Abstract
Natural killer (NK) cell inhibitory receptors play important roles in the regulation of target susceptibility to natural killing. Here, we report the molecular cloning and functional characterization of a novel NK cell receptor, KLRL1, from human and mouse dendritic cells. KLRL1 is a type II transmembrane protein with an immunoreceptor tyrosine-based inhibitory motif and a C-type lectinlike domain. The KLRL1 gene is located in the central region of the NK gene complex in both humans and mice, on human chromosome 12p13 and mouse chromosome 6F3, adjacent to the other KLR genes. KLRL1 is preferentially expressed in lymphoid tissues and immune cells, including NK cells, T cells, dendritic cells, and monocytes or macrophages. Western blot and fluorescence confocal microscopy analyses indicated that KLRL1 is a membrane-associated glycoprotein, which forms a heterodimer with an as yet unidentified partner. Human and mouse KLRL1 are both predicted to contain putative immunoreceptor tyrosine-based inhibitory motifs (ITIMs), and immunoprecipitation experiments demonstrated that KLRL1 associates with the tyrosine phosphatases SHP-1 (SH2-domain-containing protein tyrosine phosphatase 1) and SHP-2. Consistent with its potential inhibitory function, pretreatment of target cells with human KLRL1-Fc fusion protein enhances NK-mediated cytotoxicity. Taken together, our results demonstrate that KLRL1 belongs to the KLR family and is a novel inhibitory NK cell receptor.
Introduction
Natural killer (NK) cells are crucial for innate host defense against certain tumor cells and pathogens and, in particular, against viral infections.1 The susceptibility of tumor targets to natural killing is inversely related to target-cell expression of major histocompatibility complex (MHC) class I molecules, which formed the basis for the “missing-self” hypothesis.2 Missing-self is now explained by the expression of NK cell inhibitory receptors specific for MHC class I molecules.3,4 In humans, there are 3 distinct families of inhibitory receptors for HLA class I molecules: (1) killer cell Ig-like receptors (KIRs), which are type I transmembrane molecules belonging to the immunoglobulin (Ig) superfamily5 ; (2) immunoglobulin-like transcripts (ILTs), which are expressed mainly on B, T, and myeloid cells, although some members are also expressed on NK cells6 ; (3) killer cell lectinlike receptors (KLRs), which are type II transmembrane glycoproteins encoded by the NK gene complex (NKC).7-9 Inhibitory receptors mediate their effects through the immunoreceptor tyrosine-based inhibitory motif(s) (ITIM) present in their cytoplasmic domain,3 which become(s) tyrosine phosphorylated by a src-family tyrosine kinase on ligand binding. The src-family tyrosine kinases include SH2-domain-containing protein tyrosine phosphatase 1 (SHP-1), SHP-2, and SH2-domain-containing inositol polyphosphate 5′ phosphatase (SHIP1). SHP-1, in particular, has been demonstrated to associate with phosphorylated ITIMs and to mediate inhibition of NK cell cytotoxicity.
Several different NKC-encoded KLR families have thus far been identified; members are generally activating, inhibitory, or costimulatory receptors. With the exception of NKG2 (natural killer group 2), most KLRs are orphan receptors, whose physiologic ligands or functions remain undefined or have not been directly determined. The human NKG2A-CD94 (KLRC1) and NKG2C-CD94 (KLRC2) heterodimers recognize the nonclassic MHC class I molecule, HLA-E (Qa-1 in mice), which primarily displays peptides derived from the signal peptides of classic MHC class I molecules.10 The interactions of NKG2-CD94 heterodimers with HLA-E or Qa-1 molecules allow NK cells to indirectly monitor the expression of classic MHC class I molecules. Human and mouse KLRs orthologs have a broad expression pattern, which includes both NK and T-cell subsets.11 NKG2A-CD94 receptor expression is up-regulated by antiviral CD8+ T cells during acute polyoma infection; this is responsible for down-regulating their antigen-specific cytotoxicity during both viral clearance and virus-induced oncogenesis.12 CD94/NKG2 expression is also observed on antigen (Ag)-specific CD8+ T cells following infection with influenza virus and Listeria monocytogenes, but in these infections binding of the CD94/NKG2A receptor by its ligand (Qa-1b) does not significantly inhibit CD8+ T cells. CD94/NKG2A-mediated inhibition of T cells may thus be limited to particular circumstances or may involve synergy with other receptors that are similarly up-regulated.13,14 NKG2D (KLRK1) molecules are also expressed by T cells, mediating costimulatory functions dependent on the availability of the adaptor protein DAP10,15 and emerging findings also indicate that primed T cells might express other NKC molecules, including the Ly49 family and KLRG1.16,17 However, the role of these molecules in modulating the function of antigen-specific T cells requires further evaluation.
In this study, we report the molecular cloning, tissue and cell distribution, chromosome arrangement, and functional analysis of a novel NK cell receptor, KLRL1, derived from human or mouse dendritic cells. The predicted protein is a type II transmembrane protein that contains an ITIM in the cytoplasmic tail and belongs to the KLR family. We demonstrate that KLRL1 associates with the tyrosine phosphatases SHP-1 and SHP-2 and inhibits NK cell cytotoxicity.
Materials and methods
Cell culture
Unless stated otherwise, cell lines were obtained from the American Type Culture Collection (Manassas, VA) and maintained in RPMI 1640 medium (Invitrogen, Carlsbad, CA) supplemented with 2 mM glutamine, penicillin (100 U/mL), streptomycin (100 μg/mL), and 10% (vol/vol) heat-inactivated fetal calf serum (FCS; Hyclone, Logan, UT) in a 37°C 5% CO2 atmosphere. The NK-92 cell line, a kind gift of Prof Zhigang Tian (School of Life Sciences, University of Science and Technology of China, Hefei, PR China), was cultured in Minimum Essential Medium Alpha Medium (Invitrogen) containing 12.5% horse serum, 12.5% heat-inactivated FCS, 0.1 mM 2-ME (2-mercaptoethanol), 0.2 mM inositol, 0.02 mM folic acid, and 100 IU/mL human interleukin 2 (IL-2) (Sigma, St Louis, MO). Human polyclonal NK cells were isolated from peripheral mononuclear cells of healthy donors by using an NK cell isolation kit (Miltenyi Biotec, Auburn, CA). Human NK cells were cultured in Iscove modified Dulbecco medium (IMDM; Hyclone) supplemented with 500 IU/mL IL-2, 10% heat-inactivated FCS, and 2 mM glutamine. Mouse NK cells, CD4+ T cells, and CD8+ T cells were isolated from mouse splenocytes by positive selection with CD45R (B220), CD49b (DX5), CD4, and CD8a+ MicroBeads (Miltenyi Biotec).
