hemorrhage and disruption of normal dermal tissue architecture. Note minimal leukocytic inflammation compared with abundant hemorrhage. (F) Moderate hemorrhage induced after 72 hours of tick feeding in a CD11a−/− mouse. Arrows indicate pools of hemorrhage and free erythrocytes dissecting up through muscle layer of dermis.
Representative histologic sections of murine skin after tick infestation or suture placement.
(A) Marked purulent inflammation induced by 24 hours of suture placement in a CD11b−/− mouse. Arrow indicates hole in dermis where suture used to be. Arrowhead indicates neutrophilic inflammation. (B) Complete absence of neutrophilic response to suture in a CD18−/− mouse. Arrow indicates retained suture. (C) Minimal, primarily lymphocytic inflammation induced by 24 hours of tick feeding in a CD11b−/− mouse. Arrow indicates I scapularis mouth parts embedded in the dermis. Arrowhead indicates pink cement substance secreted by the tick to aid in firm attachment. Narrow, concave arrow indicates venules containing erythrocytes and nonextravasated leukocytes. (D) Minimal inflammation induced by 24 hours of tick feeding in a B6 mouse. Arrow indicates I scapularis mouth parts breaching the superficial epidermis. (E) Moderate hemorrhage induced after 72 hours of tick feeding in a B6 mouse. Arrow indicates remnants of I scapularis near epidermis. Arrowheads indicate hemorrhage and disruption of normal dermal tissue architecture. Note minimal leukocytic inflammation compared with abundant hemorrhage. (F) Moderate hemorrhage induced after 72 hours of tick feeding in a CD11a−/− mouse. Arrows indicate pools of hemorrhage and free erythrocytes dissecting up through muscle layer of dermis.
A phagocytophila p44 DNA copy number amplified from skin associated with tick sites and suture sites using quantitative PCR.
Lines represent average ± SE (n = 4 to 8 mice per strain per sample period). *Significant differences between tick (A) and suture (B) skin sites and adjacent noninflamed skin sites sampled at the same time (P < .05). *** indicates that inflamed skin in all 3 mouse strains (B6, CD11a−/−, and CD11b−/−) is significantly different than adjacent noninflamed skin. Note that suture (B) elicits 100 to 150 times greater neutrophil-pathogen accumulation than tick feeding (A).
A phagocytophila p44 DNA copy number amplified from skin associated with tick sites and suture sites using quantitative PCR.
Lines represent average ± SE (n = 4 to 8 mice per strain per sample period). *Significant differences between tick (A) and suture (B) skin sites and adjacent noninflamed skin sites sampled at the same time (P < .05). *** indicates that inflamed skin in all 3 mouse strains (B6, CD11a−/−, and CD11b−/−) is significantly different than adjacent noninflamed skin. Note that suture (B) elicits 100 to 150 times greater neutrophil-pathogen accumulation than tick feeding (A).
