Topics:
acute erythroblastic leukemia
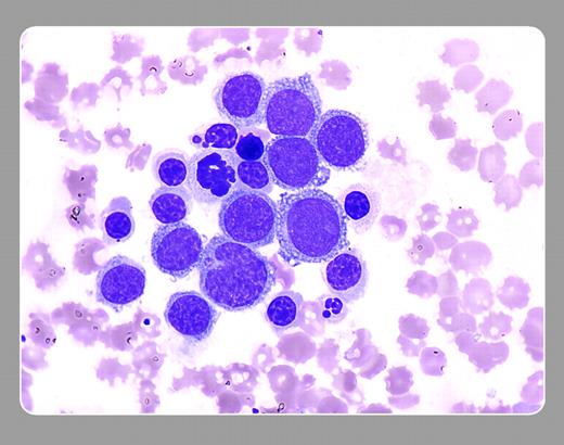
Erythroid precursors are dysplastic. Megaloblastic changes are noted in the nuclei. The cytoplasm may contain poorly defined vacuoles. Some of the dysplastic forms have condensed, fragmented nuclei.FIG1
Many Blood Work images are provided by the ASH IMAGE BANK, a reference and teaching tool that is continually updated with new atlas images and images of case studies. For more information or to contribute to the Image Bank, visit www.ashimagebank.org.
Copyright © 2004 by The American Society of Hematology
2004

Peter Maslak, Memorial Sloan-Kettering Cancer Center
This feature is available to Subscribers Only
Sign In or Create an Account Close Modal