Cloning of human and mouse KLRL1 full-length cDNA
The main expression sequence tagged (EST) of human KLRL1 (hKLRL1) was directly isolated from a human dendritic cell (DC) cDNA library by large-scale random sequencing as described previously.18,19 Full-length cDNA was cloned from human DCs by using the polymerase chain reaction (PCR) primers 5′-ACGAATTCATGTCTGAAGAAGTTACTTA-3′ (sense) and 5′-TCAAGCTTGCCTCC CTAAAATATGTAG-3′ (antisense) and Advantage polymerase (Clontech, Palo Alto, CA). The PCR product was cloned into the vector pcDNA3.1/Myc-His (-) B (Invitrogen) and sequenced. The full-length sequence is available in GenBank under the accession no. AF247788. The murine homolog of hKLRL1 cDNA, obtained by reverse transcriptase (RT)-PCR from mouse DC using the primers 5′-ACGAATTCAATGTCTGAAGAAATTGTT-3′ (sense) and 5′-TCAAGCTTCTG TATCCTCTGGGAGGC-3′ (antisense) was designated as murine KLRL1 (mKLRL1). The full-length sequence of mKLRL1 is available in GenBank under the accession no. NM_177686.
Cellular and tissue distribution of human and mouse KLRL1
Total cellular RNA was isolated using Trizol reagent (Invitrogen), and first-strand cDNA was prepared by using the Superscript II system with an Oligo(dT)15 primer (Invitrogen). cDNA synthesis was checked by PCR, with human or mouse β-actin primers as a positive control. Human adult multiple tissue cDNA (MTC) panels were purchased from Clontech. RT-PCR was performed with primers specific for hKLRL1 and mKLRL1 as described earlier. The reaction was subjected to denaturation (94°C for 30 seconds), annealing (55°C for 30 seconds), and extension (72°C for 30 seconds) for 30 cycles, and PCR products were confirmed by DNA sequencing.
Eukaryotic expression vector construction and cell transfection
To express Flag-tagged hKLRL1 and mKLRL1 proteins (hKLRL1-Flag and mKLRL1-Flag) in eukaryotic cells, coding regions of human and mouse KLRL1 were cloned in frame with the Flag tag in the expression vector pcDNA3.1/mic-His (-) B (Invitrogen) to generate phKLRL1/Flag and pmKLRL1/Flag vectors. The coding regions of both molecules were also cloned in frame with green fluorescent protein (GFP) coding sequence in pcDNA3.1/mic-His (-) B to generate GFP-fused hKLRL1 and mKLRL1 expression vectors, phKLRL1-GFP, and pmKLRL1-GFP. 293T and L929 cells were transfected with human and mouse KLRL1 vectors, respectively, using PoLyFect transfection reagent (Qiagen, Valencia, CA) in accordance with the manufacturer's instructions. Forty-eight hours after transfection, cells were harvested for Western blot and fluorescence confocal microscopy analysis.
Generation of anti-hKLRL1 mAb
Monoclonal antibodies (mAbs) against hKLRL1 were produced by immunizing BALB/c mice (BK Experimental Animal Co, Shanghai, China) with NIH/3T3 cells transfected with phKLRL1/Flag vector. Spleen cells were fused with murine SP2/0 myeloma cells by using polyethylene glycol-1000 and cultured in 96-well plates by using standard procedures. Hybridoma supernatants were screened for their reactivity against hKLRL1-Flag fusion protein by enzyme-linked immunosorbent assay (ELISA). Selected hybridomas were cloned by limiting dilution, and mAbs were produced in ascites fluids and purified. Flow cytometric analysis showed that the obtained anti-hKLRL1 mAbs recognized NIH/3T3 cells transfected with the full-length cDNA encoding hKLRL1 but not mock-transfected cells (data not shown). Data presented in the present study were obtained with the anti-hKLRL1 mAb HK13 of isotype IgG1, κ.
Western blot and immunoprecipitation analysis
Harvested cells were lysed in cell lysis buffer (Cell Signaling, Beverly, MA) containing proteinase inhibitors (Sigma). Cell lysates were fractionated by 12% sodium dodecyl sulfate-polyacrylamide gel electrophoresis (SDS-PAGE) and transferred onto polyvinylidene difluoride (PVDF) membranes. Membranes were probed with primary antibodies anti-SHP-1, anti-SHP-2, anti-SHIP (Santa Cruz Biotechnology, Santa Cruz, CA), or anti-Flag (Sigma), then incubated with appropriate horseradish peroxidase (HRP)-coupled secondary antibodies (New England Biolabs, Mississauga, ON, Canada), and relevant protein bands were visualized by using LumiGLo reagent (Cell Signaling). For sodium pervanadate stimulation, 100 × 106 cells in 0.5 mL phosphate-buffered saline (PBS) were preincubated at 37°C for 5 minutes, then 5 μL of a 100× sodium pervanadate solution was added to 0.03% H2O2, 100 μM Na3VO4 (Sigma) and incubated for 5 minutes at 37°C. The stimulation was stopped by adding ice-cold 2 × 1% digitonin lysis buffer (25 mM Tris (tris(hydroxymethyl)aminomethane)-HCl, 150 mM NaCl, pH 7.5, 1% digitonin, 1 mM NaF, 1 mM PMSF (phenylmethlsulfonyl fluoride), 1 mM Na3VO4, 10 μg/mL leupeptin, and 10 μg/mL aprotinin), and the cells were lysed for 30 minutes at 4°C, then centrifuged 15 minutes at 16 000g in a microcentrifuge. For immunoprecipitation, the supernatant was collected and precleared by incubating for 1 hour with 20 μL protein A beads (Santa Cruz), then centrifuged for 2 minutes at 2300g. The supernatant was collected and incubated for 1 hour at 4°C with anti-hKLRL1 mAb HK13. Protein A beads (30 μL) or anti-Flag M2-agarose beads (Sigma) were added, and precipitation was performed for 8 hours at 4°C. The beads were washed 3 times with 0.5% digitonin lysis buffer and centrifuged for 3 minutes at 2300g, resuspended in SDS sample buffer, and boiled for 2 minutes. Samples were run on SDS-PAGE, transferred to PVDF membranes, and analyzed as described above.