Ratios comparing A phagocytophila DNA in ticks and skin (suture site, tick site) to A phagocytophila DNA in blood
| Mouse strain ID . | Hours after infestation . | Suture . | Tick skin . | Ticks . | |||
|---|---|---|---|---|---|---|---|
| Ave ± SE* . | P† . | Ave ± SE . | P . | Ave ± SE . | P . | ||
| B6 | 24 | 37.1 ± 13.1 | — | 0.11 ± 0.028 | — | 0.007 ± 0.004 | — |
| CD11b−/− | 24 | 5.5 ± 2.4 | .007 | 0.07 ± 0.002 | .28 | 0.002 ± 0.001 | .10 |
| CD11a−/− | 24 | 7.7 ± 1.8 | .011 | 0.03 ± 0.007 | .16 | 0.001 ± 0.001 | .07 |
| B6 | 48 | 1.5 ± 0.7 | — | 0.07 ± 0.016 | — | 0.003 ± 0.002 | — |
| CD11b−/− | 48 | 4.8 ± 2.2 | .08 | 0.11 ± 0.042 | .52 | 0.008 ± 0.007 | .38 |
| CD11a−/− | 48 | 1.2 ± 0.6 | .63 | 0.07 ± 0.012 | .95 | 0.0001 ± 0.0001 | .11 |
| B6 | 72 | 0.7 ± 0.2 | — | 0.16 ± 0.039 | — | 0.052 ± 0.018 | — |
| CD11b−/− | 72 | 5.2 ± 1.3 | .10 | 0.07 ± 0.035 | .12 | 0.030 ± 0.017 | .53 |
| CD11a−/− | 72 | 5.1 ± 1.8 | .17 | 0.11‡ | n/a | 0.001 ± 0.0002 | .02 |
| Mouse strain ID . | Hours after infestation . | Suture . | Tick skin . | Ticks . | |||
|---|---|---|---|---|---|---|---|
| Ave ± SE* . | P† . | Ave ± SE . | P . | Ave ± SE . | P . | ||
| B6 | 24 | 37.1 ± 13.1 | — | 0.11 ± 0.028 | — | 0.007 ± 0.004 | — |
| CD11b−/− | 24 | 5.5 ± 2.4 | .007 | 0.07 ± 0.002 | .28 | 0.002 ± 0.001 | .10 |
| CD11a−/− | 24 | 7.7 ± 1.8 | .011 | 0.03 ± 0.007 | .16 | 0.001 ± 0.001 | .07 |
| B6 | 48 | 1.5 ± 0.7 | — | 0.07 ± 0.016 | — | 0.003 ± 0.002 | — |
| CD11b−/− | 48 | 4.8 ± 2.2 | .08 | 0.11 ± 0.042 | .52 | 0.008 ± 0.007 | .38 |
| CD11a−/− | 48 | 1.2 ± 0.6 | .63 | 0.07 ± 0.012 | .95 | 0.0001 ± 0.0001 | .11 |
| B6 | 72 | 0.7 ± 0.2 | — | 0.16 ± 0.039 | — | 0.052 ± 0.018 | — |
| CD11b−/− | 72 | 5.2 ± 1.3 | .10 | 0.07 ± 0.035 | .12 | 0.030 ± 0.017 | .53 |
| CD11a−/− | 72 | 5.1 ± 1.8 | .17 | 0.11‡ | n/a | 0.001 ± 0.0002 | .02 |
Ave indicates average; —, not applicable; and n/a, not available.
Ratio calculated as (p44 DNA per milligram of skin at suture site [or per milligram of tick skin or per tick])/(p44 DNA per milliliter of blood × 100)
P compares CD11b−/− and CD11a−/− mice with B6 wild-type controls.
n = 1; other ticks attached exclusively to head sites at this time point; therefore, they were not included in analysis.
In the absence of stimuli, A phagocytophila p44DNA copy number in the skin of infected mice was generally low, in agreement with previous studies.30 Two methods were used to compare the efficiency of leukocyte-pathogen migration to sites of dermal inflammation. The first simply compared total p44 DNA copy number per skin sample (Figure 3). The second method normalized for the contribution of increased total blood p44 DNA in knock-out mice by computing the ratio of copy number in tissue sample to that in blood multiplied by 100 (Table2). This ratio permitted evaluation of leukocyte trafficking to the dermis while compensating for the marked increase in p44 DNA copy number in blood of knock-out mice.
A phagocytophila p44 DNA was significantly increased in skin biopsies from both suture and tick-feeding sites compared with adjacent noninflamed sites in all 3 mouse strains at all time periods (Figure 3; P < .05 for all comparisons). However, amplification of p44 DNA was 100 to 150 times greater at suture sites than at tick-feeding sites on the same mouse (note y-axis, Figure 3A-B). At 24 hours after infestation, no significant differences between mouse strains were noted in totalp44 DNA from either tick feeding or suture skin. At 48 hours, tick skin from CD11a−/− mice contained significantly more p44 DNA than their B6 and CD11b−/− counterparts (P < .05). Pathogen accumulation at tick-feeding sites in CD18−/− mice remained high, similar to CD11a−/− mice. In contrast,p44 DNA dropped by 48 hours at suture sites in all mouse strains (P < .05 for all comparisons) and remained low at 72 hours (P > .05 for all comparisons), with no differences in p44 DNA between strains (P > .05 for all comparisons).
