Topics:
lymphoma, non-hodgkin
Peter Maslak and Susan McKenzie, Memorial Sloan-Kettering Cancer Center
Peter Maslak and Susan McKenzie, Memorial Sloan-Kettering Cancer Center
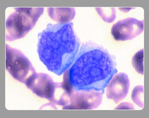
Peripheral blood smear from a patient with a transformed low-grade lymphoma. The circulating lymphoma cells have a blastic appearance with intensely basophilic cytoplasm and prominent nucleoli.
The above image was first published in the ASH IMAGE BANK, a reference and teaching tool that is continually updated with new atlas images and images of case studies. For more information or to contribute to the Image Bank, visit www.ashimagebank.org.
Copyright © 2004 by The American Society of Hematology
2004

This feature is available to Subscribers Only
Sign In or Create an Account Close Modal