Fluorescence confocal microscopy analysis
293T cells and L929 cells growing on glass coverslips placed in 6-well plates were transiently transfected with KLRL1/GFP expression vectors. Forty-eight hours after transfection, cells were observed by fluorescence confocal microscopy (LSM 510 confocal microscope; Carl Zeiss, Atlanta, GA). All cell images were obtained using a 40 × 1.2 water CApochromat objective on the confocal microscopy with laser scanning microscope (LSM) 510 software (version 3.2). Images were analyzed using Adobe Photoshop 7.0.
N-glycoside F digestion
293T cells (10 × 106) transiently transfected with phKLRL1/Flag expression vector were lysed in 10 mM sodium phosphate buffer, pH6.5, containing 0.1% SDS and 50 mM β-mercaptoethanol. To denature the proteins, the cell lysates were heated for 5 minutes at 95°C, and then Nonidet P-40 (final concentration, 1%) and protease inhibitor mixture (Sigma) were added. Aliquots of these preparations were treated with N-glycosidase F (5 mU/mL; Calbiochem, Darmstadt, Germany) for 8 hours at 37°C. Reactions were stopped by the addition of SDS-PAGE loading buffer, and samples were subjected to Western blot analysis as described in “Western blot and immunoprecipitation analysis.”
Expression and purification of soluble hKLRL1-Fc fusion protein
Coding regions of human interleukin-2 signal peptide, the extracellular domain (residues 133-265) of hKLRL1 and human IgG4 CH2 and CH3 fragments were cloned in frame into pcDNA3.1/mic-His (-) B for expression of secreted human extracellular KLRL1-Fc fusion protein (hexKLRL1-Fc). COS-7 cells were transfected by using the diethylaminoethanol (DEAE)-dextran method with minor modifications. After overnight recovery in Dulbecco modified Eagle medium (DMEM) supplemented with 10% FCS, cells were cultured in DMEM plus 1% FCS for 6 days.20 The supernatant was harvested, and secreted hexKLRL1-Fc protein was purified by using Affi-Gel protein A-agarose columns (Bio-Rad, Hercules, CA).
Flow cytometry
For single-color analysis, 50 μL cells (10 × 106 cells/mL) were incubated with 5 μL mAb HK13 or human extracellular KLRL1-Fc fusion protein (hexKLRL1-Fc) for 30 minutes on ice. After 3 washes, labeled cells were incubated with 5 μL fluorescein isothiocyanate (FITC)-conjugated sheep antimouse Ig or goat antihuman IgG (Sigma). Stained cells were analyzed by fluorescence activated cell sorting (FACS; FACSCalibur; Becton Dickinson, Mountain View, CA).
Cytolytic assay
Cytolytic activity of NK cells was measured with the CytoTox 96 Non-Radioactive Cytotoxicity Assay (Promega, Madison, WI),21 based on detection of lactate dehydrogenase (LDH) activity released from damaged cells. Released LDH in culture supernatant is measured with a 30-minute coupled enzymatic assay, which results in the conversion of a tetrazolium salt into a red formazan product, which can be equated to percentage lysis. Exponentially growing A549, HeLa, MCF-7, and K562 cells were harvested as target cells and preincubated with hKLRL1-Fc fusion protein or control IgG 20 μg/mL for 8 hours. Target cells (2 × 104 cells/mL) in a volume of 50 μL were then placed in wells of a 96-well round-bottom plate, then 50 μL effector cells (either NK-92 cells or IL-2-stimulated human NK cells), at various concentrations, were added to each assay well. Plates were centrifuged for 5 minutes at 250g and incubated in a 37°C 5% CO2 atmosphere for 4 hours, and supernatants were harvested and tested according to manufacturer's instructions. The results are presented as median values from triplicate assays for each effector-target cell ratio.
Results
Identification and sequence analysis of human and mouse KLRL1
An EST for a potential novel C-type lectin protein was originally identified by large-scale random sequencing,18,19 and full-length cDNA was obtained by PCR from human DCs. The 1566-bp cDNA contained a single open reading frame (ORF) of 798 bp with 3 in-frame stop codons upstream of the initial codon and a putative polyadenylation signal located 15 bp upstream of the poly (A) stretch. The 3′-untranslated region also contained a number of potential rapid degradation signals, including 2 repeats of the consensus sequence ATTTA.22 The ORF encoded a 265-amino acid protein with a theoretical molecular mass of 30.8 kDa and an isoelectric point of 8.77. The presence of 6 putative N-glycosylation sites within the stalk and C-type lectin domains indicated that the protein might be a glycoprotein. No signal sequence was detected, but a putative transmembrane domain of 23 residues extending from residue 44 to residue 66 was identified (Figure 1A). The N-terminal was oriented on the cytoplasmic side of the membrane, indicating that the full-length sequence encoded a type II transmembrane protein. Sequence comparison revealed high homology with members of the KLR subfamily of receptors. The overall protein sequence showed 34% identity and 51% similarity with hCLEC1 (human C-type lectinlike receptor 1), 30% identity and 47% similarity with hCLEC2, 29% identity and 43% similarity with hLOX-1 (endothelial receptor for oxidized low-density lipoprotein), and 24% identity and 43% similarity with hCD94 (Figure 1B). Sequence comparisons showed that it belongs to the KLRs but constitutes the first member of a separate, novel family (family L), and it was, thus, designated human Killer cell C-type Lectinlike Receptor L 1 (hKLRL1; Figure 1C). The full-length sequence is available in GenBank under the accession no. AF247788.