There was a significantly higher ratio of p44 DNA at suture sites compared with tick-feeding sites at all time periods and for all mouse strains (Table 2). Data summarized in Table 2 highlight the trend of high relative pathogen DNA at suture sites that progressively decreased at tick-feeding sites and in feeding ticks. At 24 hours, knock-out mice showed a decreased ratio of p44 DNA at both suture and tick sites compared with wild-type mice. This may reflect a delay or deficit in neutrophil extravasation or trafficking. However, by 48 hours, all mice showed essentially comparable ratios of p44DNA at sites of dermal inflammation. With the exception of CD11b−/− mice, the ratio at tick-feeding sites increased over time, likely reflecting hemorrhage rather than increased leukocyte trafficking. Taken together, these data show that β2 integrin–deficient neutrophils retain the ability to infiltrate these sites.
In summary, suture and tick stimuli elicit different types of dermal inflammation. Although both stimuli resulted in increased dermalA phagocytophila p44 DNA compared with noninflamed skin, suture elicited greater neutrophil-pathogen accumulation. At 24 hours, all knock-out mice had a higher absolute amount of p44 DNA at tick-feeding sites compared with wild-type mice. This likely reflected the increase in total blood pathogen burden, because the ratio of p44 DNA in skin compared with blood was actually lower in knock-out mice than in wild-type mice. This may represent an early deficit in neutrophil extravasation or trafficking. By 48 to 72 hours, the ratio of pathogen in blood compared with skin normalized, likely reflecting hemorrhage at tick-feeding sites rather than more effective neutrophil trafficking.
Efficient pathogen transmission from infected mice to I scapularis nymphal ticks is independent of β2 integrins
Of the 5 nymphal ticks placed on each mouse, 2 to 5 were attached and feeding at the time of necropsy. Data were unavailable from only 2 mice that had no attached ticks. Sixty percent of the ticks were attached near the site of placement (cranial to middorsal back). However, 40% of the ticks migrated and attached to sites on the head. Although ticks from all sites were collected and assayed for comparison, A phagocytophila p44 DNA copy number was significantly higher in ticks feeding on eyelids, ears, and muzzles compared with ticks feeding on the thorax. Therefore, only data from ticks removed from the thorax were used for statistical analysis.
After 24 hours of feeding, more than 75% of the ticks were positive for A phagocytophila p44 DNA, with no significant difference between mouse strains in the overall percent of positive ticks. Figure 4 depicts the average copy number of p44 DNA amplified from ticks feeding on the backs of mice over time. Despite a significantly higher infection burden in the blood of CD11a−/− and CD11b−/− mice compared with B6 controls, there were no significant differences inp44 DNA copy number in ticks feeding on the different mouse strains (Figure 4; P > .05 for all comparisons). In addition, although there was a trend toward increasing p44DNA copy number in ticks associated with increased duration of feeding, there was no significant increase in absolute p44 DNA amplified from ticks over time in any of the mouse strains (P > .05 for all comparisons).
A phagocytophila p44 DNA copy number amplified from nymphal I scapularis ticks fed on mice and removed after 24, 48, and 72 hours of infestation.
Lines represent average copy number ± SE (n = 3 to 9 ticks per strain per time period). Although there is a trend toward increased DNA copy number at 72 hours after infestation, due to high variability, there are no significant differences noted between strains or within strains over time in the amount of pathogen DNA amplified from ticks.