Multiple alignment of KLRL1 with closely related KLR family receptors. Alignment was performed with the GCG package and minimally adjusted manually. Identical residues are boxed in black, and similar residues are in gray. (A) Alignment of human and mouse KLRL1. Approximate domain boundaries are indicated for the cytoplasmic, transmembrane, stalk, and C-type lectinlike domains (CTLDs). Putative N-glycosylation sites are shown by boxes. (B) Multiple alignment of CTLDs of KLRL1 and closely related KLR family members. Asterisks indicate positions of the conserved invariant residues characteristic of CTLDs. (C) Dendrogram displaying total amino acid identity among some KLR family members. Human, mouse, and rat KLRL1 constitute a separate branch of the KLRs, most closely related to CLEC2 and CLEC1. The GenBank accession numbers of the analyzed sequences are AF247788 (hKLRL1), NM_177686(mKLRL1), XM_232420 (rKLRL1), NM_016509 (hCLEC2), AF201457 (mCLEC2), AF200949 (hCLEC1), AF023840 (hNKG2A), AJ001684 (hNKG2C), AY100458 (mKLRE1), AF486186 (rKLRE1), U30610 (hCD94), AF030311 (mCD94), NM_005810 (hKLRG1), NM_016970 (mKLRG1), NM016523 (hKLRF1), NM_002258 (hKLRB1), AF133299 (hLLT1), and AF416564 (rKLRH1).
Multiple alignment of KLRL1 with closely related KLR family receptors. Alignment was performed with the GCG package and minimally adjusted manually. Identical residues are boxed in black, and similar residues are in gray. (A) Alignment of human and mouse KLRL1. Approximate domain boundaries are indicated for the cytoplasmic, transmembrane, stalk, and C-type lectinlike domains (CTLDs). Putative N-glycosylation sites are shown by boxes. (B) Multiple alignment of CTLDs of KLRL1 and closely related KLR family members. Asterisks indicate positions of the conserved invariant residues characteristic of CTLDs. (C) Dendrogram displaying total amino acid identity among some KLR family members. Human, mouse, and rat KLRL1 constitute a separate branch of the KLRs, most closely related to CLEC2 and CLEC1. The GenBank accession numbers of the analyzed sequences are AF247788 (hKLRL1), NM_177686(mKLRL1), XM_232420 (rKLRL1), NM_016509 (hCLEC2), AF201457 (mCLEC2), AF200949 (hCLEC1), AF023840 (hNKG2A), AJ001684 (hNKG2C), AY100458 (mKLRE1), AF486186 (rKLRE1), U30610 (hCD94), AF030311 (mCD94), NM_005810 (hKLRG1), NM_016970 (mKLRG1), NM016523 (hKLRF1), NM_002258 (hKLRB1), AF133299 (hLLT1), and AF416564 (rKLRH1).
Blast searches of a mouse EST database (GenBank dbEST) using the predicted polypeptide sequence of hKLRL1 lead to the cloning of a mouse homolog of hKLRL1, designated mKLRL1 (accession no. NM_177686). The 2181-bp full-length cDNA, obtained from mouse DCs, encoded a 267-residue type II transmembrane protein with a typical C-type lectin domain, with features similar to those of hKLRL1, including 4 potential N-glycosylation sites. Overall, human and mouse KLRL1 shared 50% identity and 65% similarity (Figure 1A). A rat ortholog of KLRL1 (rKLRL1; accession no. XM_232420), identified from rat EST databases, shared 70% similarity with hKLRL1 and 86% with mKLRL1.
KLRL1 possesses structural features characteristic of the KLR family
The predicted hKLRL1 protein consisted of 4 structural regions: cytoplasmic (residues 1-43), transmembrane (44-66), stalk (67-132), and a C-type lectinlike domain (CTLD; 133-265), a key feature of the KLR family. Many other structural features of KLR subfamily receptors were present in hKLRL1. All KLR subfamily receptors contain CTLD motifs and, thus, structurally belong to the C-type lectin family. Thirteen invariant residues (including 6 Cys, which play a crucial role in forming disulfide bridge frameworks) are relatively conserved among CTLD sequences of different C-type lectins.23 A putative CTLD motif (133-249), in the C-terminal region of hKLRL1, contains 11 of the 13 invariant residues, including all the 6 Cys residues (Figure 1B). CTLD homology was compared with those of other KLRs. The CTLD of hKLRL1 was most similar to those of human CD94 (29% similarity and 42% identity) and human LOX-1 (26% similarity and 31% identity) (Figure 1 B). In common with other KLRs, the CTLDs of human and mouse KLRL1 lack the motifs required for Ca2+ binding and showed little sequence similarity to the ligand-binding loops of classic C-type lectins. Of note, a putative immunoreceptor tyrosine-based inhibitory motif (ITIM)24-26 was identified close to the N-terminus of the cytoplasmic domain of both hKLRL1 and mKLRL1 (VTYADL and IVYANL, respectively, conserved amino acids underlined; Figure 1 A). The structural features characteristic of KLRs present in KLRL1 suggested that KLRL1 might function as a killer cell receptor, with its actions mediated by interactions with other signaling molecules.