A phagocytophila p44 DNA copy number amplified from nymphal I scapularis ticks fed on mice and removed after 24, 48, and 72 hours of infestation.
Lines represent average copy number ± SE (n = 3 to 9 ticks per strain per time period). Although there is a trend toward increased DNA copy number at 72 hours after infestation, due to high variability, there are no significant differences noted between strains or within strains over time in the amount of pathogen DNA amplified from ticks.
As before, a ratio was created by dividing A phagocytophila p44 DNA copy number per tick by p44 DNA copy number in blood to compensate for variations in bacteremia. This ratio permitted determination of relative transmission efficiency as a function of the presence or absence of β2 integrins (Table 2). This ratio increased steadily over time in B6 and CD11b−/−mice and was significantly increased at 72 hours after infestation compared with 24 hours of infestation (P < .05 for both strains). This was in stark contrast with CD11a−/− mice in which the ratio did not change over time (P > .05). CD11a−/− mice also had the lowest ratio at all time points, which was significantly lower than wild-type B6 mice at 72 hours after infestation (P = .02), suggesting that given their high infection burden, relative transmission efficiency to ticks was low. Similarly, although ticks feeding on CD18−/−mice acquired 2- to 10-fold more total p44 DNA than ticks feeding on other mice, the ratio of DNA acquired by the tick compared with DNA in blood was very low, ranging from 0.000 03 to 0.0004, thus indicating the effect of a total deficit in transmigration on tissuep44 DNA amplification.
Discussion
Inflammation stimulates the release or synthesis of prostaglandins, leukotrienes, and platelet-activating factor, which, in turn, have profound effects on vascular tone, blood flow, and leukocyte diapedesis. Experimentally, leukocyte diapedesis and migration are often studied in the context of a single stimulus to distinguish between responses to individual inflammatory mediators. However, tick saliva is a unique stimulus, because it is replete with substances that modulate, and generally down-regulate, inflammatory and hemostasis cascades as well as alter leukocyte functions (Wikel33 offers a complete review). The purpose of this study was to extend the previous observation of neutrophil activation and β2 integrin up-regulation during infection withA phagocytophila to the context of bacterial survival and infection kinetics in blood and leukocyte-pathogen extravasation and trafficking in response to dermal inflammation, including tick feeding. The data suggested that (1) infection kinetics are influenced by leukocyte number and trafficking; (2) tick feeding produces minimal neutrophilic inflammation but moderate hemorrhage compared with suture-induced stimuli; (3) both stimuli result in significant pathogen accumulation in the dermis; and (4) successful pathogen acquisition by ticks occurs in the absence of β2 integrins, although to a much lesser extent in CD11a−/− and CD18−/−mice.
In the present study, neutrophil β2 integrins clearly influencedA phagocytophila burden in blood. Our data suggested that increased numbers of circulating neutrophils (dictating number of susceptible host cells), potential defects in intracellular killing, and defects in neutrophil extravasation all contributed to altered pathogen kinetics. In blood, A phagocytophila DNA increased rapidly within 24 hours of tick feeding. Because tick saliva has been shown to decrease IFN-γ production22,24 and IFN-γ helps limit A phagocytophila infection in mice,33 34 we hypothesized that tick saliva down-regulated IFN-γ production and contributed to this marked increase in bacteremia. However, our data show that plasma IFN-γ levels were actually higher in tick-fed mice than in non–tick-fed mice. High IFN-γ levels were generally correlated with high pathogen burden and were highest in CD11a−/− mice. Thus, tick-induced modulation of IFN-γ levels is likely not the primary mechanism resulting in the marked bacteremia noted 24 hours after tick feeding. Nonetheless, bacteremia was significantly more pronounced in CD11b−/−, CD11a−/−, and CD18−/− mice than in wild-type controls. The dynamics of this increase were remarkably different for each defect, attributable to both peripheral neutrophilia and an increase in pathogen DNA per neutrophil.