KLRL1 gene is located in the NK gene complex
Chromosome mapping analysis of KLRL1 showed conserved gene localization among human, mouse, and rat KLRL1. The hKLRL1 gene is located on chromosome 12p13.31, along with several other KLR family receptors (Figure 2A), including KLRG1,27 KLRB1 (NKRP1A), LLT1, DCAL1, CD69,28 KLRF1,29 C-type lectin superfamily member 2 (CLECSF2), CLEC1, CLEC2,30 CLECSF12,1 LOX-1,17 KLRD1 (CD94),31 KLRK1 (NKG2D), KLRC4 (NKG2F), KLRC3 (NKG2E), KLRC2 (NKG2C), KLRC1 (NKG2A), and KLRA1 (Ly49). The short arm of chromosome 12 is now recognized as a region that is particularly enriched for genes encoding C-type lectinlike receptors important for NK cell functions, and this region has been designated NK gene complex. These receptors are all involved in activating, inhibitory, or costimulatory signaling functions in immune cells. Similar conservation of KLRL1 gene location was observed for mouse and rat: mKLRL1 and rKLRL1 genes were located within the NK gene complex on mouse and rat chromosomes 6F3 (Figure 2B) and 4q42 (data not shown), respectively, accompanied by Klrg1,32 C lectin-related protein A (ClrA),33 CD69, Clec2, Clecsf12, LOX-1, KLRE1,34 D1, C3, C2, C1, and ly49.35 The location of the KLRL1 gene in the KLR family gene cluster indicated that there might have been multiple gene duplications within the KLR family during its evolution from a common ancestral gene.
Chromosomal location of the KLRL1 gene. Physical map of the region constituting the KLR family gene cluster within (A) the human NK gene complex on chromosome 12p13 and (B) the mouse NK gene complex on chromosome 6F3. The organization of the KLR gene and an expanded view of KLR gene structure are also shown. Arrows indicate direction of transcription.
Chromosomal location of the KLRL1 gene. Physical map of the region constituting the KLR family gene cluster within (A) the human NK gene complex on chromosome 12p13 and (B) the mouse NK gene complex on chromosome 6F3. The organization of the KLR gene and an expanded view of KLR gene structure are also shown. Arrows indicate direction of transcription.
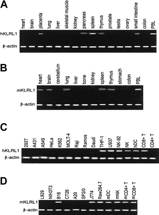
KLRL1 is preferentially expressed in lymphoid tissues and immune cells
In human multiple tissue cDNA panels, hKLRL1 mRNA was highly expressed in lymphoid tissues, such as spleen and peripheral blood leukocytes, and present at lower levels in thymus, placenta, pancreas, and small intestine (Figure 3A). Expression was not detected in heart, brain, lung, liver, skeletal muscle, kidney, prostate, testis, ovary, or colon. A similar expression pattern was observed for murine KLRL1, with mKLRL1 mRNA preferentially expressed in peripheral blood leukocytes; less frequent in thymus, spleen, heart, brain, and lung; and undetectable in other tissues (Figure 3B). As KLRL1 was expressed preferentially in lymphoid tissues, we further examined its cellular distribution by RT-PCR analysis of hematopoietic cell lines and freshly isolated cells. As shown in Figure 3C-D, both human and mouse KLRL1 expression is restricted to immune cells. hKLRL1 mRNA could be detected in myelomonocytic cells, including THP-1 (monocytes) and U937 (monocytic leukemia) cells, peripheral blood mononuclear cell (PBMC)-derived DCs, NK cells, and CD8+ T cells but not in B cells (Raji, Ramos, and Daudi cells), CD4+ T cells, or solid tumor cell lines (A431, A549 and HeLa cells). RT-PCR analyses of murine cells revealed that mKLRL1 was highly expressed in mouse bone marrow-derived DCs, NK cells, CD4+ T cells, CD8+ T cells, and macrophages (J774, RAW264.7). Unexpectedly, mKLRL1 was also expressed in B16 melanoma cells. Taken together, the findings suggested that KLRL1 was preferentially expressed in lymphoid tissues and immune cells and that in comparison to hKLRL1, mKLRL1 had a more comprehensive tissue and cellular distribution, which may be related to the respective functions of these 2 proteins.
Tissue and cellular expression pattern of KLRL1. RT-PCR was performed with human and mouse KLRL1-specific primers on the following tissue and cells: (A) human adult multiple tissue cDNA (MTC) panels, (B) adult mouse normal tissues, (C) human hematopoietic cells and cell lines and solid tumor cell lines, and (D) mouse hematopoietic cells and cell lines and solid tumor cell lines. All the samples were similarly positive for β-actin.
Tissue and cellular expression pattern of KLRL1. RT-PCR was performed with human and mouse KLRL1-specific primers on the following tissue and cells: (A) human adult multiple tissue cDNA (MTC) panels, (B) adult mouse normal tissues, (C) human hematopoietic cells and cell lines and solid tumor cell lines, and (D) mouse hematopoietic cells and cell lines and solid tumor cell lines. All the samples were similarly positive for β-actin.
Human KLRL1 is a membrane-associated glycoprotein
To study KLRL1 expression in mammalian cells, phKLRL1/Flag expression vector was transfected into 293T cells, and the expression of Flag-tagged human KLRL1 protein was examined by Western blot analysis with anti-Flag antibody. An approximately 75-kDa protein was detected in both nonreducing and reducing conditions (Figure 4A), and no specific band was observed in mock vector transfected cells. The apparent molecular mass was considerably larger than that predicted from the deduced amino acid sequence (30.8 kDa), suggesting that hKLRL1-Flag protein was very likely to be modified after its translation. Glycosylation was the most likely posttranslational modification, as hKLRL1 contained 6 putative N-glycosylation sites within the stalk and C-type lectin domains. To confirm the glycosylation of hKLRL1, we treated the cell lysate of phKLRL1/Flag-transfected 293T cells with peptide N-glycosidase F. As shown in Figure 4A, the apparent molecular mass of the N-glycosidase F-treated hKLRL1-Flag protein was reduced to about 31 kDa, consistent with the calculated molecular mass of hKLRL1, indicating that mature hKLRL1 protein is highly glycosylated.