All infected mice developed a peripheral neutrophilia 24 hours after tick infestation, concurrent with the marked increase in pathogen burden in blood. We have previously noted the induction of neutrophilia concurrent with A phagocytophila expansion in murine blood (D.L.B., unpublished observations, 2001). Likely considerations for this infection-dependent neutrophilia include the induction of IL-8 (or its murine homolog) by host granulocytes or delayed apoptosis of circulating neutrophils.36-38A significant and relatively sustained neutrophilia in CD11a−/− and CD18−/− mice highlights the role of the CD11a integrin subunit in determining circulating leukocyte counts. Indeed, studies with knock-out mice have confirmed that extravasation from the vasculature is more dependent on CD11a/CD18.9 10
In addition to a moderate neutrophilia, neutrophils from CD11b−/− mice demonstrated an early and significant increase in the number of organisms per granulocyte, consistent with previous findings.8 The rapid decrease in organism number per granulocyte by 48 hours occurred concurrently with a drop in peripheral blood neutrophils and probably represented active leukocyte-pathogen clearance from the blood, because CD11b−/− neutrophils exit the vasculature in numbers comparable to or greater than their wild-type controls.9,10 In contrast, Anaplasma DNA per granulocyte ratio in neutrophils from CD11a−/− and CD18−/− mice increased with time. This increase was preceded by a marked neutrophilia at 24 hours and correlated to an increase in susceptible host cells. Combined with significant defects in extravasation and clearance, a relative increase in neutrophil number may promote increased bacterial replication and transmission within the blood. Regardless of mouse strain, tick feeding may also contribute to dynamic changes in Anaplasma DNA copy number per neutrophil secondary to induction of local immunosuppression and defects in neutrophil function.29 Ultimately, the decrease in A phagocytophila burden in blood may be due to clearance of short-lived blood neutrophils, the return of peripheral neutrophil counts to basal numbers, and an innate or adaptive host immune response.
A phagocytophila is not a dermatotropic pathogen and cannot be readily amplified in high numbers from skin biopsies during active infection.30 For a pathogen that relies on hematogenous acquisition, it is not surprising that skin sites associated with a feeding tick, or other inflammatory stimuli, contain significantly greater Anaplasma DNA than adjacent nontick sites. These data are consistent with previously published observations on the acquisition dynamics of A phagocytophila at the host-vector interface that demonstrated peak skin infection at 24 hours, diminishing by 48 and 72 hours after tick infestation.7
Suture, as a nonspecific inflammatory source, readily recruits neutrophils and Anaplasma DNA from the blood into dermal tissue.7 Our findings concur and suggest that A phagocytophila–infected neutrophils are recruited to inflammatory stimuli in response to generic chemotactic gradients and not only specifically in response to elements in tick saliva. Although suture elicited up to 150-fold more neutrophilic inflammation than feeding ticks (Figures 2 and 3), the inflammation was not sustained. One probable reason for the rapid fall in leukocyte-pathogen recruitment is that a number of mice (more than 50%) were able to groom and remove the suture. Thus, the physical stimulus was frequently absent after 24 to 48 hours, whereas tick feeding provided stimulation throughout the experiment. In addition, acute, neutrophilic inflammation secondary to a single stimulus generally peaks by 24 hours and recedes. Regardless, suture sites remained visible and palpable even in mice where the suture had been removed, and comparisons between sites where suture had been removed versus sites where suture remained revealed no significant differences in quantitative Anaplasma DNA copy number.