KLRL1 is expressed as a membrane-associated glycoprotein. (A) hKLRL1 transiently expressed in 293T cells is an N-linked glycoprotein. Lysates of 293T cells transiently transfected with phKLRL1/Flag or mock vector were analyzed by Western blot under nonreducing (Non-R, in the absence of 2-mercaptoethanol), reducing (Red, in the presence of 2-mercaptoethanol), or N-glycosidase F digestion (N-Gly) conditions. (B) Both human and mouse KLRL1 is expressed as a transmembrane protein. 293T cells and L929 cells were transiently transfected with phKLRL1-GFP (i), pmKLRL1-GFP expression vectors (iii), or GFP-alone control vectors (ii,iv), respectively, and fluorescence confocal microscopy analysis was performed 48 hours after transfection. Original magnification, ×900.
KLRL1 is expressed as a membrane-associated glycoprotein. (A) hKLRL1 transiently expressed in 293T cells is an N-linked glycoprotein. Lysates of 293T cells transiently transfected with phKLRL1/Flag or mock vector were analyzed by Western blot under nonreducing (Non-R, in the absence of 2-mercaptoethanol), reducing (Red, in the presence of 2-mercaptoethanol), or N-glycosidase F digestion (N-Gly) conditions. (B) Both human and mouse KLRL1 is expressed as a transmembrane protein. 293T cells and L929 cells were transiently transfected with phKLRL1-GFP (i), pmKLRL1-GFP expression vectors (iii), or GFP-alone control vectors (ii,iv), respectively, and fluorescence confocal microscopy analysis was performed 48 hours after transfection. Original magnification, ×900.
Because human KLRL1 was predicted to be a type II transmembrane protein, we examined the cellular localization of GFP-fused KLRL1 to determine whether it localized to the cell surface. phKLRL1/GFP and pmKLRL1/GFP expression vectors were transiently transfected into 293T and L929 cells, respectively. Forty-eight hours after transfection, cells were subjected to fluorescence confocal microscopy analysis. As shown in Figure 4B, specific signals of both GFP-fused hKLRL1 and mKLRL1 were restricted to the cell membrane, whereas the control GFP signal was diffused throughout the cytoplasm. This result confirmed the structural prediction that KLRL1 was a cell membrane-associated protein.
KLRL1 associates with protein tyrosine phosphatases SHP-1 and SHP-2
As a rule, the inhibitory NK receptors transmit their signals by way of protein-tyrosine phosphatases, in particular SHP-1, which dock onto phosphorylated ITIMs following receptor engagement. To examine the ability of the ITIM-containing hKLRL1 protein to associate with the protein-tyrosine phosphatases SHP-1, SHP-2, and SHIP, important inhibitory regulators of immunoreceptor signal transduction, NK92 and U937 cells were pretreated with pervanadate to prevent the tyrosine dephosphorylation of cellular proteins, and KLRL1 was immunoprecipitated by using HK13 mAb and protein A beads. Western blotting showed that SHP-1 and SHP-2 coprecipitated with hKLRL1. Supporting this finding, probing of digitonin lysates of pervanadate-stimulated NK92 and U937 cells with anti-hKLRL1 mAb HK13 revealed prominent bands of approximately 110 kDa (Figure 5A-B). For murine KLRL1, L929 cells transiently transfected with pmKLRL1/Flag vector were treated with pervanadate, and Flag-tagged mKLRL1 was precipitated with anti-Flag M2-agarose beads. As shown in Figure 5C, SHP-1 and SHP-2 were coprecipitated in the anti-Flag precipitate of cells transfected with pmKLRL1/Flag but not in precipitates derived from control vector-transfected cells or parental cells. The interaction was tyrosine phosphorylation dependent because the 2 proteins could not be coprecipitated from cells not pretreated with pervanadate. SHIP recruitment was not detected in NK-92, U937, or pmKLRL1/Flag-transfected L929 cells (data not shown). These results indicated that on phosphorylation of tyrosine, presumably that located within the ITIM, KLRL1 recruited both protein-tyrosine phosphatases SHP-1 and SHP-2, suggesting likely involvement in negative regulation of signaling.
KLRL1/partner heterodimer associates with SHP-1 and SHP-2. (A) NK-92 and U937 cells were pretreated with pervanadate (+) or not (-), then digitonin lysates of the cells were incubated with HK13 and protein A beads, and precipitates were subjected to Western blot analysis with anti-SHP-1 and anti-SHP-2. (B) hKLRL1 forms a functional heterodimer with a putative partner molecule. Pervanadate stimulated (5 minutes at 37°C) (+) and unstimulated (-) NK-92 and U937 cells were lysed in 1% digitonin buffer and tested by Western blotting, using anti-hKLRL1 mAb HK13. (C) L929 cells transiently transfected with mouse KLRL1/Flag expression vector were pretreated with pervanadate (+) or untreated (-), then digitonin lysates of the cells were incubated with anti-Flag M2-agarose beads, and precipitates were subjected to Western blot analysis with anti-HP-1, anti-SHP-2, and anti-Flag antibodies. Crude lysates (right hand panels) served as a control. The data shown are representative of 3 independent experiments.
KLRL1/partner heterodimer associates with SHP-1 and SHP-2. (A) NK-92 and U937 cells were pretreated with pervanadate (+) or not (-), then digitonin lysates of the cells were incubated with HK13 and protein A beads, and precipitates were subjected to Western blot analysis with anti-SHP-1 and anti-SHP-2. (B) hKLRL1 forms a functional heterodimer with a putative partner molecule. Pervanadate stimulated (5 minutes at 37°C) (+) and unstimulated (-) NK-92 and U937 cells were lysed in 1% digitonin buffer and tested by Western blotting, using anti-hKLRL1 mAb HK13. (C) L929 cells transiently transfected with mouse KLRL1/Flag expression vector were pretreated with pervanadate (+) or untreated (-), then digitonin lysates of the cells were incubated with anti-Flag M2-agarose beads, and precipitates were subjected to Western blot analysis with anti-HP-1, anti-SHP-2, and anti-Flag antibodies. Crude lysates (right hand panels) served as a control. The data shown are representative of 3 independent experiments.
Human KLRL1 inhibits NK cell cytotoxicity against target cells
To investigate whether hKLRL1 functions as an inhibitory receptor of NK cells, chimeric proteins with the extracellular domain of KLRL1 fused with IgG4 CH2 and CH3 fragments (hexKLRL1-Fc) were expressed in COS-7 cells, purified, and used to examine the role of hKLRL1 in NK cell cytotoxicity. The expression of a 37-kDa hexKLRL1-Fc protein was confirmed by Western Blot analysis (Figure 6A). As shown in Figure 6B, pretreatment of target cells (A549, HeLa, and MCF-7 cells) with hexKLRL1-Fc fusion protein enhanced the cytotoxicity of NK-92 cells and IL-2-stimulated polyclonal NK cells toward the target cells. In contrast, treatment with hexKLRL1-Fc did not influence lysis of K562 cells. To test whether targets cells expressed hKLRL1 ligands, A549, HeLa, MCF-7, and K562 cells were stained with hexKLRL1-Fc and FITC-conjugated goat antihuman IgG. As shown in Figure 6C, 68.99%, 69.36%, and 34.22% of A549, HeLa, and MCF-7 cells, respectively, stained positive with hexKLRL1-Fc, whereas K562 cells remained unstained. These results implied that hexKLRL1-Fc neutralized the potential ligands of hKLRL1 expressed on the surface of target cells, thus preventing engagement by hKLRL1 receptors present on NK cells and releasing effector cells from the inhibitory effect of hKLRL signaling, leading to enhanced target cell lysis. hKLRL1 thus appeared to be a novel functionally inhibitory NK cell receptor that reduces NK cell activity by ways of interaction with cell-surface ligands of target cells.
hKLRL1 inhibits NK cell cytotoxicity. (A) The purified hexKLRL1-Fc protein is expressed as an approximately 37-kDa fusion protein. The fusion protein was harvested from the supernatants of COS-7 cells transiently transfected with the phexKLRL1-Fc expression vector and purified by using Affi-Gel protein A-agarose columns. Protein expression in supernatants of untransfected COS-7 cells and phexKLRL1-Fc-transfected COS-7 cells was examined by Western Blot analysis by using anti-Fc antibody. (B) Pretreatment of target cells with hexKLRL1-Fc fusion protein enhances NK cell cytotoxicity, except in the case of K562 cells. Target cells (A549, HeLa, MCF-7, and K562 cells) were preincubated for 8 hours with hexKLRL1-Fc fusion protein (hexKL-Fc) or control IgG (20 μg/mL). Cell-mediated cytolysis was assayed by using IL-2-stimulated human polyclonal NK cells and NK-92 cells as effector cells. Target cells untreated with mAb were included as an additional control. All data represent median values of triplicate samples and are representative of 3 independent experiments. (C) Potential hKLRL1 ligands were present on the surface of A549, HeLa, and MCF-7 target cells but not on K562 cells. Flow cytometric analysis of A549, HeLa, MCF-7, and K562 cells stained with hexKLRL1-Fc fusion protein.
hKLRL1 inhibits NK cell cytotoxicity. (A) The purified hexKLRL1-Fc protein is expressed as an approximately 37-kDa fusion protein. The fusion protein was harvested from the supernatants of COS-7 cells transiently transfected with the phexKLRL1-Fc expression vector and purified by using Affi-Gel protein A-agarose columns. Protein expression in supernatants of untransfected COS-7 cells and phexKLRL1-Fc-transfected COS-7 cells was examined by Western Blot analysis by using anti-Fc antibody. (B) Pretreatment of target cells with hexKLRL1-Fc fusion protein enhances NK cell cytotoxicity, except in the case of K562 cells. Target cells (A549, HeLa, MCF-7, and K562 cells) were preincubated for 8 hours with hexKLRL1-Fc fusion protein (hexKL-Fc) or control IgG (20 μg/mL). Cell-mediated cytolysis was assayed by using IL-2-stimulated human polyclonal NK cells and NK-92 cells as effector cells. Target cells untreated with mAb were included as an additional control. All data represent median values of triplicate samples and are representative of 3 independent experiments. (C) Potential hKLRL1 ligands were present on the surface of A549, HeLa, and MCF-7 target cells but not on K562 cells. Flow cytometric analysis of A549, HeLa, MCF-7, and K562 cells stained with hexKLRL1-Fc fusion protein.
Discussion
The functions of NK cells are modulated by the balance between a number of activating and inhibitory receptors. KIRs are mostly inhibitory receptors that play a critical role in recognizing self-class-I MHC molecules and, thus, protect healthy host cells from NK-targeted lysis. They have the following interesting features: highly divergent structures, varied immune functions, and concentration in one genetic location. Of the 14 groups of CTLD-containing proteins, KLRs belong to group V, which possess the “nonclassic” C-type lectin domain, but not “classic” C-type lectin domain. Classic C-type lectins bear carbohydrate-recognition domains (CRDs) that bind to glycan ligands in a calcium-dependent manner, whereas nonclassic C-type lectins share structural homology with their classic counterparts but have evolved to bind nonsugar ligands. Several KLR family members have been identified thus far, designated KLRA through KLRK. In this study, we have described a novel NK cell inhibitory receptor belonging to the KLR family, KLRL1, which is preferentially expressed in lymphoid tissues and immune cells, including NK cells, T cells, dendritic cells, and monocytes or macrophages. The hKLRL1 gene is located within the NK gene complex on chromosome 12p13, just between hKLRF1 and hCLEC2. mKLRL1 and rKLRL1 share a similar chromosomal arrangement. In humans, NK gene complex members at this locus include CD69,28 CLEC1, CLEC2,30 DCAL1 (dendritic cell-associated lectin-1),36 KLRG1,27 KLRF1,29 CD94, and the NKG2 family; in rodents, the NKC contains Clr,33 Klrg1,32 Klre1,34 Cd69, Cd94, and Ly49 family members.35 The KLRL1 protein is a CTLD-containing type II transmembrane glycoprotein; it is most closely related to CLEC1 and CD94 and shares modest similarity with all known members of the KLR family. The conservation in sequence, structure, and chromosome arrangement is reminiscent of the leukocyte receptor complex on chromosome 19q13.3-13.4, which includes the KIRs expressed on NK cells and subsets of T cells, the gp49 family of receptors expressed on mast cells and natural killer cells, and sialic acid-binding Ig-like lectins (Siglec-3, -5, -6, -7, -8, -9, and -10) expressed on myeloid cells and DCs.19 This suggests structural and functional coevolution of these receptors on NK, myeloid, and dendritic cells.