Conversely, tick feeding evoked a very different type and degree of inflammatory response. The cellular response to tick feeding varies with host species, tick species, and number of tick exposures. Sequential histopathology of Rhipicephalus sanguineustick-feeding sites in dogs and guinea pigs revealed variability in type of cellular infiltrate, primarily neutrophilic in dogs, with a peak at 24 hours of infestation, and mononuclear/mastocytic in guinea pigs.31 In the current study, 24 hours of tick feeding induced focal, mild to moderate diffuse, lymphocytic dermatitis with minimal hemorrhage (Figure 2). These findings are consistent with previous reports of lymphocytic (CD4+) inflammation in response to tick feeding in BALB/c mice.39
Leukocyte trafficking may be a primary determinant of early leukocyte-pathogen recruitment to tick-feeding sites, when a feeding cavity has not been fully established, and in peripheral tissues not directly associated with feeding (Figure 2).31,40 This trafficking is complex and may rely on modulated expression of the β2 integrins and intercellular adhesion molecule-1 (ICAM-1)38,39 as well as β2-independent transmigration of neutrophils,41-43 including PECAM-1–mediated homophilic interactions between neutrophils and endothelial cells13-15 and β1 integrin binding to extracellular matrix proteins.11 12 Ultimately, tick feeding appears to invoke a mix of leukocyte trafficking and vascular hemorrhage that ultimately results in successful acquisition of a blood meal. The establishment of feeding pools that rely less on leukocyte trafficking and more on small hemorrhages may explain the ready amplification ofAnaplasma DNA from ticks infested on all knock-out mice, especially CD18 null mice, even though defects in vascular emigration were readily apparent histologically. By 48 to 72 hours of infestation, the marked neutrophilia, and associated increase in pathogen burden in knock-out mice, appeared to compensate for any defect in trafficking and likely contributed to increased pathogen acquisition efficiency over time. Nonetheless, both microscopically and based on the ratio of pathogen burden in blood compared with pathogen burden in ticks, it was clear that knock-out mice, most notably CD18−/− and CD11a−/− mice, showed a relative defect in pathogen transmission to tick vectors.
In these studies, we evaluated the influence of β2 integrins on infection kinetics of a hematogenous, obligate intracellular, tick-borne pathogen and its transit from blood to the dermis and into the tick. Findings suggest a primary role for CD11a and CD18 in dictating pathogen burden in blood. Defects in extravasation combined with neutrophilia appeared to promote increased bacteremia, suggesting that bacterial replication and cell-cell transfer may be facilitated under such conditions. CD11a−/− and CD18−/−mice showed similar and comparable relative defects in early migration to tick-feeding sites. Conversely, CD11b may be important in early intracellular clearance of the organism, because CD11b−/−mice showed a transient increase in the number of organisms per granulocyte. Otherwise, the kinetics of their infection more closely paralleled the infection in wild-type mice with no defects in trafficking noted. In this model, leukocyte-pathogen trafficking to a strong dermal inflammatory stimulus (suture) was not absolutely β2 integrin dependent; however, 24 hours of tick feeding revealed clear defects in leukocyte-pathogen trafficking in CD11a−/− and CD18−/− mice. Ultimately, these defects were ameliorated by tick-induced hemorrhages, permitting ample hematogenous pathogen acquisition despite defects in leukocyte trafficking.
The authors gratefully acknowledge the technical assistance of Kim Freet, Bob Munn, Judy Walls, and Amy Smith.
Prepublished online as Blood First Edition Paper, December 12, 2002; DOI 10.1182/blood-2002- 04-1019.
Supported by grants AI-41440 and RR-07038 (S.W.B.), AI-47294 (S.I.S.), and R01-HL62243-01 (C.M.B.) from the National Institutes of Health (NIH). S.I.S. and C.M.B. are Established Investigators of the American Heart Association. D.L.B. was supported by NIH training grant T32 RR-07038.
The publication costs of this article were defrayed in part by page charge payment. Therefore, and solely to indicate this fact, this article is hereby marked “advertisement” in accordance with 18 U.S.C. section 1734.
References
Author notes
Stephen W. Barthold, Center for Comparative Medicine, Schools of Medicine and Veterinary Medicine, University of California, Davis, CA 95616; e-mail:swbarthold@ucdavis.edu.




This feature is available to Subscribers Only
Sign In or Create an Account Close Modal