The stalk section of the hKLRL1 molecule contains 2 conserved cysteines that have been shown to form disulfide-linked dimers.37,38 We would, therefore, expect that native hKLRL1 also formed homodimers or heterodimers in cells, as is the case with the other KLRs. However, species of approximately 75 kDa in hKLRL1/Flag-transfected cell lysates, although much larger than the molecular size predicted from the amino acid sequence, was observed under both nonreducing and reducing conditions. Given that N-Glycoside F treatment reduces the apparent molecular mass to about 31 kDa, consistent with the calculated molecular mass of hKLRL1, high levels of glycosylation, rather than dimerization, appear to be responsible for the high molecular weight of the mature hKLRL1 protein. However, closer examination by Western blotting with the anti-hKLRL1 mAb HK13 revealed weak approximately 110-kDa hKLRL1 bands in NK-92 and U937 cell lysates, in addition to the approximate 75-kDa bands. Interestingly, the approximate 110-kDa bands became significantly stronger in digitonin lysates of pervanadate-treated NK-92 and U937 cells. Together, the presented findings indicate that hKLRL1 may form a functional heterodimer with an as yet unidentified partner that 293T cells lack.
hKLRL1 contains a putative ITIM (VTYADL) in its cytoplasmic domain, which predicts inhibitory receptor function. Immunoprecipitation analysis demonstrated that hKLRL1 was physically associated with SHP-1 and SHP-2 in lysates of pervanadate-treated NK-92 and U937 cells. These results suggest an inhibitory role for hKLRL1 in NK and myelomonocytic cells. Notably, during revision of the present manuscript, Marshall et al39 reported a novel inhibitory C-type lectinlike receptor, designated MICL and identical to KLRL1, which negatively regulates granulocyte and monocyte function. Among the KLRs, NKG2A contains 2 functional ITIMs that recruit both SHP-1 and SHP-2, but not SHIP, by way of their SH2 domains40 ; NKG2F (KLRC4) also has both a cytoplasmic ITIM-like sequence and a charged transmembrane amino acid residue, but its exact function is not known. We prepared an hKLRL1-Fc fusion protein and used it to investigate the role of hKLRL1 in NK cell cytotoxicity. We demonstrated that blocking of potential hKLRL1 ligands on target cells enhanced NK cell cytotoxicity, further supporting the notion that hKLRL1 functions as an inhibitory receptor of NK cells.
Flow cytometry with hKLRL1-Fc fusion protein showed that the putative ligand(s) of hKLRL1 might be present on the membranes of A549, HeLa, and MCF-7 target cells but not on K562 cells. Although KLRL1 belongs to the C-type lectin superfamily, it does not contain the classic CRD, so ligands are unlikely to be carbohydrates. The amino acid sequence present in the CRDs of animal lectins provides information about saccharide-binding specificity. For example, the sequence EPN is found in CRDs known to bind mannose or glucose derivatives and is present in 2 domains of the macrophage-mannose receptor (MMR).41 The EPS sequence present in the CRD-2 of the MMR is believed to contribute only weakly to binding of polyvalent ligands.42 In contrast, the sequence QPD is characteristic of CRDs that bind galactose and N-acetylgalactosamine and is present in the hepatic antiasialoglycoprotein receptor 1 (ASGPR-1) and -2.41 However, these sequences are lacking from the amino acid sequences of both hKLRL1 and mKLRL1. Further studies are required to confirm whether the nonclassic MHC class I molecules are the natural ligands of KLRL1, because most KLRs are receptors for nonclassic MHC class I molecules.10,32,43
The discovery of new NK cell receptors will lead to a better understanding of how NK cells interact with and kill target cells through their complex set of activating and inhibitory receptors that recognize corresponding ligands on tumor cells; this may, in turn, reveal new approaches to cancer immunotherapy. Although both NK cells and CD8+ cytotoxic T cell (CTLs) have the ability to kill susceptible tumor cells, it seems that NK cells are responsible for controlling a low tumor burden at an initial stage until the adaptive arm of the immune system plays an important role in mediating antitumor responses. Therefore, blockade of the inhibitory receptors expressed on a principal subset of NK cells can be a powerful means to eradicate tumors when the tumor burden is minimal, such as occurs following cytoreductive therapy. It has been shown that blockade of inhibitory receptors can effectively augment the antitumor activity of both allogeneic and syngeneic NK cells, which may be an improved strategy for NK cell-based immunotherapy.44-46
In conclusion, we have identified a novel C-type lectin-like molecule, KLRL1, which has preferential hematopoietic expression and acts as a NK cell inhibitory receptor. Future studies are required to elucidate the physiologic functions of this receptor and to discover its putative heterodimeric partner molecule and naturally recognized ligands.
Prepublished online as Blood First Edition Paper, July 6, 2004; DOI 10.1182/blood-2004-03-0878.
Supported by grants from the National Natural Science Foundation of China (30121002), the National Key Basic Research Program of China (2001CB510002), and the National High Biotechnology Development Program of China (2002BA711A01).
The publication costs of this article were defrayed in part by page charge payment. Therefore, and solely to indicate this fact, this article is hereby marked “advertisement” in accordance with 18 U.S.C. section 1734.
We thank Dr J. Rayner for critically reading this manuscript. We also thank Dr X. Zhou, Mrs Y. Li, Miss Y. Zheng, Miss X. Zuo, Miss W. Ni, and Mrs M. Jin for their expert technical assistance.






This feature is available to Subscribers Only
Sign In or Create an Account Close Modal